MONITORIZAÇÃO E CONTROLE
DO PACIENTE NA UTI
Universidade do Estado do Pará
Instituto de Ciências Biológicas e da Saúde
Curso de Fisioterapia
Disciplina Fisioterapia em UTI
Msc. Fábio Falcão
fabiofalcao29@yahoo.com.br
Processo contínuo e diário que envolve três componentes:
Coleta de dados
Análise e interpretação dos dados
Tomada de decisão
Exemplos:
Gasometria: PaO2= 50 mmHg → Hipoxemia → ↑ FiO2, ↑ Peep ou AVA’s.
Raios x: Hipotransparência → Área de atelectasia → Recrutamento
alveolar ou mudança de posição + AVA’s
O que é a monitorização?
Observação geral do paciente
VMI, VMNI, Oxigenioterapia (catetér nasal, macronebulização,
máscara de venturi), TQT, ...
Observação da monitorização cardiopulmonar
FC, PA, FR, SpO2, Parâmetros VM (VT, Fluxo, FR, Peep, Pi)
Coleta de dados
Avaliação física
Escaras, edema, motricidade, etc..
Exames de diagnóstico padrão
Avaliação laboratorial – gasometria, hemograma, escarro, ...
Avaliação radiológica – Rx, TCT, RNM, ...
Coleta de dados
Exige o conhecimento sobre os parâmetros normais e
anormais, incluindo a sua importância em várias
patologias
Deve-se reunir e interpretar os dados referentes à:
Oxigenação;
Ventilação;
Mecânica respiratória
Análise dos dados
É realizada após a coleta e a interpretação correta dos
dados
“ O melhor monitor é o profissional observador
e dedicado”
DONALD F. EAGAN
Tomada de decisões
AVALIAÇÃO GERAL DO PACIENTE
Informam sobre o estado geral do paciente e inclui:
Temperatura corpórea (T)
Frequência cardíaca (FC) ou de pulso
Pressão arterial (PA)
Frequência respiratória (FR)
Saturação de oxigênio arterial (SpO2)
Sinais vitais
1. Temperatura corporal: mensurada pela equipe de enfermagem
(folha de evolução) ou no monitor eletrocardiográfico.
Sinais vitais
Valor de referência: 37°C
↑ temperatura corpórea pode indicar:
Processo infeccioso e, portanto, justificar uma investigação mais ampla:
Cultura e antibiograma de escarro, sangue, ...
Processo não infecioso:
TCE com lesão hipotalâmica
Atelectasia
Falha no controle do aquecimento do umidificador durante a VM
Ajuste elevado da temperatura do umidificador durante a VM
Sinais vitais
Independentemente da causa, o ↑temperatura → ↑
metabolismo celular → ↑ consumo O2 e produção CO2 →
↑ demandas ao coração e aos pulmões → estresse
adicional ao sistema cardiopulmonar do pcte
Sinais vitais
2. FC: Mensurada pela equipe de enfermagem e também observada
no monitor eletrocardiográfico
Sinais vitais
Valor de referência: 70 a 120 bpm
É importante durante:
AVA’s a qual pode causar taquicardia, arritimias
Administração de BD, os quais ↑ a FC
Cinesioterapia, etc ...
Ritmos anormais da FC podem indicar também:
Cardiopatia isquêmica, ICC, Arritimias, etc.
Sinais vitais
3. PAS: Obtida pela equipe de enfermagem e observada no monitor
eletrocardiográfico
Sinais vitais
Valor de referência: 120x80 mmHg
A hipotensão na UTI pode está associada ao choque hipovolêmico, o
que leva frequentemente à má perfusão dos órgãos vitais
Ex: Politraumatismo com perda excessiva de sangue
Exemplos de hipotensão aguda:
Presença de hipovolemia – ex: trauma importante
Falha da bomba cardíaca – ex: IAM
Perda de tônus vascular – ex: Lesão medular
Sinais vitais
Sinais vitais
4. FR: observada no monitor eletrocardiográfico
Valor de referência: 12 a 20 irpm
↑ FR (taquipnéia) ocorre precocemente na IR
Uma causa comum de taquipnéia na UTI é a perda de volume
pulmonar (ex: doença restritiva, atelectasia, etc).
O pcte respira com VT’s menores, sendo necessário um aumento
proporcional da FR para manter uma ventilação adequada.
Ex: Atelectasia, PNTX, DP, SARA, PO toracoabdominal, Dor.
Sinais vitais
Sinais vitais
4. Oximetria (SpO2): observada no monitor eletrocardiográfico
Monitora de forma rápida a saturação arterial de O2
(SpO2) contida na hemácia/hemoglobina
Valor de referência: >92%
É importante durante a AVA’s, a qual pode ocasionar
uma desaturação aguda.
Sinais vitais
Utiliza-se com frequência p/ avaliar:
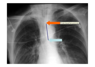
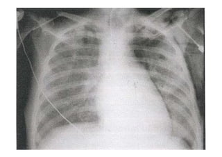
O posicionamento do TOT: 4-6 cm acima da carina;
Se os pulmões estão sendo aerados adequadamente;
Alterações patológicas e diagnóstico de pneumopatias;
Outros.
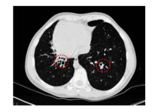
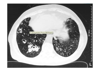
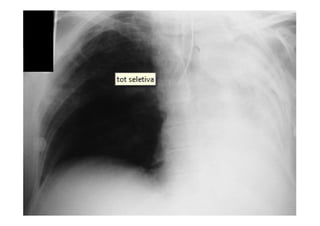
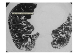
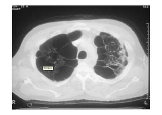
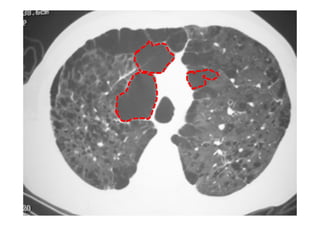
Radiografia e TC de tórax
Radiografia e TC de tórax
Radiografia e TC de tórax
Radiografia e TC de tórax
Avaliação TOT pós intubação:
Movimento simétrico do tórax
Intubação seletiva: Movimento de somente um hemitorax
Ausculta simétrica do murmúrio vesicular
Intubação seletiva: MV ↓ no pulmão contra lateral
Ausência de murmúrio vesicular a nível de estômago
Condensação de gás no tubo durante expiração
Elevação da saturação de O2 em 30 segundos
Posição do TOT
A equipe de enfermagem monitora o equilíbrio líquido do pcte
É feito por meio da avaliação da ingestão e do débito líquido (I/O)
Pctes na UTI que estão recebendo mais água do que eliminando
(I>O) podem desenvolver edema pulmonar e IR
Equilíbrio líquido
1. Introdução:
São dados úteis no controle de pctes sob suporte ventilatório e
inclui informações sobre:
Oxigenação
Ventilação
Monitorização da VM: Troca gasosa
2. Avaliação da oxigenação:
I. Adequação da oxigenação pulmonar:
a) Pressão parcial de oxigênio arterial - PaO2
Conteúdo de O2 dissolvido no plasma.
Normalidade: 60 a 100 mmHg
É obtida por meio da gasometria arterial.
Monitorização da VM: Troca gasosa
b) Saturação da hemoglobina arterial c/ oxigênio - SaO2
Conteúdo de O2 ligado à hemoglobina.
Valor de referência: >92%
Pode ser obtida pela gasometria arterial ou oximetria de pulso.
A oximetria de pulso guarda boa relação com a gasometria
arterial, com erro de 2 a 3%. Porém, quando a SpO2 está abaixo de
75%, o erro passa a ser maior (5 a 12%).
Monitorização da VM: Troca gasosa
II. Eficiência da oxigenação pulmonar:
A qtdade de O2 liberada aos alvéolos pode ser comparada
com a qtdade que realmente entra nos capilares pulmonares
Nem a PaO2 e nem a SpO2 revelam quão eficientes são os
pulmões no intercâmbio de oxigênio
Monitorização da VM: Troca gasosa
a) Índice de oxigenação ou relação PaO2/FiO2
Indicativo de evolução da dça pulmonar
Normal: >350.
LPA: <350
SARA: < 200
Monitorização da VM: Troca gasosa
Caso 01 Caso 02
PaO2 80 150
FiO2 0,21 1
PaO2/FiO2 380 150
Conclusão Normal SARA
Monitorização da VM: Troca gasosa
3. Avaliação da ventilação:
A produção de CO2 arterial (PaCO2) é inversamente proporcional à
ventilação alveolar
↑ Ventilação (hiperventilação) → ↓ PaCO2
↓ Ventilação (hipoventilação) → ↑PaCO2
PaCO2 é “padrão ouro” na avaliação da adequação da ventilação:
Ventilação adequada: PaCO2 acarreta um pH arterial normal
Monitorização da VM: Troca gasosa

Monitorização do paciente na UTI

  • 1.
    MONITORIZAÇÃO E CONTROLE DOPACIENTE NA UTI Universidade do Estado do Pará Instituto de Ciências Biológicas e da Saúde Curso de Fisioterapia Disciplina Fisioterapia em UTI Msc. Fábio Falcão fabiofalcao29@yahoo.com.br
  • 2.
    Processo contínuo ediário que envolve três componentes: Coleta de dados Análise e interpretação dos dados Tomada de decisão Exemplos: Gasometria: PaO2= 50 mmHg → Hipoxemia → ↑ FiO2, ↑ Peep ou AVA’s. Raios x: Hipotransparência → Área de atelectasia → Recrutamento alveolar ou mudança de posição + AVA’s O que é a monitorização?
  • 3.
    Observação geral dopaciente VMI, VMNI, Oxigenioterapia (catetér nasal, macronebulização, máscara de venturi), TQT, ... Observação da monitorização cardiopulmonar FC, PA, FR, SpO2, Parâmetros VM (VT, Fluxo, FR, Peep, Pi) Coleta de dados
  • 4.
    Avaliação física Escaras, edema,motricidade, etc.. Exames de diagnóstico padrão Avaliação laboratorial – gasometria, hemograma, escarro, ... Avaliação radiológica – Rx, TCT, RNM, ... Coleta de dados
  • 12.
    Exige o conhecimentosobre os parâmetros normais e anormais, incluindo a sua importância em várias patologias Deve-se reunir e interpretar os dados referentes à: Oxigenação; Ventilação; Mecânica respiratória Análise dos dados
  • 13.
    É realizada apósa coleta e a interpretação correta dos dados “ O melhor monitor é o profissional observador e dedicado” DONALD F. EAGAN Tomada de decisões
  • 14.
  • 15.
    Informam sobre oestado geral do paciente e inclui: Temperatura corpórea (T) Frequência cardíaca (FC) ou de pulso Pressão arterial (PA) Frequência respiratória (FR) Saturação de oxigênio arterial (SpO2) Sinais vitais
  • 16.
    1. Temperatura corporal:mensurada pela equipe de enfermagem (folha de evolução) ou no monitor eletrocardiográfico. Sinais vitais
  • 17.
    Valor de referência:37°C ↑ temperatura corpórea pode indicar: Processo infeccioso e, portanto, justificar uma investigação mais ampla: Cultura e antibiograma de escarro, sangue, ... Processo não infecioso: TCE com lesão hipotalâmica Atelectasia Falha no controle do aquecimento do umidificador durante a VM Ajuste elevado da temperatura do umidificador durante a VM Sinais vitais
  • 20.
    Independentemente da causa,o ↑temperatura → ↑ metabolismo celular → ↑ consumo O2 e produção CO2 → ↑ demandas ao coração e aos pulmões → estresse adicional ao sistema cardiopulmonar do pcte Sinais vitais
  • 21.
    2. FC: Mensuradapela equipe de enfermagem e também observada no monitor eletrocardiográfico Sinais vitais
  • 22.
    Valor de referência:70 a 120 bpm É importante durante: AVA’s a qual pode causar taquicardia, arritimias Administração de BD, os quais ↑ a FC Cinesioterapia, etc ... Ritmos anormais da FC podem indicar também: Cardiopatia isquêmica, ICC, Arritimias, etc. Sinais vitais
  • 23.
    3. PAS: Obtidapela equipe de enfermagem e observada no monitor eletrocardiográfico Sinais vitais
  • 24.
    Valor de referência:120x80 mmHg A hipotensão na UTI pode está associada ao choque hipovolêmico, o que leva frequentemente à má perfusão dos órgãos vitais Ex: Politraumatismo com perda excessiva de sangue Exemplos de hipotensão aguda: Presença de hipovolemia – ex: trauma importante Falha da bomba cardíaca – ex: IAM Perda de tônus vascular – ex: Lesão medular Sinais vitais
  • 25.
    Sinais vitais 4. FR:observada no monitor eletrocardiográfico
  • 26.
    Valor de referência:12 a 20 irpm ↑ FR (taquipnéia) ocorre precocemente na IR Uma causa comum de taquipnéia na UTI é a perda de volume pulmonar (ex: doença restritiva, atelectasia, etc). O pcte respira com VT’s menores, sendo necessário um aumento proporcional da FR para manter uma ventilação adequada. Ex: Atelectasia, PNTX, DP, SARA, PO toracoabdominal, Dor. Sinais vitais
  • 27.
    Sinais vitais 4. Oximetria(SpO2): observada no monitor eletrocardiográfico
  • 28.
    Monitora de formarápida a saturação arterial de O2 (SpO2) contida na hemácia/hemoglobina Valor de referência: >92% É importante durante a AVA’s, a qual pode ocasionar uma desaturação aguda. Sinais vitais
  • 29.
    Utiliza-se com frequênciap/ avaliar: O posicionamento do TOT: 4-6 cm acima da carina; Se os pulmões estão sendo aerados adequadamente; Alterações patológicas e diagnóstico de pneumopatias; Outros. Radiografia e TC de tórax
  • 32.
  • 33.
  • 34.
  • 38.
    Avaliação TOT pósintubação: Movimento simétrico do tórax Intubação seletiva: Movimento de somente um hemitorax Ausculta simétrica do murmúrio vesicular Intubação seletiva: MV ↓ no pulmão contra lateral Ausência de murmúrio vesicular a nível de estômago Condensação de gás no tubo durante expiração Elevação da saturação de O2 em 30 segundos Posição do TOT
  • 39.
    A equipe deenfermagem monitora o equilíbrio líquido do pcte É feito por meio da avaliação da ingestão e do débito líquido (I/O) Pctes na UTI que estão recebendo mais água do que eliminando (I>O) podem desenvolver edema pulmonar e IR Equilíbrio líquido
  • 40.
    1. Introdução: São dadosúteis no controle de pctes sob suporte ventilatório e inclui informações sobre: Oxigenação Ventilação Monitorização da VM: Troca gasosa
  • 41.
    2. Avaliação daoxigenação: I. Adequação da oxigenação pulmonar: a) Pressão parcial de oxigênio arterial - PaO2 Conteúdo de O2 dissolvido no plasma. Normalidade: 60 a 100 mmHg É obtida por meio da gasometria arterial. Monitorização da VM: Troca gasosa
  • 42.
    b) Saturação dahemoglobina arterial c/ oxigênio - SaO2 Conteúdo de O2 ligado à hemoglobina. Valor de referência: >92% Pode ser obtida pela gasometria arterial ou oximetria de pulso. A oximetria de pulso guarda boa relação com a gasometria arterial, com erro de 2 a 3%. Porém, quando a SpO2 está abaixo de 75%, o erro passa a ser maior (5 a 12%). Monitorização da VM: Troca gasosa
  • 43.
    II. Eficiência daoxigenação pulmonar: A qtdade de O2 liberada aos alvéolos pode ser comparada com a qtdade que realmente entra nos capilares pulmonares Nem a PaO2 e nem a SpO2 revelam quão eficientes são os pulmões no intercâmbio de oxigênio Monitorização da VM: Troca gasosa
  • 44.
    a) Índice deoxigenação ou relação PaO2/FiO2 Indicativo de evolução da dça pulmonar Normal: >350. LPA: <350 SARA: < 200 Monitorização da VM: Troca gasosa
  • 45.
    Caso 01 Caso02 PaO2 80 150 FiO2 0,21 1 PaO2/FiO2 380 150 Conclusão Normal SARA Monitorização da VM: Troca gasosa
  • 46.
    3. Avaliação daventilação: A produção de CO2 arterial (PaCO2) é inversamente proporcional à ventilação alveolar ↑ Ventilação (hiperventilação) → ↓ PaCO2 ↓ Ventilação (hipoventilação) → ↑PaCO2 PaCO2 é “padrão ouro” na avaliação da adequação da ventilação: Ventilação adequada: PaCO2 acarreta um pH arterial normal Monitorização da VM: Troca gasosa