Monitorização da
       Função Pulmonar
         PABLO BRAGA GUSMAN
           MD, MSc, PhD, TE / SBA - AMIB


59º CONGRESSO BRASILEIRO DE ANESTESIOLOGIA
            Belo Horizonte - 2012
De acordo com as normas:
          CFM 1595/2000 e RDC 102/2000


  Ausência de conflito de interesses
Pablo Braga Gusman
Anestesista, Intensivista
Médico do Comitê de Qualidade
Função Pulmonar

O2        CO2

Troca de gases
Função Pulmonar
Troca de gases   O2     CO2



 Ventilação
 Perfusão
 Difusão
Monitorização da Função Pulmonar

Que sinais e variáveis são mais importantes?

Relacionando-os ao tempo
                Contínuos ou intermitentes?

Relacionando-os à modalidade
                Estáticos ou dinâmicos?
Monitorização da Função Pulmonar
Troca de gases

    Mecânica respiratoria

        Volume pulmonar

            Interação cardiovascular

                 Inflamação pulmonar
Monitorização da Função Pulmonar
Troca de gases
        Oximetria de pulso
Oximetria de pulso
Espectrofotometria: sangue arterial pulsátil gera troca
de absorção de luz que é captada por um fotodetector.
Oximetria de pulso
Espectrofotometria: sangue arterial pulsátil gera troca
de absorção de luz que é captada por um fotodetector.

 Promover sinais de alarme precoces
 Procedimento não invasivo (reduz gasometrias)
 Oferece frequência, alterações do ritmo,
 amplitude de pulso e resposta à reanimação
Oximetria de pulso:
            Limitações
- Hemoglobina,
- Metahemoglobina
- Carboxihemoglobina




-Insensibilidade a mudanças em altas PaO2
ANESTESIA E ATELECTASIA


Altas concentrações de O2 causam
atelectasias de absorção 5 min após
          recrutamento.


FIO2 40% retarda colapso alveolar.

            Rohen, HU. Anesthesiology, 1995
ANESTESIA E ATELECTASIA

             Áreas não dependentes




FIO2 100 %




             Áreas dependentes
Oximetria de pulso:
         Limitações
- Alteração pela cor da unha e pele
- Depende de perfusão
- Tipo de probe
- Falso alarme
Oximetria de pulso:
Saturação de oxigênio
                         Monitor ideal?
Hemoglobina Total        Para quem?
Metahemoglobina
Conteúdo de oxigênio
Variabilidade do pulso
Carboxihemoglobina
Sons respiratórios
Monitorização da Função Pulmonar
Troca de gases
        Capnografia
                      Ponto mais alto da curva :PetCO2

                      Phase III representa gás alveolar,
                      representado por um plateau ou
                      leve inclinação

                      Phase II aumento da concentração
                      de CO2 pelo esvaziamento alveolar

                      Phase I: gás das extensões das
                      vias aéreas e espaço morto
                      anatômico
Monitorização da Função Pulmonar
Capnografia: Main vs sidestream
Monitorização da Função Pulmonar
     Capnografia: Pode nos ajudar?
(1) O gráfico mostra padrão de paciente intubado?

(2) Há picos apropriados? Os parâmetros do ventilador e
  modelo respiratório do paciente consistente aos achados da
  capnografia?
                        1




                            2
Monitorização da Função Pulmonar
      Capnografia: Pode nos ajudar?
(3) Pressão inspirada de CO2 zero ou há padrão de reinalação?

(4) Há evidências de baixo fluxo expiratório?


                           1

                                     4
                                     3




                                2
Monitorização da Função Pulmonar
    Capnografia: Pode nos ajudar?
(5) Há padrão de esvaziamento desigual dos pulmões?

(6) A expiração é interrompida por esforços inspiratórios?

(7) Há padrão de baixo fluxo inspiratório ou reinalação parcial?
                           1
                                            5   6

                                      4
                                                    7
                                      3




                                2
StatCO2™




CO2nfirm Now™
Intubação nasal




 Falha no desmame                         Assincronia




Respiração espontânea

                                          Taquipnéia
Monitorização da Função Pulmonar
Troca de gases
        Gases sanguíneos




             i-STAT® Critical Blood Analyzer
- “Acute lung injury” no longer exists.
- Onset of ARDS must be acute, as defined as within 7 days
- Bilateral opacities consistent with pulmonary edema must be
present but may be detected on CT or chest X-ray.
- There is no need to exclude heart failure in the new ARDS
definition



                                           JAMA. 2012;307(23):2526-2533.
Monitorização da Função Pulmonar
Mecânica respiratória

                                       Complacência e
                                         resistência

                                          Pressão das
                                          vias aéreas

               i-STAT® Critical Blood Analyzer   Volumes
Complacência
• Δ volume corrente / Δ pressão sem PEEP

• Δ volume entre a pressão de pausa inspiratória e a
  pressão expiratória final.

• Medida pelo respirador com um ciclo inspiratório normal
  com pequena pausa inspiratória ou com grande pausa e
  aumento do volume.

• Em um fluxo constante, estima-se a relação do volume
  com a pressão.
Resistência
• Diferença entre a pressão de pico e pressão de
  pausa inspiratória.

• Avalia a presença de obstruções ou secreções no
  tubo e nas vias aéreas de grande calibre.

• Variações são mais importantes do que valores
  absolutos.
Pressão de Pico:
   pressão no final de
   inspiração. Retração
   elástica-estática e
                          P1
   componentes
   restritivos.

                 Stress Index



                                  Pressão de Plateau:
                           P1     pausa inspiratória de 3
                                  segundos. Avalia a
                interrupção do    pressão estástica do
               fluxo, queda de    sistema respiratório.
               pressão:.
               Complacência
               dinâmica. Critical Blood Analyzer
                   i-STAT®
Pressão de vias aéreas
Stress and Strain
                                Stress
                                Força por unidade de área.
    Complacência e Pressão transpulmonar
                 = resistência




                               Strain
                               Deformação frente ao
                               tamanho e forma originais.
Interdependência
      alveolar                 Relação do VT/ Vol
               i-STAT® Criticalpulmonar expiratório final
                                Blood Analyzer
Stress and Strain


    Complacência e resistência

                            Ventilação com pressão negativa




Interdependência alveolar

               i-STAT® Critical Blood Analyzer
Stress and Strain


    Complacência e resistência

                            Ventilação com pressão negativa




Interdependência alveolar

               i-STAT® Critical Blood Analyzer
                              Ventilação com pressão positiva
Monitorização da Função Pulmonar
Capacidade pulmonar total                    Ar expirado pela
                                                  boca


Litros                               inspiração




  CPT
(6 litros)


                                     expiração




                  Tempo (segundos)
Capacidade vital: aplicação nas doenças


           Normal   Restrição    Obstrução
  100                                        CPT


% CV
                                             CRF

       0                                     VR

                     tempo (s)
Monitorização da Função Pulmonar
Volumes pulmonares

 Litros
                                  Volume de
                                    reserva
                                  inspiratório
  CPT
                                          Volume
(6 litros)                                corrente
                                       Volume de
                                        reserva
                                       expiratório

                                Volume residual
             Tempo (segundos)
Normal                Obstrutiva             Restritiva

           V                     V                      V

Espirometria


                             T                     T                      T

                                  F                     F
           F
 Curva
 Fluxo
 Volume                                                              V
                         V                     V


          CVF        > 80%       CVF           <N>     CVF                <
          VEF1       >80%        VEF1          <       VEF1               <
          VEF1/CVF   > 85%       VEF1/CVF      <       VEF1/CVF           N
Zonas não dependentes da gravidade




  Zonas dependentes da gravidade
Zonas nãonão dependentes dada gravidade
     Zonas dependentes gravidade




  Zonas dependentesda gravidade
      Zonas dependentes da gravidade
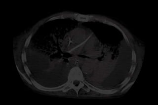
CLASSIFICAÇÃO SEGUNDO
              A MORFOLOGIA PULMONAR


           Grupo HL
(Hiperdensidades Localizadas):
 Hiperdensidades      radiológicas
delimitadas     por        estrutura
anatômica,    como     a    grande
cissura;


                                       Gusman P.B., 2000
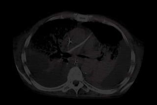
CLASSIFICAÇÃO SEGUNDO
             A MORFOLOGIA PULMONAR


       Grupo HD
  (Hiperdensidades Difusas):
 Hiperdensidades   difusas     e
não delimitadas por estrutura
anatômica;



                                   Gusman P.B., 2000
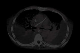
PRINCÍPIOS DA TC DE TÓRAX



                 Pixel       Voxel
                Unidade de   Unidade de
                Superfície   Volume



O número de pixels em cada secção é
  representado por um CT number.
Distribuição do número de pixels
      na escala de Unidades Hounsfield

         UM VOXEL PODE ESTAR LOCALIZADO EM UMA
                 DAS SEGUINTES ZONAS :

                                       AR (%)        TECIDO (%)
-1000 < UH < -900  Hiperdistendida     > 90             < 10
-900 < UH < -500 Normalmente Aerada   90 < x < 50     10 < x < 50
-500 < UH < -100    Pouco Aerada      50 < x < 10     50 < x < 90
-100 < UH < 100      Não-Aerada        < 10             > 90



                                            Gusman, P.B. UNESP, 2000.
ANÁLISE DO GRÁFICO DE DENSIDADES
                  VOLUNTÁRIOS SADIOS em CRF (n=11)
VOLUME (mL)
   400
             HIPERINFLAÇÃO     NORMALMENTE                POBREMENTE




                                                                                  NÃO AERADO
                                 AERADO                     AERADO
   300



   200



   100
                             CRF
     0
     -1000            -900   -800    -700   -600   -500   -400   -300   -200   -100            0   100
   AR                               UNIDADES HOUNSFIELD (UH)                                   ÁGUA
                                                                           Gusman, P.B. UNESP, 2000.
ANÁLISE DO GRÁFICO DE DENSIDADES
         de PAC com SARA em CRF




HIPERDENSIDADE   HIPERDENSIDADE   HIPERDENSIDADE
LOCALIZADA       COMBINADA        DIFUSA
RECRUTAMENTO ALVEOLAR

                                       POUCO AERADO
                                -500 HU < Densidade < -100 HU


         NÃO AERADO
-100 HU < Densidade < +100 HU                      ?
                                          AERADO
                                -900 HU < Densidade < -500 HU


    O recrutamento alveolar é obtido pela diminuição no
  volume pulmonar entre : -100 UH < densidade < 100 UH
DISTENSÃO E HIPERDISTENSÃO ALVEOLAR

                                           AERADO
                                -900 HU < Densidade < -500 HU


          AERADO
-900 HU < Densidade < -500 HU



                                       HIPERDISTENSÃO
                                -1000 HU < Densidade < -900 HU

   A hiperdistensão alveolar é obtida pelo aumento no volume
       pulmonar entre : -1000 UH < densidade < -900 UH
ZEEP                     PEEP
                        10 cmH2O


 Aumento na CRF = 652    298 mL



Lobos Superiores   Lobos Inferiores
 491 255 mL         161 154 mL

                           Gusman, P.B. UNESP, 2007.
Lobos Superiores    Lobos Inferiores
     491 255 mL          161 154 mL



   Complacência respiratória total


49 ± 25 mL / cmH2O     16   15 mL / cmH2O
GRÁFICOS DE DENSIDADES PULMONARES DE PACIENTES
        COM HIPERDENSIDADE LOCALIZADA
         EM ZEEP ( ) E PEEP 10 CMH2O ( )

                                    200
      mL                                    mL
300
                                    150
200
                                    100

100                                 50


 0                                   0

-1000      -750   -500   -250   0        -1000 -750   -500   -250   0

      Lobos Superiores                    Lobos Inferiores
Hiperdistensão alveolar


  40% do pulmão caracterizado por uma
densidade radiológica entre -900 e -800 UH
  em ZEEP tende a sofrer hiperdistensão
 após a instalação da PEEP de 10 cmH2O


                               Gusman, P.B. UNESP, 2007.
Hiperdistensão alveolar induzido pela PEEP 10 cmH2O
               Lobos Superiores   Lobos Inferiores




     0
          HL     HC     HD        HL   HC     HD
Recrutamento Alveolar
               Diminuição no volume não aerado
                 pelo uso da PEEP.
 ZEEP   ZEEP
                                Gattinoni, AJRCCM, 1995




               Volume de gás penetrando em áreas
               pobremente e não aeradas pelo uso da
               PEEP.
                                       Gusman, UNESP 2007



PEEP    PEEP
                   Hiperdistensão Alveolar
               Volume pulmonar caracterizado por
                  atenuações < -900 HU na TC pelo
                  uso da PEEP.
                                       Vieira, AJRCCM, 1999
Considerações
      A PEEP é pouco eficaz em pacientes com
    hiperdensidades localizadas e frequentemente
 associada com hiperdistensão de áreas pulmonares
 previamente aeradas, particularmente quando uma
   maior redução no volume pulmonar residual dos
lobos inferiores está presente ("atelectasia mecânica").
Considerações
Pacientes com hiperdensidades difusas demonstram
  um recrutamento alveolar marcante com uso da
 PEEP sem qualquer evidência de hiperdistensão.




       Evitando-se altas pressões de plateau e hipercapnia
Laboratório de investigação médica em Pneumologia – LIM 09
CRF   Insuflação total
Análise de multipla regressão para variações locais de impendância
   durante insuflação lenta (standard electrode positioning) quando
projetado sobre mudanças sincronizadas nas imagens de TC de tórax.
PEEP Titration
anestesiador@gmail.com

    @anestesiador

Monitorização da função pulmonar

  • 1.
    Monitorização da Função Pulmonar PABLO BRAGA GUSMAN MD, MSc, PhD, TE / SBA - AMIB 59º CONGRESSO BRASILEIRO DE ANESTESIOLOGIA Belo Horizonte - 2012
  • 2.
    De acordo comas normas: CFM 1595/2000 e RDC 102/2000 Ausência de conflito de interesses Pablo Braga Gusman Anestesista, Intensivista Médico do Comitê de Qualidade
  • 3.
    Função Pulmonar O2 CO2 Troca de gases
  • 4.
    Função Pulmonar Troca degases O2 CO2  Ventilação  Perfusão  Difusão
  • 6.
    Monitorização da FunçãoPulmonar Que sinais e variáveis são mais importantes? Relacionando-os ao tempo Contínuos ou intermitentes? Relacionando-os à modalidade Estáticos ou dinâmicos?
  • 7.
    Monitorização da FunçãoPulmonar Troca de gases Mecânica respiratoria Volume pulmonar Interação cardiovascular Inflamação pulmonar
  • 8.
    Monitorização da FunçãoPulmonar Troca de gases Oximetria de pulso
  • 9.
    Oximetria de pulso Espectrofotometria:sangue arterial pulsátil gera troca de absorção de luz que é captada por um fotodetector.
  • 10.
    Oximetria de pulso Espectrofotometria:sangue arterial pulsátil gera troca de absorção de luz que é captada por um fotodetector. Promover sinais de alarme precoces Procedimento não invasivo (reduz gasometrias) Oferece frequência, alterações do ritmo, amplitude de pulso e resposta à reanimação
  • 11.
    Oximetria de pulso: Limitações - Hemoglobina, - Metahemoglobina - Carboxihemoglobina -Insensibilidade a mudanças em altas PaO2
  • 12.
    ANESTESIA E ATELECTASIA Altasconcentrações de O2 causam atelectasias de absorção 5 min após recrutamento. FIO2 40% retarda colapso alveolar. Rohen, HU. Anesthesiology, 1995
  • 13.
    ANESTESIA E ATELECTASIA Áreas não dependentes FIO2 100 % Áreas dependentes
  • 14.
    Oximetria de pulso: Limitações - Alteração pela cor da unha e pele - Depende de perfusão - Tipo de probe - Falso alarme
  • 15.
    Oximetria de pulso: Saturaçãode oxigênio Monitor ideal? Hemoglobina Total Para quem? Metahemoglobina Conteúdo de oxigênio Variabilidade do pulso Carboxihemoglobina Sons respiratórios
  • 17.
    Monitorização da FunçãoPulmonar Troca de gases Capnografia Ponto mais alto da curva :PetCO2 Phase III representa gás alveolar, representado por um plateau ou leve inclinação Phase II aumento da concentração de CO2 pelo esvaziamento alveolar Phase I: gás das extensões das vias aéreas e espaço morto anatômico
  • 18.
    Monitorização da FunçãoPulmonar Capnografia: Main vs sidestream
  • 19.
    Monitorização da FunçãoPulmonar Capnografia: Pode nos ajudar? (1) O gráfico mostra padrão de paciente intubado? (2) Há picos apropriados? Os parâmetros do ventilador e modelo respiratório do paciente consistente aos achados da capnografia? 1 2
  • 20.
    Monitorização da FunçãoPulmonar Capnografia: Pode nos ajudar? (3) Pressão inspirada de CO2 zero ou há padrão de reinalação? (4) Há evidências de baixo fluxo expiratório? 1 4 3 2
  • 21.
    Monitorização da FunçãoPulmonar Capnografia: Pode nos ajudar? (5) Há padrão de esvaziamento desigual dos pulmões? (6) A expiração é interrompida por esforços inspiratórios? (7) Há padrão de baixo fluxo inspiratório ou reinalação parcial? 1 5 6 4 7 3 2
  • 22.
  • 23.
    Intubação nasal Falhano desmame Assincronia Respiração espontânea Taquipnéia
  • 24.
    Monitorização da FunçãoPulmonar Troca de gases Gases sanguíneos i-STAT® Critical Blood Analyzer
  • 25.
    - “Acute lunginjury” no longer exists. - Onset of ARDS must be acute, as defined as within 7 days - Bilateral opacities consistent with pulmonary edema must be present but may be detected on CT or chest X-ray. - There is no need to exclude heart failure in the new ARDS definition JAMA. 2012;307(23):2526-2533.
  • 26.
    Monitorização da FunçãoPulmonar Mecânica respiratória Complacência e resistência Pressão das vias aéreas i-STAT® Critical Blood Analyzer Volumes
  • 27.
    Complacência • Δ volumecorrente / Δ pressão sem PEEP • Δ volume entre a pressão de pausa inspiratória e a pressão expiratória final. • Medida pelo respirador com um ciclo inspiratório normal com pequena pausa inspiratória ou com grande pausa e aumento do volume. • Em um fluxo constante, estima-se a relação do volume com a pressão.
  • 28.
    Resistência • Diferença entrea pressão de pico e pressão de pausa inspiratória. • Avalia a presença de obstruções ou secreções no tubo e nas vias aéreas de grande calibre. • Variações são mais importantes do que valores absolutos.
  • 29.
    Pressão de Pico: pressão no final de inspiração. Retração elástica-estática e P1 componentes restritivos. Stress Index Pressão de Plateau: P1 pausa inspiratória de 3 segundos. Avalia a interrupção do pressão estástica do fluxo, queda de sistema respiratório. pressão:. Complacência dinâmica. Critical Blood Analyzer i-STAT® Pressão de vias aéreas
  • 30.
    Stress and Strain Stress Força por unidade de área. Complacência e Pressão transpulmonar = resistência Strain Deformação frente ao tamanho e forma originais. Interdependência alveolar Relação do VT/ Vol i-STAT® Criticalpulmonar expiratório final Blood Analyzer
  • 31.
    Stress and Strain Complacência e resistência Ventilação com pressão negativa Interdependência alveolar i-STAT® Critical Blood Analyzer
  • 32.
    Stress and Strain Complacência e resistência Ventilação com pressão negativa Interdependência alveolar i-STAT® Critical Blood Analyzer Ventilação com pressão positiva
  • 36.
    Monitorização da FunçãoPulmonar Capacidade pulmonar total Ar expirado pela boca Litros inspiração CPT (6 litros) expiração Tempo (segundos)
  • 37.
    Capacidade vital: aplicaçãonas doenças Normal Restrição Obstrução 100 CPT % CV CRF 0 VR tempo (s)
  • 38.
    Monitorização da FunçãoPulmonar Volumes pulmonares Litros Volume de reserva inspiratório CPT Volume (6 litros) corrente Volume de reserva expiratório Volume residual Tempo (segundos)
  • 39.
    Normal Obstrutiva Restritiva V V V Espirometria T T T F F F Curva Fluxo Volume V V V CVF > 80% CVF <N> CVF < VEF1 >80% VEF1 < VEF1 < VEF1/CVF > 85% VEF1/CVF < VEF1/CVF N
  • 40.
    Zonas não dependentesda gravidade Zonas dependentes da gravidade
  • 41.
    Zonas nãonão dependentesdada gravidade Zonas dependentes gravidade Zonas dependentesda gravidade Zonas dependentes da gravidade
  • 43.
    CLASSIFICAÇÃO SEGUNDO A MORFOLOGIA PULMONAR Grupo HL (Hiperdensidades Localizadas): Hiperdensidades radiológicas delimitadas por estrutura anatômica, como a grande cissura; Gusman P.B., 2000
  • 44.
    CLASSIFICAÇÃO SEGUNDO A MORFOLOGIA PULMONAR Grupo HD (Hiperdensidades Difusas): Hiperdensidades difusas e não delimitadas por estrutura anatômica; Gusman P.B., 2000
  • 45.
    PRINCÍPIOS DA TCDE TÓRAX Pixel Voxel Unidade de Unidade de Superfície Volume O número de pixels em cada secção é representado por um CT number.
  • 46.
    Distribuição do númerode pixels na escala de Unidades Hounsfield UM VOXEL PODE ESTAR LOCALIZADO EM UMA DAS SEGUINTES ZONAS : AR (%) TECIDO (%) -1000 < UH < -900 Hiperdistendida > 90 < 10 -900 < UH < -500 Normalmente Aerada 90 < x < 50 10 < x < 50 -500 < UH < -100 Pouco Aerada 50 < x < 10 50 < x < 90 -100 < UH < 100 Não-Aerada < 10 > 90 Gusman, P.B. UNESP, 2000.
  • 47.
    ANÁLISE DO GRÁFICODE DENSIDADES VOLUNTÁRIOS SADIOS em CRF (n=11) VOLUME (mL) 400 HIPERINFLAÇÃO NORMALMENTE POBREMENTE NÃO AERADO AERADO AERADO 300 200 100 CRF 0 -1000 -900 -800 -700 -600 -500 -400 -300 -200 -100 0 100 AR UNIDADES HOUNSFIELD (UH) ÁGUA Gusman, P.B. UNESP, 2000.
  • 48.
    ANÁLISE DO GRÁFICODE DENSIDADES de PAC com SARA em CRF HIPERDENSIDADE HIPERDENSIDADE HIPERDENSIDADE LOCALIZADA COMBINADA DIFUSA
  • 49.
    RECRUTAMENTO ALVEOLAR POUCO AERADO -500 HU < Densidade < -100 HU NÃO AERADO -100 HU < Densidade < +100 HU ? AERADO -900 HU < Densidade < -500 HU O recrutamento alveolar é obtido pela diminuição no volume pulmonar entre : -100 UH < densidade < 100 UH
  • 50.
    DISTENSÃO E HIPERDISTENSÃOALVEOLAR AERADO -900 HU < Densidade < -500 HU AERADO -900 HU < Densidade < -500 HU HIPERDISTENSÃO -1000 HU < Densidade < -900 HU A hiperdistensão alveolar é obtida pelo aumento no volume pulmonar entre : -1000 UH < densidade < -900 UH
  • 51.
    ZEEP PEEP 10 cmH2O Aumento na CRF = 652 298 mL Lobos Superiores Lobos Inferiores 491 255 mL 161 154 mL Gusman, P.B. UNESP, 2007.
  • 52.
    Lobos Superiores Lobos Inferiores 491 255 mL 161 154 mL Complacência respiratória total 49 ± 25 mL / cmH2O 16 15 mL / cmH2O
  • 53.
    GRÁFICOS DE DENSIDADESPULMONARES DE PACIENTES COM HIPERDENSIDADE LOCALIZADA EM ZEEP ( ) E PEEP 10 CMH2O ( ) 200 mL mL 300 150 200 100 100 50 0 0 -1000 -750 -500 -250 0 -1000 -750 -500 -250 0 Lobos Superiores Lobos Inferiores
  • 54.
    Hiperdistensão alveolar 40% do pulmão caracterizado por uma densidade radiológica entre -900 e -800 UH em ZEEP tende a sofrer hiperdistensão após a instalação da PEEP de 10 cmH2O Gusman, P.B. UNESP, 2007.
  • 55.
    Hiperdistensão alveolar induzidopela PEEP 10 cmH2O Lobos Superiores Lobos Inferiores 0 HL HC HD HL HC HD
  • 56.
    Recrutamento Alveolar Diminuição no volume não aerado pelo uso da PEEP. ZEEP ZEEP Gattinoni, AJRCCM, 1995 Volume de gás penetrando em áreas pobremente e não aeradas pelo uso da PEEP. Gusman, UNESP 2007 PEEP PEEP Hiperdistensão Alveolar Volume pulmonar caracterizado por atenuações < -900 HU na TC pelo uso da PEEP. Vieira, AJRCCM, 1999
  • 57.
    Considerações A PEEP é pouco eficaz em pacientes com hiperdensidades localizadas e frequentemente associada com hiperdistensão de áreas pulmonares previamente aeradas, particularmente quando uma maior redução no volume pulmonar residual dos lobos inferiores está presente ("atelectasia mecânica").
  • 58.
    Considerações Pacientes com hiperdensidadesdifusas demonstram um recrutamento alveolar marcante com uso da PEEP sem qualquer evidência de hiperdistensão. Evitando-se altas pressões de plateau e hipercapnia
  • 61.
    Laboratório de investigaçãomédica em Pneumologia – LIM 09
  • 66.
    CRF Insuflação total
  • 67.
    Análise de multiplaregressão para variações locais de impendância durante insuflação lenta (standard electrode positioning) quando projetado sobre mudanças sincronizadas nas imagens de TC de tórax.
  • 68.
  • 70.