UNIVERSIDADE DO ESTADO DO AMAZONAS
DEPARTAMENTO DE CLINICA MÉDICA
DISCIPLINA DE PNEUMOLOGIA ETISIOLOGIA
 Existem mais de 200 formas clínicas de DPD de
causas conhecidas.
 Classicamente conhecidas como Pneumopatias
Intersticiais
 Pode resultar de causa agudas ou crônicas.
 TCAR é o método de escolha para definir o padrão
de acometimento pulmonar.
 O interstício é uma rede de fibras de tecido
conjuntivo que sustenta o pulmão.
 Possui 4 subdivisões:
1. Interstício peribroncovascular
2. Interstício subpleural
3. Interstício centrolobular
4. Intersticío intralobular
 Quando normal não é visualizado na TC.
Os principais componentes do interstício são as artérias centrolobulares, veias
centrolobulares, septos interlobulares, veias pulmonares e linfáticos.
 São afecções heterogêneas, agrupadas
devido a achados clínicos, radiológicos e
funcionais semelhantes.
 O termo “doenças pulmonares
parenquimatosas difusas” é considerado mais
adequado.
▪ Neste grupo de doenças estão incluídas diversas formas
de doenças que não tem localização exatamente no
interstício.
1. Pneumonia intersticial não específica (PINE)
2. Pneumonia Intersticial Usual (PIU)
3. Pneumonia em Organização
4. Pneumonia Intersticial Linfóide
5. Lesão Alveolar Difusa
6. Hemorragia
 Grande desafio
 Grande número de patologias podem envolver os
pulmões de maneira primária ou secundária, com
apresentação clínica, radiológica e histológica
variada.
 Diagnóstico em geral tardio.
 Prognóstico e tratamento heterogêneos.
 Identificar doença intersticial oculta
 Sugerir o padrão histopatológico subjacente
 Quantificar a gravidade da doença.
 Avaliar a possibilidade de reação pulmonar a
drogas e doenças oportunistas.
 A combinação de mais de um tipo histológico
pode ser encontrada.
 Combinação mais comum: PINE + PO
Particularmente em pacientes com PM/DM e
DMTC.
 Opacidades reticulares
▪ Espessamento septal interlobular
▪ Faveolamento
▪ Reticulação com bronquiectasias
 Opacidades nodulares
▪ Perilinfática
▪ Randômica
▪ Centro-lobular
▪ Septal
 Aumento de atenuação
 Diminuição da atenuação
 Pneumonia lipoídica
 Pneumonia eosinofílica aguda
 Teste de Difusão pelo CO
 Detecção precoce de alterações e auxilia a avaliar
prognóstico
 Volumes Pulmonares: normal ou diminuído.
 Espirometria: Sem um padrão de achados.
Mais comum distúrbios ventilatórios
inespecíficos.
 Obtido através de broncoscopia
 Citometria e citologia
 Diagnóstico definitivo em poucas situações.
 Cerca de 40% dos casos só conseguirão
confirmação diagnóstica após realização de
BX.
 Métodos:
 Transbrônquica (via endoscópica)
 Cirúrgica
 É a doença inflamatória sistêmica auto-imune mais
comum.
 Afeta até 2% da população geral.
 QC: Poliartrite simétrica que pode levar à
deformidade e destruição articular.
 Até 50 % dos pacientes terão acometimento de
outros órgãos como pele, olhos, pulmão e coração.
 Complicações pulmonares causam de 10 a 20%
do total de mortes.
 Pode acometer vias aéreas, pleura e interstício.
 As alterações intersticiais são mais comuns no
sexo masculino e têm relação positiva com
tabagismo e com títulos elevados de fator
reumatóide.
 Doença autoimune caracterizada por envolvimento
vascular, ativação fibroblástica e produção excessiva de
colágeno, levando ao surgimento de fibrose em diversos
órgãos.
 Etiologia desconhecida.
 Predomínio no sexo feminino
 Possível correlação com HLA-DR1 e/ou DQB1 DR4.
 Anticorpos específicos: Anti-Scl70 e Anti-centrômero
 DPI clinicamente significativa ocorre em cerca
de 40% dos pacientes ESP.
 Principal causa de morbidade e mortalidade.
 O envolvimento pulmonar é mais comum
quando anticorpos anti-Scl 70 estão presentes.
 Pode ocorrer tanto na forma difusa quanto na
localizada.
 Avaliação Pulmonar é mandatória na rotina
inicial desses pacientes.
 Recomendação: DCO + TCAR
 A medição do DCO na ESP se correlaciona melhor
com a gravidade da doença e acometimento pela
TCAR que outros parâmetros funcionais.
 Risco aumentado de Neoplasia maligna de
pulmão.
 Pacientes com doença extensa tem pior
evolução, e devem portanto ser tratados.
 Doença extensa: comprometimento acima de
20% do parênquima pulmonar,
 Doença limitada: caracterizada pelo
comprometimento abaixo de 20%.
 Objetivos do tratamento:
 Aumentar a tolerância ao exercício
 Melhorar a qualidade de vida
 Prolongar a sobrevida.
 Impedir a progressão da doença.
▪ Portanto, a estabilidade funcional não deve ser
considerada uma falha terapêutica.
 Ciclofosfamida
 Corticosteróides
 Micofenolato
 Tratamento do Refluxo
 Imunobiológicos
 O envolvimento parenquimatoso pulmonar é
infreqüente.
 Pneumonite lúpica e a hemorragia alveolar
difusa (HAD) são as formas de apresentação
aguda.
 Ambas podem ser a apresentação inicial do
LES.
 Caracteriza-se radiologicamente por
infiltrado difuso e histologicamente por Dano
Alveolar Difuso, hemorragia alveolar, e
deposição de imunoglobulinas e
complemento.
 Derrame pleural ocorre em 50% dos casos.
 HAD no LES deve ser suspeitada na presença
de queda da hemoglobina e hemoptoicos, e
pode ser confirmada por LBA.
 Biópsia cirúrgica pode ser necessária para
exclusão de infecções.
 O tratamento de ambas as condições envolve
o uso de corticosteróide em doses elevadas e,
em casos de não resposta, deve-se associar
ciclofosfamida.
Doença intersticial, fibrosante, crônica e
progressiva, limitada aos pulmões
Causa desconhecida
Idade entre 50 – 60 anos (40 – 70a)
Padrão histopatologico: PIU
Alveolite;
Fibrose;
Faveolamento
FIBROSE PULMONAR IDIOPÁTICAFIBROSE PULMONAR IDIOPÁTICA
Tabagismo: 20 maços/ano
Exposições ambientais: poeiras, criação de
animais, cabeleireiros, polimentos
Agentes microbianos: EBV e virus C ??
Refluxo gastroesofágico anormal
DM
FIBROSE PULMONAR IDIOPÁTICAFIBROSE PULMONAR IDIOPÁTICA
 Fatores genéticos – FP familiar (5%)
 Dois ou mais casos na mesma família;
 Autossômica – dominante
 Gene ELMOD2 – cromossoma 4q31
FIBROSE PULMONAR IDIOPÁTICAFIBROSE PULMONAR IDIOPÁTICA
 TCAR
 Extensão do acometimento pulmonar e fase da
dça.
▪ Precoce: áreas em vidro fosco
▪ Avançada: faveolamento
FIBROSE PULMONAR IDIOPÁTICAFIBROSE PULMONAR IDIOPÁTICA
 Padrão definitivo – Todos os 4 critérios são
necessários:
 Predominância nas bases e regiões subpleurais;
 Anormalidades reticulares;
 Faveolamento com ou sem bronquiectasias de
tração;
 Ausência de todos os 7 critérios inconsistentes
com o padrão de UIP
FIBROSE PULMONAR IDIOPÁTICAFIBROSE PULMONAR IDIOPÁTICA
FIBROSE PULMONAR IDIOPÁTICAFIBROSE PULMONAR IDIOPÁTICA
Fonte: http://www.scielo.br/scielo
FIBROSE PULMONAR IDIOPÁTICAFIBROSE PULMONAR IDIOPÁTICA
Fonte: http://www.scielo.br/scielo
Sobrevida: 2 a 5 anos
Curso variável com exacerbações agudas (causas
secundárias)
Pior prognóstico:
Sexo masculino;
Grau de dispneia;
Baqueteamento digital;
HP (17mmHg)
DCO <40%
FIBROSE PULMONAR IDIOPÁTICAFIBROSE PULMONAR IDIOPÁTICA
 N-Acetilcisteína em altas doses: 600 mg de
8/8 horas.
 Anti-fibrótica:
 Pirfenidona (molécula síntetica de baixo peso)
▪ Anti-fibrótica, anti-oxidante e anti-inflamatória
▪ 1800mg – 1200mg/dia
▪ Melhora do CVF
 Inibidor de tirosino-quinase BIBF 1120 (150mg
2x/dia)
FIBROSE PULMONAR IDIOPÁTICAFIBROSE PULMONAR IDIOPÁTICA
Tx pulmonar:
Baixa sobrevida
Alta mortalidade
Indicação: todos os pacientes com diagnostico de FPI
CI absolutas:
Neo (02 anos), disfunções avançadas de outros órgãos, dça
inflamatória sistêmicas, HIV, alterações psiquiátricas,
tabagismo, etilismo e drogas ilícitas.
CI relativas:
Idade (65 – 60 anos),estado funcional ruim, infeções, obesidade,
desnutrição, osteoporose, uso crônico de corticoides
FIBROSE PULMONAR IDIOPÁTICAFIBROSE PULMONAR IDIOPÁTICA
 Depende do órgão comprometido e da atividade
granulomatosa. Pulmonar é a principal
 Cerca de 1/3 são assintomáticos
 Sintomas inespecíficos
 Febre baixa (em geral)
 Fadiga crônica
 Perda ponderal
 Sudorese noturna
 90% dos casos, mesmo com predomínio extrapulmonar
 Tosse seca, dispnéia e dor torácica (30 a 50%)
 Estertores crepitantes e baqueteamento digital (20%)
 Hemoptise está relacionada com bronquiectasias
 Radiografia de Tórax
 Anormal (85 a 95%) e com vários padrões
 LFNmegalia hilar bilateral é mais típico (75%)
 Sd Löfgren
 Febre + Eritema Nodoso + Poliartrite + LFNmegalia Hilar
Pulmonar Bilateral
CLASSIFICAÇÃO RADIOLÓGICA
RESOLUÇÃO
ESPONTÂNEA
0 Radiografia de tórax normal -------
1
Linfadenomegalia hilar bilateral
(LHB)
60 – 90%
2 LHB + Infiltrado Pulmonar 40 – 70%
3 Infiltrado Pulmonar (sem LHB) 10 – 20%
4 Fibrose Pulmonar 0%
 Pode ser primeira manifestação (25 – 35%)
 Eritema Nodoso (10%)
 Em geral, relacionado a fase aguda
 Prognostico favorável, com remissão espontânea
 Mulheres; Região Pré-Tibial
 Lúpus Pérnio
 Relacionado a quadros crônicos
 Pior prognostico e formas extrapulmonares
 Mais prevalente em negros
 Prednisona 20 a 40 mg/dia (ou equivalente)
 Doses maiores para cardíaco ou neurológico
 Resposta clinica em 4 a 8 semanas
 Havendo melhora, faz-se redução gradativa CE,
mantendo-o por 9 a 12 meses
 Não resposta em 3 meses: dose insuficiente ou
resistência
 MTX 15 a 25 mg/sem
 Efetivo em ate 60%
 Poupador de CE
 Azatioprina 100 a 150 mg/dia
 Hidroxicloroquina e Anti-TNF-alfa (Talidomida) -
cutâneo
 Biológicos (Infliximab) – opção resistência
Pneumopatias Intersticiais
Pneumopatias Intersticiais

Pneumopatias Intersticiais

  • 1.
    UNIVERSIDADE DO ESTADODO AMAZONAS DEPARTAMENTO DE CLINICA MÉDICA DISCIPLINA DE PNEUMOLOGIA ETISIOLOGIA
  • 2.
     Existem maisde 200 formas clínicas de DPD de causas conhecidas.  Classicamente conhecidas como Pneumopatias Intersticiais  Pode resultar de causa agudas ou crônicas.  TCAR é o método de escolha para definir o padrão de acometimento pulmonar.
  • 3.
     O interstícioé uma rede de fibras de tecido conjuntivo que sustenta o pulmão.  Possui 4 subdivisões: 1. Interstício peribroncovascular 2. Interstício subpleural 3. Interstício centrolobular 4. Intersticío intralobular  Quando normal não é visualizado na TC.
  • 5.
    Os principais componentesdo interstício são as artérias centrolobulares, veias centrolobulares, septos interlobulares, veias pulmonares e linfáticos.
  • 6.
     São afecçõesheterogêneas, agrupadas devido a achados clínicos, radiológicos e funcionais semelhantes.  O termo “doenças pulmonares parenquimatosas difusas” é considerado mais adequado. ▪ Neste grupo de doenças estão incluídas diversas formas de doenças que não tem localização exatamente no interstício.
  • 7.
    1. Pneumonia intersticialnão específica (PINE) 2. Pneumonia Intersticial Usual (PIU) 3. Pneumonia em Organização 4. Pneumonia Intersticial Linfóide 5. Lesão Alveolar Difusa 6. Hemorragia
  • 9.
     Grande desafio Grande número de patologias podem envolver os pulmões de maneira primária ou secundária, com apresentação clínica, radiológica e histológica variada.  Diagnóstico em geral tardio.  Prognóstico e tratamento heterogêneos.
  • 11.
     Identificar doençaintersticial oculta  Sugerir o padrão histopatológico subjacente  Quantificar a gravidade da doença.  Avaliar a possibilidade de reação pulmonar a drogas e doenças oportunistas.
  • 12.
     A combinaçãode mais de um tipo histológico pode ser encontrada.  Combinação mais comum: PINE + PO Particularmente em pacientes com PM/DM e DMTC.
  • 13.
     Opacidades reticulares ▪Espessamento septal interlobular ▪ Faveolamento ▪ Reticulação com bronquiectasias  Opacidades nodulares ▪ Perilinfática ▪ Randômica ▪ Centro-lobular ▪ Septal  Aumento de atenuação  Diminuição da atenuação
  • 24.
  • 25.
  • 28.
     Teste deDifusão pelo CO  Detecção precoce de alterações e auxilia a avaliar prognóstico  Volumes Pulmonares: normal ou diminuído.  Espirometria: Sem um padrão de achados. Mais comum distúrbios ventilatórios inespecíficos.
  • 29.
     Obtido atravésde broncoscopia  Citometria e citologia  Diagnóstico definitivo em poucas situações.
  • 30.
     Cerca de40% dos casos só conseguirão confirmação diagnóstica após realização de BX.  Métodos:  Transbrônquica (via endoscópica)  Cirúrgica
  • 33.
     É adoença inflamatória sistêmica auto-imune mais comum.  Afeta até 2% da população geral.  QC: Poliartrite simétrica que pode levar à deformidade e destruição articular.  Até 50 % dos pacientes terão acometimento de outros órgãos como pele, olhos, pulmão e coração.
  • 34.
     Complicações pulmonarescausam de 10 a 20% do total de mortes.  Pode acometer vias aéreas, pleura e interstício.  As alterações intersticiais são mais comuns no sexo masculino e têm relação positiva com tabagismo e com títulos elevados de fator reumatóide.
  • 37.
     Doença autoimunecaracterizada por envolvimento vascular, ativação fibroblástica e produção excessiva de colágeno, levando ao surgimento de fibrose em diversos órgãos.  Etiologia desconhecida.  Predomínio no sexo feminino  Possível correlação com HLA-DR1 e/ou DQB1 DR4.  Anticorpos específicos: Anti-Scl70 e Anti-centrômero
  • 38.
     DPI clinicamentesignificativa ocorre em cerca de 40% dos pacientes ESP.  Principal causa de morbidade e mortalidade.  O envolvimento pulmonar é mais comum quando anticorpos anti-Scl 70 estão presentes.  Pode ocorrer tanto na forma difusa quanto na localizada.
  • 39.
     Avaliação Pulmonaré mandatória na rotina inicial desses pacientes.  Recomendação: DCO + TCAR  A medição do DCO na ESP se correlaciona melhor com a gravidade da doença e acometimento pela TCAR que outros parâmetros funcionais.  Risco aumentado de Neoplasia maligna de pulmão.
  • 43.
     Pacientes comdoença extensa tem pior evolução, e devem portanto ser tratados.  Doença extensa: comprometimento acima de 20% do parênquima pulmonar,  Doença limitada: caracterizada pelo comprometimento abaixo de 20%.
  • 44.
     Objetivos dotratamento:  Aumentar a tolerância ao exercício  Melhorar a qualidade de vida  Prolongar a sobrevida.  Impedir a progressão da doença. ▪ Portanto, a estabilidade funcional não deve ser considerada uma falha terapêutica.
  • 45.
     Ciclofosfamida  Corticosteróides Micofenolato  Tratamento do Refluxo  Imunobiológicos
  • 47.
     O envolvimentoparenquimatoso pulmonar é infreqüente.  Pneumonite lúpica e a hemorragia alveolar difusa (HAD) são as formas de apresentação aguda.  Ambas podem ser a apresentação inicial do LES.
  • 48.
     Caracteriza-se radiologicamentepor infiltrado difuso e histologicamente por Dano Alveolar Difuso, hemorragia alveolar, e deposição de imunoglobulinas e complemento.  Derrame pleural ocorre em 50% dos casos.
  • 49.
     HAD noLES deve ser suspeitada na presença de queda da hemoglobina e hemoptoicos, e pode ser confirmada por LBA.  Biópsia cirúrgica pode ser necessária para exclusão de infecções.  O tratamento de ambas as condições envolve o uso de corticosteróide em doses elevadas e, em casos de não resposta, deve-se associar ciclofosfamida.
  • 53.
    Doença intersticial, fibrosante,crônica e progressiva, limitada aos pulmões Causa desconhecida Idade entre 50 – 60 anos (40 – 70a) Padrão histopatologico: PIU Alveolite; Fibrose; Faveolamento FIBROSE PULMONAR IDIOPÁTICAFIBROSE PULMONAR IDIOPÁTICA
  • 54.
    Tabagismo: 20 maços/ano Exposiçõesambientais: poeiras, criação de animais, cabeleireiros, polimentos Agentes microbianos: EBV e virus C ?? Refluxo gastroesofágico anormal DM FIBROSE PULMONAR IDIOPÁTICAFIBROSE PULMONAR IDIOPÁTICA
  • 55.
     Fatores genéticos– FP familiar (5%)  Dois ou mais casos na mesma família;  Autossômica – dominante  Gene ELMOD2 – cromossoma 4q31 FIBROSE PULMONAR IDIOPÁTICAFIBROSE PULMONAR IDIOPÁTICA
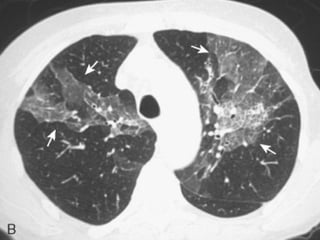
  • 56.
     TCAR  Extensãodo acometimento pulmonar e fase da dça. ▪ Precoce: áreas em vidro fosco ▪ Avançada: faveolamento FIBROSE PULMONAR IDIOPÁTICAFIBROSE PULMONAR IDIOPÁTICA
  • 57.
     Padrão definitivo– Todos os 4 critérios são necessários:  Predominância nas bases e regiões subpleurais;  Anormalidades reticulares;  Faveolamento com ou sem bronquiectasias de tração;  Ausência de todos os 7 critérios inconsistentes com o padrão de UIP FIBROSE PULMONAR IDIOPÁTICAFIBROSE PULMONAR IDIOPÁTICA
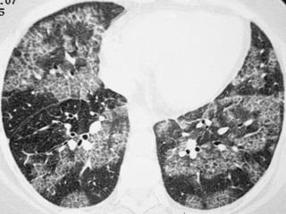
  • 58.
    FIBROSE PULMONAR IDIOPÁTICAFIBROSEPULMONAR IDIOPÁTICA Fonte: http://www.scielo.br/scielo
  • 59.
    FIBROSE PULMONAR IDIOPÁTICAFIBROSEPULMONAR IDIOPÁTICA Fonte: http://www.scielo.br/scielo
  • 60.
    Sobrevida: 2 a5 anos Curso variável com exacerbações agudas (causas secundárias) Pior prognóstico: Sexo masculino; Grau de dispneia; Baqueteamento digital; HP (17mmHg) DCO <40% FIBROSE PULMONAR IDIOPÁTICAFIBROSE PULMONAR IDIOPÁTICA
  • 61.
     N-Acetilcisteína emaltas doses: 600 mg de 8/8 horas.  Anti-fibrótica:  Pirfenidona (molécula síntetica de baixo peso) ▪ Anti-fibrótica, anti-oxidante e anti-inflamatória ▪ 1800mg – 1200mg/dia ▪ Melhora do CVF  Inibidor de tirosino-quinase BIBF 1120 (150mg 2x/dia) FIBROSE PULMONAR IDIOPÁTICAFIBROSE PULMONAR IDIOPÁTICA
  • 62.
    Tx pulmonar: Baixa sobrevida Altamortalidade Indicação: todos os pacientes com diagnostico de FPI CI absolutas: Neo (02 anos), disfunções avançadas de outros órgãos, dça inflamatória sistêmicas, HIV, alterações psiquiátricas, tabagismo, etilismo e drogas ilícitas. CI relativas: Idade (65 – 60 anos),estado funcional ruim, infeções, obesidade, desnutrição, osteoporose, uso crônico de corticoides FIBROSE PULMONAR IDIOPÁTICAFIBROSE PULMONAR IDIOPÁTICA
  • 64.
     Depende doórgão comprometido e da atividade granulomatosa. Pulmonar é a principal  Cerca de 1/3 são assintomáticos  Sintomas inespecíficos  Febre baixa (em geral)  Fadiga crônica  Perda ponderal  Sudorese noturna
  • 65.
     90% doscasos, mesmo com predomínio extrapulmonar  Tosse seca, dispnéia e dor torácica (30 a 50%)  Estertores crepitantes e baqueteamento digital (20%)  Hemoptise está relacionada com bronquiectasias  Radiografia de Tórax  Anormal (85 a 95%) e com vários padrões  LFNmegalia hilar bilateral é mais típico (75%)  Sd Löfgren  Febre + Eritema Nodoso + Poliartrite + LFNmegalia Hilar Pulmonar Bilateral
  • 66.
    CLASSIFICAÇÃO RADIOLÓGICA RESOLUÇÃO ESPONTÂNEA 0 Radiografiade tórax normal ------- 1 Linfadenomegalia hilar bilateral (LHB) 60 – 90% 2 LHB + Infiltrado Pulmonar 40 – 70% 3 Infiltrado Pulmonar (sem LHB) 10 – 20% 4 Fibrose Pulmonar 0%
  • 67.
     Pode serprimeira manifestação (25 – 35%)  Eritema Nodoso (10%)  Em geral, relacionado a fase aguda  Prognostico favorável, com remissão espontânea  Mulheres; Região Pré-Tibial  Lúpus Pérnio  Relacionado a quadros crônicos  Pior prognostico e formas extrapulmonares  Mais prevalente em negros
  • 68.
     Prednisona 20a 40 mg/dia (ou equivalente)  Doses maiores para cardíaco ou neurológico  Resposta clinica em 4 a 8 semanas  Havendo melhora, faz-se redução gradativa CE, mantendo-o por 9 a 12 meses  Não resposta em 3 meses: dose insuficiente ou resistência
  • 69.
     MTX 15a 25 mg/sem  Efetivo em ate 60%  Poupador de CE  Azatioprina 100 a 150 mg/dia  Hidroxicloroquina e Anti-TNF-alfa (Talidomida) - cutâneo  Biológicos (Infliximab) – opção resistência

Notas do Editor

  • #15 LIP- PNEUMONIA INTERSTICIAL LINFOCÍTICA; UIP- PNEUMOPATIA INTERSTICIAL USUAL; NSPI- PNEUMONIA INTERSTICIAL NÃO ESPECÍFICA;