Seminário: DOENÇAS PULMONARES
             PARTE I
           03/11/2011
     MR2 ROBERTO CORRÊA
Doença Pulmonar Focal
  Numerosas condições pulmonares benignas se
  apresentam como nódulos ou massas únicos ou
                     múltiplos;
  Essas condições incluem anomalias congênitas,
doenças inflamatórias, infecções pulmonares, lesões
              vasculares entre outras;
  A radiografia convencional de tórax serve como
       técnica primária em sua identificação;
     Desafio: diferenciar benigno de maligno!!!
Anomalias Congênitas



        1. Sequestro pulmonar;
2. Malformação arteriovenosa pulmonar;
         3. Cisto broncogênico
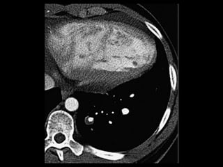
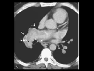
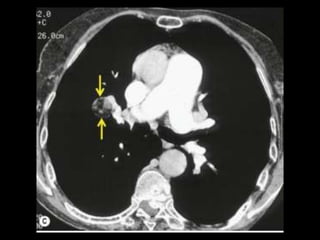
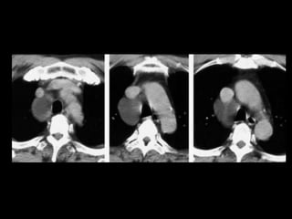
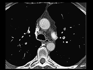
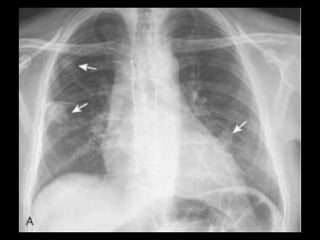
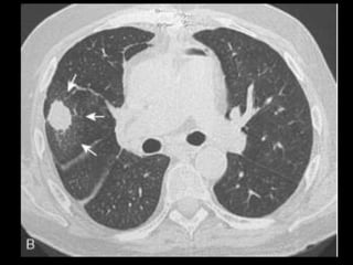
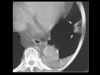
Sequestro pulmonar
 Definição: segmento de tecido pulmonar que é
   separado da árvore brônquica e recebe seu
suprimento sanguíneo de uma artéria sistêmica;
       Dois tipos: intralobar e extralobar;
  A maioria dos sequestros são tipo intralobar;
  O suprimento vascular em 80-90% dos casos
     provêm da artéria aorta descendente;
   Complicações: hemoptise e BCP repetição;
  Diagnóstico: identificação do vaso anômalo.
Sequestro intralobar com infecções recorrentes
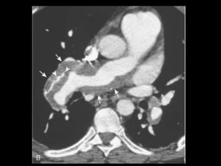
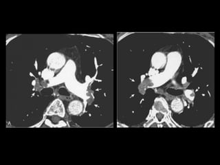
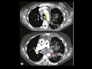
Malformação arteriovenosa(MAV)
      MAV congênitas: fístulas vasculares com
comunicação entre a artéria e a veia pulmonar(95%)
 ou de uma artéria sistêmica e a veia pulmonar com
               by-pass do leito capilar;
    Cerca de 50% das MAVs estão associadas com
  Síndrome de Rendu-Osler-Weber(teleangiectasia
              hemorrágica hereditária);
   O diagnóstico costuma ser bem direto pela TC;
Malformação arteriovenosa(MAV)
 TC: o aspecto típico é de uma massa regular,
  lobulada, redonda ou oval, ou até o de uma
formação serpenginosa, com menos de 1 cm a
vários cm de tamanho, associada a uma artéria
 nutriz visivelmente aumentada e uma veia de
               drenagem alargada;
 Uma ANGIO-TC geralmente faz o diagnóstico;
   Tratamento pode ser realizado com terapia
                   embólica.
MAV complexa
Cisto Broncogênico(CB)
   É de longe a forma mais comum de cisto de
duplicação do intestino anterior resultante de uma
        má separação ventral com a árvore
                traqueobrônquica;
  Cerca de 80% dos casos ocorrem nas regiões
           paratraqueal ou subcarinal;
 Os CB são malformações císticas congênitas dos
 pulmões raras e apenas de 10-30% apresentam
            localização intrapulmonar;
Cisto Broncogênico(CB)
 Todos os CB apresentam uma camada de epitélio
      respiratório e podem conter cartilagem;
Caracteristicamente, os CB não se comunicam com a
    árvore traqueobrônquica até que se tornem
                     infectados;
    Os CB n parênquima pulmonar podem estar
 associados à hiperinsuflação e ao aprisionamento
aéreo, como resultado de um mecanismo de válvula
            ou atelectasia pós-obstrutiva.
Nível hidroaéreo: leite de cálcio
Doença inflamatória: Granuloma
  Granulomas pós inflamatórios devido à TBC ou
infecção fúngica são os nódulos pulmonares mais
                       comuns;
    A TC com cortes finos é mais sensível que a
  radiografia para identificar calcificações em um
                       nódulo;
    Na TC sem contraste: um nódulo pulmonar
circunscrito e calcificado que mede abaixo de 2cm
   em diâmetro é habitualmente um granuloma
                calcificado benigno.
Doença inflamatória: Granuloma
               Padrões de calcificação:
  Benignidade: calcificação homogênea por todo o
nódulo, calcificação anelar laminada ou concêntrica
e com aspecto em “pipoca”; exceção: metástase de
 sarcoma osteogênico: são tipicamente calcificadas
             com padrão homogêneo!!
         Malignidade: padrões diferentes.
 Granulomas benignos inativos: pouco ou nenhum
           realce pelo meio de contraste.
Hamartoma
     Hamartoma e outros nódulos com gordura;
 Áreas focais de gordura dentro de um nódulo com
  valores de atenuação de -40 a -120HU, algumas
    vezes associados à calcificação condroide(em
 pipoca), são indicadores confiáveis de hamartoma;
Pacientes com história de rinite crônica e/ou uso de
óleo mineral ou medicações nasais que contêm óleo
e que apresentem áreas focais de gordura dentro de
    uma massa pulmonar ou consolidação focal:
    diagnóstico de pneumonia lipoídica exógena.
Lesões vasculares
 O sinal do vaso nutridor é definido como um vaso
que corre diretamente para dentro de um nódulo;
     O sinal indica que a lesão tem uma origem
hematogênica ou que o processo patológico ocorre
      próximo a pequenos vasos pulmonares;
   Um número de doenças não neoplásicas dos
pulmões relacionadas a vasos produz doença focal,
    incluindo infarto pulmonar, embolia séptica,
  aspergilose pulmonar angioinvasiva, vasculites
          pulmonares e embolia pulmonar.
Infarto Pulmonar
 Está relacionado à obstrução tromboembólica de
uma artéria pulmonar de tamanho médio e implica
             necrose do tecido pulmonar;
Os achados radiológicos clássicos incluem o sinal de
   Westermark(hipoperfusão focal) e a corcova de
     Hampton(densidade periférica em formato
           triangular acima do diafragma);
  TC: atelectasia seg ou subsegmentar e atenuação
 focal mal definida em vidro fosco ou consolidação
       parenquimatosa(periférica e triangular).
Êmbolo Séptico
Embolia pulmonar séptica se apresenta com quadro
 insidioso de febre, tosse e opacidades pulmonares;
    Comumente visto em portadores de cateteres
  permanentes, endocardite da tricúspide, etilismo,
       infecções de pele e usuários de drogas IV;
  Manifestação radiográfica: opacidades nodulares
  bilaterais, com dimensões variadas que, em geral,
                apresentam escavações;
A embolia séptica é com frequência complicada com
                       empiema.
Êmbolo Séptico
    TC: modalidade importante para confirmar a
presença de êmbolos sépticos quando a radiografia
    convencional de tórax permanece negativa;
 TC: nódulos bilaterais mais numerosos nas regiões
        periféricas dos pulmões e nas bases;
  Os nódulos podem ser bem circunscritos ou mal
definidos e com frequência apresentam escavações;
 O sinal do vaso nutriz pode estar presente em 60-
                   70% dos casos.
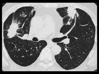
Aspergilose broncopulmonar
                 invasiva
  A aspergilose broncopulmonar angioinvasiva é a
      infecção pulmonar fúngica mais comum;
Fatores de risco maiores são: neutropenia severa ou
 prolongada(<500 células), terapia prolongada com
corticoides, doença enxerto versus hospedeiro após
     TMO alogênico e estágios tardios de SIDA;
 Sintomas não específicos: febre, tosse e dispneia;
     Diagnóstico: dados clínicos, radiológicos e
                    micológicos.
Aspergilose broncopulmonar
               invasiva
    A trombocitopenia pode impedir biópsias
                  percutâneas;
As culturas dos LBA são positivas em 30-68% dos
              pacientes infectados;
A detecção de galactomanas e ácido nucleico no
soro ou no LBA é útil na identificação precoce de
      aspergilose angioinvasiva no paciente
                imunossuprimido;
 Diagnóstico definitivo: presença do fungo nos
              espécimes de tecido.
Aspergilose broncopulmonar
                invasiva
 Radiografias: múltiplos nódulos periféricos, mal
 definidos que medem de 1 a 3 cm de tamanho e
 gradualmente coalescem em massas maiores ou
               áreas de consolidação.
Um achado precoce na TC é a borda de opacidade
em vidro fosco que circunda nódulos(sinal do halo
na TC): o halo representa hemorragia ao redor de
uma área focal de infarto pulmonar causado pelo
   Aspergillus, que invade os vasos pulmonares.
  Halo: outras infecções, TB, mucormicose, MTX
             hemorrágica e Wegener.
Vasculite Pulmonar
   A granulomatose de Wegener é uma doença
           multissistêmica caracterizada
 clinicopatologicamente pela combinação de um
processo granulomatoso necrotizante e ulcerativo
    do trato respiratório e dos órgãos internos;
 Pode ocorrer uma forma limitada ao trato renal;
     Vasculiteisquemia/infartos cicatrizes
                 parenquimatosas
Granulomatose de Wegener
      TC: nódulos ou massas subpleurais ou
   peribroncovasculares(1 a 4 cm de diâmetro),
  algumas vezes espiculados; em aprox. 50% dos
         casos, as massas podem escavar;
 TC: opacidades bilaterais difusas em vidro fosco,
áreas de consolidação do espaço aéreo bilaterais
    não-segmentares ou peribroncovasculares,
espessamento peribrônquico e pequenos nódulos
     centrolobulares e padrão em árvore em
                   brotamento.
Embolia Pulmonar
 Patologia comum e representa a terceira causa de
                  morte nos EUA;
Resulta de um trombo formado nos sistema venoso;
 Radiografia de tórax tem valor limitado: tem mais
         valor em excluir outras condições;
         Exame de escolha: angio-TC(MD);
Acurácia da TCMD depende: do tamanho da artéria
         afetada e do tamanho do êmbolo;
Embolia Pulmonar
Diagnóstico de embolia aguda na TC com contraste
   é baseado na visualização direta de falhas de
   enchimento parciais ou completas dentro das
                 artérias pulmonares;
                    Sinal da “rosca”;
             Sinal do “trilho de trem”;
Outro sinal útil: formação de ângulos agudos com a
parede vascular, a perda completa da opacificação e
    o aumento do diâmetro do vaso acometido.
Embolia Pulmonar
 Trombos crônicos: com frequência aparecem como
  defeitos de enchimento em forma de crescente ou
 laminares aderidos às paredes da artéria pulmonar;
         Calcificações podem estar presentes;
  Armadilhas: tempo de delay, volume de contraste,
sangue não opacificado oriundo da veia cava inferior
     e do átrio direito( interrupção transitória de
                       contraste);
Embolia Pulmonar não-
            Trombótica
              Condição incomum;
       Associada com achados específicos:
       1. Nódulos com cavitações(séptica);
   2. Áreas homogêneas ou heterogêneas com
   aumento da atenuação 12-24 horas pós trauma
               (embolia gordurosa);
 3. Opacidades tubulares ramificadas(injeção de
                 metilmetacrilato);
4. Finos nódulos miliares que coalescem(talcose).
Embolia Pulmonar Tumoral
       Manifestação incomum das neoplasias;
  Diagnóstico de êmbolo tumoral é difícil em bases
clínicas e pelos estudos radiográficos convencionais;
  TC: dilatação multifocal múltipla e no aspecto de
     “contas de rosário” nas artérias pulmonares
     periféricas, primariamente com distribuição
                     subsegmentar;
      Uma causa vascular do padrão “árvore em
    brotamento” foi descrita em um paciente com
      angiopatia trombótica tumoral pulmonar.
Atelectasia Redonda
    Forma de colapso pulmonar periférico não
segmentar que pode simular um câncer primário de
                      pulmão;
   Sempre encontrada a uma área adjacente de
              espessamento pleural;
 Processo parece se iniciar com uma efusão pleural
  adesiva ou uma reação pleural que encarcera o
         pulmão atelectasiado adjacente;
              Relação com asbesto.
Atelectasia Redonda
Esse pseudotumor pulmonar pode ser diferenciado:
  1. Massa arredondada ou acunhada que forma
             ângulo agudo com a pleura;
           2. Sinal da cauda de cometa;
3. Broncograma central visível na porção central da
                        massa;
       4. Realce homogêneo pelo contraste;
  5. Redução no volume do hemitórax ipsilateral.
            OBS: biópsia ou ressecção.
Hérnia de Morgagni
Hérnia de Morgagni
scimitar vein
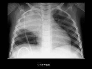
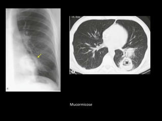
Mucormicose
Mucormicose
BIBLIOGRAFIA

Tc pulmão parte i 03.11.11

  • 1.
    Seminário: DOENÇAS PULMONARES PARTE I 03/11/2011 MR2 ROBERTO CORRÊA
  • 2.
    Doença Pulmonar Focal Numerosas condições pulmonares benignas se apresentam como nódulos ou massas únicos ou múltiplos; Essas condições incluem anomalias congênitas, doenças inflamatórias, infecções pulmonares, lesões vasculares entre outras; A radiografia convencional de tórax serve como técnica primária em sua identificação; Desafio: diferenciar benigno de maligno!!!
  • 3.
    Anomalias Congênitas 1. Sequestro pulmonar; 2. Malformação arteriovenosa pulmonar; 3. Cisto broncogênico
  • 4.
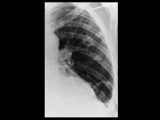
    Sequestro pulmonar Definição:segmento de tecido pulmonar que é separado da árvore brônquica e recebe seu suprimento sanguíneo de uma artéria sistêmica; Dois tipos: intralobar e extralobar; A maioria dos sequestros são tipo intralobar; O suprimento vascular em 80-90% dos casos provêm da artéria aorta descendente; Complicações: hemoptise e BCP repetição; Diagnóstico: identificação do vaso anômalo.
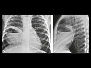
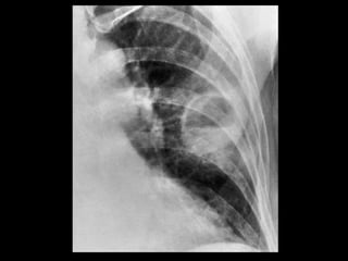
  • 11.
    Sequestro intralobar cominfecções recorrentes
  • 13.
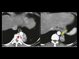
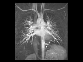
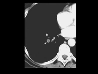
    Malformação arteriovenosa(MAV) MAV congênitas: fístulas vasculares com comunicação entre a artéria e a veia pulmonar(95%) ou de uma artéria sistêmica e a veia pulmonar com by-pass do leito capilar; Cerca de 50% das MAVs estão associadas com Síndrome de Rendu-Osler-Weber(teleangiectasia hemorrágica hereditária); O diagnóstico costuma ser bem direto pela TC;
  • 14.
    Malformação arteriovenosa(MAV) TC:o aspecto típico é de uma massa regular, lobulada, redonda ou oval, ou até o de uma formação serpenginosa, com menos de 1 cm a vários cm de tamanho, associada a uma artéria nutriz visivelmente aumentada e uma veia de drenagem alargada; Uma ANGIO-TC geralmente faz o diagnóstico; Tratamento pode ser realizado com terapia embólica.
  • 19.
  • 21.
    Cisto Broncogênico(CB) É de longe a forma mais comum de cisto de duplicação do intestino anterior resultante de uma má separação ventral com a árvore traqueobrônquica; Cerca de 80% dos casos ocorrem nas regiões paratraqueal ou subcarinal; Os CB são malformações císticas congênitas dos pulmões raras e apenas de 10-30% apresentam localização intrapulmonar;
  • 22.
    Cisto Broncogênico(CB) Todosos CB apresentam uma camada de epitélio respiratório e podem conter cartilagem; Caracteristicamente, os CB não se comunicam com a árvore traqueobrônquica até que se tornem infectados; Os CB n parênquima pulmonar podem estar associados à hiperinsuflação e ao aprisionamento aéreo, como resultado de um mecanismo de válvula ou atelectasia pós-obstrutiva.
  • 29.
  • 32.
    Doença inflamatória: Granuloma Granulomas pós inflamatórios devido à TBC ou infecção fúngica são os nódulos pulmonares mais comuns; A TC com cortes finos é mais sensível que a radiografia para identificar calcificações em um nódulo; Na TC sem contraste: um nódulo pulmonar circunscrito e calcificado que mede abaixo de 2cm em diâmetro é habitualmente um granuloma calcificado benigno.
  • 33.
    Doença inflamatória: Granuloma Padrões de calcificação: Benignidade: calcificação homogênea por todo o nódulo, calcificação anelar laminada ou concêntrica e com aspecto em “pipoca”; exceção: metástase de sarcoma osteogênico: são tipicamente calcificadas com padrão homogêneo!! Malignidade: padrões diferentes. Granulomas benignos inativos: pouco ou nenhum realce pelo meio de contraste.
  • 34.
    Hamartoma Hamartoma e outros nódulos com gordura; Áreas focais de gordura dentro de um nódulo com valores de atenuação de -40 a -120HU, algumas vezes associados à calcificação condroide(em pipoca), são indicadores confiáveis de hamartoma; Pacientes com história de rinite crônica e/ou uso de óleo mineral ou medicações nasais que contêm óleo e que apresentem áreas focais de gordura dentro de uma massa pulmonar ou consolidação focal: diagnóstico de pneumonia lipoídica exógena.
  • 40.
    Lesões vasculares Osinal do vaso nutridor é definido como um vaso que corre diretamente para dentro de um nódulo; O sinal indica que a lesão tem uma origem hematogênica ou que o processo patológico ocorre próximo a pequenos vasos pulmonares; Um número de doenças não neoplásicas dos pulmões relacionadas a vasos produz doença focal, incluindo infarto pulmonar, embolia séptica, aspergilose pulmonar angioinvasiva, vasculites pulmonares e embolia pulmonar.
  • 41.
    Infarto Pulmonar Estárelacionado à obstrução tromboembólica de uma artéria pulmonar de tamanho médio e implica necrose do tecido pulmonar; Os achados radiológicos clássicos incluem o sinal de Westermark(hipoperfusão focal) e a corcova de Hampton(densidade periférica em formato triangular acima do diafragma); TC: atelectasia seg ou subsegmentar e atenuação focal mal definida em vidro fosco ou consolidação parenquimatosa(periférica e triangular).
  • 44.
    Êmbolo Séptico Embolia pulmonarséptica se apresenta com quadro insidioso de febre, tosse e opacidades pulmonares; Comumente visto em portadores de cateteres permanentes, endocardite da tricúspide, etilismo, infecções de pele e usuários de drogas IV; Manifestação radiográfica: opacidades nodulares bilaterais, com dimensões variadas que, em geral, apresentam escavações; A embolia séptica é com frequência complicada com empiema.
  • 45.
    Êmbolo Séptico TC: modalidade importante para confirmar a presença de êmbolos sépticos quando a radiografia convencional de tórax permanece negativa; TC: nódulos bilaterais mais numerosos nas regiões periféricas dos pulmões e nas bases; Os nódulos podem ser bem circunscritos ou mal definidos e com frequência apresentam escavações; O sinal do vaso nutriz pode estar presente em 60- 70% dos casos.
  • 48.
    Aspergilose broncopulmonar invasiva A aspergilose broncopulmonar angioinvasiva é a infecção pulmonar fúngica mais comum; Fatores de risco maiores são: neutropenia severa ou prolongada(<500 células), terapia prolongada com corticoides, doença enxerto versus hospedeiro após TMO alogênico e estágios tardios de SIDA; Sintomas não específicos: febre, tosse e dispneia; Diagnóstico: dados clínicos, radiológicos e micológicos.
  • 49.
    Aspergilose broncopulmonar invasiva A trombocitopenia pode impedir biópsias percutâneas; As culturas dos LBA são positivas em 30-68% dos pacientes infectados; A detecção de galactomanas e ácido nucleico no soro ou no LBA é útil na identificação precoce de aspergilose angioinvasiva no paciente imunossuprimido; Diagnóstico definitivo: presença do fungo nos espécimes de tecido.
  • 50.
    Aspergilose broncopulmonar invasiva Radiografias: múltiplos nódulos periféricos, mal definidos que medem de 1 a 3 cm de tamanho e gradualmente coalescem em massas maiores ou áreas de consolidação. Um achado precoce na TC é a borda de opacidade em vidro fosco que circunda nódulos(sinal do halo na TC): o halo representa hemorragia ao redor de uma área focal de infarto pulmonar causado pelo Aspergillus, que invade os vasos pulmonares. Halo: outras infecções, TB, mucormicose, MTX hemorrágica e Wegener.
  • 58.
    Vasculite Pulmonar A granulomatose de Wegener é uma doença multissistêmica caracterizada clinicopatologicamente pela combinação de um processo granulomatoso necrotizante e ulcerativo do trato respiratório e dos órgãos internos; Pode ocorrer uma forma limitada ao trato renal; Vasculiteisquemia/infartos cicatrizes parenquimatosas
  • 59.
    Granulomatose de Wegener TC: nódulos ou massas subpleurais ou peribroncovasculares(1 a 4 cm de diâmetro), algumas vezes espiculados; em aprox. 50% dos casos, as massas podem escavar; TC: opacidades bilaterais difusas em vidro fosco, áreas de consolidação do espaço aéreo bilaterais não-segmentares ou peribroncovasculares, espessamento peribrônquico e pequenos nódulos centrolobulares e padrão em árvore em brotamento.
  • 61.
    Embolia Pulmonar Patologiacomum e representa a terceira causa de morte nos EUA; Resulta de um trombo formado nos sistema venoso; Radiografia de tórax tem valor limitado: tem mais valor em excluir outras condições; Exame de escolha: angio-TC(MD); Acurácia da TCMD depende: do tamanho da artéria afetada e do tamanho do êmbolo;
  • 62.
    Embolia Pulmonar Diagnóstico deembolia aguda na TC com contraste é baseado na visualização direta de falhas de enchimento parciais ou completas dentro das artérias pulmonares; Sinal da “rosca”; Sinal do “trilho de trem”; Outro sinal útil: formação de ângulos agudos com a parede vascular, a perda completa da opacificação e o aumento do diâmetro do vaso acometido.
  • 70.
    Embolia Pulmonar Tromboscrônicos: com frequência aparecem como defeitos de enchimento em forma de crescente ou laminares aderidos às paredes da artéria pulmonar; Calcificações podem estar presentes; Armadilhas: tempo de delay, volume de contraste, sangue não opacificado oriundo da veia cava inferior e do átrio direito( interrupção transitória de contraste);
  • 78.
    Embolia Pulmonar não- Trombótica Condição incomum; Associada com achados específicos: 1. Nódulos com cavitações(séptica); 2. Áreas homogêneas ou heterogêneas com aumento da atenuação 12-24 horas pós trauma (embolia gordurosa); 3. Opacidades tubulares ramificadas(injeção de metilmetacrilato); 4. Finos nódulos miliares que coalescem(talcose).
  • 79.
    Embolia Pulmonar Tumoral Manifestação incomum das neoplasias; Diagnóstico de êmbolo tumoral é difícil em bases clínicas e pelos estudos radiográficos convencionais; TC: dilatação multifocal múltipla e no aspecto de “contas de rosário” nas artérias pulmonares periféricas, primariamente com distribuição subsegmentar; Uma causa vascular do padrão “árvore em brotamento” foi descrita em um paciente com angiopatia trombótica tumoral pulmonar.
  • 81.
    Atelectasia Redonda Forma de colapso pulmonar periférico não segmentar que pode simular um câncer primário de pulmão; Sempre encontrada a uma área adjacente de espessamento pleural; Processo parece se iniciar com uma efusão pleural adesiva ou uma reação pleural que encarcera o pulmão atelectasiado adjacente; Relação com asbesto.
  • 82.
    Atelectasia Redonda Esse pseudotumorpulmonar pode ser diferenciado: 1. Massa arredondada ou acunhada que forma ângulo agudo com a pleura; 2. Sinal da cauda de cometa; 3. Broncograma central visível na porção central da massa; 4. Realce homogêneo pelo contraste; 5. Redução no volume do hemitórax ipsilateral. OBS: biópsia ou ressecção.
  • 84.
  • 85.
  • 86.
  • 88.
  • 90.
  • 91.