SARCOIDOSE

           Cássia Souza Farias do Vale
                Clínica Médica / FSCMPA


    2012
INTRODUÇÃO
• Doença granulomatosa (não caseosa) sistêmica

• Hutchinson (1877) e Boeck (1899)

• Incidência mundial
   –   Mulheres x Homens (variável)
   –   Bimodal: 20 – 30a e 50 – 60a
   –   Negros (35,5/100 mil hab nos EUA)
   –   Maior nos EUA, Europa Central e Japão
   –   Menos frequente (subdiagnosticado?) nas Américas
       Central e do Sul
ETIOLOGIA
• Ainda desconhecida
• Fatores Genéticos
   – Justifica diferenças na incidência e apresentação clínica
   – HLA classe I e classe II
   – Risco 5x maior entre familiares
• Fatores Ambientais
   – M. tuberculosis, Histoplasma sp., Herpes virus, Epstein-Barr
     virus, Mycoplasma, Chlamydia, Propionibacterium sp.
   – Poeira de argila, talco, sílica, alumínio, berílio, inseticidas
IMUNOPATOGÊNESE
IMUNOPATOGÊNESE
DIAGNÓSTICO
• Achados clínico-radiológicos

• Biopsia com histopatológico
   – Confirmatório e de eleição
   – Granulomas não caseosos e com pesquisa de
     microorganismos negativa
• Outros
   – Testes de Kveim-Sitzbach: uso histórico
   – Quantificação da atividade da ECA
   – Cintilografia de corpo inteiro
MANIFESTAÇÕES CLÍNICAS
• Depende do órgão comprometido e da atividade
  granulomatosa. Pulmonar é a principal
• Cerca de 1/3 são assintomáticos

• Sintomas inespecíficos

   – Febre baixa (em geral)

   – Fadiga crônica

   – Perda ponderal

   – Sudorese noturna
SARCOIDOSE
                 Envolvimento Pulmonar
• 90% dos casos, mesmo com predomínio extrapulmonar
   – Tosse seca, dispnéia e dor torácica (30 a 50%)
   – Estertores crepitantes e baqueteamento digital (20%)
   – Hemoptise está relacionada com bronquiectasias

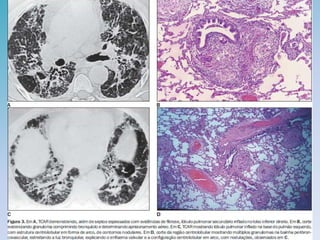
• Radiografia de Tórax
   – Anormal (85 a 95%) e com vários padrões
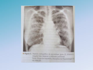
   – LFNmegalia hilar bilateral é mais típico (75%)

• Sd Löfgren
   – Febre + Eritema Nodoso + Poliartrite + LFNmegalia Hilar
     Pulmonar Bilateral
SARCOIDOSE
              Envolvimento Pulmonar

                                            RESOLUÇÃO
    CLASSIFICAÇÃO RADIOLÓGICA
                                           ESPONTÂNEA
0 Radiografia de tórax normal                 -------
1 Linfadenomegalia hilar bilateral (LHB)    60 – 90%
2 LHB + Infiltrado Pulmonar                 40 – 70%
3 Infiltrado Pulmonar (sem LHB)             10 – 20%
4 Fibrose Pulmonar                             0%
SARCOIDOSE
             Envolvimento Cutâneo
• Pode ser primeira manifestação (25 – 35%)
• Eritema Nodoso (10%)
   – Em geral, relacionado a fase aguda
   – Prognostico favorável, com remissão espontânea
   – Mulheres; Região Pré-Tibial
• Lúpus Pérnio
   – Relacionado a quadros crônicos
   – Pior prognostico e formas extrapulmonares
   – Mais prevalente em negros
SARCOIDOSE
               Envolvimento Ocular
• Uveíte Anterior (65%)
   – 1/3 casos são assintomáticos
   – Borramento visual, fotofobia, dor e hiperemia ocular
   – Crônica: glaucoma e perda visual
• Uveíte Posterior
   – Hemorragias retiniana e vítrea
   – Neovascularização e Retinopatia proliferativa
• Conjuntivite, dacrocistite e Neuropatia Óptica**
• Avaliação oftalmológica periódica
SARCOIDOSE
             Envolvimento Neurológico
• Pode preceder diagnostico de sarcoidose (74%)

• 15% dos óbitos nos EUA

• Quadro clinico
   –   Paralisia de NC: Facial periférica mais comum
   –   Cefaléia: meningite asséptica
   –   Ataxia
   –   Disfunção Cognitiva
   –   Convulsões
• RNM com gadolíneo, sendo EM principal diferencial
SARCOIDOSE
SARCOIDOSE
        Envolvimento Hepatoesplênico
• Sd colestatica pode ocorrer por infiltração granulomatosa
   – Hepatomegalia (5 – 15%)
   – Esplenomegalia (5 – 14%)

• Hepatopatia Grave é raro
   – Cirrose
   – Hipertensão Portal
   – Sd Hepatopulmonar
SARCOIDOSE
                  Envolvimento Cardíaco
• Complicação rara (< 10%), porém fatal

• Principal mortalidade no Japão (77%)

• Infiltração granulomatosa
   –   Parede livre VE, septo interventricular e sistema condução
   –   Insuficiência valvar, aneurismas ventriculares
   –   Bradi/Taquiarritmias
   –   Morte Súbita por Fibrilação ventricular

• RNM com gadolínio e PET-CT são mais indicados
SARCOIDOSE
                   Envolvimento Renal
• Nefrolitíase e nefrocalcinose são mais comuns

• Distúrbios do Cálcio
   – Vitamina D é convertida para sua forma mais ativa
   – Hipercalciúria(40%), hipercalcemia(11%) e nefrolitíase(10%)

• Nefrite Granulomatosa é mais raro
SARCOIDOSE
                Envolvimento Articular
• Artralgias (70%) ou artrites (38%)

• Artrite Sarcoídea Aguda
   – Periarticular
   – Intermitente e migratória de grandes articulações
   – Auto-limitada (aprox 3 meses)
• Artrite Sarcoídea Cronica
   – Destruição articular
   – Bx Sinovial: + granulomas não caseosos
TRATAMENTO
• Evolução clinica é variável
   – Resolução espontânea nos 2os anos (85%)
   – Cronicidade (10 a 30%): alterações radiológicas persistem
     por 2 anos ou mais
• Fatores desfavoráveis
   – Início após 40 anos
   – Mullheres e Raça negra
   – Hipercalcemia, Lúpus Pérnio e Infiltrado Pulmonar
TRATAMENTO
• Terapêutica depende do órgão acometido

   – Absoluta: cardíaco, neurológico, ocular e renal


• Comprometimento Pulmonar

   – CVF < 70%

   – Piora funcional: queda > 15% CFV ou VEF1; > 20% DLCO

   – Hipoxemia em repouso ou esforço
TRATAMENTO
• Prednisona 20 a 40 mg/dia (ou equivalente)
   – Doses maiores para cardíaco ou neurológico
   – Resposta clinica em 4 a 8 semanas
   – Havendo melhora, faz-se redução gradativa CE, mantendo-o
     por 9 a 12 meses
• Não resposta em 3 meses: dose insuficiente ou resistência
TRATAMENTO
• MTX 15 a 25 mg/sem
   – Efetivo em ate 60%
   – Poupador de CE
• Azatioprina 100 a 150 mg/dia

• Hidroxicloroquina e Anti-TNF-alfa (Talidomida) - cutâneo

• Biológicos (Infliximab) – opção resistência
Sarcoidose

Sarcoidose

  • 1.
    SARCOIDOSE Cássia Souza Farias do Vale Clínica Médica / FSCMPA 2012
  • 2.
    INTRODUÇÃO • Doença granulomatosa(não caseosa) sistêmica • Hutchinson (1877) e Boeck (1899) • Incidência mundial – Mulheres x Homens (variável) – Bimodal: 20 – 30a e 50 – 60a – Negros (35,5/100 mil hab nos EUA) – Maior nos EUA, Europa Central e Japão – Menos frequente (subdiagnosticado?) nas Américas Central e do Sul
  • 3.
    ETIOLOGIA • Ainda desconhecida •Fatores Genéticos – Justifica diferenças na incidência e apresentação clínica – HLA classe I e classe II – Risco 5x maior entre familiares • Fatores Ambientais – M. tuberculosis, Histoplasma sp., Herpes virus, Epstein-Barr virus, Mycoplasma, Chlamydia, Propionibacterium sp. – Poeira de argila, talco, sílica, alumínio, berílio, inseticidas
  • 4.
  • 6.
  • 7.
    DIAGNÓSTICO • Achados clínico-radiológicos •Biopsia com histopatológico – Confirmatório e de eleição – Granulomas não caseosos e com pesquisa de microorganismos negativa • Outros – Testes de Kveim-Sitzbach: uso histórico – Quantificação da atividade da ECA – Cintilografia de corpo inteiro
  • 8.
    MANIFESTAÇÕES CLÍNICAS • Dependedo órgão comprometido e da atividade granulomatosa. Pulmonar é a principal • Cerca de 1/3 são assintomáticos • Sintomas inespecíficos – Febre baixa (em geral) – Fadiga crônica – Perda ponderal – Sudorese noturna
  • 10.
    SARCOIDOSE Envolvimento Pulmonar • 90% dos casos, mesmo com predomínio extrapulmonar – Tosse seca, dispnéia e dor torácica (30 a 50%) – Estertores crepitantes e baqueteamento digital (20%) – Hemoptise está relacionada com bronquiectasias • Radiografia de Tórax – Anormal (85 a 95%) e com vários padrões – LFNmegalia hilar bilateral é mais típico (75%) • Sd Löfgren – Febre + Eritema Nodoso + Poliartrite + LFNmegalia Hilar Pulmonar Bilateral
  • 11.
    SARCOIDOSE Envolvimento Pulmonar RESOLUÇÃO CLASSIFICAÇÃO RADIOLÓGICA ESPONTÂNEA 0 Radiografia de tórax normal ------- 1 Linfadenomegalia hilar bilateral (LHB) 60 – 90% 2 LHB + Infiltrado Pulmonar 40 – 70% 3 Infiltrado Pulmonar (sem LHB) 10 – 20% 4 Fibrose Pulmonar 0%
  • 22.
    SARCOIDOSE Envolvimento Cutâneo • Pode ser primeira manifestação (25 – 35%) • Eritema Nodoso (10%) – Em geral, relacionado a fase aguda – Prognostico favorável, com remissão espontânea – Mulheres; Região Pré-Tibial • Lúpus Pérnio – Relacionado a quadros crônicos – Pior prognostico e formas extrapulmonares – Mais prevalente em negros
  • 25.
    SARCOIDOSE Envolvimento Ocular • Uveíte Anterior (65%) – 1/3 casos são assintomáticos – Borramento visual, fotofobia, dor e hiperemia ocular – Crônica: glaucoma e perda visual • Uveíte Posterior – Hemorragias retiniana e vítrea – Neovascularização e Retinopatia proliferativa • Conjuntivite, dacrocistite e Neuropatia Óptica** • Avaliação oftalmológica periódica
  • 26.
    SARCOIDOSE Envolvimento Neurológico • Pode preceder diagnostico de sarcoidose (74%) • 15% dos óbitos nos EUA • Quadro clinico – Paralisia de NC: Facial periférica mais comum – Cefaléia: meningite asséptica – Ataxia – Disfunção Cognitiva – Convulsões • RNM com gadolíneo, sendo EM principal diferencial
  • 27.
  • 28.
    SARCOIDOSE Envolvimento Hepatoesplênico • Sd colestatica pode ocorrer por infiltração granulomatosa – Hepatomegalia (5 – 15%) – Esplenomegalia (5 – 14%) • Hepatopatia Grave é raro – Cirrose – Hipertensão Portal – Sd Hepatopulmonar
  • 29.
    SARCOIDOSE Envolvimento Cardíaco • Complicação rara (< 10%), porém fatal • Principal mortalidade no Japão (77%) • Infiltração granulomatosa – Parede livre VE, septo interventricular e sistema condução – Insuficiência valvar, aneurismas ventriculares – Bradi/Taquiarritmias – Morte Súbita por Fibrilação ventricular • RNM com gadolínio e PET-CT são mais indicados
  • 30.
    SARCOIDOSE Envolvimento Renal • Nefrolitíase e nefrocalcinose são mais comuns • Distúrbios do Cálcio – Vitamina D é convertida para sua forma mais ativa – Hipercalciúria(40%), hipercalcemia(11%) e nefrolitíase(10%) • Nefrite Granulomatosa é mais raro
  • 31.
    SARCOIDOSE Envolvimento Articular • Artralgias (70%) ou artrites (38%) • Artrite Sarcoídea Aguda – Periarticular – Intermitente e migratória de grandes articulações – Auto-limitada (aprox 3 meses) • Artrite Sarcoídea Cronica – Destruição articular – Bx Sinovial: + granulomas não caseosos
  • 32.
    TRATAMENTO • Evolução clinicaé variável – Resolução espontânea nos 2os anos (85%) – Cronicidade (10 a 30%): alterações radiológicas persistem por 2 anos ou mais • Fatores desfavoráveis – Início após 40 anos – Mullheres e Raça negra – Hipercalcemia, Lúpus Pérnio e Infiltrado Pulmonar
  • 33.
    TRATAMENTO • Terapêutica dependedo órgão acometido – Absoluta: cardíaco, neurológico, ocular e renal • Comprometimento Pulmonar – CVF < 70% – Piora funcional: queda > 15% CFV ou VEF1; > 20% DLCO – Hipoxemia em repouso ou esforço
  • 36.
    TRATAMENTO • Prednisona 20a 40 mg/dia (ou equivalente) – Doses maiores para cardíaco ou neurológico – Resposta clinica em 4 a 8 semanas – Havendo melhora, faz-se redução gradativa CE, mantendo-o por 9 a 12 meses • Não resposta em 3 meses: dose insuficiente ou resistência
  • 37.
    TRATAMENTO • MTX 15a 25 mg/sem – Efetivo em ate 60% – Poupador de CE • Azatioprina 100 a 150 mg/dia • Hidroxicloroquina e Anti-TNF-alfa (Talidomida) - cutâneo • Biológicos (Infliximab) – opção resistência