TENDINOPATIAS DO
COTOVELO
http://traumatologiaeortopedia.com.br
http://www.traumatologiaeortopedia.com
EPICONDILITE LATERAL
(COTOVELO DO TENISTA)
Definição
►Síndrome dolorosa localizada na região do
epicôndilo lateral, origem do supinador do
antebraço, extensores do punho e dos
dedos.
►Descrita em 1883 por Major em associação
com praticantes de tênis
►É a causa mais comum de dor no cotovelo
em consultórios
http://traumatologiaeortopedia.com.br
http://www.traumatologiaeortopedia.com
Epidemiologia
►95% não praticantes de esportes
►75%:35 – 55 anos
►Masc = Fem
►Lateral 7x > Medial
►Brancos
Etiologia
►Está associado com atividades que exigem
movimentos repetidos de supinação e
pronação do antebraço com o cotovelo em
extensão
►Tem seu início como microlaceração da
origem do tendão do extensor radial curto
do carpo
Etiologia
 Ocupacional
Aumento da pressão m. supinadores e
extensores do punho;
 Não ocupacional
Esforço repetitivo ou estático excessivo(causa
desconhecida)
Etiologia
Jovens
 Esportes: tênis, squash, paddle e golfe
 5% dos pacientes
35 - 55 anos
 95% ; início insidioso
 Associado ao trabalho
http://traumatologiaeortopedia.com.br
http://www.traumatologiaeortopedia.com
Patogenia
►Envolve principalmente a origem do
extensor radial curto do carpo, mas pode
envolver os tendões do extensor radial
longo do carpo e do extensor comum dos
dedos
►Não há evidências de qualquer tipo de
reação inflamatória em estudos
Patogenia
►Microrruptura degenerativa da origem dos
músculos devido ao envelhecimento
biológico
►Microrruptura traumática da origem dos
músculos devido a trauma direto ou esforço
repetitivo
►Formação de tecido de reparação imaturo
(hiperplasia angiofibroblástica)
Quadro clínico
►Dor sobre o epicôndilo lateral em um ponto
5mm distal e anterior ao ponto médio do
côndilo
►Inicia-se gradualmente e torna-se intensa e
persistente
►É exacerbada pela dorsiflexão do punho e
supinação do antebraço contra resistência
http://traumatologiaeortopedia.com.br
http://www.traumatologiaeortopedia.com
http://traumatologiaeortopedia.com.br
http://www.traumatologiaeortopedia.com
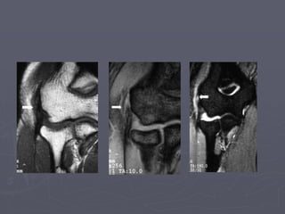
Exames complementares
►As radiografias simples são negativas
►Achados ocasionais de tendinite calcárea
(7%)
►RNM demonstra espessamento do tendão
com aumento de sinais
►USG: fluido subjacente ao tendão,laceração
e microrrupturas
►ENMG
Diagnóstico diferencial
Patologias associadas
► Epicondilite
contralateral
► Epicondilite medial
► Tendinite do supra-
espinhal
► Síndrome do túnel do
carpo
► Tendinite de De
Quervain
► Dedo em gatilho
► Osteoartrite de quadril
► Hérnia de disco lombar
► Fasciíte plantar
► Tendinite patelar
Tratamento conservador
- Repouso: evitar esforços
utilizar ms contralateral
tala de velcro/evitar gesso
- Fisioterapia: gelo 15’ até 4x/dia
alongamento m extensora
exercícios ativos
- Medicação: analgésicos/vasodilatadores
casos rebeldes: AIH IM
evitar infiltração local
http://traumatologiaeortopedia.com.br
http://www.traumatologiaeortopedia.com
Tratamento cirúrgico
► 1 em 20 casos
► Falha do tto conservador após 6 a 8 meses
► ENMG dinâmica positiva(n. interósseo post)
► Liberação origem extensores c/ ou s/ osteotomia
do epicôndilo lateral
► Bosworth:Ressecção parcial do lig anular
► Liberação n. radial: túnel do supinador (ENMG)
► Thomas Wolf: Fasciotomias múltiplas
Tratamento cirúrgico
►Nirschl:
 Excisão tec angiofibroblástico ERCC e ECD
 Decorticação do ep lateral
 97% resultados satisfatórios
►Baker(2000)
Artroscopia c/ 95% resultados
satisfatórios
Crítica:violação da articulação
http://traumatologiaeortopedia.com.br
http://www.traumatologiaeortopedia.com
Conduta ocupacional
►Modificar ou eliminar esforço repetitivo
►Mudança postural
►Cotovelo aquecido em local frio
►Ginástica laboral:Força, propriocepção e
flexibilidade
Epicondilite medial
Introdução
►É semelhante à epicondilite lateral porém
muito menos comum e de tratamento mais
difícil
►Há envolvimento da origem do flexor radial
do carpo e do pronador redondo, menos
comum pode envolver flexor superficial dos
dedos e flexor ulnar do carpo
http://traumatologiaeortopedia.com.br
http://www.traumatologiaeortopedia.com
Quadro clínico
►Ocorre em atletas que fazem esportes que
geram uma força em valgo do cotovelo
►Dor ao longo da região medial do cotovelo
►Dor piora com movimentos de pronação do
antebraço ou flexão do punho
►Pode estar presente perda de ADM e
contratura em flexão
Radiologia
►Radiografias normais
►Ocasionalmente podem ser observados
esporões de tração ulnar medial e
calcificações no ligamento colateral medial
Diagnóstico diferencial
►Neuropatia do ulnar
►Instabilidade do ligamento colateral medial
http://traumatologiaeortopedia.com.br
http://www.traumatologiaeortopedia.com
Tratamento
►Tratamento conservador
►Tratamento cirúrgico – excisão da origem
do tendão doente e sua reinserção
►Transposição do nervo ulnar se paciente
tiver sintomatologia
http://traumatologiaeortopedia.com.br
http://www.traumatologiaeortopedia.com

Tendinopatias do cotovelo