Sessão de raciocínio clínico
Audrey Cabral de Oliveira
MR 1 – Clínica Médica
Salvador, 22 de outubro de 2012
 ID: feminino, 37 anos, negra, cabeleireira, casada,
católica, natural e procedente de Salvador.
 QP: Tosse há 4 meses
ANAMNESE
 HDA:
 Paciente, previamente hígida, há seis meses iniciou
tosse seca, ocasionalmente com expectoração hialina,
que evoluiu após uma semana para hemoptise de
médio volume e astenia.
 Apresentou perda ponderal de 6 kg no período.
Negou febre, dispneia, náuseas ou vômitos.
ANAMNESE
 Passou então, a evoluir com cefaleia holocraniana
contínua e refratária a dipirona, diplopia, fotofobia e
parestesia de membro superior esquerdo. Negou
déficits motores focais.
ANAMNESE
 Durante o internamento hospitalar para elucidação
diagnóstica, manteve cefaleia e começou a cursar
com vômitos e estrabismo convergente, sendo
admitida em UTI, onde iniciou tratamento específico
da entidade, sustentando estabilidade clínica
neurológica.
ANAMNESE
 Recebeu alta para enfermaria, onde cursou com
agitação psicomotora e convulsões tônico-clônicas
generalizadas, sendo então manejada com
antipsicóticos e anti-convulsivantes, com sucesso.
 Assegurada estabilidade neurológica, foi referenciada
a nosso serviço, com quadro de amaurose bilateral há
três dias.
ANAMNESE
 DOENÇAS PREEXISTENTES/ MEDICAMENTOS EM
USO:
 Hipertensão arterial sistêmica há 10 anos, em uso de
captopril. Negou diabetes.
 IS: Negou queixas tegumentares, geniturinárias ou
gastrointestinais.
ANAMNESE
 ANTECEDENTES PATOLÓGICOS PREGRESSOS:
 Passado de cirurgia para redução mamárea há 22 anos.
Negou internamentos prévios. Negou alergias. Realizou
hemotransfusão no hospital anterior.
 ANTECEDENTES FAMILIARES:
 Hipertensão e diabetes na genitora.
ANAMNESE
 HISTÓRIA SOCIAL:
 Mora em casa com mais 4 membros, sem convívio
estreito com animais ou espaço destinado a criação.
Nega etilismo ou tabagismo. Realizava atividade física
até ser acometida pela doença, que a incapacitou sócio-
ocupacionalmente.
ANAMNESE
 Paciente em regular estado geral, lúcida e bem orientada têmporo-
espacialmente, anictérica, acianótica, eupnéica, hidratada.
 PA:
 130 X 85 mmHg; FC: 84; T: 36.9 °C (Evolução enfermagem: 1 pico febril nas
24 horas). P: 84 Kg
 Cabeça e pescoço:
 hisurtismo facial em região do queixo; narinas pérvias, sem lesões;
cavidade oral: dentes íntegros em bom estado de conservação, sem
lesões em mucosa. Olho com midríase fixa.
 Tórax:
 Aparelho respiratório: tórax brevilíneo, com expansibilidade pulmonar
mantida, com cicatriz inframamárea bilateral. Murmúrios vesiculares
presentes e bem distribuídos.
 Aparelho cardiovascular: Precórdio calmo. Ritmo cardíaco regular; ictus
não palpável, bulhas em normofonese em 2 tempos, sem sopros.
EXAME FÍSICO
 Abdome:
 globoso, sem cicatrizes; ruídos hidroaéreos presentes;
timpanismo preservado; abdome indolor, flácido. Não
palpadas visceromegalias.
 Extremidades:
 pulsos periféricos palpáveis, sem edema.
EXAME FÍSICO
 Neurológico:
 Equilíbrio estático e dinâmico comprometidos à custa de
amaurose bilateral, com marcha instável e com base alargada
(deambula com auxílio de acompanhante); força muscular
grau V/V em membros superiores e inferiores com
normotonicidade e normoreflexia; sensibilidade preservada.
Amaurose bilateral; pupilas isocóricas e não fotorreagentes;
motilidade extrínseca do olho comprometida à custa de
discreta dificuldade de abdução do globo ocular. Expressão e
sensibilidades faciais preservadas.
 Paciente vígil, com humor irritável; funções mentais
superiores preservadas.
EXAME FÍSICO
 Paciente, feminino, 37 anos, negra, hipertensa, que há seis
meses iniciou tosse seca, com evolução para hemoptise,
astenia e perda ponderal. Sem dispnéia ou febre. Evoluiu
com cefaleia, vômitos, diplopia, fotofobia, estrabismo
convergente, agitação psicomotora, convulsões tônico-
clônicas generalizadas e parestesia de membro superior
esquerdo; e por fim, amaurose bilateral. Ao exame
apresentava hisurtismo facial, força, tônus muscular e
sensibilidade preservados, midríase fixa, discreta
dificuldade de abdução do globo ocular, disbasia, humor
irritável, com funções mentais superiores preservadas.
RESUMO DO CASO
EXAMES
EXAMES
18/07/2012 24/07/2012 02/ago 07/08/2012 13/08/2012 15/08/2012 18/08/2012 21/08/2012 25/08/2012
Hb/ Ht 10/ 30.1 8.7/ 26.1 7.5/ 22.5 5.8/ 18.1 7.2/ 22.3 6.3/ 19.8 7.9/ 24.4
Leuco 6800 10.600 8000 15200 16.200 29.200 15200
B/ S/ E/ L/M 0/ 43/0/52/0 3/73/2/17 0/ 75/ 1/ 19/6 11/ 80/ 1/ 6/ 2 5/75/1/14/5 11/ 74/ 1/ 9/5 1/ 58/ 1/ 34/ 6
Plaquetas 358 337 376 331 462 549
Ur/ Cr 24/ 1.2 37/ 1.5 56/ 2.2 39/1 26/1.1 16/ 0.9
TGO/ TGP 64/ 233 138124/ 341 57/ 137 59/ 141 80/ 138 61/ 152
FA/ Gama-GT 122/ 1251 121/ 1588 413/ 1747 341/ 1005
BD/ BI 0.5/ 0.3 0.6/ 0.3 2.9/ 0.8 0.5/ 0.2
Na/ K 137/ 3.3 133/ 2.3 135/ 3.5 133/ 2.6 136/ 3.1 134/ 4.5
TP/ INR 80/ 1.1 97
• Hemoculturas (28/06): MRSA
• Hemocultura (14/08): MRSA (3X)
• Urocultura (14/08): negativa
 SOROLÓGICOS:
 Anti-HIV: não reagente
 FAN: não reagente
 Anti-DNA: não reagente
EXAMES
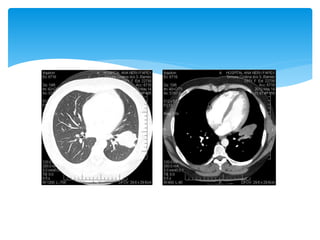
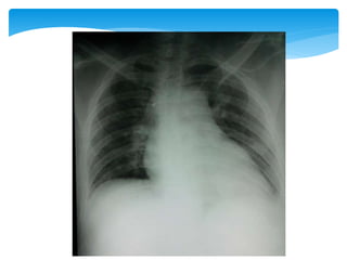
 TC de tórax: (11/07/12):
 lesão escavada, com limites parcialmente definidos
apresentando broncogramas de permeio no segmento
superior do lobo inferior esquerdo (dimensões: 5.3 x 3.4 cm).
 Massa na pirâmide basal anterior do lobo inferior esquerdo
apresentando atenuação heterogênea como imagens
hipoatenuantes em permeio que podem traduzir necrose/
cistificação.
 Pequeno nódulo com baixa atenuação no segmento superior
do lobo inferior direito medindo aproximadamente 1 cm de
diâmetro.
EXAMES
 Baciloscopias: 5 amostras negativas
 Broncoscopia: exame normal.
EXAMES
 TC de crânio:
 foco cálcico periférico em ambos hemisférios
cerebelares.
 Área de efeito nodular de impregnação pelo contraste,
de contornos regulares medindo 0.5 cm de diâmetro na
cabeça do núcleo caudado a direita, sem efeito de
massa e sem edema adjacente
EXAMES
 RESSONÂNCIA MAGNÉTICA (16/08/12):
 Imagem puntiforme de sinal aumentado em T2 na
topografia do tálamo direito, com centro de sinal
liquórico, sem repercussão à difusão. Impressão
diagnóstica: exames sem alterações significativas.
EXAMES
 Exame oftalmológico: reflexo pupilar com defeito
aferente bilateral, biomicroscopia normal, presença
de edema de papila do nervo óptico bilateralmente,
(olho direito > olho esquerdo). Nervo óptico com
coloração fisiológica, com presença de hemorragia.
EXAMES
 LBA (21/05/12):
 Amostra negativa para células neoplásicas;
compatibilidade com processo inflamatório agudo.
Presença de células leveduriformes.
 Cultura em meio Sabouraud: Cryptococus sp.
 Cultura negativa para micobactéria.
 Biópsia transbrônquica: criptococose pulmonar.
EXAMES
25/05
Aspecto levemente opalescente
Cor incolor
Celularidade 195
Glicose 43
Proteínas 75
Pandy positivo
VDRL
Tinta da China positivo
Bacterioscopia
Cultura para fungo Cryptococus neoformans
Cultura para micobactérias
Cultura para aeróbios negativo
BAAR negativo
Diferencial
Neutrófilo 2
Linfócito 85
Monócito 12
Eosinófilos 0
Plasmócitos 1
Macrófagos 0
EXAMES (LCR)
Manometria liquórica:
• 42 mmH2O
CRIPTOCOCOSE
 Micose de natureza sistêmica com porta de entrada
inalatória
 Etiologia:
 Cryptococus neorformans (var grubii and var
neoformans )
 Cryptococus gatti (imunocompetentes)
CONCEITO E DEFINIÇÃO
Cryptococcos neoformans var. neoformans
Cryptococcos neoformans var. gatti
 INCIDÊNCIA X HAAR
 957,900 casos/ano meningite criptocócica
 + de 600,000 mortes
 Primeira manifestação oportunista 4.4% dos casos
AIDS (sul, sudeste e centro-oeste)
EPIDEMIOLOGIA
 Sarcoidosis
 AIDS
 Prolonged treatment with glucocorticoids
 Organ transplantation
 Malignancy
FATORES DETERMINANTES
FATORES DETERMINANTES
FATORES DETERMINANTES
 SINTOMÁTICO
 ASSINTOMÁTICO
MANIFESTAÇÕES CLÍNICAS
MANIFESTAÇÕES CLÍNICAS
IMUNOCOMPETENTES
 Meningoencefalite: apresentação variável
 Sintomas prodrômicos ou doença aguda
 Meningoencefalite subaguda (febre: 50%)
 Cefaléia, letargia, mudança de personalidade e déficit
de memória se desenvolvem em duas a quatro
semanas
 Pacientes poderão ter doença disseminada.
 Mass lesions are seen in about 10 percent of patients with
CNS cryptococcal infections
MANIFESTAÇÕES CLÍNICAS
IMUNOCOMPETENTES
MANIFESTAÇÕES CLÍNICAS
IMUNODEPRIMIDOS
 PACIENTES HIV NEGATIVOS:
 Sintomas mais comuns:
 febre (63 %)
 Dor torácica (44 %)
 Dispnéia (27 %)
 Tosse (17 %)
 Hemoptise (7 %).
 PACIENTES HIV POSITIVOS:
 Apresentação mais aguda e mais severa
 Severidade dos sintomas inversamente proporcional a
contagem CD4 (100/microL)
 Febre (81 - 94 %); tosse (63 - 71 %), dispnéia (5 - 50 %) e
cefaléia (41 %).
 Disseminação para SNC (65 to 94 percent)
MANIFESTAÇÕES CLÍNICAS
IMUNODEPRIMIDOS
 Meningoencefalite criptocócica tem sido doença definidora de
AIDS em 60% dos casos de infectados pelo HIV quando são
diagnosticados
 Raramente ocorre em pacientes com linfócitos T CD4 <
100/microL.
 Os sintomas mais comuns são: febre, mal estar e cefaléia.
Fotofobia e vômitos são vistos em ¼ a ½ dos pacientes.
 Outros sintomas sugerindo doença disseminada poderão estar
presentes: tosse, dispnéia e rash cutâneo.
 Quadro clínico raramente fulminante -> coma -> morte.
 Lesões dermatológicos, perda visual e auditiva tem sido
relatadas.
MANIFESTAÇÕES CLÍNICAS
IMUNODEPRIMIDOS
Manifestação cutânea
Manifestação cutânea
 Cultura (ágar Sabouraud) e histologia
 Antígenos criptocócicos
 Radiologia
 Punção lombar
 Escarro
 Tinta da China
DIAGNÓSTICO
TRATAMENTO
TRATAMENTO
TRATAMENTO
TRATAMENTO
 Clinical Practice Guidelines for the Management of
Cryptococcal Disease: 2010 Update by the Infectious
Diseases Society of America
 Uptodate.com, 2012. Capturado em
http://www.uptodate.com.
REFERÊNCIAS

Sessão de raciocínio clínico

  • 1.
    Sessão de raciocínioclínico Audrey Cabral de Oliveira MR 1 – Clínica Médica Salvador, 22 de outubro de 2012
  • 2.
     ID: feminino,37 anos, negra, cabeleireira, casada, católica, natural e procedente de Salvador.  QP: Tosse há 4 meses ANAMNESE
  • 3.
     HDA:  Paciente,previamente hígida, há seis meses iniciou tosse seca, ocasionalmente com expectoração hialina, que evoluiu após uma semana para hemoptise de médio volume e astenia.  Apresentou perda ponderal de 6 kg no período. Negou febre, dispneia, náuseas ou vômitos. ANAMNESE
  • 4.
     Passou então,a evoluir com cefaleia holocraniana contínua e refratária a dipirona, diplopia, fotofobia e parestesia de membro superior esquerdo. Negou déficits motores focais. ANAMNESE
  • 5.
     Durante ointernamento hospitalar para elucidação diagnóstica, manteve cefaleia e começou a cursar com vômitos e estrabismo convergente, sendo admitida em UTI, onde iniciou tratamento específico da entidade, sustentando estabilidade clínica neurológica. ANAMNESE
  • 6.
     Recebeu altapara enfermaria, onde cursou com agitação psicomotora e convulsões tônico-clônicas generalizadas, sendo então manejada com antipsicóticos e anti-convulsivantes, com sucesso.  Assegurada estabilidade neurológica, foi referenciada a nosso serviço, com quadro de amaurose bilateral há três dias. ANAMNESE
  • 7.
     DOENÇAS PREEXISTENTES/MEDICAMENTOS EM USO:  Hipertensão arterial sistêmica há 10 anos, em uso de captopril. Negou diabetes.  IS: Negou queixas tegumentares, geniturinárias ou gastrointestinais. ANAMNESE
  • 8.
     ANTECEDENTES PATOLÓGICOSPREGRESSOS:  Passado de cirurgia para redução mamárea há 22 anos. Negou internamentos prévios. Negou alergias. Realizou hemotransfusão no hospital anterior.  ANTECEDENTES FAMILIARES:  Hipertensão e diabetes na genitora. ANAMNESE
  • 9.
     HISTÓRIA SOCIAL: Mora em casa com mais 4 membros, sem convívio estreito com animais ou espaço destinado a criação. Nega etilismo ou tabagismo. Realizava atividade física até ser acometida pela doença, que a incapacitou sócio- ocupacionalmente. ANAMNESE
  • 10.
     Paciente emregular estado geral, lúcida e bem orientada têmporo- espacialmente, anictérica, acianótica, eupnéica, hidratada.  PA:  130 X 85 mmHg; FC: 84; T: 36.9 °C (Evolução enfermagem: 1 pico febril nas 24 horas). P: 84 Kg  Cabeça e pescoço:  hisurtismo facial em região do queixo; narinas pérvias, sem lesões; cavidade oral: dentes íntegros em bom estado de conservação, sem lesões em mucosa. Olho com midríase fixa.  Tórax:  Aparelho respiratório: tórax brevilíneo, com expansibilidade pulmonar mantida, com cicatriz inframamárea bilateral. Murmúrios vesiculares presentes e bem distribuídos.  Aparelho cardiovascular: Precórdio calmo. Ritmo cardíaco regular; ictus não palpável, bulhas em normofonese em 2 tempos, sem sopros. EXAME FÍSICO
  • 11.
     Abdome:  globoso,sem cicatrizes; ruídos hidroaéreos presentes; timpanismo preservado; abdome indolor, flácido. Não palpadas visceromegalias.  Extremidades:  pulsos periféricos palpáveis, sem edema. EXAME FÍSICO
  • 12.
     Neurológico:  Equilíbrioestático e dinâmico comprometidos à custa de amaurose bilateral, com marcha instável e com base alargada (deambula com auxílio de acompanhante); força muscular grau V/V em membros superiores e inferiores com normotonicidade e normoreflexia; sensibilidade preservada. Amaurose bilateral; pupilas isocóricas e não fotorreagentes; motilidade extrínseca do olho comprometida à custa de discreta dificuldade de abdução do globo ocular. Expressão e sensibilidades faciais preservadas.  Paciente vígil, com humor irritável; funções mentais superiores preservadas. EXAME FÍSICO
  • 13.
     Paciente, feminino,37 anos, negra, hipertensa, que há seis meses iniciou tosse seca, com evolução para hemoptise, astenia e perda ponderal. Sem dispnéia ou febre. Evoluiu com cefaleia, vômitos, diplopia, fotofobia, estrabismo convergente, agitação psicomotora, convulsões tônico- clônicas generalizadas e parestesia de membro superior esquerdo; e por fim, amaurose bilateral. Ao exame apresentava hisurtismo facial, força, tônus muscular e sensibilidade preservados, midríase fixa, discreta dificuldade de abdução do globo ocular, disbasia, humor irritável, com funções mentais superiores preservadas. RESUMO DO CASO
  • 14.
  • 15.
    EXAMES 18/07/2012 24/07/2012 02/ago07/08/2012 13/08/2012 15/08/2012 18/08/2012 21/08/2012 25/08/2012 Hb/ Ht 10/ 30.1 8.7/ 26.1 7.5/ 22.5 5.8/ 18.1 7.2/ 22.3 6.3/ 19.8 7.9/ 24.4 Leuco 6800 10.600 8000 15200 16.200 29.200 15200 B/ S/ E/ L/M 0/ 43/0/52/0 3/73/2/17 0/ 75/ 1/ 19/6 11/ 80/ 1/ 6/ 2 5/75/1/14/5 11/ 74/ 1/ 9/5 1/ 58/ 1/ 34/ 6 Plaquetas 358 337 376 331 462 549 Ur/ Cr 24/ 1.2 37/ 1.5 56/ 2.2 39/1 26/1.1 16/ 0.9 TGO/ TGP 64/ 233 138124/ 341 57/ 137 59/ 141 80/ 138 61/ 152 FA/ Gama-GT 122/ 1251 121/ 1588 413/ 1747 341/ 1005 BD/ BI 0.5/ 0.3 0.6/ 0.3 2.9/ 0.8 0.5/ 0.2 Na/ K 137/ 3.3 133/ 2.3 135/ 3.5 133/ 2.6 136/ 3.1 134/ 4.5 TP/ INR 80/ 1.1 97 • Hemoculturas (28/06): MRSA • Hemocultura (14/08): MRSA (3X) • Urocultura (14/08): negativa
  • 16.
     SOROLÓGICOS:  Anti-HIV:não reagente  FAN: não reagente  Anti-DNA: não reagente EXAMES
  • 18.
     TC detórax: (11/07/12):  lesão escavada, com limites parcialmente definidos apresentando broncogramas de permeio no segmento superior do lobo inferior esquerdo (dimensões: 5.3 x 3.4 cm).  Massa na pirâmide basal anterior do lobo inferior esquerdo apresentando atenuação heterogênea como imagens hipoatenuantes em permeio que podem traduzir necrose/ cistificação.  Pequeno nódulo com baixa atenuação no segmento superior do lobo inferior direito medindo aproximadamente 1 cm de diâmetro. EXAMES
  • 20.
     Baciloscopias: 5amostras negativas  Broncoscopia: exame normal. EXAMES
  • 21.
     TC decrânio:  foco cálcico periférico em ambos hemisférios cerebelares.  Área de efeito nodular de impregnação pelo contraste, de contornos regulares medindo 0.5 cm de diâmetro na cabeça do núcleo caudado a direita, sem efeito de massa e sem edema adjacente EXAMES
  • 23.
     RESSONÂNCIA MAGNÉTICA(16/08/12):  Imagem puntiforme de sinal aumentado em T2 na topografia do tálamo direito, com centro de sinal liquórico, sem repercussão à difusão. Impressão diagnóstica: exames sem alterações significativas. EXAMES
  • 24.
     Exame oftalmológico:reflexo pupilar com defeito aferente bilateral, biomicroscopia normal, presença de edema de papila do nervo óptico bilateralmente, (olho direito > olho esquerdo). Nervo óptico com coloração fisiológica, com presença de hemorragia. EXAMES
  • 25.
     LBA (21/05/12): Amostra negativa para células neoplásicas; compatibilidade com processo inflamatório agudo. Presença de células leveduriformes.  Cultura em meio Sabouraud: Cryptococus sp.  Cultura negativa para micobactéria.  Biópsia transbrônquica: criptococose pulmonar. EXAMES
  • 26.
    25/05 Aspecto levemente opalescente Corincolor Celularidade 195 Glicose 43 Proteínas 75 Pandy positivo VDRL Tinta da China positivo Bacterioscopia Cultura para fungo Cryptococus neoformans Cultura para micobactérias Cultura para aeróbios negativo BAAR negativo Diferencial Neutrófilo 2 Linfócito 85 Monócito 12 Eosinófilos 0 Plasmócitos 1 Macrófagos 0 EXAMES (LCR) Manometria liquórica: • 42 mmH2O
  • 27.
  • 28.
     Micose denatureza sistêmica com porta de entrada inalatória  Etiologia:  Cryptococus neorformans (var grubii and var neoformans )  Cryptococus gatti (imunocompetentes) CONCEITO E DEFINIÇÃO
  • 29.
  • 30.
  • 31.
     INCIDÊNCIA XHAAR  957,900 casos/ano meningite criptocócica  + de 600,000 mortes  Primeira manifestação oportunista 4.4% dos casos AIDS (sul, sudeste e centro-oeste) EPIDEMIOLOGIA
  • 32.
     Sarcoidosis  AIDS Prolonged treatment with glucocorticoids  Organ transplantation  Malignancy FATORES DETERMINANTES
  • 33.
  • 34.
  • 35.
  • 36.
  • 37.
     Meningoencefalite: apresentaçãovariável  Sintomas prodrômicos ou doença aguda  Meningoencefalite subaguda (febre: 50%)  Cefaléia, letargia, mudança de personalidade e déficit de memória se desenvolvem em duas a quatro semanas  Pacientes poderão ter doença disseminada.  Mass lesions are seen in about 10 percent of patients with CNS cryptococcal infections MANIFESTAÇÕES CLÍNICAS IMUNOCOMPETENTES
  • 38.
    MANIFESTAÇÕES CLÍNICAS IMUNODEPRIMIDOS  PACIENTESHIV NEGATIVOS:  Sintomas mais comuns:  febre (63 %)  Dor torácica (44 %)  Dispnéia (27 %)  Tosse (17 %)  Hemoptise (7 %).
  • 39.
     PACIENTES HIVPOSITIVOS:  Apresentação mais aguda e mais severa  Severidade dos sintomas inversamente proporcional a contagem CD4 (100/microL)  Febre (81 - 94 %); tosse (63 - 71 %), dispnéia (5 - 50 %) e cefaléia (41 %).  Disseminação para SNC (65 to 94 percent) MANIFESTAÇÕES CLÍNICAS IMUNODEPRIMIDOS
  • 40.
     Meningoencefalite criptocócicatem sido doença definidora de AIDS em 60% dos casos de infectados pelo HIV quando são diagnosticados  Raramente ocorre em pacientes com linfócitos T CD4 < 100/microL.  Os sintomas mais comuns são: febre, mal estar e cefaléia. Fotofobia e vômitos são vistos em ¼ a ½ dos pacientes.  Outros sintomas sugerindo doença disseminada poderão estar presentes: tosse, dispnéia e rash cutâneo.  Quadro clínico raramente fulminante -> coma -> morte.  Lesões dermatológicos, perda visual e auditiva tem sido relatadas. MANIFESTAÇÕES CLÍNICAS IMUNODEPRIMIDOS
  • 42.
  • 43.
  • 44.
     Cultura (ágarSabouraud) e histologia  Antígenos criptocócicos  Radiologia  Punção lombar  Escarro  Tinta da China DIAGNÓSTICO
  • 45.
  • 46.
  • 47.
  • 48.
  • 49.
     Clinical PracticeGuidelines for the Management of Cryptococcal Disease: 2010 Update by the Infectious Diseases Society of America  Uptodate.com, 2012. Capturado em http://www.uptodate.com. REFERÊNCIAS