O QUE EU NÃO FAÇO MAIS EM FIXAÇÃO EXTERNA? Walter Targa
Fios K na diáfise e metáfise Alongamento do fêmur
Alongamento completado Joelho rígido
GRANDES ALONGAMENTOS
ALONGAMENTO 13 cm, DEVE SER FEITO ?? GRANDES ALONGAMENTOS
O QUE EU NÃO FAÇO MAIS EM FIXAÇÃO EXTERNA? FRATURA DE TIBIA Haste intramedular bloqueada FRATURA DE 1/3 DISTAL DO RÁDIO Placa volar / dorsal
FIXAÇÃO EXTERNA: Vantagens da fixação interna: recuperação articular precoce Vantagens tratamento conservador: não agride partes moles Risco de infecção
ILIZAROV: Mantém comprimento ósseo Reduz desvios sem desvitalização Respeita o tegumento CARGA PRECOCE RESOLVE  PERDAS ÓSSEAS
FRATURA  DOS OSSOS DA PERNA BILATERAL
FRATURA  DOS OSSOS DA PERNA BILATERAL
FRATURA  DOS OSSOS DA PERNA BILATERAL
FRATURA  DOS OSSOS DA PERNA BILATERAL
FRATURA  DOS OSSOS DA PERNA BILATERAL
FRATURA  DOS OSSOS DA PERNA BILATERAL
 
YF 72a FUMANTE
 
 
FRATURA  DOS OSSOS DA PERNA
 
 
LITERATURA A prospective, randomized study of intramedullary nails inserted with and without reaming for the treatment of open and closed fractures of the tibial shaft  J Orthop Trauma. 2000 Mar-Apr; 14(3):187-93 Intramedullary nailing of lower leg fractures with minimal soft tissue injuries  Orthopade. 1996 Jun; 25(3): 197-206 A review of biomechanical studies of intramedullary nails   Med Eng Phys. 1995 Jul; 17 (5):323-31 The treatment of closed, unstable tibial fractures with unreamed interlocking nails   Clin Orthop Relat Res. 1995 Jun; (315): 48-55 The treatment of open tibial fractures unsing an interlocked intramedullary nail without reaming   J Orthop Trauma. 1994 Dec; 8 (6): 504-10 + 50 PUPLICAÇÕES Fonte: Biblioteca virtual da SBOT
Fixador monoaxial de tíbia conversão
Deformidade em varo Poller
Erro no ponto de entrada Ponto de entrada muito medial
Erro no ponto de entrada haste saliente Dor persistente no joelho
 
B C .1 .2 .3 .1 .2 .3 .1 .2 .3 .1 .2 .3 .1 .2 .3 .1 .2 .3 .1 .2 .3 .1 .2 .3 .1 .2 .3 2 3 23 1 2 3 1 2 3 1 2 3 A 22 21 CLASSIFICAÇÃO AO
Fixador monoaxial Orthofix Fratura do terco distal da t’ibia
Técnica cirúrgica
Use 70/20 mm screws, not 85/35 mm Técnica cirúrgica
Técnica cirúrgica
Técnica cirúrgica
 
 
 
 
Fixador externo e fios de Kirschner
FRATURAS DO TERÇO DISTAL DO RÁDIO USO DE PLACAS 37 PUBLICAÇÕES Fonte: biblioteca virtual da SBOT
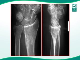
Fratura instável & Osteoporose
 
 
 
 
Fratura Instável
Fixação Interna
 
Placa DVR
Placa Ortogonal
 
Placa Locon-T (Wright) LCP  ORTOGONAL
Fig. 6: Balenciaga em 1962. Fig. 7: Coleção verão 2006 criada por Nicolai. Original Mariana Raquel
NOVA MODA VERÃO 2008
MAU RESULTADO CLÍNICO OSTEOPOROSE
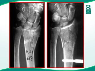
MAU RESULTADO CLÍNICO FRATURA DE ALTA ENERGIA
MAU RESULTADO CLÍNICO FRATURA DE ALTA ENERGIA
QUE SAUDADE DO FIXADOR EXTERNO...

Aula de Fixação Externa

Notas do Editor

  • #30 This shows the Pennig Wrist Fixator on a sawbone. You can see that here it is bridging the joint, with bone screws in the second metacarpal and the radial shaft. Now let’s look at the fixator in more detail.
  • #31 Here are the first and second screws going in. The Image Intensifier picture shows that both cortices have been penetrated.
  • #32 This ensures that the radial nerve can be identified, moved out of the way gently with a retractor if necessary, and not damaged.
  • #33 This line corresponds with the axis of rotation of the wrist joint. Now if the surgeon wants to mobilize the wrist joint after about 3 weeks, the distal ball joint is loosened, and gentle flexion and extension allowed.
  • #34 This allows manipulation and reduction of the fracture while distancing the surgeon’s hands from the X-ray beam.
  • #35 Here’s a nasty comminuted, articular fracture of the distal radius treated by bridging the joint with the fixator.
  • #36 Here’s the healed result.
  • #37 This shows the use of the Fragment Fixation System implants as a supplementary technique to restore the articular surface of the radius and reattach the ulnar styloid.
  • #38 Here is the excellent functional result.
  • #40 Here is the excellent functional result.