Dura-máter


Aracnoide


Pia-máter
(1) Prosencéfalo
Cérebro
Tálamo
Hipotálamo
Corno frontal



          Corpo frontal


          Corno
          temporal


Recesso lateral
Radiografia do crânio
• Estruturas internas são mais estudadas com aquisições de
  imagens mais detalhadas.

Alterações visualizadas:

Fraturas;
Neoplasias;
Inflamações;
Distúrbios articulares (ATM);
Lesões por PAF;
Adenomas hipofisários;
Mieloma múltiplo;
Doença de Paget (osteíte deformante).
Sutura sagital




Etmoide
Assoalho do crânio
Ossos nasais
Asa menor
Asa maior
Zigomático
Maxila
Mandíbula
Seio frontal




Seio nasal
Seio maxilar
Sutura coronal


Seio frontal
               Sutura escamosa

               Sutura lambdoide
               Arco zigomático
               Parte petrosa
               Ramo da
               mandíbula
Seio frontal


Seio etmoidal
Septo nasal

Seio maxilar
Septo nasal




Seio maxilar
Côndilo da mandíbula

Processo odontoide
Zigomático

Arco zigomático




Temporal
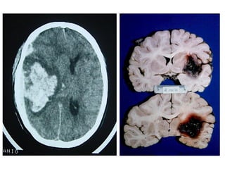
Tomografia Computadorizada do Crânio
• Alto grau de confiabilidade;
• Qualquer suspeita patológica envolvendo o encéfalo é indicativo de
  TC;

Alterações visualizadas:

   Neoplasias;
   Lesões;
   Tumores
   Metástases;
   Hemorragia intracraniana;
   Aneurisma;
   Abscesso;
   Atrofia cerebral;
   Alterações pós-traumáticas;
   Alterações congênitas.
Septo nasal


Zigomático


Temporal

Côndilo
mandibular
Seio frontal
Osso nasal
 Processo
 frontal do
 maxilar


Frontal

Revestimento do olho
Glândula lacrimal
Osso lacrimal

Ducto lacrimal
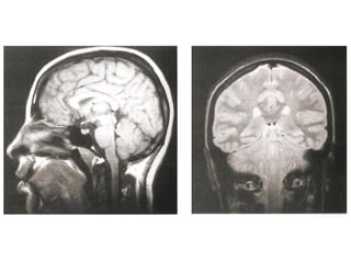
Ressonância Magnética do Crânio
• Sistema de obtenção de
  imagens é mais sensível à
  natureza molecular dos tecidos;

• Alta densidade tissular não
  resulta em resolução de
  contraste.


   Doenças da substância branca;
   Neoplasias;
   Doenças infecciosas;
   Distúrbios hemorrágicos;
   Distúrbios isquêmicos.
Tálamo
Hipotálamo
Hipófise
4º ventrículo
Sulco       Sulco
pré-central   central
Occipitofrontal




• Ato de enrugar a
testa;

• Levantamento das
sobrancelhas.
Corrugador do supercílio




• Aproximação das sobrancelhas
(franzir a fronte).
Orbicular do olho




• Fechamento (forte) das
pálpebras (fechar os
olhos).
Levantador do lábio superior




• Elevação   do    lábio
superior (expressão de
desprezo).
Levantador do ângulo da boca




• Elevação do canto da
boca (ato de sorrir).
Zigomático maior




• Movimentação do ângulo
da boca superior e
posteriormente (ato de
sorrir).
Abaixador do ângulo da boca




• Depressão do ângulo
da boca (expressão de
tristeza).
Abaixador do lábio inferior




• Movimentação do
lábio inferior lateral
e inferiormente.
Bucinador




• Ato de assoprar com a
boca fechada.
Orbicular da boca




• Fechamento dos lábios.
MASTIGAÇÃO
Temporal




• Fechamento
da mandíbula;

• Ato de apertar
os dentes.
Masseter




• Fechamento
da mandíbula;

• Ato de apertar
os dentes.
Temporal
    Seio
 esfenoidal
              Processo
              zigomático
Nasofaringe
              Masseter

              Mandíbula
Seio
maxilar
Temporal
Masseter
Angiografia do Crânio
• Exame radiográfico após injeção
  de contraste;

• Alta densidade tissular não resulta
  em resolução de contraste.


   Doenças da substância branca;
   Neoplasias;
   Doenças infecciosas;
   Distúrbios hemorrágicos;
   Distúrbios isquêmicos.
Angiografia do Crânio
• Exame radiográfico após injeção
  de contraste;

• Alta densidade tissular não resulta
  em resolução de contraste.


   Doenças da substância branca;
   Neoplasias;
   Doenças infecciosas;
   Distúrbios hemorrágicos;
   Distúrbios isquêmicos.

Anatomia radiológica do crânio