Tecido epitelial
Tecido epitelial
Prof. Dr. Caio Maximino
Marabá/PA-2015
Tecido epitelial
Tecidos histológicos
- Epitelial
- Conjuntivo
- Muscular
- Nervoso
Fundamentais
- Cartilaginoso
- Ósseo
- Sangue
- Linfático
- Adiposo
Especializados
Especializações
de superfície
Definição e
função do
tecido
epitelial
Tecidos
histológicos
Epitélio de
revestimento
Epitélio
glandular
Tecido epitelial
Tecidos fundamentais
Welsch (1999)
Especializações
de superfície
Definição e
função do
tecido
epitelial
Tecidos
histológicos
Epitélio de
revestimento
Epitélio
glandular
Tecido epitelial
Estrutura geral dos órgãos
● Parênquima: células responsáveis pela função
do órgão
●
Estroma: tecido de sustentação (fibroblastos,
pericitosEspecializações
de superfície
Definição e
função do
tecido
epitelial
Tecidos
histológicos
Epitélio de
revestimento
Epitélio
glandular
Tecido epitelial
Tecido epitelial: Definição
● Células justapostas
FUNÇÕES BÁSICAS: Revestimento (t.e. de
revestimento), secreção (t.e. glandular)
Especializações
de superfície
Definição e
função do
tecido
epitelial
Tecidos
histológicos
Epitélio de
revestimento
Epitélio
glandular
Tecido epitelial
Tecido epitelial: Definição
●
Tecido que cobre a superfície do corpo, reveste
cavidades ou canais e participa da formação de
glândulas.
● Constituição: células mais ou menos poliédricas
adjacentes – isto é, as membranas em contato
íntimo, sem que haja aparentemente qualquer tipo de
substância intersticial ou fundamental entre elas.
Especializações
de superfície
Definição e
função do
tecido
epitelial
Tecidos
histológicos
Epitélio de
revestimento
Epitélio
glandular
Tecido epitelial
Funções gerais
1) Transporte transcelular de moléculas.
2) Secreção de muco, hormônios, enzimas etc.
3) Absorção de material a partir de um lúmen.
4) Proteção dos tecidos subjacentes contra abrasão e outras
agressões.
5) Controle do movimento de materiais entre os
compartimentos do corpo através de permeabilidade
seletiva das junções intercelulares.
6) Detecção de sensações através de células epiteliais
modificadas (neuroepitélios): corpúsculos gustativos, retina,
células pilosas do ouvido etc.
Especializações
de superfície
Definição e
função do
tecido
epitelial
Tecidos
histológicos
Epitélio de
revestimento
Epitélio
glandular
Tecido epitelial
Relação estrutura-função:
Revestimento
Especializações
de superfície
Definição e
função do
tecido
epitelial
Tecidos
histológicos
Epitélio de
revestimento
Epitélio
glandular
Tecido epitelial
Relação estrutura-função:
Absorção de moléculas
Especializações
de superfície
Definição e
função do
tecido
epitelial
Tecidos
histológicos
Epitélio de
revestimento
Epitélio
glandular
Tecido epitelial
Relação estrutura-função:
Secreção de moléculas
Especializações
de superfície
Definição e
função do
tecido
epitelial
Tecidos
histológicos
Epitélio de
revestimento
Epitélio
glandular
Tecido epitelial
Organização do tecido epitelial
LÂMINA PRÓPRIA:
Camada de tecido conjuntivo
MEMBRANA BASAL
Material acelular produzido
pelo próprio tecido
Tecido epitelial propriamente dito
Especializações
de superfície
Definição e
função do
tecido
epitelial
Tecidos
histológicos
Epitélio de
revestimento
Epitélio
glandular
Tecido epitelial
Junções intercelulares
● Funções:
– Adesão célula-célula
– Vedação (impede o fluxo de materiais para o
espaço intercelular)
– Comunicação (canais de comunicação entre
células adjacentes)
Especializações
de superfície
Definição e
função do
tecido
epitelial
Tecidos
histológicos
Epitélio de
revestimento
Epitélio
glandular
Tecido epitelial
Zônula de oclusão
Vedação espaço intercelular
Zônula de adesão
União células adjacentes
(resistência a atrito)
Junções comunicantes (gap)
Comunicação células adjacentes
Desmossomos
União células adjacentes
Hemidesmossomos
Adesão célula à lâmina basal
C
O
M
P
L
E
X
O
U
N
I
T
I
V
O
Tecido epitelial
Especializações de superfície
livre: Microvilosidades
● Estruturas de membrana semelhantes a dedos
● Aumentam a superfície de absorção
Especializações
de superfície
Definição e
função do
tecido
epitelial
Tecidos
histológicos
Epitélio de
revestimento
Epitélio
glandular
Tecido epitelial
Especializações de superfície
livre: Estereocílios
Estereocílios
●
Microvilos longos e ramificados
●
Aumentam superfície de absorção e secreção
Especializações
de superfície
Definição e
função do
tecido
epitelial
Tecidos
histológicos
Epitélio de
revestimento
Epitélio
glandular
Tecido epitelial
Especializações de superfície
livre: Cílios e flagelos
● Prolongamentos longos dotados de motilidade
● Movimento ciliar permite que partículas sejam
impelidas em uma determinada direção ao
longo da superfície do epitélio
Azul toluidina 800x
ME 20000x
Especializações
de superfície
Definição e
função do
tecido
epitelial
Tecidos
histológicos
Epitélio de
revestimento
Epitélio
glandular
Tecido epitelial
Classificação dos tecidos epiteliais
●
Histologia
– Revestimento
– Glandular
●
Fisiologia
– Epitélio de troca
– Epitélio de proteção
– Epitélio de transporte
– Epitélio secretor
– Epitélio protetor
Especializações
de superfície
Definição e
função do
tecido
epitelial
Tecidos
histológicos
Epitélio de
revestimento
Epitélio
glandular
Tecido epitelial
Epitélio de revestimento
Especializações
de superfície
Definição e
função do
tecido
epitelial
Tecidos
histológicos
Epitélio de
revestimento
Epitélio
glandular
Tecido epitelial
Morfologia
● Organizado em camadas que cobrem a
superfície externa do corpo ou revestem as
cavidades do corpo
●
Classificados quanto ao número de camadas e
formato celular
Especializações
de superfície
Definição e
função do
tecido
epitelial
Tecidos
histológicos
Epitélio de
revestimento
Epitélio
glandular
Tecido epitelial
Classificação:
Quanto ao número de camadas
Simples EstratificadoPseudoestratificado
Especializações
de superfície
Definição e
função do
tecido
epitelial
Tecidos
histológicos
Epitélio de
revestimento
Epitélio
glandular
Tecido epitelial
Classificação:
Quanto à morfologia celular
Pavimentoso Cúbico Prismático
ou cilíndrico
Transição
Especializações
de superfície
Definição e
função do
tecido
epitelial
Tecidos
histológicos
Epitélio de
revestimento
Epitélio
glandular
Especializações
de superfície
Definição e
função do
tecido
epitelial
Tecidos
histológicos
Epitélio de
revestimento
Epitélio
glandular
Tecido epitelial
Classificação:
Quanto à presença de especializações
● Queratinizado
● Ciliado
● Borda estriada
● Células caliciformes
Especializações
de superfície
Definição e
função do
tecido
epitelial
Tecidos
histológicos
Epitélio de
revestimento
Epitélio
glandular
Tecido epitelial
Especializações
de superfície
Definição e
função do
tecido
epitelial
Tecidos
histológicos
Epitélio de
revestimento
Epitélio
glandular
Tecido epitelial
Tecido epitelial
pavimentoso simples
● Células pavimentosas (morfologia plana,
núcleos achatados)
● ENDOTÉLIO DE VASOS
Especializações
de superfície
Definição e
função do
tecido
epitelial
Tecidos
histológicos
Epitélio de
revestimento
Epitélio
glandular
Tecido epitelial
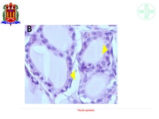
Tecido epitelial cúbico simples
● Células cúbicas (formato regular, altura
proporcional à largura, núcleo arredondado e
central)
● Células absortivas (p. ex., túbulos coletores)
Especializações
de superfície
Definição e
função do
tecido
epitelial
Tecidos
histológicos
Epitélio de
revestimento
Epitélio
glandular
Tecido epitelial
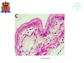
Tecido epitelial colunar simples
● Células prismáticas (altura maior do que
largura, núcleo alongado e polarizado)
● Células absortivas (p. ex., intestino)
Especializações
de superfície
Definição e
função do
tecido
epitelial
Tecidos
histológicos
Epitélio de
revestimento
Epitélio
glandular
Tecido epitelial
Tecido epitelial pseudoestratificado
colunar ciliado
●
Organização densa de células dá a impressão de mais
de uma camada
● Cílios NÃO OCORREM em tecido estratificado
Especializações
de superfície
Definição e
função do
tecido
epitelial
Tecidos
histológicos
Epitélio de
revestimento
Epitélio
glandular
Tecido epitelial
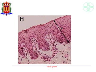
Tecido epitelial pavimentoso
estratificado não-queratinizado
●
Revestimento interno da cavidade oral, faringe, esôfago,
canal anal e vaginal (superfícies úmidas)
●
Grau de estratificação relacionado com o tipo de
desgaste físico ao qual a superfície se expõe
●
Transição morfológica e funcional
– Camada basal indiferenciada com núcleo redondo e central;
figuras mitóticas
– Camada intermediária: Células poliédricas com núcleo
arredondado e central
– Camada superficial: Células pavimentosas com núcleo
achatado e central
Especializações
de superfície
Definição e
função do
tecido
epitelial
Tecidos
histológicos
Epitélio de
revestimento
Epitélio
glandular
Tecido epitelial
Tecido epitelial pavimentoso
estratificado não-queratinizado
Especializações
de superfície
Definição e
função do
tecido
epitelial
Tecidos
histológicos
Epitélio de
revestimento
Epitélio
glandular
Tecido epitelial
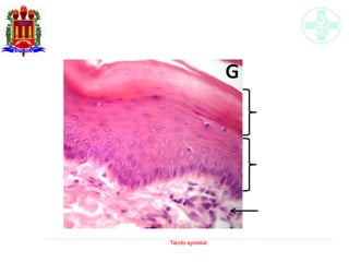
Tecido epitelial pavimentoso
estratificado queratinizado
Especializações
de superfície
Definição e
função do
tecido
epitelial
Tecidos
histológicos
Epitélio de
revestimento
Epitélio
glandular
●
Adaptado à abrasão e
dessecação constantes
●
Camada superficial
acelular de queratina
(evita a perda de água
e penetração de
materiais nocivos) e
restos de células
epiteliais degeneradas
Tecido epitelial
Tecido epitelial estratificado
de transição
● Reveste bexiga urinária, ureter e parte
superior da uretra
● Camada superficial: Células grandes emforma
de cúpula
– Um ou dois núcleos esféricos com nucléolo
proeminente
– Membrana plasmática com cerebrosídeos em
placas espessas que se invaginam no esvaziamento
e formam vesículas
Especializações
de superfície
Definição e
função do
tecido
epitelial
Tecidos
histológicos
Epitélio de
revestimento
Epitélio
glandular
Tecido epitelial
Tecido epitelial estratificado
de transição
Especializações
de superfície
Definição e
função do
tecido
epitelial
Tecidos
histológicos
Epitélio de
revestimento
Epitélio
glandular
Tecido epitelial
Tecido epitelial glandular
Especializações
de superfície
Definição e
função do
tecido
epitelial
Tecidos
histológicos
Epitélio de
revestimento
Epitélio
glandular
Tecido epitelial
Especializações
de superfície
Definição e
função do
tecido
epitelial
Tecidos
histológicos
Epitélio de
revestimento
Epitélio
glandular
Definição
●
Formado por um conjunto de células
especializadas cuja função é a produção e
liberação de SECREÇÃO.
●
As células secretoras de uma glândula são
parenquimosas, enquanto o tecido conjuntivo no
interior da glândula e que sustenta o parênquima
é estromal. O estroma sustenta também vasos
sangüíneos, vasos linfáticos e nervos. 
Tecido epitelial
Características
●
As moléculas a serem secretadas são armazenadas
em pequenas vesículas denominadas GRÂNULOS
DE SECREÇÃO.
●
Funções: Sintetizar, armazenar e secretar
(exemplos):
– Proteínas (pâncreas);
– Lipídios (adrenal e glândulas sebáceas);
– Complexos de carboidratos e proteínas (glândulas
salivares);
Especializações
de superfície
Definição e
função do
tecido
epitelial
Tecidos
histológicos
Epitélio de
revestimento
Epitélio
glandular
Tecido epitelial
Classificação
Especializações
de superfície
Definição e
função do
tecido
epitelial
Tecidos
histológicos
Epitélio de
revestimento
Epitélio
glandular
●
Quanto à celularidade
– Unicelular: a secreção é
elaborada apenas por
células especializadas
ocasionais. (Ex: células
caliciformes muco-
secretoras)
– Multicelular
(pluricelular): a secreção
é realizada por um
conjunto de células.
●
Quanto ao alvo da secreção
– Endócrinas: não possuem ductos e
sua secreção ganha a corrente
sanguínea, onde será distribuída para
todo o corpo.
– Exócrinas: possuem ducto excretor
que transporta a secreção produzida
para o meio externo, seja a superfície
do corpo ou para o interior (lúmen)
de um órgão cavitário.
– Mistos: Apresentam regiões
endócrinas e exócrinas ao mesmo
tempo.
Tecido epitelial
Celularidade
Especializações
de superfície
Definição e
função do
tecido
epitelial
Tecidos
histológicos
Epitélio de
revestimento
Epitélio
glandular
Tecido epitelial
Local da secreção
Glândula exócrina Glândula Endócrina
Especializações
de superfície
Definição e
função do
tecido
epitelial
Tecidos
histológicos
Epitélio de
revestimento
Epitélio
glandular
Tecido epitelial
Local da secreção
Especializações
de superfície
Definição e
função do
tecido
epitelial
Tecidos
histológicos
Epitélio de
revestimento
Epitélio
glandular
Tecido epitelial
Tipos de secreção
● Mucosa: Espessa e rica em glicoproteínas
(muco). P.ex., glândulas salivares
●
Serosa: Fluidas, aquosas e ricas em proteínas.
P.ex., glândulas secretoras do pancreas
● Mistas: Os dois tipos de secreção ocorrem
juntos. P.ex., glândulas salivares parótida
Especializações
de superfície
Definição e
função do
tecido
epitelial
Tecidos
histológicos
Epitélio de
revestimento
Epitélio
glandular
Tecido epitelial
Embriologia genérica
do epitélio glandular
Especializações
de superfície
Definição e
função do
tecido
epitelial
Tecidos
histológicos
Epitélio de
revestimento
Epitélio
glandular
Tecido epitelial
Exercícios de identificação
Tecido epitelial
Tecido epitelial
Tecido epitelial
Tecido epitelial
Tecido epitelial
Tecido epitelial
Tecido epitelial
Tecido epitelial

Tecido epitelial

  • 1.
    Tecido epitelial Tecido epitelial Prof.Dr. Caio Maximino Marabá/PA-2015
  • 2.
    Tecido epitelial Tecidos histológicos -Epitelial - Conjuntivo - Muscular - Nervoso Fundamentais - Cartilaginoso - Ósseo - Sangue - Linfático - Adiposo Especializados Especializações de superfície Definição e função do tecido epitelial Tecidos histológicos Epitélio de revestimento Epitélio glandular
  • 3.
    Tecido epitelial Tecidos fundamentais Welsch(1999) Especializações de superfície Definição e função do tecido epitelial Tecidos histológicos Epitélio de revestimento Epitélio glandular
  • 4.
    Tecido epitelial Estrutura geraldos órgãos ● Parênquima: células responsáveis pela função do órgão ● Estroma: tecido de sustentação (fibroblastos, pericitosEspecializações de superfície Definição e função do tecido epitelial Tecidos histológicos Epitélio de revestimento Epitélio glandular
  • 5.
    Tecido epitelial Tecido epitelial:Definição ● Células justapostas FUNÇÕES BÁSICAS: Revestimento (t.e. de revestimento), secreção (t.e. glandular) Especializações de superfície Definição e função do tecido epitelial Tecidos histológicos Epitélio de revestimento Epitélio glandular
  • 6.
    Tecido epitelial Tecido epitelial:Definição ● Tecido que cobre a superfície do corpo, reveste cavidades ou canais e participa da formação de glândulas. ● Constituição: células mais ou menos poliédricas adjacentes – isto é, as membranas em contato íntimo, sem que haja aparentemente qualquer tipo de substância intersticial ou fundamental entre elas. Especializações de superfície Definição e função do tecido epitelial Tecidos histológicos Epitélio de revestimento Epitélio glandular
  • 7.
    Tecido epitelial Funções gerais 1)Transporte transcelular de moléculas. 2) Secreção de muco, hormônios, enzimas etc. 3) Absorção de material a partir de um lúmen. 4) Proteção dos tecidos subjacentes contra abrasão e outras agressões. 5) Controle do movimento de materiais entre os compartimentos do corpo através de permeabilidade seletiva das junções intercelulares. 6) Detecção de sensações através de células epiteliais modificadas (neuroepitélios): corpúsculos gustativos, retina, células pilosas do ouvido etc. Especializações de superfície Definição e função do tecido epitelial Tecidos histológicos Epitélio de revestimento Epitélio glandular
  • 8.
    Tecido epitelial Relação estrutura-função: Revestimento Especializações desuperfície Definição e função do tecido epitelial Tecidos histológicos Epitélio de revestimento Epitélio glandular
  • 9.
    Tecido epitelial Relação estrutura-função: Absorçãode moléculas Especializações de superfície Definição e função do tecido epitelial Tecidos histológicos Epitélio de revestimento Epitélio glandular
  • 10.
    Tecido epitelial Relação estrutura-função: Secreçãode moléculas Especializações de superfície Definição e função do tecido epitelial Tecidos histológicos Epitélio de revestimento Epitélio glandular
  • 11.
    Tecido epitelial Organização dotecido epitelial LÂMINA PRÓPRIA: Camada de tecido conjuntivo MEMBRANA BASAL Material acelular produzido pelo próprio tecido Tecido epitelial propriamente dito Especializações de superfície Definição e função do tecido epitelial Tecidos histológicos Epitélio de revestimento Epitélio glandular
  • 12.
    Tecido epitelial Junções intercelulares ●Funções: – Adesão célula-célula – Vedação (impede o fluxo de materiais para o espaço intercelular) – Comunicação (canais de comunicação entre células adjacentes) Especializações de superfície Definição e função do tecido epitelial Tecidos histológicos Epitélio de revestimento Epitélio glandular
  • 13.
    Tecido epitelial Zônula deoclusão Vedação espaço intercelular Zônula de adesão União células adjacentes (resistência a atrito) Junções comunicantes (gap) Comunicação células adjacentes Desmossomos União células adjacentes Hemidesmossomos Adesão célula à lâmina basal C O M P L E X O U N I T I V O
  • 14.
    Tecido epitelial Especializações desuperfície livre: Microvilosidades ● Estruturas de membrana semelhantes a dedos ● Aumentam a superfície de absorção Especializações de superfície Definição e função do tecido epitelial Tecidos histológicos Epitélio de revestimento Epitélio glandular
  • 15.
    Tecido epitelial Especializações desuperfície livre: Estereocílios Estereocílios ● Microvilos longos e ramificados ● Aumentam superfície de absorção e secreção Especializações de superfície Definição e função do tecido epitelial Tecidos histológicos Epitélio de revestimento Epitélio glandular
  • 16.
    Tecido epitelial Especializações desuperfície livre: Cílios e flagelos ● Prolongamentos longos dotados de motilidade ● Movimento ciliar permite que partículas sejam impelidas em uma determinada direção ao longo da superfície do epitélio Azul toluidina 800x ME 20000x Especializações de superfície Definição e função do tecido epitelial Tecidos histológicos Epitélio de revestimento Epitélio glandular
  • 17.
    Tecido epitelial Classificação dostecidos epiteliais ● Histologia – Revestimento – Glandular ● Fisiologia – Epitélio de troca – Epitélio de proteção – Epitélio de transporte – Epitélio secretor – Epitélio protetor Especializações de superfície Definição e função do tecido epitelial Tecidos histológicos Epitélio de revestimento Epitélio glandular
  • 18.
    Tecido epitelial Epitélio derevestimento Especializações de superfície Definição e função do tecido epitelial Tecidos histológicos Epitélio de revestimento Epitélio glandular
  • 19.
    Tecido epitelial Morfologia ● Organizadoem camadas que cobrem a superfície externa do corpo ou revestem as cavidades do corpo ● Classificados quanto ao número de camadas e formato celular Especializações de superfície Definição e função do tecido epitelial Tecidos histológicos Epitélio de revestimento Epitélio glandular
  • 20.
    Tecido epitelial Classificação: Quanto aonúmero de camadas Simples EstratificadoPseudoestratificado Especializações de superfície Definição e função do tecido epitelial Tecidos histológicos Epitélio de revestimento Epitélio glandular
  • 21.
    Tecido epitelial Classificação: Quanto àmorfologia celular Pavimentoso Cúbico Prismático ou cilíndrico Transição Especializações de superfície Definição e função do tecido epitelial Tecidos histológicos Epitélio de revestimento Epitélio glandular Especializações de superfície Definição e função do tecido epitelial Tecidos histológicos Epitélio de revestimento Epitélio glandular
  • 22.
    Tecido epitelial Classificação: Quanto àpresença de especializações ● Queratinizado ● Ciliado ● Borda estriada ● Células caliciformes Especializações de superfície Definição e função do tecido epitelial Tecidos histológicos Epitélio de revestimento Epitélio glandular
  • 23.
    Tecido epitelial Especializações de superfície Definiçãoe função do tecido epitelial Tecidos histológicos Epitélio de revestimento Epitélio glandular
  • 24.
    Tecido epitelial Tecido epitelial pavimentososimples ● Células pavimentosas (morfologia plana, núcleos achatados) ● ENDOTÉLIO DE VASOS Especializações de superfície Definição e função do tecido epitelial Tecidos histológicos Epitélio de revestimento Epitélio glandular
  • 25.
    Tecido epitelial Tecido epitelialcúbico simples ● Células cúbicas (formato regular, altura proporcional à largura, núcleo arredondado e central) ● Células absortivas (p. ex., túbulos coletores) Especializações de superfície Definição e função do tecido epitelial Tecidos histológicos Epitélio de revestimento Epitélio glandular
  • 26.
    Tecido epitelial Tecido epitelialcolunar simples ● Células prismáticas (altura maior do que largura, núcleo alongado e polarizado) ● Células absortivas (p. ex., intestino) Especializações de superfície Definição e função do tecido epitelial Tecidos histológicos Epitélio de revestimento Epitélio glandular
  • 27.
    Tecido epitelial Tecido epitelialpseudoestratificado colunar ciliado ● Organização densa de células dá a impressão de mais de uma camada ● Cílios NÃO OCORREM em tecido estratificado Especializações de superfície Definição e função do tecido epitelial Tecidos histológicos Epitélio de revestimento Epitélio glandular
  • 28.
    Tecido epitelial Tecido epitelialpavimentoso estratificado não-queratinizado ● Revestimento interno da cavidade oral, faringe, esôfago, canal anal e vaginal (superfícies úmidas) ● Grau de estratificação relacionado com o tipo de desgaste físico ao qual a superfície se expõe ● Transição morfológica e funcional – Camada basal indiferenciada com núcleo redondo e central; figuras mitóticas – Camada intermediária: Células poliédricas com núcleo arredondado e central – Camada superficial: Células pavimentosas com núcleo achatado e central Especializações de superfície Definição e função do tecido epitelial Tecidos histológicos Epitélio de revestimento Epitélio glandular
  • 29.
    Tecido epitelial Tecido epitelialpavimentoso estratificado não-queratinizado Especializações de superfície Definição e função do tecido epitelial Tecidos histológicos Epitélio de revestimento Epitélio glandular
  • 30.
    Tecido epitelial Tecido epitelialpavimentoso estratificado queratinizado Especializações de superfície Definição e função do tecido epitelial Tecidos histológicos Epitélio de revestimento Epitélio glandular ● Adaptado à abrasão e dessecação constantes ● Camada superficial acelular de queratina (evita a perda de água e penetração de materiais nocivos) e restos de células epiteliais degeneradas
  • 31.
    Tecido epitelial Tecido epitelialestratificado de transição ● Reveste bexiga urinária, ureter e parte superior da uretra ● Camada superficial: Células grandes emforma de cúpula – Um ou dois núcleos esféricos com nucléolo proeminente – Membrana plasmática com cerebrosídeos em placas espessas que se invaginam no esvaziamento e formam vesículas Especializações de superfície Definição e função do tecido epitelial Tecidos histológicos Epitélio de revestimento Epitélio glandular
  • 32.
    Tecido epitelial Tecido epitelialestratificado de transição Especializações de superfície Definição e função do tecido epitelial Tecidos histológicos Epitélio de revestimento Epitélio glandular
  • 33.
    Tecido epitelial Tecido epitelialglandular Especializações de superfície Definição e função do tecido epitelial Tecidos histológicos Epitélio de revestimento Epitélio glandular
  • 34.
    Tecido epitelial Especializações de superfície Definiçãoe função do tecido epitelial Tecidos histológicos Epitélio de revestimento Epitélio glandular Definição ● Formado por um conjunto de células especializadas cuja função é a produção e liberação de SECREÇÃO. ● As células secretoras de uma glândula são parenquimosas, enquanto o tecido conjuntivo no interior da glândula e que sustenta o parênquima é estromal. O estroma sustenta também vasos sangüíneos, vasos linfáticos e nervos. 
  • 35.
    Tecido epitelial Características ● As moléculasa serem secretadas são armazenadas em pequenas vesículas denominadas GRÂNULOS DE SECREÇÃO. ● Funções: Sintetizar, armazenar e secretar (exemplos): – Proteínas (pâncreas); – Lipídios (adrenal e glândulas sebáceas); – Complexos de carboidratos e proteínas (glândulas salivares); Especializações de superfície Definição e função do tecido epitelial Tecidos histológicos Epitélio de revestimento Epitélio glandular
  • 36.
    Tecido epitelial Classificação Especializações de superfície Definiçãoe função do tecido epitelial Tecidos histológicos Epitélio de revestimento Epitélio glandular ● Quanto à celularidade – Unicelular: a secreção é elaborada apenas por células especializadas ocasionais. (Ex: células caliciformes muco- secretoras) – Multicelular (pluricelular): a secreção é realizada por um conjunto de células. ● Quanto ao alvo da secreção – Endócrinas: não possuem ductos e sua secreção ganha a corrente sanguínea, onde será distribuída para todo o corpo. – Exócrinas: possuem ducto excretor que transporta a secreção produzida para o meio externo, seja a superfície do corpo ou para o interior (lúmen) de um órgão cavitário. – Mistos: Apresentam regiões endócrinas e exócrinas ao mesmo tempo.
  • 37.
    Tecido epitelial Celularidade Especializações de superfície Definiçãoe função do tecido epitelial Tecidos histológicos Epitélio de revestimento Epitélio glandular
  • 38.
    Tecido epitelial Local dasecreção Glândula exócrina Glândula Endócrina Especializações de superfície Definição e função do tecido epitelial Tecidos histológicos Epitélio de revestimento Epitélio glandular
  • 39.
    Tecido epitelial Local dasecreção Especializações de superfície Definição e função do tecido epitelial Tecidos histológicos Epitélio de revestimento Epitélio glandular
  • 40.
    Tecido epitelial Tipos desecreção ● Mucosa: Espessa e rica em glicoproteínas (muco). P.ex., glândulas salivares ● Serosa: Fluidas, aquosas e ricas em proteínas. P.ex., glândulas secretoras do pancreas ● Mistas: Os dois tipos de secreção ocorrem juntos. P.ex., glândulas salivares parótida Especializações de superfície Definição e função do tecido epitelial Tecidos histológicos Epitélio de revestimento Epitélio glandular
  • 41.
    Tecido epitelial Embriologia genérica doepitélio glandular Especializações de superfície Definição e função do tecido epitelial Tecidos histológicos Epitélio de revestimento Epitélio glandular
  • 42.
  • 43.
  • 44.
  • 45.
  • 46.
  • 47.
  • 48.
  • 49.
  • 50.