Universidade Federal de Santa Maria
      Diagnóstico por imagem
      VIAS AÉREAS – parte 2


            Professor: Carlos Jesus Pereira Haygert
         Monitora: Isadora Cristina Olesiak Cordenonsi
 Brônquios segmentares 


 Bronquíolos terminais (acompanhados pelas artérias
  pulmonares)

 Bronquíolos respiratórios  cada um dando origem a ductos
  alveolares  sacos alveolares (revestidos por alvéolos)
Vias aéreas
Traquéia       Bronquíolos terminais (sem cartilagem);
Brônquios
Bronquíolos
Alvéolos       Bronquíolos respiratórios (sem cartilagem e
                com alvéolos);
Bronquiectasias / bronquioloectasias
Bronquiectasias / bronquioloectasias
Bronquiectasias / bronquioloectasias
           Cilíndrica (reversível)
           Varicosa
           Cística


           Sinal do anel do sinete: artéria pulmonar
            adjacente ao brônquio dilatado;

           Sinal do trilho do trem;
Interstício
 Figura do “Computed Tomography of the lung...”(Baert 2007)
Lóbulo pulmonar secundário
 Menor porção do pulmão, ainda circundada por um septo de
 tecido conjuntivo;
 Composto por 3 a 5 bronquíolos terminais (3 a 12*)
 Identificado na TCAR tanto em estados normais quanto
 patológicos;
 Revestidos por septos interlobulares que contém as tributárias das
 veias periféricas e dos vasos linfáticos;
 Ácinos pulmonares: porção do pulmão distal a um
  bronquíolo terminal e consiste dos bronquíolos respiratórios,
  dos ductos alveolares, dos sacos alveolares e dos alvéolos;
Lóbulo pulmonar secundário
Padrão
alveolar
   Broncograma aéreo no padrão
    acinar
Padrão Alveolar
 O padrão alveolar ou do espaço aéreo é caracterizado por
   opacidade homogênea.

 Ocorre pela ocupação do espaço aéreo por outras
   substâncias que não o ar: exsudato nas pneumopatias,
   transudato nos edemas pulmonares, sangue, células
   neoplásicas e materiais estranhos no caso de aspiração (ex.
   aspiração de óleo mineral)
Padrão Alveolar

 Forma repentina (horas a dias): hemorragia pulmonar
   (trauma, vasculites), pneumonia (febre e tosse produtiva),
   edema pulmonar (cardiogênico e não cardiogênico);
Padrão alveolar
Adenocarcinoma de pulmão
apresentando-se como padrão
acinar;
Atelectasia do Lobo Sup. D. (compare com slide
anterior que era consolidação de LSD!)
Conceitos
 Atelectasia: ausência do ar alveolar;


 Consolidação: substituição do ar alveolar (não há redução de
  volume);
 Quando ocorre essa consolidação os brônquios em seu
  interior podem tornar-se visíveis – broncograma aéreo.
Compare...
Consolidação   Vidro-fosco
SIDA: padrão de vidro-fosco – P. jiroveci
Vidro fosco
 Opacidade observada na TC, pode ser decorrente tanto de
  alteração do espaço aéreo quanto do interstício.

 Alvéolos ou interstício ocupados parcialmente por processo
  patológico (líquido, células, exudato); Resoluação da TCAR
  não é suficiente para definir a imagem;
Padrão intersticial
Padrão Intersticial
 O interstício pulmonar é todo o tecido conjuntivo de
  sustentação que mantém a arquitetura alveolar. Os vasos,
  brônquios e linfáticos situam-se no interstício.
 Infiltrações intersticiais parenquimatosas podem aparecer na
  forma de padrão
         reticular
         micronodular
         reticulonodular.

 Sinônimo de espessamento septal: Linha de Kerley
 1. Sarcoidose
 2. Silicose



      Padrão intersticial - micronodular
 Pneumonia intersticial é tipicamente viral;


 Pneumonia alveolar é tipicamente bacteriana;
Pequeno nódulo no pulmão direito
Nódulos
 O nódulo pulmonar é uma lesão arredondada ou ovalada, de
  limites parcialmente precisos, com menos de 3 cm de
  diâmetro.
Nódulo pulmonar solitário – Não se avalia
por TCAR!!!! (TCAR é para doenças difusas)
Nódulo pulmonar solitário
 Nódulo sem crescimento ao longo de dois anos e com
  calcificações associadas à benignidade  provavelmente
  benigno;

 Tumores: tempo de duplicação variável, mas espera-se
  crescimento em dois anos;
Nódulo pulmonar solitário
 Calcificação difusa, central ou lamelar  possível considerar
  benigno;

 Calcificação “em pipoca”  visto em hamartomas;
Nódulo pulmonar solitário
Ex: hamartoma:
calcificação “em
pipoca”
Qual a densidade?
         Ar?


         Nódulo não calcificado?


         Nódulo calcificado?
Qual a densidade?
         Ar: -800HU


         Nódulo não calcificado: 30 a 100HU


         Nódulo calcificado: mais de 200HU
Nódulo pulmonar solitário
          Nódulo não calcificado OU mostrar
           crescimento ao longo de dois anos: possível
           malignidade!
Nódulo pulmonar solitário
          Nódulos semissólidos: mais preocupantes
           quanto à possibilidade de neoplasias (CBA);



          Causa mais comum de NPS: granuloma
           (por infecção granulomatosa prévia)
Nódulo pulmonar solitário
          Margens não tem valor no potencial de
           benignidade ou malignidade;
Nódulos pulmonares múltiplos
 Causas mais comum em adultos:
            neoplasia metastática (diversos diâmetros,
  densidade de tecido mole, raramente calcificada, exceto
  osteossarcoma)



           doença infecciosa (fúngicas e micobacterianas);
                      nódulos acinares: pneumonias virais –
  herpes e catapora;
Carcinoma de tireóide com metástases pulmonares;
Granuloma de TB
Massas
 São lesões com as mesmas características atribuídas aos
  nódulos, porém com mais de 3cm de diâmetro.
Grande massa no lobo superior direito
Cavidades
 Cavidades ocorrem quando uma área de necrose comunica-se
  com uma via respiratória pérvia, proporcionando drenagem.
Cavidade
            Causa mais comum: lesões inflamatórias;


            Se única e paciente febril: pensar em
             pneumonia;

            Se múltiplas pensar em disseminação
             hematogênica da infecção (ex: endocardite
             – S. aureus)
Cavidade

            Neoplasia;


            Vasculite: granulomatose de Wegener
             (vasculite necrosante granulomatosa (rins–
             VAS - VAI);

            TB (possibilidade de colonização por
             Aspergillus –sinal do crescente);
Bola fúngica
(aspergiloma) em
cavidade
Carcinoma broncoalveolar escavado (quando necrótico ou infectado)
Histiocistose Langerhans com
Pequenos cistos;
Diminuição da opacidade pulmonar-
cistos


                            1.Linfangioleiomi
                            omatose
                            2.PIL
                            3. Histiocistose de
                            langerhans
Bolhas de enfisema avançado
Cistos/cavidades/bolhas
 Aumento da transparência pulmonar de modo focal e bem
  delimitado;
 Cisto : parede com espessura menor que 1mm


 Cavidade: parede com espessura maior que 1mm
  (geralmente decorre de eliminação de partes necróticas pela
  via aérea)

 Bolhas: parede com espessura menor que 1mm, mas
  contornos irregulares;
Enfisema Pulmonar
 O enfisema caracteriza-se por destruição dos espaços aéreos
  envolvidos na troca gasosa, comprometendo bronquíolos
  respiratórios, ductos alveolares e alvéolos.
 O tabagismo é o principal fator de risco.
Alguns sinais e padrões
radiológicos de TÓRAX
Padrão de árvore em brotamento: Acúmulo de
 secreções em pequenas vias aéreas ocorrendo
         principalmente em infecções
Padrão de faveolamento
O que foi visto até agora?
 Diferença de brônquios/ bronquíolos terminais e respiratórios;
 Anatomia do lóbulo pulmonar secundário;
 Padrão alveolar;
 Padrão intersticial : micronodular, reticular, reticulonodular;
   (micronodular : distribuição)
 Consolidação x vidro fosco
 Consolidação x atelectasia
 Broncograma aéreo  consolidação
 Nódulo pulmonar solitário (calcificação,
Crescimento em dois anos, semissólidos)
 Nódulos múltiplos
O que foi visto até agora?
 Cistos (LAM, Histiocistose de Langerhans, PIL)
 Bolhas
 Cavidades (diss. hemat. de infecção, neoplasia, TB, gran.
  Wegerner)
 Enfisema (centrolobular)
 Padrões e sinais torácicos
    Sinal de Westermark
    Sinal da corcova de Hampton
    Sinal de árvore em brotamento
    Perfusão em mosaico ( X vidro fosco)
    Faveolamento - fibrose
Referências bibliográficas
 Wiliam E. Brant, Clyde A. Helms; Fundamentals of
  Diagnostic Radiology; vol2, chapter 12;

 LANGE; Radiologia básica; 2° edição, capítulo 4;


 Stern; Chest Radiology

Vias aéreas 2

  • 1.
    Universidade Federal deSanta Maria Diagnóstico por imagem VIAS AÉREAS – parte 2 Professor: Carlos Jesus Pereira Haygert Monitora: Isadora Cristina Olesiak Cordenonsi
  • 2.
     Brônquios segmentares  Bronquíolos terminais (acompanhados pelas artérias pulmonares)  Bronquíolos respiratórios  cada um dando origem a ductos alveolares  sacos alveolares (revestidos por alvéolos)
  • 3.
    Vias aéreas Traquéia  Bronquíolos terminais (sem cartilagem); Brônquios Bronquíolos Alvéolos  Bronquíolos respiratórios (sem cartilagem e com alvéolos);
  • 4.
  • 5.
  • 7.
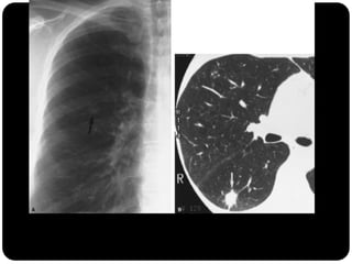
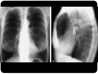
    Bronquiectasias / bronquioloectasias  Cilíndrica (reversível)  Varicosa  Cística  Sinal do anel do sinete: artéria pulmonar adjacente ao brônquio dilatado;  Sinal do trilho do trem;
  • 8.
  • 11.
     Figura do“Computed Tomography of the lung...”(Baert 2007)
  • 14.
    Lóbulo pulmonar secundário Menor porção do pulmão, ainda circundada por um septo de tecido conjuntivo; Composto por 3 a 5 bronquíolos terminais (3 a 12*) Identificado na TCAR tanto em estados normais quanto patológicos; Revestidos por septos interlobulares que contém as tributárias das veias periféricas e dos vasos linfáticos;
  • 15.
     Ácinos pulmonares:porção do pulmão distal a um bronquíolo terminal e consiste dos bronquíolos respiratórios, dos ductos alveolares, dos sacos alveolares e dos alvéolos;
  • 18.
  • 23.
    Padrão alveolar  Broncograma aéreo no padrão acinar
  • 24.
    Padrão Alveolar  Opadrão alveolar ou do espaço aéreo é caracterizado por opacidade homogênea.  Ocorre pela ocupação do espaço aéreo por outras substâncias que não o ar: exsudato nas pneumopatias, transudato nos edemas pulmonares, sangue, células neoplásicas e materiais estranhos no caso de aspiração (ex. aspiração de óleo mineral)
  • 25.
    Padrão Alveolar  Formarepentina (horas a dias): hemorragia pulmonar (trauma, vasculites), pneumonia (febre e tosse produtiva), edema pulmonar (cardiogênico e não cardiogênico);
  • 26.
  • 28.
  • 30.
    Atelectasia do LoboSup. D. (compare com slide anterior que era consolidação de LSD!)
  • 31.
    Conceitos  Atelectasia: ausênciado ar alveolar;  Consolidação: substituição do ar alveolar (não há redução de volume);
  • 32.
     Quando ocorreessa consolidação os brônquios em seu interior podem tornar-se visíveis – broncograma aéreo.
  • 33.
  • 34.
    SIDA: padrão devidro-fosco – P. jiroveci
  • 35.
    Vidro fosco  Opacidadeobservada na TC, pode ser decorrente tanto de alteração do espaço aéreo quanto do interstício.  Alvéolos ou interstício ocupados parcialmente por processo patológico (líquido, células, exudato); Resoluação da TCAR não é suficiente para definir a imagem;
  • 36.
  • 37.
    Padrão Intersticial  Ointerstício pulmonar é todo o tecido conjuntivo de sustentação que mantém a arquitetura alveolar. Os vasos, brônquios e linfáticos situam-se no interstício.
  • 38.
     Infiltrações intersticiaisparenquimatosas podem aparecer na forma de padrão reticular micronodular reticulonodular.  Sinônimo de espessamento septal: Linha de Kerley
  • 40.
     1. Sarcoidose 2. Silicose Padrão intersticial - micronodular
  • 41.
     Pneumonia intersticialé tipicamente viral;  Pneumonia alveolar é tipicamente bacteriana;
  • 42.
    Pequeno nódulo nopulmão direito
  • 43.
    Nódulos  O nódulopulmonar é uma lesão arredondada ou ovalada, de limites parcialmente precisos, com menos de 3 cm de diâmetro.
  • 44.
    Nódulo pulmonar solitário– Não se avalia por TCAR!!!! (TCAR é para doenças difusas)
  • 45.
    Nódulo pulmonar solitário Nódulo sem crescimento ao longo de dois anos e com calcificações associadas à benignidade  provavelmente benigno;  Tumores: tempo de duplicação variável, mas espera-se crescimento em dois anos;
  • 46.
    Nódulo pulmonar solitário Calcificação difusa, central ou lamelar  possível considerar benigno;  Calcificação “em pipoca”  visto em hamartomas;
  • 47.
    Nódulo pulmonar solitário Ex:hamartoma: calcificação “em pipoca”
  • 49.
    Qual a densidade?  Ar?  Nódulo não calcificado?  Nódulo calcificado?
  • 50.
    Qual a densidade?  Ar: -800HU  Nódulo não calcificado: 30 a 100HU  Nódulo calcificado: mais de 200HU
  • 51.
    Nódulo pulmonar solitário  Nódulo não calcificado OU mostrar crescimento ao longo de dois anos: possível malignidade!
  • 52.
    Nódulo pulmonar solitário  Nódulos semissólidos: mais preocupantes quanto à possibilidade de neoplasias (CBA);  Causa mais comum de NPS: granuloma (por infecção granulomatosa prévia)
  • 53.
    Nódulo pulmonar solitário  Margens não tem valor no potencial de benignidade ou malignidade;
  • 54.
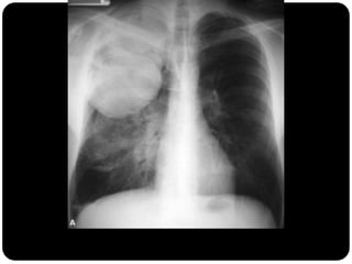
    Nódulos pulmonares múltiplos Causas mais comum em adultos: neoplasia metastática (diversos diâmetros, densidade de tecido mole, raramente calcificada, exceto osteossarcoma) doença infecciosa (fúngicas e micobacterianas); nódulos acinares: pneumonias virais – herpes e catapora;
  • 55.
    Carcinoma de tireóidecom metástases pulmonares;
  • 57.
  • 58.
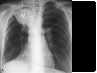
    Massas  São lesõescom as mesmas características atribuídas aos nódulos, porém com mais de 3cm de diâmetro.
  • 59.
    Grande massa nolobo superior direito
  • 60.
    Cavidades  Cavidades ocorremquando uma área de necrose comunica-se com uma via respiratória pérvia, proporcionando drenagem.
  • 61.
    Cavidade  Causa mais comum: lesões inflamatórias;  Se única e paciente febril: pensar em pneumonia;  Se múltiplas pensar em disseminação hematogênica da infecção (ex: endocardite – S. aureus)
  • 62.
    Cavidade  Neoplasia;  Vasculite: granulomatose de Wegener (vasculite necrosante granulomatosa (rins– VAS - VAI);  TB (possibilidade de colonização por Aspergillus –sinal do crescente);
  • 63.
  • 64.
    Carcinoma broncoalveolar escavado(quando necrótico ou infectado)
  • 66.
  • 67.
    Diminuição da opacidadepulmonar- cistos 1.Linfangioleiomi omatose 2.PIL 3. Histiocistose de langerhans
  • 68.
  • 69.
    Cistos/cavidades/bolhas  Aumento datransparência pulmonar de modo focal e bem delimitado;  Cisto : parede com espessura menor que 1mm  Cavidade: parede com espessura maior que 1mm (geralmente decorre de eliminação de partes necróticas pela via aérea)  Bolhas: parede com espessura menor que 1mm, mas contornos irregulares;
  • 70.
    Enfisema Pulmonar  Oenfisema caracteriza-se por destruição dos espaços aéreos envolvidos na troca gasosa, comprometendo bronquíolos respiratórios, ductos alveolares e alvéolos.  O tabagismo é o principal fator de risco.
  • 73.
    Alguns sinais epadrões radiológicos de TÓRAX
  • 76.
    Padrão de árvoreem brotamento: Acúmulo de secreções em pequenas vias aéreas ocorrendo principalmente em infecções
  • 78.
  • 80.
    O que foivisto até agora?  Diferença de brônquios/ bronquíolos terminais e respiratórios;  Anatomia do lóbulo pulmonar secundário;  Padrão alveolar;  Padrão intersticial : micronodular, reticular, reticulonodular; (micronodular : distribuição)  Consolidação x vidro fosco  Consolidação x atelectasia  Broncograma aéreo  consolidação  Nódulo pulmonar solitário (calcificação, Crescimento em dois anos, semissólidos)  Nódulos múltiplos
  • 81.
    O que foivisto até agora?  Cistos (LAM, Histiocistose de Langerhans, PIL)  Bolhas  Cavidades (diss. hemat. de infecção, neoplasia, TB, gran. Wegerner)  Enfisema (centrolobular)  Padrões e sinais torácicos Sinal de Westermark Sinal da corcova de Hampton Sinal de árvore em brotamento Perfusão em mosaico ( X vidro fosco) Faveolamento - fibrose
  • 82.
    Referências bibliográficas  WiliamE. Brant, Clyde A. Helms; Fundamentals of Diagnostic Radiology; vol2, chapter 12;  LANGE; Radiologia básica; 2° edição, capítulo 4;  Stern; Chest Radiology