Alambert, PA
DISCIPLINA DE REUMATOLOGIA
2016
ARTROSE
SINONÍMIASINONÍMIA
 Os termos osteoartrose ouOs termos osteoartrose ou
osteoartrite (OA) são empregadososteoartrite (OA) são empregados
como sinônimos de artrose.como sinônimos de artrose.
DEFINIDEFINIÇÇÃOÃO
DEFINIÇÃODEFINIÇÃO
 “Um grupo heterogêneo de condições que
determinam sintomas e sinais articulares que
se associam a defeitos da integridade da
cartilagem articular, além de modificações
no osso subjacente e nas margens
articulares”.
(ACR)
Colégio Americano de Reumatologia
DEFINIÇÃO
A descrição da OA como doença articular
exclusivamente degenerativa constitui um equívoco,
pois OA não é simplesmente um processo de
desgaste, mas sim de remodelação anormal dos
tecidos articulares impulsionada por uma série de
mediadores inflamatórios na articulação afetada.
06/03/16
DEFINIÇÃO
 Quadro reumático mais comum,
caracterizado pela perda quantitativa e
qualitativa da cartilagem articular com
conseqüente remodelação óssea
hipertrófica local e uma inflamação
secundária.
“O processo de doença não afeta apenas a cartilagem
articular, mas envolve toda a articulação incluindo
osso subcondral, ligamentos,cápsula, membrana
sinovial e músculos periarticulares. Finalmente, a
cartilagem articular se degenera com fibrilação,
fissuras, ulcerações e afinamento total da superfície
articular”
CONCEITO ATUALCONCEITO ATUAL
De modo mais simples:De modo mais simples:
“ A osteoartrose é uma insuficiência qualitativa e
quantitativa da cartilagem articular associada a
alterações típicas do osso subcondral “
EPIDEMIOLOGIA
A osteoartrite (OA) é a principal causa de dor e
incapacidade em adultos mais velhos e a
segunda causa de consulta médica dentre as
doenças crônicas em nosso meio.
EPIDEMIOLOGIA
Portanto, OA constitui um grave problema
de saúde pública. Sua prevalência está
crescendo nos países desenvolvidos, devido
ao envelhecimento da população e a outros
fatores tais como lesões adquiridas
biomecânicas e
obesidade.
EPIDEMIOLOGIA
Estima-se que no Brasil 4% da
população apresente OA sendo a
articulação do joelho acometida em
37% dos casos.
Etiologia
 Na etiologia da OA, a resposta da cartilagem
articular à injúria ou degeneração artrósica é de
reparação ineficiente.
 As propriedades bioquímicas e mecânicas do
novo tecido diferem da cartilagem original e
resultam numa função articular inadequada ou
alterada.
06/03/16
FISIOPATOLOGIA
OSTEOARTRITE
Fisiopatologia
 O melhor conhecimento da fisiopatologia
inflamatória da OA provavelmente
determinará novas abordagens para retardar
alterações destrutivas na articulação e evitar
o comprometimento funcional permanente.
06/03/16
Fisiopatologia
 Recentemente identificou-se um papel central
para o sistema do complemento inflamatório na
patogênese da osteoartrite ; descobriu-se que a
expressão e ativação do complemento é
anormalmente elevada nas articulações de
humanos com osteoartrite.
06/03/16
Cartilagem normal
 A composição e a complexa organização
estrutural entre o colágeno e os proteoglicanos
garantem as propriedades inerentes à cartilagem
articular, como resistência, elasticidade e
compressibilidade, necessárias para dissipar e
amortecer as forças, além de reduzir a fricção,
sem muito gasto de energia, a qual as
articulações diartrodiais estão sujeitas
06/03/16
Cartilagem normal
Matriz extra-celular:95%
Células:5%
Colágeno ll- 90%
FIBRAS COLÁGENAS
PROTEOGLICANO:
Proteína globular
glucosaminoglicanos
PATOGENIA
Estímulos precipitantesEstímulos precipitantes
CONDRÓCITOSCONDRÓCITOS
Fissuras e depressões na cartilagem
Alterações na posição e
tamanho das fibras de
colágeno
LIBERAÇÃO DE ENZIMAS
ALTERAÇÃO DA MATRIZ EXTRACELULAR
ALTERAÇÕES ESTRUTURAIS
Formação de osteófitos
OSTEOARTRITEOSTEOARTRITE
Inflamação
Resposta imunológica
Proliferação celular
Matriz celular
aumentada
06/03/16
CONDRÓCITOS
Condrócitos
 Na OA, os condrócitos tornam-se “ativados” e
caracterizam-se pela proliferação celular,
formação de aglomerados e aumento da
produção das proteínas e enzimas que
degradam a matriz.
06/03/16
Condrócitos produzem
 Mediadores pró-catabólicos (citocinas)IL-1 eTNF
alfaativam enzimas proteolíticas(metaloproteases)
 Mediadores pró-anabólicos (fatores de
crescimento)
Osteoartrite inicial
Osteoartrite terminal
Caracterização clínica
 Dor, deformidade.limitação dos movimentos
e progressão lenta para a perda de função
articular
06/03/16
06/03/16
PRIMÁRIA (idiopática): Ocorre na ausência de qualquer
fator predisponente conhecido e se subdivide em duas categorias,
localizada e generalizada (inclui 3 ou mais áreas).
SECUNDÁRIA: É aquela em que se reconhece uma causa
ou um fator preexistente.
EROSIVA:Também conhecida como osteoartrose inflamatória.
Acomete as articulações IFD e IFP nas mãos, com FR (fator
reumatóide negativo)
ClassificaçãoClassificação
Fatores de Risco
 Os fatores de risco mais comuns para OA incluem
idade, sexo, lesão articular prévia, obesidade,
predisposição genética e fatores mecânicos, incluindo
desalinhamento, amplitude de movimento e
anormalidade da estrutura articular.
06/03/16
PATOLOGIA
As alterações patológicas presentes nas
articulações com osteoartrite incluem a
degradação da cartilagem articular, o
espessamento do osso subcondral, a formação
de osteófitos, graus variáveis de inflamação
sinovial, degeneração de ligamentos no joelho,
meniscos e hipertrofia da cápsula articular.
06/03/16
CARTILAGEM FISSURADA
CARTILAGEM FISSURADA
sulcos
v o l t a r a v a n ç a ri n í c i o
13/9/2005
Menisco medial
Superfície articular com sulcos
HISTOLOGIA NORMAL DA CARTILAGEM
O vermelho indica
síntese de proteoglicanos
Patologia
 Os achados de alterações patológicas nos
tecidos articulares são a base para considerar a
OA como uma doença “orgânica” que resulta em
“falha articular”. Ou seja, a OA tem etiologia
multifatorial e bases inflamatórias que levam
progressivamente ao desgaste das estruturas,
comprometendo a funcionalidade articular.
06/03/16
DIAGNÓSTICO
 Histórico clínico (anamnese)
 Exame Físico
 Exames de laboratório
 Estudos radiográficos
ANAMNESE
 Dor em uma ou poucas articulações
 Rigidez matinal com menos de 30 minutos de
duração
 Crepitação por perda da cartilagem ou
irregularidades nas superfícies articulares
 Limitação do movimento
EXAME FÍSICO
osteoartrose
LABORATÓRIO
NormalExame geral de urina
NegativoFator reumatóide
Cor palha e viscosidade
adequada, o número de
leucócitos < 2.000
Líquido sinovial
Normal
Velocidade de
hemossedimentação
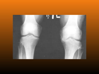
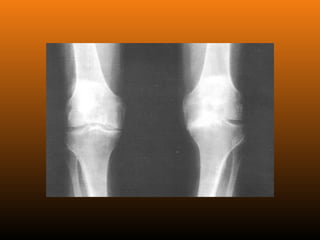
RADIOLOGIA
No início da doença não se observam anormalidades. Com seu
desenvolvimento, observam-se:
 Diminuição do espaço intra-articular
 Esclerose subcondral (eburnação)
 Osteófitos;
 Erosão e anquilose óssea (pseudocistos ósseos).
06/03/16
TRATAMENTO
 Os objetivos a atingir com o tratamento são:
 1.Aliviar a dor
 2.Manter a funcionalidade articular
 3.Educar o paciente e sua família
TRATAMENTO
 Tratamento Físico
 Tratamento Farmacológico
 Tratamento Cirúrgico
TRATAMENTO FÍSICO
 Diminuição de peso
 Realizar programas de exercícios
para manter a força muscular, a
flexibilidade das articulações e
evitar deformidades
 Terapia ocupacional
Tratamento farmacológicoTratamento farmacológico
Ação lenta
AGENTES
Ação rápida
Ação rápida
 Analgésicos
 AINHs
 Miorrelaxantes
 Corticosteróide intra-articular
 Colchicina
Ação lenta
 Glicosamina
 Condroitina
 Diacereína
 Extratos
insaponificados de soja
e abacate
 Ácido hialurõnico
 Cloroquina
 Necessitam mais
estudos
Sintomáticos Modificadores de doença
Tratamento cirúrgicoTratamento cirúrgico
 As técnicas cirúrgicas empregadas na
osteoartrite são artrodese, artroplastias,
osteotomias, desbridamento articular,
liberação de nervos periféricos, etc.
Conclusão
 Osteoartrite NÃO é sinônimo de
“envelhecimento”.
 Freqüentemente, o paciente com osteoartrite
procura primeiro o clínico geral. Por isso, é
importante conhecê-la.
 Se houver dúvidas ou complicações, deve-se
consultar o reumatologista.
06/03/16

Osteoartrite 2016

  • 1.
    Alambert, PA DISCIPLINA DEREUMATOLOGIA 2016 ARTROSE
  • 2.
    SINONÍMIASINONÍMIA  Os termososteoartrose ouOs termos osteoartrose ou osteoartrite (OA) são empregadososteoartrite (OA) são empregados como sinônimos de artrose.como sinônimos de artrose.
  • 3.
  • 4.
    DEFINIÇÃODEFINIÇÃO  “Um grupoheterogêneo de condições que determinam sintomas e sinais articulares que se associam a defeitos da integridade da cartilagem articular, além de modificações no osso subjacente e nas margens articulares”. (ACR) Colégio Americano de Reumatologia
  • 5.
    DEFINIÇÃO A descrição daOA como doença articular exclusivamente degenerativa constitui um equívoco, pois OA não é simplesmente um processo de desgaste, mas sim de remodelação anormal dos tecidos articulares impulsionada por uma série de mediadores inflamatórios na articulação afetada. 06/03/16
  • 6.
    DEFINIÇÃO  Quadro reumáticomais comum, caracterizado pela perda quantitativa e qualitativa da cartilagem articular com conseqüente remodelação óssea hipertrófica local e uma inflamação secundária.
  • 7.
    “O processo dedoença não afeta apenas a cartilagem articular, mas envolve toda a articulação incluindo osso subcondral, ligamentos,cápsula, membrana sinovial e músculos periarticulares. Finalmente, a cartilagem articular se degenera com fibrilação, fissuras, ulcerações e afinamento total da superfície articular” CONCEITO ATUALCONCEITO ATUAL
  • 8.
    De modo maissimples:De modo mais simples: “ A osteoartrose é uma insuficiência qualitativa e quantitativa da cartilagem articular associada a alterações típicas do osso subcondral “
  • 9.
    EPIDEMIOLOGIA A osteoartrite (OA)é a principal causa de dor e incapacidade em adultos mais velhos e a segunda causa de consulta médica dentre as doenças crônicas em nosso meio.
  • 10.
    EPIDEMIOLOGIA Portanto, OA constituium grave problema de saúde pública. Sua prevalência está crescendo nos países desenvolvidos, devido ao envelhecimento da população e a outros fatores tais como lesões adquiridas biomecânicas e obesidade.
  • 11.
    EPIDEMIOLOGIA Estima-se que noBrasil 4% da população apresente OA sendo a articulação do joelho acometida em 37% dos casos.
  • 12.
    Etiologia  Na etiologiada OA, a resposta da cartilagem articular à injúria ou degeneração artrósica é de reparação ineficiente.  As propriedades bioquímicas e mecânicas do novo tecido diferem da cartilagem original e resultam numa função articular inadequada ou alterada. 06/03/16
  • 13.
  • 14.
    Fisiopatologia  O melhorconhecimento da fisiopatologia inflamatória da OA provavelmente determinará novas abordagens para retardar alterações destrutivas na articulação e evitar o comprometimento funcional permanente. 06/03/16
  • 15.
    Fisiopatologia  Recentemente identificou-seum papel central para o sistema do complemento inflamatório na patogênese da osteoartrite ; descobriu-se que a expressão e ativação do complemento é anormalmente elevada nas articulações de humanos com osteoartrite. 06/03/16
  • 16.
    Cartilagem normal  Acomposição e a complexa organização estrutural entre o colágeno e os proteoglicanos garantem as propriedades inerentes à cartilagem articular, como resistência, elasticidade e compressibilidade, necessárias para dissipar e amortecer as forças, além de reduzir a fricção, sem muito gasto de energia, a qual as articulações diartrodiais estão sujeitas 06/03/16
  • 17.
  • 18.
  • 19.
  • 20.
    PATOGENIA Estímulos precipitantesEstímulos precipitantes CONDRÓCITOSCONDRÓCITOS Fissurase depressões na cartilagem Alterações na posição e tamanho das fibras de colágeno LIBERAÇÃO DE ENZIMAS ALTERAÇÃO DA MATRIZ EXTRACELULAR ALTERAÇÕES ESTRUTURAIS Formação de osteófitos OSTEOARTRITEOSTEOARTRITE Inflamação Resposta imunológica Proliferação celular Matriz celular aumentada
  • 21.
  • 22.
    Condrócitos  Na OA,os condrócitos tornam-se “ativados” e caracterizam-se pela proliferação celular, formação de aglomerados e aumento da produção das proteínas e enzimas que degradam a matriz. 06/03/16
  • 23.
    Condrócitos produzem  Mediadorespró-catabólicos (citocinas)IL-1 eTNF alfaativam enzimas proteolíticas(metaloproteases)  Mediadores pró-anabólicos (fatores de crescimento)
  • 24.
  • 25.
  • 26.
    Caracterização clínica  Dor,deformidade.limitação dos movimentos e progressão lenta para a perda de função articular 06/03/16
  • 27.
  • 29.
    PRIMÁRIA (idiopática): Ocorrena ausência de qualquer fator predisponente conhecido e se subdivide em duas categorias, localizada e generalizada (inclui 3 ou mais áreas). SECUNDÁRIA: É aquela em que se reconhece uma causa ou um fator preexistente. EROSIVA:Também conhecida como osteoartrose inflamatória. Acomete as articulações IFD e IFP nas mãos, com FR (fator reumatóide negativo) ClassificaçãoClassificação
  • 30.
    Fatores de Risco Os fatores de risco mais comuns para OA incluem idade, sexo, lesão articular prévia, obesidade, predisposição genética e fatores mecânicos, incluindo desalinhamento, amplitude de movimento e anormalidade da estrutura articular. 06/03/16
  • 31.
    PATOLOGIA As alterações patológicaspresentes nas articulações com osteoartrite incluem a degradação da cartilagem articular, o espessamento do osso subcondral, a formação de osteófitos, graus variáveis de inflamação sinovial, degeneração de ligamentos no joelho, meniscos e hipertrofia da cápsula articular.
  • 32.
  • 33.
  • 34.
  • 38.
    sulcos v o lt a r a v a n ç a ri n í c i o 13/9/2005 Menisco medial Superfície articular com sulcos
  • 39.
  • 41.
    O vermelho indica síntesede proteoglicanos
  • 42.
    Patologia  Os achadosde alterações patológicas nos tecidos articulares são a base para considerar a OA como uma doença “orgânica” que resulta em “falha articular”. Ou seja, a OA tem etiologia multifatorial e bases inflamatórias que levam progressivamente ao desgaste das estruturas, comprometendo a funcionalidade articular. 06/03/16
  • 43.
    DIAGNÓSTICO  Histórico clínico(anamnese)  Exame Físico  Exames de laboratório  Estudos radiográficos
  • 44.
    ANAMNESE  Dor emuma ou poucas articulações  Rigidez matinal com menos de 30 minutos de duração  Crepitação por perda da cartilagem ou irregularidades nas superfícies articulares  Limitação do movimento
  • 45.
  • 48.
  • 52.
    LABORATÓRIO NormalExame geral deurina NegativoFator reumatóide Cor palha e viscosidade adequada, o número de leucócitos < 2.000 Líquido sinovial Normal Velocidade de hemossedimentação
  • 53.
    RADIOLOGIA No início dadoença não se observam anormalidades. Com seu desenvolvimento, observam-se:  Diminuição do espaço intra-articular  Esclerose subcondral (eburnação)  Osteófitos;  Erosão e anquilose óssea (pseudocistos ósseos).
  • 60.
  • 61.
    TRATAMENTO  Os objetivosa atingir com o tratamento são:  1.Aliviar a dor  2.Manter a funcionalidade articular  3.Educar o paciente e sua família
  • 62.
    TRATAMENTO  Tratamento Físico Tratamento Farmacológico  Tratamento Cirúrgico
  • 63.
    TRATAMENTO FÍSICO  Diminuiçãode peso  Realizar programas de exercícios para manter a força muscular, a flexibilidade das articulações e evitar deformidades  Terapia ocupacional
  • 64.
  • 65.
    Ação rápida  Analgésicos AINHs  Miorrelaxantes  Corticosteróide intra-articular  Colchicina
  • 66.
    Ação lenta  Glicosamina Condroitina  Diacereína  Extratos insaponificados de soja e abacate  Ácido hialurõnico  Cloroquina  Necessitam mais estudos Sintomáticos Modificadores de doença
  • 67.
    Tratamento cirúrgicoTratamento cirúrgico As técnicas cirúrgicas empregadas na osteoartrite são artrodese, artroplastias, osteotomias, desbridamento articular, liberação de nervos periféricos, etc.
  • 68.
    Conclusão  Osteoartrite NÃOé sinônimo de “envelhecimento”.  Freqüentemente, o paciente com osteoartrite procura primeiro o clínico geral. Por isso, é importante conhecê-la.  Se houver dúvidas ou complicações, deve-se consultar o reumatologista.
  • 69.