Síndrome de Dandy-Walker
Histórico 
• Dandy e Blackfan em 1914 
• Designação dada por Benda em 1954 
• Forma específica de hidrocefalia, 
secundária à obstrução ou atresia dos 
forames de Luschka e Magendie
Descrição 
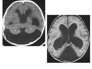
• Hidrocefalia severa supratentorial; 
• Dilatação cística do 4º ventrículo; 
• Vermix pequeno; 
• Afastamento dos hemisférios cerebelares; 
• Ausência do teto do 4º ventrículo; 
• Espessamento e opacificação da pia-aracnóide 
das cisternas da base do crânio; 
• Dilatação do aqueduto
Patogenia 
• Falha do desenvolvimento dos forames de 
Luschka e Mangedie, durante o 4º mês de vida 
fetal, levando ao abaulamento cístico do 4º 
ventrículo e à hidrocefalia(Dandy e Blackfan) 
• Complexo Dandy-Walker 
– Dandy-Walker 
– Variante 
– Cisto de aracnóide retrocerebelar 
– Falha do desenvolvimento do teto do rombencéfalo
Retardo mental e Síndrome de 
Dandy-Walker 
• Presente em metade dos pacientes 
• Hidrocefalia severa 
• Anomalias supratentoriais 
– Disgenesia do corpo caloso 
– Heterotopia da substância cinzenta 
– Malformações dos giros cerebrais 
– cefaloceles
Retardo mental e Síndrome de 
Dandy-Walker 
• Crises epilépticas 
• Dificuldades visuais e auditivas 
• Pobre desenvolvimento intelectual 
• Hipoplasia do vermix cerebelar
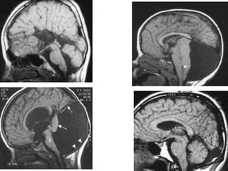
Ressonância magnética 
• 4º ventrículo aberto para um largo cisto de 
fossa posterior; 
• Alta inserção da tenda do cerebelo; 
• Pequeno e displásico vermix cerebelar
Conclusão 
• Vermix normalmente lobulado e ausência 
de malformações supratentoriais 
• Bom prognóstico para um 
desenvolvimento intelectual normal
• Vermix anormal; anormalidades 
supratentoriais ou crises epilépticas 
• Retardo mental
• Avaliação do QI e desenvolvimento 
intelectual 
• WISC III e Brunet-Lezine
Importância do cerebelo 
• Neurotômica 
– Estruturas telencefálicas(motora, límbica e 
áreas associativas) 
– Tálamo e córtex 
• Funcional 
– Memória, percepção, atenção, linguagem 
• Neuropsicológica 
– Regulação do sensório, comportamento, 
atividade emocional
•OBRIGADO!

Síndrome de dandy walker

  • 1.
  • 2.
    Histórico • Dandye Blackfan em 1914 • Designação dada por Benda em 1954 • Forma específica de hidrocefalia, secundária à obstrução ou atresia dos forames de Luschka e Magendie
  • 3.
    Descrição • Hidrocefaliasevera supratentorial; • Dilatação cística do 4º ventrículo; • Vermix pequeno; • Afastamento dos hemisférios cerebelares; • Ausência do teto do 4º ventrículo; • Espessamento e opacificação da pia-aracnóide das cisternas da base do crânio; • Dilatação do aqueduto
  • 4.
    Patogenia • Falhado desenvolvimento dos forames de Luschka e Mangedie, durante o 4º mês de vida fetal, levando ao abaulamento cístico do 4º ventrículo e à hidrocefalia(Dandy e Blackfan) • Complexo Dandy-Walker – Dandy-Walker – Variante – Cisto de aracnóide retrocerebelar – Falha do desenvolvimento do teto do rombencéfalo
  • 7.
    Retardo mental eSíndrome de Dandy-Walker • Presente em metade dos pacientes • Hidrocefalia severa • Anomalias supratentoriais – Disgenesia do corpo caloso – Heterotopia da substância cinzenta – Malformações dos giros cerebrais – cefaloceles
  • 8.
    Retardo mental eSíndrome de Dandy-Walker • Crises epilépticas • Dificuldades visuais e auditivas • Pobre desenvolvimento intelectual • Hipoplasia do vermix cerebelar
  • 9.
    Ressonância magnética •4º ventrículo aberto para um largo cisto de fossa posterior; • Alta inserção da tenda do cerebelo; • Pequeno e displásico vermix cerebelar
  • 12.
    Conclusão • Vermixnormalmente lobulado e ausência de malformações supratentoriais • Bom prognóstico para um desenvolvimento intelectual normal
  • 13.
    • Vermix anormal;anormalidades supratentoriais ou crises epilépticas • Retardo mental
  • 14.
    • Avaliação doQI e desenvolvimento intelectual • WISC III e Brunet-Lezine
  • 15.
    Importância do cerebelo • Neurotômica – Estruturas telencefálicas(motora, límbica e áreas associativas) – Tálamo e córtex • Funcional – Memória, percepção, atenção, linguagem • Neuropsicológica – Regulação do sensório, comportamento, atividade emocional
  • 16.