Fratura úmero proximal
http://traumatologiaeortopedia.com/
http://ortopediabrasil.blogspot.com.br/
Fratura úmero proximal
 “ A fratura proximal do úmero aceita praticamente todas as
formas de fixação.Um verdadeiro arco íris de opções se
apresenta desde a ortodoxa fixação c/placa e parafusos até a
pouco convencional amarrilha dos fragmentos”
(Osvandrè Lech,2003)
Fratura úmero proximal
 3 a 5% todas as fraturas do adulto
 45% proximais
 idade > 40 anos 70%
 Mulheres (3:1)
 Relacionado a osteoporose
Introdução
 Década 60 tratamento conservador ou cirurgia de Jones
Introdução
 Década 70 Neer / Codman(1934)
 Mobilidade precoce, funções do manguito no deslocamento da
fratura e biomecânica da cintura escapular
Introdução
 Tratamento atual consiste em reconstruir a extremidade proximal
do úmero o mais próximo da anatomia normal função e dor
Introdução
 Ação muscular:
- SE,Rm e IE(abdução e rotação externa) desvio posterior e
proximal grande tuberosidade
- Se( rotação interna) desvio medial pequena tuberosidade
- PM,GD e RM(adução)desvio medial diáfise
Introdução
 Vascularização :
- a. circunflexa anterior(+ importante) ramos ascendentes para
cabeça umeral a. arqueada
- a. circunflexa posterior(espaço quadrangular junto nervo axilar)
- Anastomoses do manguito(SE,Se)
http://traumatologiaeortopedia.com/
http://ortopediabrasil.blogspot.com.br/
Mecanismo de lesão
 Trauma direto
 Queda c/ apoio mão ou cotovelo, sobre o ombro
 Jovens geralmente trauma grande energia(# - luxações)
 Idosos trauma baixa energia devido osteoporose(+ comum
mulheres)
 Choques elétricos, crise convulsiva e TU(1* ou
metástase)
Quadro clinico
 Atitude rotação interna + abdução
 Dor, edema, equimose(tórax e braço) e limitação movimento(colo
cirúrgico menos limitação a rotação)
 Crepitação ou não (impactação)
 Deformidades não são comum (massa muscular)
 Sempre lembrar da # / luxação posterior(50% falha
diagnostico)
Exame físico
 Inspeção, palpação
 Exame neurológico
 Exame vascular
 Artéria axilar + lesada
 Nervo axilar>plexo braquial>nervo supra-escapular>nervo
musculocutâneo(lesão nas # e # luxações)
Exames complementares
 RX serie trauma(AP verdadeiro/perfil escapular e axilar)
Exames complementares
 TC  duvida diagnostica ou desvios fragmentos,comprometimento
articular e fraturas associadas da cintura escapular
http://traumatologiaeortopedia.com/
http://ortopediabrasil.blogspot.com.br/
Classificação
 1 cm ou 45* de deslocamento entre fragmentos
Classificação
 AO
 11A
• Fraturas unifocal extra-articular
AO
 11A1
• Avulsão da grande tuberosidade
 11A2
• Metafisária impactada
 11A3
- Metafisária não impactada
AO
 11B
• Fratura bifocal extra-articular
AO
 11B1
- Com impactação metafisária
 11B2
• Sem impactação metafisária
 11B3
• Com luxação glenoumeral
AO
 11C
• Fratura articular
http://traumatologiaeortopedia.com/
http://ortopediabrasil.blogspot.com.br/
AO
 11C1
• Com leve desvio
 11C2
• Impactada com desvio acentuado
 11C3
• luxada
Classificação Neer
 Anatômica
 Prognostico devido prováveis lesões vasculares:
- 2 e 3 partes  segmento vascularizado
- 4 partes  segmento avascularizado(necrose avascular da
cabeça)
 Tratamento:
- 2 e 3 partes  estabilização e reparação dos fragmentos
- 4 partes  pode-se indicar prótese,tendência hj a síntese
Tratamento
 Não cirúrgico(conservador) x cirúrgico
 Conservador desvio menor 1 cm ou < 45*(# c/
deslocamento mínimo) entre fragmentos, não importando
números de fragmentos(85% das # úmero proximal):
- Estáveis, ou impactadas velpeau 15 dias e mobilização
precoce(exercícios pendulares e após 3-4 semanas mov ativos)
- Instáveis, ou não impactadas ou que sofreram redução 3
semanas imobilização*
- * importante controle radiológico
http://traumatologiaeortopedia.com/
http://ortopediabrasil.blogspot.com.br/
Tratamento
 Redução incruenta(contrario aos desvios) :
- # luxação ou # com desvios inaceitáveis
- Desvio aceitável tt* conservador
- # c/ grandes desvios, cominuição , instável cirurgia
Tratamento
 Cirúrgico desvio maior 1 cm ou > 45* entre fragmentos, não
importando números de fragmentos(2,3 ou 4)
 2 partes:
- Colo anatômico
- Colo cirúrgico
- Grande tuberosidade
- Pequena tuberosidade
Tratamento cirúrgico
 # colo anatômico:
- Geralmente instáveis
- Difícil redução
- NAV frequentemente
- Jovem redução + fixação ,se não conseguir prótese
- Idoso prótese
Tratamento cirúrgico
 # colo cirúrgico:
- Frequentemente instáveis
- Tenta-se redução(desvio aceitável e estávelconservador 3
semanas)
- Instáveis com mínimo desvio(aceitável)  tendência
peudoartrose/retardo consolidaçãott* cirúrgico e mobilização
precoce
- Fig 47.56
Tratamento cirúrgico
 # colo anatômico/ # colo cirúrgico
http://traumatologiaeortopedia.com/
http://ortopediabrasil.blogspot.com.br/
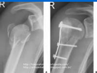
Tratamento cirúrgico
 Placa PFS(Pavilhão Fernandinho Simonsen)
Tratamento cirúrgico
 EFC 23(Eduardo Ferreira Carrera -Chefe do Grupo de
Ombro - UNIFESP,Doutor em Ortopedia e Traumatologia )
Tratamento cirúrgico
Grande tuberosidade: desvio > 5mm(0,5cm)
- Desloca-se posterior e superior (manguito)
- manutenção da redução incruenta difícil(instável), exceto nos
casos #luxação anterior(geralmente são estáveis)
http://traumatologiaeortopedia.com/
http://ortopediabrasil.blogspot.com.br/
Tratamento cirúrgico
- Redução inaceitável(> 5 mm)/instável redução cirúrgica +
fixação interna(cerclagem e/ou amarrilha Ethibond)
- Evitar parafusos(osso esponjoso comportamento diferente dos
outros e geralmente osteoporotico)
- Avaliar manguito para reparo
Tratamento cirúrgico
 Canulados percutâneos(jovens)
Tratamento cirúrgico
 Pequena tuberosidade:
- # rara,geralmente associada luxação posterior
- Bloqueio RI , Gerber +, “abdominal press test”tt* cirurgico
- Síntese ou ressecção do fragmento(pequeno) c/ reinserção do Se
Tratamento cirúrgico
 # 3 partes(colo cirúrgico e grande ou pequena tuberosidade)
- Na teoria os fragmentos são vascularizados, mas algumas vezes
evolui c/ NAV(principalmente reduções cruentas, incruentas
frustadas e idosos)
- Redução incruenta difícil e instável
- Desvio rotacionais depende do fragmento acometido
- Melhores resultados c/ amarilhas(simples,duplas, cerclagem
ou combinadas) dos fragmentos ao redor pinos
intramedulares c/ fio aço ou Ethibond(Sizinio)
Tratamento cirúrgico
 O tratamento de escolha é a redução aberta com fixação
estável independendo do tipo de material empregado.
Quando não é possível a fixação, a artroplastia pode ser
indicada
 EFC 23
http://traumatologiaeortopedia.com/
http://ortopediabrasil.blogspot.com.br/
Tratamento cirúrgico
 Haste de Hender modificada + amarrilha( 80% bom resultado-
FMUSP-1997)
 “para-quedas”(HSPSP) Amarillha intramedular ancorada
parafusos(100% bom ou excelente resultado)
 Lech e cols(26 2p, 11 3p e 1 4p) pino intramedular + amarrilha
34% excelente e 45% bons resultados
Tratamento cirúrgico
 # 4 partes são mais freqüentes em pacientes idosos com
estrutura óssea fragilizada.
 Impactada valgo e pouco desvio das tuberosidades pode
tentar tt* conservador
 A circulação está comprometida com índice de NAV ao redor de
25% dos casos.
 São fraturas instáveis e de difícil fixação
 Jovens deve-se tentar osteossíntese como primeira opção
de tratamento, uma vez que existe uma melhor qualidade
óssea
 Idosos  prótese?????????
Tratamento cirúrgico
Rockwood
Tratamento cirúrgico
.
http://traumatologiaeortopedia.com/
http://ortopediabrasil.blogspot.com.br/
 “ A possibilidade de necrose avascular não
me preocupa mais. Ela preocupava a mim,
mas não aos pacientes,que recusavam
qualquer tipo de tratamento adicional por
se sentirem bem. Não se deve esquecer
que esta articulação não suporta peso e
que a mobilidade funcional necessária as
funções do dia-dia é bem menor que a
anatômica”
(Osvandre lech)
Tratamento cirúrgico
 impactação é a ação ou energia que
gera um impacto, colisão ou trauma
 compactação é a deformidade
plástica definitiva sofrida após um
impacto
Tratamento cirúrgico
 Placa N-CBS(EFC 23)
Tratamento cirúrgico
 Placa CBS (EFC 34)
Complicações:
• Necrose avascular da cabeça(0 a 71%)
• Pode apresentar boa função do ombro
• Colapso ou dor intolerável – substituição da cabeça
(artroplastia total se artrose glenoidal)
http://traumatologiaeortopedia.com/
http://ortopediabrasil.blogspot.com.br/
Necrose avascular após # 4 partes com boa função
Complicações:
• Subluxação inferior transitória – comum (hipotrofia
muscular)Tto c/ tipóia + exercícios isométricos
deltóide
• Pseudo artrose(+ comum colo cirúrgico)
• Infecção rara,geralmente relacionada a fios per cutâneos
• Dor residual
• Rigidez pós operatória
Complicações:
Lesões neurológicas
• Risco > em idosos – hematoma
• Lesões permanentes – até 8%
• Lesão fechada do plexo – bom prognóstico
Lesões arteriais
• Risco > em # 4 partes (cabeça na axila e diáfise
medialmente)
Complicações:
 Artrose
• Geralmente não é grave
• Grave – artroplastia tem mau prognóstico
 Tendinite bicipital
• # incluem o sulco bicipital
• Tenotomia ou tenodese
Vias de acesso
 Deltopeitoral(Henry)  + utilizada na maioria dos
procedimentos no úmero
 Paciente semi-sentado “cadeira de praia” (elevação tronco
45 a 60*)
 Coxim medial a escapula
http://traumatologiaeortopedia.com/
http://ortopediabrasil.blogspot.com.br/
Vias de acesso
Vias de acesso
Vias de acesso
 Transdeltoide(transacromial)
 Incisão face lateral do ombro com inicio borda lateral do
acrômio estendendo-se maximo 4-5 cm
 Abertura deltoide 5 cm no sentido das fibras
 Indicação  acesso tubérculo maior para amarrilhas.Na
utilização de placas não é boa via
http://traumatologiaeortopedia.com/
http://ortopediabrasil.blogspot.com.br/

Fratura umero proximal

  • 1.
  • 2.
    Fratura úmero proximal “ A fratura proximal do úmero aceita praticamente todas as formas de fixação.Um verdadeiro arco íris de opções se apresenta desde a ortodoxa fixação c/placa e parafusos até a pouco convencional amarrilha dos fragmentos” (Osvandrè Lech,2003)
  • 3.
    Fratura úmero proximal 3 a 5% todas as fraturas do adulto  45% proximais  idade > 40 anos 70%  Mulheres (3:1)  Relacionado a osteoporose
  • 4.
    Introdução  Década 60tratamento conservador ou cirurgia de Jones
  • 5.
    Introdução  Década 70Neer / Codman(1934)  Mobilidade precoce, funções do manguito no deslocamento da fratura e biomecânica da cintura escapular
  • 6.
    Introdução  Tratamento atualconsiste em reconstruir a extremidade proximal do úmero o mais próximo da anatomia normal função e dor
  • 7.
    Introdução  Ação muscular: -SE,Rm e IE(abdução e rotação externa) desvio posterior e proximal grande tuberosidade - Se( rotação interna) desvio medial pequena tuberosidade - PM,GD e RM(adução)desvio medial diáfise
  • 8.
    Introdução  Vascularização : -a. circunflexa anterior(+ importante) ramos ascendentes para cabeça umeral a. arqueada - a. circunflexa posterior(espaço quadrangular junto nervo axilar) - Anastomoses do manguito(SE,Se) http://traumatologiaeortopedia.com/ http://ortopediabrasil.blogspot.com.br/
  • 9.
    Mecanismo de lesão Trauma direto  Queda c/ apoio mão ou cotovelo, sobre o ombro  Jovens geralmente trauma grande energia(# - luxações)  Idosos trauma baixa energia devido osteoporose(+ comum mulheres)  Choques elétricos, crise convulsiva e TU(1* ou metástase)
  • 10.
    Quadro clinico  Atituderotação interna + abdução  Dor, edema, equimose(tórax e braço) e limitação movimento(colo cirúrgico menos limitação a rotação)  Crepitação ou não (impactação)  Deformidades não são comum (massa muscular)  Sempre lembrar da # / luxação posterior(50% falha diagnostico)
  • 11.
    Exame físico  Inspeção,palpação  Exame neurológico  Exame vascular  Artéria axilar + lesada  Nervo axilar>plexo braquial>nervo supra-escapular>nervo musculocutâneo(lesão nas # e # luxações)
  • 12.
    Exames complementares  RXserie trauma(AP verdadeiro/perfil escapular e axilar)
  • 13.
    Exames complementares  TC duvida diagnostica ou desvios fragmentos,comprometimento articular e fraturas associadas da cintura escapular http://traumatologiaeortopedia.com/ http://ortopediabrasil.blogspot.com.br/
  • 14.
    Classificação  1 cmou 45* de deslocamento entre fragmentos
  • 15.
    Classificação  AO  11A •Fraturas unifocal extra-articular
  • 16.
    AO  11A1 • Avulsãoda grande tuberosidade  11A2 • Metafisária impactada  11A3 - Metafisária não impactada
  • 17.
    AO  11B • Fraturabifocal extra-articular
  • 18.
    AO  11B1 - Comimpactação metafisária  11B2 • Sem impactação metafisária  11B3 • Com luxação glenoumeral
  • 19.
    AO  11C • Fraturaarticular http://traumatologiaeortopedia.com/ http://ortopediabrasil.blogspot.com.br/
  • 20.
    AO  11C1 • Comleve desvio  11C2 • Impactada com desvio acentuado  11C3 • luxada
  • 21.
    Classificação Neer  Anatômica Prognostico devido prováveis lesões vasculares: - 2 e 3 partes  segmento vascularizado - 4 partes  segmento avascularizado(necrose avascular da cabeça)  Tratamento: - 2 e 3 partes  estabilização e reparação dos fragmentos - 4 partes  pode-se indicar prótese,tendência hj a síntese
  • 22.
    Tratamento  Não cirúrgico(conservador)x cirúrgico  Conservador desvio menor 1 cm ou < 45*(# c/ deslocamento mínimo) entre fragmentos, não importando números de fragmentos(85% das # úmero proximal): - Estáveis, ou impactadas velpeau 15 dias e mobilização precoce(exercícios pendulares e após 3-4 semanas mov ativos) - Instáveis, ou não impactadas ou que sofreram redução 3 semanas imobilização* - * importante controle radiológico
  • 23.
  • 25.
    Tratamento  Redução incruenta(contrarioaos desvios) : - # luxação ou # com desvios inaceitáveis - Desvio aceitável tt* conservador - # c/ grandes desvios, cominuição , instável cirurgia
  • 26.
    Tratamento  Cirúrgico desviomaior 1 cm ou > 45* entre fragmentos, não importando números de fragmentos(2,3 ou 4)  2 partes: - Colo anatômico - Colo cirúrgico - Grande tuberosidade - Pequena tuberosidade
  • 27.
    Tratamento cirúrgico  #colo anatômico: - Geralmente instáveis - Difícil redução - NAV frequentemente - Jovem redução + fixação ,se não conseguir prótese - Idoso prótese
  • 28.
    Tratamento cirúrgico  #colo cirúrgico: - Frequentemente instáveis - Tenta-se redução(desvio aceitável e estávelconservador 3 semanas) - Instáveis com mínimo desvio(aceitável)  tendência peudoartrose/retardo consolidaçãott* cirúrgico e mobilização precoce - Fig 47.56
  • 29.
    Tratamento cirúrgico  #colo anatômico/ # colo cirúrgico http://traumatologiaeortopedia.com/ http://ortopediabrasil.blogspot.com.br/
  • 30.
    Tratamento cirúrgico  PlacaPFS(Pavilhão Fernandinho Simonsen)
  • 31.
    Tratamento cirúrgico  EFC23(Eduardo Ferreira Carrera -Chefe do Grupo de Ombro - UNIFESP,Doutor em Ortopedia e Traumatologia )
  • 33.
    Tratamento cirúrgico Grande tuberosidade:desvio > 5mm(0,5cm) - Desloca-se posterior e superior (manguito) - manutenção da redução incruenta difícil(instável), exceto nos casos #luxação anterior(geralmente são estáveis) http://traumatologiaeortopedia.com/ http://ortopediabrasil.blogspot.com.br/
  • 34.
    Tratamento cirúrgico - Reduçãoinaceitável(> 5 mm)/instável redução cirúrgica + fixação interna(cerclagem e/ou amarrilha Ethibond) - Evitar parafusos(osso esponjoso comportamento diferente dos outros e geralmente osteoporotico) - Avaliar manguito para reparo
  • 35.
  • 36.
    Tratamento cirúrgico  Pequenatuberosidade: - # rara,geralmente associada luxação posterior - Bloqueio RI , Gerber +, “abdominal press test”tt* cirurgico - Síntese ou ressecção do fragmento(pequeno) c/ reinserção do Se
  • 37.
    Tratamento cirúrgico  #3 partes(colo cirúrgico e grande ou pequena tuberosidade) - Na teoria os fragmentos são vascularizados, mas algumas vezes evolui c/ NAV(principalmente reduções cruentas, incruentas frustadas e idosos) - Redução incruenta difícil e instável - Desvio rotacionais depende do fragmento acometido
  • 38.
    - Melhores resultadosc/ amarilhas(simples,duplas, cerclagem ou combinadas) dos fragmentos ao redor pinos intramedulares c/ fio aço ou Ethibond(Sizinio)
  • 39.
    Tratamento cirúrgico  Otratamento de escolha é a redução aberta com fixação estável independendo do tipo de material empregado. Quando não é possível a fixação, a artroplastia pode ser indicada  EFC 23 http://traumatologiaeortopedia.com/ http://ortopediabrasil.blogspot.com.br/
  • 40.
    Tratamento cirúrgico  Hastede Hender modificada + amarrilha( 80% bom resultado- FMUSP-1997)  “para-quedas”(HSPSP) Amarillha intramedular ancorada parafusos(100% bom ou excelente resultado)  Lech e cols(26 2p, 11 3p e 1 4p) pino intramedular + amarrilha 34% excelente e 45% bons resultados
  • 41.
    Tratamento cirúrgico  #4 partes são mais freqüentes em pacientes idosos com estrutura óssea fragilizada.  Impactada valgo e pouco desvio das tuberosidades pode tentar tt* conservador  A circulação está comprometida com índice de NAV ao redor de 25% dos casos.  São fraturas instáveis e de difícil fixação  Jovens deve-se tentar osteossíntese como primeira opção de tratamento, uma vez que existe uma melhor qualidade óssea  Idosos  prótese?????????
  • 42.
  • 43.
  • 45.
  • 46.
     “ Apossibilidade de necrose avascular não me preocupa mais. Ela preocupava a mim, mas não aos pacientes,que recusavam qualquer tipo de tratamento adicional por se sentirem bem. Não se deve esquecer que esta articulação não suporta peso e que a mobilidade funcional necessária as funções do dia-dia é bem menor que a anatômica” (Osvandre lech)
  • 47.
  • 48.
     impactação éa ação ou energia que gera um impacto, colisão ou trauma  compactação é a deformidade plástica definitiva sofrida após um impacto
  • 49.
  • 50.
  • 51.
    Complicações: • Necrose avascularda cabeça(0 a 71%) • Pode apresentar boa função do ombro • Colapso ou dor intolerável – substituição da cabeça (artroplastia total se artrose glenoidal) http://traumatologiaeortopedia.com/ http://ortopediabrasil.blogspot.com.br/
  • 52.
    Necrose avascular após# 4 partes com boa função
  • 53.
    Complicações: • Subluxação inferiortransitória – comum (hipotrofia muscular)Tto c/ tipóia + exercícios isométricos deltóide • Pseudo artrose(+ comum colo cirúrgico) • Infecção rara,geralmente relacionada a fios per cutâneos • Dor residual • Rigidez pós operatória
  • 54.
    Complicações: Lesões neurológicas • Risco> em idosos – hematoma • Lesões permanentes – até 8% • Lesão fechada do plexo – bom prognóstico Lesões arteriais • Risco > em # 4 partes (cabeça na axila e diáfise medialmente)
  • 55.
    Complicações:  Artrose • Geralmentenão é grave • Grave – artroplastia tem mau prognóstico  Tendinite bicipital • # incluem o sulco bicipital • Tenotomia ou tenodese
  • 56.
    Vias de acesso Deltopeitoral(Henry)  + utilizada na maioria dos procedimentos no úmero  Paciente semi-sentado “cadeira de praia” (elevação tronco 45 a 60*)  Coxim medial a escapula http://traumatologiaeortopedia.com/ http://ortopediabrasil.blogspot.com.br/
  • 57.
  • 58.
  • 59.
    Vias de acesso Transdeltoide(transacromial)  Incisão face lateral do ombro com inicio borda lateral do acrômio estendendo-se maximo 4-5 cm  Abertura deltoide 5 cm no sentido das fibras  Indicação  acesso tubérculo maior para amarrilhas.Na utilização de placas não é boa via http://traumatologiaeortopedia.com/ http://ortopediabrasil.blogspot.com.br/