Tumores intracranianos 
Marcus Petindá 
Estagiário 
Neurologia Infantil 
HBDF
Quadro clínico 
• 3 elementos 
– Cérebro 
– LCR 
– sangue 
• Papiledema 
• Edema cerebral 
– Vasogênico 
– Citotóxico 
– Intersticial
Quadro clínico 
• Apresentação clínica 
– Sinais focais cerebrais, cefaléia, crises 
epilépticas 
– Aumento da PIC 
– Síndrome específica de tumor intracraniano
Quadro clínico 
• Cefaléia – variável 
– Supratentorias – dor do lado do tumor 
– Infratentorias – dor retroauricular e cefaléia 
occipital ipsilaterais
Quadro clínico 
• Vômitos 
– Mais comum em tumor 
de fossa posterior 
– Sem relação com a 
ingesta de alimentos 
– Antes do café da 
manhã 
• Tonteira 
– Fossa posterior 
– Sentimentos de 
insegurança
Quadro clínico 
• Crises epilépticas 
– 20 a 50% 
– Focal ou parcial com tendência a 
generalização 
– Adulto – é a 1ª manifestação mais comum 
• Astenia psicomotora
Tumores supratentoriais
Tumores da região suprasselar 
• Craniofaringiomas 
– Benignos 
– Origem epitelial não gliais 
– 6,3 a 12,5 – 2º tumor mais frequente 
– Ocorrem preferencialmente nas 2 primeiras 
décadas de vida
Craniofaringiomas(divisão de 
Choux) 
• Grupo A – selar, sem 
invasão do III 
ventrículo) 
• Grupo B – tumores 
infundibulotuberais 
• Grupo C – tumores 
intraventriculares 
• Grupo ABC – atinge 
todas as áreas 
descritas
Craniofaringiomas(quanto à 
extensão) 
• Expansão pré-quiasmática 
• Subquiasmática 
• Retroquiasmática 
• Lateral
Craniofaringioma(quadro clínico) 
• Crescimento lento e progressivo 
• Grande intervalo entre o início dos 
sintomas e o diagnóstico 
• Cefaléia – HIC(hidrocefalia) 
• Grupo A(intrasselares) – crianças> 5 
anos; alterações endócrinas
Craniofaringioma(quadro clínico) 
• Alterações endócrinas 
– 1º sintoma em 16% dos casos 
– Déficit de crescimento 
– Síndrome de poliúria polidipsia 
– Deficiência de GH, LH e FSH 
– Atraso pubertário – 25 a 66% 
– Diabetes insipidus – 0 a 29% 
– Obesidade – 20%
Craniofaringioma(quadro clínico) 
• Alterações visuais 
– 44 a 97,9% 
– Alterações campimétricas 
– Papiledema 
– Amaurose 
• Expansão para a fossa posterior ou média – 
outros pares cranianos 
• Apatia, agitação, instabilidade emocional, 
agressividade 
• Crises epilépticas são raras
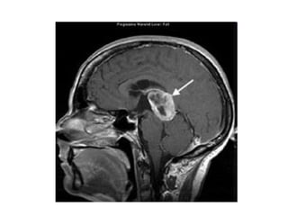
Craniofaringioma(imagem) 
• Rx de crânio 
– 50% 
– 54 a 96% - calcificações suprasselares 
• TC 
– Calcificações, caráter cístico da lesão e 
hiperatenuação após injeção de contraste 
– Hipodensa 
• RM 
– Estabelece os limites e as relações da 
lesão(hipotálamo, quiasma e III ventrículo) 
– Limites da zona de gliose peritumoral e córtex 
– Hiperintensa em T2 e intensidade variável em T1
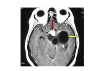
Azul – dilatação ventricular 
Amarela – cisto 
Vermelho - sólida
Craniofaringioma(tratamento) 
• Ideal – ressecção completa 
• Índice de remoção completa – 66 a 100% 
• Mortalidade – 7,5% 
• Recorrência tumoral – 5 a 30% 
• Técnicas – subfrontal, pterional, subtemporal, 
transcalosal, transesfenoidal e transpalatal. Se 
necessário em 2 tempos 
• RT 
– Ressecção subtotal 
– Radiocirurgia 
– Intersticial 
• Bleomicina – intracavitária, injetada por via estereotaxial
Tumores do hemisfério cerebral 
• Astrocitomas 
– 1/3 dos tumores supratentoriais 
– 80% origem neuroepitelial 
– Mais frequentes dos tumores supratentoriais 
– Sexo – sem predileção 
– Pico de incidência – 8 a 12 anos 
– 50% - malignos
Astrocitomas(quadro clínico) 
• HIC e compressão local 
– Cefaléia matutina 
– Vômitos 
– Macrocrania - < 2 anos 
– Papiledema – 40 a 60% 
– Paresia do nervo abducente – 20% 
• Hemiparesias, hemiparestesias, mudanças de 
comportamento e alterações visuais 
• Epilepsia – 40 a 60%(1ª manifestação)
Astrocitomas(imagem) 
• TC – lesões corticais ou subcorticais 
hipodensas; pouca ou nenhuma captação 
de contraste 
• RM – lesão hipointensa em T1; que pode 
aumentar intensidade com injeção de 
gadolínio. Exata localização do tumor
Tumores das vias ópticas 
• Gliomas 
• 2,7 a 8% dos tumores intracranianos pediátricos 
• Divisão 
– Gliomas do nervo óptico 
– Gliomas opticoquiasmais, com envolvimento 
hipotalâmico 
• Astrocitomas de baixo grau 
– Pilocíticos 60% 
– Fibrilares 40% 
– Gangliogliomas raros
Astrocitomas(tratamento/prognóstico) 
• Ideal – ressecção completa; 20% 
• Ressecção incompleta e tipos malignos – 
RT e QT 
• Sobrevida 
– Benignos – 60 a 70%(longa) 
– Gliomas – 5 a 15% em 5 anos 
– Anaplásicos – 20 a 40% em 5 anos 
– Ressecção completa – cura provável – 83%
Tumores das vias ópticas 
• Tumores anteriores – crianças menores 
• Tumores quiasmáticos – adolescentes 
• Sexo feminino 
• Diagnóstico 
– ¼ no 1º ano de vida 
– 80% até os 5 anos 
• NF1 
– Presente em 10 a 70% 
– Pacientes com NF1 – probabilidade de 15 a 23%
Tumores das vias ópticas(quadro clínico) 
• Depende da localização e relação anatômica 
• Proptose – 50% 
• Atrofia do n. óptico – 60% 
• Papiledema – 20% 
• Oftalmoplegia – 25% 
• HIC + hidrocefalia(f. de Monro) – t. quiasmáticos 
hipotalâmicos 
• Puberdade precoce + déficit de crescimento 
• Síndrome diencefálica(Russel) -28 a 75% 
– Perda de tecido gorduroso 
– Hipercinesia 
– Estatura normal
Tumores das vias ópticas(imagem) 
• TC 
– Aumento fusiforme do nervo óptico 
– Isodenso e não captante 
– Alargamento do canal óptico 
– Raramente calcificações 
• RM 
– Exata localização 
– Isotensa em T1 
– Hiperintensa em T2 
• Acompanhamento evolutivo com PEV
Tumores das vias 
ópticas(tratamento/prognóstico) 
• Sem perda visual – acompanhamento 
clínico 
• Ressecção completa 
– Cura 
– Perda visual 
• NF1 + perda parcial da visão 
– PEV 
– Avaliação radiológica semestral
Tumores das vias 
ópticas(tratamento/prognóstico) 
• Gliomas quiasmáticos-hipotalâmicos 
– Preservação visual e pouco efeito de massa 
• Biópsia + RT 
– Microcirurgia 
• Ressecção radical – 60% 
• Mortalidade cirúrgica > 8% 
– Melhora ou estabilização visual – 60% 
– Ressecção parcial – pode ocorrer redução 
tumoral
Tumores das vias 
ópticas(tratamento/prognóstico) 
• RT 
– Involução ou estabilização da lesão – 40% 
– Piora intelectual, visual ou endócrina 
• QT 
– Diminuição do tumor – 1/3 
• Sobrevida 
– Em 5 anos – 70 a 100% 
– Em 13 anos – 50%
Tumores da região pineal 
• 3 a 8% dos tumores cranianos em 
crianças 
• 3 grupos 
– Linhagem germinativa 
– Células do corpo pineal 
– Inespecíficos
Tumores germinativos 
• 50% 
• Germinomas 
• Podem secretar alfafetoproteínas, 
fosfatase alcalina placentária ou beta- 
HCG
Tumores das células do corpo 
pineal 
• 20 a 50% 
• Pineocitomas ou pineoblastomas
Tumores inespecíficos 
• Gliomas 
• Meningiomas 
• Hemangiomas 
• Hemangiopericitomas 
• Melanomas 
• Metástases
Quadro clínico 
• Depende da compressão de estruturas vizinhas 
• HIC + hidrocefalia – 85% 
• Síndrome de Parinaud(paralisia do olhar 
conjugado vertical para cima e menos 
freqüentemente para baixo, midríase, ausência 
de reação pupilar à luz e incapacidade para a 
convergência ocular) – 50% 
• Oftalmoparesias, alterações endócrinas, sinais 
piramidais, alterações cerebelares, alterações 
sensitivas, síndrome extrapiramidal e epilepsia
Imagem 
• TC – identificação da hidrocefalia 
• RM – melhor definição da lesão e limites
Tratamento/prognóstico 
• Cirurgia 
– Transcalosal posterior 
– Transventricular 
posterior 
– Subcoroidal anterior 
– Occipital infratentorial, 
supra e transtetorial 
Mortalidade cirúrgica – 
10% 
• Prognóstico depende 
do tipo histológico 
– Geminomas – 
sobrevida de 5 anos – 
80% 
– Demais tumores – 
prognóstico reservado
Tumores do 1º ano de vida 
• Origem neuroectodérmica – 90% 
• Teratoma – mais comum 
• Podem ser congênitos 
• Sinais de HIC, macrocrania, alterações no 
DNPM e crises epilépticas
Tumores do plexo coróide 
• Crianças < 2 anos 
• Sexo masculino 2:1 
• Ventrículos laterais – 70% 
• Detectáveis em US
Tumores do plexo coróide(quadro 
clínico) 
• Efeito de massa 
• Hidrocefalia 
– Obstrução liquórica 
– Aumento na produção liquórica 
• Déficits motores, sensitivos, sinais 
cerebelares, paresia de pares cranianos 
• Papilomas, carcinomas ou adenomas
Tumores do plexo 
coróide(tratamento) 
• Cirúrgico – altamente vascularizados 
• RT e QT questionáveis 
• Sobrevida de 5 anos > 80%
Tumores infratentoriais
Tumores da fossa posterior 
• Meduloblastoma 
• Astrocitoma cerebelar 
• Ependimomas 
• Tumores do tronco cerebral
Meduloblastoma 
• Embrionário maligno 
• Primitivo neuroectodérmico 
• < 15 anos – 10-20% 
• Pico de incidência – 8-9 anos 
• Meninos 2:1 
• Suplementação vitamínica gestacional – 
efeito protetor(?) 
• 30% - cromossomo 17q – pior prognóstico
Meduloblastoma(quadro clínico) 
• Anormalidades na linha média da fossa 
posterior 
• Ataxia cerebelar 
• Cefaléia, vômitos e letargia – hidrocefalia 
obstrutiva(IV ventrículo) e HIC(precoce) 
• Pares cranianos – oculomotor(III), facial(VII), 
vestibulo-coclear(VIII) 
• Macrocrania – crianças menores 
• Sinais meníngeos 
• Síndrome piramidal – tronco cerebral
Meduloblastoma(imagem) 
• TC – 50%, lesão bem definida, hiperdensa e 
hipercaptante 
– Linha média 
– Preenchimento do IV ventrículo(canal medular e III 
ventrículo) 
– Cistos; necrose 
– Hidrocefalia obstrutiva 
• RM 
– Definiçao mais precisa dos limites 
– Hipointensa em T1 e hiperintensa em T2 
– Melhor detecção de metástases
Meduloblastoma(tratamento) 
• Cirurgia 
• Corticoterapia pré-operatória 
– Dexametasona – 
• 1 mg/kg de ataque 
• 0,5 a 1 mg/kg/dia – HIC 
• DVP – avaliação 
• Pós-operatório 
– Meningismo, ataxia, alteração da motricidade 
ocular e mutismo intermitente
Meduloblastoma(tratamento) 
• RT - > 2 anos 
• QT- boa quimiossensibilidade
Meduloblastoma(estadiamento e 
prognóstico) 
• RM e análise do LCR(pesquisa de céls 
neoplásicas) – 20º dia de po 
• 25% - disseminação no neuroeixo 
• Pior prognóstico 
– Metástases 
– < 4 anos 
– Ressecção parcial 
– Histologia com linhagem celular glial, 
ependimal ou neuronal
Meduloblastoma(estadiamento e 
prognóstico) 
• Grupos prognósticos 
• Alto risco 
– < 2 anos 
– Ressecção < 75% 
– Metástases 
– Céls tumorais no LCR 
• Baixo risco 
– > 2 anos 
– Ressecção radical 
– Ausência de disseminação liquórica
Meduloblastoma(estadiamento e 
prognóstico) 
• Seguimento ambulatorial 
– Trimestral – 2 anos 
– Semestral 
• Recidiva – 1 a 5 anos 
• Sobrevida 
– 5 anos – 56% 
– 10 anos – 43%
Astrocitoma cerebelar 
• 12 – 28% - de todos os tumores da 
infância 
• sem predomínio de sexo 
• 2 picos 
– 6 – 9 anos 
– Adolescência
Astrocitoma cerebelar(quadro 
clínico) 
• Crescimento lento 
• Piora progressiva de cefaléia e vômitos 
• HIC + hidrocefalia 
• Sinais cerebelares 
• Pares cranianos – oculomotor(III), 
troclear(IV), abducente(VI) 
• 1/3 – sinais piramidais
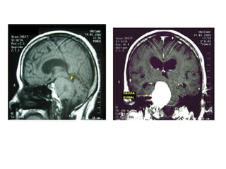
Astrocitoma cerebelar(imagem) 
• TC 
– 3 padrões 
• Grande cisto tumoral com nódulo mural sólido 
• Tumor sólido com áreas císticas 
• Tumor cístico circundado por lesão sólida 
– IV ventrículo desviado 
– A. fibrilar – lesão hipodensa, homogênea, com pouco 
edema perilesional, sem captação de contraste. 
Calcificações – 10 a 20% 
– A. anaplásico – lesão heterogênea, com captação 
irregular de contraste
Astrocitoma cerebelar(imagem) 
• RM 
– Massa bem definida 
– Hipointensas em T1; hiperintensa em T2
Astrocitoma cerebelar(tratamento) 
• Cirúrgico 
• Corticoterapia pré-operatória 
• Mortalidade cirúrgica – 1 a 7% 
• DVP – 10 a 72% 
• RT e QT - controverso
Astrocitoma cerebelar(prognóstico) 
• 90% - malignidade baixa 
• Ressecção incompleta – recidiva em até 4 
anos 
• Tipo difuso – > recidiva, <sobrevida 
• Tipo pilocítico – sobrevida = 94% em 10 
anos 
• Tipo difuso – sobrevida = 29% em 10 
anos
Ependimomas 
• Qualquer lugar do neuroeixo 
• 60 a 70% - infratentoriais 
• 10-20% dos tumores de fossa posterior em 
crianças 
• Histologicamente 
– 80% benignos 
– 20% malignos 
• < 5 anos 
• Sexo masculino 1,3:1
Ependimomas(quadro clínico) 
• Vômitos – meses 
• Hidrocefalia obstrutiva – IV ventrículo 
• Rigidez de nuca e torcicolo – progressão 
caudal 
• Cefaléia – 80% 
• Ataxia – 60%
Ependimomas(imagem) 
• TC – padrão irregular, calcificações 
• RM sinal heterogêneo em T1 e T2
Ependimomas(tratamento e 
prognóstico) 
• Cirurgia 
• Pré-operatório – RM do neuroeixo e 
análise do LCR 
• RT > 2 anos 
• QT – não indicada 
• Mortalidade cirúrgica – 5 a 8% 
• Sobrevida de 41% em 5 anos 
• Recidiva é muito frequente – 3 anos
Tumores do tronco cerebral 
• 8 a 20% - de todos os tumores na infância 
• 12 a 18% - dos tumores da fossa posterior 
• Pico – entre 5 e 8 anos 
• Sem predomínio de sexo
Tumores do tronco cerebral(quadro 
clínico) 
• Diplopia 
• Cefaléia 
• Vômitos 
• Torcicolo 
• Hemiparesia 
• Alteração da marcha 
• 50 a 93% - pares cranianos 
• Trato piramidal – 40 a 80% dos casos 
• Alterações de comportamento – 30% 
• Hidrocefalia – 20 a 55%
Tumores do tronco 
cerebral(imagem) 
• Classificação de Choux 
– Tipo I – tumor intrínseco, difuso, hipodenso 
na TC ou hipointenso em T1e sem aumento 
de sinal 
– Tipo II – tumor intrínseco e focal, sólido ou 
cístico, localizado em um dos 3 níveis do 
tronco 
– Tipo III – tumor exofítico dorsal ou lateral 
– Tipo IV – tumor bulbomedular
Tumores do tronco 
cerebral(tratamento e prognóstico) 
• Sem consenso 
• Lesões difusas – RT ou RT + QT 
– Sobrevida – 10 meses 
• Cirurgia – sequelas graves
•OBRIGADO!

Tumores intracranianos

  • 1.
    Tumores intracranianos MarcusPetindá Estagiário Neurologia Infantil HBDF
  • 2.
    Quadro clínico •3 elementos – Cérebro – LCR – sangue • Papiledema • Edema cerebral – Vasogênico – Citotóxico – Intersticial
  • 3.
    Quadro clínico •Apresentação clínica – Sinais focais cerebrais, cefaléia, crises epilépticas – Aumento da PIC – Síndrome específica de tumor intracraniano
  • 4.
    Quadro clínico •Cefaléia – variável – Supratentorias – dor do lado do tumor – Infratentorias – dor retroauricular e cefaléia occipital ipsilaterais
  • 5.
    Quadro clínico •Vômitos – Mais comum em tumor de fossa posterior – Sem relação com a ingesta de alimentos – Antes do café da manhã • Tonteira – Fossa posterior – Sentimentos de insegurança
  • 6.
    Quadro clínico •Crises epilépticas – 20 a 50% – Focal ou parcial com tendência a generalização – Adulto – é a 1ª manifestação mais comum • Astenia psicomotora
  • 7.
  • 8.
    Tumores da regiãosuprasselar • Craniofaringiomas – Benignos – Origem epitelial não gliais – 6,3 a 12,5 – 2º tumor mais frequente – Ocorrem preferencialmente nas 2 primeiras décadas de vida
  • 9.
    Craniofaringiomas(divisão de Choux) • Grupo A – selar, sem invasão do III ventrículo) • Grupo B – tumores infundibulotuberais • Grupo C – tumores intraventriculares • Grupo ABC – atinge todas as áreas descritas
  • 10.
    Craniofaringiomas(quanto à extensão) • Expansão pré-quiasmática • Subquiasmática • Retroquiasmática • Lateral
  • 11.
    Craniofaringioma(quadro clínico) •Crescimento lento e progressivo • Grande intervalo entre o início dos sintomas e o diagnóstico • Cefaléia – HIC(hidrocefalia) • Grupo A(intrasselares) – crianças> 5 anos; alterações endócrinas
  • 12.
    Craniofaringioma(quadro clínico) •Alterações endócrinas – 1º sintoma em 16% dos casos – Déficit de crescimento – Síndrome de poliúria polidipsia – Deficiência de GH, LH e FSH – Atraso pubertário – 25 a 66% – Diabetes insipidus – 0 a 29% – Obesidade – 20%
  • 13.
    Craniofaringioma(quadro clínico) •Alterações visuais – 44 a 97,9% – Alterações campimétricas – Papiledema – Amaurose • Expansão para a fossa posterior ou média – outros pares cranianos • Apatia, agitação, instabilidade emocional, agressividade • Crises epilépticas são raras
  • 14.
    Craniofaringioma(imagem) • Rxde crânio – 50% – 54 a 96% - calcificações suprasselares • TC – Calcificações, caráter cístico da lesão e hiperatenuação após injeção de contraste – Hipodensa • RM – Estabelece os limites e as relações da lesão(hipotálamo, quiasma e III ventrículo) – Limites da zona de gliose peritumoral e córtex – Hiperintensa em T2 e intensidade variável em T1
  • 15.
    Azul – dilataçãoventricular Amarela – cisto Vermelho - sólida
  • 16.
    Craniofaringioma(tratamento) • Ideal– ressecção completa • Índice de remoção completa – 66 a 100% • Mortalidade – 7,5% • Recorrência tumoral – 5 a 30% • Técnicas – subfrontal, pterional, subtemporal, transcalosal, transesfenoidal e transpalatal. Se necessário em 2 tempos • RT – Ressecção subtotal – Radiocirurgia – Intersticial • Bleomicina – intracavitária, injetada por via estereotaxial
  • 17.
    Tumores do hemisfériocerebral • Astrocitomas – 1/3 dos tumores supratentoriais – 80% origem neuroepitelial – Mais frequentes dos tumores supratentoriais – Sexo – sem predileção – Pico de incidência – 8 a 12 anos – 50% - malignos
  • 18.
    Astrocitomas(quadro clínico) •HIC e compressão local – Cefaléia matutina – Vômitos – Macrocrania - < 2 anos – Papiledema – 40 a 60% – Paresia do nervo abducente – 20% • Hemiparesias, hemiparestesias, mudanças de comportamento e alterações visuais • Epilepsia – 40 a 60%(1ª manifestação)
  • 19.
    Astrocitomas(imagem) • TC– lesões corticais ou subcorticais hipodensas; pouca ou nenhuma captação de contraste • RM – lesão hipointensa em T1; que pode aumentar intensidade com injeção de gadolínio. Exata localização do tumor
  • 22.
    Tumores das viasópticas • Gliomas • 2,7 a 8% dos tumores intracranianos pediátricos • Divisão – Gliomas do nervo óptico – Gliomas opticoquiasmais, com envolvimento hipotalâmico • Astrocitomas de baixo grau – Pilocíticos 60% – Fibrilares 40% – Gangliogliomas raros
  • 23.
    Astrocitomas(tratamento/prognóstico) • Ideal– ressecção completa; 20% • Ressecção incompleta e tipos malignos – RT e QT • Sobrevida – Benignos – 60 a 70%(longa) – Gliomas – 5 a 15% em 5 anos – Anaplásicos – 20 a 40% em 5 anos – Ressecção completa – cura provável – 83%
  • 24.
    Tumores das viasópticas • Tumores anteriores – crianças menores • Tumores quiasmáticos – adolescentes • Sexo feminino • Diagnóstico – ¼ no 1º ano de vida – 80% até os 5 anos • NF1 – Presente em 10 a 70% – Pacientes com NF1 – probabilidade de 15 a 23%
  • 25.
    Tumores das viasópticas(quadro clínico) • Depende da localização e relação anatômica • Proptose – 50% • Atrofia do n. óptico – 60% • Papiledema – 20% • Oftalmoplegia – 25% • HIC + hidrocefalia(f. de Monro) – t. quiasmáticos hipotalâmicos • Puberdade precoce + déficit de crescimento • Síndrome diencefálica(Russel) -28 a 75% – Perda de tecido gorduroso – Hipercinesia – Estatura normal
  • 26.
    Tumores das viasópticas(imagem) • TC – Aumento fusiforme do nervo óptico – Isodenso e não captante – Alargamento do canal óptico – Raramente calcificações • RM – Exata localização – Isotensa em T1 – Hiperintensa em T2 • Acompanhamento evolutivo com PEV
  • 27.
    Tumores das vias ópticas(tratamento/prognóstico) • Sem perda visual – acompanhamento clínico • Ressecção completa – Cura – Perda visual • NF1 + perda parcial da visão – PEV – Avaliação radiológica semestral
  • 28.
    Tumores das vias ópticas(tratamento/prognóstico) • Gliomas quiasmáticos-hipotalâmicos – Preservação visual e pouco efeito de massa • Biópsia + RT – Microcirurgia • Ressecção radical – 60% • Mortalidade cirúrgica > 8% – Melhora ou estabilização visual – 60% – Ressecção parcial – pode ocorrer redução tumoral
  • 29.
    Tumores das vias ópticas(tratamento/prognóstico) • RT – Involução ou estabilização da lesão – 40% – Piora intelectual, visual ou endócrina • QT – Diminuição do tumor – 1/3 • Sobrevida – Em 5 anos – 70 a 100% – Em 13 anos – 50%
  • 30.
    Tumores da regiãopineal • 3 a 8% dos tumores cranianos em crianças • 3 grupos – Linhagem germinativa – Células do corpo pineal – Inespecíficos
  • 31.
    Tumores germinativos •50% • Germinomas • Podem secretar alfafetoproteínas, fosfatase alcalina placentária ou beta- HCG
  • 32.
    Tumores das célulasdo corpo pineal • 20 a 50% • Pineocitomas ou pineoblastomas
  • 34.
    Tumores inespecíficos •Gliomas • Meningiomas • Hemangiomas • Hemangiopericitomas • Melanomas • Metástases
  • 35.
    Quadro clínico •Depende da compressão de estruturas vizinhas • HIC + hidrocefalia – 85% • Síndrome de Parinaud(paralisia do olhar conjugado vertical para cima e menos freqüentemente para baixo, midríase, ausência de reação pupilar à luz e incapacidade para a convergência ocular) – 50% • Oftalmoparesias, alterações endócrinas, sinais piramidais, alterações cerebelares, alterações sensitivas, síndrome extrapiramidal e epilepsia
  • 36.
    Imagem • TC– identificação da hidrocefalia • RM – melhor definição da lesão e limites
  • 37.
    Tratamento/prognóstico • Cirurgia – Transcalosal posterior – Transventricular posterior – Subcoroidal anterior – Occipital infratentorial, supra e transtetorial Mortalidade cirúrgica – 10% • Prognóstico depende do tipo histológico – Geminomas – sobrevida de 5 anos – 80% – Demais tumores – prognóstico reservado
  • 38.
    Tumores do 1ºano de vida • Origem neuroectodérmica – 90% • Teratoma – mais comum • Podem ser congênitos • Sinais de HIC, macrocrania, alterações no DNPM e crises epilépticas
  • 39.
    Tumores do plexocoróide • Crianças < 2 anos • Sexo masculino 2:1 • Ventrículos laterais – 70% • Detectáveis em US
  • 40.
    Tumores do plexocoróide(quadro clínico) • Efeito de massa • Hidrocefalia – Obstrução liquórica – Aumento na produção liquórica • Déficits motores, sensitivos, sinais cerebelares, paresia de pares cranianos • Papilomas, carcinomas ou adenomas
  • 41.
    Tumores do plexo coróide(tratamento) • Cirúrgico – altamente vascularizados • RT e QT questionáveis • Sobrevida de 5 anos > 80%
  • 42.
  • 43.
    Tumores da fossaposterior • Meduloblastoma • Astrocitoma cerebelar • Ependimomas • Tumores do tronco cerebral
  • 44.
    Meduloblastoma • Embrionáriomaligno • Primitivo neuroectodérmico • < 15 anos – 10-20% • Pico de incidência – 8-9 anos • Meninos 2:1 • Suplementação vitamínica gestacional – efeito protetor(?) • 30% - cromossomo 17q – pior prognóstico
  • 45.
    Meduloblastoma(quadro clínico) •Anormalidades na linha média da fossa posterior • Ataxia cerebelar • Cefaléia, vômitos e letargia – hidrocefalia obstrutiva(IV ventrículo) e HIC(precoce) • Pares cranianos – oculomotor(III), facial(VII), vestibulo-coclear(VIII) • Macrocrania – crianças menores • Sinais meníngeos • Síndrome piramidal – tronco cerebral
  • 46.
    Meduloblastoma(imagem) • TC– 50%, lesão bem definida, hiperdensa e hipercaptante – Linha média – Preenchimento do IV ventrículo(canal medular e III ventrículo) – Cistos; necrose – Hidrocefalia obstrutiva • RM – Definiçao mais precisa dos limites – Hipointensa em T1 e hiperintensa em T2 – Melhor detecção de metástases
  • 48.
    Meduloblastoma(tratamento) • Cirurgia • Corticoterapia pré-operatória – Dexametasona – • 1 mg/kg de ataque • 0,5 a 1 mg/kg/dia – HIC • DVP – avaliação • Pós-operatório – Meningismo, ataxia, alteração da motricidade ocular e mutismo intermitente
  • 49.
    Meduloblastoma(tratamento) • RT- > 2 anos • QT- boa quimiossensibilidade
  • 50.
    Meduloblastoma(estadiamento e prognóstico) • RM e análise do LCR(pesquisa de céls neoplásicas) – 20º dia de po • 25% - disseminação no neuroeixo • Pior prognóstico – Metástases – < 4 anos – Ressecção parcial – Histologia com linhagem celular glial, ependimal ou neuronal
  • 51.
    Meduloblastoma(estadiamento e prognóstico) • Grupos prognósticos • Alto risco – < 2 anos – Ressecção < 75% – Metástases – Céls tumorais no LCR • Baixo risco – > 2 anos – Ressecção radical – Ausência de disseminação liquórica
  • 52.
    Meduloblastoma(estadiamento e prognóstico) • Seguimento ambulatorial – Trimestral – 2 anos – Semestral • Recidiva – 1 a 5 anos • Sobrevida – 5 anos – 56% – 10 anos – 43%
  • 53.
    Astrocitoma cerebelar •12 – 28% - de todos os tumores da infância • sem predomínio de sexo • 2 picos – 6 – 9 anos – Adolescência
  • 54.
    Astrocitoma cerebelar(quadro clínico) • Crescimento lento • Piora progressiva de cefaléia e vômitos • HIC + hidrocefalia • Sinais cerebelares • Pares cranianos – oculomotor(III), troclear(IV), abducente(VI) • 1/3 – sinais piramidais
  • 55.
    Astrocitoma cerebelar(imagem) •TC – 3 padrões • Grande cisto tumoral com nódulo mural sólido • Tumor sólido com áreas císticas • Tumor cístico circundado por lesão sólida – IV ventrículo desviado – A. fibrilar – lesão hipodensa, homogênea, com pouco edema perilesional, sem captação de contraste. Calcificações – 10 a 20% – A. anaplásico – lesão heterogênea, com captação irregular de contraste
  • 57.
    Astrocitoma cerebelar(imagem) •RM – Massa bem definida – Hipointensas em T1; hiperintensa em T2
  • 58.
    Astrocitoma cerebelar(tratamento) •Cirúrgico • Corticoterapia pré-operatória • Mortalidade cirúrgica – 1 a 7% • DVP – 10 a 72% • RT e QT - controverso
  • 59.
    Astrocitoma cerebelar(prognóstico) •90% - malignidade baixa • Ressecção incompleta – recidiva em até 4 anos • Tipo difuso – > recidiva, <sobrevida • Tipo pilocítico – sobrevida = 94% em 10 anos • Tipo difuso – sobrevida = 29% em 10 anos
  • 60.
    Ependimomas • Qualquerlugar do neuroeixo • 60 a 70% - infratentoriais • 10-20% dos tumores de fossa posterior em crianças • Histologicamente – 80% benignos – 20% malignos • < 5 anos • Sexo masculino 1,3:1
  • 61.
    Ependimomas(quadro clínico) •Vômitos – meses • Hidrocefalia obstrutiva – IV ventrículo • Rigidez de nuca e torcicolo – progressão caudal • Cefaléia – 80% • Ataxia – 60%
  • 62.
    Ependimomas(imagem) • TC– padrão irregular, calcificações • RM sinal heterogêneo em T1 e T2
  • 63.
    Ependimomas(tratamento e prognóstico) • Cirurgia • Pré-operatório – RM do neuroeixo e análise do LCR • RT > 2 anos • QT – não indicada • Mortalidade cirúrgica – 5 a 8% • Sobrevida de 41% em 5 anos • Recidiva é muito frequente – 3 anos
  • 64.
    Tumores do troncocerebral • 8 a 20% - de todos os tumores na infância • 12 a 18% - dos tumores da fossa posterior • Pico – entre 5 e 8 anos • Sem predomínio de sexo
  • 65.
    Tumores do troncocerebral(quadro clínico) • Diplopia • Cefaléia • Vômitos • Torcicolo • Hemiparesia • Alteração da marcha • 50 a 93% - pares cranianos • Trato piramidal – 40 a 80% dos casos • Alterações de comportamento – 30% • Hidrocefalia – 20 a 55%
  • 66.
    Tumores do tronco cerebral(imagem) • Classificação de Choux – Tipo I – tumor intrínseco, difuso, hipodenso na TC ou hipointenso em T1e sem aumento de sinal – Tipo II – tumor intrínseco e focal, sólido ou cístico, localizado em um dos 3 níveis do tronco – Tipo III – tumor exofítico dorsal ou lateral – Tipo IV – tumor bulbomedular
  • 68.
    Tumores do tronco cerebral(tratamento e prognóstico) • Sem consenso • Lesões difusas – RT ou RT + QT – Sobrevida – 10 meses • Cirurgia – sequelas graves
  • 69.