Incorporar apresentação
Baixado 65 vezes




















































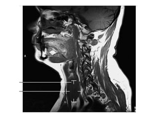
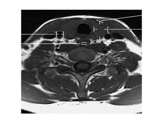
O documento fornece informações sobre como realizar exames de ressonância magnética do pescoço e angiorressonância magnética das carótidas, incluindo parâmetros, programação, anatomia, exames estruturais e funcionais, dicas e protocolos.


















































