Encefalopatias Tóxicas, Nutricionais
e Neurometabólicas Adquiridas
Serviço de Radiologia do HUSM
www.radiologiaufsm.com.br
Monitor Norberto Weber Werle
Profº Carlos Jesus Pereira Haygert
DECORRENTES DE...
• Toxinas Exógenas;
• Intoxicações Endógenas;
• Síndromes Carenciais;
• Distúrbios Metabólicos Sistêmicos;
INTOXICAÇÃO EXÓGENA  EXIGE RM!
SINTOMAS COM RM NORMAL
CAUSA METABÓLICA??
(uremia, hipotireoidismo, I. Hepática?)
PATOLOGIAS
• Abuso de Drogas;
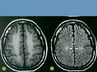
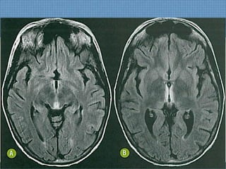
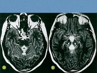
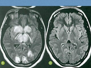
• Encefalopatia por Etanol;
• Doença de Marchiafava-Bignami;
• Encefalopatia por Metanol;
• Intoxicação por Monóxido de Carbono;
• Intoxicação por Solventes;
• Intoxicação por Metais Pesados;
ABUSO DE DROGAS
• Problema antigo com incidência crescente, tendo em vista
maior purificação e descoberta de novos princípios;
• Difícil determinação diagnóstica, tendo em vista preconceito
social e negação do paciente.
CONTEXTO CLÍNICORRADIOLÓGICO INDICATIVO
 Afeccção Vascular Isquêmica ou Hemorrágica com Padrão
Vasculítico;
 Alterações Difusas e Multifocais de SB;
 Atrofia Global ou Bilateral dos NB;
VASCULAR + MIELINA + S. CINZENTA
CLÍNICA
• Exame realizado geralmente por evento ictal vascular ou
epilético;
• Clínica estritamente relacionada ao tipo de droga utilizada;
Síndrome Piramidal + Cefaléia
Distúrbio Vascular H 4:1 I  MAV, PAS e Vasculite
Hipotensão Postural,
Déficit de Memória, Incoordenação
Motora, Alterações
Comportamentais;
CLÍNICA
Leucoencefalopatia ( Hemibalismo, Parkinsonismo,
Síndrome Pseudobulbar), Atrofia Cerebral,
Neuroinfecção Secundária a Endocardite.
AVC, Desidratação Grave,
Hipertermia.
DANO Globo Pálido por via
Serotoninérgica
ACHADOS DE IMAGEM
• Cocaína :
– Hematomas IP, IV e HSA;
– Atrofia e Dano Microvascular – Hiperssinal Multifocal T2/FLAIR;
– Lacunas em território de ACM;
– Gestantes usuárias, implicam em distúrbios do fechamento do
tubo neural fetal  Encefalocele, Holoprosencefalia...
SE VASCULITE:
– Focos isquêmicos à RM Difusão-Perfusão;
– Impregnação arterial T1 + Gadolíneo;
– Angiografia pode mostrar coágulos intraluminais, oclusão,
achado Moyamoya –like;
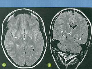
Usuário de Cocaína
Vasculite por Cocaína
Vasculite por Cocaína
ACHADOS DE IMAGEM
• Maconha:
– Diminuição da perfusão por RM e PET;
– Podem ocorrer pequenos infartos lacunares;
• Opióides:
– Hipodensidade/Hiperssinal em T2 de hemisférios cerebelares
e braço capsular posterior; Edemaciação Local;
– Infartos dos Núcleos da Base;
• Ecstasy:
Hipossinal em T1 e Hiperssinal em T2 nos
globos pálidos e lobos occiptais, com
hipodensidade à TC;
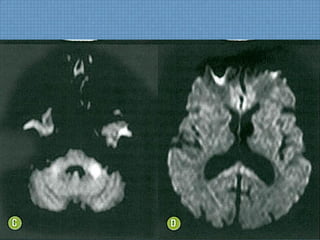
ECSTASY
RECOMENDAÇÕES
• Afastar etiologias mais comuns como afecções vasculares,
infecciosas e neurodegenerativas;
• Diante de um evento súbito e suspeita de abuso de drogas,
iniciar com TC sem contraste e depois estudo por RM e
angiográfico;
• Maconha e infarto  Afastar outra etiologia como embolia ou
uso de cocaína;
• Ectasy  Sempre RM primeiro;
• Aneurisma Micótico  Angio-TC ou Angio-RM;
DIAGNÓSTICO
• Hemorragia espontânea no jovem;
• Hemorragia secundária à cavernoma, MAV,
Aneurisma, HAS;
• Trombose de Seios Venosos;
• Hemorragia Intratumoral;
• Desmielinização;
• Intoxicação por CO = Achados de Ecstasy;
PATOLOGIAS
• Abuso de Drogas;
• Encefalopatia por Etanol;
• Doença de Marchiafava-Bignami;
• Encefalopatia por Metanol;
• Intoxicação por Monóxido de Carbono;
• Intoxicação por Solventes;
ENCEFALOPATIA POR ETANOL
• Substância de origem remota cujo abuso é mais comum;
MECANISMOS DE DANO CENTRAL
 Neurotoxicidade direta;
 Neurotoxicidade de produtos (Metanol e Acetaldeído);
 Deficiências Nutricionais;
 Metábolitos por Insuficiência Hepática;
ALCOOLISTA É:
• Mais predisposto à Neuroinfecção;
• Mais predisposto à trauma;
• Mais predisposto à sangramento IC por
hipovitaminose K e de déficit de fatores da
coagulação;
Hematoma do Alcoolista
CLÍNICA
• Dano cerebelar  Ataxia + Nistagmo;
• Déficit Cognitvo pronunciado;
• Déficit Memória;
• Neuropatia Periférica;
• Delirium Tremens  Podendo implicar em convulsão;
• Ambliopia Tabaco-Álcool;
• Se gestante usuária: MF fetais neurológicas e cardíacas,
RCU, déficit cognitivo fetal e comportamental;
ACHADOS DE IMAGEM
• Atrofia sequencial de:
Porção Superior de Verme LF Encéfalo Total;
• Alargamento de sulcos, F. sylviana e ectasia ventricular;
• Tensor de Difusão pode evidenciar perda de fibras mielinizadas
com diminuição dos feixes neuronais;
• Focos inespecíficos de hiperssinal T2/FLAIR;
• Afilamento e hiperssinal em T2 dos nervos ópticos  Ambliopia
• RM gestacional pode evidenciar agenesia de
corpo caloso e disgenesia cerebelar;
ALCOOLISTA
RM FETAL DE GESTANTE
ALCOOLISTA
ERM
• Confirma presença de etanol com um pico triplo de
metabólito anormal a 1,16 ppm;
• Déficit de Memória : Creatina e colina baixos, com
glutamato elevado;
• Baixo NAA  Dano Axonal;
• Alto mioinositol  Proliferação astrocitária e
reparação glial;
Em busca de atrofia cerebral e complicações decorrentes do
abuso do álcool como HSA e outras coagulopatias, iniciar estudo
com TC sem contraste;
E AÍ?
DIAGNÓSTICO
• Uso crônico de difenil-hidantoína que pode implicar em
atrofia de vermis cerebelar;
• Ataxia espinocerebelar hereditária;
• Atrofia de Múltiplos Sistemas-c com hiperssinal em
T2/FLAIR em hemisférios cerebelares e pedúnculo cerebelar
médio. Acomete putamen geralmente;
• Síndrome do X Frágil: Tremor + Ataxia e hiperssinal em
T2/FLAIR peduncular médio;
• Cerebrite Autoimune e Doença de Wilson;
COMPLICAÇÃO COMUM: Encefalopatia de
Wernicke
PATOLOGIAS
• Abuso de Drogas;
• Encefalopatia por Etanol;
• Doença de Marchiafava-Bignami;
• Encefalopatia por Metanol;
• Intoxicação por Monóxido de Carbono;
• Intoxicação por Solventes;
DOENÇA DE MARCHIAFAVA-BIGNAMI
• Doença decorrente do abuso crônico do álcool, associada à
desnutricão. Pode ocorrer simultaneamente com
Encefalopatia de Wernicke e mielinólise pontina;
CLÍNICA
Início agudo e inespecífico de déficit de consciência, convulsões,
ataxia, confusão, disartria, hipertonia e síndrome piramidal com
desconexão inter-hemisférica, sendo geralmente fatal;
Caracteriza-se por intensa desmielinização do corpo caloso;
ACHADOS DE IMAGEM
• TC:
– Normal;
– Hipodensidade difusa e restrita ao corpo caloso;
• RM:
– Hipossinal em T1 e Hiperssinal em T2/FLAIR com espessamento
do CC na fase aguda;
– Comprometimento central do CC na fase aguda, com
impregnação periférica pelo gadolíneo em T1;
– Restrição à difusão na área acometida;
Exame Inicial se Suspeita Clínica:
- Estudo Multiplanar por RM;
ACHADOS DE IMAGEM-
CRÔNICO
• RM:
– Atrofia seletiva do CC, com degeneração cística de permeio;
– DTI evidencia dano comissural de CC importante;
– Pode ser assimétrica, predominante em joelho e tronco;
• ERM:
– Aumento do pico de colina em decorrência da
desmielinização e presença de neuroinflamação;
– Aumento do lactato;
DOENÇA DE MARCHIAFAVA-BIGNAMI
Clássico Aspecto Trilaminar no T1 com Gadolíneo;
DOENÇA DE MARCHIAFAVA-BIGNAMI
CRÔNICA
DIAGNÓSTICO
• Isquemia Calosal:
– Decorrente de obstrução da circulação anterior ou
posterior. Clínica análoga. Restrição à difusão, mas sem
aspecto trilaminar no T1 com Gd;
• Síndrome de Susac:
– Vasculopatia inflamatória retinococleocerebral. Tríade de
amaurose, surdez NS e encefalopatia;
• Mielinólise Osmótica Extra-pontina;
• Uso de metronidazol;
• Glioblastoma e linfoma em CC;
PATOLOGIAS
• Abuso de Drogas;
• Encefalopatia por Etanol;
• Doença de Marchiafava-Bignami;
• Encefalopatia por Metanol;
• Intoxicação por Monóxido de Carbono;
• Intoxicação por Solventes;
ENCEFALOPATIA POR
METANOL
• Usualmente intoxicação oriunda de líquidos incolores
com odor e paladar análogo ao etanol;
• Solventes industriais;
• Fluidos de limpeza;
• Anticongelantes;
• Combustível espacial ou de F1;
Intoxicação gravíssima geralmente por confusão com
etanol na ingestão, intuito suicida ou líquidos
contaminados industrialmente;
CLÍNICA
• Diarréia, náusea e vômitos 12 a 24 horas após a
ingestão (formação de formaldeído e ácido fórmico);
• Instala-se quadro grave de acidose metabólica;
• Cegueira aguda bilateral;
• Fraqueza, convulsões, torpor e coma;
• Cefaléia;
• Zumbido;
ACHADOS DE IMAGEM
• Inicialmente TC e RM se mostram normais;
• Pode haver hiperssinal em T2 em nervos ópticos e suas vias,
indicando lesão aguda;
• Hipodensidade/Hiperssinal T2-FLAIR putaminal bilateral
hemorrágica  Pior prognóstico;
• Focos hemorrágicos putaminais podem ser vistos como
hiperdensidades/hiperssinal em T2 agudamente, com
restrição à difusão;
24 HORAS
CRONICAMENTE
Alterações de sinal na SB fronto-occiptal, cerebelo e hipocampo,
poupando as fibras U e sem realce
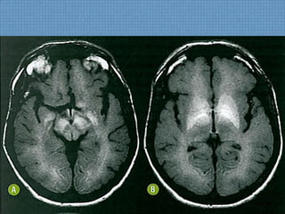
INTOXICAÇÃO POR METANOL
INTOXICAÇÃO POR METANOL-TC
DIAGNÓSTICO
• Iniciar estudo por TC para afastar entidades clínicas de
repercussão aguda;
• Achados sequelares exigem estudo por RM em T2/FLAIR;
• Afastar Doença de Wilson  Usualmente acometimento
putaminal bilateral e de tronco encefálico. Curso clínico
crônico;
• Doença de Leigh: Rara doença mitocondrial pediátrica,
associada à acidose láctica;
• Desequilíbrio Dialítico;
• Ingesta do anticongelante etilenoglicol  Tropismo
por núcleos da base;
PATOLOGIAS
• Abuso de Drogas;
• Encefalopatia por Etanol;
• Doença de Marchiafava-Bignami;
• Encefalopatia por Metanol;
• Intoxicação por Monóxido de Carbono;
• Intoxicação por Solventes;
INTOXICAÇÃO POR MONÓXIDO DE
CARBONO
• Produto tóxico de combustão incompleta de
combustíveis contendo carbono;
• Inodoro, incolor e muito volátil;
• Muito barato e associado a grande mortalidade e
morbidade  Sequela neurológica;
• Ligação de afinidade 250x maior com a carboxi-
hemoglobina, comparada ao oxigênio molecular;
MECANISMOS LESIONAIS
• Hipóxia + Dano Celular Direto
• Necrose multifocal acometendo núcleos de substância
cinzenta, TE e cerebelo;
• Necrose multifocal de córtex;
• Mielopatia com lesão palidal;
• Lesão difusa de SB;
CULMINA EM:
Preferência por regiões ricas em Ferro e com elevada
proporção mitocondrial como o globo pálido, substância
negra reticulada e mesencéfalo rubral;
CLÍNICA
• Cefaléia;
• Náusea;
• Vertigem;
• Mal-estar;
• Confusão Mental com perda da consciência;
• Disfunção cognitiva;
• Morte ou sequela neurológica hipóxica;
• Apesar do dano palidal, parkinsonismo não é comum;
Dano incompleto com preservação da alça motora;
ACHADOS DE IMAGEM
• TC sem contraste:
– Hipoatenuação simétrica palidal;
• RM:
– Hipossinal em T1 palidal simétrico, podendo apresentar
realce periférico ou pontual pelo gadolíneo;
– Hiperssinal em T2/FLAIR em topografia medial de globos
pálidos  Isquemia ou Edema Vasogênico?
– Restrição à difusão indica irreversibilidade do dano neuronal;
– Cronicamente, lesões sequelares mostram-se com
hiperssinal em T2/FLAIR;
INTOXICAÇÃO POR CO
INTOXICAÇÃO SUICIDA-3H
• Hemorragia Palidal aguda bilateral;
DIFUSÃO
TC-ACHADOS SEQUELAS
INTUITO SUICIDA 3 ANOS ANTES
DIAGNÓSTICO
• Neurotoxicidade por ecstasy;
• Anóxia neonatal com localização predominante
em núcleos da base;
• Dano neurológico hipoglicêmico;
FÁCIL DISTINÇÃO CLÍNICA
PATOLOGIAS
• Abuso de Drogas;
• Encefalopatia por Etanol;
• Doença de Marchiafava-Bignami;
• Encefalopatia por Metanol;
• Intoxicação por Monóxido de Carbono;
• Intoxicação por Solventes;
NEUROTOXICIDADE POR
SOLVENTES
• Principal intoxicação  Tolueno;
• Colas, solventes, detergentes, tintas, combustíveis;
• Perfil epidemiológico: Crianças e Adolescentes
moradores de rua;
CLÍNICA
Tendo em vista a apolaridade da substância, penetra muito
facilmente na BHE, causando agitação, euforia e ataxia
agudamente. Cronicamente, déficit cognitivo, síndrome
piramidal, neurite óptica e ataxia permanente;
ACHADOS DE IMAGEM
• TC:
– Muito limitada;
• RM:
– Atrofia cerebral e cerebelar;
– Perda da interface SB-SC;
– Hiperssinal T2/FLAIR simétrico em pedúnculos cerebelares
médio e braço posterior da cápsula interna;
– Afilamento do corpo caloso;
– Hiperssinal de SB também pode ser visto;
Hipossinal em T2 em núcleos denteados cerebelares,
tálamo, SN e núcleos rubros indica deposição de Fe;
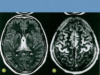
INTOXICAÇÃO POR TOLUENO
INTOXICAÇÃO POR
TOLUENO
INTOXICAÇÃO POR
TOLUENO
INTOXICAÇÃO POR
TOLUENO
DIAGNÓSTICO
• Mielinólise pontina e extra-pontina ( Osmótica);
• Aminoacidopatias e doenças mitocondriais;
• Desmielinizações tóxicas decorrentes do uso de
opióides;
PATOLOGIAS
• Abuso de Drogas;
• Encefalopatia por Etanol;
• Doença de Marchiafava-Bignami;
• Encefalopatia por Metanol;
• Intoxicação por Monóxido de Carbono;
• Intoxicação por Solventes;
PATOLOGIAS
• Abuso de Drogas;
• Encefalopatia por Etanol;
• Doença de Marchiafava-Bignami;
• Encefalopatia por Metanol;
• Intoxicação por Monóxido de Carbono;
• Intoxicação por Solventes;
Pirapó-RS
DOENÇAS DE HOJE
• Encefalopatia Bilirrubínica;
• Encefalopatia Hepática;
• Encefalopatia de Wernicke;
• Deficiência de VitB12;
• Síndrome do Desequilíbrio Dialítico;
• Encefalopatia Posterior Reversível;
• Hemossiderose Adquirida;
ENCEFALOPATIA
BILIRRUBÍNICA
• Doença oriunda de altos níveis de BI em neonatos;
• Ocorrência excepcional em adultos e crianças maiores;
• Decorrente de eritroblatose ou hipoatividade da
glicuroniltrasnferase (Crigler-;Najjar I ou II? Gilbert?);
• Hemograma, Fator Rh, Teste de Coombs e atividade de
glicose-6-fosfato desidrogenase orientam o diagnóstico;
• Fototerapia ou exsanguineotransfusão são as opções
terapêuticas;
CLÍNICA
• 50% dos neonatos possuem icterícia, sendo esta
considerada na maioria das vezes, fisiológica;
QUANDO SUSPEITAR DE KERNICTERUS?
EVOLUÇÃO:
50% Óbito
Surdez, retardo mental e distúrbio de
movimento;
Acentuada icterícia no 2º ao 5º dia de vida, com sonolência,
hipotonia, opistótono, rigidez, choro agudo e baixa sucção;
LABORATÓRIO
• Usualmente apenas níveis de BI acima de 20 mg/dL
seriam neurotóxicos;
• Em vigência de FR  Considerar toxicidade acima de
10;
• Acidose potencializa o dano central;
• Baixa albuminemia piora o prognóstico da doença;
ACHADOS DE IMAGEM
• Fase aguda:
– Hiperssinal em T1 bilateral e simétrico em globos pálidos;
– Núcleos denteados do cerebelo, hipocampo e núcleo
subtalâmico podem ser acometidos;
– Não indica dano irreversível;
• Fase Crônica:
– Hiperssinal e atrofia das porções posteromediais dos
globos pálidos em T2/FLAIR. Pode haver dano em
núcleos denteados, hipocampo e NST;
G
L
I
O
S
E
RECOMENDAÇÕES
• Diante da suspeita clínica, não investir na TC;
• Não há necessidade do uso de contraste
paramagnético;
• Achado mais sensível: Lesão Palidal;
• Achado mais específico: Lesão em NST;
• Evolução para a fase crônica/sequelar guarda relação
com achados T2FLAIR;
DIAGNÓSTICO DIFERENCIAL
• Anóxia Aguda:
– Mais comum dano talâmico, putaminal e cortical
associado.
• Aminoacidopatias ou Doenças Mitocondriais;
• Intoxicação Por Magnésio:
– Impossível distinguir por RM;
• Neurofibromatose Tipo 1;
DOENÇAS DE HOJE
• Encefalopatia Bilirrubínica;
• Encefalopatia Hepática;
• Encefalopatia de Wernicke;
• Deficiência de VitB12;
• Síndrome do Desequilíbrio Dialítico;
• Encefalopatia Posterior Reversível;
• Hemossiderose Adquirida;
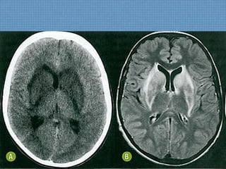
ENCEFALOPATIA HEPÁTICA
• Síndrome potencialmente regressível oriunda da
descompensação aguda ou crônica da função
hepática;
DISTÚRBIO PSIQUIÁTRICO + MOTOR + COGNITIVO
CLÍNICA
Geral: Eritema palmar, ascite, icterícia, equimoses,
telangiectasias;
Neurológico: Confusão, irritabilidade, déficit de atenção. Pode
evoluir pra torpor e coma;
Ataxia e asterixis podem estar presentes
CLASSIFICAÇÃO
• Classe A  Insuficiência Hepática pura;
– Dano nos Hepatócitos;
• Classe B  Shunt Portossistêmico sem
disfunção hepática;
• Classe C  Cirrose Hepática/Shunt;
ACHADOS DE IMAGEM
• Tomografia Computadorizada:
– Fase Aguda:
• TC Normal ou com edema cerebral difuso sem
impregnação pelo contraste iodado;
– Fase Crônica:
• TC Normal ou com Atrofia cerebral difusa;
RESSONÂNCIA MAGNÉTICA
• Imagens Estruturais:
– T1
• Hiperssinal bilateral e simétrico envolvendo globos
pálidos, putames, NST, SN e adenohipófise.
Resulta do componente paramagnético do Mn
impregando  Shunt!
• Fase Aguda Edema Cerebral;
• Fase Crônica Atrofia;
RESSONÂNCIA MAGNÉTICA
• Imagens Estruturais:
– T2/FLAIR
• Fase Aguda: Hiperssinal cortical difuso, poupando
região occiptal e pré-rolândica; Núcleo denteado do
cerebelo e SUBPV podem estar acometidos;
• Necrose Cortical é rara e pode ser vista como focos
lineares de alteração do sinal;
• Hiperssinal ao londo dos TCS  Dano intramielínico e
reversível.
Pacientes em fase aguda podem exibir restrição à difusão
cortical;
RECOMENDAÇÕES
• TC não é capaz de estimar risco de toxicidade, mas
deve ser empregada na suspeita de hemorragia não
traumática;
• O achado mais sugestivo da patologia sempre deve
ser o hiperssinal simétrico de globos pálidos em T1 
Shunt  Mn;
• A RM é útil no pós transplante para o controle da
reversão dos achados;
DIAGNÓSTICO
• Doença de Wilson;
• Intoxicação por CO;
• Calcificações hidratadas ou hemorragia em NB;
• Vacuolização de Mielina;
– Associada a sinais de Neurofibromatose 1;
• Kernicterus
– Fácil distinção clinicolaboratorial;
• Encefalopatia Hipóxico-Isquêmica;
– Usualmente requer também achados corticais e
subcorticais;
DOENÇAS DE HOJE
• Encefalopatia Bilirrubínica;
• Encefalopatia Hepática;
• Encefalopatia de Wernicke;
• Deficiência de VitB12;
• Síndrome do Desequilíbrio Dialítico;
• Encefalopatia Posterior Reversível;
• Hemossiderose Adquirida;
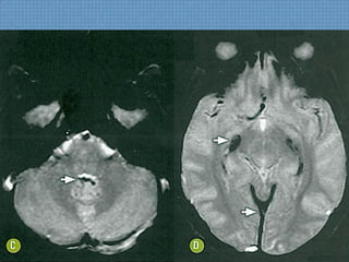
ENCEFALOPATIA DE WERNICKE
• Desordem neurológica aguda decorrente do déficit de
B1 ( tiamina);
• Muito relacionada a abuso crônico de álcool, déficit
nutricional, diálise crônica e neoplasias
gastrointestinais;
• Atentar para o pós-op de cirurgia bariátrica;
CLÍNICA
Tríade: Ataxia, Nistagmo e Confusão Mental! Pode ser letal,
contudo ao tratamento é potencialmente reversível.
80% dos pacientes evoluem para Doença de Korsakoff: Déficit
de Memória Anterógrada e Retrógrada e Confabulação,
ACHADOS DE IMAGEM
• Hipossinal em T1 e hiperssinal em T2/FLAIR na
porção medial dos tálamos, região periaquedutal e
corpos mamilares;
• Restrição à difusão nos tálamos;
• Impregnação por Gadolíneo em corpos mamilares
pode refletir desmielinização aguda.
Reversível com reposição de B1!
EM NÃO ETILISTAS...
• Hiperssinal T2/FLAIR em núcleos bulbares de nervos
hipoglossos;
• Hiperssinal T2/FLAIR em núcleos pontinos dorsais de
abducente e facial;
• Acometimento difuso e multifocal do córtex cerebral,
principalmente em LF;
• KORSAKOFF  ATROFIA DOS CORPOS
MAMILARES!
RECOMENDAÇÕES
• A RM é sem dúvida o melhor método diagnóstico
vigente;
• Tendo em vista agitação do paciente e pouca
colaboração, se inviabilidade de RM, administra-se o
tratamento empiricamente;
• Para estimar o prognóstico, realiza-se T1 com Gd e
Difusão;
DIAGNÓSTICO
• Encefalites Mitocondriais;
– Acometimento de tronco encefálico e de núcleos da
base na população pediátrica;
– Raro acometimento de CM;
• Encefalite por CMV;
– Diencéfalo e periventricular
ACHADO DE MAIOR SENSIBILIDADE: HIPERSSINAL
T2/FLAIR DOS CORPOS MAMILARES!
DOENÇAS DE HOJE
• Encefalopatia Bilirrubínica;
• Encefalopatia Hepática;
• Encefalopatia de Wernicke;
• Deficiência de VitB12;
• Síndrome do Desequilíbrio Dialítico;
• Encefalopatia Posterior Reversível;
• Hemossiderose Adquirida;
DEFICIÊNCIA DE VIT B12
• Implica em degeneração combinada subaguda da
medula.
• Acomete funículos posteriores e laterais, assim como
o TCS intracraniano.
2 tipos MÁ ABSORÇÃO
DÉFICIT NUTRICIONAL
Anestesia com N2O pode implicar em déficit de
Vit B12
CLÍNICA
• Acometimento sensitivo de coluna dorsal, com
parestesias, perda da sensibilidade propioceptiva e
vibratória;
• Acometimento piramidal, com hipertonia,
hiperrreflexia, paresia e Babisky +;
• VCM > 100 e déficit de B12 com ou sem
Gastrite atrófica;
ACHADOS MAIS TARDIOS!
Déficit cognitivo e depressão podem estar associados;
ACHADOS DE IMAGEM
RM de Crânio + Cervical + Torácica
• T1:
 Discreto espessamento da medula espinal sem
evidência de alteração de sinal ou impregnação
pelo contraste;
• T2:
– Hiperssinal linear contínuo e simétrico dos
funículos posteriores e laterais. Não é
necessário o achado combinado.
ACHADOS DE IMAGEM
• Hiperssinal em T2/FLAIR da região bulbar posterior,
por extensão espinal no fascículo gracil e cuneiforme;
• Hiperssinal T2/FLAIR em substância branca
subcortical difuso e assimétrico;
Explica a depressão e déficit
cognitivo?
DIAGNÓSTICO
• Deficiência de Cobre;
• Desmielinização de EM;
• Mielite Infecciosa;
• Neurossífilis;
• Ataxia de Friedreich;
• ELA  Hiperssinal em T1 e T2 restrito ao corno anterior;
DOENÇAS DE HOJE
• Encefalopatia Bilirrubínica;
• Encefalopatia Hepática;
• Encefalopatia de Wernicke;
• Deficiência de VitB12;
• Síndrome do Desequilíbrio Dialítico;
• Encefalopatia Posterior Reversível;
• Hemossiderose Adquirida;
SÍNDROME DO
DESEQUILÍBRIO DIALÍTICO
• Entidade clínica neurológica oriunda do processo de
diálise;
• Achados similares à encefalopatia urêmica, que deve
ser entendida num conjunto;
• Provocada pela rápida extração de uréia plasmática, a
qual é lentamente transportada pela BHE, gerando
gradiente osmótico e edema cerebral;
• A diálise aumenta o pH intracelular, provocando acidose
metabólica e aumento da osmolaridade cerebral;
CLÍNICA
• Cefaléia e náusea;
• Borramento visual;
• Convulsões;
• Hipertensão;
• Coma;
• Sintomas extrapiramidais abruptos;
• Disartria;
ACHADOS DE IMAGEM
• TC;
– Hipoatenuação bilateral e simétrica dos núcleos
lentiformes, com efeito expansivo relacionado ao edema e
sem impregnação;
• RM;
– Hipossinal marcante em núcleos lentiformes em T1;
– Hiperssinal em T2 em núcleos lentiformes;
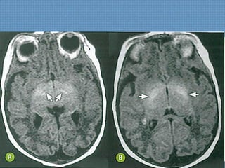
SINAL DO LENTIFORME BIFURCADO
RECOMENDAÇÕES
• Diagnóstico Confiável;
– Sinais extrapiramidais pós-diálise + Hiperssinal T2/FLAIR
em lentiformes bilateralmente;
• Acidose metabólica é condição necessária para o
aparecimento do sinal do lentiforme bifurcado;
• A clínica neurológica é oriunda do edema cerebral
devido ao gradiente osmótico ureico;
DIAGNÓSTICO
• Desmielinização Osmótica;
• Desmielinização Pós-Vacinal;
– Usualmente não apresenta o típico edema em núcleos da
base;
• Dano cerebral hipoglicêmico;
• Infarto por trombose venosa cerebral;
– Predominância talâmica; Só pode ser firmado se visualizar
trombo ou gap intraluminal;
DOENÇAS DE HOJE
• Encefalopatia Bilirrubínica;
• Encefalopatia Hepática;
• Encefalopatia de Wernicke;
• Deficiência de VitB12;
• Síndrome do Desequilíbrio Dialítico;
• Encefalopatia Posterior Reversível;
• Hemossiderose Adquirida;
ENCEFALOPATIA
POSTERIOR REVERSÍVEL
• Distúrbio da autorregulação do fluxo cerebrovascular;
• Inadequação da nomenclatura;
• Incidência crescente por aumento da ingesta
farmacológica;
ETIOLOGIAS PRINCIPAIS
Eclâmpsia
Pré-Eclâmpsia
Encefalopatia Hipertensiva
Drogas
CLÍNICA
• Síndrome vasoconstritora reversível;
• Inicia o quadro geralmente por cefaléia súbita;
• Crises epiléticas, rebaixamento do sensório e déficits
neurológicos focais podem ser evidentes;
ACHADOS DE IMAGEM
• TC:
– Focos hipoatenuantes subcorticais com alguma
extensão ao córtex adjacente parietocciptal;
– Pode haver contraste puntiforme ao meio de
contraste;
– Podem coexistir hemorragias petequiais na transição
SB-SC;
CASO DO SERVIÇO...
CASO DO SERVIÇO...
ACHADOS DE IMAGEM
• RM:  Determina diagnóstico e estima prognóstico;
– T1:Hipossinal em topografia subcortical parietoccipal, com
rara impregnação puntiforme pelo Gd;
– T2/FLAIR: Hiperssinal digitiforme parietocciptal, podendo
estender-se para as regiões cerebrais anteriores, além do
NB;
– SWI: Permite diagnóstico de hemorragia de permeio 
Hipossinal;
DIFUSÃO!
Usualmente normal  Só edema vasogênico;
Se restrição  Dano cerebral irreversível;
ECLÂMPSIA
RECOMENDAÇÕES
• RM deve incluir T1 antes e após administração de
contraste;
• DWI  Estimará o prognóstico;
• Lesões subcorticais posteriores associadas à clínica
hipertensiva determinarão o diagnóstico;
DIAGNÓSTICO
• Infarto de ACPosterior:
– Dano predominante cortical e com restrição à difusão;
• Hiperperfusão:
– Pós-Endarterectomia ou Drenagem de Hematoma
subitamente;
• LEMP;
– Contexto de imunodepressão;
• Dano cerebral Pós-Ictal;
EDEMA CITOTÓXICO!
DOENÇAS DE HOJE
• Encefalopatia Bilirrubínica;
• Encefalopatia Hepática;
• Encefalopatia de Wernicke;
• Deficiência de VitB12;
• Síndrome do Desequilíbrio Dialítico;
• Encefalopatia Posterior Reversível;
• Hemossiderose Adquirida;
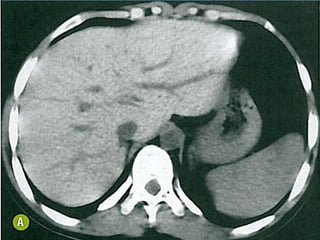
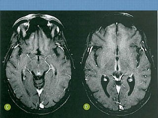
HEMOSSIDEROSE ADQUIRIDA
• Oriunda de sobrecarga férrica, seja por transfusões
repetidas ou eritropoese ineficaz como na talassemia
maior.
• Foco inicial de depósito: SREndotelial;
• Pós-Saturação: Fígado, Adenohipófise, Baço, Pele e
Medula Óssea;
• Depositado sob a forma de hemossiderina;
Secundária
CLÍNICA
• Causa cirrose hepática, implicando em dor crônica em
HD;
• Por insuficiência hepática, implica em dano de
Adenoipófise e atrofia testicular;
• Escurecimento cutâneo;
Hipogonadismo Hipogonadotrófico
ACHADOS DE IMAGEM
• RM:
– Hipossinal em todas as sequências em
adenoipófise, determinada pela impregnação de
hemossiderina no local;
– Se acometimento de plexo corióide e meninges;
Pior prognóstico!
Abdomen: As alterações abdominais incluem
hipossinal em T2 e hiperdensidade à TC;
DIAGNÓSTICO
• Hemocromatose primária;
– Além dos achados típicos, é comum hiperssinal em
T1 nos núcleos da base, secundários à deposição
de Mn devido ao shunt portossistêmico;
– Acometimento pancreático  DM!
– Diagnóstico Fechado:
Clínica + Hipossinal em T1 com atrofia da
glândula
DOENÇAS DE HOJE
• Encefalopatia Bilirrubínica;
• Encefalopatia Hepática;
• Encefalopatia de Wernicke;
• Deficiência de VitB12;
• Síndrome do Desequilíbrio Dialítico;
• Encefalopatia Posterior Reversível;
• Hemossiderose Adquirida;
FIM!

Encefalopatias

  • 1.
    Encefalopatias Tóxicas, Nutricionais eNeurometabólicas Adquiridas Serviço de Radiologia do HUSM www.radiologiaufsm.com.br Monitor Norberto Weber Werle Profº Carlos Jesus Pereira Haygert
  • 2.
    DECORRENTES DE... • ToxinasExógenas; • Intoxicações Endógenas; • Síndromes Carenciais; • Distúrbios Metabólicos Sistêmicos; INTOXICAÇÃO EXÓGENA  EXIGE RM! SINTOMAS COM RM NORMAL CAUSA METABÓLICA?? (uremia, hipotireoidismo, I. Hepática?)
  • 3.
    PATOLOGIAS • Abuso deDrogas; • Encefalopatia por Etanol; • Doença de Marchiafava-Bignami; • Encefalopatia por Metanol; • Intoxicação por Monóxido de Carbono; • Intoxicação por Solventes; • Intoxicação por Metais Pesados;
  • 4.
    ABUSO DE DROGAS •Problema antigo com incidência crescente, tendo em vista maior purificação e descoberta de novos princípios; • Difícil determinação diagnóstica, tendo em vista preconceito social e negação do paciente. CONTEXTO CLÍNICORRADIOLÓGICO INDICATIVO  Afeccção Vascular Isquêmica ou Hemorrágica com Padrão Vasculítico;  Alterações Difusas e Multifocais de SB;  Atrofia Global ou Bilateral dos NB; VASCULAR + MIELINA + S. CINZENTA
  • 5.
    CLÍNICA • Exame realizadogeralmente por evento ictal vascular ou epilético; • Clínica estritamente relacionada ao tipo de droga utilizada; Síndrome Piramidal + Cefaléia Distúrbio Vascular H 4:1 I  MAV, PAS e Vasculite Hipotensão Postural, Déficit de Memória, Incoordenação Motora, Alterações Comportamentais;
  • 6.
    CLÍNICA Leucoencefalopatia ( Hemibalismo,Parkinsonismo, Síndrome Pseudobulbar), Atrofia Cerebral, Neuroinfecção Secundária a Endocardite. AVC, Desidratação Grave, Hipertermia. DANO Globo Pálido por via Serotoninérgica
  • 7.
    ACHADOS DE IMAGEM •Cocaína : – Hematomas IP, IV e HSA; – Atrofia e Dano Microvascular – Hiperssinal Multifocal T2/FLAIR; – Lacunas em território de ACM; – Gestantes usuárias, implicam em distúrbios do fechamento do tubo neural fetal  Encefalocele, Holoprosencefalia... SE VASCULITE: – Focos isquêmicos à RM Difusão-Perfusão; – Impregnação arterial T1 + Gadolíneo; – Angiografia pode mostrar coágulos intraluminais, oclusão, achado Moyamoya –like;
  • 8.
  • 9.
  • 10.
  • 11.
    ACHADOS DE IMAGEM •Maconha: – Diminuição da perfusão por RM e PET; – Podem ocorrer pequenos infartos lacunares; • Opióides: – Hipodensidade/Hiperssinal em T2 de hemisférios cerebelares e braço capsular posterior; Edemaciação Local; – Infartos dos Núcleos da Base; • Ecstasy: Hipossinal em T1 e Hiperssinal em T2 nos globos pálidos e lobos occiptais, com hipodensidade à TC;
  • 12.
  • 13.
    RECOMENDAÇÕES • Afastar etiologiasmais comuns como afecções vasculares, infecciosas e neurodegenerativas; • Diante de um evento súbito e suspeita de abuso de drogas, iniciar com TC sem contraste e depois estudo por RM e angiográfico; • Maconha e infarto  Afastar outra etiologia como embolia ou uso de cocaína; • Ectasy  Sempre RM primeiro; • Aneurisma Micótico  Angio-TC ou Angio-RM;
  • 14.
    DIAGNÓSTICO • Hemorragia espontâneano jovem; • Hemorragia secundária à cavernoma, MAV, Aneurisma, HAS; • Trombose de Seios Venosos; • Hemorragia Intratumoral; • Desmielinização; • Intoxicação por CO = Achados de Ecstasy;
  • 15.
    PATOLOGIAS • Abuso deDrogas; • Encefalopatia por Etanol; • Doença de Marchiafava-Bignami; • Encefalopatia por Metanol; • Intoxicação por Monóxido de Carbono; • Intoxicação por Solventes;
  • 16.
    ENCEFALOPATIA POR ETANOL •Substância de origem remota cujo abuso é mais comum; MECANISMOS DE DANO CENTRAL  Neurotoxicidade direta;  Neurotoxicidade de produtos (Metanol e Acetaldeído);  Deficiências Nutricionais;  Metábolitos por Insuficiência Hepática;
  • 17.
    ALCOOLISTA É: • Maispredisposto à Neuroinfecção; • Mais predisposto à trauma; • Mais predisposto à sangramento IC por hipovitaminose K e de déficit de fatores da coagulação; Hematoma do Alcoolista
  • 18.
    CLÍNICA • Dano cerebelar Ataxia + Nistagmo; • Déficit Cognitvo pronunciado; • Déficit Memória; • Neuropatia Periférica; • Delirium Tremens  Podendo implicar em convulsão; • Ambliopia Tabaco-Álcool; • Se gestante usuária: MF fetais neurológicas e cardíacas, RCU, déficit cognitivo fetal e comportamental;
  • 20.
    ACHADOS DE IMAGEM •Atrofia sequencial de: Porção Superior de Verme LF Encéfalo Total; • Alargamento de sulcos, F. sylviana e ectasia ventricular; • Tensor de Difusão pode evidenciar perda de fibras mielinizadas com diminuição dos feixes neuronais; • Focos inespecíficos de hiperssinal T2/FLAIR; • Afilamento e hiperssinal em T2 dos nervos ópticos  Ambliopia • RM gestacional pode evidenciar agenesia de corpo caloso e disgenesia cerebelar;
  • 21.
  • 22.
    RM FETAL DEGESTANTE ALCOOLISTA
  • 23.
    ERM • Confirma presençade etanol com um pico triplo de metabólito anormal a 1,16 ppm; • Déficit de Memória : Creatina e colina baixos, com glutamato elevado; • Baixo NAA  Dano Axonal; • Alto mioinositol  Proliferação astrocitária e reparação glial; Em busca de atrofia cerebral e complicações decorrentes do abuso do álcool como HSA e outras coagulopatias, iniciar estudo com TC sem contraste;
  • 24.
  • 25.
    DIAGNÓSTICO • Uso crônicode difenil-hidantoína que pode implicar em atrofia de vermis cerebelar; • Ataxia espinocerebelar hereditária; • Atrofia de Múltiplos Sistemas-c com hiperssinal em T2/FLAIR em hemisférios cerebelares e pedúnculo cerebelar médio. Acomete putamen geralmente; • Síndrome do X Frágil: Tremor + Ataxia e hiperssinal em T2/FLAIR peduncular médio; • Cerebrite Autoimune e Doença de Wilson; COMPLICAÇÃO COMUM: Encefalopatia de Wernicke
  • 26.
    PATOLOGIAS • Abuso deDrogas; • Encefalopatia por Etanol; • Doença de Marchiafava-Bignami; • Encefalopatia por Metanol; • Intoxicação por Monóxido de Carbono; • Intoxicação por Solventes;
  • 27.
    DOENÇA DE MARCHIAFAVA-BIGNAMI •Doença decorrente do abuso crônico do álcool, associada à desnutricão. Pode ocorrer simultaneamente com Encefalopatia de Wernicke e mielinólise pontina; CLÍNICA Início agudo e inespecífico de déficit de consciência, convulsões, ataxia, confusão, disartria, hipertonia e síndrome piramidal com desconexão inter-hemisférica, sendo geralmente fatal; Caracteriza-se por intensa desmielinização do corpo caloso;
  • 28.
    ACHADOS DE IMAGEM •TC: – Normal; – Hipodensidade difusa e restrita ao corpo caloso; • RM: – Hipossinal em T1 e Hiperssinal em T2/FLAIR com espessamento do CC na fase aguda; – Comprometimento central do CC na fase aguda, com impregnação periférica pelo gadolíneo em T1; – Restrição à difusão na área acometida; Exame Inicial se Suspeita Clínica: - Estudo Multiplanar por RM;
  • 29.
    ACHADOS DE IMAGEM- CRÔNICO •RM: – Atrofia seletiva do CC, com degeneração cística de permeio; – DTI evidencia dano comissural de CC importante; – Pode ser assimétrica, predominante em joelho e tronco; • ERM: – Aumento do pico de colina em decorrência da desmielinização e presença de neuroinflamação; – Aumento do lactato;
  • 30.
    DOENÇA DE MARCHIAFAVA-BIGNAMI ClássicoAspecto Trilaminar no T1 com Gadolíneo;
  • 31.
  • 34.
    DIAGNÓSTICO • Isquemia Calosal: –Decorrente de obstrução da circulação anterior ou posterior. Clínica análoga. Restrição à difusão, mas sem aspecto trilaminar no T1 com Gd; • Síndrome de Susac: – Vasculopatia inflamatória retinococleocerebral. Tríade de amaurose, surdez NS e encefalopatia; • Mielinólise Osmótica Extra-pontina; • Uso de metronidazol; • Glioblastoma e linfoma em CC;
  • 35.
    PATOLOGIAS • Abuso deDrogas; • Encefalopatia por Etanol; • Doença de Marchiafava-Bignami; • Encefalopatia por Metanol; • Intoxicação por Monóxido de Carbono; • Intoxicação por Solventes;
  • 36.
    ENCEFALOPATIA POR METANOL • Usualmenteintoxicação oriunda de líquidos incolores com odor e paladar análogo ao etanol; • Solventes industriais; • Fluidos de limpeza; • Anticongelantes; • Combustível espacial ou de F1; Intoxicação gravíssima geralmente por confusão com etanol na ingestão, intuito suicida ou líquidos contaminados industrialmente;
  • 37.
    CLÍNICA • Diarréia, náuseae vômitos 12 a 24 horas após a ingestão (formação de formaldeído e ácido fórmico); • Instala-se quadro grave de acidose metabólica; • Cegueira aguda bilateral; • Fraqueza, convulsões, torpor e coma; • Cefaléia; • Zumbido;
  • 38.
    ACHADOS DE IMAGEM •Inicialmente TC e RM se mostram normais; • Pode haver hiperssinal em T2 em nervos ópticos e suas vias, indicando lesão aguda; • Hipodensidade/Hiperssinal T2-FLAIR putaminal bilateral hemorrágica  Pior prognóstico; • Focos hemorrágicos putaminais podem ser vistos como hiperdensidades/hiperssinal em T2 agudamente, com restrição à difusão; 24 HORAS CRONICAMENTE Alterações de sinal na SB fronto-occiptal, cerebelo e hipocampo, poupando as fibras U e sem realce
  • 39.
  • 40.
  • 41.
    DIAGNÓSTICO • Iniciar estudopor TC para afastar entidades clínicas de repercussão aguda; • Achados sequelares exigem estudo por RM em T2/FLAIR; • Afastar Doença de Wilson  Usualmente acometimento putaminal bilateral e de tronco encefálico. Curso clínico crônico; • Doença de Leigh: Rara doença mitocondrial pediátrica, associada à acidose láctica; • Desequilíbrio Dialítico; • Ingesta do anticongelante etilenoglicol  Tropismo por núcleos da base;
  • 42.
    PATOLOGIAS • Abuso deDrogas; • Encefalopatia por Etanol; • Doença de Marchiafava-Bignami; • Encefalopatia por Metanol; • Intoxicação por Monóxido de Carbono; • Intoxicação por Solventes;
  • 43.
    INTOXICAÇÃO POR MONÓXIDODE CARBONO • Produto tóxico de combustão incompleta de combustíveis contendo carbono; • Inodoro, incolor e muito volátil; • Muito barato e associado a grande mortalidade e morbidade  Sequela neurológica; • Ligação de afinidade 250x maior com a carboxi- hemoglobina, comparada ao oxigênio molecular;
  • 44.
    MECANISMOS LESIONAIS • Hipóxia+ Dano Celular Direto • Necrose multifocal acometendo núcleos de substância cinzenta, TE e cerebelo; • Necrose multifocal de córtex; • Mielopatia com lesão palidal; • Lesão difusa de SB; CULMINA EM: Preferência por regiões ricas em Ferro e com elevada proporção mitocondrial como o globo pálido, substância negra reticulada e mesencéfalo rubral;
  • 45.
    CLÍNICA • Cefaléia; • Náusea; •Vertigem; • Mal-estar; • Confusão Mental com perda da consciência; • Disfunção cognitiva; • Morte ou sequela neurológica hipóxica; • Apesar do dano palidal, parkinsonismo não é comum; Dano incompleto com preservação da alça motora;
  • 46.
    ACHADOS DE IMAGEM •TC sem contraste: – Hipoatenuação simétrica palidal; • RM: – Hipossinal em T1 palidal simétrico, podendo apresentar realce periférico ou pontual pelo gadolíneo; – Hiperssinal em T2/FLAIR em topografia medial de globos pálidos  Isquemia ou Edema Vasogênico? – Restrição à difusão indica irreversibilidade do dano neuronal; – Cronicamente, lesões sequelares mostram-se com hiperssinal em T2/FLAIR;
  • 47.
  • 48.
  • 49.
  • 50.
  • 51.
    DIAGNÓSTICO • Neurotoxicidade porecstasy; • Anóxia neonatal com localização predominante em núcleos da base; • Dano neurológico hipoglicêmico; FÁCIL DISTINÇÃO CLÍNICA
  • 52.
    PATOLOGIAS • Abuso deDrogas; • Encefalopatia por Etanol; • Doença de Marchiafava-Bignami; • Encefalopatia por Metanol; • Intoxicação por Monóxido de Carbono; • Intoxicação por Solventes;
  • 53.
    NEUROTOXICIDADE POR SOLVENTES • Principalintoxicação  Tolueno; • Colas, solventes, detergentes, tintas, combustíveis; • Perfil epidemiológico: Crianças e Adolescentes moradores de rua; CLÍNICA Tendo em vista a apolaridade da substância, penetra muito facilmente na BHE, causando agitação, euforia e ataxia agudamente. Cronicamente, déficit cognitivo, síndrome piramidal, neurite óptica e ataxia permanente;
  • 54.
    ACHADOS DE IMAGEM •TC: – Muito limitada; • RM: – Atrofia cerebral e cerebelar; – Perda da interface SB-SC; – Hiperssinal T2/FLAIR simétrico em pedúnculos cerebelares médio e braço posterior da cápsula interna; – Afilamento do corpo caloso; – Hiperssinal de SB também pode ser visto; Hipossinal em T2 em núcleos denteados cerebelares, tálamo, SN e núcleos rubros indica deposição de Fe;
  • 55.
  • 56.
  • 57.
  • 58.
  • 59.
    DIAGNÓSTICO • Mielinólise pontinae extra-pontina ( Osmótica); • Aminoacidopatias e doenças mitocondriais; • Desmielinizações tóxicas decorrentes do uso de opióides;
  • 60.
    PATOLOGIAS • Abuso deDrogas; • Encefalopatia por Etanol; • Doença de Marchiafava-Bignami; • Encefalopatia por Metanol; • Intoxicação por Monóxido de Carbono; • Intoxicação por Solventes;
  • 61.
    PATOLOGIAS • Abuso deDrogas; • Encefalopatia por Etanol; • Doença de Marchiafava-Bignami; • Encefalopatia por Metanol; • Intoxicação por Monóxido de Carbono; • Intoxicação por Solventes;
  • 62.
  • 63.
    DOENÇAS DE HOJE •Encefalopatia Bilirrubínica; • Encefalopatia Hepática; • Encefalopatia de Wernicke; • Deficiência de VitB12; • Síndrome do Desequilíbrio Dialítico; • Encefalopatia Posterior Reversível; • Hemossiderose Adquirida;
  • 64.
    ENCEFALOPATIA BILIRRUBÍNICA • Doença oriundade altos níveis de BI em neonatos; • Ocorrência excepcional em adultos e crianças maiores; • Decorrente de eritroblatose ou hipoatividade da glicuroniltrasnferase (Crigler-;Najjar I ou II? Gilbert?); • Hemograma, Fator Rh, Teste de Coombs e atividade de glicose-6-fosfato desidrogenase orientam o diagnóstico; • Fototerapia ou exsanguineotransfusão são as opções terapêuticas;
  • 65.
    CLÍNICA • 50% dosneonatos possuem icterícia, sendo esta considerada na maioria das vezes, fisiológica; QUANDO SUSPEITAR DE KERNICTERUS? EVOLUÇÃO: 50% Óbito Surdez, retardo mental e distúrbio de movimento; Acentuada icterícia no 2º ao 5º dia de vida, com sonolência, hipotonia, opistótono, rigidez, choro agudo e baixa sucção;
  • 66.
    LABORATÓRIO • Usualmente apenasníveis de BI acima de 20 mg/dL seriam neurotóxicos; • Em vigência de FR  Considerar toxicidade acima de 10; • Acidose potencializa o dano central; • Baixa albuminemia piora o prognóstico da doença;
  • 67.
    ACHADOS DE IMAGEM •Fase aguda: – Hiperssinal em T1 bilateral e simétrico em globos pálidos; – Núcleos denteados do cerebelo, hipocampo e núcleo subtalâmico podem ser acometidos; – Não indica dano irreversível; • Fase Crônica: – Hiperssinal e atrofia das porções posteromediais dos globos pálidos em T2/FLAIR. Pode haver dano em núcleos denteados, hipocampo e NST; G L I O S E
  • 70.
    RECOMENDAÇÕES • Diante dasuspeita clínica, não investir na TC; • Não há necessidade do uso de contraste paramagnético; • Achado mais sensível: Lesão Palidal; • Achado mais específico: Lesão em NST; • Evolução para a fase crônica/sequelar guarda relação com achados T2FLAIR;
  • 71.
    DIAGNÓSTICO DIFERENCIAL • AnóxiaAguda: – Mais comum dano talâmico, putaminal e cortical associado. • Aminoacidopatias ou Doenças Mitocondriais; • Intoxicação Por Magnésio: – Impossível distinguir por RM; • Neurofibromatose Tipo 1;
  • 72.
    DOENÇAS DE HOJE •Encefalopatia Bilirrubínica; • Encefalopatia Hepática; • Encefalopatia de Wernicke; • Deficiência de VitB12; • Síndrome do Desequilíbrio Dialítico; • Encefalopatia Posterior Reversível; • Hemossiderose Adquirida;
  • 73.
    ENCEFALOPATIA HEPÁTICA • Síndromepotencialmente regressível oriunda da descompensação aguda ou crônica da função hepática; DISTÚRBIO PSIQUIÁTRICO + MOTOR + COGNITIVO CLÍNICA Geral: Eritema palmar, ascite, icterícia, equimoses, telangiectasias; Neurológico: Confusão, irritabilidade, déficit de atenção. Pode evoluir pra torpor e coma; Ataxia e asterixis podem estar presentes
  • 74.
    CLASSIFICAÇÃO • Classe A Insuficiência Hepática pura; – Dano nos Hepatócitos; • Classe B  Shunt Portossistêmico sem disfunção hepática; • Classe C  Cirrose Hepática/Shunt;
  • 75.
    ACHADOS DE IMAGEM •Tomografia Computadorizada: – Fase Aguda: • TC Normal ou com edema cerebral difuso sem impregnação pelo contraste iodado; – Fase Crônica: • TC Normal ou com Atrofia cerebral difusa;
  • 76.
    RESSONÂNCIA MAGNÉTICA • ImagensEstruturais: – T1 • Hiperssinal bilateral e simétrico envolvendo globos pálidos, putames, NST, SN e adenohipófise. Resulta do componente paramagnético do Mn impregando  Shunt! • Fase Aguda Edema Cerebral; • Fase Crônica Atrofia;
  • 77.
    RESSONÂNCIA MAGNÉTICA • ImagensEstruturais: – T2/FLAIR • Fase Aguda: Hiperssinal cortical difuso, poupando região occiptal e pré-rolândica; Núcleo denteado do cerebelo e SUBPV podem estar acometidos; • Necrose Cortical é rara e pode ser vista como focos lineares de alteração do sinal; • Hiperssinal ao londo dos TCS  Dano intramielínico e reversível. Pacientes em fase aguda podem exibir restrição à difusão cortical;
  • 82.
    RECOMENDAÇÕES • TC nãoé capaz de estimar risco de toxicidade, mas deve ser empregada na suspeita de hemorragia não traumática; • O achado mais sugestivo da patologia sempre deve ser o hiperssinal simétrico de globos pálidos em T1  Shunt  Mn; • A RM é útil no pós transplante para o controle da reversão dos achados;
  • 83.
    DIAGNÓSTICO • Doença deWilson; • Intoxicação por CO; • Calcificações hidratadas ou hemorragia em NB; • Vacuolização de Mielina; – Associada a sinais de Neurofibromatose 1; • Kernicterus – Fácil distinção clinicolaboratorial; • Encefalopatia Hipóxico-Isquêmica; – Usualmente requer também achados corticais e subcorticais;
  • 84.
    DOENÇAS DE HOJE •Encefalopatia Bilirrubínica; • Encefalopatia Hepática; • Encefalopatia de Wernicke; • Deficiência de VitB12; • Síndrome do Desequilíbrio Dialítico; • Encefalopatia Posterior Reversível; • Hemossiderose Adquirida;
  • 85.
    ENCEFALOPATIA DE WERNICKE •Desordem neurológica aguda decorrente do déficit de B1 ( tiamina); • Muito relacionada a abuso crônico de álcool, déficit nutricional, diálise crônica e neoplasias gastrointestinais; • Atentar para o pós-op de cirurgia bariátrica; CLÍNICA Tríade: Ataxia, Nistagmo e Confusão Mental! Pode ser letal, contudo ao tratamento é potencialmente reversível. 80% dos pacientes evoluem para Doença de Korsakoff: Déficit de Memória Anterógrada e Retrógrada e Confabulação,
  • 86.
    ACHADOS DE IMAGEM •Hipossinal em T1 e hiperssinal em T2/FLAIR na porção medial dos tálamos, região periaquedutal e corpos mamilares; • Restrição à difusão nos tálamos; • Impregnação por Gadolíneo em corpos mamilares pode refletir desmielinização aguda. Reversível com reposição de B1!
  • 87.
    EM NÃO ETILISTAS... •Hiperssinal T2/FLAIR em núcleos bulbares de nervos hipoglossos; • Hiperssinal T2/FLAIR em núcleos pontinos dorsais de abducente e facial; • Acometimento difuso e multifocal do córtex cerebral, principalmente em LF; • KORSAKOFF  ATROFIA DOS CORPOS MAMILARES!
  • 94.
    RECOMENDAÇÕES • A RMé sem dúvida o melhor método diagnóstico vigente; • Tendo em vista agitação do paciente e pouca colaboração, se inviabilidade de RM, administra-se o tratamento empiricamente; • Para estimar o prognóstico, realiza-se T1 com Gd e Difusão;
  • 95.
    DIAGNÓSTICO • Encefalites Mitocondriais; –Acometimento de tronco encefálico e de núcleos da base na população pediátrica; – Raro acometimento de CM; • Encefalite por CMV; – Diencéfalo e periventricular ACHADO DE MAIOR SENSIBILIDADE: HIPERSSINAL T2/FLAIR DOS CORPOS MAMILARES!
  • 96.
    DOENÇAS DE HOJE •Encefalopatia Bilirrubínica; • Encefalopatia Hepática; • Encefalopatia de Wernicke; • Deficiência de VitB12; • Síndrome do Desequilíbrio Dialítico; • Encefalopatia Posterior Reversível; • Hemossiderose Adquirida;
  • 97.
    DEFICIÊNCIA DE VITB12 • Implica em degeneração combinada subaguda da medula. • Acomete funículos posteriores e laterais, assim como o TCS intracraniano. 2 tipos MÁ ABSORÇÃO DÉFICIT NUTRICIONAL Anestesia com N2O pode implicar em déficit de Vit B12
  • 98.
    CLÍNICA • Acometimento sensitivode coluna dorsal, com parestesias, perda da sensibilidade propioceptiva e vibratória; • Acometimento piramidal, com hipertonia, hiperrreflexia, paresia e Babisky +; • VCM > 100 e déficit de B12 com ou sem Gastrite atrófica; ACHADOS MAIS TARDIOS! Déficit cognitivo e depressão podem estar associados;
  • 99.
    ACHADOS DE IMAGEM RMde Crânio + Cervical + Torácica • T1:  Discreto espessamento da medula espinal sem evidência de alteração de sinal ou impregnação pelo contraste; • T2: – Hiperssinal linear contínuo e simétrico dos funículos posteriores e laterais. Não é necessário o achado combinado.
  • 100.
    ACHADOS DE IMAGEM •Hiperssinal em T2/FLAIR da região bulbar posterior, por extensão espinal no fascículo gracil e cuneiforme; • Hiperssinal T2/FLAIR em substância branca subcortical difuso e assimétrico; Explica a depressão e déficit cognitivo?
  • 104.
    DIAGNÓSTICO • Deficiência deCobre; • Desmielinização de EM; • Mielite Infecciosa; • Neurossífilis; • Ataxia de Friedreich; • ELA  Hiperssinal em T1 e T2 restrito ao corno anterior;
  • 105.
    DOENÇAS DE HOJE •Encefalopatia Bilirrubínica; • Encefalopatia Hepática; • Encefalopatia de Wernicke; • Deficiência de VitB12; • Síndrome do Desequilíbrio Dialítico; • Encefalopatia Posterior Reversível; • Hemossiderose Adquirida;
  • 106.
    SÍNDROME DO DESEQUILÍBRIO DIALÍTICO •Entidade clínica neurológica oriunda do processo de diálise; • Achados similares à encefalopatia urêmica, que deve ser entendida num conjunto; • Provocada pela rápida extração de uréia plasmática, a qual é lentamente transportada pela BHE, gerando gradiente osmótico e edema cerebral; • A diálise aumenta o pH intracelular, provocando acidose metabólica e aumento da osmolaridade cerebral;
  • 107.
    CLÍNICA • Cefaléia enáusea; • Borramento visual; • Convulsões; • Hipertensão; • Coma; • Sintomas extrapiramidais abruptos; • Disartria;
  • 108.
    ACHADOS DE IMAGEM •TC; – Hipoatenuação bilateral e simétrica dos núcleos lentiformes, com efeito expansivo relacionado ao edema e sem impregnação; • RM; – Hipossinal marcante em núcleos lentiformes em T1; – Hiperssinal em T2 em núcleos lentiformes; SINAL DO LENTIFORME BIFURCADO
  • 111.
    RECOMENDAÇÕES • Diagnóstico Confiável; –Sinais extrapiramidais pós-diálise + Hiperssinal T2/FLAIR em lentiformes bilateralmente; • Acidose metabólica é condição necessária para o aparecimento do sinal do lentiforme bifurcado; • A clínica neurológica é oriunda do edema cerebral devido ao gradiente osmótico ureico;
  • 112.
    DIAGNÓSTICO • Desmielinização Osmótica; •Desmielinização Pós-Vacinal; – Usualmente não apresenta o típico edema em núcleos da base; • Dano cerebral hipoglicêmico; • Infarto por trombose venosa cerebral; – Predominância talâmica; Só pode ser firmado se visualizar trombo ou gap intraluminal;
  • 113.
    DOENÇAS DE HOJE •Encefalopatia Bilirrubínica; • Encefalopatia Hepática; • Encefalopatia de Wernicke; • Deficiência de VitB12; • Síndrome do Desequilíbrio Dialítico; • Encefalopatia Posterior Reversível; • Hemossiderose Adquirida;
  • 114.
    ENCEFALOPATIA POSTERIOR REVERSÍVEL • Distúrbioda autorregulação do fluxo cerebrovascular; • Inadequação da nomenclatura; • Incidência crescente por aumento da ingesta farmacológica; ETIOLOGIAS PRINCIPAIS Eclâmpsia Pré-Eclâmpsia Encefalopatia Hipertensiva Drogas
  • 115.
    CLÍNICA • Síndrome vasoconstritorareversível; • Inicia o quadro geralmente por cefaléia súbita; • Crises epiléticas, rebaixamento do sensório e déficits neurológicos focais podem ser evidentes;
  • 116.
    ACHADOS DE IMAGEM •TC: – Focos hipoatenuantes subcorticais com alguma extensão ao córtex adjacente parietocciptal; – Pode haver contraste puntiforme ao meio de contraste; – Podem coexistir hemorragias petequiais na transição SB-SC;
  • 117.
  • 118.
  • 119.
    ACHADOS DE IMAGEM •RM:  Determina diagnóstico e estima prognóstico; – T1:Hipossinal em topografia subcortical parietoccipal, com rara impregnação puntiforme pelo Gd; – T2/FLAIR: Hiperssinal digitiforme parietocciptal, podendo estender-se para as regiões cerebrais anteriores, além do NB; – SWI: Permite diagnóstico de hemorragia de permeio  Hipossinal; DIFUSÃO! Usualmente normal  Só edema vasogênico; Se restrição  Dano cerebral irreversível;
  • 120.
  • 123.
    RECOMENDAÇÕES • RM deveincluir T1 antes e após administração de contraste; • DWI  Estimará o prognóstico; • Lesões subcorticais posteriores associadas à clínica hipertensiva determinarão o diagnóstico;
  • 124.
    DIAGNÓSTICO • Infarto deACPosterior: – Dano predominante cortical e com restrição à difusão; • Hiperperfusão: – Pós-Endarterectomia ou Drenagem de Hematoma subitamente; • LEMP; – Contexto de imunodepressão; • Dano cerebral Pós-Ictal; EDEMA CITOTÓXICO!
  • 125.
    DOENÇAS DE HOJE •Encefalopatia Bilirrubínica; • Encefalopatia Hepática; • Encefalopatia de Wernicke; • Deficiência de VitB12; • Síndrome do Desequilíbrio Dialítico; • Encefalopatia Posterior Reversível; • Hemossiderose Adquirida;
  • 126.
    HEMOSSIDEROSE ADQUIRIDA • Oriundade sobrecarga férrica, seja por transfusões repetidas ou eritropoese ineficaz como na talassemia maior. • Foco inicial de depósito: SREndotelial; • Pós-Saturação: Fígado, Adenohipófise, Baço, Pele e Medula Óssea; • Depositado sob a forma de hemossiderina; Secundária
  • 127.
    CLÍNICA • Causa cirrosehepática, implicando em dor crônica em HD; • Por insuficiência hepática, implica em dano de Adenoipófise e atrofia testicular; • Escurecimento cutâneo; Hipogonadismo Hipogonadotrófico
  • 128.
    ACHADOS DE IMAGEM •RM: – Hipossinal em todas as sequências em adenoipófise, determinada pela impregnação de hemossiderina no local; – Se acometimento de plexo corióide e meninges; Pior prognóstico! Abdomen: As alterações abdominais incluem hipossinal em T2 e hiperdensidade à TC;
  • 132.
    DIAGNÓSTICO • Hemocromatose primária; –Além dos achados típicos, é comum hiperssinal em T1 nos núcleos da base, secundários à deposição de Mn devido ao shunt portossistêmico; – Acometimento pancreático  DM! – Diagnóstico Fechado: Clínica + Hipossinal em T1 com atrofia da glândula
  • 133.
    DOENÇAS DE HOJE •Encefalopatia Bilirrubínica; • Encefalopatia Hepática; • Encefalopatia de Wernicke; • Deficiência de VitB12; • Síndrome do Desequilíbrio Dialítico; • Encefalopatia Posterior Reversível; • Hemossiderose Adquirida;
  • 135.