Métodos de estudo em histologia
Métodos de estudo em histologia
Prof. Dr. Caio Maximino
Marabá/PA-2015
Métodos de estudo em histologia
Preparação de lâminas histológicas
Preparação
de lâminas
Coloração
Histo- e
citoquímica
Imuno
Hibridação
Microscopia
de luz
Fluorescência
Contraste
de fase
Eletrônica
●
O tecido pode ser preparado pode ser in vivo ou até
mesmo morto;
● Mais comum: preparado histológico permanente
(lâminas histológicas).
COLETA FIXAÇÃO PROCESSAMENTO DESIDRATAÇÃO
DIAFANIZAÇÃO INCLUSÃO MICROTOMIA COLAGEM
COLORAÇÃO MONTAGEM
Métodos de estudo em histologia
Coleta da amostra
Obtido principalmente por meio de:
1) Biópsia cirúrgica – através de uma incisão cirúrgica no órgão
ou tecido;
2) Biópsia endoscópica – usada para órgãos ocos (estômago,
intestino, etc.) através de endoscopia;
3) Biópsia por agulha – a amostra (cilindro) é obtida pela punção
do órgão (fígado, pulmão), sem precisar abrir a cavidade
natural;
Preparação
de lâminas
Coloração
Histo- e
citoquímica
Imuno
Hibridação
Microscopia
de luz
Fluorescência
Contraste
de fase
Eletrônica
Métodos de estudo em histologia
Coleta da amostra
4)Cirurgias amplas – a amostra corresponde a
peças grandes (ex. tumores) ou órgãos (ex.
mama, útero);
5)Necrópsia – procedimento utilizado para estudo
anatômico de todos os órgãos ou tecidos, no
animal morto.
NOTA: Amostras de tamanho grande devem ser clivadas,
reduzindo a sua espessura – facilita a penetração do
FIXADOR. Tamanho final em torno de 4mm.
Preparação
de lâminas
Coloração
Histo- e
citoquímica
Imuno
Hibridação
Microscopia
de luz
Fluorescência
Contraste
de fase
Eletrônica
Métodos de estudo em histologia
Fixação
● Base para uma boa preparação histológica;
● Deve ser completa e adequada
– A amostra deve ser imerso rapidamente no fixador;
– O volume de fixador deve ser no mínimo dez vezes maior que o
volume da peça coletada.
●
Objetivos:
●
Inibir ou parar a autólise tecidual;
●
Coagular ou endurecer o tecido;
● Proteger, através do endurecimento, os tecidos moles no manuseio e
procedimentos técnicos posteriores;
●
Preservar os vários componentes celulares e tissulares;
●
Melhorar a diferenciação óptica dos tecidos;
●
Facilitar a subsequente coloração.
Preparação
de lâminas
Coloração
Histo- e
citoquímica
Imuno
Hibridação
Microscopia
de luz
Fluorescência
Contraste
de fase
Eletrônica
Métodos de estudo em histologia
Fixação
Preparação
de lâminas
Coloração
Histo- e
citoquímica
Imuno
Hibridação
Microscopia
de luz
Fluorescência
Contraste
de fase
Eletrônica
FÍSICA QUÍMICA
CALOR OU FRIO FIXADORES QUÍMICOS
Função de insolubilizar as
proteínas dos tecidos
Métodos de estudo em histologia
Fixadores químicos
Fixador Efeito Exemplos
Reticuladores (aldeídos) Formação de ligações
covalentes ancora
proteinas de
citoesqueleto
Formaldeído (formalina
tamponada)
Glutaraldeído
Precipitadores (álcoois) Reduzem a solubilidade
das proteínas e
atrapalham interações
hidrofóbicas
Etanol
Metanol
Acetona
Oxidantes Permitem a formação de
ligações cruzadas em
cadeias laterais
Tetróxido de ósmio
Dicromato de potássio
Ácido crômico
Mercuriais ? B-5
Fixador de Zenker
Picratos Reagem com histonas e
proteínas alcalinas,
formando precipitado
Ácido pícrico
Preparação
de lâminas
Coloração
Histo- e
citoquímica
Imuno
Hibridação
Microscopia
de luz
Fluorescência
Contraste
de fase
Eletrônica
Métodos de estudo em histologia
Fixadores
Alvo Fixador ideal Fixador a evitar
Proteínas Formalina tamponada,
PFA
OsO4
Enzimas Secções congeladas Fixadores químicos
Lipídeos Secções congeladas,
OsO4
/glutaraldeído
Fixadores alcoólicos,
formalina tamponada
Ácidos nucléicos Fixadores alcoólicos Fixadores aldeídos
Mucopolissacarídeos Secções congeladas Fixadores químicos
Aminas biogênicas Solução de Bouin,
formalina tamponada
Glicogênio Fixadores alcoólicos OsO4
Preparação
de lâminas
Coloração
Histo- e
citoquímica
Imuno
Hibridação
Microscopia
de luz
Fluorescência
Contraste
de fase
Eletrônica
Métodos de estudo em histologia
Etapas para inclusão
● Processamento:
– Impregnação do tecido: sustentar células e outras estruturas.
● Desidratação:
– Remoção da água para que o material de inclusão seja
perfundido pelo tecido;
– Álcoois etílico, butílico, metílico e isopropílico, a acetona, o
éter, o clorofórmio e o óxido propileno: 70% - 80% - 90% -
100%.
● Diafanização: clarificação
– Xilol, clorofórmio: permite a retirada de água e álcool –
permite que a parafina impregne o tecido.
Preparação
de lâminas
Coloração
Histo- e
citoquímica
Imuno
Hibridação
Microscopia
de luz
Fluorescência
Contraste
de fase
Eletrônica
Métodos de estudo em histologia
Inclusão
● Retirada total do diafanizador e penetração do
meio de inclusão nos vazios deixados pela água
e gordura.
● Preparação para o corte:
– Endurece o tecido – consistência adequada para o
corte.
● Meios de inclusão: OCT, TBS (congelamento),
parafina, celoidina, epóxi
Preparação
de lâminas
Coloração
Histo- e
citoquímica
Imuno
Hibridação
Microscopia
de luz
Fluorescência
Contraste
de fase
Eletrônica
Métodos de estudo em histologia
Microtomia
●
Micrótomo para parafina: Secções
5-20 µm
●
Vibrátomo: Material sem inclusão e
a fresco, >30 µm
●
Micrótomo de congelamento:
Material congelado, >30 µm
●
Criostato: Material congelado, 10-
40 µm
●
Ultramicrótomo: Material incluído
em resina, > 1 nm
Preparação
de lâminas
Coloração
Histo- e
citoquímica
Imuno
Hibridação
Microscopia
de luz
Fluorescência
Contraste
de fase
Eletrônica
Métodos de estudo em histologia
Micrótomo para parafina
Preparação
de lâminas
Coloração
Histo- e
citoquímica
Imuno
Hibridação
Microscopia
de luz
Fluorescência
Contraste
de fase
Eletrônica
http://webs.uvigo.es/mmegias/6-tecnicas/
Métodos de estudo em histologia
Vibrátomo
Preparação
de lâminas
Coloração
Histo- e
citoquímica
Imuno
Hibridação
Microscopia
de luz
Fluorescência
Contraste
de fase
Eletrônica
http://webs.uvigo.es/mmegias/6-tecnicas/
Métodos de estudo em histologia
Cortes a frio
Preparação
de lâminas
Coloração
Histo- e
citoquímica
Imuno
Hibridação
Microscopia
de luz
Fluorescência
Contraste
de fase
Eletrônica
http://webs.uvigo.es/mmegias/6-tecnicas/
Métodos de estudo em histologia
Coloração para microscopia de luz
●
Técnica tintorial utilizada para facilitar o estudo dos tecidos
sobre a microscopia;
● Os tecidos não corados têm pouca diferenciação óptica;
● A maioria dos corantes se comporta como compostos ácidos
ou básicos:
– Basófilos: se coram bem com corantes básicos;
– Acidófilos: se coram bem com corantes ácidos
Preparação
de lâminas
Coloração
Histo- e
citoquímica
Imuno
Hibridação
Microscopia
de luz
Fluorescência
Contraste
de fase
Eletrônica
Métodos de estudo em histologia
Preparação
de lâminas
Coloração
Histo- e
citoquímica
Imuno
Hibridação
Microscopia
de luz
Fluorescência
Contraste
de fase
Eletrônica
http://webs.uvigo.es/mmegias/6-tecnicas/
Métodos de estudo em histologia
Coloração para microscopia de luz
Básicos:
Azul de toluidina
Azul de metileno
Hematoxilina
Ácidos:
Orange G
Fucsina ácida
Eosina
Ácidos nucléicos
Glicosaminoglicanas
Glicoproteínas ácidas
Mitocôndrias
Grânulos de secreção
Proteínas citoplasmáticas
Colágeno
Preparação
de lâminas
Coloração
Histo- e
citoquímica
Imuno
Hibridação
Microscopia
de luz
Fluorescência
Contraste
de fase
Eletrônica
Métodos de estudo em histologia
Principais corantes biológicos –
Uso geral
Preparação
de lâminas
Coloração
Histo- e
citoquímica
Imuno
Hibridação
Microscopia
de luz
Fluorescência
Contraste
de fase
Eletrônica
●
Hematoxilina
– Uso geral quando pareada com
eosina
– Núcleo: Laranja, ciano ou verde
– Citoplasma: Azul, marrom ou preto
– Ácidos nucléicos: azul; RE: azul
●
Eosina
– Uso geral quando pareada com
hematoxilina
– Citoplasma: Rosa
– Hemácias: Laranja ou rosa
– Fibras colágenas, reticulares ou
elásticas: Rosa
●
Azul de toluidina
– Núcleo: Azul
– Citoplasma: Azul
– Hemácias: Azul
– Fibras colágeas: Azul
– Grânulos de mastócitos:
Púrpura
Métodos de estudo em histologia
Preparação
de lâminas
Coloração
Histo- e
citoquímica
Imuno
Hibridação
Microscopia
de luz
Fluorescência
Contraste
de fase
Eletrônica
Principais corantes biológicos -
Tricrômios
●
Tricrômio de Masson
– Tecido conectivo
– Núcleo: Preto
– Citoplasma: Vermelho ou rosa
– Hemácias: Vermelho
– Fibras colágenas: Azul ou verde
– Cartilagem: Azul/verde; Músculo: Vermelho
●
Tricrômio de Mallory
– Tecido conectivo
– Núcleo: Vermelho
– Citoplasma: Vermelho claro
– Hemácias: Laranja
– Fibras colágenas: Azul escuro
– Queratina: laranja; cartilagem: azul: matriz
óssea: azul escuro
● AZAN de Heidenhain
– Distinção de células e componente
extracelulares
– Núcleo: Azul ou preto
– Citoplasma: Rosa
– Hemácias: Vermelho
– Fibras colágenas: Azul
– Fibras musculares: Vermelho; cartilagem:
azul; matriz óssea: azul
Métodos de estudo em histologia
Métodos de estudo em histologia
Métodos de estudo em histologia
Contraste de ultrafinos
Preparação
de lâminas
Coloração
Histo- e
citoquímica
Imuno
Hibridação
Microscopia
de luz
Fluorescência
Contraste
de fase
Eletrônica
http://webs.uvigo.es/mmegias/6-tecnicas/
Métodos de estudo em histologia
Montagem
● Depois de corados – montagem:
– Soluções crescentes de álcool – remoção da água. A
desidratação aumenta a sobrevida do preparado;
● Banho em xilol ou bálsamo do Canadá;
● Coloca-se uma gota do meio de montagem o corte;
● Revestimento com lâmínula;
● Vedação.
Preparação
de lâminas
Coloração
Histo- e
citoquímica
Imuno
Hibridação
Microscopia
de luz
Fluorescência
Contraste
de fase
Eletrônica
Métodos de estudo em histologia
Histo- e citoquímica
●
Métodos usados para localizar estruturas celulares
ou moléculas usando atividade enzimática
●
Procedimentos geralmente realizados sobre tecido
não-fixado ou com pouca fixação
●
Secção em criostato ou vibrátomo para evitar
efeito do calor ou da parafina sobre atv. enzimática
Preparação
de lâminas
Coloração
Histo- e
citoquímica
Imuno
Hibridação
Microscopia
de luz
Fluorescência
Contraste
de fase
Eletrônica
Métodos de estudo em histologia
Outros usos
● Fosfatases: Quebram a ligação entre PO4
- e um álcool
em moléculas fosforiladas
●
Desidrogenases: Transferem H de um substrato a
outro. Utilizado para identificar mitocôndrias.
●
Peroxidases: Promovem a oxidação de 3,3'-
diaminobenzidina (DAB). Usado principalmente para
marcar outras proteínas em IHQ.
Preparação
de lâminas
Coloração
Histo- e
citoquímica
Imuno
Hibridação
Microscopia
de luz
Fluorescência
Contraste
de fase
Eletrônica
Métodos de estudo em histologia
IHC e IHQ
●
Exploram interação anticorpo-antígeno para
localizar proteínas específicas que não tenham
necessariamente atividade enzimática
●
A reação pode ser revelada usando anticorpos
conjugados com enzimas (p. ex., AP e HRP) com
fluoróforos.
Preparação
de lâminas
Coloração
Histo- e
citoquímica
Imuno
Hibridação
Microscopia
de luz
Fluorescência
Contraste
de fase
Eletrônica
Métodos de estudo em histologia
Hibridização in situ
Preparação
de lâminas
Coloração
Histo- e
citoquímica
Imuno
Hibridação
Microscopia
de luz
Fluorescência
Contraste
de fase
Eletrônica
●
Usada para determinar a presença de uma
sequência de DNA ou mRNA
●
Útil principalmente na ausência de anticorpos
específicos
●
Ferramenta essencial para diagnósticos
patológicos, principalmente câncer
Métodos de estudo em histologia
Hibridação in situ
Preparação
de lâminas
Coloração
Histo- e
citoquímica
Imuno
Hibridação
Microscopia
de luz
Fluorescência
Contraste
de fase
Eletrônica
Métodos de estudo em histologia
Preparação
de lâminas
Coloração
Histo- e
citoquímica
Imuno
Hibridação
Microscopia
de luz
Fluorescência
Contraste
de fase
Eletrônica
Métodos de estudo em histologia
Preparação
de lâminas
Coloração
Histo- e
citoquímica
Imuno
Hibridação
Microscopia
de luz
Fluorescência
Contraste
de fase
Eletrônica
Métodos de estudo em histologia
Preparação
de lâminas
Coloração
Histo- e
citoquímica
Imuno
Hibridação
Microscopia
de luz
Fluorescência
Contraste
de fase
Eletrônica
Métodos de estudo em histologia
Microscopia de fluorescência
Preparação
de lâminas
Coloração
Histo- e
citoquímica
Imuno
Hibridação
Microscopia
de luz
Fluorescência
Contraste
de fase
Eletrônica
http://zeiss-campus.magnet.fsu.edu/articles/basics/fluorescence.html
Métodos de estudo em histologia
Preparação
de lâminas
Coloração
Histo- e
citoquímica
Imuno
Hibridação
Microscopia
de luz
Fluorescência
Contraste
de fase
Eletrônica
Métodos de estudo em histologia
Compostos fluorescentes
●
DAPI e Hoechst: Azul; liga-se ao DNA
●
Faloidina: Liga-se a filamentos de actina
●
Fluoresceína, FITC, Texas Red: Fluoróforos, normalmente
conjugados a anticorpos
●
Proteínas fluorescentes (GFP,dsRed)
●
Moléculas autofluorescentes: NAD(P)H, colágeno, triptofano,
lipofuscina
Preparação
de lâminas
Coloração
Histo- e
citoquímica
Imuno
Hibridação
Microscopia
de luz
Fluorescência
Contraste
de fase
Eletrônica
Métodos de estudo em histologia
Compostos fluorescentes
Preparação
de lâminas
Coloração
Histo- e
citoquímica
Imuno
Hibridação
Microscopia
de luz
Fluorescência
Contraste
de fase
Eletrônica
"FluorescentCells" by http://rsb.info.nih.gov/ij/images/. Licensed under Public Domain via Wikimedia
Commons -
https://commons.wikimedia.org/wiki/File:FluorescentCells.jpg#mediaviewer/File:FluorescentCells.jpg
Métodos de estudo em histologia
Microscopia de contraste de fase
● Explora pequenas alterações no comprimento
do trajeto óptico para revelar materiais de
índices refrativos diferentes
●
Utilizada para observar células em cultura,
microorganismos, e fatias finas de tecido
Preparação
de lâminas
Coloração
Histo- e
citoquímica
Imuno
Hibridação
Microscopia
de luz
Fluorescência
Contraste
de fase
Eletrônica
Métodos de estudo em histologia
Microscopia de contraste de fase
Preparação
de lâminas
Coloração
Histo- e
citoquímica
Imuno
Hibridação
Microscopia
de luz
Fluorescência
Contraste
de fase
Eletrônica
Métodos de estudo em histologia
Microscopia eletrônica
Preparação
de lâminas
Coloração
Histo- e
citoquímica
Imuno
Hibridação
Microscopia
de luz
Fluorescência
Contraste
de fase
Eletrônica
Métodos de estudo em histologia
Preparação
de lâminas
Coloração
Histo- e
citoquímica
Imuno
Hibridação
Microscopia
de luz
Fluorescência
Contraste
de fase
Eletrônica

Métodos de estudo em histologia

  • 1.
    Métodos de estudoem histologia Métodos de estudo em histologia Prof. Dr. Caio Maximino Marabá/PA-2015
  • 2.
    Métodos de estudoem histologia Preparação de lâminas histológicas Preparação de lâminas Coloração Histo- e citoquímica Imuno Hibridação Microscopia de luz Fluorescência Contraste de fase Eletrônica ● O tecido pode ser preparado pode ser in vivo ou até mesmo morto; ● Mais comum: preparado histológico permanente (lâminas histológicas). COLETA FIXAÇÃO PROCESSAMENTO DESIDRATAÇÃO DIAFANIZAÇÃO INCLUSÃO MICROTOMIA COLAGEM COLORAÇÃO MONTAGEM
  • 3.
    Métodos de estudoem histologia Coleta da amostra Obtido principalmente por meio de: 1) Biópsia cirúrgica – através de uma incisão cirúrgica no órgão ou tecido; 2) Biópsia endoscópica – usada para órgãos ocos (estômago, intestino, etc.) através de endoscopia; 3) Biópsia por agulha – a amostra (cilindro) é obtida pela punção do órgão (fígado, pulmão), sem precisar abrir a cavidade natural; Preparação de lâminas Coloração Histo- e citoquímica Imuno Hibridação Microscopia de luz Fluorescência Contraste de fase Eletrônica
  • 4.
    Métodos de estudoem histologia Coleta da amostra 4)Cirurgias amplas – a amostra corresponde a peças grandes (ex. tumores) ou órgãos (ex. mama, útero); 5)Necrópsia – procedimento utilizado para estudo anatômico de todos os órgãos ou tecidos, no animal morto. NOTA: Amostras de tamanho grande devem ser clivadas, reduzindo a sua espessura – facilita a penetração do FIXADOR. Tamanho final em torno de 4mm. Preparação de lâminas Coloração Histo- e citoquímica Imuno Hibridação Microscopia de luz Fluorescência Contraste de fase Eletrônica
  • 5.
    Métodos de estudoem histologia Fixação ● Base para uma boa preparação histológica; ● Deve ser completa e adequada – A amostra deve ser imerso rapidamente no fixador; – O volume de fixador deve ser no mínimo dez vezes maior que o volume da peça coletada. ● Objetivos: ● Inibir ou parar a autólise tecidual; ● Coagular ou endurecer o tecido; ● Proteger, através do endurecimento, os tecidos moles no manuseio e procedimentos técnicos posteriores; ● Preservar os vários componentes celulares e tissulares; ● Melhorar a diferenciação óptica dos tecidos; ● Facilitar a subsequente coloração. Preparação de lâminas Coloração Histo- e citoquímica Imuno Hibridação Microscopia de luz Fluorescência Contraste de fase Eletrônica
  • 6.
    Métodos de estudoem histologia Fixação Preparação de lâminas Coloração Histo- e citoquímica Imuno Hibridação Microscopia de luz Fluorescência Contraste de fase Eletrônica FÍSICA QUÍMICA CALOR OU FRIO FIXADORES QUÍMICOS Função de insolubilizar as proteínas dos tecidos
  • 7.
    Métodos de estudoem histologia Fixadores químicos Fixador Efeito Exemplos Reticuladores (aldeídos) Formação de ligações covalentes ancora proteinas de citoesqueleto Formaldeído (formalina tamponada) Glutaraldeído Precipitadores (álcoois) Reduzem a solubilidade das proteínas e atrapalham interações hidrofóbicas Etanol Metanol Acetona Oxidantes Permitem a formação de ligações cruzadas em cadeias laterais Tetróxido de ósmio Dicromato de potássio Ácido crômico Mercuriais ? B-5 Fixador de Zenker Picratos Reagem com histonas e proteínas alcalinas, formando precipitado Ácido pícrico Preparação de lâminas Coloração Histo- e citoquímica Imuno Hibridação Microscopia de luz Fluorescência Contraste de fase Eletrônica
  • 8.
    Métodos de estudoem histologia Fixadores Alvo Fixador ideal Fixador a evitar Proteínas Formalina tamponada, PFA OsO4 Enzimas Secções congeladas Fixadores químicos Lipídeos Secções congeladas, OsO4 /glutaraldeído Fixadores alcoólicos, formalina tamponada Ácidos nucléicos Fixadores alcoólicos Fixadores aldeídos Mucopolissacarídeos Secções congeladas Fixadores químicos Aminas biogênicas Solução de Bouin, formalina tamponada Glicogênio Fixadores alcoólicos OsO4 Preparação de lâminas Coloração Histo- e citoquímica Imuno Hibridação Microscopia de luz Fluorescência Contraste de fase Eletrônica
  • 9.
    Métodos de estudoem histologia Etapas para inclusão ● Processamento: – Impregnação do tecido: sustentar células e outras estruturas. ● Desidratação: – Remoção da água para que o material de inclusão seja perfundido pelo tecido; – Álcoois etílico, butílico, metílico e isopropílico, a acetona, o éter, o clorofórmio e o óxido propileno: 70% - 80% - 90% - 100%. ● Diafanização: clarificação – Xilol, clorofórmio: permite a retirada de água e álcool – permite que a parafina impregne o tecido. Preparação de lâminas Coloração Histo- e citoquímica Imuno Hibridação Microscopia de luz Fluorescência Contraste de fase Eletrônica
  • 10.
    Métodos de estudoem histologia Inclusão ● Retirada total do diafanizador e penetração do meio de inclusão nos vazios deixados pela água e gordura. ● Preparação para o corte: – Endurece o tecido – consistência adequada para o corte. ● Meios de inclusão: OCT, TBS (congelamento), parafina, celoidina, epóxi Preparação de lâminas Coloração Histo- e citoquímica Imuno Hibridação Microscopia de luz Fluorescência Contraste de fase Eletrônica
  • 11.
    Métodos de estudoem histologia Microtomia ● Micrótomo para parafina: Secções 5-20 µm ● Vibrátomo: Material sem inclusão e a fresco, >30 µm ● Micrótomo de congelamento: Material congelado, >30 µm ● Criostato: Material congelado, 10- 40 µm ● Ultramicrótomo: Material incluído em resina, > 1 nm Preparação de lâminas Coloração Histo- e citoquímica Imuno Hibridação Microscopia de luz Fluorescência Contraste de fase Eletrônica
  • 12.
    Métodos de estudoem histologia Micrótomo para parafina Preparação de lâminas Coloração Histo- e citoquímica Imuno Hibridação Microscopia de luz Fluorescência Contraste de fase Eletrônica http://webs.uvigo.es/mmegias/6-tecnicas/
  • 13.
    Métodos de estudoem histologia Vibrátomo Preparação de lâminas Coloração Histo- e citoquímica Imuno Hibridação Microscopia de luz Fluorescência Contraste de fase Eletrônica http://webs.uvigo.es/mmegias/6-tecnicas/
  • 14.
    Métodos de estudoem histologia Cortes a frio Preparação de lâminas Coloração Histo- e citoquímica Imuno Hibridação Microscopia de luz Fluorescência Contraste de fase Eletrônica http://webs.uvigo.es/mmegias/6-tecnicas/
  • 15.
    Métodos de estudoem histologia Coloração para microscopia de luz ● Técnica tintorial utilizada para facilitar o estudo dos tecidos sobre a microscopia; ● Os tecidos não corados têm pouca diferenciação óptica; ● A maioria dos corantes se comporta como compostos ácidos ou básicos: – Basófilos: se coram bem com corantes básicos; – Acidófilos: se coram bem com corantes ácidos Preparação de lâminas Coloração Histo- e citoquímica Imuno Hibridação Microscopia de luz Fluorescência Contraste de fase Eletrônica
  • 16.
    Métodos de estudoem histologia Preparação de lâminas Coloração Histo- e citoquímica Imuno Hibridação Microscopia de luz Fluorescência Contraste de fase Eletrônica http://webs.uvigo.es/mmegias/6-tecnicas/
  • 17.
    Métodos de estudoem histologia Coloração para microscopia de luz Básicos: Azul de toluidina Azul de metileno Hematoxilina Ácidos: Orange G Fucsina ácida Eosina Ácidos nucléicos Glicosaminoglicanas Glicoproteínas ácidas Mitocôndrias Grânulos de secreção Proteínas citoplasmáticas Colágeno Preparação de lâminas Coloração Histo- e citoquímica Imuno Hibridação Microscopia de luz Fluorescência Contraste de fase Eletrônica
  • 18.
    Métodos de estudoem histologia Principais corantes biológicos – Uso geral Preparação de lâminas Coloração Histo- e citoquímica Imuno Hibridação Microscopia de luz Fluorescência Contraste de fase Eletrônica ● Hematoxilina – Uso geral quando pareada com eosina – Núcleo: Laranja, ciano ou verde – Citoplasma: Azul, marrom ou preto – Ácidos nucléicos: azul; RE: azul ● Eosina – Uso geral quando pareada com hematoxilina – Citoplasma: Rosa – Hemácias: Laranja ou rosa – Fibras colágenas, reticulares ou elásticas: Rosa ● Azul de toluidina – Núcleo: Azul – Citoplasma: Azul – Hemácias: Azul – Fibras colágeas: Azul – Grânulos de mastócitos: Púrpura
  • 19.
    Métodos de estudoem histologia Preparação de lâminas Coloração Histo- e citoquímica Imuno Hibridação Microscopia de luz Fluorescência Contraste de fase Eletrônica Principais corantes biológicos - Tricrômios ● Tricrômio de Masson – Tecido conectivo – Núcleo: Preto – Citoplasma: Vermelho ou rosa – Hemácias: Vermelho – Fibras colágenas: Azul ou verde – Cartilagem: Azul/verde; Músculo: Vermelho ● Tricrômio de Mallory – Tecido conectivo – Núcleo: Vermelho – Citoplasma: Vermelho claro – Hemácias: Laranja – Fibras colágenas: Azul escuro – Queratina: laranja; cartilagem: azul: matriz óssea: azul escuro ● AZAN de Heidenhain – Distinção de células e componente extracelulares – Núcleo: Azul ou preto – Citoplasma: Rosa – Hemácias: Vermelho – Fibras colágenas: Azul – Fibras musculares: Vermelho; cartilagem: azul; matriz óssea: azul
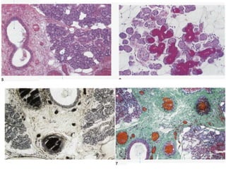
  • 20.
    Métodos de estudoem histologia
  • 21.
    Métodos de estudoem histologia
  • 22.
    Métodos de estudoem histologia Contraste de ultrafinos Preparação de lâminas Coloração Histo- e citoquímica Imuno Hibridação Microscopia de luz Fluorescência Contraste de fase Eletrônica http://webs.uvigo.es/mmegias/6-tecnicas/
  • 23.
    Métodos de estudoem histologia Montagem ● Depois de corados – montagem: – Soluções crescentes de álcool – remoção da água. A desidratação aumenta a sobrevida do preparado; ● Banho em xilol ou bálsamo do Canadá; ● Coloca-se uma gota do meio de montagem o corte; ● Revestimento com lâmínula; ● Vedação. Preparação de lâminas Coloração Histo- e citoquímica Imuno Hibridação Microscopia de luz Fluorescência Contraste de fase Eletrônica
  • 24.
    Métodos de estudoem histologia Histo- e citoquímica ● Métodos usados para localizar estruturas celulares ou moléculas usando atividade enzimática ● Procedimentos geralmente realizados sobre tecido não-fixado ou com pouca fixação ● Secção em criostato ou vibrátomo para evitar efeito do calor ou da parafina sobre atv. enzimática Preparação de lâminas Coloração Histo- e citoquímica Imuno Hibridação Microscopia de luz Fluorescência Contraste de fase Eletrônica
  • 25.
    Métodos de estudoem histologia Outros usos ● Fosfatases: Quebram a ligação entre PO4 - e um álcool em moléculas fosforiladas ● Desidrogenases: Transferem H de um substrato a outro. Utilizado para identificar mitocôndrias. ● Peroxidases: Promovem a oxidação de 3,3'- diaminobenzidina (DAB). Usado principalmente para marcar outras proteínas em IHQ. Preparação de lâminas Coloração Histo- e citoquímica Imuno Hibridação Microscopia de luz Fluorescência Contraste de fase Eletrônica
  • 26.
    Métodos de estudoem histologia IHC e IHQ ● Exploram interação anticorpo-antígeno para localizar proteínas específicas que não tenham necessariamente atividade enzimática ● A reação pode ser revelada usando anticorpos conjugados com enzimas (p. ex., AP e HRP) com fluoróforos. Preparação de lâminas Coloração Histo- e citoquímica Imuno Hibridação Microscopia de luz Fluorescência Contraste de fase Eletrônica
  • 27.
    Métodos de estudoem histologia Hibridização in situ Preparação de lâminas Coloração Histo- e citoquímica Imuno Hibridação Microscopia de luz Fluorescência Contraste de fase Eletrônica ● Usada para determinar a presença de uma sequência de DNA ou mRNA ● Útil principalmente na ausência de anticorpos específicos ● Ferramenta essencial para diagnósticos patológicos, principalmente câncer
  • 28.
    Métodos de estudoem histologia Hibridação in situ Preparação de lâminas Coloração Histo- e citoquímica Imuno Hibridação Microscopia de luz Fluorescência Contraste de fase Eletrônica
  • 29.
    Métodos de estudoem histologia Preparação de lâminas Coloração Histo- e citoquímica Imuno Hibridação Microscopia de luz Fluorescência Contraste de fase Eletrônica
  • 30.
    Métodos de estudoem histologia Preparação de lâminas Coloração Histo- e citoquímica Imuno Hibridação Microscopia de luz Fluorescência Contraste de fase Eletrônica
  • 31.
    Métodos de estudoem histologia Preparação de lâminas Coloração Histo- e citoquímica Imuno Hibridação Microscopia de luz Fluorescência Contraste de fase Eletrônica
  • 32.
    Métodos de estudoem histologia Microscopia de fluorescência Preparação de lâminas Coloração Histo- e citoquímica Imuno Hibridação Microscopia de luz Fluorescência Contraste de fase Eletrônica http://zeiss-campus.magnet.fsu.edu/articles/basics/fluorescence.html
  • 33.
    Métodos de estudoem histologia Preparação de lâminas Coloração Histo- e citoquímica Imuno Hibridação Microscopia de luz Fluorescência Contraste de fase Eletrônica
  • 34.
    Métodos de estudoem histologia Compostos fluorescentes ● DAPI e Hoechst: Azul; liga-se ao DNA ● Faloidina: Liga-se a filamentos de actina ● Fluoresceína, FITC, Texas Red: Fluoróforos, normalmente conjugados a anticorpos ● Proteínas fluorescentes (GFP,dsRed) ● Moléculas autofluorescentes: NAD(P)H, colágeno, triptofano, lipofuscina Preparação de lâminas Coloração Histo- e citoquímica Imuno Hibridação Microscopia de luz Fluorescência Contraste de fase Eletrônica
  • 35.
    Métodos de estudoem histologia Compostos fluorescentes Preparação de lâminas Coloração Histo- e citoquímica Imuno Hibridação Microscopia de luz Fluorescência Contraste de fase Eletrônica "FluorescentCells" by http://rsb.info.nih.gov/ij/images/. Licensed under Public Domain via Wikimedia Commons - https://commons.wikimedia.org/wiki/File:FluorescentCells.jpg#mediaviewer/File:FluorescentCells.jpg
  • 36.
    Métodos de estudoem histologia Microscopia de contraste de fase ● Explora pequenas alterações no comprimento do trajeto óptico para revelar materiais de índices refrativos diferentes ● Utilizada para observar células em cultura, microorganismos, e fatias finas de tecido Preparação de lâminas Coloração Histo- e citoquímica Imuno Hibridação Microscopia de luz Fluorescência Contraste de fase Eletrônica
  • 37.
    Métodos de estudoem histologia Microscopia de contraste de fase Preparação de lâminas Coloração Histo- e citoquímica Imuno Hibridação Microscopia de luz Fluorescência Contraste de fase Eletrônica
  • 38.
    Métodos de estudoem histologia Microscopia eletrônica Preparação de lâminas Coloração Histo- e citoquímica Imuno Hibridação Microscopia de luz Fluorescência Contraste de fase Eletrônica
  • 39.
    Métodos de estudoem histologia Preparação de lâminas Coloração Histo- e citoquímica Imuno Hibridação Microscopia de luz Fluorescência Contraste de fase Eletrônica