Tipos de Fraturas
Professora: Aline TEKA Reis
 Técnica e Tecnóloga em Radiologia ;
 Especialista em Radiologia Industrial;
 Qualificação em RX odontológico;
 Qualificação em mamografia;
 Qualificação em Tomografia;
 Pós-graduada em Docência e Gestão do
Ensino Superior.
 Pós- graduada em Docência e Gestão do
Ensino Técnico.
Professora Aline TEKA Reis
Relembrando...
Ossos são órgãos esbranquiçados,
muito duros, que unindo-se aos outros,
por intermédio das junturas ou
articulações constituem o Esqueleto.
É uma forma especializada de tecido
conjuntivo cuja a principal característica
é a mineralização (cálcio) de sua matriz
óssea (fibras colágenas e
proteoglicanas).
Células ósseas
Podem ser de três tipos:
Osteoblastos,
Osteócitos e
Osteoclastos.
Não há diferenças entre esses tipos
que são na realidade, mudanças da
forma de uma mesma célula, em
diferentes estágios
Osteoblastos
São células jovens, com intensa
atividade metabólica e responsáveis pela
produção da parte orgânica da matriz
óssea.
Fazem a regeneração óssea após
fraturas. Os osteoblastos existem também
no endósteo.
Osteocitos
São células maduras derivadas dos
Osteoblastos, residentes em lacunas da
matriz óssea. Apesar de os osteócitos
abandonarem a função de secretar a
matriz óssea, eles permanecem
secretando substâncias necessárias à
manutenção do osso.
Osteoclastos
Participam dos processos de absorção
e remodelação do tecido ósseo. São
células gigantes e multinucleadas,
extensamente ramificadas, derivadas de
monócitos que atravessam os capilares
sanguíneos. Sua função básica é a de
reabsorção óssea.
Classificação dos ossos
Ossos longos:
Compõem a estrutura do esqueleto
apendicular e se caracterizam por ter
comprimento maior que a largura e a
espessura. Um osso longo (em um adulto) é
formado por um tubo cilíndrico, no qual se
distinguem duas extremidades alargadas
chamadas de epífise e uma parte no centro,
ao qual se denomina diáfise ou corpo. Ex.:
fêmur.
Ossos curtos:
Apresentam três dimensões
semelhantes. Ex.: ossos do carpo.
 Ossos chatos: possuem função
protetora, sendo o comprimento e
largura similares ou maiores que a
espessura. Ex.: osso frontal do crânio.
 Ossos irregulares: não apresentam
relação entre duas dimensões. Ex.:
vértebras.
 Ossos sesamoides: se desenvolvem
dentro de tendões. Ex.: patela.
O que são fraturas?
.
As fraturas ósseas são resultadas de
sobrecargas no osso, que podem ser únicas ou
múltiplas, com uma magnitude que excede o
limite suportado.
Ocorrem em uma fração de milissegundo e
se originam através de um processo de ruptura,
danos visíveis nas partes moles com
características de implosão.
O efeito mecânico de uma fratura consiste
numa perda de continuidade óssea, que leva a
uma mobilidade patológica, perda da função de
suporte ósseo e dor.
O que caracteriza uma
fratura?
Incapacidade total ou parcial de movimentos;
 Dificuldade e dor aos movimentos;
 Observação de inchaço na área atingida;
 Posição anormal do membro atingido;
Traumatismos
Sinais e sintomas
As fraturas ósseas têm, na maioria das
vezes, toda uma sintomatologia que se inicia
logo com a aplicação do trauma. Porém na
fratura por fadiga, em que não existe um
trauma precipitante, os sintomas se
desenvolvem lentamente resultando em dor
crônica:
Os principais sintomas das fraturas ósseas
são:
Dor:
Quando o membro está em repouso
ou imobilizado, a dor é basal – com uma
intensidade não muito forte e tolerável na
maioria das pessoas. Essa dor se
exacerba em picos e se torna muito forte
caso o segmento fraturado seja
mobilizado ou palpado. A dor é referida
como sendo mais intensa na região da
fratura e à palpação, se localiza um ponto
de dor óssea máxima.
Aumento de volume:
Surge nas adjacências da fratura
e tem dois componentes. O primeiro
é de aparecimento rápido devido ao
hematoma e o segundo se instala
lentamente, se estabilizando em
torno de 6 horas. Esse aumento é
devido ao processo inflamatório pós-
traumático.
Crepitação:
É uma sensação tátil que corresponde
ao atrito de um fragmento ósseo contra o
outro. Apesar da crepitação óssea ser um
sinal encontrado em fraturas, na prática ela
nem sempre é encontrada pois a crepitação
só aparece em fraturas que são completas,
que tem mobilidade e contato dos
fragmentos por meio da superfície faturada.
Como a crepitação é acompanhada de muita
dor ela não é pesquisada objetivamente.
Deformidades:
É a manifestação clínica do desvio dos
fragmentos e não ocorre em fraturas ósseas
sem desvios.
Mobilidade anormal: é o movimento de um
fragmento em relação ao outro. As
manobras para a pesquisa de fratura como a
palpação intempestiva, crepitação e etc. são
muito dolorosas e devem ser dispensadas
quando já há sinais evidentes de fraturas
ósseas como a mobilidade anormal e a
deformidade.
Tipos de fraturas ósseas e
classificações
As fraturas ósseas podem ser
classificadas de acordo com
vários critérios. Uma classificação
não exclui a outra e muitas vezes
elas se complementam.
Classificação por causa:
Traumáticas:
Ocorrem em ossos onde não há
doença prévia, quando é aplicada uma
força superior ao seu coeficiente de
resistência e elasticidade.
Ocorre na maioria das vezes nos
ossos longos do membro inferior e, em
pacientes com idade inferior a 40 anos,
devido a acidentes de alta energia,
provenientes de acidentes com veículos
automotores.
Patológicas
É um tipo de fratura que ocorre em
um osso que foi previamente
enfraquecido por um processo patológico.
As causas podem ser gerais como
osteoporose senil, hiperparatireoidismo,
osteogênese imperfeita ou locais, como
cistos, tumores e infecções. O diagnóstico
dessas fraturas ósseas patológicas é
radiográfico, mas pode ser questionado
clinicamente, já que geralmente o
traumatismo causador da fratura é muito
pequeno.
 Estresse ou fadiga
Essa fratura se instala vagarosamente
devido à confluência de microfraturas que
surgem em decorrência de pequenos
traumatismos ou esforços aplicados
ciclicamente no osso.
Está muito relacionada com
atividades esportivas ou profissionais
como, por exemplo, a fratura do terço
proximal da tíbia na bailarina e a fratura
de metatarsais em recrutas do exército
que fazem marcha forçada.
Classificação por lesão
Simples: apenas o osso é atingido;
Expostas: a pele é perfurada, havendo
a visualização do osso.
Completas: quando acontece o corte e
separação das partes fraturadas.
Incompletas: são lesões nos ossos
que não geram quebra, mas resultam
nos sintomas de fratura.
Fratura Simples
Fratura completa
Esse tipo de fratura ocorre de
forma completa, quando acontece o
corte e separação das partes
fraturadas. As principais formas de
fraturas ósseas completas são:
Fratura Transversal
É quando o traço
de fratura atravessa o
osso numa linha mais
ou menos reta.
Fratura longitudinal
Quando há
ruptura
ao longo do osso.
Fratura oblíqua
São
decorrentes
de lesões que
ocorrem com
uma torção.
Fratura Oblíqua
Desviada
Fratura Espiral
É quando o
traço de
fratura
encontra-se ao
redor e
através do
osso.
Fratura Incompleta
Nesse tipo de fratura o osso não é
fraturado em duas partes, mais
comum em crianças. Também é
conhecida como fratura em fissura.
Fratura de Galho verde
Fratura típica que
ocorre na criança,
onde há extrema
elasticidade do
osso. Um dos
córtices quebra e
o outro fica
“amassado”.
Fratura de Toro
Fratura impactada ou
comutativa
É a fratura que ocorre com a quebra
do osso em três ou mais fragmentos.
Fratura Segmentar;
Fratura em Borboleta;
Fratura Estilhaçada.
Fratura Segmentar
Fratura dupla
com duas linhas
de fratura, que
isola um
segmento
distinto do osso;
Fratura em Borboleta
Fratura com dois
fragmentos de cada
lado de um fragmento
principal, separado
em forma de cunha.
Possui semelhança
com asas de uma
borboleta.
Fratura Estilhaçada.
O osso é
esmigalhado
em
fragmentos
finos e
pontiagudos.
Terminologia do
alinhamento de Fratura
Aposição Anatômica
Aposição em Baioneta
Aposição
Baioneta
Fraturas de Smith e
Colles
Fratura que acomete a parte
distal do rádio.
Fratura de Monteggia
É uma fratura da ulna que afeta
a articulação com o rádio. Mais
precisamente, é uma fratura do
terço proximal da ulna com
deslocamento da cabeça do rádio.
Fratura de Galeazzi
Uma fratura de
Galeazzi é
uma fratura da região
distal do rádio com
ruptura da membrana
interóssea e da
ligação com a ulna,
com subluxação da
ulna.
TODOS PODEM TER
FRATURAS?
é provocada por uma ação sequencial
dos diferentes tipos de células ósseas: os
osteoblastos, responsáveis pela formação de
osso novo, e os osteoclastos, que se
encarregam da destruição do osso envelhecido.
Em seguida, estas cavidades são ocupadas
pelos osteoblastos, que deverão produzir um
osso novo. Este processo de renovação ocorre
ciclicamente. Nos indivíduos jovens, estes ciclos
têm uma duração aproximada de 120 dias, em
que a reabsorção e a neoformação óssea são
equiparáveis. Com o decorrer do tempo, os
ciclos vão-se tornando mais longos e a
A renovação do osso
OBRIGADA!!!!!!!!!!!!
Muito
obrigada!!!!!!!!!!!!

Tipos de fraturas

  • 1.
  • 2.
     Técnica eTecnóloga em Radiologia ;  Especialista em Radiologia Industrial;  Qualificação em RX odontológico;  Qualificação em mamografia;  Qualificação em Tomografia;  Pós-graduada em Docência e Gestão do Ensino Superior.  Pós- graduada em Docência e Gestão do Ensino Técnico. Professora Aline TEKA Reis
  • 10.
    Relembrando... Ossos são órgãosesbranquiçados, muito duros, que unindo-se aos outros, por intermédio das junturas ou articulações constituem o Esqueleto. É uma forma especializada de tecido conjuntivo cuja a principal característica é a mineralização (cálcio) de sua matriz óssea (fibras colágenas e proteoglicanas).
  • 12.
    Células ósseas Podem serde três tipos: Osteoblastos, Osteócitos e Osteoclastos. Não há diferenças entre esses tipos que são na realidade, mudanças da forma de uma mesma célula, em diferentes estágios
  • 13.
    Osteoblastos São células jovens,com intensa atividade metabólica e responsáveis pela produção da parte orgânica da matriz óssea. Fazem a regeneração óssea após fraturas. Os osteoblastos existem também no endósteo.
  • 14.
    Osteocitos São células madurasderivadas dos Osteoblastos, residentes em lacunas da matriz óssea. Apesar de os osteócitos abandonarem a função de secretar a matriz óssea, eles permanecem secretando substâncias necessárias à manutenção do osso.
  • 15.
    Osteoclastos Participam dos processosde absorção e remodelação do tecido ósseo. São células gigantes e multinucleadas, extensamente ramificadas, derivadas de monócitos que atravessam os capilares sanguíneos. Sua função básica é a de reabsorção óssea.
  • 17.
  • 18.
    Ossos longos: Compõem aestrutura do esqueleto apendicular e se caracterizam por ter comprimento maior que a largura e a espessura. Um osso longo (em um adulto) é formado por um tubo cilíndrico, no qual se distinguem duas extremidades alargadas chamadas de epífise e uma parte no centro, ao qual se denomina diáfise ou corpo. Ex.: fêmur. Ossos curtos: Apresentam três dimensões semelhantes. Ex.: ossos do carpo.
  • 19.
     Ossos chatos:possuem função protetora, sendo o comprimento e largura similares ou maiores que a espessura. Ex.: osso frontal do crânio.  Ossos irregulares: não apresentam relação entre duas dimensões. Ex.: vértebras.  Ossos sesamoides: se desenvolvem dentro de tendões. Ex.: patela.
  • 20.
    O que sãofraturas? .
  • 21.
    As fraturas ósseassão resultadas de sobrecargas no osso, que podem ser únicas ou múltiplas, com uma magnitude que excede o limite suportado. Ocorrem em uma fração de milissegundo e se originam através de um processo de ruptura, danos visíveis nas partes moles com características de implosão. O efeito mecânico de uma fratura consiste numa perda de continuidade óssea, que leva a uma mobilidade patológica, perda da função de suporte ósseo e dor.
  • 23.
    O que caracterizauma fratura? Incapacidade total ou parcial de movimentos;  Dificuldade e dor aos movimentos;  Observação de inchaço na área atingida;  Posição anormal do membro atingido; Traumatismos
  • 25.
    Sinais e sintomas Asfraturas ósseas têm, na maioria das vezes, toda uma sintomatologia que se inicia logo com a aplicação do trauma. Porém na fratura por fadiga, em que não existe um trauma precipitante, os sintomas se desenvolvem lentamente resultando em dor crônica: Os principais sintomas das fraturas ósseas são:
  • 26.
    Dor: Quando o membroestá em repouso ou imobilizado, a dor é basal – com uma intensidade não muito forte e tolerável na maioria das pessoas. Essa dor se exacerba em picos e se torna muito forte caso o segmento fraturado seja mobilizado ou palpado. A dor é referida como sendo mais intensa na região da fratura e à palpação, se localiza um ponto de dor óssea máxima.
  • 27.
    Aumento de volume: Surgenas adjacências da fratura e tem dois componentes. O primeiro é de aparecimento rápido devido ao hematoma e o segundo se instala lentamente, se estabilizando em torno de 6 horas. Esse aumento é devido ao processo inflamatório pós- traumático.
  • 28.
    Crepitação: É uma sensaçãotátil que corresponde ao atrito de um fragmento ósseo contra o outro. Apesar da crepitação óssea ser um sinal encontrado em fraturas, na prática ela nem sempre é encontrada pois a crepitação só aparece em fraturas que são completas, que tem mobilidade e contato dos fragmentos por meio da superfície faturada. Como a crepitação é acompanhada de muita dor ela não é pesquisada objetivamente.
  • 29.
    Deformidades: É a manifestaçãoclínica do desvio dos fragmentos e não ocorre em fraturas ósseas sem desvios. Mobilidade anormal: é o movimento de um fragmento em relação ao outro. As manobras para a pesquisa de fratura como a palpação intempestiva, crepitação e etc. são muito dolorosas e devem ser dispensadas quando já há sinais evidentes de fraturas ósseas como a mobilidade anormal e a deformidade.
  • 30.
    Tipos de fraturasósseas e classificações As fraturas ósseas podem ser classificadas de acordo com vários critérios. Uma classificação não exclui a outra e muitas vezes elas se complementam.
  • 31.
  • 32.
    Ocorrem em ossosonde não há doença prévia, quando é aplicada uma força superior ao seu coeficiente de resistência e elasticidade. Ocorre na maioria das vezes nos ossos longos do membro inferior e, em pacientes com idade inferior a 40 anos, devido a acidentes de alta energia, provenientes de acidentes com veículos automotores.
  • 34.
  • 35.
    É um tipode fratura que ocorre em um osso que foi previamente enfraquecido por um processo patológico. As causas podem ser gerais como osteoporose senil, hiperparatireoidismo, osteogênese imperfeita ou locais, como cistos, tumores e infecções. O diagnóstico dessas fraturas ósseas patológicas é radiográfico, mas pode ser questionado clinicamente, já que geralmente o traumatismo causador da fratura é muito pequeno.
  • 36.
  • 37.
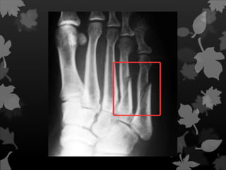
    Essa fratura seinstala vagarosamente devido à confluência de microfraturas que surgem em decorrência de pequenos traumatismos ou esforços aplicados ciclicamente no osso. Está muito relacionada com atividades esportivas ou profissionais como, por exemplo, a fratura do terço proximal da tíbia na bailarina e a fratura de metatarsais em recrutas do exército que fazem marcha forçada.
  • 38.
    Classificação por lesão Simples:apenas o osso é atingido; Expostas: a pele é perfurada, havendo a visualização do osso. Completas: quando acontece o corte e separação das partes fraturadas. Incompletas: são lesões nos ossos que não geram quebra, mas resultam nos sintomas de fratura.
  • 39.
  • 41.
    Fratura completa Esse tipode fratura ocorre de forma completa, quando acontece o corte e separação das partes fraturadas. As principais formas de fraturas ósseas completas são:
  • 43.
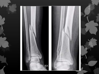
    Fratura Transversal É quandoo traço de fratura atravessa o osso numa linha mais ou menos reta.
  • 46.
  • 48.
    Fratura oblíqua São decorrentes de lesõesque ocorrem com uma torção.
  • 50.
  • 51.
    Fratura Espiral É quandoo traço de fratura encontra-se ao redor e através do osso.
  • 54.
    Fratura Incompleta Nesse tipode fratura o osso não é fraturado em duas partes, mais comum em crianças. Também é conhecida como fratura em fissura.
  • 55.
    Fratura de Galhoverde Fratura típica que ocorre na criança, onde há extrema elasticidade do osso. Um dos córtices quebra e o outro fica “amassado”.
  • 57.
  • 60.
    Fratura impactada ou comutativa Éa fratura que ocorre com a quebra do osso em três ou mais fragmentos. Fratura Segmentar; Fratura em Borboleta; Fratura Estilhaçada.
  • 61.
    Fratura Segmentar Fratura dupla comduas linhas de fratura, que isola um segmento distinto do osso;
  • 64.
    Fratura em Borboleta Fraturacom dois fragmentos de cada lado de um fragmento principal, separado em forma de cunha. Possui semelhança com asas de uma borboleta.
  • 66.
    Fratura Estilhaçada. O ossoé esmigalhado em fragmentos finos e pontiagudos.
  • 67.
    Terminologia do alinhamento deFratura Aposição Anatômica Aposição em Baioneta
  • 68.
  • 69.
  • 70.
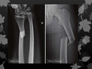
    Fraturas de Smithe Colles Fratura que acomete a parte distal do rádio.
  • 75.
    Fratura de Monteggia Éuma fratura da ulna que afeta a articulação com o rádio. Mais precisamente, é uma fratura do terço proximal da ulna com deslocamento da cabeça do rádio.
  • 77.
    Fratura de Galeazzi Umafratura de Galeazzi é uma fratura da região distal do rádio com ruptura da membrana interóssea e da ligação com a ulna, com subluxação da ulna.
  • 79.
  • 80.
    é provocada poruma ação sequencial dos diferentes tipos de células ósseas: os osteoblastos, responsáveis pela formação de osso novo, e os osteoclastos, que se encarregam da destruição do osso envelhecido. Em seguida, estas cavidades são ocupadas pelos osteoblastos, que deverão produzir um osso novo. Este processo de renovação ocorre ciclicamente. Nos indivíduos jovens, estes ciclos têm uma duração aproximada de 120 dias, em que a reabsorção e a neoformação óssea são equiparáveis. Com o decorrer do tempo, os ciclos vão-se tornando mais longos e a A renovação do osso
  • 82.
  • 83.