OSTEOARTRITE
Professora Guadalupe Pippa
Reumatologia
21/06/2018
Osteoartrite : definição
. forma mais comum de artrite
. mãos, joelhos,quadris e
coluna.
A osteoartrite é um distúrbio não
inflamatório de articulações móveis
caracterizado pela deterioração da
cartilagem articular e formação de
novo osso na superfície articular e
nas margens. Também é conhecida
como doença articular
degenerativa.
. desgaste na cartilagem das
articulações com o tempo
. dor é o sintoma mais típico da
doença
. piora gradualmente com o
tempo.
. tratamentos aliviam a dor.
. Medidas para ajudar o
paciente a obter controle sobre
a dor da osteoartrite.
 Os sintomas da OA geralmente aparecem na meia idade
 A maioria das pessoas tem OA aos 70 anos.
 Antes dos 55 anos, a condição ocorre igualmente em ambos
os sexos
 comum em articulações que suportam peso, como quadril e
joelho.
 ocorre com frequência em coluna e nas mãos.
 mais comum em mulheres mais velhas, acima de 50 anos,
particularmente na idade pós-menopausa
 Nao ha correlação clinico radiográfica
Osteoartrite : epidemiologia
3
Osteoartrite : epidemiologia
 Aumenta com idade
 Maior em mulheres do que em homens
 OA sintomatica aumenta rapidamente ≥ 50 anos
 Mais prevalente em brancos
 OA de maos : 13% de man e 26% Ꝗ > 70 a
 OA de coluna: cervical a partir de 40a
 10% men e 18% das Ꝗ > 60 a tem OA sintomatica
Osteoartrite : fatores de risco
• Idade : maos, joelhos e quadris aumentam com
idade (>50a). Diminuição de número de
condrócitos na cartilagem articular, fraqueza
muscular, frouxidão ligamentar e perda de
propriocepção
• Sexo: mais comum e mais severa em Ꝗ (joelhos e
mãos e quadris) … ( hormona) genetica..)
• Obesidade- maior FR modificável ( metábolica x
biomecânica)- É provável que a perda de peso,
mesmo modesta irá fornecer algum benefício
• Genetica : ( 39-65% )
5
• Ocupação- podem envolver carga conjunta e danos
repetitivo ao longo do tempo
• Atividades esportivas- Atividade física recreativa e
desportiva na ausência de lesão não levam à OA
mas atletas de elite podem ter um risco maior de
osteoartrite de joelho e quadril em anos posteriores
• Lesão anterior- lesões meniscais, ligamento cruzado
anterior e fratura do tornozelo
• Doença por deposição de cristais de cálcio- levando
a dano articular
Osteoartrite : fatores de risco
6
• É um tecido fibroelástico que reveste as nossas
articulações.
• avascular, aneural e alinfática
• formada, principalmente, por colágeno, água (95%) e
células específicas chamadas de condrócitos (5%)
• Os condrócitos produzem as fibrilas colágenas (tipo II),
proteoglicanos e glicosaminoglicanos (GAGs)
• Glicosaminoglicanos presentes: condroitina 4 e 6
sulfato e ác. hialurônico.
• Tem baixo potencial de se regenerar.
O que é a cartilagem ?
Cartilagem - constituição
• avascular, aneural e alinfática
• composição: 95% de água e matriz da
cartilagem extracelular
• 5% de condrócitos
• Os condrócitos produzem as fibrilas colágenas
(tipo II), proteoglicanos e glicosaminoglicanos
(GAGs)
• Glicosaminoglicanos presentes: condroitina 4
e 6 sulfato e ác. hialurônico.
Cartilagem - Funções
• Suporte aos tecidos moles;
• Revestimento de superfícies articulares:
absorção de choques; deslizamento dos
ossos nas articulações;
• Auxilia na formação e crescimento dos
ossos longos na vida intra-uterina e após
o nascimento.
TIPOS DE CARTILAGEM
1) Cartilagem hialina: colágeno tipo II e SFA;
2) Cartilagem elástica: pouco colágeno tipo I e fibras
elásticas;
3) Cartilagem fibrosa: fibras colágenas tipo I. Não há
pericôndrio!
Cartilagem Hialina
• É o tipo mais freqüente encontrado nas fossas nasais
e em algumas peças cartilaginosas da laringe
• Os condrócitos aparecem isolados ou em grupos de
até 8 células – grupos isógenos (mitose de uma
célula)
Cartilagem Elástica
• Além dos condrócitos existem as fibrilas colágenas e
muitas fibras elásticas;
• Ex.: Pavilhão auricular, meato acústico externo,
epiglote, tuba auditiva.
Cartilagem Fibrosa
• É encontrada no ponto de inserção dos ligamentos
nos ossos, tendões, discos intervertebrais e menisco
vértebra
Disco
intervertebral
Canal
medular
corte
transversal
4
Anatomia da articulação sinovial
Exemplo ilustrativo de diversos atores celulares que
participam deste complexo processo inflamatório da OA.
Osteoartrite : Patogenese I
19
1. OA é primariamente uma doença da cartilagem
2. O fator inicial exato da AO primária não é
exatamente conhecido
3. Interleucina -1 (IL-1) é uma potente interleucina pró
inflamatória que em vitro, é capaz de induzir os condrócitos
e células sinoviais a sintetizarem MMPs.
4 . Essas MMPs (MatrixMetallo Proteinases) são
primariamente enzimas responsáveis pela degradação da
cartilagem articular .
5. A IL-1 suprime a síntese do colágeno tipo II e
proteoglicanos a proliferação do condrócito via fator do
crescimento Beta .
6. Isto leva a degeneração da cartilagem e consequentemente
à OA
Mediadores inflamatórios
Com permissão da Dra Ana Paula Bazílio
Sinalizadores de função celular
Fisiopatologia
Osteoartrite : Patogênese II
• OA alts. da cartilagem
• alterações fisiopatológicas no líquido sinovial
• alterações no osso subcondral e na cápsula
articular
• Pequenas lesões na superficie (fibrilações)
• grandes rupturas
• fragmentação da cartilagem
• Replicacao de condrócitos (reparar a perda
articular)
Osteoartrite : Patogênese III
Como a cartilagem em si não é inervada, presume-se que a dor seja proveniente de uma combinação de mecanismos, incluindo (1) elev
Como a cartilagem em si não é inervada, presume-se que
a dor seja proveniente de uma combinação de
mecanismos:
• elevação periosteal osteofítica
• congestão vascular do osso subcondral levando a
aumento da pressão intra-óssea
• sinovite com ativação de nociceptores de membrana
• fadiga dos músculos que atravessam a articulação
• contratura geral da articulação
• deformação mecânica com resultante desalinhamento
e instabilidade. Alternativamente, a articulação pode
anquilose.
Traumas excessivos Defeitos osteoarticulares
Lesão da cartilagem articular
Liberação de enzimas proteolíticas - condrócitos
Degradação do colágeno e proteoglicanos
Pressões aplicadas diretamente no osso trabecular
Esclerose subcondral (Eburnificação), Osteófitos, Cistos
Traumas excessivos Defeitos osteoarticulares
Anormalidades patologicas na
osteoartrite:
- cartilage erosion
- increased cellularity of subchondral bone- bone eburnation.
- Synovial fluid intrusion into bone- subchondral cysts.
- Synovial membrane stimulation- osteophytes.
- Compression of weakened bone – bone collapsed.
- Fragmentation of osteochondral surface – loose bodies.
- Destruction and disruption of capsular ligaments- deformity
and malalignment.
1
3
1
4
1
5
1
6
1
7
Classificacão:
PRIMÁRIA
LOCALIZADA (mãos,pés,joelho
quadril,coluna,sacroíliaca,tornozelo,
punhos.
GENERALIZADA ( 3 OU MAIS
ARÉAS)
SECUNDÁRIA
Pós trauma
Doenças congênitas/
desenvolvimento
Doenças do depósito de
cálcio
Doenças endócrinas (
DM,acromegalia e hipotiroidismo)
Outras desordem do
osso/cartilagem(necrose
avascular , artrite reumatóide,
artrite gotosa, artrite séptica,
doença de Paget, osteopetrose,
osteocondrite)
OA - Manifestações clínicas
• Dor
• Limitação dos movimentos
• Deformidades
• Crepitação
• Outras
OA - Dor
•Progressiva, piora com
movimentos, sustentação de peso,
alívia com repouso (quadros
iniciais)
•Dor prócinética (rigidez < 30
minutos)
•Dor radicular: cervical, lombar
OA-Deformidades
•Nódulos ( Heberden, Bouchard )
•Genu valgo, genu varo, hálux
valgo...
A patient with
typical OA of the
knees. In the normal
standing posture
there is a mild varus
angulation of the
knee joints due to
symmetrical OA of
the medial
tibiofemoral
compartments.
Nódulo de Bouchard
Nódulo de Heberden
Quatros manifestações:
Estreitamento do espaço articular
Osteófitos
Esclerose subcondral
Cistos subcondrais
• Na OA secundária pode haver alterações da doença
primária
• NÃO HÁ PARALELISMO CLÍNICO-RADIOLÓGICO
Coluna Normal
Osteoartrose
Osteófitos
laterais
OSTEOARTROSE - QUADRIL

Oa ipemed parte i junho 2019

  • 1.
  • 2.
    Osteoartrite : definição .forma mais comum de artrite . mãos, joelhos,quadris e coluna. A osteoartrite é um distúrbio não inflamatório de articulações móveis caracterizado pela deterioração da cartilagem articular e formação de novo osso na superfície articular e nas margens. Também é conhecida como doença articular degenerativa. . desgaste na cartilagem das articulações com o tempo . dor é o sintoma mais típico da doença . piora gradualmente com o tempo. . tratamentos aliviam a dor. . Medidas para ajudar o paciente a obter controle sobre a dor da osteoartrite.
  • 3.
     Os sintomasda OA geralmente aparecem na meia idade  A maioria das pessoas tem OA aos 70 anos.  Antes dos 55 anos, a condição ocorre igualmente em ambos os sexos  comum em articulações que suportam peso, como quadril e joelho.  ocorre com frequência em coluna e nas mãos.  mais comum em mulheres mais velhas, acima de 50 anos, particularmente na idade pós-menopausa  Nao ha correlação clinico radiográfica Osteoartrite : epidemiologia 3
  • 4.
    Osteoartrite : epidemiologia Aumenta com idade  Maior em mulheres do que em homens  OA sintomatica aumenta rapidamente ≥ 50 anos  Mais prevalente em brancos  OA de maos : 13% de man e 26% Ꝗ > 70 a  OA de coluna: cervical a partir de 40a  10% men e 18% das Ꝗ > 60 a tem OA sintomatica
  • 5.
    Osteoartrite : fatoresde risco • Idade : maos, joelhos e quadris aumentam com idade (>50a). Diminuição de número de condrócitos na cartilagem articular, fraqueza muscular, frouxidão ligamentar e perda de propriocepção • Sexo: mais comum e mais severa em Ꝗ (joelhos e mãos e quadris) … ( hormona) genetica..) • Obesidade- maior FR modificável ( metábolica x biomecânica)- É provável que a perda de peso, mesmo modesta irá fornecer algum benefício • Genetica : ( 39-65% ) 5
  • 6.
    • Ocupação- podemenvolver carga conjunta e danos repetitivo ao longo do tempo • Atividades esportivas- Atividade física recreativa e desportiva na ausência de lesão não levam à OA mas atletas de elite podem ter um risco maior de osteoartrite de joelho e quadril em anos posteriores • Lesão anterior- lesões meniscais, ligamento cruzado anterior e fratura do tornozelo • Doença por deposição de cristais de cálcio- levando a dano articular Osteoartrite : fatores de risco 6
  • 7.
    • É umtecido fibroelástico que reveste as nossas articulações. • avascular, aneural e alinfática • formada, principalmente, por colágeno, água (95%) e células específicas chamadas de condrócitos (5%) • Os condrócitos produzem as fibrilas colágenas (tipo II), proteoglicanos e glicosaminoglicanos (GAGs) • Glicosaminoglicanos presentes: condroitina 4 e 6 sulfato e ác. hialurônico. • Tem baixo potencial de se regenerar. O que é a cartilagem ?
  • 8.
    Cartilagem - constituição •avascular, aneural e alinfática • composição: 95% de água e matriz da cartilagem extracelular • 5% de condrócitos • Os condrócitos produzem as fibrilas colágenas (tipo II), proteoglicanos e glicosaminoglicanos (GAGs) • Glicosaminoglicanos presentes: condroitina 4 e 6 sulfato e ác. hialurônico.
  • 9.
    Cartilagem - Funções •Suporte aos tecidos moles; • Revestimento de superfícies articulares: absorção de choques; deslizamento dos ossos nas articulações; • Auxilia na formação e crescimento dos ossos longos na vida intra-uterina e após o nascimento.
  • 10.
    TIPOS DE CARTILAGEM 1)Cartilagem hialina: colágeno tipo II e SFA; 2) Cartilagem elástica: pouco colágeno tipo I e fibras elásticas; 3) Cartilagem fibrosa: fibras colágenas tipo I. Não há pericôndrio!
  • 11.
    Cartilagem Hialina • Éo tipo mais freqüente encontrado nas fossas nasais e em algumas peças cartilaginosas da laringe • Os condrócitos aparecem isolados ou em grupos de até 8 células – grupos isógenos (mitose de uma célula)
  • 12.
    Cartilagem Elástica • Alémdos condrócitos existem as fibrilas colágenas e muitas fibras elásticas; • Ex.: Pavilhão auricular, meato acústico externo, epiglote, tuba auditiva.
  • 13.
    Cartilagem Fibrosa • Éencontrada no ponto de inserção dos ligamentos nos ossos, tendões, discos intervertebrais e menisco vértebra Disco intervertebral Canal medular corte transversal
  • 15.
  • 18.
    Exemplo ilustrativo dediversos atores celulares que participam deste complexo processo inflamatório da OA.
  • 19.
    Osteoartrite : PatogeneseI 19 1. OA é primariamente uma doença da cartilagem 2. O fator inicial exato da AO primária não é exatamente conhecido 3. Interleucina -1 (IL-1) é uma potente interleucina pró inflamatória que em vitro, é capaz de induzir os condrócitos e células sinoviais a sintetizarem MMPs. 4 . Essas MMPs (MatrixMetallo Proteinases) são primariamente enzimas responsáveis pela degradação da cartilagem articular . 5. A IL-1 suprime a síntese do colágeno tipo II e proteoglicanos a proliferação do condrócito via fator do crescimento Beta . 6. Isto leva a degeneração da cartilagem e consequentemente à OA
  • 20.
  • 21.
  • 22.
  • 23.
    Osteoartrite : PatogêneseII • OA alts. da cartilagem • alterações fisiopatológicas no líquido sinovial • alterações no osso subcondral e na cápsula articular • Pequenas lesões na superficie (fibrilações) • grandes rupturas • fragmentação da cartilagem • Replicacao de condrócitos (reparar a perda articular)
  • 24.
    Osteoartrite : PatogêneseIII Como a cartilagem em si não é inervada, presume-se que a dor seja proveniente de uma combinação de mecanismos, incluindo (1) elev Como a cartilagem em si não é inervada, presume-se que a dor seja proveniente de uma combinação de mecanismos: • elevação periosteal osteofítica • congestão vascular do osso subcondral levando a aumento da pressão intra-óssea • sinovite com ativação de nociceptores de membrana • fadiga dos músculos que atravessam a articulação • contratura geral da articulação • deformação mecânica com resultante desalinhamento e instabilidade. Alternativamente, a articulação pode anquilose.
  • 26.
    Traumas excessivos Defeitososteoarticulares Lesão da cartilagem articular Liberação de enzimas proteolíticas - condrócitos Degradação do colágeno e proteoglicanos Pressões aplicadas diretamente no osso trabecular Esclerose subcondral (Eburnificação), Osteófitos, Cistos Traumas excessivos Defeitos osteoarticulares
  • 27.
    Anormalidades patologicas na osteoartrite: -cartilage erosion - increased cellularity of subchondral bone- bone eburnation. - Synovial fluid intrusion into bone- subchondral cysts. - Synovial membrane stimulation- osteophytes. - Compression of weakened bone – bone collapsed. - Fragmentation of osteochondral surface – loose bodies. - Destruction and disruption of capsular ligaments- deformity and malalignment.
  • 28.
  • 29.
  • 30.
  • 31.
  • 32.
  • 33.
    Classificacão: PRIMÁRIA LOCALIZADA (mãos,pés,joelho quadril,coluna,sacroíliaca,tornozelo, punhos. GENERALIZADA (3 OU MAIS ARÉAS) SECUNDÁRIA Pós trauma Doenças congênitas/ desenvolvimento Doenças do depósito de cálcio Doenças endócrinas ( DM,acromegalia e hipotiroidismo) Outras desordem do osso/cartilagem(necrose avascular , artrite reumatóide, artrite gotosa, artrite séptica, doença de Paget, osteopetrose, osteocondrite)
  • 34.
    OA - Manifestaçõesclínicas • Dor • Limitação dos movimentos • Deformidades • Crepitação • Outras
  • 35.
    OA - Dor •Progressiva,piora com movimentos, sustentação de peso, alívia com repouso (quadros iniciais) •Dor prócinética (rigidez < 30 minutos) •Dor radicular: cervical, lombar
  • 36.
    OA-Deformidades •Nódulos ( Heberden,Bouchard ) •Genu valgo, genu varo, hálux valgo...
  • 37.
    A patient with typicalOA of the knees. In the normal standing posture there is a mild varus angulation of the knee joints due to symmetrical OA of the medial tibiofemoral compartments.
  • 38.
  • 39.
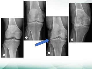
    Quatros manifestações: Estreitamento doespaço articular Osteófitos Esclerose subcondral Cistos subcondrais • Na OA secundária pode haver alterações da doença primária • NÃO HÁ PARALELISMO CLÍNICO-RADIOLÓGICO
  • 44.
  • 45.
  • 46.
  • 48.

Notas do Editor

  • #3 1. A osteoartrite, às vezes chamada de doença articular degenerativa ou osteoartrose, é a forma mais comum de artrite. A osteoartrite ocorre quando a cartilagem nas articulações se desgasta com o tempo. A osteoartrite é um distúrbio não inflamatório de articulações móveis caracterizado pela deterioração da cartilagem articular e formação de novo osso na superfície articular e nas margens. Também é conhecida como doença articular degenerativa.A osteoartrite pode afetar qualquer articulação do corpo, embora mais comumente afeta articulações nas mãos, quadris, joelhos e coluna. 2. A osteoartrite afeta tipicamente apenas uma articulação, embora em alguns casos, como na artrite do dedo, várias articulações possam ser afetadas. A osteoartrite piora gradualmente com o tempo e não existe cura. Mas os tratamentos de osteoartrite podem aliviar a dor e ajudá-lo a permanecer ativo. Tomar medidas para gerenciar ativamente a osteoartrite pode ajudar o paciente a obter controle sobre a dor da osteoartrite. Disease of synovial joints marked by cartilage loss and peri-articular bone response. It usually affects the wrist, hip, knee and the ankle joint. It c. causes the bones to be exposed and damaged leading to pain and impaired movement. Osteoarthritis, sometimes called degenerative joint disease or osteoarthrosis, is the most common form of arthritis. Osteoarthritis occurs when cartilage in the joints wears down over time. Osteoarthritis can affect any joint in the body, though it most commonly affects joints in hands, hips, knees and spine. Osteoarthritis typically affects just one joint, though in some cases, such as with finger arthritis, several joints can be affected. Osteoarthritis gradually worsens with time, and no cure exists. But osteoarthritis treatments can relieve pain and help you to remain active. Taking steps to actively manage osteoarthritis may help patient gain control over his osteoarthritis pain.
  • #4  Acredita-se que a OA remonta a humanos antigos. Evidências de OA foram encontradas em esqueletos gelados. Indivíduos com menos de 60 anos têm 27% para ter OA,> 70 têm 44% Os sintomas da OA geralmente aparecem na meia idade e quase todo mundo os tem aos 70 anos. Antes dos 55 anos, a condição ocorre igualmente em ambos os casos OA is the most common type of arthritis as prevelance increases with age. Leading cause of chronic disability affecting 8 million people in the UK and 27 million in the US. Women over the age of 55 are affected more than men of a similar age. Associated with major socio-economic implications especially in developed countries
  • #6 TECIDO ADIPODOSO FONTE ABUNDANTE DE MEDIADORES INFLAMATORIOS – IL6 Acredita-se que a OA remonta a humanos antigos. Evidências de OA foram encontradas em esqueletos gelados. Indivíduos com menos de 60 anos têm 27% para ter OA,> 70 têm 44% Os sintomas da OA geralmente aparecem na meia idade e quase todo mundo os tem aos 70 anos. Antes dos 55 anos, a condição ocorre igualmente em ambos os casos OA is the most common type of arthritis as prevelance increases with age. Leading cause of chronic disability affecting 8 million people in the UK and 27 million in the US. Women over the age of 55 are affected more than men of a similar age. Associated with major socio-economic implications especially in developed countries
  • #7  Acredita-se que a OA remonta a humanos antigos. Evidências de OA foram encontradas em esqueletos gelados. Indivíduos com menos de 60 anos têm 27% para ter OA,> 70 têm 44% Os sintomas da OA geralmente aparecem na meia idade e quase todo mundo os tem aos 70 anos. Antes dos 55 anos, a condição ocorre igualmente em ambos os casos OA is the most common type of arthritis as prevelance increases with age. Leading cause of chronic disability affecting 8 million people in the UK and 27 million in the US. Women over the age of 55 are affected more than men of a similar age. Associated with major socio-economic implications especially in developed countries
  • #20 OA is primarily a disease of cartilage.  The exact initiating factor in Primary Osteoarthritis is not known. Interleukin-1 (IL-1) is a potent pro-inflammatory cytokine that, in vitro, is capable of inducing chondrocytes and synovial cells to synthesize MMPs. These MMPs (Matrix Metallo Proteinases) are the primary enzymes responsible for the degradation of articular cartilage. In addition, IL-1 suppresses the synthesis of type II collagen and proteoglycans, and inhibits the transforming growth factor-ß stimulated chondrocyte proliferation. This ultimately leads to the degeneration of articular cartilage and thus OA.
  • #24 Although OA affects primarily the articular cartilage of synovial joints, pathophysiologic changes also occur in the synovial fluid, as well as in the underlying (subchondral) bone and overlying joint capsule. The affected cartilage initially develops small tears, known as fibrillations, at the articular surface, followed by larger tears; the cartilage eventually fragments off into joints. The cartilage-forming cells (ie, chondrocytes) replicate in an attempt to keep up with the cartilage loss; however, they eventually are unable to do so, and the underlying bone becomes exposed because of gross areas of bone denuded of cartilage.
  • #25 Since cartilage itself is not innervated, the pain is presumed to be from a combination of mechanisms, including (1) osteophytic periosteal elevation, (2) vascular congestion of subchondral bone leading to increased intraosseous pressure, (3) synovitis with activation of synovial membrane nociceptors, (4) fatigue of muscles that cross the joint, and (5) overall joint contracture. In addition to the underlying pathophysiologic changes described above, overall, the joint may undergo mechanical deformation with resultant malalignment and instability. Alternatively, the joint can ankylose.
  • #34  doencas congenitas Doenças do quadril: (por exemplo, Legg-Calvé-Perthes, luxação congênita do quadril, epifisiólise proximal do fêmur, acetábulo raso)   b   Fatores mecânicos e locais: (por exemplo, obesidade, comprimento desigual extremidade inferior, valgo extremos / deformidade em varo, síndromes de hipermobilidade, escoliose [?])   2   Generalizada  um   Displasias ósseas: (displasia, por exemplo, epifisária, spondylo-apofisárias displasia)   b   Doenças metabólicas: (por exemplo, hemocromatose, ocronose, doença de Gaucher, hemoglobinopatia, Ehlers-Danlos doença
  • #41 Osteófitos é uma das principais características da osteoartrite, são conseqüências da cartilagem ossificada, geralmente marginal. por causa da vascularização do osso subcondral, ocorre proliferação de cartilagem adjacente e ossificação encondral. Os desdobramentos se estendem do espaço articular livre ao longo do caminho de menor resistência