Alambert, PA
DISCIPLINA DE REUMATOLOGIA
2014
OSTEOARTRITE
SINONÍMIASINONÍMIA
 OSTEOARTRITEOSTEOARTRITE
 ARTROSEARTROSE
 DOENÇA ARTICULARDOENÇA ARTICULAR
DEGENERATIVADEGENERATIVA
 ARTRITE HIPERTRÓFICA
ConceitoConceito
 A Osteoartrite (OA) é a mais comum
das afecções reumáticas pois, atinge
aproximadamente um quinto da
população mundial, sendo
considerada uma das mais
frequentes causas de incapacidade
laborativa, após os 50 anos.
16/03/14
DEFINIDEFINIÇÇÃOÃO
DEFINIÇÃODEFINIÇÃO
 A osteoartrite pode ser definida como
uma síndrome clínica que representa a
via final comum das alterações
bioquímicas, metabólicas e fisiológicas
que ocorrem, de forma simultânea,
na cartilagem hialinacartilagem hialina e no osso subosso sub
condralcondral,comprometendo a articulação
como um todo, isto é, a cápsula
articular, a membrana sinovial, os
ligamentos e a musculatura peri
articular.
DEFINIÇÃO
 Ocorre perda quantitativa e
qualitativa da cartilagem articular
com conseqüente remodelação
óssea hipertrófica local e uma
inflamação secundária.
16/03/14
“O processo de doença não afeta apenas a cartilagem
articular, mas envolve toda a articulação incluindo
osso subcondral, ligamentos,cápsula, membrana
sinovial e músculos periarticulares. Finalmente, a
cartilagem articular se degenera com fibrilação,
fissuras, ulcerações e afinamento total da superfície
articular”
CONCEITO ATUALCONCEITO ATUAL
De modo mais simples:De modo mais simples:
“ A osteoartrose é uma insuficiência qualitativa e
quantitativa da cartilagem articular associada a
alterações típicas do osso subcondral “
EPIDEMIOLOGIA
 Incide, predominantemente, no sexo
feminino, na idade adulta entre a 4ª e 5ª
décadas e no período da menopausa, sendo
que esta incidência aumenta com a idade.
 A freqüência da Osteoartrose gira em torno
de 5% em indivíduos com menos de 30 anos
e, atinge 70% a 80% daqueles com mais de
65 anos.
 Somente 20% a 30% dos portadores de
alterações radiológicas apresentam sintomas
da doença.
EPIDEMIOLOGIA
 Particularmente, na articulação do joelho,
evidenciou-se, que 52% da população adulta
apresenta sinais radiológicos da doença,
sendo que, somente 20% destas apresentam
alterações consideradas como graves ou
moderadas.
EPIDEMIOLOGIA
 A incidência desta patologia aumenta com a
idade, estimando-se atingir 85% da população
até os 64 anos sendo que, aos 85 anos é ela
universal. Seu impacto social e seu grau de
incapacidade e tão importante, que motivou a
Organização Mundial de Saúde a criar
a Década do Osso e da Articulação –
Movimento Articular 2000 – 2010.
FISIOPATOLOGIA
OSTEOARTRITE
Fisiopatologia
16/03/14
Síndrome degenerativa que afeta primariamente a cartilagem
articular, provocando a sua destruição progressiva, mas que
envolve todos os tecidos articulares, nomeadamente a
membrana sinovial, a cápsula articular, músculos e tendões
periarticulares e ligamentos
16/03/14
Cartilagem normal
Matriz extra-celular:95%
Células:5%
Colágeno ll- 90%
PATOGENIA
Estímulos precipitantesEstímulos precipitantes
CONDRÓCITOSCONDRÓCITOS
Fissuras e depressões na cartilagem
Alterações na posição e
tamanho das fibras de
colágeno
LIBERAÇÃO DE ENZIMAS
ALTERAÇÃO DA MATRIZ EXTRACELULAR
ALTERAÇÕES ESTRUTURAIS
Formação de osteófitos
OSTEOARTRITEOSTEOARTRITE
Inflamação
Resposta imunológica
Proliferação celular
Matriz celular
aumentada
Condrócitos produzem
 Mediadores pró-catabólicos
(citocinas)IL-1 e TNF alfaativam
enzimas proteolíticas(metaloproteases)
 Mediadores pró-anabólicos (fatores de
crescimento)
Osteoartrite inicial
Osteoartrite terminal
ETIOPATOGENIA
 A osteoartrose seria conseqüência da
interação de fatores
mecânicos,genéticos e bioquímicos
Caracterização clínica
 Dor, deformidade.limitação dos
movimentos e progressão lenta para
a perda de função articular
16/03/14
16/03/14
PRIMÁRIA (idiopática): Ocorre na ausência de qualquer
fator predisponente conhecido e se subdivide em duas categorias,
localizada e generalizada (inclui 3 ou mais áreas).
SECUNDÁRIA: É aquela em que se reconhece uma causa
ou um fator preexistente.
EROSIVA:Também conhecida como osteoartrose inflamatória.
Acomete as articulações IFD e IFP nas mãos, com FR (fator
reumatóide negativo)
ClassificaçãoClassificação
v o l t a r a v a n ç a ri n í c i o
13/9/2005
Fatores de risco-OA primária
•Idade (> 50 anos de idade)
•Estresse prolongado
(ocupacional ou desportivo)
•Fatores genéticos
•Histórico de traumatismos
articulares
•Sexo feminino
•Obesidade
•Defeitos congênitos e do
desenvolvimento
v o l t a r a v a n ç a ri n í c i o
13/9/2005
Kashin-Beck, MseleniEndêmicas
Necrose avascular, doença de Paget,
osteocondrite
Anormalidades ósseas
GotaDoença por depósito
de cristais
Acromegalia, diabetes mellitus,
hipotireoidismo, hipertireoidismo
Endócrinas
Doença de WilsonMetabólicas
Luxação congênita de quadril,
valgo/varo
Congênitas e
de desenvolvimento
Agudas e crônicas (ocupacional e
desportiva)
Traumáticas
SECUNDÁRIA
PATOLOGIA
 As alterações macroscópicas na OA incluem
as fissuras, as perfurações e as erosões da
cartilagem.
 Em contraposição a estas alterações, a
formação de osteófitos nas margens
articulares representa resposta proliferativa
da cartilagem e do osso no processo
osteoatrósico.
CARTILAGEM FISSURADA
CARTILAGEM
FISSURADA
sulcos
v o l t a r a v a n ç a ri n í c i o
13/9/2005
Menisco medial
Superfície articular com sulcos
HISTOLOGIA NORMAL DA CARTILAGEM
O vermelho indica
síntese de proteoglicanos
DIAGNÓSTICO
 Histórico clínico (anamnese)
 Exame Físico
 Exames de laboratório
 Estudos radiográficos
ANAMNESE
 Dor em uma ou poucas articulações
 Rigidez matinal com menos de 30 minutos
de duração
 Crepitação por perda da cartilagem ou
irregularidades nas superfícies articulares
 Limitação do movimento
EXAME FÍSICO
osteoartrose
LABORATÓRIO
NormalExame geral de urina
NegativoFator reumatóide
Cor palha e viscosidade
adequada, o número de
leucócitos < 2.000
Líquido sinovial
Normal
Velocidade de
hemossedimentação
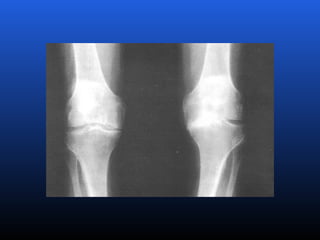
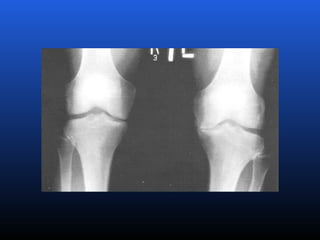
RADIOLOGIA
No início da doença não se observam anormalidades.
Com seu desenvolvimento, observam-se:
 Diminuição do espaço intra-articular
 Esclerose subcondral (eburnação)
 Osteófitos;
 Erosão e anquilose óssea (pseudocistos ósseos).
16/03/14
TRATAMENTO
 Os objetivos a atingir com o
tratamento são:
 1.Aliviar a dor
 2.Manter a funcionalidade articular
 3.Educar o paciente e sua família
TRATAMENTO
 Tratamento Físico
 Tratamento Farmacológico
 Tratamento Cirúrgico
TRATAMENTO FÍSICO
 Diminuição de peso
 Realizar programas de
exercícios para manter a
força muscular, a
flexibilidade das
articulações e evitar
deformidades
 Terapia ocupacional
Tratamento farmacológicoTratamento farmacológico
Ação lenta
AGENTES
Ação rápida
Ação rápida
 Analgésicos
 AINHs
 Miorrelaxantes
 Corticosteróide intra-articular
 Colchicina
Ação lenta
 Glicosamina
 Condroitina
 Diacereína
 Extratos
insaponificados de
soja e abacate
 Ácido hialurõnico
 Cloroquina
 Necessitam mais
estudos
Sintomáticos Modificadores de doença
Tratamento cirúrgicoTratamento cirúrgico
 As técnicas cirúrgicas
empregadas na osteoartrite são
artrodese, artroplastias,
osteotomias, desbridamento
articular, liberação de nervos
periféricos, etc.
16/03/14

Osteoartrite 2014

  • 1.
    Alambert, PA DISCIPLINA DEREUMATOLOGIA 2014 OSTEOARTRITE
  • 2.
    SINONÍMIASINONÍMIA  OSTEOARTRITEOSTEOARTRITE  ARTROSEARTROSE DOENÇA ARTICULARDOENÇA ARTICULAR DEGENERATIVADEGENERATIVA  ARTRITE HIPERTRÓFICA
  • 3.
    ConceitoConceito  A Osteoartrite(OA) é a mais comum das afecções reumáticas pois, atinge aproximadamente um quinto da população mundial, sendo considerada uma das mais frequentes causas de incapacidade laborativa, após os 50 anos. 16/03/14
  • 4.
  • 5.
    DEFINIÇÃODEFINIÇÃO  A osteoartritepode ser definida como uma síndrome clínica que representa a via final comum das alterações bioquímicas, metabólicas e fisiológicas que ocorrem, de forma simultânea, na cartilagem hialinacartilagem hialina e no osso subosso sub condralcondral,comprometendo a articulação como um todo, isto é, a cápsula articular, a membrana sinovial, os ligamentos e a musculatura peri articular.
  • 6.
    DEFINIÇÃO  Ocorre perdaquantitativa e qualitativa da cartilagem articular com conseqüente remodelação óssea hipertrófica local e uma inflamação secundária.
  • 7.
  • 8.
    “O processo dedoença não afeta apenas a cartilagem articular, mas envolve toda a articulação incluindo osso subcondral, ligamentos,cápsula, membrana sinovial e músculos periarticulares. Finalmente, a cartilagem articular se degenera com fibrilação, fissuras, ulcerações e afinamento total da superfície articular” CONCEITO ATUALCONCEITO ATUAL
  • 9.
    De modo maissimples:De modo mais simples: “ A osteoartrose é uma insuficiência qualitativa e quantitativa da cartilagem articular associada a alterações típicas do osso subcondral “
  • 10.
    EPIDEMIOLOGIA  Incide, predominantemente,no sexo feminino, na idade adulta entre a 4ª e 5ª décadas e no período da menopausa, sendo que esta incidência aumenta com a idade.  A freqüência da Osteoartrose gira em torno de 5% em indivíduos com menos de 30 anos e, atinge 70% a 80% daqueles com mais de 65 anos.  Somente 20% a 30% dos portadores de alterações radiológicas apresentam sintomas da doença.
  • 11.
    EPIDEMIOLOGIA  Particularmente, naarticulação do joelho, evidenciou-se, que 52% da população adulta apresenta sinais radiológicos da doença, sendo que, somente 20% destas apresentam alterações consideradas como graves ou moderadas.
  • 12.
    EPIDEMIOLOGIA  A incidênciadesta patologia aumenta com a idade, estimando-se atingir 85% da população até os 64 anos sendo que, aos 85 anos é ela universal. Seu impacto social e seu grau de incapacidade e tão importante, que motivou a Organização Mundial de Saúde a criar a Década do Osso e da Articulação – Movimento Articular 2000 – 2010.
  • 13.
  • 14.
    Fisiopatologia 16/03/14 Síndrome degenerativa queafeta primariamente a cartilagem articular, provocando a sua destruição progressiva, mas que envolve todos os tecidos articulares, nomeadamente a membrana sinovial, a cápsula articular, músculos e tendões periarticulares e ligamentos
  • 15.
  • 16.
  • 17.
    PATOGENIA Estímulos precipitantesEstímulos precipitantes CONDRÓCITOSCONDRÓCITOS Fissurase depressões na cartilagem Alterações na posição e tamanho das fibras de colágeno LIBERAÇÃO DE ENZIMAS ALTERAÇÃO DA MATRIZ EXTRACELULAR ALTERAÇÕES ESTRUTURAIS Formação de osteófitos OSTEOARTRITEOSTEOARTRITE Inflamação Resposta imunológica Proliferação celular Matriz celular aumentada
  • 18.
    Condrócitos produzem  Mediadorespró-catabólicos (citocinas)IL-1 e TNF alfaativam enzimas proteolíticas(metaloproteases)  Mediadores pró-anabólicos (fatores de crescimento)
  • 19.
  • 20.
  • 21.
    ETIOPATOGENIA  A osteoartroseseria conseqüência da interação de fatores mecânicos,genéticos e bioquímicos
  • 22.
    Caracterização clínica  Dor,deformidade.limitação dos movimentos e progressão lenta para a perda de função articular 16/03/14
  • 23.
  • 25.
    PRIMÁRIA (idiopática): Ocorrena ausência de qualquer fator predisponente conhecido e se subdivide em duas categorias, localizada e generalizada (inclui 3 ou mais áreas). SECUNDÁRIA: É aquela em que se reconhece uma causa ou um fator preexistente. EROSIVA:Também conhecida como osteoartrose inflamatória. Acomete as articulações IFD e IFP nas mãos, com FR (fator reumatóide negativo) ClassificaçãoClassificação
  • 26.
    v o lt a r a v a n ç a ri n í c i o 13/9/2005 Fatores de risco-OA primária •Idade (> 50 anos de idade) •Estresse prolongado (ocupacional ou desportivo) •Fatores genéticos •Histórico de traumatismos articulares •Sexo feminino •Obesidade •Defeitos congênitos e do desenvolvimento
  • 27.
    v o lt a r a v a n ç a ri n í c i o 13/9/2005 Kashin-Beck, MseleniEndêmicas Necrose avascular, doença de Paget, osteocondrite Anormalidades ósseas GotaDoença por depósito de cristais Acromegalia, diabetes mellitus, hipotireoidismo, hipertireoidismo Endócrinas Doença de WilsonMetabólicas Luxação congênita de quadril, valgo/varo Congênitas e de desenvolvimento Agudas e crônicas (ocupacional e desportiva) Traumáticas SECUNDÁRIA
  • 28.
    PATOLOGIA  As alteraçõesmacroscópicas na OA incluem as fissuras, as perfurações e as erosões da cartilagem.  Em contraposição a estas alterações, a formação de osteófitos nas margens articulares representa resposta proliferativa da cartilagem e do osso no processo osteoatrósico.
  • 29.
  • 30.
  • 34.
    sulcos v o lt a r a v a n ç a ri n í c i o 13/9/2005 Menisco medial Superfície articular com sulcos
  • 35.
  • 37.
    O vermelho indica síntesede proteoglicanos
  • 38.
    DIAGNÓSTICO  Histórico clínico(anamnese)  Exame Físico  Exames de laboratório  Estudos radiográficos
  • 39.
    ANAMNESE  Dor emuma ou poucas articulações  Rigidez matinal com menos de 30 minutos de duração  Crepitação por perda da cartilagem ou irregularidades nas superfícies articulares  Limitação do movimento
  • 40.
  • 43.
  • 47.
    LABORATÓRIO NormalExame geral deurina NegativoFator reumatóide Cor palha e viscosidade adequada, o número de leucócitos < 2.000 Líquido sinovial Normal Velocidade de hemossedimentação
  • 48.
    RADIOLOGIA No início dadoença não se observam anormalidades. Com seu desenvolvimento, observam-se:  Diminuição do espaço intra-articular  Esclerose subcondral (eburnação)  Osteófitos;  Erosão e anquilose óssea (pseudocistos ósseos).
  • 55.
  • 56.
    TRATAMENTO  Os objetivosa atingir com o tratamento são:  1.Aliviar a dor  2.Manter a funcionalidade articular  3.Educar o paciente e sua família
  • 57.
    TRATAMENTO  Tratamento Físico Tratamento Farmacológico  Tratamento Cirúrgico
  • 58.
    TRATAMENTO FÍSICO  Diminuiçãode peso  Realizar programas de exercícios para manter a força muscular, a flexibilidade das articulações e evitar deformidades  Terapia ocupacional
  • 59.
  • 60.
    Ação rápida  Analgésicos AINHs  Miorrelaxantes  Corticosteróide intra-articular  Colchicina
  • 61.
    Ação lenta  Glicosamina Condroitina  Diacereína  Extratos insaponificados de soja e abacate  Ácido hialurõnico  Cloroquina  Necessitam mais estudos Sintomáticos Modificadores de doença
  • 62.
    Tratamento cirúrgicoTratamento cirúrgico As técnicas cirúrgicas empregadas na osteoartrite são artrodese, artroplastias, osteotomias, desbridamento articular, liberação de nervos periféricos, etc.
  • 63.