Alambert, PA
DISCIPLINA DE REUMATOLOGIA
2017
ARTROSE
SINONÍMIASINONÍMIA
 Os termos osteoartrose ouOs termos osteoartrose ou
osteoartrite (OA) sãoosteoartrite (OA) são
empregados como sinônimosempregados como sinônimos
de artrosede artrose..
OSTEOARTRITEOSTEOARTRITE
DEFINIDEFINIÇÇÃOÃO
DEFINIÇÃODEFINIÇÃO
“Um grupo heterogêneo de condições que
determinam sintomas e sinais articulares
que se associam a defeitos da integridade
da cartilagem articular, além de
modificações no osso subjacente e nas
margens articulares”.
(ACR)
Colégio Americano de Reumatologia
DEFINIÇÃO
A descrição da OA como doença articular
exclusivamente degenerativa constitui um equívoco,
pois OA não é simplesmente um processo de
desgaste, mas sim de remodelação anormal dos
tecidos articulares impulsionada por uma série de
mediadores inflamatórios na articulação afetada.
04/09/17
DEFINIÇÃO
• Quadro reumático mais comum,
caracterizado pela perda quantitativa e
qualitativa da cartilagem articular com
conseqüente remodelação óssea
hipertrófica local e uma inflamação
secundária.
“O processo de doença não afeta apenas a cartilagem
articular, mas envolve toda a articulação incluindo
osso subcondral, ligamentos,cápsula, membrana
sinovial e músculos periarticulares. Finalmente, a
cartilagem articular se degenera com fibrilação,
fissuras, ulcerações e afinamento total da superfície
articular”
CONCEITO ATUALCONCEITO ATUAL
DE MODO MAIS SIMPLES:DE MODO MAIS SIMPLES:
“ A osteoartrose é uma insuficiência qualitativa e
quantitativa da cartilagem articular associada a
alterações típicas do osso subcondral “
EPIDEMIOLOGIA
A osteoartrite (OA) é a principal causa
de dor e incapacidade em adultos mais
velhos e a segunda causa de consulta
médica dentre as doenças crônicas em
nosso meio.
EPIDEMIOLOGIA
Portanto, OA constitui um grave problema de
saúde pública. Sua prevalência está crescendo
nos países desenvolvidos, devido ao
envelhecimento da população e a outros
fatores tais como lesões adquiridas
biomecânicas e obesidade.
EPIDEMIOLOGIA
A osteoartriteosteoartrite afeta todas as raças e grupos
étnicos em todo o mundo
Segundo a OMS, 10% da população com mais
de 60 anos tem osteoartrose sintomática
A prevalência aumenta dramaticamente com a
idade,e sua piora é esperada à medida que a
população envelhece
PREVALÊNCIA
ETIOLOGIA
• Na etiologia da OA, a resposta da cartilagem
articular à injúria ou degeneração artrósica é de
reparação ineficiente.
• As propriedades bioquímicas e mecânicas do novo
tecido diferem da cartilagem original e resultam
numa função articular inadequada ou alterada.
04/09/17
FISIOPATOLOGIA
OSTEOARTRITE
FISIOPATOLOGIA
•O melhor conhecimento da
fisiopatologia inflamatória da OA
provavelmente determinará novas
abordagens para retardar alterações
destrutivas na articulação e evitar o
comprometimento funcional
permanente.
04/09/17
PONTOS-CHAVE
• As três principais estruturas envolvidas na evolução e
progressão da O A são cartilagem, membrana sinovial e ossocartilagem, membrana sinovial e osso
subcondral.subcondral.
• Trauma articular ou envelhecimento podem induzir à
estimulação de condrócitoscondrócitos dentro da cartilagem.
• A estimulação de condrócitoscondrócitos pode perturbar o equilíbrio entre a
síntese e a degradação da cartilagem , levando a O A
• O aumento da produção de mediadores inflamatórios e enzimasmediadores inflamatórios e enzimas
proteolíticasproteolíticas conduz à degeneração da cartilagem na O A.
ESTRUTURAS ENVOLVIDAS NA OA
• A) Cartilagem
• B) Membrana sinovial
• C) Osso subcondral
CARTILAGEM
CARTILAGEM NORMAL
• A composição e a complexa organização estrutural
entre o colágeno e os proteoglicanos garantem as
propriedades inerentes à cartilagem articular,
como resistência, elasticidade e compressibilidade,
necessárias para dissipar e amortecer as forças,
além de reduzir a fricção, sem muito gasto de
energia, a qual as articulações diartrodiais estão
sujeitas
04/09/17
COMPOSIÇÃO DA CARTILAGEM
Tecido Conjuntivo Denso
CARTILAGEM NORMAL
04/09/17
CONDRÓCITOS
CONDRÓCITOS
São responsáveis pela síntese e degradação de todos os componentesSão responsáveis pela síntese e degradação de todos os componentes
da cartilagem, mantendo um estado de equilíbrio entre eles. Na O A oda cartilagem, mantendo um estado de equilíbrio entre eles. Na O A o
metabolismo estará negativo pois os mecanismos envolvidos na de-metabolismo estará negativo pois os mecanismos envolvidos na de-
gradação são predominantes.gradação são predominantes.
INTERAÇÃO CARTILAGEM-MEMBRANA SINOVIAL
INTERAÇÃO CARTILAGEM-OSSO
SUBCONDRAL
INTERAÇÃO CARTILAGEM-OSSO
SUBCONDRAL
• A degradação da cartilagem seria estimulada porA degradação da cartilagem seria estimulada por
citocinas e fatores de crescimento (IL-1 beta,IL-6)citocinas e fatores de crescimento (IL-1 beta,IL-6)
produzidos localmente por osteoblastos dentro doproduzidos localmente por osteoblastos dentro do
osso subcondral sob tensão mecânica.osso subcondral sob tensão mecânica.
• O IGF-1 promove a proliferação e a remodelaçãoO IGF-1 promove a proliferação e a remodelação
óssea ,levando a uma maior rigidez do osso e áóssea ,levando a uma maior rigidez do osso e á
esclerose subcondral do osso.esclerose subcondral do osso.
OSTEOARTRITE INICIAL
OSTEOARTRITE TERMINAL
CARACTERIZAÇÃO CLÍNICA
•A osteoartrose caracteriza-se por dor
e disfunção articular. Em estágios mais
avançados da doença ,também envolve
rigidez articular,atrofia muscular e
deformidade dos membros.
04/09/17
04/09/17
ARTICULAÇÕES ACOMETIDAS
ClassificaçãoClassificação
FATORES DE RISCO
A O A tem etiologia multifatorial e pode ser considerada
produto da interação entre fatores sistêmicos que
aumentam a suscetibilidade global de degeneração
articular e fatores biomecânicos locais que prejudicam o
funcionamento ideal de uma articulação.
04/09/17
FATORES DE RISCO
PATOLOGIA
As alterações patológicas presentes nas
articulações com osteoartrite incluem a
degradação da cartilagem articular, o
espessamento do osso subcondral, a formação de
osteófitos, graus variáveis de inflamação sinovial,
degeneração de ligamentos no joelho, meniscos e
hipertrofia da cápsula articular.
04/09/17
CARTILAGEM FISSURADA
CARTILAGEM FISSURADA
SULCOS
v o l t a r a v a n ç a ri n í c i o
13/9/2005
Menisco medial
Superfície articular com sulcos
HISTOLOGIA NORMAL DA CARTILAGEM
O vermelho indica
síntese de proteoglicanos
DIAGNÓSTICO
• Histórico clínico (anamnese)
• Exame Físico
• Exames de laboratório
• Estudos radiográficos
ANAMNESE
• Dor em uma ou poucas articulações
• Rigidez matinal com menos de 30 minutos de duração
• Crepitação por perda da cartilagem ou irregularidades
nas superfícies articulares
• Limitação do movimento
EXAME FÍSICO
osteoartrose
LABORATÓRIO
NormalExame geral de urina
NegativoFator reumatóide
Cor palha e viscosidade
adequada, o número de
leucócitos < 2.000
Líquido sinovial
Normal
Velocidade de
hemossedimentação
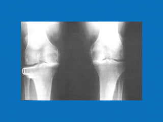
RADIOLOGIA
No início da doença não se observam anormalidades. Com seu
desenvolvimento, observam-se:
• Diminuição do espaço intra-articular
• Esclerose subcondral (eburnação)
• Osteófitos;
• Erosão e anquilose óssea (pseudocistos ósseos).
04/09/17
TRATAMENTO
• Os objetivos a atingir com o tratamento são:
• 1.Aliviar a dor
• 2.Manter a funcionalidade articular
• 3.Educar o paciente e sua familia
• 4.Alterar o proceso da doença e suas
consequencias
TRATAMENTO
• Tratamento Físico
• Tratamento Farmacológico
• Tratamento Cirúrgico
TRATAMENTO FÍSICO
• Diminuição de peso
• Realizar programas de exercícios para
manter a força muscular, a flexibilidade
das articulações e evitar deformidades
• Terapia ocupacional
TRATAMENTO FARMACOLÓGICOTRATAMENTO FARMACOLÓGICO
Ação lenta
SYSADOA
AGENTES
Ação rápida
AÇÃO RÁPIDA
• Analgésicos
• AINHs
• Miorrelaxantes
• Corticosteróide intra-articular
• Colchicina
AÇÃO LENTA
• Glicosamina
• Condroitina
• Diacereína
• Extratos insaponificados
de soja e abacate
• Ácido hialurõnico
• Cloroquina
• Necessitam mais estudos
Sintomáticos Modificadores de doença
TRATAMENTO CIRÚRGICOTRATAMENTO CIRÚRGICO
•As técnicas cirúrgicas empregadas
na osteoartrite são artrodese,
artroplastias, osteotomias,
desbridamento articular, liberação
de nervos periféricos, etc.
CONCLUSÃO
• Osteoartrite NÃO é sinônimo de
“envelhecimento”.
• Freqüentemente, o paciente com osteoartrite
procura primeiro o clínico geral. Por isso, é
importante conhecê-la.
• Se houver dúvidas ou complicações, deve-se
consultar o reumatologista.
04/09/17

Osteoartrite 2017

  • 1.
    Alambert, PA DISCIPLINA DEREUMATOLOGIA 2017 ARTROSE
  • 2.
    SINONÍMIASINONÍMIA  Os termososteoartrose ouOs termos osteoartrose ou osteoartrite (OA) sãoosteoartrite (OA) são empregados como sinônimosempregados como sinônimos de artrosede artrose..
  • 3.
  • 4.
    DEFINIÇÃODEFINIÇÃO “Um grupo heterogêneode condições que determinam sintomas e sinais articulares que se associam a defeitos da integridade da cartilagem articular, além de modificações no osso subjacente e nas margens articulares”. (ACR) Colégio Americano de Reumatologia
  • 5.
    DEFINIÇÃO A descrição daOA como doença articular exclusivamente degenerativa constitui um equívoco, pois OA não é simplesmente um processo de desgaste, mas sim de remodelação anormal dos tecidos articulares impulsionada por uma série de mediadores inflamatórios na articulação afetada. 04/09/17
  • 6.
    DEFINIÇÃO • Quadro reumáticomais comum, caracterizado pela perda quantitativa e qualitativa da cartilagem articular com conseqüente remodelação óssea hipertrófica local e uma inflamação secundária.
  • 7.
    “O processo dedoença não afeta apenas a cartilagem articular, mas envolve toda a articulação incluindo osso subcondral, ligamentos,cápsula, membrana sinovial e músculos periarticulares. Finalmente, a cartilagem articular se degenera com fibrilação, fissuras, ulcerações e afinamento total da superfície articular” CONCEITO ATUALCONCEITO ATUAL
  • 8.
    DE MODO MAISSIMPLES:DE MODO MAIS SIMPLES: “ A osteoartrose é uma insuficiência qualitativa e quantitativa da cartilagem articular associada a alterações típicas do osso subcondral “
  • 9.
    EPIDEMIOLOGIA A osteoartrite (OA)é a principal causa de dor e incapacidade em adultos mais velhos e a segunda causa de consulta médica dentre as doenças crônicas em nosso meio.
  • 10.
    EPIDEMIOLOGIA Portanto, OA constituium grave problema de saúde pública. Sua prevalência está crescendo nos países desenvolvidos, devido ao envelhecimento da população e a outros fatores tais como lesões adquiridas biomecânicas e obesidade.
  • 11.
    EPIDEMIOLOGIA A osteoartriteosteoartrite afetatodas as raças e grupos étnicos em todo o mundo Segundo a OMS, 10% da população com mais de 60 anos tem osteoartrose sintomática A prevalência aumenta dramaticamente com a idade,e sua piora é esperada à medida que a população envelhece
  • 12.
  • 14.
    ETIOLOGIA • Na etiologiada OA, a resposta da cartilagem articular à injúria ou degeneração artrósica é de reparação ineficiente. • As propriedades bioquímicas e mecânicas do novo tecido diferem da cartilagem original e resultam numa função articular inadequada ou alterada. 04/09/17
  • 15.
  • 16.
    FISIOPATOLOGIA •O melhor conhecimentoda fisiopatologia inflamatória da OA provavelmente determinará novas abordagens para retardar alterações destrutivas na articulação e evitar o comprometimento funcional permanente. 04/09/17
  • 17.
    PONTOS-CHAVE • As trêsprincipais estruturas envolvidas na evolução e progressão da O A são cartilagem, membrana sinovial e ossocartilagem, membrana sinovial e osso subcondral.subcondral. • Trauma articular ou envelhecimento podem induzir à estimulação de condrócitoscondrócitos dentro da cartilagem. • A estimulação de condrócitoscondrócitos pode perturbar o equilíbrio entre a síntese e a degradação da cartilagem , levando a O A • O aumento da produção de mediadores inflamatórios e enzimasmediadores inflamatórios e enzimas proteolíticasproteolíticas conduz à degeneração da cartilagem na O A.
  • 18.
    ESTRUTURAS ENVOLVIDAS NAOA • A) Cartilagem • B) Membrana sinovial • C) Osso subcondral
  • 19.
  • 20.
    CARTILAGEM NORMAL • Acomposição e a complexa organização estrutural entre o colágeno e os proteoglicanos garantem as propriedades inerentes à cartilagem articular, como resistência, elasticidade e compressibilidade, necessárias para dissipar e amortecer as forças, além de reduzir a fricção, sem muito gasto de energia, a qual as articulações diartrodiais estão sujeitas 04/09/17
  • 21.
  • 22.
  • 23.
  • 24.
    CONDRÓCITOS São responsáveis pelasíntese e degradação de todos os componentesSão responsáveis pela síntese e degradação de todos os componentes da cartilagem, mantendo um estado de equilíbrio entre eles. Na O A oda cartilagem, mantendo um estado de equilíbrio entre eles. Na O A o metabolismo estará negativo pois os mecanismos envolvidos na de-metabolismo estará negativo pois os mecanismos envolvidos na de- gradação são predominantes.gradação são predominantes.
  • 25.
  • 26.
  • 27.
    INTERAÇÃO CARTILAGEM-OSSO SUBCONDRAL • Adegradação da cartilagem seria estimulada porA degradação da cartilagem seria estimulada por citocinas e fatores de crescimento (IL-1 beta,IL-6)citocinas e fatores de crescimento (IL-1 beta,IL-6) produzidos localmente por osteoblastos dentro doproduzidos localmente por osteoblastos dentro do osso subcondral sob tensão mecânica.osso subcondral sob tensão mecânica. • O IGF-1 promove a proliferação e a remodelaçãoO IGF-1 promove a proliferação e a remodelação óssea ,levando a uma maior rigidez do osso e áóssea ,levando a uma maior rigidez do osso e á esclerose subcondral do osso.esclerose subcondral do osso.
  • 28.
  • 29.
  • 30.
    CARACTERIZAÇÃO CLÍNICA •A osteoartrosecaracteriza-se por dor e disfunção articular. Em estágios mais avançados da doença ,também envolve rigidez articular,atrofia muscular e deformidade dos membros. 04/09/17
  • 31.
  • 33.
  • 34.
    FATORES DE RISCO AO A tem etiologia multifatorial e pode ser considerada produto da interação entre fatores sistêmicos que aumentam a suscetibilidade global de degeneração articular e fatores biomecânicos locais que prejudicam o funcionamento ideal de uma articulação. 04/09/17
  • 35.
  • 36.
    PATOLOGIA As alterações patológicaspresentes nas articulações com osteoartrite incluem a degradação da cartilagem articular, o espessamento do osso subcondral, a formação de osteófitos, graus variáveis de inflamação sinovial, degeneração de ligamentos no joelho, meniscos e hipertrofia da cápsula articular.
  • 37.
  • 38.
  • 39.
  • 43.
    SULCOS v o lt a r a v a n ç a ri n í c i o 13/9/2005 Menisco medial Superfície articular com sulcos
  • 44.
  • 46.
    O vermelho indica síntesede proteoglicanos
  • 47.
    DIAGNÓSTICO • Histórico clínico(anamnese) • Exame Físico • Exames de laboratório • Estudos radiográficos
  • 48.
    ANAMNESE • Dor emuma ou poucas articulações • Rigidez matinal com menos de 30 minutos de duração • Crepitação por perda da cartilagem ou irregularidades nas superfícies articulares • Limitação do movimento
  • 49.
  • 52.
  • 56.
    LABORATÓRIO NormalExame geral deurina NegativoFator reumatóide Cor palha e viscosidade adequada, o número de leucócitos < 2.000 Líquido sinovial Normal Velocidade de hemossedimentação
  • 57.
    RADIOLOGIA No início dadoença não se observam anormalidades. Com seu desenvolvimento, observam-se: • Diminuição do espaço intra-articular • Esclerose subcondral (eburnação) • Osteófitos; • Erosão e anquilose óssea (pseudocistos ósseos).
  • 64.
  • 65.
    TRATAMENTO • Os objetivosa atingir com o tratamento são: • 1.Aliviar a dor • 2.Manter a funcionalidade articular • 3.Educar o paciente e sua familia • 4.Alterar o proceso da doença e suas consequencias
  • 66.
    TRATAMENTO • Tratamento Físico •Tratamento Farmacológico • Tratamento Cirúrgico
  • 67.
    TRATAMENTO FÍSICO • Diminuiçãode peso • Realizar programas de exercícios para manter a força muscular, a flexibilidade das articulações e evitar deformidades • Terapia ocupacional
  • 68.
  • 69.
    AÇÃO RÁPIDA • Analgésicos •AINHs • Miorrelaxantes • Corticosteróide intra-articular • Colchicina
  • 70.
    AÇÃO LENTA • Glicosamina •Condroitina • Diacereína • Extratos insaponificados de soja e abacate • Ácido hialurõnico • Cloroquina • Necessitam mais estudos Sintomáticos Modificadores de doença
  • 71.
    TRATAMENTO CIRÚRGICOTRATAMENTO CIRÚRGICO •Astécnicas cirúrgicas empregadas na osteoartrite são artrodese, artroplastias, osteotomias, desbridamento articular, liberação de nervos periféricos, etc.
  • 72.
    CONCLUSÃO • Osteoartrite NÃOé sinônimo de “envelhecimento”. • Freqüentemente, o paciente com osteoartrite procura primeiro o clínico geral. Por isso, é importante conhecê-la. • Se houver dúvidas ou complicações, deve-se consultar o reumatologista.
  • 73.