Métodos de estudos das
células


Técnica histológica


Tipos de microscopias




Isabella M. Assis
Esfregaço




            Normal   P. vivax
Esmagamento
Espalhamento



               Exame de Papanicolau
Técnica histológica


-Coleta do material biológico


- Fixação


- Desidratação (bateria alcóolica crescente)


- Clarificação/Diafanização (xilol I, II e III)


- Impregnação por parafina


- Inclusão em parafina
Microtomia (obtenção dos cortes histológicos)
- micrótomo




           antigo                  atual




                                  - Banho Maria (distenção do
                                  cortes histológicos)
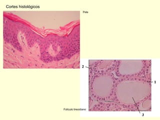
Cortes histológicos
                                       Pele




                      Folículo tireoidiano
Tipos de microscopias




                        Robert Hooke, 1665)
Microscópio de luz
Microscopia de contraste de fase
Imagens com contraste de fase




         Parasita Naegleria sp.   Neurônio




                                             Fribroblasto
Células mesenquimais de
medula óssea de coelhos
Microscopia de polarização
Microscopia de polarização


                             Cristal líquido




                             Cristal de aminoácido
Microscopia de fluorescência




                                                                   NP: nucleoproteína
                                                                 (em verde) em epitélio
                                                                   infectado com vírus




                               Anel de actina e miosina (em verde) que se
                               forma durante a fase inicial do processo de
                               cicatrização de feridas (Nature Cell biology)
Microscopia de fluorescência




                Vaso sanguíneo (células do pericito espressando troponina (em verde)
Microscopia Eletrônica de Transmissão
Microscopia Eletrônica de Transmissão




               Mitocôndria              Complexo de Golgi
Microscopia Eletrônica de Transmissão

                                                  Células vegetais de cana de açúcar
                                                              (CT: vírus)




              Detalhe do interior de um tubo do
               sistema respiratório embrionário
                 de Drosophila melanogaster
Microscopia Eletrônica de Varredura
Microscopia Eletrônica de Varredura




                                      Pólen
Microscopia Eletrônica de Varredura




          Fúsulas de aranha           Ostrácoda
Microscopia Eletrônica de Varredura




                                      Células do sangue
Microscopia Eletrônica de Varredura




                                      Pericitos
Relaxe!
 Fim!

Métodos de estudos das células