+




    Resposta leucocitária

          Samantha Ive Miyashiro,M.V., MSc
             Dpto Clínica Médica - FMVZ/USP
                   LHSP – Laboratório Hípico
Hematopoiese e linfopoiese



              Mielóide   Linfóide




                                    Wikipedia
+
    Proliferação e maturação



                  Monoblasto                                            Monócito



                                                                            Basófilo


    Mieloblasto
                                                                        Eosinófilo



                  Promielócito   Mielócito   Metamielócito Bastonete Neutrófilo



          Granulócitos: 4-5 divisões – 1 mieloblasto:16 a 32 granulócitos
+
    Alterações leucocitárias
       Quantitativas e qualitativas

       Dinâmica extrema!
+
    Contagem relativa x absoluta



         Neutrófilos

                                                  50000

                                            65%
                                    10000
                       1000   65%
            65%                                   1000
                       200          200
      Bastonetes =     20%           2%            2%
+
    Neutrófilos

       Atividade fagocítica e antimicrobiana nos tecidos
           Quimiotaxia
           Liberação de mediadores químicos

       Produção na medula óssea: ~ 5 a 7 dias

       Vida média na circulação periférica ~4 -8 h

       Reserva medular: ~ 5 dias
Proliferação    Maturação
         Mieloblasto    Metamielócito
Medula                   Bastonete
óssea    Promielócito
          Mielócito     Segmentado        Armazenamento

         Sangue          Pool Marginal       Cão: 5,4  108/kg
                                             Gato:7,8  108/kg
                                             Cão: 4,8  108/kg
                        Pool Circulante      Gato: 21  108/kg




         Tecidos
+
    Neutrofilia


                     Fisiológica: estresse
                         liberação de adrenalina/cortisol

                     Reativa:

                      inflamação aguda ou crônica
                         infecções (sistêmicas/locais)
                         necrose
+
    Desvio à esquerda
     Regenerativo:
        leucocitose discreta a marcante
        reflete boa resposta medular à demanda
        piramidal e completa
        tempo necessário: 3 a 5 dias


     Degenerativo:
        formas imaturas > neutrófilos segmentados
        tempo insuficiente ou incapacidade de resposta medular
        mau prognóstico



      Promielócito   Mielócito   Metamielócito Bastonete Neutrófilo
Alterações morfológicas


 Citoplasmáticas:
  alterações tóxicas
  corpúsculos de inclusão,
   organismos ou elementos
   sangüíneos fagocitados
  artefatos

 Nucleares:
    hipersegmentação ou
     hiposegmentação

 Tamanho     ou forma:
    neutrófilos gigantes
+
    Alterações tóxicas


     Corpúsculos     de Döhle

     Basofilia   citoplasmática

     Granulações     tóxicas

     Vacuolização

     Alterações    nucleares

     Células   gigantes
Monócitos


   Em pequeno número na
    circulação
   Reposição de macrófagos
    tissulares
   Função:
       fagocitose
       regulação da resp inflamatória
        pela liberação de mediadores
       processamento do antígeno
        para apresentação aos linf
        (iniciação da resposta imune)
       participação na regulação dos
        estoques de Fe
+
    Monócitos

       Monocitose:
           aumento do requerimento de macrófagos
               inflamação
               necessidade de fagocitose
               necrose tecidual
           corticosteróides
+
    (Processo inflamatório)


     Plaquetas
      fragmentos citoplasmáticos de megacariócitos
      grânulos com mediadores inflamatórios e envolvidos
       nos processos de coagulação
+
    Megacariócito
Formação em rouleaux

   “empilhamento” das hemácias
        Correlação positiva com VHS
        Associada à alteração da
         carga da superfície de
         membrana (potencial zeta)
         cavalos têm carga de
         membrana diminuída

   Intensidade
        Depende das caract da
         espécie ou relacionada a
         doença
             ↑ proteínas (↑ fibr, ↑ glob)
               diminui efeito das
              cargas negat de superfície
              repelentes das hes 
              Rouleaux
+
    Eosinófilos

       Produção na MO ~ 5 dias, no sangue periférico a vida média
        é de horas

       Interage com mastócitos em quadros de hipersensibilidade
        (imediata ou tardia)

       Propriedades parasiticidas
           anticorpos, complemento

       Não têm ação antibacteriana
+
    Eosinófilos

       Eosinofilia
           Infecções:
           parasitas, recuperação de infecções
           Reações de hipersensibilidade:
             alergias
           Neoplasias
           Drogas
           Síndrome hipereosinofílica

       Eosinopenia
           Infecções agudas
           hipercortisolemia (endógena ou exógena)
           liberação de adrenalina por medo ou exercício extremo
+
    Basófilos

       Quantidade muito pequena na circulação

       Vida média:
           na circulação periférica: horas
           nos tecidos: algumas semanas

       Produzem várias citocinas (semelhantes às dos mastócitos):
           grânulos contém histamina, heparina, PAF etc
+
    Basofilia

       Basofilia ( 2%)
           Principais causas:
               parasitismo (eg, dirofilariose)
               reações de hipersensibilidade
               e, ocasionalmente:

                 mastocitomas
                 hiperlipidemia
+
    Linfócitos

     Origem:
        células precursoras na medula e tecido linfóide

     Diferenciação
                  em células imunocompetentes
     (“maturação”):
        órgãos linfáticos primários:
            medula óssea (linfócitos B)
            timo (linfócitos T)

     Ativação
        órgãos linfóides secundários (linfonodos, baço, GALT)
+
    Linfócitos
    IMUNIDADE INATA                                 IMUNIDADE ADAPTATIVA

        Microrganismo          Linfócitos B                                        Anticorpos




     Barreiras epiteliais


                                                  Linfócitos T                             céls T
                                                                                          efetoras
         Fagócitos




Complemento        NK
0           6           12             1             2              3          4            5
         Horas                                                   Dias
                             Tempo após a infecção

                                              Robbins & Cotran, Pathologic Basis of Disease, 2004.
+
    Linfócitos


    O sangue contém apenas uma pequena
     parcela dos linfócitos totais
     Têm vida longa e são capazes de divisão e
     recirculação sangüínea
     Alterações
               no número de linfócitos podem ser
     decorrentes:
        da redistribuição dos linfócitos
        alterações do número absoluto de linfócitos
        ou ambas
+
    Linfocitose

       Transitória (15 a 30 min de duração):
           liberação de adrenalina por medo ou exercício extremo
           mais comumente observada em gatos

       Persistente:
           infecções crônicas
           doenças imunemediadas
           imunização recente
+
    Linfopenia

       Hipercortisolemia (endógena ou exógena)

       Infecções virais (fase aguda):
           cinomose, parvovirose

       Distúrbios linfáticos:
           quilotórax (perda eferente de linfa)
           linfangiectasia (perda aferente de linfa)

       Imunodeficiência:
           FIV, FeLV
           drogas
+
    Reações leucemóides

                       Leucocitose marcante

                       Neutrofilia crônica

                       Desvio à esquerda
+
    Hemoparasitas

       Anaplasma phagocytophila
+ Informações de pacientes
       com pancitopenia
      Recebeu alguma medicação em 4 semanas?

      O paciente foi exposto a alguma medicação humana?

      O paciente viajou para algum lugar ou mudou de ambiente
       ou o ambiente mudou?

      Qual o histórico de vacinação?

      Tem contactantes? Qual o grau de convívio?

      Teve problemas prévios de saúde?

      Teve exposição a químicos?

      Cão, macho castrado? Fêmea, cisto ovariano?
Kearns, S.A.; Ewing, P. Causes of canine and feline pancytopenia. Compendium of Continuing Education. February, 2006,
p.122-133.
+ Tempo na medula e no sangue


  Hemácias:
       MO: 7 dias
                            Todas as células
       SP: 100 dias          sanguíneas    são
  Granulócitos:
       MO: 6 dias        produzidas   na    MO ao
       SP: 4 a 8 horas
                           mesmo tempo,
  Plaquetas:
       MO: 3 dias         o tempo todo!!!
       SP: 4 a 6 dias
+ Drogas associadas à supressão/
 desarranjo/ hipoplasia medular
    AINEs                       Antibióticos
      Fenilbutazona               Sulfadiazina- trimetoprim

      Ácido meclofenâmico         Cefalosporinas


    Quimioterápicos             Anti-helmínticos
                                   Albendazole
      Ciclofosfamida
                                   Febendazole
      Citosina arabinoside
      Doxorubicina              Outros
      Vinblastina                 Quinidina

      Hidroxiuréia                Estrógeno

      Lomustina (CCNU)            Tiacetarsimida
                                   Captopril
      5-fluorouracil
                                   Griseofulvina
      Carboplatina
                                   Metimazol
      Azatioprina
                                   Noxema Skin Cream (Procter &
                                    Gamble)
+
    Caso Clínico – Judy


     Cão,   SRD, Fêmea, 10a

     Pacienterenal crônica (cirurgia de ureter), cistites
     recorrentes
         Ht       47%                  Dens    1,011 He            20 – 25
        PP       7,2 g/dL              pH      7,0     Leuco       Incont

      Uréia    63,5 mg/dl              Prot    +       Céls ves +

      Creat                            Sg      ++      Bact        ++
               2,78 g/dl
       Urocultura: Staphylococcus sp
       ATB: amicacina, clavulin, azitromicina, cefalexina, ceftiofur, cipro,
       cloranfenicol, enrofloxacina, genta, norflo, sulfa
+
    Caso Clínico - Judy

 Depois   de + 10 dias, com bactrim, melhora discreta do
    quadro clinico


      He        5.56      Uréia    46.8 mg/dl
      Ht         38       Creat    2.08 g/dl
      Hb        12.5
      PP        8.0       USG:

    Leuco      1000       Fig,baço: NDN
    Trombocitopenia (+)   Rim E: dimensões normais, contorno
       Anisocitose (+)    irregular,perda dos limites córtico-
                          medulares
+
    Caso Clínico - Judy

     Depois   de 20 dias:

      Urina normal (cultura negativa)
      Leucopenia persistente
      Função hepática e eletrólitos normais
      Creat 2,39/ Uréia 52,9
      Continuava com bactrim e buscopan
      USG normal (exceto pelos rins)
+
    MIELOGRAMA – Judy

       MO hipercelular. Rel M:E = 2,22

       SE: mod diseritropoiese

       SM: grave disgranulopoiese

       SMega: leve hiperpl de série.

       SLMP: Macr com int ativ, figuras de leucofagocitose

       Presença de população blástica importante (18%)




          Dishematopoiese/ Hematopoiese ineficaz!
+
    Leucemias

                   Proliferação neoplásica em
                    medula óssea
                   Origem: células
                    hematopoiéticas
                   Classificação quanto à
                    diferenciação celular:
                       Aguda (células indiferenciadas)
                       Crônica (células diferenciadas)

                   Manifestação no sangue
                    periférico:
                       leucemia: alta contagem de
                        células neoplásicas no sangue
                        periférico
                       aleucêmica: leucócitos normais
                        ou até mesmo diminuídos
Classificação
   Origem do clone celular



Mielóide   Linfóide




                      Wikipedia
Classificação
                                                           Maturidade do clone celular
                                                                              Associada às manifestações clínicas

                     Leucemia Aguda                                  Leucemia Crônica




        Predomínio de células imaturas




                                                                Grande quantidade de células maduras
Manual of canine and feline haematology and transfusion medicine.
M Day, A Mackin, J Littlewood. BSAVA, 2000
+
    Classificação das
    Neoplasias Hematológicas

              Mieloproliferações                           Linfoproliferações



            Aguda                                     Aguda
    Leucemia Mielóide Aguda                   Leucemia Linfóide Aguda

                                 Crônica                                   Crônica
                        Leucemia Mielóide Crônica               Leucemia Linfocítica Crônica
                              Policitemia Vera                              Linfoma
                         Trombocitemia essencial                        Mieloma Múltiplo
                               Mielofibrose
Classificação
                                                                         Leucemias
                                                                   Baseada na classificação FAB
                                Células eritróides em MO



                   < 50%                                          > 50%


                  Blastos                          Blastos                      Blastos
                 (% TCN)                          (% CNE)                      (% TCN)


                                            > 30%         < 30%
         > 30%               < 30%                                         > 30%          < 30%


                                             M6                   MDS -
          AUL              MDS – RC                               MDS-Er
                                                                    Er                    M6 Er
          AML              MDS – EB
     (M1→M5, M7)            CML

Jain NC, Blue JT, Grindem CB et al: Vet Clin Path 20:63-82.1991
Cowell et al, 2008
Diagnóstico
                                                       Associada às manifestações clínicas

             Leucemia Aguda                    Leucemia Crônica




 Predomínio de células imaturas

  SP: leucócitos > 150mil/mm3
       MO: Blastos > 20%
               LMA
  LLA (fel: assoc FeLV 60-80%)
Schalm’s Veterinary Hematology, 6th ed, 2010
Withrow
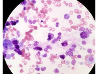
+ Caso – sangue periférico
  clínico
+
Leucemia Linfocítica Crônica LLC
 Linfocitose        persistente (>3 meses)
   Linfócitos      pequenos típicos
      valores variáveis e flutuantes

   Cães:
      > 20mil Li/mm3 (apesar da morfologia bem diferenciada, a
       função pode estar alterada)
      anemia normo normo (>50%) e trombocitopenia (25-50%)
      AHIM, aplasia pura de série eritróide, hipercalcemia
      Gamopatia monoclonal em 2/3 dos casos
          (embora a maioria dos casos seja de cél T)
      LLC cél B: dç medular primária; linf peq >30% em MO
          Acúmulo de células de vida longa
      LLC cél T de linf de grandes grânulos: dç esplênica primária


                                                    Schalm’s Veterinary Hematology, 2010
+ Leucemia Linfocítica Crônica LLC


 Linfocitose          persistente (>3 meses)
    Linfócitos pequenos típicos
        valores variáveis e flutuantes


    Gatos:
      Previamente testados para FIV/FeV
      > 25- 50 mil Li/mm3

      Predomínio de céls T

      anemia (61%), trombocitopenia (38%), neutropenia (16%),
       neutrofilia(50%)
      MO: >20% Li maduros (Withrow, )

      Geralmente FeLV negativo
                                          Schalm’s Veterinary Hematology, 2010
                                          Withrow
+ Diagnóstico


  Diagnóstico       confirmatório:
      demonstração de clonalidade dos linfócitos do sangue
       (imunofenotipagem).
      Li em MO: > 30%




 Sombras nucleares ou
 céls de Grumprecht
+ Estadiamento – neo
 hematopoiéticas
  Linfoma
     Infitração em medula óssea (estágio V)
     Infiltração > 50% - prognóstico ruim
     Estudo: n=53 cães com linfoma
         28% leucêmicos (com céls neoplásicas circulantes)
         57% com envolvimento medular
     Felinos:
         infiltração medular é comum (aprox 50% apresenta anemia normo
          normo)

  Mastocitoma
     Aspirado MO: não recomendado, exceto: mastocitemia
     Infiltração em quadro inicial < 2,8%
     Envolvimento sistêmico mais provável em outros órgãos (ex:
      fígado, baço)
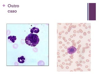
+ Outro
  caso
+
+
+




     Obrigada!




    samanthaive@usp.br

Leucograma - Anclivepa 2011

  • 1.
    + Resposta leucocitária Samantha Ive Miyashiro,M.V., MSc Dpto Clínica Médica - FMVZ/USP LHSP – Laboratório Hípico
  • 2.
    Hematopoiese e linfopoiese Mielóide Linfóide Wikipedia
  • 3.
    + Proliferação e maturação Monoblasto Monócito Basófilo Mieloblasto Eosinófilo Promielócito Mielócito Metamielócito Bastonete Neutrófilo Granulócitos: 4-5 divisões – 1 mieloblasto:16 a 32 granulócitos
  • 4.
    + Alterações leucocitárias  Quantitativas e qualitativas  Dinâmica extrema!
  • 5.
    + Contagem relativa x absoluta Neutrófilos 50000 65% 10000 1000 65% 65% 1000 200 200 Bastonetes = 20% 2% 2%
  • 6.
    + Neutrófilos  Atividade fagocítica e antimicrobiana nos tecidos  Quimiotaxia  Liberação de mediadores químicos  Produção na medula óssea: ~ 5 a 7 dias  Vida média na circulação periférica ~4 -8 h  Reserva medular: ~ 5 dias
  • 7.
    Proliferação Maturação Mieloblasto Metamielócito Medula Bastonete óssea Promielócito Mielócito Segmentado Armazenamento Sangue Pool Marginal Cão: 5,4  108/kg Gato:7,8  108/kg Cão: 4,8  108/kg Pool Circulante Gato: 21  108/kg Tecidos
  • 8.
    + Neutrofilia  Fisiológica: estresse  liberação de adrenalina/cortisol  Reativa: inflamação aguda ou crônica  infecções (sistêmicas/locais)  necrose
  • 9.
    + Desvio à esquerda  Regenerativo:  leucocitose discreta a marcante  reflete boa resposta medular à demanda  piramidal e completa  tempo necessário: 3 a 5 dias  Degenerativo:  formas imaturas > neutrófilos segmentados  tempo insuficiente ou incapacidade de resposta medular  mau prognóstico Promielócito Mielócito Metamielócito Bastonete Neutrófilo
  • 10.
    Alterações morfológicas  Citoplasmáticas:  alterações tóxicas  corpúsculos de inclusão, organismos ou elementos sangüíneos fagocitados  artefatos  Nucleares:  hipersegmentação ou hiposegmentação  Tamanho ou forma:  neutrófilos gigantes
  • 11.
    + Alterações tóxicas  Corpúsculos de Döhle  Basofilia citoplasmática  Granulações tóxicas  Vacuolização  Alterações nucleares  Células gigantes
  • 12.
    Monócitos  Em pequeno número na circulação  Reposição de macrófagos tissulares  Função:  fagocitose  regulação da resp inflamatória pela liberação de mediadores  processamento do antígeno para apresentação aos linf (iniciação da resposta imune)  participação na regulação dos estoques de Fe
  • 13.
    + Monócitos  Monocitose:  aumento do requerimento de macrófagos  inflamação  necessidade de fagocitose  necrose tecidual  corticosteróides
  • 14.
    + (Processo inflamatório)  Plaquetas  fragmentos citoplasmáticos de megacariócitos  grânulos com mediadores inflamatórios e envolvidos nos processos de coagulação
  • 15.
    + Megacariócito
  • 16.
    Formação em rouleaux  “empilhamento” das hemácias  Correlação positiva com VHS  Associada à alteração da carga da superfície de membrana (potencial zeta) cavalos têm carga de membrana diminuída  Intensidade  Depende das caract da espécie ou relacionada a doença  ↑ proteínas (↑ fibr, ↑ glob)  diminui efeito das cargas negat de superfície repelentes das hes  Rouleaux
  • 17.
    + Eosinófilos  Produção na MO ~ 5 dias, no sangue periférico a vida média é de horas  Interage com mastócitos em quadros de hipersensibilidade (imediata ou tardia)  Propriedades parasiticidas  anticorpos, complemento  Não têm ação antibacteriana
  • 18.
    + Eosinófilos  Eosinofilia  Infecções:  parasitas, recuperação de infecções  Reações de hipersensibilidade:  alergias  Neoplasias  Drogas  Síndrome hipereosinofílica  Eosinopenia  Infecções agudas  hipercortisolemia (endógena ou exógena)  liberação de adrenalina por medo ou exercício extremo
  • 19.
    + Basófilos  Quantidade muito pequena na circulação  Vida média:  na circulação periférica: horas  nos tecidos: algumas semanas  Produzem várias citocinas (semelhantes às dos mastócitos):  grânulos contém histamina, heparina, PAF etc
  • 20.
    + Basofilia  Basofilia ( 2%)  Principais causas:  parasitismo (eg, dirofilariose)  reações de hipersensibilidade  e, ocasionalmente:  mastocitomas  hiperlipidemia
  • 21.
    + Linfócitos  Origem:  células precursoras na medula e tecido linfóide  Diferenciação em células imunocompetentes (“maturação”):  órgãos linfáticos primários:  medula óssea (linfócitos B)  timo (linfócitos T)  Ativação  órgãos linfóides secundários (linfonodos, baço, GALT)
  • 22.
    + Linfócitos IMUNIDADE INATA IMUNIDADE ADAPTATIVA Microrganismo Linfócitos B Anticorpos Barreiras epiteliais Linfócitos T céls T efetoras Fagócitos Complemento NK 0 6 12 1 2 3 4 5 Horas Dias Tempo após a infecção Robbins & Cotran, Pathologic Basis of Disease, 2004.
  • 23.
    + Linfócitos O sangue contém apenas uma pequena parcela dos linfócitos totais  Têm vida longa e são capazes de divisão e recirculação sangüínea  Alterações no número de linfócitos podem ser decorrentes:  da redistribuição dos linfócitos  alterações do número absoluto de linfócitos  ou ambas
  • 24.
    + Linfocitose  Transitória (15 a 30 min de duração):  liberação de adrenalina por medo ou exercício extremo  mais comumente observada em gatos  Persistente:  infecções crônicas  doenças imunemediadas  imunização recente
  • 25.
    + Linfopenia  Hipercortisolemia (endógena ou exógena)  Infecções virais (fase aguda):  cinomose, parvovirose  Distúrbios linfáticos:  quilotórax (perda eferente de linfa)  linfangiectasia (perda aferente de linfa)  Imunodeficiência:  FIV, FeLV  drogas
  • 26.
    + Reações leucemóides  Leucocitose marcante  Neutrofilia crônica  Desvio à esquerda
  • 27.
    + Hemoparasitas  Anaplasma phagocytophila
  • 28.
    + Informações depacientes com pancitopenia  Recebeu alguma medicação em 4 semanas?  O paciente foi exposto a alguma medicação humana?  O paciente viajou para algum lugar ou mudou de ambiente ou o ambiente mudou?  Qual o histórico de vacinação?  Tem contactantes? Qual o grau de convívio?  Teve problemas prévios de saúde?  Teve exposição a químicos?  Cão, macho castrado? Fêmea, cisto ovariano? Kearns, S.A.; Ewing, P. Causes of canine and feline pancytopenia. Compendium of Continuing Education. February, 2006, p.122-133.
  • 29.
    + Tempo namedula e no sangue  Hemácias:  MO: 7 dias Todas as células  SP: 100 dias sanguíneas são  Granulócitos:  MO: 6 dias produzidas na MO ao  SP: 4 a 8 horas mesmo tempo,  Plaquetas:  MO: 3 dias o tempo todo!!!  SP: 4 a 6 dias
  • 30.
    + Drogas associadasà supressão/ desarranjo/ hipoplasia medular  AINEs  Antibióticos  Fenilbutazona  Sulfadiazina- trimetoprim  Ácido meclofenâmico  Cefalosporinas  Quimioterápicos  Anti-helmínticos  Albendazole  Ciclofosfamida  Febendazole  Citosina arabinoside  Doxorubicina  Outros  Vinblastina  Quinidina  Hidroxiuréia  Estrógeno  Lomustina (CCNU)  Tiacetarsimida  Captopril  5-fluorouracil  Griseofulvina  Carboplatina  Metimazol  Azatioprina  Noxema Skin Cream (Procter & Gamble)
  • 31.
    + Caso Clínico – Judy  Cão, SRD, Fêmea, 10a  Pacienterenal crônica (cirurgia de ureter), cistites recorrentes Ht 47% Dens 1,011 He 20 – 25 PP 7,2 g/dL pH 7,0 Leuco Incont Uréia 63,5 mg/dl Prot + Céls ves + Creat Sg ++ Bact ++ 2,78 g/dl Urocultura: Staphylococcus sp ATB: amicacina, clavulin, azitromicina, cefalexina, ceftiofur, cipro, cloranfenicol, enrofloxacina, genta, norflo, sulfa
  • 32.
    + Caso Clínico - Judy  Depois de + 10 dias, com bactrim, melhora discreta do quadro clinico He 5.56 Uréia 46.8 mg/dl Ht 38 Creat 2.08 g/dl Hb 12.5 PP 8.0 USG: Leuco 1000 Fig,baço: NDN Trombocitopenia (+) Rim E: dimensões normais, contorno Anisocitose (+) irregular,perda dos limites córtico- medulares
  • 33.
    + Caso Clínico - Judy  Depois de 20 dias:  Urina normal (cultura negativa)  Leucopenia persistente  Função hepática e eletrólitos normais  Creat 2,39/ Uréia 52,9  Continuava com bactrim e buscopan  USG normal (exceto pelos rins)
  • 34.
    + MIELOGRAMA – Judy  MO hipercelular. Rel M:E = 2,22  SE: mod diseritropoiese  SM: grave disgranulopoiese  SMega: leve hiperpl de série.  SLMP: Macr com int ativ, figuras de leucofagocitose  Presença de população blástica importante (18%) Dishematopoiese/ Hematopoiese ineficaz!
  • 35.
    + Leucemias  Proliferação neoplásica em medula óssea  Origem: células hematopoiéticas  Classificação quanto à diferenciação celular:  Aguda (células indiferenciadas)  Crônica (células diferenciadas)  Manifestação no sangue periférico:  leucemia: alta contagem de células neoplásicas no sangue periférico  aleucêmica: leucócitos normais ou até mesmo diminuídos
  • 36.
    Classificação Origem do clone celular Mielóide Linfóide Wikipedia
  • 37.
    Classificação Maturidade do clone celular Associada às manifestações clínicas Leucemia Aguda Leucemia Crônica Predomínio de células imaturas Grande quantidade de células maduras Manual of canine and feline haematology and transfusion medicine. M Day, A Mackin, J Littlewood. BSAVA, 2000
  • 38.
    + Classificação das Neoplasias Hematológicas Mieloproliferações Linfoproliferações Aguda Aguda Leucemia Mielóide Aguda Leucemia Linfóide Aguda Crônica Crônica Leucemia Mielóide Crônica Leucemia Linfocítica Crônica Policitemia Vera Linfoma Trombocitemia essencial Mieloma Múltiplo Mielofibrose
  • 39.
    Classificação Leucemias Baseada na classificação FAB Células eritróides em MO < 50% > 50% Blastos Blastos Blastos (% TCN) (% CNE) (% TCN) > 30% < 30% > 30% < 30% > 30% < 30% M6 MDS - AUL MDS – RC MDS-Er Er M6 Er AML MDS – EB (M1→M5, M7) CML Jain NC, Blue JT, Grindem CB et al: Vet Clin Path 20:63-82.1991 Cowell et al, 2008
  • 40.
    Diagnóstico Associada às manifestações clínicas Leucemia Aguda Leucemia Crônica Predomínio de células imaturas SP: leucócitos > 150mil/mm3 MO: Blastos > 20% LMA LLA (fel: assoc FeLV 60-80%) Schalm’s Veterinary Hematology, 6th ed, 2010 Withrow
  • 41.
    + Caso –sangue periférico clínico
  • 42.
  • 44.
    Leucemia Linfocítica CrônicaLLC  Linfocitose persistente (>3 meses)  Linfócitos pequenos típicos  valores variáveis e flutuantes  Cães:  > 20mil Li/mm3 (apesar da morfologia bem diferenciada, a função pode estar alterada)  anemia normo normo (>50%) e trombocitopenia (25-50%)  AHIM, aplasia pura de série eritróide, hipercalcemia  Gamopatia monoclonal em 2/3 dos casos  (embora a maioria dos casos seja de cél T)  LLC cél B: dç medular primária; linf peq >30% em MO  Acúmulo de células de vida longa  LLC cél T de linf de grandes grânulos: dç esplênica primária Schalm’s Veterinary Hematology, 2010
  • 45.
    + Leucemia LinfocíticaCrônica LLC  Linfocitose persistente (>3 meses)  Linfócitos pequenos típicos  valores variáveis e flutuantes  Gatos:  Previamente testados para FIV/FeV  > 25- 50 mil Li/mm3  Predomínio de céls T  anemia (61%), trombocitopenia (38%), neutropenia (16%), neutrofilia(50%)  MO: >20% Li maduros (Withrow, )  Geralmente FeLV negativo Schalm’s Veterinary Hematology, 2010 Withrow
  • 46.
    + Diagnóstico Diagnóstico confirmatório:  demonstração de clonalidade dos linfócitos do sangue (imunofenotipagem).  Li em MO: > 30% Sombras nucleares ou céls de Grumprecht
  • 47.
    + Estadiamento –neo hematopoiéticas  Linfoma  Infitração em medula óssea (estágio V)  Infiltração > 50% - prognóstico ruim  Estudo: n=53 cães com linfoma  28% leucêmicos (com céls neoplásicas circulantes)  57% com envolvimento medular  Felinos:  infiltração medular é comum (aprox 50% apresenta anemia normo normo)  Mastocitoma  Aspirado MO: não recomendado, exceto: mastocitemia  Infiltração em quadro inicial < 2,8%  Envolvimento sistêmico mais provável em outros órgãos (ex: fígado, baço)
  • 48.
  • 49.
  • 50.
  • 52.
    + Obrigada! samanthaive@usp.br