RM CRÂNIO
Herculys Douglas
Teresina
2015
RESSONÂNCIA MAGNÉTICA DO CRÂNIO
Proporciona uma boa diferenciação entre os tecidos
“moles”.
Pouca sensibilidade para identificação de calcificação.
Alta sensibilidade para lesões degenerativas, epilepsia,
mielinização, entre outras.
PARÂMETROS
• Posicionamento
• Programação
• Anatomia/Patologia
• Exames estruturais e
funcionais
PROGRAMAÇÃO
• Localizador ou sequência.
• Início e fim dos cortes.
• Orientação.
LOCALIZADOR
PLANEJAMENTO AXIAL
PLANEJAMENTO SAGITAL
PLANEJAMENTO CORONAL
PONDERAÇÕES
SPIN ECO X GRADIENTE
ECO
RECUPERAÇÃO DE INVERSÃO
- IR
FLAIR STIR
FLAIR E T2
FLAIR E T1
PONDERAÇÕES E CONTRASTES
PÓS-CONTRASTE EM T1
PÓS-CONTRASTE EM T1
PÓS-CONTRASTE EM T1
PROTOCOLO
ADICIONAIS
 COR STIR E FLAIR HIPOC.
 SAG FLAIR CUBE
 SAG 3D FIESTA
 AX 3D FIESTA
 ETC.
ROTINA
 AX T2 FLAIR
 AX T2 PROPELLER
 AX DIFUSÃO
 SWI
 AX T1+C
 COR T1 FAT+C
 FSPGR 3D BRAVO
ANATOMIA TOPOGRÁFICA
Plano sagital
Medula oblongaPonte
Mesencéfalo
Hipófise
Giro do cíngulo
Pineal
Corpo caloso
(corpo)
Quiasma óptico
IV ventrículo
Clivus Cerebelo
Corpo caloso
(esplênio)
Corpo caloso
(joelho)
Fórnix
Tenda do
cerebelo
Tálamo
Hipocampo
Lobo temporal
Ventrículo lateral
(corno temporal)
Região
insular
ANATOMIA TOPOGRÁFICA
Plano axial
Hemisfério
cerebelar
Medula oblonga
(bulbo)
Mastóide
Cisterna
magna
a.vertebral
Clivus
Ponte
Ventrículo lateral
(corno temporal)
Lobo occipital
Vermis cerebelar
Artéria cerebral
média direita
Lobo frontal
(giro reto)
Aqueduto
cerebral
Cisterna
cerebelar superior
Pedúnculo
cerebral
Vermis
cerebelar
Lobo occipital
Lobo frontal
Cisterna
quadrigeminal
III ventrículo
Lobo occipital
Fissura interhemisférica
Ínsula
Cabeça
núcleo caudado
Núcleo lentiforme
(putamen e globo pálido)
Claustrum
Fórnix
(septo pelúcido)
Ventrículo lateral
(atrium)
Ventrículo lateral
(corno frontal)
Corpo caloso
(joelho)
Corpo caloso
(esplênio)
Giro cingulato
Lobo parietal
Lobo frontal
Ventrículo lateral
(corpo)
Coroa radiada
Núcleo caudado
(cabeça)
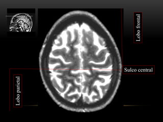
Lobofrontal
Loboparietal
Sulco central
ANATOMIA TOPOGRÁFICA
Plano coronal
Giro frontal
superior
Giro frontal
médio
Giro frontal
inferior
Foice
inter-hemisférica
Seio sagital superior
Corpo caloso
(joelho)
Ventrículo lateral
(corno frontal)
Lobo
temporal
Corpo caloso
(corpo)
Quiasma
óptico
Cápsula interna
Núcleo caudado
(cabeça)
Ínsula
a. cerebral
média
III ventrículo
Tálamo
Septo pelúcido
Fissura
Sylviana
Hipocampo
Ventrículo lateral
(corno temporal)
Ponte
Forame de
Monroe
Mesencéfalo
Ponte
Medula oblongaHipocampo
Coroa radiada
Pedúnculo
cerebelarCerebelo
Corpo caloso
(esplênio)
Centro
semioval
Tenda do
cerebelo
Cisterna
supracerebelar
IV ventrículo
Vermis
cerebelar
Lobo
parietal
Seio reto
Seio sagital superior
Ventrículo lateral
(corno posterior)
Lobo parietal
Cerebelo
Vermis
Tenda do
cerebelo
ANGIO-RM
ESPECTROSCOPIA
• Técnica não-invasiva capaz de
oferecer informação
metabólica/bioquímica sobre o
parênquima cerebral e sobre
vários processos patológicos.
• Capaz de identificar patologias
invisíveis na rotina de crânio.
• Doenças psiquiátricas e
neurodegenerativas
(Alzheimer).
PERFUSÃO
• Estudo da quantidade de
contraste num dado volume de
tecido.
• Estudo da suplementação
sanguínea.
• Gráficos
DIFUSÃO (DWI)
• Estudo do movimento
browniano.
• Restrições de fluxo arterial.
• Utilizado pra casos de AVC e
AIT.
TRACTOGRAFIA
FLUXO LIQUÓRICO
• Informações sobre o fluxo e
velocidade dos líquidos.
• Estudo de hidrocefalias
HIDROCEFALIA
RM CRÂNIO
RM CRÂNIO
RM CRÂNIO
RM CRÂNIO
RM CRÂNIO
RM CRÂNIO

RM CRÂNIO