Pneumotórax espontâneo
Universidade Federal do Rio Grande do Norte
Departamento de Medicina Integrada
Disciplina de Doenças do Sistema Respiratório
Jorge Dantas
Cirurgia Torácica
• Introdução
– Presença anormal de ar no espaço pleural
Não-espontâneo
Espontâneo
Primário
Secundário
Trauma Penetrante
Trauma Contuso
Iatrogênico
Pneumotórax espontâneo
primário
Blebs
Bolhas subpleurais
SAAD JUNIOR, R.; CARVALHO, W.R.; XIMENES NETTO, M; FORTE, V. Cirurgia Torácica Geral – 2a. Edição(2011).
Livro da Sociedade Brasileira de Cirurgia Torácica
Pneumotórax espontâneo
secundário
DPOC
Pneumonias
Tuberculose
Abscesso pulmonar
Bronquiectasia
Fibrose cística
Pneumocistose
Micoses
Asma
Histiocitose X
Granuloma eosinofílico
Sarcoidose
Fibrose pulmonar idiopática
Doença intersticial pulmonar
Doença do tecido conjuntivo
Rotura espontânea do esôfago
Neoplasia
Catamenial
Neonatal
Pneumotórax traumático
Contuso
Acidente automobilístico
Queda de grande altura
Penetrante
Ferimento projétil arma de fogo
Ferimento arma branca
Lacerações/avulsões
Iatrogênico
Barotrauma
Massagem cardíaca
Acesso central
Toracocentese
Biópsia transbrônquica
Biópsia transtorácica
Biópsia pleural
Bloqueio de nervo intercostal
Acupuntura
• Fisiopatologia
– Blebs
– Bolhas subpleurais
– Diferenças pressóricas na cavidade pulmonar
– Borda cortante das primeiras costelas
– Tendência familiar
– Tabagismo
• Quadro clínico
– Assintomático (15%)
– Oligosintomáticos
– Dor pleurítica
– Dispnéia
– Choque circulatório
• Diagnóstico
– Anamnese
– Exame físico
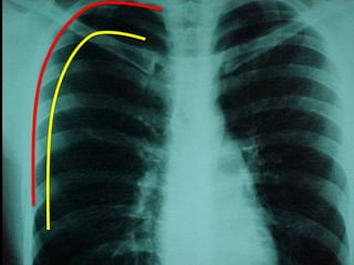
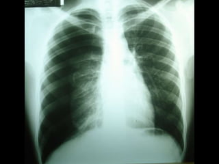
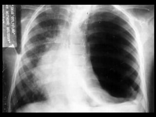
– Radiografia de tórax
• Inspiração profunda (A)
• Expiração profunda
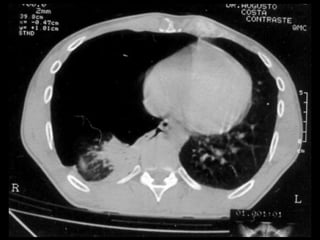
– TC de tórax
• Anamnese
– Inicio dos sintomas
– Profissão
– Tabagismo
– História prévia de pneumotórax
– Doenças associadas
• Exame físico
– Inspeção: homem, <40 anos, magros e longilíneos
– Diminuição Murmúrio
– Frêmito diminuído
– Timpanismo
• Indicação terapêutica
– Diminuir sintomas
– Impedir complicações
– Evitar recidivas
• Levar em conta
– Intensidade e duração dos sintomas
– Doença pulmonar subjacente
– Atividade profissional
Método terapêutico Indicações Orientações
Observação Pneumotórax pequeno, estável
e paciente assintomático
Analgesia; oxigênio;
radiografia de controle
Toracocentese Pneumotórax hipertensivo ou
pequenos
Agulha 2o. EIC;
aspiração com agulha;
após 4h RaioX;
retirada da agulha
Drenagem pleural Pneumotórax moderado ou
secundários
Tratamento padrão;
24/48h após cessar a fuga
aérea;
iniciar com tubos mais
finos
Pleurodese Evitar recidiva 1500mg tetraciclina;
500mg doxiciclina;
300mg minociclina;
5-10g talco
Cirurgia Fuga aérea maciça/persistente;
presença de grandes bolhas;
segundo episódio de
pneumotórax espontâneo
Ressecção das
bolhas/blebs;
pleurodese
abrasiva/pleurectomia
Pneumotórax espontâneo
Instabilidade hemodinânica ou
bilateral
Dreno de tórax
Management of spontaneous pneumothorax: British Thoracic Society pleural disease guideline 2010. Thorax 2010;65(Suppl 2):ii18eii31
Pneumotórax espontâneo
> 50 anos e tabagismo
Evidência de doença pulmonar
Pneumotórax
secundário
Pneumotórax
primário
> 2cm ou
dispnéia
> 2 cm e/ou
dispnéia
Considerar alta
Retorno em 1 – 2 semanas
Toracocentese
Aspirar < 2,5L
Dreno de tórax
Internação
Internação
Observação por 24h
Oxigênio suplementar
Sucesso
(< 2cm e melhora
da dispnéia)
Sucesso (< 1cm)
Toracocentese
Aspirar < 2,5L
1 – 2cm
SimNão
Sim
Não Sim
Não
Sim
Não
Não
Sim
SimNão
Recomendações do BTS
• PTX + dispnéia – intervenção ativa A
• Aspiração por agulha = Dreno A
• Pleurodese -  recorrência A
• Toracotomia -  recorrência A
• Toracoscopia -  tolerado A
Cirurgia
• Bulectomia
• Pleurodese apical
Pneumotorax
Pneumotorax
Pneumotorax

Pneumotorax

  • 1.
    Pneumotórax espontâneo Universidade Federaldo Rio Grande do Norte Departamento de Medicina Integrada Disciplina de Doenças do Sistema Respiratório Jorge Dantas Cirurgia Torácica
  • 2.
    • Introdução – Presençaanormal de ar no espaço pleural
  • 3.
    Não-espontâneo Espontâneo Primário Secundário Trauma Penetrante Trauma Contuso Iatrogênico Pneumotóraxespontâneo primário Blebs Bolhas subpleurais SAAD JUNIOR, R.; CARVALHO, W.R.; XIMENES NETTO, M; FORTE, V. Cirurgia Torácica Geral – 2a. Edição(2011). Livro da Sociedade Brasileira de Cirurgia Torácica Pneumotórax espontâneo secundário DPOC Pneumonias Tuberculose Abscesso pulmonar Bronquiectasia Fibrose cística Pneumocistose Micoses Asma Histiocitose X Granuloma eosinofílico Sarcoidose Fibrose pulmonar idiopática Doença intersticial pulmonar Doença do tecido conjuntivo Rotura espontânea do esôfago Neoplasia Catamenial Neonatal Pneumotórax traumático Contuso Acidente automobilístico Queda de grande altura Penetrante Ferimento projétil arma de fogo Ferimento arma branca Lacerações/avulsões Iatrogênico Barotrauma Massagem cardíaca Acesso central Toracocentese Biópsia transbrônquica Biópsia transtorácica Biópsia pleural Bloqueio de nervo intercostal Acupuntura
  • 4.
    • Fisiopatologia – Blebs –Bolhas subpleurais – Diferenças pressóricas na cavidade pulmonar – Borda cortante das primeiras costelas – Tendência familiar – Tabagismo
  • 5.
    • Quadro clínico –Assintomático (15%) – Oligosintomáticos – Dor pleurítica – Dispnéia – Choque circulatório
  • 6.
    • Diagnóstico – Anamnese –Exame físico – Radiografia de tórax • Inspiração profunda (A) • Expiração profunda – TC de tórax
  • 7.
    • Anamnese – Iniciodos sintomas – Profissão – Tabagismo – História prévia de pneumotórax – Doenças associadas
  • 8.
    • Exame físico –Inspeção: homem, <40 anos, magros e longilíneos – Diminuição Murmúrio – Frêmito diminuído – Timpanismo
  • 18.
    • Indicação terapêutica –Diminuir sintomas – Impedir complicações – Evitar recidivas • Levar em conta – Intensidade e duração dos sintomas – Doença pulmonar subjacente – Atividade profissional
  • 19.
    Método terapêutico IndicaçõesOrientações Observação Pneumotórax pequeno, estável e paciente assintomático Analgesia; oxigênio; radiografia de controle Toracocentese Pneumotórax hipertensivo ou pequenos Agulha 2o. EIC; aspiração com agulha; após 4h RaioX; retirada da agulha Drenagem pleural Pneumotórax moderado ou secundários Tratamento padrão; 24/48h após cessar a fuga aérea; iniciar com tubos mais finos Pleurodese Evitar recidiva 1500mg tetraciclina; 500mg doxiciclina; 300mg minociclina; 5-10g talco Cirurgia Fuga aérea maciça/persistente; presença de grandes bolhas; segundo episódio de pneumotórax espontâneo Ressecção das bolhas/blebs; pleurodese abrasiva/pleurectomia
  • 20.
    Pneumotórax espontâneo Instabilidade hemodinânicaou bilateral Dreno de tórax Management of spontaneous pneumothorax: British Thoracic Society pleural disease guideline 2010. Thorax 2010;65(Suppl 2):ii18eii31
  • 25.
    Pneumotórax espontâneo > 50anos e tabagismo Evidência de doença pulmonar Pneumotórax secundário Pneumotórax primário > 2cm ou dispnéia > 2 cm e/ou dispnéia Considerar alta Retorno em 1 – 2 semanas Toracocentese Aspirar < 2,5L Dreno de tórax Internação Internação Observação por 24h Oxigênio suplementar Sucesso (< 2cm e melhora da dispnéia) Sucesso (< 1cm) Toracocentese Aspirar < 2,5L 1 – 2cm SimNão Sim Não Sim Não Sim Não Não Sim SimNão
  • 26.
    Recomendações do BTS •PTX + dispnéia – intervenção ativa A • Aspiração por agulha = Dreno A • Pleurodese -  recorrência A • Toracotomia -  recorrência A • Toracoscopia -  tolerado A
  • 27.