Hipertensão Pulmonar
     12/04/2012
MR3 ROBERTO CORRÊA
Hipertensão pulmonar
Definição: aumento da PMAP > ou = 25 mmHg e
            PCP < 15 mmHg por CAT;

                  Divisão:
            1.Leve: 26-35 mmHg;
         2.Moderada: 36-45 mmHg;
           3.Grave: > 45 mmHg.
Hipertensão pulmonar
                  Classificações:
               Causas pré-capilares:
1. Doença hipertensiva arterial pulmonar idiopática
                       (HAPI);
    2. 2. Doença trombótica e não trombótica;
     3. Obstrução vascular proximal(tumor ou
                      vasculites);
          4. Doenças cardíacas congênitas;
        5. Doenças pleuroparenquimatosas.
Hipertensão pulmonar
                  Classificações:

              Causas pós-capilares:

1. Doenças que aumentam a pressão venosa, como
   aquelas que comprometem as câmaras cardíacas
    esquerdas, mixoma atrial, doença venoclusiva e
        a hemangiomatose capilar pulmonar.
http://www.medcenter.com/Medscape/content.aspx?id=25036
Classificação de Veneza 2003
Hipertensão primária
Fisiopatologia
A HAP, independente da etiologia, acarreta um grau
       de dilatação pulmonar e consequente
                   aterosclerose;
 Outros achados: fibrose intimal e espessamento da
     camada muscular das artérias e arteríolas:
Hiperplasia e hipertrofia muscular, caracterizando o
  achado patológico de arteriopatia plexogênica.
Também incluem-se: necrose fibrinoide e vasculites.
Fisiopatologia




  http://publicacoes.cardiol.br/consenso/2005/039.pdf
http://arochapat.blogspot.com.br/
Classificação fisiopatológica
Achados clínicos e laboratorias
        Sintomas são inespecíficos.
           Dispnéia progressiva;
       Outros sintomas: ver quadro;

Associação de síncope e hemoptise: péssimo
               prognóstico!!
Exame físico
Varia desde normal até presença marcante de sinais
           de insuficiência cardíaca direita;
       Alguns achados orientam para a causa:
      1.Alterações cutâneas, teleangiectasias e
            esclerodactilia colagenose;
2.Obesos ou com deformidades da caixa torácica
              investigar hipoventilação;
   3.Todas formas de hipertensão ocorrem sem
     predomínio de sexo e idade, exceto HAPI.
http://www.medcenter.com/Medscape/content.aspx?id=25036
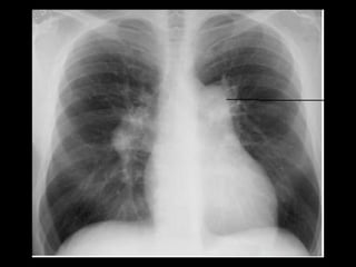
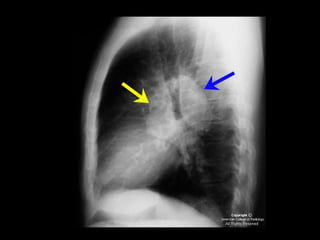
Exames de imagem: Rx Tórax
   Primeiro passo na investigação radiológica da
                   suspeita de HAP;
  Achados típicos: aumento do calibre das artérias
centrais, com rápido afilamento dos vasos à medida
           que progridem para a periferia;
 A área cardíaca pode estar aumentada ou normal;
     Calcificação vascular: associado a alta RVP;
                 Sensibilidade baixa;
    Útil para afastar ou sugerir causas de HAP;
Radiografia de tórax normal
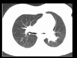
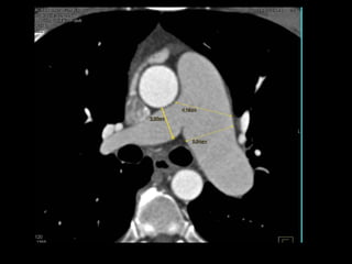
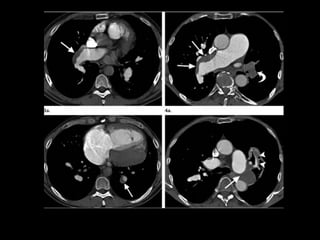
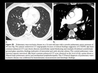
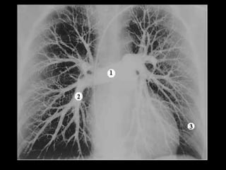
Tomografia computadorizada
Angiotomografia dos vasos pulmonares com TCMD
   e reconstruções com filtro de alta resolução;
  Mede-se o tronco da pulmonar próximo à sua
  bifurcação e lateralmente à aorta ascendente;
             Em adultos: até 29 mm;
              Sensibilidade: 69-87%;
            Especificidade: 89-100%.
TC normal de tórax
http://bjr.birjournals.org/content/71/850/1018.full.pdf
http://radiographics.rsna.org/content/30/7/1753.full.pdf+html
Arq. Bras. Cardiol. vol.87 no.5 São Paulo Nov. 2006
http://radiographics.rsna.org/content/30/7/1753.full.pdf+html
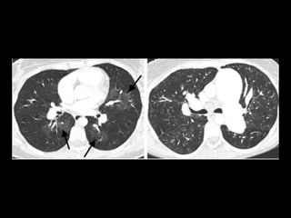
Tomografia computadorizada
     Um diâmetro da artéria pulmonar > aorta
ascendente: sensibilidade de 70% e especificidade
          de 92% no diagnóstico de HAP;
Achados parenquimatosos: dependem da etiologia
           e mecanismo da hipertensão:
 Perfusão em mosaico, vidro fosco, espessamento
        septal e nódulos centrolobulares.
Derrame ou espessamento pleural, e, em pacientes
  com HAP grave, pequeno derrame pericárdico.
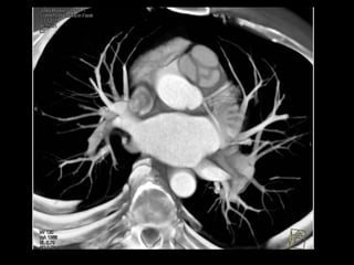
Ressonância magnética
Além de medir o diâmetro da artéria pulmonar:
Pode visualizar a direção e a velocidade do fluxo
sanguíneo nas câmaras cardíacas e nos grandes
vasos, obtendo imagens precisas das estruturas
                cardiovasculares;
  Técnica de escolha em longos seguimentos;
Diagnóstico de hipertrofia do VD e dilatação das
             artérias pulmonares;
RM normal de tórax
http://emedicine.medscape.com/article/421904-overview
Ecocardiografia
  Método não invasivo mais preciso para avaliar a
               presença de HAP;

Possibilidade de medições durante esforço cardíaco,
   resposta a um exercício ou agente inotrópico;

 Medidas pressóricas invasivas obtidas sob esforço
são só realizadas em poucos centros de referências.
Cintilografia de inalação-perfusão
  Papel: diferenciação entre HAPI e hipertensão
    pulmonar do tromboembolismo crônico:
             Sensibilidade de 90-100%;
            Especificidade de 94-100%.
   Usada em pacientes com contraindicações à
angiotomografia ou, então, para complementar as
             informações radiológicas;
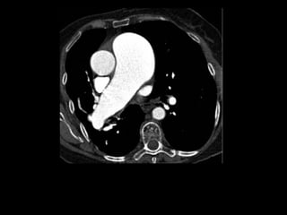
Arteriografia
Exame definitivo para o estadiamento vascular da
   hipertensão pulmonar do tromboembolismo
                      crônico;
De grande importância nos pacientes candidatos a
             tromboendarterectomia;
Pode quantificar a pressão da artéria pulmonar e as
   medidas da RVP, débitos cardíaco e da PCP.
Hipertensão pulmonar pré-capilar
Hipertensão arterial pulmonar
            idiopática (HAPI)
              Doença pulmonar rara;
            Incidência: 1-2 por milhão;
     Idade: diagnóstico por volta dos 36 anos;
     Predominância em mulheres: 1,7M:1,0H;
              Maior parte idiopática;
               Cerca de 10% familiar;
Cerca de 2 anos em média do início da doença até o
                    diagnóstico;
   Sobrevisa média de 3 anos sem tratamento.
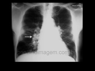
HAPI: imagem: Rx e TC
   Aumento do calibre dos vasos pulmonares;
        Afilamento dos vasos e oligoemia;
         Sinais de cardiomegalia direita;
 Tortuosidade dos vasos pulmonares periféricos;
Em alguns pacientes: nódulos centrolobulares em
 vidro fosco(hemorragia, congestão vascular ou
             depósitos de colesterol);
   Padrão em mosaico: em alguns pacientes;
http://radiographics.rsna.org/content/30/7/1753.full.pdf+html
Hipertensão portopulmonar
   Complicação da doença hepática crônica;
Prevalência de HAP em pacientes com cirrose é
              baixa: 0,61% a 0,73%;
        Associação com esquistossomose
                 Fisiopatologia:
   Obstrução dos vasos pelos ovos, disfunção
endotelial, lesão de cisalhamento causada pelo
hiperfluxo sanguíneo e reações inflamatórias na
                     íntima.
Achados de imagem: Rx e TC


Aumento do calibre dos vasos pulmonares;
   Afilamento dos vasos e oligoemia;
    Sinais de cardiomegalia direita;
            Esplenomegalia
Esquistossomose
http://radiographics.rsna.org/content/30/7/1753.full.pdf+html
HAP associada a doença
           imunológica sistêmica
HAP não acompanhada de doença parenquimatosa
pulmonar e manifesta na histologia por arteriopatia
plexogênica pode ocorrer nas doenças autoimunes
            do tecido conjuntivo como:
                Esclerose sistêmica;
                       DMTC;
                        LES.
  Vasculites pulmonar raramente cursa com HAP:
                 Takayasu e Behçet
Achados de imagem: Rx e TC


 Aumento do calibre dos vasos pulmonares;
     Afilamento dos vasos e oligoemia;
      Sinais de cardiomegalia direita;
Presença ou não de doença parenquimatosa
                 pulmonar
HAP: tromboembolismo crônico
História natural: 96% dos pacientes que sobrevivem
ao quadro agudo de obstrução vascular evolui com
 resolução espontânea ou por meio de tratamento
                       clínico;
 Cerca de 4%: trombo se desenvolve no interior do
     vaso, obstruindo sua luz e causando HAP;
      Patogênese: não está bem estabelecida.
     Clínica: assintomáticos até cor pulmonale.
Achados de imagem: Rx e TC
      Artérias pulmonares centrais dilatadas;
Trombo ocluindo e reduzindo o diâmetro da artéria
                       ocluída;
  Localização excêntrica dos êmbolos pulmonares
              com ou sem calcificações;
    Estreitamento abrupto do diâmetro arterial;
      Recanalização das falhas de enchimento
                    intraluminal;
         Dilatação das artérias brônquicas.
http://radiographics.rsna.org/content/30/7/1753.full.pdf+html
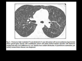
HAP pós-capilar
Doença pulmonar venoclusiva
Definição: trombose venosa pulmonar com sinais e
                 sintomas de HAP;
   Associação com medicamentos(bleomicina e
       mitomicina), HIV, TMO e sarcoidose;
Na adolescência a incidência é igual entre os sexos,
mas na fase adulta/velhice há discreto predomínio
                    de homens;
Patologia: estenose ou obliteração parcial das veias
     e vênulas pulmonares por tecido fibroso
              proveniente da íntima.
http://radiographics.rsna.org/content/30/7/1753.full.pdf+html
http://www.ajronline.org/content/183/1/65.full.pdf+html
http://publicacoes.cardiol.br/consenso/2005/039.pdf
Sarcoidose




http://radiographics.rsna.org/content/30/7/1753.full.pdf+html
Alveolite extrínseca + enfisema




        http://radiographics.rsna.org/content/30/7/1753.full.pdf+html

Hipertensão pulmonar