www.traumatologiaeortopedia.com.b
Introdução
 As lesões traumáticas da coluna cervical alta
apresentam características próprias e são distintas das
localizadas entre C3 e C7
 A amplitude dos movimentos importante:
 - 60% da rotação no plano axial
 - 40% da flexoextensão
 - 45% da movimentação global
 Lesões em mais de um nível ocorrem em 5%, procurar
outro foco quando ver uma lesão óbvia
Incidência
 São fraturas bastante raras
 Geralmente associadas a acidentes de alta energia
(acidentes automobilísticos e na pratica de esportes)
 + homem
 2º-3º década de vida
 Sua real incidência ainda não é conhecida, por sua
ocorrência em vitimas fatais de acidentes
automobilísticos
Lesões neurológicas
 São raras (canal x medula)
 Apresentam prognóstico diferente e podem ser
fatais, devido à presença do centro medular da
respiração nesse nível da medula espinha
 Cuidado com o choque neurogênico que cursa com
bradicardia e hipotensão, mas não deve ser infundido
muito líquido pelo risco de edema pulmonar
Sinais e sintomas
 Pacientes conscientes: dores no pescoço, cefaléia, dor à
palpação da nuca
 Avaliação neurológica de acordo com ASIA (americam
spinal injury association) – começando com avaliação
dos pares cranianos
Diagnóstico
 É de extrema importância para o diagnóstico a
presença de lesões na face ou no couro cabeludo
(pp desacordados)
 Mudança no padrão respiratório e pressórico em
politraumatizados
 Radiografias
 TC
 RM para lesões medulares
Radiografias
 Em 3 posições: lateral, anteroposterior e transoral
(oblíquas tem pouco valor no atendimento inicial): 83-
99% de lesões
 Ver inclusive a transição entre a sétima vértebra
cervical e a primeira torácica (tração de mmss ou
posição do nadador)
 Perfil: espaço retrofaríngeo (7mm entre c2 e c3 e 21mm
entre c6-c7), linha espinolaminar e alinhamento
anterior e posterior do corpo e dos processos
espinhosos
www.traumatologiaeortopedia.com.b
 Paciente que mantiver dor, alteração do nível de
consciência ou radiografia inadequada, dev e ser
mantido com colar e transferido para um centro com
tomográfo.
Principais Lesões
1. As fraturas do côndilo occipital
2. Luxação atlanto-occipital,
3. Fratura do Atlas
4. Lesão do ligamento transverso
5. Luxação rotatória atlanto-axial
6. Fratura do processo odontóide
7. Espondilolistese traumática do áxis
Fraturas do Côndilo Occipital
• O osso occipital é composto de 4 partes:
1. A basilar ( anteriormente)
2. Laterais ou condilares
3. Uma escamosa (posteriormente)
• Articulando com os côndilos está a 1º vértebra
cervical (Atlas)
• Fraturas pouco freqüentes e raramente
diagnosticadas (5,4% de pacientes com lesões
cranianas)
• Alto impacto
• Geralmente associadas a outras lesões (*Atlas)
Classificação de Anderson e Montesano
 Tipo I – fraturas
cominutivas
impactadas do côndilo
occipital.
 Estáveis por
impactação
Classificação de Anderson e Montesano
 Tipo II – fraturas
oblíquas desde a base
do crânio até a
superfície condilar
 Mecanismo de
cisalhamento. Instáveis
na maioria das vezes
Classificação de Anderson e Montesano
 Tipo III – fratura por
avulsão de fragmento
ósseo do côndilo
occipital conectado ao
ligamento alar
 Rara
Fraturas do Côndilo Occipital
 O Tratamento:
 Tipos I e II é conservador, por meio de colar ou
órtese cervical durante 12 semanas -> pode
permanecer cefaléia cervicogênica
 Tipo III requerem imobilização mais rígida,
recomendando-se a utilização de halo-gesso ou
gesso tipo Minerva por um período de 12 semanas
 Obs:Indicação a artrodese nos casos de
instabilidade atlanto-occipital -> ex tipo 3 bilateral
 Obs: instabilidade pode ser avaliada durante o
acompanhamento
www.traumatologiaeortopedia.com.b
LUXAÇÃO ATLANTO-OCCIPITAL
 Características Gerais:
 São extremamente raras
 Geralmente letal
 A grande maioria dos pacientes que sobreviveram
com esse tipo de lesão apresentava déficit
neurológico de diferentes graus, desde parada
cardiorrespiratória, até quadros variáveis de
quadriplegia
LUXAÇÃO ATLANTO-OCCIPITAL
 Clinica:
 A dor ao nível da coluna cervical alta ou occipital pode
ser a única manifestação clínica
LUXAÇÃO ATLANTO-OCCIPITAL
 Diagnóstico (RX)
 Incidência é o perfil
 Parâmetro diagnóstico: distância entre a
margem posterior do arco anterior do Atlas e a
margem a margem anterior do dente do Axis.
 > do que 3mm no adulto
 > do que 5 mm na criança
 Rx em perfil em flexão e extensão (no caso de
dúvida)
www.traumatologiaeortopedia.com.b
LUXAÇÃO ATLANTO-OCCIPITAL
 Tratamento:
 A artrodese occipito-cervical, após a redução da lesão
por meio de tração, é o tratamento de escolha devido à
instabilidade desse tipo de lesão.
 Técnica:Após a redução, são feitos o amarrilho
metálico e a artrodese entre os arcos de C1 eC2
LESÃO DO LIGAMENTO TRANSVERSO
 Mecanismo de lesão:
 hiperflexão aguda da coluna cervical, provocada por
queda ou trauma direto sobre o occipital.
LESÃO DO LIGAMENTO TRANSVERSO
 Clínica:
 Relacionada com o grau de deslocamento do atlas
 Nas lesões graves:
 déficit neurológico e desvio visível nas radiografias
 Lesões simples:
 o quadro clínico é discreto, apenas com dor cervical
 sem déficit neurológico
 exames radiográficos são normais
 (Nessa situação o diagnóstico é difícil e o aumento da
sombra do espaço retrofaríngeo na radiografia de
perfil pode ser o único indício da presença da lesão)
LESÃO DO LIGAMENTO TRANSVERSO
 Diagnóstico:
 É realizado por meio de radiografias dinâmicas da
coluna cervical,
 TC ou RMN
 Os valores da distância do espaço atlantodental
anterior acima de 5mm nas crianças e 3mm nos
adultos são indicativos de lesão
LESÃO DO LIGAMENTO TRANSVERSO
 Tratamento:
 As roturas do ligamento (instrassubstancial)
devem ser tratadas por meio da artrodese C1-C2
(ligamento não possui capacidade de cicatrização
capaz de conferir estabilidade ao Atlas )
 Técnicas de artrodese: uso de enxerto comum
 1- Cerclagem (Brooks, Gallie)
 2- Parafusos transarticulares (Magerl)
 3- Parafusos na massa lateral c1 e pedicular c2
(Harms)
 4- translaminares c2 e massa lateral c1 (Wright)
LESÃO DO LIGAMENTO TRANSVERSO
 Tratamento lesões com avulsão de fragmento
ósseo:
 Imobilização com halo-gesso (consolidação em 26%
dos pacientes)
 Caso instabilidade:
 artrodese C1-C2 deve ser efetuada devido à
instabilidade do atlas (C1), que apresenta potencial de
lesão da medula espinha
SUBLUXAÇÃO ROTATÓRIA
 Características:
 Lesão é puramente ligamentar
 Sua característica rotacional é devida à integridade
do ligamento transverso, que permite a rotação do
atlas sobre o processo odontóide
 O diagnóstico difícil
 Sinais clínicos discretos, frequente ausência de
déficit neurológico e dificuldade de obtenção de
bons exames radiográficos
www.traumatologiaeortopedia.com.b
 Frequente na criança, pequena gravidade
 Quadros virais autolimitados
 Adulto -> decorrente de acidentes automobilísticos
 Forte suspeita necessária para diagnóstico
SUBLUXAÇÃO ROTATÓRIA
 Clínica:
1. dor
2. espasmo muscular na região cervical
3. torcicolo nos casos mais graves
 Diagnóstico Radiográfico:
1. AP transoral: assimetria e o apagamento das
articulações entre C1-C2 (wink signal - piscadela).
2. TC: exame de escolha. RM ver lesões ligamentos
Classificação
( Fielding e Hawkins)
1- Desvio rotatório sem
anteriorização de C1
sobre C2
Intervalo atlanto-
odontóide (IAO)
normal
47%
Classificação
( Fielding e Hawkins)
2- Desvio rotatório com
anteriorização de C1
sobre C2 menor que
5mm
Uma massa lateral roda
sobre art
contralateral íntegra
30%
Classificação
( Fielding e Hawkins)
3- Desvio rotatório com
anteriorização de C1
sobre C2 maior que
5mm
Desvio anterior de ambas
as massas laterais
Lesão do ligamento
transverso
Classificação
( Fielding e Hawkins)
 4- Desvio rotatório
com posteriorização de
C1 sobre C2
 Processo odontóide
deficiente
SUBLUXAÇÃO ROTATÓRIA
 Tratamento: infecção -> imobilização p/ melhora
da dor, persistir:
 Redução:
 Através da tração craniana
 Redução manual através da palpação transoral
direta da faceta articular desviada do atlas (C1)
 Após redução: imobilização por meio de halo-
gesso ou gesso minerva durante 12 semanas
 Artrodese C1-C2: está indicada na presença de
instabilidade C1-C2 ou de déficit neurológico (nas
traumáticas).
FRATURAS DO ATLAS
 Características gerais:
 Lesões raras (2-13% ) na coluna cervical
 A associação da fratura do atlas + áxis é muito
freqüente
 Pode ocorrer lesão ou trombose da artéria
vertebral, que deve ser presumida na presença de
sintomas de insuficiência vertebrobasilar (tontura,
vertigem, cefaléia, visão borrada, nistagmo)
concomitantes à fratura do arco posterior do
atlas e processo transverso
 As fraturas ocorrem na região de transição entre a
massa lateral e o arco do atlas (anterior e posterior)
FRATURAS DO ATLAS
 Clínica:
 Os sinais e sintomas são poucos específicos
(afastamento das massas laterais aumentando a área
do canal)
 Sintomas mais comuns dor occipital, cefaléia e rigidez
cervical
 A compressão do nervo occipital (neuralgia occipital,
associada com parestesias do couro cabeludo)
www.traumatologiaeortopedia.com.bwww.traumatologiaeortopedia.com.b
FRATURAS DO ATLAS
 A estabilidade dessas fraturas está relacionada com
a integridade do ligamento transverso
 Critério de Spence:
 Análise da radiografia transoral do paciente antes
do tratamento:
 Fratura instável : quando o afastamento das massas
laterais do atlas em relação ao áxis for maior do
que 6,9mm
 IAO: até 5 mm somente lig transvero; > 5mm tb
dos lig alates
 TC para melhor avaliação
Classificação (Levine)
 A-Fratura isolada da
apófise óssea
Classificação (Levine)
 B-fratura do arco
posterior
Classificação (Levine)
 C-fratura do arco
anterior
Classificação (Levine)
 D- fratura da massa
lateral
Classificação (Levine)
 E- fratura tipo explosão
fratura cominutiva
Classificação de Gehweiler
 tipo I (B): # arc ant (hiperextensão e compressão contra o
processo odontóide -> instáveis )
 tipo II (D): # arco post (hiperextensão com compressão )
 tipo III (C): # arco ant e poster (carga axial )
 tipo IV (E): # massa lateral (rotação ou inclinação
lateral )
 Tipo V: # dos processos transversos
 Competência do ligamento transverso:
 - estáveis: isoladas arco posterior ou anterior com lig
íntegro
 - instáveis: arco anterior com desvio posterior e
explosão com Spencer + -> lesão do lig transverso
FRATURAS DO ATLAS
 Fratura de Jefferson:
 Definição:a fratura ocorre em quatro locais,
bilateralmente no arco anterior e arco posterior
 Mecanismo de Fratura: é oriunda da aplicação de
compressão axial, que é transmitida pelos côndilos
occipitais para o Atlas
FRATURAS DO ATLAS
 Fratura Isolada do Arco Posterior
 Mecanismo de lesão: compressão vertical com
cabeça em extensão
 Lesões associadas:
1. Fraturas tipo I ou II do processo odontóide
2. Espondilolistese traumática do áxis
3. Fratura do côndilo occipital devido ao
mecanismo comum de produção do trauma
dessas lesões, que é a hiperextensão (associação
observada em 50% dos pacientes)
FRATURAS DO ATLAS
 Tratamento
 Fraturas estáveis:
 Órtese cervical por um período de 12 semanas ou
tração, halo-gesso ou halo-colete
 Explosão com afastamento das massas laterais <
5,7mm pode ser conservador
 Preservação da amplitude de movimento (50% da
rotação ocorre entre c1-c2)
 Consolidação e resultados são bons
 Fraturas instáveis:
 Afastamento entre das massa do Atlas > 7 mm sugerem
lesão do ligamento tranverso
 Tração com halo por um período de 4 a 6 semanas (para se
criar um calo inicial) seguida de imobilização com halo-
gesso por um período adicional de 1 a 2 meses
 Artrodese c1-c2, occipito-c2
 Amarrilho não é indicado quando tem lesão do arco
posterior
 Parafusos transarticulares tem aproximadamente 100% de
sucesso, sem necessitar de integridade do arco psoterior
FRATURAS DO PROCESSO ODONTÓIDE
 Características gerais:
 As fraturas do processo odontóide representam 7% a
15% as fraturas da coluna cervical .
 A conduta terapêutica frente a essas fraturas
dependem da idade( criança, do adulto jovem e
idosos)
 Pode ocorrer desvios ou não
 # cervical mais comum > 70 anos (baixa energia)
 Lesões radiculares: nervo occipital maior C2
FRATURAS DO PROCESSO ODONTÓIDE
 Mecanismo de fratura:
 Acredita-se que sejam por forças de cisalhamento
 Se houver componente de hiperflexão: desvio anterior,
quando existirá também deslocamento anterior do
Atlas ( lesão denominada fratura –luxação C1-C2)
 Se o componente for Hiperextensão: desvio posterior
 2-27% de lesões neurológicas
www.traumatologiaeortopedia.com.b
FRATURAS DO PROCESSO ODONTÓIDE
 Diagnóstico :
 Radiografias simples: (AP transoral e Perfil) é
suficiente para o diag, de 94% dos pacientes.
 TC: com reconstruções no plano sagital e coronal
permite a análise da fratura e o diagnóstico das lesões
associadas como, por exemplo, a fratura do arco
do atlas, que é a mais comum.
FRATURAS DO PROCESSO ODONTÓIDE
 Clínica:
 Queixas inespecíficas
 Sintomas e sinais: dor occipital ou suboccipital,
associada com espasmo muscular e diminuição dos
movimentos da coluna cervical,
 Suspeitar da fratura quando houver ferimentos ou
traumatismos da face ou couro cabeludo, bem
como nos com baixo grau de consciência
FRATURAS DO PROCESSO ODONTÓIDE
 Classificação (Anderson e D’Alonzo)
 Tipo I – fratura oblíqua através da parte próxima do
processo odontóide.
 Tipo II – fratura na junção do processo odontóide com
o corpo do áxis.
 Tipo III – fratura através do osso esponjoso do corpo do
áxis.
FRATURAS DO PROCESSO ODONTÓIDE
 Tipo I:
 São raras
 Consideradas com provável avulsão da inserção do
ligamento alar
 São fraturas estáveis (acima do lig transverso)
 Estas fraturas podem estar associadas com a
luxação atlanto occipital e deve-se avaliar a
estabilidade da articulação atlanto-occipital (se
houver esta associação deve-se fazer a artrodese
occipito-cervical)
FRATURAS DO PROCESSO ODONTÓIDE
 Tipo II:
 São mais freqüentes
 Possuem tendência a instabilidade e não
consolidação (região < vascularização)
 Altas percentagens de pseudoartrose quando tto
conservador
 Localização: na região mais delgada do processo
odontóide (distalmente área coberta pelo
ligamento transversal e acima do corpo do áxis)
FRATURAS DO PROCESSO ODONTÓIDE
 Tipo III:
 São mais estáveis
 Apresentam melhor prognóstico de consolidação
devido à maior superfície de osso esponjoso do áxis
envolvido na área da fratura a cada paciente.
FRATURAS DO PROCESSO ODONTÓIDE
 Critérios de estabilidade:
 Fratura estável: impactada e sem desvio
 Fratura instável: fraturas desviadas no Rx
convencionais ou nas radiografias dinâmicas
FRATURAS DO PROCESSO ODONTÓIDE
 Tipo I:
 Colar cervical por um período de seis a oito semanas.
 Se associação com luxação atlanto-occipital a artrodese
occipito-cervical
 Após a consolidação da fratura, a estabilidade deve ser
avaliada por meio de radiografias dinâmicas antes da
liberação do paciente
FRATURAS DO PROCESSO ODONTÓIDE
 Tipo II:
 Taxas de não consolidação com tto conservador 6-63%
 Fatores relacionados com a não consolidação:
1. Desvio inicial > 5 mm
2. Angulação > 10º
3. Desvio em 2 planos
4. Diástase dos fragmentos
5. Idade acima de 40 anos
6. Imobilização insuficiente
7. Diagnóstico tardio
www.traumatologiaeortopedia.com.b
FRATURAS DO PROCESSO ODONTÓIDE
 Técnicas de tto:
 Imobilização com Halo-gesso por 12 semanas
 Fixação com parafuso intrafragmentar
 Artrodese posterior C1-C2
 Osteossíntese pela via anterior (mais anatômica)
 - não indicada nas fraturas irredutíveis por métodos
fechados e lesões crônicas
 - idosos com osteoporose e fraturas patológicas tb é
contraindicada
 No intuito de guiar a indicação da técnica, Grauer:
 IIA: fratura sem desvio
 IIB: fratura com desvio que corre de anterossuperior
para posterosuperior ou uma fratura transversa
(favorável a via anterior)
 IIC: anteroinferior para posterossuperior ou que
apresenta cominuição significativa -> não pode ser
tratada satisfatoriamente com osteossíntese
FRATURAS DO PROCESSO ODONTÓIDE
 Tipo III:
 Índice de não consolidação de 10-15%
 A fraturas com desvio devem ser reduzidas por
meio da aplicação do halo craniano e, em
analogia com as fraturas do tipo II
 Tratamento conservador: utilização de halo-
gesso ou órtese rígida (maior parte)
 Tratamento cirúrgico:
1. osteossíntese do processo odontóide (parafuso)
2. artrodese C1-C2.
ESPONDILOLISTESE TRAUMÁTICA DO ÁXIS
 Definição:
 É caracterizada pela fratura bilateral dos pedículos do
áxis (C2) e foi denominada de fratura do enforcado
/carrasco (hangman’s fracture) por Schneider.
 Segunda # mais frequente de C2 (38%)
 Fratura do pedículo com listese do corpo em relação a
C3
Mecanismo
 Fratura do enforcado: hiperextensão + tração
axial + distração (+ típico e rara nos dias de
hoje)
 Compressão axial + hiperextensão (+ comum)
 Hiperextensão seguida de hiperflexão (chicote):
 Lesão das cápsulas articulares de C2 e C3
 Hiperflexão seguida de hiperextensão
 Luxação facetária C2 – C3 + fratura do pedículo do axis
(< canal vertebral , > risco de lesão neurológica)
ESPONDILOLISTESE TRAUMÁTICA DO ÁXIS
 Fratura do enforcado? -> mais comum por acidente
automobilístico - mergulho em águas rasas
 Lesão neurológica em aproximadamente 6-16%
 O alargamento do canal vertebral que ocorre nessa
fratura produz um efeito de descompressão aguda
 Procurar lesões associadas, pp nas 3 vértebras
cervicais proximais
ESPONDILOLISTESE TRAUMÁTICA DO ÁXIS
 Diagnóstico:
 Radiografias de perfil
 Parâmetros para classificação:
 O grau de desvio (translação ou angulação) do
fragmento anterior e a relação das superfícies
articulares entre C2-C3 como parâmetros
Classificação de Levine e Edwards (1985)
 Tipo I – fratura sem
desvio ou angulação e
desvio translacional
menor que 3mm
 Disco entre c2 e c3 é
normal e estável
Classificação de Levine e Edwards (1985)
 Tipo II – fratura com
desvio translacional ou
angular importante.
Classificação de Levine e Edwards (1985)
 Tipo IIa – fratura com
pequeno desvio
translacional e grande
angulação, que apresenta
aumento do espaço
discal posterior entre C2-
C3 com a aplicação da
tração.
Classificação de Levine e Edwards (1985)
 Tipo III – fratura com
grande desvio
translacional e angular,
associada com luxação
uni ou bilateral das
facetas articulares C2-
C3.
ESPONDILOLISTESE TRAUMÁTICA DO ÁXIS
 Fraturas do tipo IIa e III:
 Mecanismo de fratura de flexão é predominante
 II: # compressão de c3; disco e ligamento longitudinal
posterior são lesados
 IIa: mecanismo de flexão e distração para as fraturas
do tipo IIa -> deformidade cifótica, com abertura
entre o espaço de c2-c3, sendo o lig longitudinal
anterior é muitas vezes a única estrutura intacta
 III: mecanismo flexão-compressão
ESPONDILOLISTESE TRAUMÁTICA DO ÁXIS
 Fratura é instável:
 A translação acima de 3,5mm
 A angulação superior a 11º
 Instáveis ou irredutíveis -> cirurgia
 Artrodese anterior entre corpos de c2 e c3
 Discectomia e utilização de uma placa fornecem um
bom resultado e preservam o movimento entre c1 e
c2
ESPONDILOLISTESE TRAUMÁTICA DO ÁXIS
 Relativamente benignas pois raramente
acometem o SNP
 Boa evolução com tto conservador
 A redução anatômica não é necessária
para um bom tto
 Não consolidação é muito rara (5% dos
casos)
ESPONDILOLISTESE TRAUMÁTICA DO ÁXIS
 Tratamento:
 Tipo I (estável): órteses cervicais rígidas (Filadélfia),
halo-gesso, halo-vest ou gesso minerva por um período
de 12 semanas
 Não apresenta lesão discoligamentar entre c2 e c3.
 Hiperextensão e carga axial
ESPONDILOLISTESE TRAUMÁTICA DO ÁXIS
 Tratamento Tipo II
 Redução:
 é geralmente obtida por meio da aplicação de
tração
 é adequada quando (desvio anterior menor que
4mm-5mm ou angulação menor que 10º-15º)
 Imobilização:
 halo-gesso por um período de 12 semanas
 Tto: cirúrgico (eliminar a utilização de
imobilização externa por longos períodos e
proporcionar maior conforto aos pacientes )
ESPONDILOLISTESE TRAUMÁTICA DO ÁXIS
 Tratamento:Fraturas do tipo IIa
 Apresentam aumento da parte posterior do espaço discal
entre C2-C3 após a aplicação de tração (piora)
 Redução: é obtida pela remoção da tração e aplicação de
pequena compressão e extensão, pois o provável
mecanismo da lesão dessas fraturas é a flexão-distração.
 Tto:
 Conservador: halo-gesso por um período de 12 semanas
 Cirúrgico: artrodese anterior C2-C3 ou fixação
transpedicular de C2, como nas fraturas do tipo II .
ESPONDILOLISTESE TRAUMÁTICA DO ÁXIS
 Tratamento Tipo III
 Instável
 Indicação de tto cirúrgico:
 Por redução das facetas articulares e sua estabilização
por meio da artrodese.
 - artrodese posterior c1-c3
 - artrodese posterior c2-c3
 - abordagem anterior c2-c3
www.traumatologiaeortopedia.com.b

Lesões traumáticas da coluna cervical alta

  • 1.
  • 2.
    Introdução  As lesõestraumáticas da coluna cervical alta apresentam características próprias e são distintas das localizadas entre C3 e C7  A amplitude dos movimentos importante:  - 60% da rotação no plano axial  - 40% da flexoextensão  - 45% da movimentação global  Lesões em mais de um nível ocorrem em 5%, procurar outro foco quando ver uma lesão óbvia
  • 3.
    Incidência  São fraturasbastante raras  Geralmente associadas a acidentes de alta energia (acidentes automobilísticos e na pratica de esportes)  + homem  2º-3º década de vida  Sua real incidência ainda não é conhecida, por sua ocorrência em vitimas fatais de acidentes automobilísticos
  • 4.
    Lesões neurológicas  Sãoraras (canal x medula)  Apresentam prognóstico diferente e podem ser fatais, devido à presença do centro medular da respiração nesse nível da medula espinha  Cuidado com o choque neurogênico que cursa com bradicardia e hipotensão, mas não deve ser infundido muito líquido pelo risco de edema pulmonar
  • 5.
    Sinais e sintomas Pacientes conscientes: dores no pescoço, cefaléia, dor à palpação da nuca  Avaliação neurológica de acordo com ASIA (americam spinal injury association) – começando com avaliação dos pares cranianos
  • 6.
    Diagnóstico  É deextrema importância para o diagnóstico a presença de lesões na face ou no couro cabeludo (pp desacordados)  Mudança no padrão respiratório e pressórico em politraumatizados  Radiografias  TC  RM para lesões medulares
  • 7.
    Radiografias  Em 3posições: lateral, anteroposterior e transoral (oblíquas tem pouco valor no atendimento inicial): 83- 99% de lesões  Ver inclusive a transição entre a sétima vértebra cervical e a primeira torácica (tração de mmss ou posição do nadador)  Perfil: espaço retrofaríngeo (7mm entre c2 e c3 e 21mm entre c6-c7), linha espinolaminar e alinhamento anterior e posterior do corpo e dos processos espinhosos www.traumatologiaeortopedia.com.b
  • 10.
     Paciente quemantiver dor, alteração do nível de consciência ou radiografia inadequada, dev e ser mantido com colar e transferido para um centro com tomográfo.
  • 11.
    Principais Lesões 1. Asfraturas do côndilo occipital 2. Luxação atlanto-occipital, 3. Fratura do Atlas 4. Lesão do ligamento transverso 5. Luxação rotatória atlanto-axial 6. Fratura do processo odontóide 7. Espondilolistese traumática do áxis
  • 12.
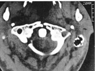
    Fraturas do CôndiloOccipital • O osso occipital é composto de 4 partes: 1. A basilar ( anteriormente) 2. Laterais ou condilares 3. Uma escamosa (posteriormente) • Articulando com os côndilos está a 1º vértebra cervical (Atlas) • Fraturas pouco freqüentes e raramente diagnosticadas (5,4% de pacientes com lesões cranianas) • Alto impacto • Geralmente associadas a outras lesões (*Atlas)
  • 13.
    Classificação de Andersone Montesano  Tipo I – fraturas cominutivas impactadas do côndilo occipital.  Estáveis por impactação
  • 14.
    Classificação de Andersone Montesano  Tipo II – fraturas oblíquas desde a base do crânio até a superfície condilar  Mecanismo de cisalhamento. Instáveis na maioria das vezes
  • 15.
    Classificação de Andersone Montesano  Tipo III – fratura por avulsão de fragmento ósseo do côndilo occipital conectado ao ligamento alar  Rara
  • 17.
    Fraturas do CôndiloOccipital  O Tratamento:  Tipos I e II é conservador, por meio de colar ou órtese cervical durante 12 semanas -> pode permanecer cefaléia cervicogênica  Tipo III requerem imobilização mais rígida, recomendando-se a utilização de halo-gesso ou gesso tipo Minerva por um período de 12 semanas  Obs:Indicação a artrodese nos casos de instabilidade atlanto-occipital -> ex tipo 3 bilateral  Obs: instabilidade pode ser avaliada durante o acompanhamento
  • 18.
  • 21.
    LUXAÇÃO ATLANTO-OCCIPITAL  CaracterísticasGerais:  São extremamente raras  Geralmente letal  A grande maioria dos pacientes que sobreviveram com esse tipo de lesão apresentava déficit neurológico de diferentes graus, desde parada cardiorrespiratória, até quadros variáveis de quadriplegia
  • 22.
    LUXAÇÃO ATLANTO-OCCIPITAL  Clinica: A dor ao nível da coluna cervical alta ou occipital pode ser a única manifestação clínica
  • 23.
    LUXAÇÃO ATLANTO-OCCIPITAL  Diagnóstico(RX)  Incidência é o perfil  Parâmetro diagnóstico: distância entre a margem posterior do arco anterior do Atlas e a margem a margem anterior do dente do Axis.  > do que 3mm no adulto  > do que 5 mm na criança  Rx em perfil em flexão e extensão (no caso de dúvida) www.traumatologiaeortopedia.com.b
  • 24.
    LUXAÇÃO ATLANTO-OCCIPITAL  Tratamento: A artrodese occipito-cervical, após a redução da lesão por meio de tração, é o tratamento de escolha devido à instabilidade desse tipo de lesão.  Técnica:Após a redução, são feitos o amarrilho metálico e a artrodese entre os arcos de C1 eC2
  • 25.
    LESÃO DO LIGAMENTOTRANSVERSO  Mecanismo de lesão:  hiperflexão aguda da coluna cervical, provocada por queda ou trauma direto sobre o occipital.
  • 26.
    LESÃO DO LIGAMENTOTRANSVERSO  Clínica:  Relacionada com o grau de deslocamento do atlas  Nas lesões graves:  déficit neurológico e desvio visível nas radiografias  Lesões simples:  o quadro clínico é discreto, apenas com dor cervical  sem déficit neurológico  exames radiográficos são normais  (Nessa situação o diagnóstico é difícil e o aumento da sombra do espaço retrofaríngeo na radiografia de perfil pode ser o único indício da presença da lesão)
  • 27.
    LESÃO DO LIGAMENTOTRANSVERSO  Diagnóstico:  É realizado por meio de radiografias dinâmicas da coluna cervical,  TC ou RMN  Os valores da distância do espaço atlantodental anterior acima de 5mm nas crianças e 3mm nos adultos são indicativos de lesão
  • 28.
    LESÃO DO LIGAMENTOTRANSVERSO  Tratamento:  As roturas do ligamento (instrassubstancial) devem ser tratadas por meio da artrodese C1-C2 (ligamento não possui capacidade de cicatrização capaz de conferir estabilidade ao Atlas )  Técnicas de artrodese: uso de enxerto comum  1- Cerclagem (Brooks, Gallie)  2- Parafusos transarticulares (Magerl)  3- Parafusos na massa lateral c1 e pedicular c2 (Harms)  4- translaminares c2 e massa lateral c1 (Wright)
  • 30.
    LESÃO DO LIGAMENTOTRANSVERSO  Tratamento lesões com avulsão de fragmento ósseo:  Imobilização com halo-gesso (consolidação em 26% dos pacientes)  Caso instabilidade:  artrodese C1-C2 deve ser efetuada devido à instabilidade do atlas (C1), que apresenta potencial de lesão da medula espinha
  • 31.
    SUBLUXAÇÃO ROTATÓRIA  Características: Lesão é puramente ligamentar  Sua característica rotacional é devida à integridade do ligamento transverso, que permite a rotação do atlas sobre o processo odontóide  O diagnóstico difícil  Sinais clínicos discretos, frequente ausência de déficit neurológico e dificuldade de obtenção de bons exames radiográficos www.traumatologiaeortopedia.com.b
  • 32.
     Frequente nacriança, pequena gravidade  Quadros virais autolimitados  Adulto -> decorrente de acidentes automobilísticos  Forte suspeita necessária para diagnóstico
  • 33.
    SUBLUXAÇÃO ROTATÓRIA  Clínica: 1.dor 2. espasmo muscular na região cervical 3. torcicolo nos casos mais graves  Diagnóstico Radiográfico: 1. AP transoral: assimetria e o apagamento das articulações entre C1-C2 (wink signal - piscadela). 2. TC: exame de escolha. RM ver lesões ligamentos
  • 34.
    Classificação ( Fielding eHawkins) 1- Desvio rotatório sem anteriorização de C1 sobre C2 Intervalo atlanto- odontóide (IAO) normal 47%
  • 35.
    Classificação ( Fielding eHawkins) 2- Desvio rotatório com anteriorização de C1 sobre C2 menor que 5mm Uma massa lateral roda sobre art contralateral íntegra 30%
  • 36.
    Classificação ( Fielding eHawkins) 3- Desvio rotatório com anteriorização de C1 sobre C2 maior que 5mm Desvio anterior de ambas as massas laterais Lesão do ligamento transverso
  • 37.
    Classificação ( Fielding eHawkins)  4- Desvio rotatório com posteriorização de C1 sobre C2  Processo odontóide deficiente
  • 38.
    SUBLUXAÇÃO ROTATÓRIA  Tratamento:infecção -> imobilização p/ melhora da dor, persistir:  Redução:  Através da tração craniana  Redução manual através da palpação transoral direta da faceta articular desviada do atlas (C1)  Após redução: imobilização por meio de halo- gesso ou gesso minerva durante 12 semanas  Artrodese C1-C2: está indicada na presença de instabilidade C1-C2 ou de déficit neurológico (nas traumáticas).
  • 39.
    FRATURAS DO ATLAS Características gerais:  Lesões raras (2-13% ) na coluna cervical  A associação da fratura do atlas + áxis é muito freqüente  Pode ocorrer lesão ou trombose da artéria vertebral, que deve ser presumida na presença de sintomas de insuficiência vertebrobasilar (tontura, vertigem, cefaléia, visão borrada, nistagmo) concomitantes à fratura do arco posterior do atlas e processo transverso  As fraturas ocorrem na região de transição entre a massa lateral e o arco do atlas (anterior e posterior)
  • 40.
    FRATURAS DO ATLAS Clínica:  Os sinais e sintomas são poucos específicos (afastamento das massas laterais aumentando a área do canal)  Sintomas mais comuns dor occipital, cefaléia e rigidez cervical  A compressão do nervo occipital (neuralgia occipital, associada com parestesias do couro cabeludo) www.traumatologiaeortopedia.com.bwww.traumatologiaeortopedia.com.b
  • 41.
    FRATURAS DO ATLAS A estabilidade dessas fraturas está relacionada com a integridade do ligamento transverso  Critério de Spence:  Análise da radiografia transoral do paciente antes do tratamento:  Fratura instável : quando o afastamento das massas laterais do atlas em relação ao áxis for maior do que 6,9mm  IAO: até 5 mm somente lig transvero; > 5mm tb dos lig alates  TC para melhor avaliação
  • 43.
    Classificação (Levine)  A-Fraturaisolada da apófise óssea
  • 44.
  • 45.
  • 46.
    Classificação (Levine)  D-fratura da massa lateral
  • 47.
    Classificação (Levine)  E-fratura tipo explosão fratura cominutiva
  • 48.
    Classificação de Gehweiler tipo I (B): # arc ant (hiperextensão e compressão contra o processo odontóide -> instáveis )  tipo II (D): # arco post (hiperextensão com compressão )  tipo III (C): # arco ant e poster (carga axial )  tipo IV (E): # massa lateral (rotação ou inclinação lateral )  Tipo V: # dos processos transversos  Competência do ligamento transverso:  - estáveis: isoladas arco posterior ou anterior com lig íntegro  - instáveis: arco anterior com desvio posterior e explosão com Spencer + -> lesão do lig transverso
  • 50.
    FRATURAS DO ATLAS Fratura de Jefferson:  Definição:a fratura ocorre em quatro locais, bilateralmente no arco anterior e arco posterior  Mecanismo de Fratura: é oriunda da aplicação de compressão axial, que é transmitida pelos côndilos occipitais para o Atlas
  • 52.
    FRATURAS DO ATLAS Fratura Isolada do Arco Posterior  Mecanismo de lesão: compressão vertical com cabeça em extensão  Lesões associadas: 1. Fraturas tipo I ou II do processo odontóide 2. Espondilolistese traumática do áxis 3. Fratura do côndilo occipital devido ao mecanismo comum de produção do trauma dessas lesões, que é a hiperextensão (associação observada em 50% dos pacientes)
  • 54.
    FRATURAS DO ATLAS Tratamento  Fraturas estáveis:  Órtese cervical por um período de 12 semanas ou tração, halo-gesso ou halo-colete  Explosão com afastamento das massas laterais < 5,7mm pode ser conservador  Preservação da amplitude de movimento (50% da rotação ocorre entre c1-c2)  Consolidação e resultados são bons
  • 55.
     Fraturas instáveis: Afastamento entre das massa do Atlas > 7 mm sugerem lesão do ligamento tranverso  Tração com halo por um período de 4 a 6 semanas (para se criar um calo inicial) seguida de imobilização com halo- gesso por um período adicional de 1 a 2 meses  Artrodese c1-c2, occipito-c2  Amarrilho não é indicado quando tem lesão do arco posterior  Parafusos transarticulares tem aproximadamente 100% de sucesso, sem necessitar de integridade do arco psoterior
  • 56.
    FRATURAS DO PROCESSOODONTÓIDE  Características gerais:  As fraturas do processo odontóide representam 7% a 15% as fraturas da coluna cervical .  A conduta terapêutica frente a essas fraturas dependem da idade( criança, do adulto jovem e idosos)  Pode ocorrer desvios ou não  # cervical mais comum > 70 anos (baixa energia)  Lesões radiculares: nervo occipital maior C2
  • 57.
    FRATURAS DO PROCESSOODONTÓIDE  Mecanismo de fratura:  Acredita-se que sejam por forças de cisalhamento  Se houver componente de hiperflexão: desvio anterior, quando existirá também deslocamento anterior do Atlas ( lesão denominada fratura –luxação C1-C2)  Se o componente for Hiperextensão: desvio posterior  2-27% de lesões neurológicas www.traumatologiaeortopedia.com.b
  • 58.
    FRATURAS DO PROCESSOODONTÓIDE  Diagnóstico :  Radiografias simples: (AP transoral e Perfil) é suficiente para o diag, de 94% dos pacientes.  TC: com reconstruções no plano sagital e coronal permite a análise da fratura e o diagnóstico das lesões associadas como, por exemplo, a fratura do arco do atlas, que é a mais comum.
  • 59.
    FRATURAS DO PROCESSOODONTÓIDE  Clínica:  Queixas inespecíficas  Sintomas e sinais: dor occipital ou suboccipital, associada com espasmo muscular e diminuição dos movimentos da coluna cervical,  Suspeitar da fratura quando houver ferimentos ou traumatismos da face ou couro cabeludo, bem como nos com baixo grau de consciência
  • 60.
    FRATURAS DO PROCESSOODONTÓIDE  Classificação (Anderson e D’Alonzo)  Tipo I – fratura oblíqua através da parte próxima do processo odontóide.  Tipo II – fratura na junção do processo odontóide com o corpo do áxis.  Tipo III – fratura através do osso esponjoso do corpo do áxis.
  • 62.
    FRATURAS DO PROCESSOODONTÓIDE  Tipo I:  São raras  Consideradas com provável avulsão da inserção do ligamento alar  São fraturas estáveis (acima do lig transverso)  Estas fraturas podem estar associadas com a luxação atlanto occipital e deve-se avaliar a estabilidade da articulação atlanto-occipital (se houver esta associação deve-se fazer a artrodese occipito-cervical)
  • 63.
    FRATURAS DO PROCESSOODONTÓIDE  Tipo II:  São mais freqüentes  Possuem tendência a instabilidade e não consolidação (região < vascularização)  Altas percentagens de pseudoartrose quando tto conservador  Localização: na região mais delgada do processo odontóide (distalmente área coberta pelo ligamento transversal e acima do corpo do áxis)
  • 64.
    FRATURAS DO PROCESSOODONTÓIDE  Tipo III:  São mais estáveis  Apresentam melhor prognóstico de consolidação devido à maior superfície de osso esponjoso do áxis envolvido na área da fratura a cada paciente.
  • 65.
    FRATURAS DO PROCESSOODONTÓIDE  Critérios de estabilidade:  Fratura estável: impactada e sem desvio  Fratura instável: fraturas desviadas no Rx convencionais ou nas radiografias dinâmicas
  • 66.
    FRATURAS DO PROCESSOODONTÓIDE  Tipo I:  Colar cervical por um período de seis a oito semanas.  Se associação com luxação atlanto-occipital a artrodese occipito-cervical  Após a consolidação da fratura, a estabilidade deve ser avaliada por meio de radiografias dinâmicas antes da liberação do paciente
  • 67.
    FRATURAS DO PROCESSOODONTÓIDE  Tipo II:  Taxas de não consolidação com tto conservador 6-63%  Fatores relacionados com a não consolidação: 1. Desvio inicial > 5 mm 2. Angulação > 10º 3. Desvio em 2 planos 4. Diástase dos fragmentos 5. Idade acima de 40 anos 6. Imobilização insuficiente 7. Diagnóstico tardio www.traumatologiaeortopedia.com.b
  • 68.
    FRATURAS DO PROCESSOODONTÓIDE  Técnicas de tto:  Imobilização com Halo-gesso por 12 semanas  Fixação com parafuso intrafragmentar  Artrodese posterior C1-C2
  • 69.
     Osteossíntese pelavia anterior (mais anatômica)  - não indicada nas fraturas irredutíveis por métodos fechados e lesões crônicas  - idosos com osteoporose e fraturas patológicas tb é contraindicada  No intuito de guiar a indicação da técnica, Grauer:
  • 70.
     IIA: fraturasem desvio  IIB: fratura com desvio que corre de anterossuperior para posterosuperior ou uma fratura transversa (favorável a via anterior)  IIC: anteroinferior para posterossuperior ou que apresenta cominuição significativa -> não pode ser tratada satisfatoriamente com osteossíntese
  • 71.
    FRATURAS DO PROCESSOODONTÓIDE  Tipo III:  Índice de não consolidação de 10-15%  A fraturas com desvio devem ser reduzidas por meio da aplicação do halo craniano e, em analogia com as fraturas do tipo II  Tratamento conservador: utilização de halo- gesso ou órtese rígida (maior parte)  Tratamento cirúrgico: 1. osteossíntese do processo odontóide (parafuso) 2. artrodese C1-C2.
  • 75.
    ESPONDILOLISTESE TRAUMÁTICA DOÁXIS  Definição:  É caracterizada pela fratura bilateral dos pedículos do áxis (C2) e foi denominada de fratura do enforcado /carrasco (hangman’s fracture) por Schneider.  Segunda # mais frequente de C2 (38%)  Fratura do pedículo com listese do corpo em relação a C3
  • 76.
    Mecanismo  Fratura doenforcado: hiperextensão + tração axial + distração (+ típico e rara nos dias de hoje)  Compressão axial + hiperextensão (+ comum)  Hiperextensão seguida de hiperflexão (chicote):  Lesão das cápsulas articulares de C2 e C3  Hiperflexão seguida de hiperextensão  Luxação facetária C2 – C3 + fratura do pedículo do axis (< canal vertebral , > risco de lesão neurológica)
  • 77.
    ESPONDILOLISTESE TRAUMÁTICA DOÁXIS  Fratura do enforcado? -> mais comum por acidente automobilístico - mergulho em águas rasas  Lesão neurológica em aproximadamente 6-16%  O alargamento do canal vertebral que ocorre nessa fratura produz um efeito de descompressão aguda  Procurar lesões associadas, pp nas 3 vértebras cervicais proximais
  • 78.
    ESPONDILOLISTESE TRAUMÁTICA DOÁXIS  Diagnóstico:  Radiografias de perfil  Parâmetros para classificação:  O grau de desvio (translação ou angulação) do fragmento anterior e a relação das superfícies articulares entre C2-C3 como parâmetros
  • 79.
    Classificação de Levinee Edwards (1985)  Tipo I – fratura sem desvio ou angulação e desvio translacional menor que 3mm  Disco entre c2 e c3 é normal e estável
  • 80.
    Classificação de Levinee Edwards (1985)  Tipo II – fratura com desvio translacional ou angular importante.
  • 81.
    Classificação de Levinee Edwards (1985)  Tipo IIa – fratura com pequeno desvio translacional e grande angulação, que apresenta aumento do espaço discal posterior entre C2- C3 com a aplicação da tração.
  • 82.
    Classificação de Levinee Edwards (1985)  Tipo III – fratura com grande desvio translacional e angular, associada com luxação uni ou bilateral das facetas articulares C2- C3.
  • 83.
    ESPONDILOLISTESE TRAUMÁTICA DOÁXIS  Fraturas do tipo IIa e III:  Mecanismo de fratura de flexão é predominante  II: # compressão de c3; disco e ligamento longitudinal posterior são lesados  IIa: mecanismo de flexão e distração para as fraturas do tipo IIa -> deformidade cifótica, com abertura entre o espaço de c2-c3, sendo o lig longitudinal anterior é muitas vezes a única estrutura intacta  III: mecanismo flexão-compressão
  • 84.
    ESPONDILOLISTESE TRAUMÁTICA DOÁXIS  Fratura é instável:  A translação acima de 3,5mm  A angulação superior a 11º  Instáveis ou irredutíveis -> cirurgia  Artrodese anterior entre corpos de c2 e c3  Discectomia e utilização de uma placa fornecem um bom resultado e preservam o movimento entre c1 e c2
  • 85.
    ESPONDILOLISTESE TRAUMÁTICA DOÁXIS  Relativamente benignas pois raramente acometem o SNP  Boa evolução com tto conservador  A redução anatômica não é necessária para um bom tto  Não consolidação é muito rara (5% dos casos)
  • 86.
    ESPONDILOLISTESE TRAUMÁTICA DOÁXIS  Tratamento:  Tipo I (estável): órteses cervicais rígidas (Filadélfia), halo-gesso, halo-vest ou gesso minerva por um período de 12 semanas  Não apresenta lesão discoligamentar entre c2 e c3.  Hiperextensão e carga axial
  • 87.
    ESPONDILOLISTESE TRAUMÁTICA DOÁXIS  Tratamento Tipo II  Redução:  é geralmente obtida por meio da aplicação de tração  é adequada quando (desvio anterior menor que 4mm-5mm ou angulação menor que 10º-15º)  Imobilização:  halo-gesso por um período de 12 semanas  Tto: cirúrgico (eliminar a utilização de imobilização externa por longos períodos e proporcionar maior conforto aos pacientes )
  • 88.
    ESPONDILOLISTESE TRAUMÁTICA DOÁXIS  Tratamento:Fraturas do tipo IIa  Apresentam aumento da parte posterior do espaço discal entre C2-C3 após a aplicação de tração (piora)  Redução: é obtida pela remoção da tração e aplicação de pequena compressão e extensão, pois o provável mecanismo da lesão dessas fraturas é a flexão-distração.  Tto:  Conservador: halo-gesso por um período de 12 semanas  Cirúrgico: artrodese anterior C2-C3 ou fixação transpedicular de C2, como nas fraturas do tipo II .
  • 89.
    ESPONDILOLISTESE TRAUMÁTICA DOÁXIS  Tratamento Tipo III  Instável  Indicação de tto cirúrgico:  Por redução das facetas articulares e sua estabilização por meio da artrodese.  - artrodese posterior c1-c3  - artrodese posterior c2-c3  - abordagem anterior c2-c3 www.traumatologiaeortopedia.com.b