Especialização Médica Terapia Intensiva

     → Sessão Clínica Março 2012

       Dr.Paulo Henrique Xavier

  Agradecimento: Dr.Nelson Pimentel
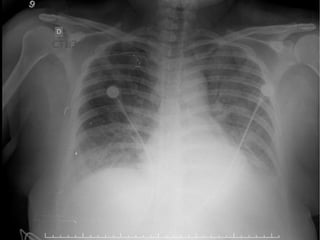
Relatório de adimissão no CTI
→ Paciente 52 anos, refere dispnéia com piora
 progressiva, inicialmente aos médios
 esforços, hoje já aos mínimos esforços
 associada a tosse seca há 6 dias, nega febre
 ou demais sinais ou sintomas. Iniciado
 tratamento ambulatorial com Azitromicina para
 PNM que posteriormente foi trocada para
 Clavulin e Claritromicina devido a piora do
 quadro apresentado. Hoje deu entrada na
 emergência do HSL com piora importante do
 padrão respiratório e hipertensão arterial,
 encaminhada ao CTI.
HPP: HAS em uso de atenolol 25mg/dia e Diovan 40mg/dia ;
  tabagista 0,5 maço/dia durante 34anos, refere rinite alérgica sem
  tratamento especifico, Glaucoma em uso de colírio Betoptic S 0,25
  2x dia ; Cesariana há 18 anos ; nega DM demais comorbidade bem
  como alergias medicamentosas ou alimentares.
Ao exame:
Orientada, corada, hidratada, acianótica, taquipnéica, afebril
ACV: RCR 2T Sem Sopros ; FC – 56bpm ; PNI – 158 x 92
AR: MV diminuido, crepitações difusas bilaterais ; Sat – 98% ; FR =
  30irpm ; O2 por tenda facial a 4l/min
ABD: RHA fisiológico, livre, indolor, depressível
MMII: Ausência de edemas, panturrilhas livres
Tituláveis: Nitroglicerina EV 15ml/h
Hipóteses Diagnósticas
Qual ou quais exames solicitar
Exames laboratoriais admissão
                     Sodio - 130
Hb – 10,8
                     PCR = 7,01
Htc – 33,2%
                     Lactato – 9
GL – 10.300
                     Gasometria arterial
Bastoes – 3 %
                     pH – 7,46
Seg – 75 %
                     PO2 – 61,7
Eos – 5 %
                     PCO2 – 26,5
Plaquetas – 422000
                     HCO3 – 19
Ureia – 28
                     BE – 3,3 negativo
Creatinina – 0,8
                     SO2e – 91,5%
Potassio – 3,5
                     Troponina / CPK / CKMB
BNP = 170
                       negativas
Doppler Venoso de membros inferiores

   Data 18/12/2011
   Estudadas veias femurais comuns, superficiais e
     profundas, popliteas, junções safeno femurais e
     poplíteas parvas, veias tibiais, peroneiras
   Todos os vasos com calibre normal, curso retilíneo,
     paredes finas e lisas
   Conclusão:
   Ausência de sinais de trombose venosa
    profunda.
Ecocardiograma Transtorácico
Data 18/12/2011
Exame de fácil realização com boa demostração das
  estruturas
Função sistólica do VE normal, sem áreas fibróticas,
  hipocinéticas, complacência normal, sem déficit de
  relaxamento.
Estruturas valvares bem visualizadas normais
VCI diâmetros normais, e variabilidade respiratória
Sem sinais de espessamento ou derrame pericárdico
Observa-se derrame pleural bilateral maior a esquerda
Tomografia de Tórax
Evolução clínica


19/12/11: Paciente com piora ventilatória
 progressiva, refratária aos tratamentos em
 curso, dependente de O2 por tenda facial a 6l/
 min, sendo necessário realização de VNI
 intermitente.
Outros exames e sorologias
Dengue – IgM negativo / IgG +
Anti HIV 1 e 2 – negativo
ANCA c / Fator Reumatóide – negativos
Blastomicose americana – negativo
Legionella P – IgM / IgG negativos
Mycoplasma P – IgM / IgG negativos
Chlamydia T – IgM / IgG negativos
Histoplasmose – negativo
BAAR 3 - amostras negativas
Hemocultura 3 amostras - negativas
Doenças difusas do parêmquima pulmonar
Também chamadas de doença pulmonar intersticial
Classificadas em conjunto devidos a achados clínicos, radiológicos,
   semelhantes e inespecíficos
Causas conhecidas → ex: (infecções virais, fúngicas e bacterianas atípicas ;
  exposição a agentes ocupacionais e ambientais ; exposição a radiação ;
  induzida por drogas) Tabela 1A-B
Causas idiopáticas → ex: (sarcoidose e as pneumonias intersticiais
  idiopáticas)
→ Fibrose pulmonar idiopática ; Pneumonia intersticial não especificadas ; Pneumonia em
   organização criptogênica ; Pneumonia intersticial descamativa : Pneumonia intersticial
   aguda; Bronquiolite respiratória associada à doença pulmonar intersticial ; Pneumonia
   intersticial linfóide




A ica T a Societ E opea R aor Societ . Int naiona multidisciplinary consensus classification of the idiopathic
 mer n hor cic    y/ur n espir t y   y er t l
    interstitial pneumonias. A JR Cr Cae M 20 2;165:277–3 4
                                 m espir it r ed 0             0.
Evolução clínica

Indicada biópsia pulmonar a céu aberto com congelação
  em sala
Realizada segmentectomia lingular + segmentectomia
 anterior do LSD + pleurectomia + toracotomia com
 drenagem fechada à esquerda
Congelação em sala → Padrão inflamatório com
 espessamento intertiscial difuso
Enviado material para análise histopatológica
Importância e indicações da biópsia pulmonar


Fornecer um diagnóstico específico. Especialmente desejável em um
  paciente com características atípicas, com idade <50 anos, febre, perda
  de peso, hemoptise, sinais de vasculite, doença com curso clínico
  progressivo, radiografia de tórax e TC de alta resolução com padrão
  atípico ; manifestações extrapulmonares, ou doença vascular pulmonar de
  origem obscura.
Excluir processos neoplásicos e infecciosos que ocasionalmente imitam
  doença intersticial.
Fazer um diagnóstico definitivo e predizer o prognóstico antes de prosseguir
  com terapias que possam ter efeitos secundários graves.



Bradley B, Branley HM, Egan JJ, et al. Interstitial lung disease guideline: the British Thoracic Society in
   collaboration with the Thoracic Society of Australia and New Zealand and the Irish Thoracic
   Society. Thorax 2008; 63 Suppl 5:v1.
Contra indicações relativas à biópsia pulmonar


Evidência radiográfica de doença em estágio final difuso, por exemplo,
  "faveolamento" sem áreas de atividade mais branda da doença
Doença cardiovascular grave, disfunção pulmonar grave, idade avançada, ou
  outros riscos importantes para a cirurgia ou anestesia geral
Ventilação mecânica e terapia imunossupressora parecem aumentar o risco
  de morte e outras complicações da biópsia pulmonar cirúrgica
Àreas acometidas com dificuldade de acesso cirúgico e alta probabilidade de
  não conseguir material adequado




Lettieri CJ, Veerappan GR, Helman DL, et al.
     Outcomes and safety of surgical lung biopsy for interstitial lung disease. Chest 2005; 127:1600.
Informações ao patologista

Idade do paciente,tempo de duração da doença, e qualquer exposição a
   agentes ocupacionais ou ambientais
Imunodeficiência do paciente (imunossupressores ; HIV)
História de uso de drogas (prescritas ou ilícitas)
Diagnóstico clínico suspeito, que muitas vezes levam a uma pesquisa mais
   orientada pelo patologista




O sucesso diagnóstico é baseado na análise multidisciplinar do Clínico
  (Pneumologista), do radiologista e do patologista


Flaherty KR, King TE Jr, Raghu G, et al. Idiopathic interstitial pneumonia: what is the effect of a
    multidisciplinary approach to diagnosis? Am J Respir Crit Care Med 2004; 170:904.

Scr bild

  • 1.
    Especialização Médica TerapiaIntensiva → Sessão Clínica Março 2012 Dr.Paulo Henrique Xavier Agradecimento: Dr.Nelson Pimentel
  • 2.
    Relatório de adimissãono CTI → Paciente 52 anos, refere dispnéia com piora progressiva, inicialmente aos médios esforços, hoje já aos mínimos esforços associada a tosse seca há 6 dias, nega febre ou demais sinais ou sintomas. Iniciado tratamento ambulatorial com Azitromicina para PNM que posteriormente foi trocada para Clavulin e Claritromicina devido a piora do quadro apresentado. Hoje deu entrada na emergência do HSL com piora importante do padrão respiratório e hipertensão arterial, encaminhada ao CTI.
  • 3.
    HPP: HAS emuso de atenolol 25mg/dia e Diovan 40mg/dia ; tabagista 0,5 maço/dia durante 34anos, refere rinite alérgica sem tratamento especifico, Glaucoma em uso de colírio Betoptic S 0,25 2x dia ; Cesariana há 18 anos ; nega DM demais comorbidade bem como alergias medicamentosas ou alimentares. Ao exame: Orientada, corada, hidratada, acianótica, taquipnéica, afebril ACV: RCR 2T Sem Sopros ; FC – 56bpm ; PNI – 158 x 92 AR: MV diminuido, crepitações difusas bilaterais ; Sat – 98% ; FR = 30irpm ; O2 por tenda facial a 4l/min ABD: RHA fisiológico, livre, indolor, depressível MMII: Ausência de edemas, panturrilhas livres Tituláveis: Nitroglicerina EV 15ml/h
  • 4.
  • 5.
    Qual ou quaisexames solicitar
  • 7.
    Exames laboratoriais admissão Sodio - 130 Hb – 10,8 PCR = 7,01 Htc – 33,2% Lactato – 9 GL – 10.300 Gasometria arterial Bastoes – 3 % pH – 7,46 Seg – 75 % PO2 – 61,7 Eos – 5 % PCO2 – 26,5 Plaquetas – 422000 HCO3 – 19 Ureia – 28 BE – 3,3 negativo Creatinina – 0,8 SO2e – 91,5% Potassio – 3,5 Troponina / CPK / CKMB BNP = 170 negativas
  • 8.
    Doppler Venoso demembros inferiores Data 18/12/2011 Estudadas veias femurais comuns, superficiais e profundas, popliteas, junções safeno femurais e poplíteas parvas, veias tibiais, peroneiras Todos os vasos com calibre normal, curso retilíneo, paredes finas e lisas Conclusão: Ausência de sinais de trombose venosa profunda.
  • 9.
    Ecocardiograma Transtorácico Data 18/12/2011 Examede fácil realização com boa demostração das estruturas Função sistólica do VE normal, sem áreas fibróticas, hipocinéticas, complacência normal, sem déficit de relaxamento. Estruturas valvares bem visualizadas normais VCI diâmetros normais, e variabilidade respiratória Sem sinais de espessamento ou derrame pericárdico Observa-se derrame pleural bilateral maior a esquerda
  • 10.
  • 11.
    Evolução clínica 19/12/11: Pacientecom piora ventilatória progressiva, refratária aos tratamentos em curso, dependente de O2 por tenda facial a 6l/ min, sendo necessário realização de VNI intermitente.
  • 13.
    Outros exames esorologias Dengue – IgM negativo / IgG + Anti HIV 1 e 2 – negativo ANCA c / Fator Reumatóide – negativos Blastomicose americana – negativo Legionella P – IgM / IgG negativos Mycoplasma P – IgM / IgG negativos Chlamydia T – IgM / IgG negativos Histoplasmose – negativo BAAR 3 - amostras negativas Hemocultura 3 amostras - negativas
  • 14.
    Doenças difusas doparêmquima pulmonar Também chamadas de doença pulmonar intersticial Classificadas em conjunto devidos a achados clínicos, radiológicos, semelhantes e inespecíficos Causas conhecidas → ex: (infecções virais, fúngicas e bacterianas atípicas ; exposição a agentes ocupacionais e ambientais ; exposição a radiação ; induzida por drogas) Tabela 1A-B Causas idiopáticas → ex: (sarcoidose e as pneumonias intersticiais idiopáticas) → Fibrose pulmonar idiopática ; Pneumonia intersticial não especificadas ; Pneumonia em organização criptogênica ; Pneumonia intersticial descamativa : Pneumonia intersticial aguda; Bronquiolite respiratória associada à doença pulmonar intersticial ; Pneumonia intersticial linfóide A ica T a Societ E opea R aor Societ . Int naiona multidisciplinary consensus classification of the idiopathic mer n hor cic y/ur n espir t y y er t l interstitial pneumonias. A JR Cr Cae M 20 2;165:277–3 4 m espir it r ed 0 0.
  • 15.
    Evolução clínica Indicada biópsiapulmonar a céu aberto com congelação em sala Realizada segmentectomia lingular + segmentectomia anterior do LSD + pleurectomia + toracotomia com drenagem fechada à esquerda Congelação em sala → Padrão inflamatório com espessamento intertiscial difuso Enviado material para análise histopatológica
  • 16.
    Importância e indicaçõesda biópsia pulmonar Fornecer um diagnóstico específico. Especialmente desejável em um paciente com características atípicas, com idade <50 anos, febre, perda de peso, hemoptise, sinais de vasculite, doença com curso clínico progressivo, radiografia de tórax e TC de alta resolução com padrão atípico ; manifestações extrapulmonares, ou doença vascular pulmonar de origem obscura. Excluir processos neoplásicos e infecciosos que ocasionalmente imitam doença intersticial. Fazer um diagnóstico definitivo e predizer o prognóstico antes de prosseguir com terapias que possam ter efeitos secundários graves. Bradley B, Branley HM, Egan JJ, et al. Interstitial lung disease guideline: the British Thoracic Society in collaboration with the Thoracic Society of Australia and New Zealand and the Irish Thoracic Society. Thorax 2008; 63 Suppl 5:v1.
  • 17.
    Contra indicações relativasà biópsia pulmonar Evidência radiográfica de doença em estágio final difuso, por exemplo, "faveolamento" sem áreas de atividade mais branda da doença Doença cardiovascular grave, disfunção pulmonar grave, idade avançada, ou outros riscos importantes para a cirurgia ou anestesia geral Ventilação mecânica e terapia imunossupressora parecem aumentar o risco de morte e outras complicações da biópsia pulmonar cirúrgica Àreas acometidas com dificuldade de acesso cirúgico e alta probabilidade de não conseguir material adequado Lettieri CJ, Veerappan GR, Helman DL, et al. Outcomes and safety of surgical lung biopsy for interstitial lung disease. Chest 2005; 127:1600.
  • 18.
    Informações ao patologista Idadedo paciente,tempo de duração da doença, e qualquer exposição a agentes ocupacionais ou ambientais Imunodeficiência do paciente (imunossupressores ; HIV) História de uso de drogas (prescritas ou ilícitas) Diagnóstico clínico suspeito, que muitas vezes levam a uma pesquisa mais orientada pelo patologista O sucesso diagnóstico é baseado na análise multidisciplinar do Clínico (Pneumologista), do radiologista e do patologista Flaherty KR, King TE Jr, Raghu G, et al. Idiopathic interstitial pneumonia: what is the effect of a multidisciplinary approach to diagnosis? Am J Respir Crit Care Med 2004; 170:904.