Instituto Mineiro de Endocrinologia Dr. Geraldo Santana www.endocrinologia.com.br Atlas de Greulich Pyle Idade óssea
Recém nascido
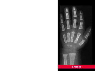
3 meses
6 meses
9 meses
1 ano
1 ano e 3 meses
1 ano e 6 meses
2 anos
2 anos e  8 meses
3 anos
3 anos e 6 meses
4 anos
4 anos e 6 meses
5 anos
6 anos
7 anos
8 anos
9 anos
10 anos
11 anos
11 anos e 6 meses
12 anos e 6 meses
13 anos
13 anos e 6 meses
14 anos
15 anos
15 anos e 6 meses
16 anos
17 anos
18 anos
19 anos
Idade óssea Instituto Mineiro de Endocrinologia Dr. Geraldo Santana www.endocrinologia.com.br Atlas de Greulich Pyle
Recém Nascido
3 meses
6 meses
9 meses
1 ano
1 ano  e 3 meses
1 ano e 6 meses
2 anos
2 anos e 6 meses
3 anos
3 anos 6 meses
4 anos e 2 meses
5 anos
5 anos e 9 meses
6 anos e 10 meses
7 anos e 10 meses
8 anos e 10 meses
10 anos
11 anos
12 anos
13 anos
13 anos e 6 meses
14 anos
15 anos
16 anos
17 anos
18 anos

Idade ossea