EMBOLIA PULMONAR

 é a obstrução repentina de
uma artéria pulmonar
causada por um êmbolo
Etiologia:
1)Trombo
      Tríade de Virchow
      Origem: Veias dos MMII e Pelve

2) Outros
Fatores de Risco de TVP:
1) Trauma não cirúrgico e cirúrgico;
2) Idade maior que 40 anos;
3) Tromboembolismo venoso prévio;
4) Imobilização;
5) Doença maligna;
6) Insuficiência cardíaca;
7) Infarto do miocárdio;
8) Paralisia de membros inferiores;
9) Outros: obesidade; veias varicosas; estrogênio; parto;
doença pulmonar obstrutiva crônica.
Desordens de coagulação
1) Deficiência de antitrombina;
2) Deficiência de proteínas C e S;
3) Resistência à proteína C (fator V Leiden);
4) Desfibrinogenemia;
5) Anticorpo antifosfolipídio/antiocardiolipina;
6) Mutação da protrombina;
7) Desordens do plasminogênio.
Sinais e Sintomas
Síndromes clínicas:

1) Colapso circulatório (embolia maciça)

2) Dispnéia não explicada (embolia submaciça)

3) Dor torácica do tipo pleurítica (infarto pulmonar)

      Dispnéia (73%)
>4 pontos: Provável   = ou <4 Pontos: Improvável
Diagnóstico
.
0) EXAME FÍSICO
1) ECG (alterações frequentes ?)
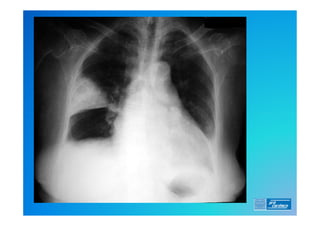
2) RX de Tórax (o que esperar ?)
3) Laboratório (o que é importante ?)
4) D Dimero
5) Doppler Venoso MMII
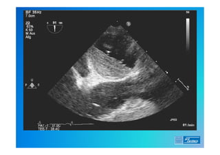
6) Ecocardiograma (TT e TE)
7) Angio TC
8) Cintilografia Pulmonar (Ventilação/Perfusão)
9) Angio RM
10) Arteriografia
Tratamento:
1) Suporte Clinico
2) Anticoagulação
3) Trombolítico
        Estreptoquinase
        RtPA
4) Tratamento Cirúrgico
5) Filtro de Cava
6) Filtro de Cava Temporário
Suspeita TEP



                             Escore de Wells
              = ou <4                          >4
                                                           D. Dimero



   Angio TC                         Doppler




                  EW >4 e D dimero              EW = ou <4 ou D
                         +                       dimero Neg.


                  Repetir Doppler
                   em 1 semana


                                                                       TEP Excluída
Tratar como TEP

Embolia Pulmonar

  • 1.
    EMBOLIA PULMONAR éa obstrução repentina de uma artéria pulmonar causada por um êmbolo
  • 2.
    Etiologia: 1)Trombo Tríade de Virchow Origem: Veias dos MMII e Pelve 2) Outros
  • 3.
    Fatores de Riscode TVP: 1) Trauma não cirúrgico e cirúrgico; 2) Idade maior que 40 anos; 3) Tromboembolismo venoso prévio; 4) Imobilização; 5) Doença maligna; 6) Insuficiência cardíaca; 7) Infarto do miocárdio; 8) Paralisia de membros inferiores; 9) Outros: obesidade; veias varicosas; estrogênio; parto; doença pulmonar obstrutiva crônica.
  • 4.
    Desordens de coagulação 1)Deficiência de antitrombina; 2) Deficiência de proteínas C e S; 3) Resistência à proteína C (fator V Leiden); 4) Desfibrinogenemia; 5) Anticorpo antifosfolipídio/antiocardiolipina; 6) Mutação da protrombina; 7) Desordens do plasminogênio.
  • 5.
    Sinais e Sintomas Síndromesclínicas: 1) Colapso circulatório (embolia maciça) 2) Dispnéia não explicada (embolia submaciça) 3) Dor torácica do tipo pleurítica (infarto pulmonar) Dispnéia (73%)
  • 6.
    >4 pontos: Provável = ou <4 Pontos: Improvável
  • 7.
    Diagnóstico . 0) EXAME FÍSICO 1)ECG (alterações frequentes ?) 2) RX de Tórax (o que esperar ?) 3) Laboratório (o que é importante ?) 4) D Dimero 5) Doppler Venoso MMII 6) Ecocardiograma (TT e TE) 7) Angio TC 8) Cintilografia Pulmonar (Ventilação/Perfusão) 9) Angio RM 10) Arteriografia
  • 14.
    Tratamento: 1) Suporte Clinico 2)Anticoagulação 3) Trombolítico Estreptoquinase RtPA 4) Tratamento Cirúrgico 5) Filtro de Cava 6) Filtro de Cava Temporário
  • 18.
    Suspeita TEP Escore de Wells = ou <4 >4 D. Dimero Angio TC Doppler EW >4 e D dimero EW = ou <4 ou D + dimero Neg. Repetir Doppler em 1 semana TEP Excluída Tratar como TEP