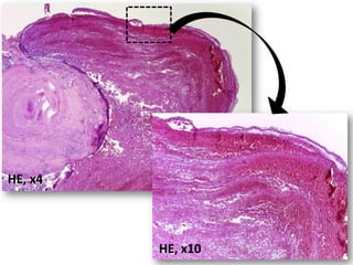
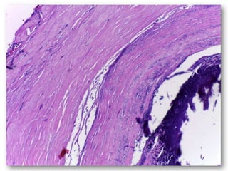
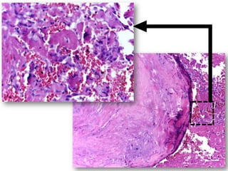
Uma mulher de 72 anos apresentou um nódulo assintomático na mucosa labial inferior há cerca de três meses. Após biópsia, o diagnóstico foi de flebólito, descartando as hipóteses iniciais de miofibroma ou neurofibroma.
• Paciente dosexo feminino, 72 anos de idade; e
que apresenta nódulo bem delimitado
assintomático em mucosa labial inferior com
evolução de cerca de três meses.