Click to add Text
Fraturas do rádio distal
www.traumatologiaeortopedia.com.br
Epidemiologia
• 1/6 das fraturas em Emergências
• 2 grupos : osteoporóticos e trauma de alta
energia em jovens
• 3 picos : 5 a 14 anos, homens abaixo 50a,
mulheres acima 40 a
Epidemiologia
• Maioria das fraturas em idosos é extra-
articular - resultado de queda
• Maior incidência de fraturas intra-
articulares é em pacientes mais jovens -
maioria secundária a acidente de veículo e
esporte
Diagnóstico
• Exame da função neurovascular e tendínea
completo e da deformidade
• Desvio dorsal com fragmento proximal
proeminente + hematoma pode resultar em
síndrome do túnel do carpo aguda - Dor em
queimação desproporcional ao trauma
• Pode ocorrer STC crônica
Diagnóstico
• Encurtamento do rádio relativo à ulna > 5
mm resulta em ruptura dos ligamentos da
ARU distal
• Fratura do rádio distal e cabeça do rádio
pode indicar energia suficiente para causar
lesão de Essex-Lopresti
www.traumatologiaeortopedia.com.br
Diagnóstico
• Fraturas expostas são tipicamente palmar e
ulnar, tendo em vista que rádio desloca
dorsal e extremidade da ulna expõe palmar.
• Extensor longo do polegar pode ser lesado
agudamente pelo tubérculo de Lister ou
sofrer ruptura espontânea tardia
Diagnóstico - Rx
• AP + P+ Oblíquas
• AP + P com tração
• Contralateral : avaliar variância ulnar e
ângulo escafolunar
• Alguns autores indicam TC para avaliar
melhor incongruência articular
Diagnóstico - Rx
• Importante : fazer perfil com 20º de
angulação radial em direção ao feixe de RX
para avaliar fossa lunar e possível
penetração da superfície articular por
parafuso durante cirurgia
• Esta angulação retira sombra do estilóide
radial
Classificação
• AO
• Fernandez
• Universal
• Frykman
• Melone
• Gartland e Werley
Considerações para Tratamento
• Objetivo: movimento livre de dor e
estabilidade para permitir atividades
normais
• Pouca concordância quanto a características
radiográficas que garantem este resultado
Incongruência Intra-articular
• Parâmetro mais importante para resultado
funcional e mudanças degenerativas
• Se 2 mm de incongruência - 100% têm
mudanças degenerativas em rx.
• Resultados funcionais da incongruência
continuam a ser debatidos, tendo alguns
autores não correlacionado incongruência
com má função
INCLINAÇÃO PALMAR
• Perda da inclinação palmar normal de 11 a
12 º tem efeito significante no resultado
clínico
• Perda da inclinação palmar normal
#McQueen aceita até 12 º de perda
# Porter até 20 º de perda
COMPRIMENTO RADIAL
• Encurtamento radial leva a perda de força
• #McQueen : > 2mm encurtamento
• #Jenkins: > 4mm encurtamento
www.traumatologiaeortopedia.com.br
INCLINAÇÃO RADIAL
• Carpo desliza ulnarmente em resposta à
perda da inclinação radial, resultando em
carga na ulna e no complexo da
fibrocartilagem triangular
• Deformidades frequentemente não ocorrem
em isolado, são tridimensionais (
inclinações + rotação). Isto dificulta
avaliação do efeito de cada deformidade
Mal-alinhamento carpal
• Algum grau de aumento do ângulo
escafolunar devido a flexão palmar do
escafóide pode ser aceitável
• Parece que semilunar dorsifletido (DISI) é
associado com pior resultado.
Parâmetros aceitáveis no RX
Fratura consolidada de radio em
Pacientes Ativos e Saudáveis
• Comprimento radial : 2 a 3 mm do punho
contralateral
• Inclinação palmar : 0 º(neutra)
• Degrau articular : < 2 mm
• Angulação Radial : < 5 º de perda
Anatomia Óssea
• Rádio distal
# metáfise: cortical mais fina dorsal e radial.
Colapso das fraturas dorsal e radial
#Faceta escafóide
#Faceta lunar
#Incisura sigmóide
Anatomia Óssea
• Estilóide radial roda palmarmente 15º fora
do eixo do rádio, isso dificulta acesso por
abordagem dorsal ao estilóide
• Cortical óssea mais forte palmar e ulnar
• Parâmetros: comprimento radial(12 mm),
angulação radial( 23º) e inclinação palmar
(11 a 12 º)
www.traumatologiaeortopedia.com.br
Anatomia Óssea
• NO AP: osso mais forte subjacente à faceta
lunar do rádio
• Inserção dos ligamentos R-U distais
palmares e para o lig radiolunar mais forte
• Deslocamento deste fragmento leva a
restrição da rotação e deslocamento palmar
do carpo
• Figura 26-10
Anatomia Ligamentar
• Palmares :lig extrínsecos são oblíquos desde
estilóde radial porém verticais na faceta
lunar
• Desvio ulnar restaura comprimento radial
mas pouco reduz faceta lunar
Anatomia Ligamentar
• Difícil conseguir redução a 12º de desvio
palmar usando só distração: ligamentos
dorsais em “Z”(mais horizontais) e mais
finos que palmares, os últimos tornando-se
tensos antes
www.traumatologiaeortopedia.com.br
Tratamento Conservador
• Dificuldade é prever posição final após
consolidação
• Fraturas estáveis que alcançam resultados
RXs traçados inicialmente
• Pacientes idosos de baixa demanda
Tratamento Conservador
# critérios de instabilidade
1) Cominuição dorsal do rádio que excede 30 %
2) Cominuição metafisária volar
3) Inclinação dorsal maior que 20º
4) Associação de fratura na ulna e encurtamento
excessivo do rádio
5) Afastamento dos fragmentos articulares maior
que 2 mm
Tratamento Conservador
• Considerações com relaçaõ ao paciente :
demandas, estado de saúde, estilo de vida,
comorbidades, trabalho.
OBS: faltam estudos randomizados definitivos para
papel do tto conservador.Porém existem alguns
trabalhos demonstrando que resultado clínico tem
pobre correlação com RXs
Tratamento Conservador
• Evitar flexão excessiva na tala: > 30º de
flexão eleva risco de sindrome tunel carpo
• Flexão excessiva +hematoma da fratura :
síndrome do tunel do carpo
• Posição de rotação adequada não é definida,
alguns dizem supinação , outros dizem não
ter diferença a longo prazo
Tratamento Conservador
• Rockwood : 30 graus de supinação.
• Rx com 7, 14 e 21 dias.
Tratamento Operatório
• Rockwood :Indicações
# fratura intra-articular cominutiva deslocada
#Fratura exposta
#Fratura associada do carpo
#Lesão neurovascular ou tendínea associada
#Falha no tratamento conservador
#Fraturas bilaterais
#Extremidade contra-lateral defeituosawww.traumatologiaeortopedia.com.br
Tratamento Operatório
Momento
#Depende das partes moles e do procedimento
proposto
#Agudamente ou quando edema diminuiu
suficientemente para prevenir complicações
#Com redução assistida por astroscopia tratamento
deve ser retardado no mínimo 3 a 5 dias : evitar
extravasamento do fluido de irrigação
Pinagem e gesso
• Indicado para fraturas extra-articulares e
simples articulares
• 1º estilóide 2º coluna intemediária (fossa
lunar) de dorsal ulnar para proximal radial
3º fragmentos impactados podem ser
suportados por fios subcondrais transversais
Pinagem e gesso
• Maior desvantagem: não elimina “doença
da fratura” – edema e rigidez dos dedos
• Infecção superficial dos pinos
• Fixação em diáfise proximal resulta em
orientação oblíqua dos pinos, a qual pouco
previne colapso dos fragmentos
Kapandji
• Fios intrafocais radial e dorsal servindo de
suporte
• Original 1 fio dorsal e 1 estilóide
• Modificada: 2 fios dorsais e 1 estilóide
• Tendência a translação do fragmento distal
• Efetivo para fraturas extra-articulares
Fixação externa
• Em relação a gesso e pinagem neutralizaria
forças axiais dos flexores e extensores
• Fixador externo sozinho pode não ser
suficiente para prevenir algum grau de
colapso e perda da inclinação palmar
• Está se introduzindo fixadores que incluem
fragmento distal do rádio, sem fazer ponte
transarticularwww.traumatologiaeortopedia.com.br
Fixação externa + Enxerto
• Visam à remoção precoce do fixador
externo para reabilitação( cerca de 3
semanas) sem colapso ósseo
• Existem alguns estudos demonstrando bons
resultados utilizando osso esponjoso
autólogo, allograft ou cimento ósseo
Fixação externa + Pinagem
• Aumenta estabilidade e previne perda de
redução com relação ao FE isolado
• Maior complicação é lesão do nervo radial
superficial
• Fazer incisão de 5 mm e utilizar
hemostática para liberar trajeto
• Colocar fig 26 19 1
• Figura 26-21
Fixador Externo
Overdistraction
• Distração Excessiva (DE) leva a piores
resultados funcionais, menor mobilidade,
menor força e maior dor
• Distração não reduz fragmentos afundados
que não tem ligamentos inseridos
• Fixador externo isolado não restaura 12º
palmar em frat extraarticular
Fixador Externo
Overdistraction
• DE + palmar flexão resultam em
encurtamento relativo dos extensores, o
qual limita flexão e pode levar a rigidez
• Suspeitar de DE quando gap na mediocarpal
na fluoroscopia ou quando há dificuldade
em conseguir mobilidade passiva completa
dos dedos
www.traumatologiaeortopedia.com.br
Fixador Externo
Lesão nervosa cutânea
• 16 a 20 % casos
• Disestesias tendem a resolver em 6 meses
• Pode precipitar complexo regional de dor
• Colocar pinos com minincisão diminui
riscos, além de mais dorsal
• Colocar Fig 26-20
• Figura 26-30
Fixador Externo
Infecção de pinos
• Fio de Kirschner : 6 a 33%
• Pinos da fixador externo : 1 a 8 %
• Não se sabe se pré broquear aumenta ou não
risco de infecçao
Fixação Externa
+ Redução aberta e fixação
interna
• Cominuição dorsal e volar de alta energia,
fragmentos não permitindo fixação interna
somente
• Varias coortes com sucesso
• Evita abordagem dupla dorsal e volar
• Figura 26-22
Fixador externo
+ Redução assistida por
artroscopia
• Alguns trabalhos demonstram vantagens
clínicas, outros não (a redução seria perdida
de qualquer maneira a posteriori)
• Figura 26-23
Fixação interna - Placa dorsal
• Vantagens:
• abordagem evita estruturas neurovasculares
palmares
• apoio é no local de compressão da maioria
das fraturas
Fixação interna - Placa dorsal
• Desvantagens:
• tendinite extensores ou ruptura,
particularmente no tubérculo de Lister
• parafusos distais tem de ser orientados
palmar e proximal, isto permite
deslocamento palmar de fragmentos -
incongruência ARUD e mais proeminência
dorsal www.traumatologiaeortopedia.com.br
• Figura 26 -24
• Fig 26 -24
Fixação interna - Placa volar
• Devido às complicações antes citadas,
muitos autores têm indicado fixação das
fraturas dorsalmente deslocadas através de
abordagem palmar - não dá apoio contra
dorsal deslocamento
• cuidar último parafuso para não penetrar
articulação
Fixação interna - Placa volar
• Não pode haver cominuição dorsal
• Abordagens
# entre flexor radial do carpo e artéria radial
– melhor exposição para coluna
radial(estilóide)
#entre flexores e feixe ulnar – acessa coluna
intemediária(fossa lunar)
• Fig 26-25
• Fig 26-26
• Fig 26-27
www.traumatologiaeortopedia.com.br
• Fig 26-28
Fratura Articular Palmar
Cisalhamento
• Redução anatômica articular e compressão
através da fratura
• Placa de apoio palmar é ideal
• Cuidar: placa deve apoiar fossa lunar e se
fratura dorso radial a placa submoldada
pode deslocar dorsalmente o fragmento
distal
• Fig 26-29
A,B Tração não reduziu córtex palmar C,D Placa
volar com cominuição estilóide radial residual E,F
placa de coluna radial utilizada( pode ser Fio K)
Fraturas do estilóide ulnar
• 60 a 70 % das fraturas de radio distal
• 5 mm ou mais de encurtamento radial
teoricamente significa fratura estilóide ulnar
ou ruptura TFCC
• Indicações cirúrgicas estão em evolução
Fraturas do estilóide ulnar
• Fratura da base do estilóide ulnar com
deslocamento significativo e/ou translação
palmar grosseira do rádio relativo à ulna
representa indicação para tratamento
• Manter punho em supinação durante reparo
www.traumatologiaeortopedia.com.br

Fratura radio distal

  • 1.
    Click to addText Fraturas do rádio distal www.traumatologiaeortopedia.com.br
  • 2.
    Epidemiologia • 1/6 dasfraturas em Emergências • 2 grupos : osteoporóticos e trauma de alta energia em jovens • 3 picos : 5 a 14 anos, homens abaixo 50a, mulheres acima 40 a
  • 3.
    Epidemiologia • Maioria dasfraturas em idosos é extra- articular - resultado de queda • Maior incidência de fraturas intra- articulares é em pacientes mais jovens - maioria secundária a acidente de veículo e esporte
  • 4.
    Diagnóstico • Exame dafunção neurovascular e tendínea completo e da deformidade • Desvio dorsal com fragmento proximal proeminente + hematoma pode resultar em síndrome do túnel do carpo aguda - Dor em queimação desproporcional ao trauma • Pode ocorrer STC crônica
  • 5.
    Diagnóstico • Encurtamento dorádio relativo à ulna > 5 mm resulta em ruptura dos ligamentos da ARU distal • Fratura do rádio distal e cabeça do rádio pode indicar energia suficiente para causar lesão de Essex-Lopresti www.traumatologiaeortopedia.com.br
  • 6.
    Diagnóstico • Fraturas expostassão tipicamente palmar e ulnar, tendo em vista que rádio desloca dorsal e extremidade da ulna expõe palmar. • Extensor longo do polegar pode ser lesado agudamente pelo tubérculo de Lister ou sofrer ruptura espontânea tardia
  • 7.
    Diagnóstico - Rx •AP + P+ Oblíquas • AP + P com tração • Contralateral : avaliar variância ulnar e ângulo escafolunar • Alguns autores indicam TC para avaliar melhor incongruência articular
  • 8.
    Diagnóstico - Rx •Importante : fazer perfil com 20º de angulação radial em direção ao feixe de RX para avaliar fossa lunar e possível penetração da superfície articular por parafuso durante cirurgia • Esta angulação retira sombra do estilóide radial
  • 9.
    Classificação • AO • Fernandez •Universal • Frykman • Melone • Gartland e Werley
  • 10.
    Considerações para Tratamento •Objetivo: movimento livre de dor e estabilidade para permitir atividades normais • Pouca concordância quanto a características radiográficas que garantem este resultado
  • 11.
    Incongruência Intra-articular • Parâmetromais importante para resultado funcional e mudanças degenerativas • Se 2 mm de incongruência - 100% têm mudanças degenerativas em rx. • Resultados funcionais da incongruência continuam a ser debatidos, tendo alguns autores não correlacionado incongruência com má função
  • 12.
    INCLINAÇÃO PALMAR • Perdada inclinação palmar normal de 11 a 12 º tem efeito significante no resultado clínico • Perda da inclinação palmar normal #McQueen aceita até 12 º de perda # Porter até 20 º de perda
  • 13.
    COMPRIMENTO RADIAL • Encurtamentoradial leva a perda de força • #McQueen : > 2mm encurtamento • #Jenkins: > 4mm encurtamento www.traumatologiaeortopedia.com.br
  • 14.
    INCLINAÇÃO RADIAL • Carpodesliza ulnarmente em resposta à perda da inclinação radial, resultando em carga na ulna e no complexo da fibrocartilagem triangular • Deformidades frequentemente não ocorrem em isolado, são tridimensionais ( inclinações + rotação). Isto dificulta avaliação do efeito de cada deformidade
  • 15.
    Mal-alinhamento carpal • Algumgrau de aumento do ângulo escafolunar devido a flexão palmar do escafóide pode ser aceitável • Parece que semilunar dorsifletido (DISI) é associado com pior resultado.
  • 16.
    Parâmetros aceitáveis noRX Fratura consolidada de radio em Pacientes Ativos e Saudáveis • Comprimento radial : 2 a 3 mm do punho contralateral • Inclinação palmar : 0 º(neutra) • Degrau articular : < 2 mm • Angulação Radial : < 5 º de perda
  • 17.
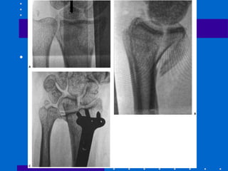
    Anatomia Óssea • Rádiodistal # metáfise: cortical mais fina dorsal e radial. Colapso das fraturas dorsal e radial #Faceta escafóide #Faceta lunar #Incisura sigmóide
  • 19.
    Anatomia Óssea • Estilóideradial roda palmarmente 15º fora do eixo do rádio, isso dificulta acesso por abordagem dorsal ao estilóide • Cortical óssea mais forte palmar e ulnar • Parâmetros: comprimento radial(12 mm), angulação radial( 23º) e inclinação palmar (11 a 12 º)
  • 22.
  • 23.
    Anatomia Óssea • NOAP: osso mais forte subjacente à faceta lunar do rádio • Inserção dos ligamentos R-U distais palmares e para o lig radiolunar mais forte • Deslocamento deste fragmento leva a restrição da rotação e deslocamento palmar do carpo
  • 24.
  • 25.
    Anatomia Ligamentar • Palmares:lig extrínsecos são oblíquos desde estilóde radial porém verticais na faceta lunar • Desvio ulnar restaura comprimento radial mas pouco reduz faceta lunar
  • 27.
    Anatomia Ligamentar • Difícilconseguir redução a 12º de desvio palmar usando só distração: ligamentos dorsais em “Z”(mais horizontais) e mais finos que palmares, os últimos tornando-se tensos antes
  • 28.
  • 29.
    Tratamento Conservador • Dificuldadeé prever posição final após consolidação • Fraturas estáveis que alcançam resultados RXs traçados inicialmente • Pacientes idosos de baixa demanda
  • 30.
    Tratamento Conservador # critériosde instabilidade 1) Cominuição dorsal do rádio que excede 30 % 2) Cominuição metafisária volar 3) Inclinação dorsal maior que 20º 4) Associação de fratura na ulna e encurtamento excessivo do rádio 5) Afastamento dos fragmentos articulares maior que 2 mm
  • 31.
    Tratamento Conservador • Consideraçõescom relaçaõ ao paciente : demandas, estado de saúde, estilo de vida, comorbidades, trabalho. OBS: faltam estudos randomizados definitivos para papel do tto conservador.Porém existem alguns trabalhos demonstrando que resultado clínico tem pobre correlação com RXs
  • 32.
    Tratamento Conservador • Evitarflexão excessiva na tala: > 30º de flexão eleva risco de sindrome tunel carpo • Flexão excessiva +hematoma da fratura : síndrome do tunel do carpo • Posição de rotação adequada não é definida, alguns dizem supinação , outros dizem não ter diferença a longo prazo
  • 34.
    Tratamento Conservador • Rockwood: 30 graus de supinação. • Rx com 7, 14 e 21 dias.
  • 35.
    Tratamento Operatório • Rockwood:Indicações # fratura intra-articular cominutiva deslocada #Fratura exposta #Fratura associada do carpo #Lesão neurovascular ou tendínea associada #Falha no tratamento conservador #Fraturas bilaterais #Extremidade contra-lateral defeituosawww.traumatologiaeortopedia.com.br
  • 36.
    Tratamento Operatório Momento #Depende daspartes moles e do procedimento proposto #Agudamente ou quando edema diminuiu suficientemente para prevenir complicações #Com redução assistida por astroscopia tratamento deve ser retardado no mínimo 3 a 5 dias : evitar extravasamento do fluido de irrigação
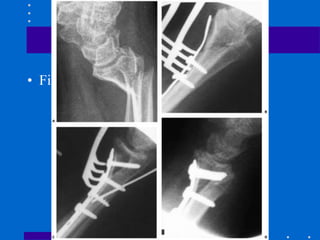
  • 37.
    Pinagem e gesso •Indicado para fraturas extra-articulares e simples articulares • 1º estilóide 2º coluna intemediária (fossa lunar) de dorsal ulnar para proximal radial 3º fragmentos impactados podem ser suportados por fios subcondrais transversais
  • 40.
    Pinagem e gesso •Maior desvantagem: não elimina “doença da fratura” – edema e rigidez dos dedos • Infecção superficial dos pinos • Fixação em diáfise proximal resulta em orientação oblíqua dos pinos, a qual pouco previne colapso dos fragmentos
  • 41.
    Kapandji • Fios intrafocaisradial e dorsal servindo de suporte • Original 1 fio dorsal e 1 estilóide • Modificada: 2 fios dorsais e 1 estilóide • Tendência a translação do fragmento distal • Efetivo para fraturas extra-articulares
  • 44.
    Fixação externa • Emrelação a gesso e pinagem neutralizaria forças axiais dos flexores e extensores • Fixador externo sozinho pode não ser suficiente para prevenir algum grau de colapso e perda da inclinação palmar • Está se introduzindo fixadores que incluem fragmento distal do rádio, sem fazer ponte transarticularwww.traumatologiaeortopedia.com.br
  • 45.
    Fixação externa +Enxerto • Visam à remoção precoce do fixador externo para reabilitação( cerca de 3 semanas) sem colapso ósseo • Existem alguns estudos demonstrando bons resultados utilizando osso esponjoso autólogo, allograft ou cimento ósseo
  • 47.
    Fixação externa +Pinagem • Aumenta estabilidade e previne perda de redução com relação ao FE isolado • Maior complicação é lesão do nervo radial superficial • Fazer incisão de 5 mm e utilizar hemostática para liberar trajeto
  • 49.
  • 50.
  • 51.
    Fixador Externo Overdistraction • DistraçãoExcessiva (DE) leva a piores resultados funcionais, menor mobilidade, menor força e maior dor • Distração não reduz fragmentos afundados que não tem ligamentos inseridos • Fixador externo isolado não restaura 12º palmar em frat extraarticular
  • 52.
    Fixador Externo Overdistraction • DE+ palmar flexão resultam em encurtamento relativo dos extensores, o qual limita flexão e pode levar a rigidez • Suspeitar de DE quando gap na mediocarpal na fluoroscopia ou quando há dificuldade em conseguir mobilidade passiva completa dos dedos www.traumatologiaeortopedia.com.br
  • 53.
    Fixador Externo Lesão nervosacutânea • 16 a 20 % casos • Disestesias tendem a resolver em 6 meses • Pode precipitar complexo regional de dor • Colocar pinos com minincisão diminui riscos, além de mais dorsal
  • 54.
  • 55.
  • 56.
    Fixador Externo Infecção depinos • Fio de Kirschner : 6 a 33% • Pinos da fixador externo : 1 a 8 % • Não se sabe se pré broquear aumenta ou não risco de infecçao
  • 57.
    Fixação Externa + Reduçãoaberta e fixação interna • Cominuição dorsal e volar de alta energia, fragmentos não permitindo fixação interna somente • Varias coortes com sucesso • Evita abordagem dupla dorsal e volar
  • 58.
  • 59.
    Fixador externo + Reduçãoassistida por artroscopia • Alguns trabalhos demonstram vantagens clínicas, outros não (a redução seria perdida de qualquer maneira a posteriori)
  • 60.
  • 61.
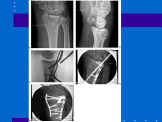
    Fixação interna -Placa dorsal • Vantagens: • abordagem evita estruturas neurovasculares palmares • apoio é no local de compressão da maioria das fraturas
  • 62.
    Fixação interna -Placa dorsal • Desvantagens: • tendinite extensores ou ruptura, particularmente no tubérculo de Lister • parafusos distais tem de ser orientados palmar e proximal, isto permite deslocamento palmar de fragmentos - incongruência ARUD e mais proeminência dorsal www.traumatologiaeortopedia.com.br
  • 63.
  • 64.
  • 65.
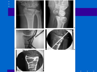
    Fixação interna -Placa volar • Devido às complicações antes citadas, muitos autores têm indicado fixação das fraturas dorsalmente deslocadas através de abordagem palmar - não dá apoio contra dorsal deslocamento • cuidar último parafuso para não penetrar articulação
  • 66.
    Fixação interna -Placa volar • Não pode haver cominuição dorsal • Abordagens # entre flexor radial do carpo e artéria radial – melhor exposição para coluna radial(estilóide) #entre flexores e feixe ulnar – acessa coluna intemediária(fossa lunar)
  • 67.
  • 68.
  • 69.
  • 70.
  • 71.
  • 72.
    Fratura Articular Palmar Cisalhamento •Redução anatômica articular e compressão através da fratura • Placa de apoio palmar é ideal • Cuidar: placa deve apoiar fossa lunar e se fratura dorso radial a placa submoldada pode deslocar dorsalmente o fragmento distal
  • 73.
  • 74.
    A,B Tração nãoreduziu córtex palmar C,D Placa volar com cominuição estilóide radial residual E,F placa de coluna radial utilizada( pode ser Fio K)
  • 77.
    Fraturas do estilóideulnar • 60 a 70 % das fraturas de radio distal • 5 mm ou mais de encurtamento radial teoricamente significa fratura estilóide ulnar ou ruptura TFCC • Indicações cirúrgicas estão em evolução
  • 78.
    Fraturas do estilóideulnar • Fratura da base do estilóide ulnar com deslocamento significativo e/ou translação palmar grosseira do rádio relativo à ulna representa indicação para tratamento • Manter punho em supinação durante reparo
  • 80.