Qual o tema de
hoje?
DISCIPLINA DE REUMATOLOGIA
2020
CASO
CLÍNICO 1
• M.J.D,65 anos refere que há 1 ano vem
apresentando um pouco de desconforto e
rigidez na virilha, nádega, coxa a direita ao
acordar pela manhã. As dores ficam mais
fortes quando o paciente está em
movimento e melhoram quando em
descanso. Há 3 meses até em descanso
não há alívio da dor.
EXAME
FÍSICO DO
CASO 1
Dor aos movimentos de rotação
interna e externa , flexão e
extensão dos quadris.
Radiologia
• RX DO CASO 1
• 1-DIMINUIÇÃO DO ESPAÇO
ARTICULAR
• 2 E 3 -PROEMINÊNCIAS ÓSSEAS
CASO
CLÍNICO 2
• Nome do paciente: J.A.F. Idade: 63 anos,
Gênero: Masculino
• Profissão atual: Aposentado
• Profissão anterior/outras atividades:
Borracheiro, aos finais de semana auxilia
na barraca de feira dos filhos
Caso Clínico 2
HPMA: Após os 50 anos
começou a sentir desconforto
esporádico no joelho direito
após as jornadas de trabalho
na borracharia, mas nunca
procurou orientação médica.
Notou que as atividades de
abaixar-se e esticar os
joelhos completamente
causavam dor, e quando
acordava sentia dificuldade
para a movimentação
articular.
Quando se aposentou,
procurou o ambulatório de
seu bairro para realizar
exames de rotina e declarou
a queixa em joelhos para o
médico.
Caso Clínico 2
• Arco de movimento (ADM) encontra-se diminuído
moderadamente a direita, com crepitação presente.
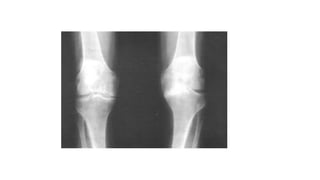
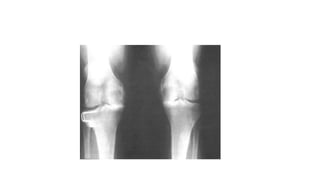
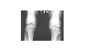
Rx de joelho
NORMAL
A-DIMINUIÇÃO DO ESPAÇO ARTICULAR EM PLATÔ MEDIAL
B -VISÃO AMPLIADA DO JOELHO DIREITO
Caso clínico 3
• M.S.O.S. 66ª, Dor nas mãos há 1 ano e meio, que no início da
doença era mais intensa ao acordar e diminuía ao longo do dia,
porém com a progressão da doença a dor tem ocorrido o dia
todo;
• Rigidez nas articulações das mãos de menos de 1 hora
• Inchaço nos dedos;
• Dificuldade para realizar movimentos simples, como pegar um
objeto ou escrever, por exemplo;
• Formigamento das mãos, mesmo em repouso.
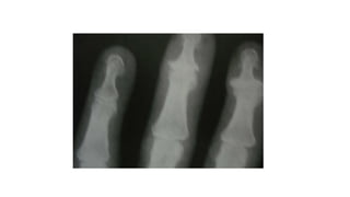
Caso Clínico 3
• Verificada a formação de nódulos nas articulações, como o
nódulo de Heberden, que é formado na articulação
Interfalangeana distal, e o nódulo de Bouchard, que é formado
na articulação interfalangeana proximal.
• Dor a palpação das Interfalangeanas distais e Interfalangeanas
proximais.
Caso Clínico 4
„A.M.C. 75 a, masc,
com dor na coluna
lombar há 1 ano que
piora com o movimento
de flexo-extensão da
mesma.
„Apresenta dificuldade
para movimentar a
região devido à dor.
„Sensação de
formigamento ou de
dormência nas pernas.
Rx de coluna
Lombo-sacra
Escoliose
Osteofitose
O QUE
ESSES
CASOS TEM
EM COMUM?
Faixa de idade
Dor com características
predominantemente mecânicas
Diminuição do espaço articular
Presença de Hipertrofia óssea
DIAGNÓSTICO ARTROSE
§OS TERMOS OSTEOARTROSE OU OSTEOARTRITE (OA) SÃO
EMPREGADOS COMO SINÔNIMOS DE ARTROSE.
osteoartrite
DEFINIÇÃO
Definição
• Osteartrite ou artrose não é um processo apenas de desgaste
da cartilagem e sim de remodelação anormal da cartilagem e
osso subcondral impulsionada por uma série de mediadores
inflamatórios
Definição
Há perda quantitativa e qualitativa da cartilagem articular com
conseqüente remodelação óssea hipertrófica local.
Conceito atual
• “O processo de doença não afeta apenas a cartilagem
articular e o osso subcondral, mas envolve toda a articulação
incluindo ligamentos,cápsula, membrana sinovial e
músculos periarticulares.
De modo mais simples
• “ A osteoartrose é uma insuficiência qualitativa e
quantitativa da cartilagem articular associada a
alterações típicas do osso subcondral e
consequente danos das demais estruturas
articulares “
Epidemiologista
• É a doença articular mais frequente
• Uma das maiores causas de afastamento do trabalho.
• Alto custo social e econômico.
• Mais frequente nas mulheres após a menopausa.
• Prevalência geral no Brasil:4,1%(média de idae de 36
anos);após 55 anos aumenta para 15,8%
Prevalência
OSTEOARTRITE
Etiopatogenia
Condrócitos têm papel-chave no
equilíbrio entre a produção e a
degradação da matriz
cartilaginosa;produzem os
elementos da Matriz extra-celular ,
mas também são responsáveis
pela produção das enzimas
proteolíticas que a quebram,as
metaloproteinases.
Quando fatores
mecânicos,induzindo o aumento
da expressão de citocinas
inflamatórias,e biológicos atuam
rompendo esse equilíbrio,com
predomínio da destruição,surge a
osteoartrose ou osteoartrite.
Evolução
OSTEOARTRITE
Osteoartrite FISIOPATOLOGIA
fisiopatologia
• O melhor conhecimento da
fisiopatologia inflamatória da OA
provavelmente determinará novas
abordagens para retardar alterações
destrutivas na articulação e evitar o
comprometimento funcional
permanente.
Pontos Chave
As três principais estruturas envolvidas na
evolução e progressão da O A são
cartilagem, osso subcondral e membrana
sinovial
±A estimulação de condrócitos pode
perturbar o equilíbrio entre a síntese e a
degradação da cartilagem , levando a O A
±O aumento da produção de mediadores
inflamatórios e enzimas proteolíticas conduz
à degeneração da cartilagem na O A.
Estruturas
envolvida na
osteoartrite
A) Cartilagem
B) Osso
subcondral
C) Membrana
Sinovial
CARTILAGEM
Cartilagem Normal
• A composição e a complexa organização estrutural entre o
colágeno e os proteoglicanos garantem as propriedades
inerentes à cartilagem articular, como resistência,
elasticidade e compressibilidade, necessárias para dissipar e
amortecer as forças, além de reduzir a fricção, sem muito gasto
de energia, a qual as articulações diartrodiais estão sujeitas
condrócitos
• 1-Sintetizam produtos de síntese de
cartilagem
• 2-Sintetizam produtos de degradação
da cartilagem
Caracterização clínica
• A osteoartrose caracteriza-se por dor e disfunção articular.
Em estágios mais avançados da doença , também envolve
rigidez articular, atrofia muscular e deformidade dos
membros.
ARTICULAÇÕES
ACOMETIDAS
DISTRIBUIÇÃO DAS ARTICULAÇÕES
Fatores de
Risco
Patologia
• As alterações patológicas presentes nas articulações com
osteoartrite incluem a degradação da cartilagem articular, o
espessamento do osso subcondral, a formação de osteófitos,
graus variáveis de inflamação sinovial, degeneração de
ligamentos no joelho, meniscos e hipertrofia da cápsula
articular
O vermelho indica
síntese de
proteoglicanos
Diagnóstico
• Histórico clínico (anamnese)
• Exame Físico
• Exames de laboratório
• Estudos radiográficos
Anamnese
• Dor em uma ou poucas articulações
• Rigidez matinal com menos de 30 minutos de duração
• Crepitação por perda da cartilagem ou irregularidades nas
superfícies articulares
• Limitação do movimento
Exame Físico
Radiologia
No início da doença não se observam anormalidades.
Com seu desenvolvimento, observam-se:
1-Diminuição do espaço intra-articular
2-Esclerose subcondral (eburnação)
3-Osteófitos;
4-Erosão e anquilose óssea (pseudocistos ósseos).
Tratamento
Os objetivos a atingir com o
tratamento são:
1.Aliviar a dor
2.Manter a funcionalidade
articular
3.Educar o paciente e sua familia
4.Alterar o proceso da doença e
suas consequencias
tratamento
• Tratamento Físico
• Tratamento Farmacológico
• Tratamento Cirúrgico
Tratamento físico
• Diminuição de peso
• Realizar programas de exercícios:
fortalecimento,alongamento,aeróbicos e equilibrio; 3 a 5x
por semana,sessões d epelo menos 30 minutos.Orientar
sobre os mesmos durante a consulta(dificuldade de
acesso à fisioterapia)
• Terapia ocupacional
órteses
• Mais utilizadas:
-joelheiras (simples,apoio patelar,articulada)
-Imobilizador de punho e polegar para rizartrose (muito eficiente)
• PALMILHAS: Alterações dos arcos-apoio metatársico,arco
longitudinal,contato total.
• Cunha medial para retro-pé para joelhos valgus,altura habitual de 8
mm
• Cunha lateral para retro-pé para joelhos varos ,altura habitual de 8
mm
TRATAMENTO FARMACOLÓGICO
Ação rápida
• Analgésicos
• AINHs
• Miorrelaxantes
• Corticosteróide intra-articular
• Colchicina
Ação Lenta
SINTOMÁTICOS
• Glicosamina e Condroitina
• Colágeno
• Diacereína
• Extratos insaponificados de
soja e abacate
• Ácido hialurõnico
• Cloroquina
MODIFICADORES DE
DOENÇA
• Necessitam mais estudos
Tratamento Cirúrgico
• As técnicas cirúrgicas empregadas na osteoartrite são
artrodese, artroplastias, osteotomias, desbridamento
articular, liberação de nervos periféricos, etc.
Concluindo
• Osteoartrite NÃO é sinônimo de “envelhecimento”.
• Freqüentemente, o paciente com osteoartrite procura
primeiro o clínico geral. Por isso, é importante conhecê-la.
• Se houver dúvidas ou complicações, deve-se consultar o
reumatologista
Obrigado pela Atenção
Osteoartrite 2020

Osteoartrite 2020

  • 1.
    Qual o temade hoje? DISCIPLINA DE REUMATOLOGIA 2020
  • 2.
    CASO CLÍNICO 1 • M.J.D,65anos refere que há 1 ano vem apresentando um pouco de desconforto e rigidez na virilha, nádega, coxa a direita ao acordar pela manhã. As dores ficam mais fortes quando o paciente está em movimento e melhoram quando em descanso. Há 3 meses até em descanso não há alívio da dor.
  • 3.
    EXAME FÍSICO DO CASO 1 Doraos movimentos de rotação interna e externa , flexão e extensão dos quadris.
  • 4.
    Radiologia • RX DOCASO 1 • 1-DIMINUIÇÃO DO ESPAÇO ARTICULAR • 2 E 3 -PROEMINÊNCIAS ÓSSEAS
  • 5.
    CASO CLÍNICO 2 • Nomedo paciente: J.A.F. Idade: 63 anos, Gênero: Masculino • Profissão atual: Aposentado • Profissão anterior/outras atividades: Borracheiro, aos finais de semana auxilia na barraca de feira dos filhos
  • 6.
    Caso Clínico 2 HPMA:Após os 50 anos começou a sentir desconforto esporádico no joelho direito após as jornadas de trabalho na borracharia, mas nunca procurou orientação médica. Notou que as atividades de abaixar-se e esticar os joelhos completamente causavam dor, e quando acordava sentia dificuldade para a movimentação articular. Quando se aposentou, procurou o ambulatório de seu bairro para realizar exames de rotina e declarou a queixa em joelhos para o médico.
  • 7.
    Caso Clínico 2 •Arco de movimento (ADM) encontra-se diminuído moderadamente a direita, com crepitação presente.
  • 8.
  • 9.
    A-DIMINUIÇÃO DO ESPAÇOARTICULAR EM PLATÔ MEDIAL B -VISÃO AMPLIADA DO JOELHO DIREITO
  • 10.
    Caso clínico 3 •M.S.O.S. 66ª, Dor nas mãos há 1 ano e meio, que no início da doença era mais intensa ao acordar e diminuía ao longo do dia, porém com a progressão da doença a dor tem ocorrido o dia todo; • Rigidez nas articulações das mãos de menos de 1 hora • Inchaço nos dedos; • Dificuldade para realizar movimentos simples, como pegar um objeto ou escrever, por exemplo; • Formigamento das mãos, mesmo em repouso.
  • 11.
    Caso Clínico 3 •Verificada a formação de nódulos nas articulações, como o nódulo de Heberden, que é formado na articulação Interfalangeana distal, e o nódulo de Bouchard, que é formado na articulação interfalangeana proximal. • Dor a palpação das Interfalangeanas distais e Interfalangeanas proximais.
  • 14.
    Caso Clínico 4 „A.M.C.75 a, masc, com dor na coluna lombar há 1 ano que piora com o movimento de flexo-extensão da mesma. „Apresenta dificuldade para movimentar a região devido à dor. „Sensação de formigamento ou de dormência nas pernas.
  • 15.
  • 16.
    O QUE ESSES CASOS TEM EMCOMUM? Faixa de idade Dor com características predominantemente mecânicas Diminuição do espaço articular Presença de Hipertrofia óssea
  • 17.
    DIAGNÓSTICO ARTROSE §OS TERMOSOSTEOARTROSE OU OSTEOARTRITE (OA) SÃO EMPREGADOS COMO SINÔNIMOS DE ARTROSE.
  • 18.
  • 19.
    Definição • Osteartrite ouartrose não é um processo apenas de desgaste da cartilagem e sim de remodelação anormal da cartilagem e osso subcondral impulsionada por uma série de mediadores inflamatórios
  • 20.
    Definição Há perda quantitativae qualitativa da cartilagem articular com conseqüente remodelação óssea hipertrófica local.
  • 21.
    Conceito atual • “Oprocesso de doença não afeta apenas a cartilagem articular e o osso subcondral, mas envolve toda a articulação incluindo ligamentos,cápsula, membrana sinovial e músculos periarticulares.
  • 22.
    De modo maissimples • “ A osteoartrose é uma insuficiência qualitativa e quantitativa da cartilagem articular associada a alterações típicas do osso subcondral e consequente danos das demais estruturas articulares “
  • 23.
    Epidemiologista • É adoença articular mais frequente • Uma das maiores causas de afastamento do trabalho. • Alto custo social e econômico. • Mais frequente nas mulheres após a menopausa. • Prevalência geral no Brasil:4,1%(média de idae de 36 anos);após 55 anos aumenta para 15,8%
  • 24.
  • 25.
    Etiopatogenia Condrócitos têm papel-chaveno equilíbrio entre a produção e a degradação da matriz cartilaginosa;produzem os elementos da Matriz extra-celular , mas também são responsáveis pela produção das enzimas proteolíticas que a quebram,as metaloproteinases. Quando fatores mecânicos,induzindo o aumento da expressão de citocinas inflamatórias,e biológicos atuam rompendo esse equilíbrio,com predomínio da destruição,surge a osteoartrose ou osteoartrite.
  • 26.
  • 27.
  • 28.
    fisiopatologia • O melhorconhecimento da fisiopatologia inflamatória da OA provavelmente determinará novas abordagens para retardar alterações destrutivas na articulação e evitar o comprometimento funcional permanente.
  • 29.
    Pontos Chave As trêsprincipais estruturas envolvidas na evolução e progressão da O A são cartilagem, osso subcondral e membrana sinovial ±A estimulação de condrócitos pode perturbar o equilíbrio entre a síntese e a degradação da cartilagem , levando a O A ±O aumento da produção de mediadores inflamatórios e enzimas proteolíticas conduz à degeneração da cartilagem na O A.
  • 30.
    Estruturas envolvida na osteoartrite A) Cartilagem B)Osso subcondral C) Membrana Sinovial
  • 31.
  • 32.
    Cartilagem Normal • Acomposição e a complexa organização estrutural entre o colágeno e os proteoglicanos garantem as propriedades inerentes à cartilagem articular, como resistência, elasticidade e compressibilidade, necessárias para dissipar e amortecer as forças, além de reduzir a fricção, sem muito gasto de energia, a qual as articulações diartrodiais estão sujeitas
  • 36.
    condrócitos • 1-Sintetizam produtosde síntese de cartilagem • 2-Sintetizam produtos de degradação da cartilagem
  • 39.
    Caracterização clínica • Aosteoartrose caracteriza-se por dor e disfunção articular. Em estágios mais avançados da doença , também envolve rigidez articular, atrofia muscular e deformidade dos membros.
  • 40.
  • 42.
  • 43.
    Patologia • As alteraçõespatológicas presentes nas articulações com osteoartrite incluem a degradação da cartilagem articular, o espessamento do osso subcondral, a formação de osteófitos, graus variáveis de inflamação sinovial, degeneração de ligamentos no joelho, meniscos e hipertrofia da cápsula articular
  • 46.
    O vermelho indica síntesede proteoglicanos
  • 47.
    Diagnóstico • Histórico clínico(anamnese) • Exame Físico • Exames de laboratório • Estudos radiográficos
  • 48.
    Anamnese • Dor emuma ou poucas articulações • Rigidez matinal com menos de 30 minutos de duração • Crepitação por perda da cartilagem ou irregularidades nas superfícies articulares • Limitação do movimento
  • 49.
  • 53.
    Radiologia No início dadoença não se observam anormalidades. Com seu desenvolvimento, observam-se: 1-Diminuição do espaço intra-articular 2-Esclerose subcondral (eburnação) 3-Osteófitos; 4-Erosão e anquilose óssea (pseudocistos ósseos).
  • 62.
    Tratamento Os objetivos aatingir com o tratamento são: 1.Aliviar a dor 2.Manter a funcionalidade articular 3.Educar o paciente e sua familia 4.Alterar o proceso da doença e suas consequencias
  • 63.
    tratamento • Tratamento Físico •Tratamento Farmacológico • Tratamento Cirúrgico
  • 64.
    Tratamento físico • Diminuiçãode peso • Realizar programas de exercícios: fortalecimento,alongamento,aeróbicos e equilibrio; 3 a 5x por semana,sessões d epelo menos 30 minutos.Orientar sobre os mesmos durante a consulta(dificuldade de acesso à fisioterapia) • Terapia ocupacional
  • 65.
    órteses • Mais utilizadas: -joelheiras(simples,apoio patelar,articulada) -Imobilizador de punho e polegar para rizartrose (muito eficiente) • PALMILHAS: Alterações dos arcos-apoio metatársico,arco longitudinal,contato total. • Cunha medial para retro-pé para joelhos valgus,altura habitual de 8 mm • Cunha lateral para retro-pé para joelhos varos ,altura habitual de 8 mm
  • 66.
  • 67.
    Ação rápida • Analgésicos •AINHs • Miorrelaxantes • Corticosteróide intra-articular • Colchicina
  • 68.
    Ação Lenta SINTOMÁTICOS • Glicosaminae Condroitina • Colágeno • Diacereína • Extratos insaponificados de soja e abacate • Ácido hialurõnico • Cloroquina MODIFICADORES DE DOENÇA • Necessitam mais estudos
  • 69.
    Tratamento Cirúrgico • Astécnicas cirúrgicas empregadas na osteoartrite são artrodese, artroplastias, osteotomias, desbridamento articular, liberação de nervos periféricos, etc.
  • 70.
    Concluindo • Osteoartrite NÃOé sinônimo de “envelhecimento”. • Freqüentemente, o paciente com osteoartrite procura primeiro o clínico geral. Por isso, é importante conhecê-la. • Se houver dúvidas ou complicações, deve-se consultar o reumatologista
  • 71.