Pigmentações Patológicas Calcificações e Concreções UNIVERSIDADE FEDERAL DO PARANÁ COORDENAÇÃO DO CURSO DE MEDICINA VETERINÁRIA DISCIPLINA DE PATOLOGIA VETERINÁRIA Prof. Raimundo Tostes
O Que é Pigmento? Substância anormal que não pode ser   metabolizada ou removida . Ex.: Carvão, tinta sintética, melanina.
Endógenos Exógenos Pigmentos “ Pigmento“ é uma denominação genérica. Pode ser  exógeno  ou  endógeno  e seu acúmulo pode ou não ser patológico.
Pigmentos Exógenos Pneumoconioses Carvão (antracose) Sílica (silicose) Asbestos (asbestose) Outras: Tatuagem
 
 
 
 
Pigmentos Endógenos Melanina pigmento que dá o tom escuro à pele Melanose localização ectópica de melanina ex.: meninges, pleura, coração
 
 
Estudar os conceitos de: Melanina Melanócito Melanóforo
Pigmentos lipídicos derivam da oxidação e polimerização de lipídeos não saturados Pigmentos Endógenos Ceróide encontrado em macrófagos após lesões teciduais ou hemorragias ou ambas. É marrom e granular. Lipofuscina acúmulo de lipídeos parcialmente fagocitado em lisossomos. É marrom-amarelado.
 
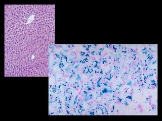
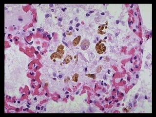
Pigmentos Endógenos Hemossiderina Sulfometahemoglobina (Pseudomelanose) Hematina ácida Hematina parasitária Derivados da Hemoglobina
BAÇO MEDULA ÓSSEA FÍGADO hemoglobina heme globina transportada no plasma pela albumina conjugada com ác. glicorônico secretada como pigmento biliar combinada com apotransferrina transportado no plasma como transferrina formação de mais hemoglobina nas hemáceas ferro bilirrubina reaproveitada
Hemossiderina azulado   ou   esverdeado    marrom esverdeado   marrom : hemoglobina    heme    hemossiderina
Pigmentos Endógenos Hemossiderina Deriva da destruição das hemáceas. É uma forma de armazenamento de ferro. Pode acumular devido a: 1) Excessiva destruição de hemáceas 2) Excessiva absorção intestinal de ferro Derivados da Hemoglobina
 
 
Pigmentos Derivados da Hemoglobina O que é Bilirrubina? Deriva da fração heme da Hgb e sofre um processo de conjugação no fígado que é fundamental para a constituição dos ácidos biliares.
Cinética da Bilirrubina Hemáceas Senescentes HEME BILIVERDINA COMPLEXO BILIRRUBINA-ALBUMINA Cél. Fagocítica Mononuclear Heme Oxigenase Biliverdina Redutase Hepatócito Glucuronídio de Bilirrubina Canalículo Biliar Sangue Ductos Biliares Duodeno Duodeno Cólon Urobilinogênio
O que acontece se houver acúmulo de Bilirrubina? Icterícia É uma quantidade superior a 3mg/dl de bilirrubina no sangue.
 
 
Hemáceas velhas Outras fontes Sangue Sistêmico Bilirrubina não conjugada Bilirrubina conjugada Ácido Glicurônico INTESTINO FÍGADO DUCTO BILIAR VEIA PORTA SISTEMA FAGOCÍTICO MONONUCLEAR HEME Bilirrubina não conjugada 80 a 85% 15 a 20% Bilirrubina conjugada Urina RIM Estercobilina FEZES 85 a 90% Bilirrubina Conjugada Redução bacteriana Urobilinogênio
hemoglobina Sistema Monocítico Fagocitário FÍGADO RIM 85% Urobilinogênio fecal presente NORMAL bilirrubina não-conjugada bilirrubina conjugada bilirrubina biliar presente
Tipos de Icterícia Icterícia Pré-Hepática Hemolítica Hemólise intravascular Excesso de bilirrubina não-conjugada Observa-se acúmulo de bilirrubina não-conjugada
Tipos de Icterícia Icterícia Pré-Hepática Hemolítica Qualquer agente que cause hemólise e que a quantidade de bilirrubina liberada exceda a capacidade de conjugação e eliminação do fígado. Observa-se acúmulo de bilirrubina não-conjugada
Sistema Monocítico Fagocitário FÍGADO RIM ICTERÍCIA PRÉ-HEPÁTICA (Hemolítica) hemoglobina  bilirrubina não-conjugada bilirrubina conjugada    excreção de bilirrubina biliar Urobilinogênio fecal aumentado
Exemplos de Agentes que Provocam Icterícia do Tipo Pré-Hepática Babesiose Leptospirose Anemia Infecciosa Eqüina Acidentes ofídicos Hemorragias internas Transfusão sangüínea incompatível
Estudar o significado de: Hemólise Conjugação da bilirrubina Anemia hemolítica Leptospirose Babesiose Anemia Infecciosa Eqüina
 
Tipos de Icterícia Icterícia Hepatocítica Lesão direta aos hepatócitos, impedindo o metabolismo da bilirrubina. Ocorre nas hepatites e nas neoplasias: Observa-se acúmulo de bilirrubina conjugada e não-conjugada
hemoglobina Sistema Monocítico Fagocitário bilirrubina conjugada FÍGADO RIM ICTERÍCIA HEPÁTICA    excreção de bilirrubina biliar refluxo de bilirrubina não-conjugada refluxo de bilirrubina conjugada  urobilinogênio fecal
Exemplos de Icterícia Hepatocítica Hepatites Infecciosas Hepatites Tóxicas Neoplasias
Estudar o significado de: Hepatite Neoplasia Causas de hepatite: Vírus (Adenovírus Canino – 1) Leptospirose (Leptospira  spp )
 
 
Tipos de Icterícia Icterícia Pós-hepática (Defeito no transporte) Obstrução ao fluxo normal da bile.  A bilirrubina conjugada não atinge o intestino. Observa-se acúmulo de bilirrubina conjugada
hemoglobina Sistema Monocítico Fagocitário bilirrubina conjugada FÍGADO RIM urobilinogênio fecal ausente ICTERÍCIA PÓS-HEPÁTICA refluxo de bilirrubina não-conjugada  urobilinogênio na urina: bilirrubina conjugada presente refluxo de bilirrubina conjugada secreção bilirrubina biliar ausente
Exemplos de Icterícia Pós-Hepática Obstrução por parasitas Cirrose Colangites Cálculos Neoplasias
Estudar o significado de: Cirrose Colangite Colecistite Fasciola hepatica Platynosomum  spp Cálculo biliar
 
 
 
Calcificações Patológicas Distrófica Metastática
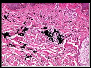
Calcificação Distrófica Lesão Tecidual Degeneração Necrose Perda da proteção osmótico/coloidal da célula Precipitação de sais de Ca
 
 
Calcificação Metastática Deposição sais Ca em membranas basais e fibras elásticas: Níveis altos Ca sérico Sensibilizador para o Ca nos tecidos
Exemplo de Calcificação Metastática Hiperparatireoidismo
PRIMÁRIO SECUNDÁRIO Hiperparatireoidismo Aumento do PPT Paratireóide Insuficiência Renal Retenção de PO 4  níveis baixos de Ca 2+ Deficiência de Vit. D Intestino Delgado Diminuída absorção de Ca 2+ Síndrome Paratireóidea (ex. Carcinoma Renal) Carcinoma Adenoma Hiperplasia Prof. Raimundo A Tostes
Calcificação Metastática Excesso de Vit. D Hiperparatireoidismo Plantas Calcinogênicas
Intoxicação por Plantas Calcinogênicas Solanum malacoxylon Nierembergia veitchii
 
 
 
 
 
Patogênese dos Cálculos 1. Cálculo primário ou Metabólico Ex.:Dieta (Cães e Gatos Cálculos de Estruvita (hexa-hidrato de fosfato de amônio-magnésio)   Cálculos de Oxalato de Ca p H ácido alcalino
Patogênese dos Cálculos 2. Cálculo secundário ou Concreção NÚCLEO Céls. Descamadas Bactérias ou Fibrina Cálculo Primário Corpo Estranho
Localizações dos Cálculos Salivar Biliar Renal Intestinal Vesical Dentária
 
 
 
 
 
 
Resumo da Aula Pigmentações: Definição, tipos e origem dos pigmentos Pigmentação patológica e sua importância Calcificações Patológicas: Tipos, origem e exemplos Calculoses

Aula de Pigmentações

  • 1.
    Pigmentações Patológicas Calcificaçõese Concreções UNIVERSIDADE FEDERAL DO PARANÁ COORDENAÇÃO DO CURSO DE MEDICINA VETERINÁRIA DISCIPLINA DE PATOLOGIA VETERINÁRIA Prof. Raimundo Tostes
  • 2.
    O Que éPigmento? Substância anormal que não pode ser metabolizada ou removida . Ex.: Carvão, tinta sintética, melanina.
  • 3.
    Endógenos Exógenos Pigmentos“ Pigmento“ é uma denominação genérica. Pode ser exógeno ou endógeno e seu acúmulo pode ou não ser patológico.
  • 4.
    Pigmentos Exógenos PneumoconiosesCarvão (antracose) Sílica (silicose) Asbestos (asbestose) Outras: Tatuagem
  • 5.
  • 6.
  • 7.
  • 8.
  • 9.
    Pigmentos Endógenos Melaninapigmento que dá o tom escuro à pele Melanose localização ectópica de melanina ex.: meninges, pleura, coração
  • 10.
  • 11.
  • 12.
    Estudar os conceitosde: Melanina Melanócito Melanóforo
  • 13.
    Pigmentos lipídicos derivamda oxidação e polimerização de lipídeos não saturados Pigmentos Endógenos Ceróide encontrado em macrófagos após lesões teciduais ou hemorragias ou ambas. É marrom e granular. Lipofuscina acúmulo de lipídeos parcialmente fagocitado em lisossomos. É marrom-amarelado.
  • 14.
  • 15.
    Pigmentos Endógenos HemossiderinaSulfometahemoglobina (Pseudomelanose) Hematina ácida Hematina parasitária Derivados da Hemoglobina
  • 16.
    BAÇO MEDULA ÓSSEAFÍGADO hemoglobina heme globina transportada no plasma pela albumina conjugada com ác. glicorônico secretada como pigmento biliar combinada com apotransferrina transportado no plasma como transferrina formação de mais hemoglobina nas hemáceas ferro bilirrubina reaproveitada
  • 17.
    Hemossiderina azulado ou esverdeado  marrom esverdeado  marrom : hemoglobina  heme  hemossiderina
  • 18.
    Pigmentos Endógenos HemossiderinaDeriva da destruição das hemáceas. É uma forma de armazenamento de ferro. Pode acumular devido a: 1) Excessiva destruição de hemáceas 2) Excessiva absorção intestinal de ferro Derivados da Hemoglobina
  • 19.
  • 20.
  • 21.
    Pigmentos Derivados daHemoglobina O que é Bilirrubina? Deriva da fração heme da Hgb e sofre um processo de conjugação no fígado que é fundamental para a constituição dos ácidos biliares.
  • 22.
    Cinética da BilirrubinaHemáceas Senescentes HEME BILIVERDINA COMPLEXO BILIRRUBINA-ALBUMINA Cél. Fagocítica Mononuclear Heme Oxigenase Biliverdina Redutase Hepatócito Glucuronídio de Bilirrubina Canalículo Biliar Sangue Ductos Biliares Duodeno Duodeno Cólon Urobilinogênio
  • 23.
    O que acontecese houver acúmulo de Bilirrubina? Icterícia É uma quantidade superior a 3mg/dl de bilirrubina no sangue.
  • 24.
  • 25.
  • 26.
    Hemáceas velhas Outrasfontes Sangue Sistêmico Bilirrubina não conjugada Bilirrubina conjugada Ácido Glicurônico INTESTINO FÍGADO DUCTO BILIAR VEIA PORTA SISTEMA FAGOCÍTICO MONONUCLEAR HEME Bilirrubina não conjugada 80 a 85% 15 a 20% Bilirrubina conjugada Urina RIM Estercobilina FEZES 85 a 90% Bilirrubina Conjugada Redução bacteriana Urobilinogênio
  • 27.
    hemoglobina Sistema MonocíticoFagocitário FÍGADO RIM 85% Urobilinogênio fecal presente NORMAL bilirrubina não-conjugada bilirrubina conjugada bilirrubina biliar presente
  • 28.
    Tipos de IcteríciaIcterícia Pré-Hepática Hemolítica Hemólise intravascular Excesso de bilirrubina não-conjugada Observa-se acúmulo de bilirrubina não-conjugada
  • 29.
    Tipos de IcteríciaIcterícia Pré-Hepática Hemolítica Qualquer agente que cause hemólise e que a quantidade de bilirrubina liberada exceda a capacidade de conjugação e eliminação do fígado. Observa-se acúmulo de bilirrubina não-conjugada
  • 30.
    Sistema Monocítico FagocitárioFÍGADO RIM ICTERÍCIA PRÉ-HEPÁTICA (Hemolítica) hemoglobina  bilirrubina não-conjugada bilirrubina conjugada  excreção de bilirrubina biliar Urobilinogênio fecal aumentado
  • 31.
    Exemplos de Agentesque Provocam Icterícia do Tipo Pré-Hepática Babesiose Leptospirose Anemia Infecciosa Eqüina Acidentes ofídicos Hemorragias internas Transfusão sangüínea incompatível
  • 32.
    Estudar o significadode: Hemólise Conjugação da bilirrubina Anemia hemolítica Leptospirose Babesiose Anemia Infecciosa Eqüina
  • 33.
  • 34.
    Tipos de IcteríciaIcterícia Hepatocítica Lesão direta aos hepatócitos, impedindo o metabolismo da bilirrubina. Ocorre nas hepatites e nas neoplasias: Observa-se acúmulo de bilirrubina conjugada e não-conjugada
  • 35.
    hemoglobina Sistema MonocíticoFagocitário bilirrubina conjugada FÍGADO RIM ICTERÍCIA HEPÁTICA  excreção de bilirrubina biliar refluxo de bilirrubina não-conjugada refluxo de bilirrubina conjugada  urobilinogênio fecal
  • 36.
    Exemplos de IcteríciaHepatocítica Hepatites Infecciosas Hepatites Tóxicas Neoplasias
  • 37.
    Estudar o significadode: Hepatite Neoplasia Causas de hepatite: Vírus (Adenovírus Canino – 1) Leptospirose (Leptospira spp )
  • 38.
  • 39.
  • 40.
    Tipos de IcteríciaIcterícia Pós-hepática (Defeito no transporte) Obstrução ao fluxo normal da bile. A bilirrubina conjugada não atinge o intestino. Observa-se acúmulo de bilirrubina conjugada
  • 41.
    hemoglobina Sistema MonocíticoFagocitário bilirrubina conjugada FÍGADO RIM urobilinogênio fecal ausente ICTERÍCIA PÓS-HEPÁTICA refluxo de bilirrubina não-conjugada  urobilinogênio na urina: bilirrubina conjugada presente refluxo de bilirrubina conjugada secreção bilirrubina biliar ausente
  • 42.
    Exemplos de IcteríciaPós-Hepática Obstrução por parasitas Cirrose Colangites Cálculos Neoplasias
  • 43.
    Estudar o significadode: Cirrose Colangite Colecistite Fasciola hepatica Platynosomum spp Cálculo biliar
  • 44.
  • 45.
  • 46.
  • 47.
  • 48.
    Calcificação Distrófica LesãoTecidual Degeneração Necrose Perda da proteção osmótico/coloidal da célula Precipitação de sais de Ca
  • 49.
  • 50.
  • 51.
    Calcificação Metastática Deposiçãosais Ca em membranas basais e fibras elásticas: Níveis altos Ca sérico Sensibilizador para o Ca nos tecidos
  • 52.
    Exemplo de CalcificaçãoMetastática Hiperparatireoidismo
  • 53.
    PRIMÁRIO SECUNDÁRIO HiperparatireoidismoAumento do PPT Paratireóide Insuficiência Renal Retenção de PO 4 níveis baixos de Ca 2+ Deficiência de Vit. D Intestino Delgado Diminuída absorção de Ca 2+ Síndrome Paratireóidea (ex. Carcinoma Renal) Carcinoma Adenoma Hiperplasia Prof. Raimundo A Tostes
  • 54.
    Calcificação Metastática Excessode Vit. D Hiperparatireoidismo Plantas Calcinogênicas
  • 55.
    Intoxicação por PlantasCalcinogênicas Solanum malacoxylon Nierembergia veitchii
  • 56.
  • 57.
  • 58.
  • 59.
  • 60.
  • 61.
    Patogênese dos Cálculos1. Cálculo primário ou Metabólico Ex.:Dieta (Cães e Gatos Cálculos de Estruvita (hexa-hidrato de fosfato de amônio-magnésio) Cálculos de Oxalato de Ca p H ácido alcalino
  • 62.
    Patogênese dos Cálculos2. Cálculo secundário ou Concreção NÚCLEO Céls. Descamadas Bactérias ou Fibrina Cálculo Primário Corpo Estranho
  • 63.
    Localizações dos CálculosSalivar Biliar Renal Intestinal Vesical Dentária
  • 64.
  • 65.
  • 66.
  • 67.
  • 68.
  • 69.
  • 70.
    Resumo da AulaPigmentações: Definição, tipos e origem dos pigmentos Pigmentação patológica e sua importância Calcificações Patológicas: Tipos, origem e exemplos Calculoses

Notas do Editor

  • #22 Bilirrubina: Deriva da fração heme da Hgb e sofre um processo de conjugação no fígado que é fundamental para a constituição dos ácidos biliares.
  • #24 Icterícia: Significa que há uma quantidade superior a 3mg/dl de bilirrubina no sangue.
  • #62 Cálculo primário ou metabólico: aumento do número de cristalóides na secreção.
  • #63 Presença de massas sólidas agindo como um núcleo, em torno do qual os cristalóides se precipitam.