FACULDADE DE MEDICINA 
UNINOVE
SISTEMA LOCOMOTOR 
ORTOPEDIA 
E TRAUMATOLOGIA 
PROF CAIO GONÇALVES DE SOUZA
TRAUMA DO MEMBRO SUPERIOR 
•OMBRO 
•ÚMERO 
•COTOVELO 
•ANTEBRAÇO 
•PUNHO 
•MÃO
TRAUMA DO OMBRO
FRATURA DA CLAVÍCULA
FRATURA DA CLAVÍCULA 
•Epidemiologia: 
–Fratura comum na 
infância 
–homem > mulher 
•Mecanismo de 
Trauma 
–indireto : 94 % 
–direto : 6 %
Quadro clínico 
•Dor 
•Deformidade ( bastante visível por ser 
subcutâneo) 
•Crepitação 
•Posição antálgica 
–angula cabeça para o lado fraturado 
–paciente segura o braço em posição confortável
Lesões associadas 
•Luxação 
acrômioclavicular e 
esternoclavicular 
•Pulmão e pleura 
•Plexo braquial 
•Veia e artéria subclávia
PLEXO BRAQUIAL
Classificação 
Grupo I : fraturas do 1/3 
médio ( 80 % ) 
Grupo II : fraturas do 1/3 
distal ( 12 - 15% ) 
Grupo III : fraturas do 1/3 
proximal ( 5 -6%)
Tratamento 
•Suporte simples 
–tipóia 
–bandagem 
–velpeau
Tratamento 
•Redução fechada 
–bandagem em oito 
–órtese
LUXAÇÃO 
ESTERNOCLAVICULAR
LUXAÇÃO ESTERNOCLAVICULAR 
•Lesão extremamente rara 
•2 Tipos: 
–Anterior 
–Posterior 
•Diagnóstico: 
–Quadro Clínico e Rx AP.
LUXAÇÃO ESTERNOCLAVICULAR 
•Tratamento: 
–Posterior: tração sob 
anestesia 
–Anterior: aceita-se a 
deformidade pelos 
riscos de lesão do 
mediastino em uma 
redução
LUXAÇÃO ACROMIOCLAVICULAR
LUXAÇÃO ACROMIOCLAVICULAR 
AAC 
Ligamento 
coracoacromial 
Ligamentos 
coracoclaviculares 
Conóide e Trapezóide
SINAIS E SINTOMAS 
•DOR; 
•LIMITAÇÃO FUNCIONAL; 
•DEFORMIDADES;
DEFORMIDADE
MECANISMO DE LESÃO
LUXAÇÃO ACROMIOCLAVICULAR 
•Trauma esportivo bastante comum 
•Mecanismo de trauma: direto 
•– queda sobre o ombro 
•Quadro clínico: 
–dor e incapacidade funcional 
–Deformidade e sinal da tecla positivo
Radiografia
LUXAÇÃO ACROMIOCLAVICULAR 
Rx para aticulação acromioclavicular sem tração
LUXAÇÃO ACROMIOCLAVICULAR 
Rx para articulação acromioclavicular com tração
CLASSIFICAÇÃO
TRATAMENTO 
•Desvio pequeno < 25% - tipóia 
•Desvio entre 25% a 100% - depende da 
atividade do paciente 
•Desvio superior maior que 100%, ou em outra 
direção – redução cruenta, fixação e 
reconstrução dos ligamentos
TRATAMENTO CONSERVADOR
TIPOS DE CIRURGIA
INSTABILIDADE DO OMBRO 
+ 
LUXAÇÃO GLENO-UMERAL
LUXAÇÃO DO OMBRO
Luxação do ombro 
Recorrência: 
80% até 20 anos. 
60% 20–40 anos. 
15% acima 40.
INSTABILIDADE 
GLENO-UMERAL
ESTABILIZADORES DO OMBRO 
•PASSIVO: 
–ADESÃO E COESÃO 
–LIGAMENTOS E CÁPSULA ARTICULAR 
–LABRUM DA GLENÓIDE 
ATIVOS: 
ESTABILIDADE MUSCULAR 
MANGUITO ROTADOR
CÁPSULA ARTICULAR
LIGAMENTOS
Labrum 
•Porção fibrocartilaginosa da glenóide 
•Aumentar superfície articular 
•Estabilidade articular
Labrum
MANGUITO ROTADOR
Anatomia funcional e biomecânica 
Manguito: 
Criam uma força compressiva sobre o ombro, 
aumentando a estabilidade
MANGUITO ROTADOR
MANGUITO ROTADOR 
•Músculo supraespinal 
–Abdução 
•Músculo infraespinal 
–Rotação externa 
•Músculo subescapular 
–Rotação interna 
•Músculo redondo menor
LUXAÇÃO GLENO-UMERAL
Classificação 
-Luxação traumática 
-Desvio anterior 
-Desvio posterior 
-Luxação atraumática
Luxação anterior traumática 
1.Bankart (lesão labral antero-inferior). 
2.Hill-Sachs (fratura por compressão na margem 
póstero-lateral da cabeça umeral). 
3.Lesões labrais superiores.
Bankart
Hill Sachs
Mecanismo de trauma 
•Abdução e Rotação 
Externa – (85%) 
–Atividade esportiva
Luxação posterior traumática 
•Choque elétrico 
•Convulsão (epilepsia) 
• Paciente inconsciente 
• Diagnóstico difícil
Luxação atraumática 
•Cápsula inferior redundante 
•Instabilidade multidirecional 
•Hiperfrouxidão ligamentar
EXAMES AUXILIARES 
•RADIOGRAFIA 
•SERIE TRAUMA DO OMBRO 
–AP ESCAPULAR 
–AXIAL 
–PERFIL ESCAPULAR
AP ESCAPULAR
AP ESCAPULAR
PERFIL ESCAPULAR
Série trauma do ombro 
PERFIL VERDADEIRO
PERFIL AXILAR
EXAMES AUXILIARES 
•Após redução, para ver instabilidade 
• RESSONÂNCIA MAGNÉTICA DO OMBRO
TRATAMENTO
TRAÇÃO E CONTRA-TRAÇÃO
Reabilitação 
•Manter imobilização tipo 
Velpeau por 3 semanas 
•Fortalecimento da 
musculatura para evitar 
recorrência 
•Risco de 90% de recidiva ao 
longo da vida (jovens com 
primo-luxação entre 18-20 
anos de idade)
FRATURA DO TERÇO PROXIMAL 
DO ÚMERO
FRATURA DO TERÇO PROXIMAL DO 
ÚMERO
Fratura do Úmero Proximal 
•Comum no osso osteoporótico 
•Mecanismo de trauma: indireto – 
queda com a mão espalmada. 
•Quadro clínico: dor e incapacidade 
funcional do ombro 
•Rx série trauma 
•Tratamento conservador com 
velpeau
Patologia associada 
•OSTEOPOROSE
CLASSIFICAÇÃO
EXAMES COMPLEMENTARES 
•Diagnóstico geralmente é dado com RX (série 
trauma) 
•TC (fraturas cominutas) 
•RNM (lesões antigas e/ou associadas)
EXAMES AUXILIARES 
•RADIOGRAFIA 
•SERIE TRAUMA DO OMBRO 
–AP ESCAPULAR 
–AXIAL 
–PERFIL ESCAPULAR
Radiografia
Radiografia
Radiografia
TRATAMENTO 
•Maioria das fraturas do úmero proximal são de 
tratamento conservador (80%). 
•Nos casos de fratura articular ou do colo 
umeral, o tratamento cirúrgico é preferível. 
•Nos casos de perda da superfície articular → 
Artroplastia parcial.
FIXAÇÃO PERCUTÂNEA
FIXAÇÃO INTRAMEDULAR
PLACA E PARAFUSOS
ARTROPLASTIA PARCIAL
TRAUMA DO BRAÇO
FRATURA DA DIÁFISE DO ÚMERO
FRATURA DA DIÁFISE DO ÚMERO 
•Mecanismo de trauma – direto ou indireto 
•Ação deformante da musculatura 
•Grande associação com a lesão do n. radial
FRATURA DA DIÁFISE DO ÚMERO 
•Quadro clínico: dor e deformidade. Observar o 
quadro neurológico 
•Quadro radiológico: Rx AP e perfil do úmero 
•Tratamento: 95% de consolidação com o tratamento 
conservador.
NERVO RADIAL
Anatomia 
•Inervação: 
–Axilar 
–Musculocutâneo 
–Mediano 
–Radial 
–Ulnar
Nervos Periféricos do Membro Superior 
•Nervo Axilar 
Inervação do deltóide 
•Nervo Músculo-Cutâneo 
Bíceps 
•Nervo Radial 
Tríceps e Extensores do Punho 
•Nervo Ulnar 
Musculatura Intrinseca da Mão 
•Nervo Mediano 
Oponência do Polegar
FRATURA DA DIÁFISE DO ÚMERO
TRATAMENTO CONSERVADOR 
•Pinça de confeiteiro 
•Órtese (brace) 
•Gesso pendente 
•Gesso toracobraquial 
•Tração esquelética
TRATAMENTO CIRÚRGICO 
•INDICAÇÕES 
–Fratura exposta : 
desbridamento de emergência 
–Lesão vascular associada : 
manipulação da fratura põe em 
risco o reparo vascular 
–Cotovelo flutuante : fratura 
ipsilateral de radio ou ulna 
associada - altos índices de 
rigidez do cotovelo 
–Fratura segmentar : alto índice 
de não união 
–Politrauma
COTOVELO
TRAUMA DO ÚMERO DISTAL 
•SUPRACONDILEANA 
•INTERCONDILEANA 
•LUXAÇÃO DO COTOVELO
FRATURA SUPRACONDILIANA 
DO ÚMERO NA CRIANÇA
FRATURA SUPRACONDILEANA 
•COMUM EM CRIANÇAS 
•QUEDA COM BRAÇO EXTENDIDO OU EM 
FLEXÃO 
•PODE TER DESVIO ANTERIOR OU POSTERIOR
EXAME CLÍNICO 
•Deformidade (S) 
•Edema variável 
•Equimose 
•Déficit neurovascular
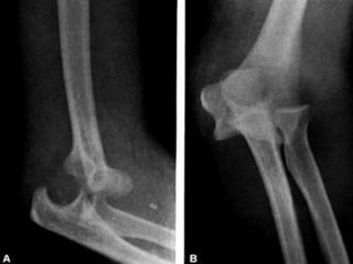
FRATURA SUPRACONDILEANA
EXAME RADIOGRÁFICO
FRATURA SUPRACONDILEANA
FRATURA SUPRACONDILEANA 
•Risco de lesão da artéria braquial e do nervo 
mediano ou risco de lesão do nervo radial 
•Urgência ortopédica
TRATAMENTO 
•Fratura sem desvio (TIPO I) – imobilização com aparelho gessado 
•Fratura em galho-verde (TIPO II) – redução sob anestesia e 
imobilização com aparelho gessado 
•Fratura com desvio total (TIPO III) – redução incruenta e fixação 
percutânea com fios de Kirschner
LUXAÇÃO DO COTOVELO
LUXAÇÕES DO COTOVELO 
•O Cotovelo é articulação mais estável do corpo 
•Porém a luxação é comum 
•A cicatrização da cápsula ocorre mesmo com 
movimentos ativos
LUXAÇÃO DO COTOVELO
LUXAÇÃO DO COTOVELO 
•Mecanismo: trauma indireto (queda) 
•Mais comum: posterior 
•Quadro Clínico: deformidade com perda da relação 
entre os epicôndilos e o olécrano 
•Rx: perda da congruência articular do cotovelo
LUXAÇÃO DO COTOVELO 
•Tratamento 
–Redução incruenta 
–Imobilização por 1 a 3 
semanas 
–Ganho de Amplitude 
de Movimentos 
precoce
REDUÇÃO
FRATURA DO OLÉCRANO
FRATURA DO OLÉCRANO 
•Mecanismo de trauma: 
–Trauma direto 
–Trauma indireto com avulsão 
causada pelo tríceps 
•RX: AP e P 
•Tratamento: 
–Fixação com placa de 
compressão ou banda de tensão
Banda de Tensão
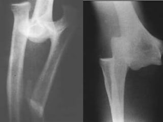
FRATURA INTERCONDILIANA
FRATURA INTERCONDILIANA 
•Prognóstico ruim 
•Mecanismo de trauma: 
–Trauma direto gerando fratura 
cominutiva 
•RX: AP e P 
•Tratamento: 
–Fraturas com desvio: RCFI com placa 
e parafuso 
•Altas taxas de complicações
FRATURA INTERCONDILEANA 
•Fratura mais complexa do cotovelo 
•Os fragmentos rodam no eixo do úmero 
•Ocorre no intercondileo (regiao metafisária), com fratura 
articular 
•Dependendo da idade, pode ocorrer luxação
CLASSIFICAÇÃO
TRATAMENTO 
•Sem Desvio- Conservador 
•Com Desvio- Redução Cruenta e Fixação Cirúrgica
TRAUMA DO ANTEBRAÇO
FRATURAS DO ANTEBRAÇO
DIÁFISE 
•O mecanismo mais comum é acidente de carro 
e moto; 
•Trauma direto; 
•Dor ,edema,disfunção,deformidade; 
•Exames: Radiografia AP e Perfil 
•Funciona como uma fratura articular
FRATURAS DO ANTEBRAÇO 
•O mais comum é a fratura isolada da ulna  
nightstick 
•Em crianças, o tratamento é conservador 
–Consolidação mais rápida 
–Melhor remodelação
FRATURAS DO ANTEBRAÇO 
EM CRIANÇAS  CONSERVADOR
CIRURGIA
FRATURA GALLEAZZI 
•FRATURA ENTRE 1/3 MÉDIO E DISTAL DO 
RÁDIO COM LUXAÇÃO DA RÁDIO-ULNAR 
DISTAL 
•TRATAMENTO CIRÚRGICO
FRATURA GALLEAZI
FRATURA DE MONTEGGIA 
•FRATURA PRÓXIMAL DA ULNA COM 
LUXAÇÃO DA CABEÇA DO RÁDIO 
•TRATAMENTO CIRÚRGICO
TRATAMENTO
TRAUMA DO PUNHO
FRATURA DO RÁDIO DISTAL
TIPOS 
•FRATURA DE COLLES; 
•FRATURA DE SMITH (COLLES REVERSA); 
•FRATURA DE BARTON; 
•FRATURA DO CHOFER
FRATURA DO RÁDIO DISTAL
FRATURA DE COLLES
FRATURA DE COLLES
Patologia associada 
•OSTEOPOROSE
TRATAMENTO 
•SEM DESVIO: 
–-GESSO 
•COM DESVIO: 
–REDUÇÃO INCRUENTA E GESSO
CONSERVADOR
PERCUTÂNEO
PLACA E PARAFUSO
TRAUMA DA MÃO
LESÕES DA MÃO 
•São as lesões mais comum do esqueleto 
•10 a 30% do corpo 
•Normalmente negligenciadas
TRAUMA MÚLTIPLO DA MÃO 
•Tratar todas lesões: 
–Fraturas 
–Tendões 
–Músculos 
–Pele
ATENÇÃO 
•Nunca suture primariamente: 
•Ferida por alta energia 
•Ferida lacerante graves 
•Mordida animal/humana 
•Mais de 8h exposição 
•Enxerto ósseo ? 
•Debridamentos seriados
FRATURA DO ESCAFÓIDE
FRATURA DO ESCAFÓIDE 
•Mais comumente fraturado no carpo 
•Queda com a mão espalmada 
•Vascularização invertida  Osteonecrose
Quadro Clínico 
•dor na tabaqueira anatômica onde se palpa o 
escafóide 
•dor à pistonagem do polegar (a manobra 
comprime o escafóide) 
•edema (pode estar ausente) 
•dor à extensão forçada do punho
Radiografia do escafóide
FRATURA DO ESCAFÓIDE
FRATURA DO ESCAFÓIDE 
•Tratamento conservador caso não haja desvio 
•Com desvio, tratamento cirúrgico
FRATURA DO 1° 
METACARPO
CLASSIFICAÇÃO 
•EXTRAS-ARTICULARES 
•INTRA-ARTICULARES  BENNET
CLASSIFICAÇÃO 
Bennet Rolando
FRATURA DE BENNETT 
-INTRARTICULAR 
-DENOMINADA FRATURA-LUXAÇÃO
MECANISMO DE TRAUMA 
•MECANISMO DE LESÃO É 
TRAUMA AXIAL NO EIXO 
DO METACARPO 
PARCIALMENTE FLETIDO
DIAGNÓSTICO CLÍNICO 
•DOR ,EDEMA LOCAL, IMPOTÊNCIA 
FUNCIONAL 
•COMUM EM JOVENS, NA MÃO DOMINANTE
RADIOGRAFIA
TRATAMENTO 
•APESAR DE INTRARTICULAR, TRATA COMO SE FOSSE 
EXTRARTICULAR 
•É DIFÍCIL MANTER NO GESSO 
•REDUÇÃO INCRUENTA E FIXAÇÃO PERCUTÂNEA
CIRURGIA 
•NÃO PRECISA FIXAR O FRAGMENTO MENOR 
•FIXAR O FRAGMENTO MAIOR NO CARPO 
•REMOVE-SE OS FIOS COM 06 SEMANAS NO 
AMBULATÓRIO
TRATAMENTO
FRATURAS DO 5º MTC
CLASSIFICAÇÃO 
•CABEÇA; 
•COLO; 
•DIÁFISE; 
•BASE.
COLO DO 5o METACARPO 
•COMUNS NA MÃO 
•CONHECIDA COMO FRATURA DO BOXER 
•ASSOCIADAS A COMINUIÇÃO VOLAR
TRATAMENTO 
•GRANDE INSTABILIDADE NO TRATAMENTO 
CONSERVADOR
•TRATAMENTO CIRÚRGICO
FRATURA DA FALANGE DISTAL
FRATURA DA FALANGE DISTAL 
•Mais de 50% das lesões da mão; 
•O 3° dedo é mais afetado; 
•O desvio é dado pelo extensores/flexores; 
•Clínica com dor, edema e calor local 
•Lembrar que uma lesão somente da matriz 
ungueal leva a muita dor
CLASSIFICAÇÃO DE KAPLAM
CLASSIFICAÇÃO 
•SEM DESVIO 
•COM DESVIO 
•FECHADA 
•EXPOSTA
TRATAMENTO
TRATAMENTO
LESÃO DO LEITO UNGUEAL
LESÃO DO LEITO UNGUEAL 
•Comum na fratura da falange distal 
•Não drenar hematoma subungueal para evitar 
deformidade tardia da unha 
•A unha serve como curativo biológico 
•Enxerto pra perda de tecidos (V-Y) 
•95% das fraturas da falange distal tem lesão de 
unha
REIMPLANTE
REIMPLANTE 
•AMPUTAÇÃO TRAUMÁTICA 
–CORTO-CONTUSO 
–AVULSÃO 
•GELO E SORO FISIOLÓGICO 
–ATÉ 6 A 8 HORAS 
•OSSO – TENDÃO – ARTÉRIA – VEIA - NERVO
Indicação dos Reimplantes 
•Fatores gerais 
–condição clínica do paciente 
–idade 
–doenças sistêmicas 
–lesões associadas 
–distúrbios psíquicos 
•Nível da amputação e tempo de isquemia 
•Tipos de lesão : cortante, corto-contusa, 
esmagamento, avulsão
Indicação dos Reimplantes 
•Tempo de isquemia - importância da 
hipotermia (transporte da parte amputada) 
•Procedimento cirúrgico : limpeza, dissecção, 
osteossíntese, tenorrafias, anastomoses 
vasculares, anastomoses nervosas, cobertura 
cutânea, curativo, imobilização
DÚVIDAS?

Trauma dos Membros Superiores