ERICK FRANK BRAGATO
ESTÁGIO EM CARDIOLOGIA
UNIVERSIDADE ESTADUAL DE LONDRINA
2014
ESTENOSE MITRAL
 Aparelho valvar mitral: Ânulo mitral – dois
folhetos ou cúspides valvares – cordoália
tendínea – músculos papilares.
 Área valvar normal= 4-6 cm²
DEFINIÇÃO: Estenose mitral é uma restrição a
abertura dos folhetos, reduzindo a área valvar mitral
e levando a formação de um gradiente de pressão
diastólico entre AE e VE. (AVM<2,5 cm²).
Classificação AVM Gradiente
pressórico
médio*
PS da
artéria
pulmonar
Leve 1,5-2,5cm² <5mmHg <30mmHg
Moderada 1,0-1,5 5-10 30-50
Grave <1,0 >10 >50
FISIOPATOLOGIA
 Na EM ocorre obstrução fixa ao fluxo de
sangue do AE para o VE.
 Necessidade de um gradiente de pressão
transvalvar para manter fluxo adequado.
CONGESTÃO PULMONAR
 Aumento da pressão do AE – aumento da
pressão no leito venocapilar pulmonar –
Síndrome congestiva.
 Fatores determinantes: DC e FC
Alto débito: esforço, estresse, anemia, febre,
gestação, hipertireoidismo...
Taquicardia reduz o tempo da diástole
HIPERTENSÃO ARTERIAL PULMONAR
 Aumento crônico da pressão venocapilar
pulmonar> aumento da pressão arterial
pulmonar (HAP passiva).
 HAP reativa leva à obliteração crônica e
progressiva do leito arteriolar pulmonar (fase
avançada).
 Quando PAP>50-60, o VD pode entrar em
falência miocárdica, levando a insuficiência
ventricular Direita (IVD)> congestão
sistêmica
BAIXO DÉBITO CARDÍACO
 Quando a estenose se torna crítica, associado
a IVD, o DC torna-se limitado, especialmente
durante o esforço.
ETIOLOGIA
 Cardiopatia reumática crônica (95%)
Mais comum no sexo feminino (2/3).
Dupla lesão mitral (est+insuf)> estenose mitral
pura> insuficiência mitral pura.
Degeneração fibrótica e fibrocalcífica: fusão
das comissuras.
É comum o acometimento de jovens.
 Congênita
 Endocardite infecciosa
 amiloidose
QUADRO CLÍNICO
 Dispneia aos esforços (Sd. Congestiva)
 Sd. De baixo débito: fadiga, cansaço, e
lipotímia provocado pelo esforço.
 Tosse com hemoptise: ruptura de capilares
ingurgitados e hipertensos.
 Dor torácica: distensão do tronco da artéria
pulmonar
 Rouquidão: AE aumentado comprime o n.
laríngeo recorrente.
 Disfagia para sólidos: Compressão esofágica
pelo AE aumentado.
 SE IVD, a pressão jugular estará aumentada.
 Hiperfonese de B1 (fases iniciais: os folhetos
ainda tem mobilidade)
 Hipofonese de B1 (calcificação dos folhetos em
fases avançadas)
 Hiperfonese de P2 (componente pulmonar da
B2, HAP)
 Estalido de abertura (quando a valva de abre
logo após B2)
 Ruflar diastólico: com a campânula, em foco
mitral, decúbito semilateral esquerdo. Quanto
>duração, > a gravidade da estenose! Se intenso
pode irradiar-se para axila e para o foco
tricúspide.
EXAMES COMPLEMENTARES
 ECG: FA; Aumento do AE (onda P larga e bífida
em D2, porção negativa da P aumentada em
V1); Sobrecarga de VD com desvio do eixo para
direita, R ampla em V1 e V2, S ampla em V5 e
V6.
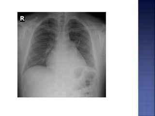
RAIO X DE TÓRAX
 Duplo contorno na silhueta direita do
coração.
 Sinal da bailarina (deslocamento superior do
brônquio fonte E).
 Abaulamento do 4º arco cardíaco esquerdo.
 Deslocamento posterior do esôfago
contrastado.
 Inversão do padrão vascular.
 Linhas B de Kerley.
 Edema intersticial.
ECOCARDIOGRAMA DOPPLER
 Estimativa da área valvar mitral (AVM).
 Diâmetro do AE, função ventricular esquerda.
 Estimativa da PAP.
 Presença de trombo intra-atrial.
 Escore de BLOCK (resposta à plastia):
Grau de calcificação valvar
Grau de espessamento
Mobilidade das cúspides
Acometimento do aparelho subvalvar
HISTÓRIA NATURAL
 Pacientes em classe funcional I da NYHA, a
sobrevida é de 80% em 10 anos.
 Em classe funcional IV, a sobrevida em 5 anos
é de 15%
 A morte ocorre por ICC, com
tromboembolismo sistêmico contribuindo
com 20% dos óbitos.
TRATAMENTO CLÍNICO
 Betabloqueador (droga de escolha)
 Antagonista do cálcio do tipo verapamil e
diltiazem (Contra-indicação ao BB)
 Diuréticos (cuidado)
 Anticoagulação: FA ou trombo em AE
 Cardioversão na vigência de FA e instabilidade
hemodinâmica
TRATAMENTO CIRÚRGICO
 Valvoplastia Percutânea com Balão (Escore
de Block <8, sem trombo em AE ou Ins. Mitral
moderada a grave).
 Comissurotomia Cirúrgica Aberta ( Com
trombo AE).
 Troca Valvar (Escore de Block > 11/Ins.
Mitral moderada a grave).
Biológicas: para pacientes > 65 anos
Metálicas: < 65 anos. A trombose de valva
protética pode ocorrer em 20% dos casos se
não instituída anticoagulação.
Valva Aórtica
 Constituído por um anel fibroso, 3 folhetos
ou cúspides (meia lua), seios de valsalva de
onde se originam as duas artérias coronárias:
Folheto coronariano direito, folheto
coronariano esquerdo e folheto posterior.
 Área valvar aórtica normal: 2,5-3,5cm²
 Na EA há uma restrição à abertura dos
folhetos, levando a formação de um
gradiente de pressão sistólico entre o VE e a
Aorta.
FISIOPATOLOGIA
FASE COMPENSADA
 EA é um processo crônico e insidioso,
permitindo mecanismos compensatórios bem
sucedidos.
 Hipertrofia Ventricular Concêntrica do VE:
Manutenção de um DS satisfatório.
Evita aumento excessivo da pós-carga.
FASE DESCOMPENSADA
 Isquemia miocárdica
Redução da reserva coronariana x aumento da
demanda metabólica.
 Débito Cardíaco fixo
A hipertrofia ventricular não garante mais o
aumento do DC no esforço.
 Insuficiência Cardíaca Congestiva
Fibrose miocárdica>HVE>redução da
complacência ventricular>aumento da pressão
no AE e venocapilar pulmonar>congestão (IC
diastólica)
Na falência miocárdica ocorre dilatação do VE,
queda da FE levando a IC sistólica
ETIOLOGIA
 Valva bicúspide congênita.
Causa mais comum em crianças, adolescentes e
adultos <65 anos.
 Degenerativa Calcífica.
Causa mais comum de EA, pois acomete mais
idosos. Fatores de risco: DM e hipercolesterolemia.
 Cardiopatia reumática crônica.
Causa comum em nosso meio de EA em
adolescentes e adultos. É comum IA associada
(dupla lesão aórtica). É mais comum no sexo
masculino.
 Artrite reumatoide, outros defeitos congênitos.
QUADRO CLÍNICO
 Assintomáticos por longa data.
 Angina que geralmente não responde à
nitratos.
 Síncope desencadeada pelo esforço físico (DC
fixo) ou por arritmias isquemia-induzidas.
 Dispneia devido congestão pulmonar
exacerbada pelo exercício. IC sistólica ou
diastólica.
 Pulso “tardus” e “parvus”: pulso carotídeo com
ascensão lenta e sustentada e amplitude fraca.
 Quarta bulha, devido HVE concêntrica e
redução da complacência (a contração atrial é
mais vigorosa).
 Hipofonese de A2 na EA calcífica.
 Sopro mesossistólico no foco aórtico em
“diamante”: mais intenso no meio da sístole
e com irradiação para carótidas. A EA é mais
grave quanto > a duração do sopro.
 Fenômeno de Gallavardin: O sopro pode
irradiar-se para o foco mitral (continuidade
anatômica do anel mitral e aórtico).
EXAMES COMPLEMENTARES
 ECG: Sinais de hipertrofia ventricular
esquerda, sobrecarga em AE e BRE são
comuns.
 Raio X de tórax: Calcificação da valva
aórtica.
 Ecocardiograma-Doppler: determina a área
valvar, o gradiente pressórico VE-Ao
(Gradiente médio).
 Cateterismo: Em pacientes > 45 anos, que
irão realizar troca valvar. Padrão ouro para
estimar gradiente pressórico VE-Ao e
quantificar a estenose.
COMPLICAÇÕES
 Embolia sistêmica (cálcio ou microtrombo
aderido a valva).
 Endocardite infecciosa (a turbulência
predispõe à endocardite).
 Hemorragia digestiva baixa (angiodisplasia
intestinal é mais incidente nos indivíduos
com EA - Síndrome de Heyde).
HISTÓRIA NATURAL
 Conversão da fase assintomática para
sintomática em 80% após 3 anos.
 A fase sintomática apresenta mau
prognóstico sem intervenção cirúrgica.
TRATAMENTO CLÍNICO
 Não existe tratamento medicamentoso para EA
grave!!
 Cuidado com diurético e vasodilatadores
(hipotensão).
 BB são contraindicados.
 FA deve ser tratada prontamente, pois é
importante fator de descompensação.
TRATAMENTO CIRÚRGICO
 Troca valvar (próteses biológicas ou metálicas).
Biológicas: para pacientes > 65 anos
Metálicas: < 65 anos. A trombose de valva
protética pode ocorrer em 20% dos casos se não
instituída anticoagulação.
 Autoenxerto da valva pulmonar com colocação
de bioprótese no local.
 Valvoplastia cirúrgica indicado para crianças e
adolescentes com EA congênita.
 Implante de bioprótese aórtica por cateter –
TAVI.
APARELHO VALVAR TRICÚSPIDE
 Ânulo tricúspide> três cúspides valvares
(anterior, posterior e septal)> cordoália
tendínea> músculos papilares
ESTENOSE TRICÚSPIDE
 Área da VT normal: 4-6cm²
 Na ET há uma redução da AVT com formação
de um gradiente de pressão diastólico entre
o AD e o VD.
 Ocorre estenose quando a AVT< 2-2,5cm²
 As manifestações clínicas já aparecem
mesmo com gradientes pressóricos pequenos
(>5mmHg).
ETIOLOGIA
 Cardiopatia reumática crônica.
 Outros: mixoma atrial D, atresia congênita.
 Estenose tricúspide isolada está quase sempre
relacionada à estenose mitral.
 Gradiente de pressão AD-VD diastólico> 5mmHg,
já pode levar à Sd. Congestiva sistêmica.
 A ET pode reduzir a congestão pulmonar da EM**
QUADRO CLÍNICO
 Baixo débito: fadiga e cansaço aos esforços.
 Congestão sistêmica: Edema de mmii,
turgência jugular patológica, ascite,
hepatomegalia.
 Ruflar diastólico que aumenta de intensidade
durante inspiração.
 Estalido de abertura tricúspide em BEE
baixa.
EXAMES COMPLEMENTARES
 ECG: sinais de aumento AD, onda P apiculada
e de amplitude elevada.
 Raio X de tórax: discreto aumento da área
cardíaca à custa do aumento do AD.
 Ecocardio: confirma o diagnóstico, AD com
diâmetro aumentado, gradiente pressórico>
5mmHg e AVT< 2 cm², PAP estará sempre
inferior ao esperado, pelo grau de estenose
mitral associada.
TRATAMENTO
 Diuréticos e restrição sódica (diminuição da
pré-carga).
 Cirurgia em caso de lesão valvar grave,
associada à doença da mitral.
 Troca valvar: Bioprótese
INSUFICIÊNCIA AÓRTICA
 Existe um refluxo de sangue para o VE
durante a diástole ventricular, devido uma
incompetência do mecanismo de fechamento
valvar.
 Classificação quanto a gravidade:
IA Fração regurgitante
Mínima FR<20%
Leve FR=20-40%
Moderada* FR=40-60%
Grave* FR>60%
ETIOLOGIA
DOENÇAS QUE LESAM A VALVA
 Cardiopatia Reumática Crônica (é comum
dupla lesão aórtica)
 Degeneração mixomatosa
 Valva bicúspide congênita
 Colagenoses (AR, LES, espondilite
anquilosante)
DOENÇAS DA AORTA
 Aterosclerose da Aorta ascendente (mais
comum).
 Necrose Cística da Média (pode ser primária
ou associada à Sd. Marfan).
 Aortite Sifilítica.
 Arterite de Takayasu (vasculite).
FISIOPATOLOGIA
FASE COMPENSADA
 Redução da complacência ventricular
esquerda (maior volume do VE).
 Aumento da pré-carga> Um maior volume do
VE> Aumenta muito o DS (10L/min) e
compensa o volume regurgitante (6L/min).
 Hipertrofia ventricular esquerda excêntrica
para compensar a pós-carga elevada.
FASE DESCOMPENSADA
 Após muitos anos.... Sobrecarga de volume>
lesão miocárdica.
 ICC e isquemia miocárdica (bradicardia-dep.)
 A bradicardia aumenta o tempo diastólico e
também a fração regurgitante.
 Queda da PAD> perfusão coronariana
prejudicada.
 HVE>aumenta consumo de O2
INSUFICIÊNCIA AÓRTICA AGUDA
 Não há mecanismo compensatório!
 O VE não consegue albergar um volume
regurgitante >50-60%.
 Leva a hipotensão arterial e ao choque
cardiogênico.
Causas:
 Endocardite infecciosa
 Dissecção Aórtica (extensão retrógrada para
as cúspides)
 Trauma cardíaco, febre reumática aguda.
QUADRO CLÍNICO
 Assintomático por vários anos.
 Aumento acentuado da pressão de pulso (PAS-
PAD= divergente)>palpitações.
 Fadiga e tonteira> baixo DC efetivo.
 Dispneia aos esforços e ortopneia (sd. Congestiva)
 Angina noturna bradicardia-dependente.
EXAME FÍSICO
 PAS de mmii> PAS de mmss (sinal de Hill).
 Pulso em martelo d’água> elevação ampla e
um colapso abrupto (pulso de Corrigan).
 Pulso Bisferiens> dois picos sistólico.
Sinais da Pressão de Pulso aumentada:
Musset Pulsação da cabeça
Müller Pulsação da úvula
Quincke Pulsação dos capilares
subungueais
Traube Ruído sistólico e diastólico
audíveis na A. Femoral
Duroziez Sopro na A. femoral
 B2 hipofonética ou ausente.
 B3 pela sobrecarga volumétrica.
 Sopro protodiastólico aspirativo: quanto
maior a duração maior a gravidade. Mais
audível com o paciente sentado e o tronco
para frente.
EXAMES COMPLEMENTARES
 ECG:HVE do tipo sobrecarga.
 Raio X de tórax : cardiomegalia de grande
monta + alargamento da silhueta aórtica.
 Ecocardiograma-doppler: capaz de avaliar a
etiologia e estimar a gravidade.
 CATE: Quando há dúvidas no doppler ou
quando o paciente é de risco para doença
coronariana e vai se submeter a troca valvar.
 RNM cardíaca: é o mais acurado para estimar
gravidade.
TRATAMENTO CLÍNICO
 Em pacientes sintomáticos: vasodilatadores,
IECA em caso de disfunção sistólica.
TRATAMENTO CIRÚRGICO
 Deve ser indicado em todos os pacientes com
IA crônica grave com sintomas limitantes
e/ou disfunção sistólica do VE (FE<50%).
 Cirurgia: troca valvar
INSUFICIÊNCIA MITRAL
 É a condição em que existe um refluxo de
sangue para o AE durante a sístole
ventricular, devido incompetência do
mecanismo de fechamento valvar mitral.
FISIOPATOLOGIA
 Sobrecarga de volume ao AE na sístole
 Sobrecarga de volume ao VE na diástole
INSUFICIÊNCIA MITRAL CRÔNICA – ETIOLOGIA
 Degeneração mixomatosa (prolapso de valva
mitral), 3% de prevalência, 20% desenvolvem
IM, incidência aumentada de arritmias.
 Doença reumática (dupla lesão ou IM
isolada).
 IAM (por necrose parcial do músculo papilar).
 Calcificação senil do anel (idosos).
 Dilatação Ventricular Esquerda (dilatação do
anel valvar).
FASE CRÔNICA COMPENSADA
 Aumento da complacência atrial esquerda
(aumento de volume sem elevar a pressão).
 Aumento da complacência ventricular
esquerda ( a parede ventricular torna-se mais
elástica e evolui com HVE excêntrica).
 Redução da pós-carga Ventricular: O VE
trabalha com uma pós-carga baixa, pois
manda volume para o AE e para Aorta. A FE
geralmente > 70% (superestimada).
 Aumento da pré-carga ventricular (Frank-
Starling), faz aumentar o DS total.
FASE CRÔNICA DESCOMPENSADA
 Após anos de IM crônica....
 Lesão do miocárdio ventricular> diminuição da
contratilidade (e estado de baixa pós-carga)>
diminuindo a fração de ejeção.
 FE<50% significa GRAVE disfunção sistólica do VE.
 Sintomas da Sd. Congestiva pulmonar.
INSUFICIÊNCIA MITRAL AGUDA
 Causas: Endocardite infecciosa (Estafilocócica)
 Ruptura espontânea de cordoália (idiopática ou
secundária a degeneração mixomatosa).
 Febre reumática aguda, trauma, IAM,
miocardites agudas.
 Leva uma sobrecarga volumétrica abrupta
sobre o AE e VE> síndrome congestiva
pulmonar> edema agudo de pulmão e choque
cardiogênico.
QUADRO CLÍNICO
 Pacientes assintomáticos podem apresentar
sintomas em um teste ergométrico.
 Na fase descompensada: dispneia,
ortopneia, dispneia paroxística noturna.
 Íctus de VE deslocado para esquerda da linha
hemiclavicular e para baixo do 5º EIC.
 3ª Bulha devido sobrecarga de volume
crônica e enchimento rápido do VE.
 Sopro holossistólico no foco mitral (inicia-se
com a B1 e prolonga-se além de B2),
aumenta com o handgrip.
 Click mesossistólico no prolapso de valva
mitral.
VALVA REGURGITADA IRRADIAÇÃO
FOLHETO ANTERIOR AXILA + INFRAESCAPULAR E
POSTERIOR FOCOS DA BASE OU INTERESCAPULAR
EXAMES COMPLEMENTARES
 ECG: Aumento do AE e sobrecarga de volume
(HVE), aumento da onda R, onda T apiculada.
 Raio X de tórax: Cardiomegalia.
 Ecocardio-doppler: é capaz de diagnosticar a
etiologia da IM (transesofágico). É necessário
para acompanhamento semestral.
 CATE quando há dúvidas no Ecocardio.
HISTÓRIA NATURAL
 Pacientes classe III e IV possuem sobrevida em
5 anos de 30%.
 FE<60% já denota disfunção sistólica.
 Necessidade de acompanhamento semestral ou
anual dos pacientes graves.
 IM aguda grave, se não operados
precocemente, costumam evoluir para o óbito.
 Complicações: FA e fenômenos
tromboembólicos; endocardite infecciosa;
instabilidade hemodinâmica na IM aguda.
TRATAMENTO CLÍNICO
 Indicada na ICC: Vasodilatadores, BB e
diuréticos (atuam na IC e reduzem o
diâmetro ventricular>anel mitral).
 IM Aguda: inotrópicos de ação rápida e
vasodilatadores (NIPRIDE).
TRATAMENTO CIRÚRGICO
 Valvoplastia mitral: colocação de um anel
que mantém o orifício valvar pequeno.
 Troca valvar: quando não for possível a
plastia (valva calcificada, acometimento
grave, degeneração, etc.)
INSUFICIÊNCIA TRICÚSPIDE
 Condição na qual existe um refluxo de
sangue do VD para AD durante a sístole,
devido incompetência do mecanismo de
fechamento tricúspide.
 É mais comum que a ET.
 IT secundária (disfunção sistólica do VD,
Hipertensão pulmonar).
 IT primária: acomete diretamente a valva:
prolapso (degeneração mixomatosa); doença
reumática crônica; Outras.
FISIOPATOLOGIA
 Sobrecarga de volume ao AD e VD> síndrome
congestiva sistêmica e diminuição do DC.
QUADRO CLÍNICO
 Turgência jugular, hepatomegalia, anasarca
cardiogênica, fadiga, cansaço aos esforços.
 Sopro holosistólico no foco tricúspide.
EXAMES COMPLEMENTARES
 ECG: Sinais de aumento atrial direito e
sobrecarga de VD. FA é comum.
 Raio X: Aumento da área cardíaca à custa do
aumento atrial direito e do VD.
 Ecocardiograma: Confirma o diagnóstico e a
etiologia.
TRATAMENTO
 Diuréticos e restrição de sódio.
 Correção cirúrgica é fundamental quando
HAP>50mmHg
Valvopatias

Valvopatias

  • 1.
    ERICK FRANK BRAGATO ESTÁGIOEM CARDIOLOGIA UNIVERSIDADE ESTADUAL DE LONDRINA 2014
  • 7.
    ESTENOSE MITRAL  Aparelhovalvar mitral: Ânulo mitral – dois folhetos ou cúspides valvares – cordoália tendínea – músculos papilares.
  • 8.
     Área valvarnormal= 4-6 cm² DEFINIÇÃO: Estenose mitral é uma restrição a abertura dos folhetos, reduzindo a área valvar mitral e levando a formação de um gradiente de pressão diastólico entre AE e VE. (AVM<2,5 cm²). Classificação AVM Gradiente pressórico médio* PS da artéria pulmonar Leve 1,5-2,5cm² <5mmHg <30mmHg Moderada 1,0-1,5 5-10 30-50 Grave <1,0 >10 >50
  • 9.
    FISIOPATOLOGIA  Na EMocorre obstrução fixa ao fluxo de sangue do AE para o VE.  Necessidade de um gradiente de pressão transvalvar para manter fluxo adequado. CONGESTÃO PULMONAR  Aumento da pressão do AE – aumento da pressão no leito venocapilar pulmonar – Síndrome congestiva.  Fatores determinantes: DC e FC Alto débito: esforço, estresse, anemia, febre, gestação, hipertireoidismo... Taquicardia reduz o tempo da diástole
  • 10.
    HIPERTENSÃO ARTERIAL PULMONAR Aumento crônico da pressão venocapilar pulmonar> aumento da pressão arterial pulmonar (HAP passiva).  HAP reativa leva à obliteração crônica e progressiva do leito arteriolar pulmonar (fase avançada).  Quando PAP>50-60, o VD pode entrar em falência miocárdica, levando a insuficiência ventricular Direita (IVD)> congestão sistêmica
  • 11.
    BAIXO DÉBITO CARDÍACO Quando a estenose se torna crítica, associado a IVD, o DC torna-se limitado, especialmente durante o esforço.
  • 12.
    ETIOLOGIA  Cardiopatia reumáticacrônica (95%) Mais comum no sexo feminino (2/3). Dupla lesão mitral (est+insuf)> estenose mitral pura> insuficiência mitral pura. Degeneração fibrótica e fibrocalcífica: fusão das comissuras. É comum o acometimento de jovens.  Congênita  Endocardite infecciosa  amiloidose
  • 13.
    QUADRO CLÍNICO  Dispneiaaos esforços (Sd. Congestiva)  Sd. De baixo débito: fadiga, cansaço, e lipotímia provocado pelo esforço.  Tosse com hemoptise: ruptura de capilares ingurgitados e hipertensos.  Dor torácica: distensão do tronco da artéria pulmonar  Rouquidão: AE aumentado comprime o n. laríngeo recorrente.  Disfagia para sólidos: Compressão esofágica pelo AE aumentado.
  • 14.
     SE IVD,a pressão jugular estará aumentada.  Hiperfonese de B1 (fases iniciais: os folhetos ainda tem mobilidade)  Hipofonese de B1 (calcificação dos folhetos em fases avançadas)  Hiperfonese de P2 (componente pulmonar da B2, HAP)  Estalido de abertura (quando a valva de abre logo após B2)  Ruflar diastólico: com a campânula, em foco mitral, decúbito semilateral esquerdo. Quanto >duração, > a gravidade da estenose! Se intenso pode irradiar-se para axila e para o foco tricúspide.
  • 15.
    EXAMES COMPLEMENTARES  ECG:FA; Aumento do AE (onda P larga e bífida em D2, porção negativa da P aumentada em V1); Sobrecarga de VD com desvio do eixo para direita, R ampla em V1 e V2, S ampla em V5 e V6.
  • 16.
    RAIO X DETÓRAX  Duplo contorno na silhueta direita do coração.  Sinal da bailarina (deslocamento superior do brônquio fonte E).  Abaulamento do 4º arco cardíaco esquerdo.  Deslocamento posterior do esôfago contrastado.  Inversão do padrão vascular.  Linhas B de Kerley.  Edema intersticial.
  • 18.
    ECOCARDIOGRAMA DOPPLER  Estimativada área valvar mitral (AVM).  Diâmetro do AE, função ventricular esquerda.  Estimativa da PAP.  Presença de trombo intra-atrial.  Escore de BLOCK (resposta à plastia): Grau de calcificação valvar Grau de espessamento Mobilidade das cúspides Acometimento do aparelho subvalvar
  • 19.
    HISTÓRIA NATURAL  Pacientesem classe funcional I da NYHA, a sobrevida é de 80% em 10 anos.  Em classe funcional IV, a sobrevida em 5 anos é de 15%  A morte ocorre por ICC, com tromboembolismo sistêmico contribuindo com 20% dos óbitos.
  • 20.
    TRATAMENTO CLÍNICO  Betabloqueador(droga de escolha)  Antagonista do cálcio do tipo verapamil e diltiazem (Contra-indicação ao BB)  Diuréticos (cuidado)  Anticoagulação: FA ou trombo em AE  Cardioversão na vigência de FA e instabilidade hemodinâmica
  • 21.
    TRATAMENTO CIRÚRGICO  ValvoplastiaPercutânea com Balão (Escore de Block <8, sem trombo em AE ou Ins. Mitral moderada a grave).  Comissurotomia Cirúrgica Aberta ( Com trombo AE).  Troca Valvar (Escore de Block > 11/Ins. Mitral moderada a grave). Biológicas: para pacientes > 65 anos Metálicas: < 65 anos. A trombose de valva protética pode ocorrer em 20% dos casos se não instituída anticoagulação.
  • 26.
    Valva Aórtica  Constituídopor um anel fibroso, 3 folhetos ou cúspides (meia lua), seios de valsalva de onde se originam as duas artérias coronárias: Folheto coronariano direito, folheto coronariano esquerdo e folheto posterior.
  • 27.
     Área valvaraórtica normal: 2,5-3,5cm²  Na EA há uma restrição à abertura dos folhetos, levando a formação de um gradiente de pressão sistólico entre o VE e a Aorta.
  • 28.
    FISIOPATOLOGIA FASE COMPENSADA  EAé um processo crônico e insidioso, permitindo mecanismos compensatórios bem sucedidos.  Hipertrofia Ventricular Concêntrica do VE: Manutenção de um DS satisfatório. Evita aumento excessivo da pós-carga.
  • 29.
    FASE DESCOMPENSADA  Isquemiamiocárdica Redução da reserva coronariana x aumento da demanda metabólica.  Débito Cardíaco fixo A hipertrofia ventricular não garante mais o aumento do DC no esforço.  Insuficiência Cardíaca Congestiva Fibrose miocárdica>HVE>redução da complacência ventricular>aumento da pressão no AE e venocapilar pulmonar>congestão (IC diastólica) Na falência miocárdica ocorre dilatação do VE, queda da FE levando a IC sistólica
  • 30.
    ETIOLOGIA  Valva bicúspidecongênita. Causa mais comum em crianças, adolescentes e adultos <65 anos.  Degenerativa Calcífica. Causa mais comum de EA, pois acomete mais idosos. Fatores de risco: DM e hipercolesterolemia.  Cardiopatia reumática crônica. Causa comum em nosso meio de EA em adolescentes e adultos. É comum IA associada (dupla lesão aórtica). É mais comum no sexo masculino.  Artrite reumatoide, outros defeitos congênitos.
  • 32.
    QUADRO CLÍNICO  Assintomáticospor longa data.  Angina que geralmente não responde à nitratos.  Síncope desencadeada pelo esforço físico (DC fixo) ou por arritmias isquemia-induzidas.  Dispneia devido congestão pulmonar exacerbada pelo exercício. IC sistólica ou diastólica.  Pulso “tardus” e “parvus”: pulso carotídeo com ascensão lenta e sustentada e amplitude fraca.  Quarta bulha, devido HVE concêntrica e redução da complacência (a contração atrial é mais vigorosa).
  • 33.
     Hipofonese deA2 na EA calcífica.  Sopro mesossistólico no foco aórtico em “diamante”: mais intenso no meio da sístole e com irradiação para carótidas. A EA é mais grave quanto > a duração do sopro.  Fenômeno de Gallavardin: O sopro pode irradiar-se para o foco mitral (continuidade anatômica do anel mitral e aórtico).
  • 34.
    EXAMES COMPLEMENTARES  ECG:Sinais de hipertrofia ventricular esquerda, sobrecarga em AE e BRE são comuns.  Raio X de tórax: Calcificação da valva aórtica.
  • 35.
     Ecocardiograma-Doppler: determinaa área valvar, o gradiente pressórico VE-Ao (Gradiente médio).  Cateterismo: Em pacientes > 45 anos, que irão realizar troca valvar. Padrão ouro para estimar gradiente pressórico VE-Ao e quantificar a estenose.
  • 36.
    COMPLICAÇÕES  Embolia sistêmica(cálcio ou microtrombo aderido a valva).  Endocardite infecciosa (a turbulência predispõe à endocardite).  Hemorragia digestiva baixa (angiodisplasia intestinal é mais incidente nos indivíduos com EA - Síndrome de Heyde).
  • 37.
    HISTÓRIA NATURAL  Conversãoda fase assintomática para sintomática em 80% após 3 anos.  A fase sintomática apresenta mau prognóstico sem intervenção cirúrgica.
  • 38.
    TRATAMENTO CLÍNICO  Nãoexiste tratamento medicamentoso para EA grave!!  Cuidado com diurético e vasodilatadores (hipotensão).  BB são contraindicados.  FA deve ser tratada prontamente, pois é importante fator de descompensação.
  • 39.
    TRATAMENTO CIRÚRGICO  Trocavalvar (próteses biológicas ou metálicas). Biológicas: para pacientes > 65 anos Metálicas: < 65 anos. A trombose de valva protética pode ocorrer em 20% dos casos se não instituída anticoagulação.  Autoenxerto da valva pulmonar com colocação de bioprótese no local.
  • 41.
     Valvoplastia cirúrgicaindicado para crianças e adolescentes com EA congênita.  Implante de bioprótese aórtica por cateter – TAVI.
  • 44.
    APARELHO VALVAR TRICÚSPIDE Ânulo tricúspide> três cúspides valvares (anterior, posterior e septal)> cordoália tendínea> músculos papilares
  • 45.
    ESTENOSE TRICÚSPIDE  Áreada VT normal: 4-6cm²  Na ET há uma redução da AVT com formação de um gradiente de pressão diastólico entre o AD e o VD.  Ocorre estenose quando a AVT< 2-2,5cm²  As manifestações clínicas já aparecem mesmo com gradientes pressóricos pequenos (>5mmHg).
  • 46.
    ETIOLOGIA  Cardiopatia reumáticacrônica.  Outros: mixoma atrial D, atresia congênita.  Estenose tricúspide isolada está quase sempre relacionada à estenose mitral.  Gradiente de pressão AD-VD diastólico> 5mmHg, já pode levar à Sd. Congestiva sistêmica.  A ET pode reduzir a congestão pulmonar da EM**
  • 47.
    QUADRO CLÍNICO  Baixodébito: fadiga e cansaço aos esforços.  Congestão sistêmica: Edema de mmii, turgência jugular patológica, ascite, hepatomegalia.  Ruflar diastólico que aumenta de intensidade durante inspiração.  Estalido de abertura tricúspide em BEE baixa.
  • 48.
    EXAMES COMPLEMENTARES  ECG:sinais de aumento AD, onda P apiculada e de amplitude elevada.  Raio X de tórax: discreto aumento da área cardíaca à custa do aumento do AD.  Ecocardio: confirma o diagnóstico, AD com diâmetro aumentado, gradiente pressórico> 5mmHg e AVT< 2 cm², PAP estará sempre inferior ao esperado, pelo grau de estenose mitral associada.
  • 49.
    TRATAMENTO  Diuréticos erestrição sódica (diminuição da pré-carga).  Cirurgia em caso de lesão valvar grave, associada à doença da mitral.  Troca valvar: Bioprótese
  • 51.
    INSUFICIÊNCIA AÓRTICA  Existeum refluxo de sangue para o VE durante a diástole ventricular, devido uma incompetência do mecanismo de fechamento valvar.  Classificação quanto a gravidade: IA Fração regurgitante Mínima FR<20% Leve FR=20-40% Moderada* FR=40-60% Grave* FR>60%
  • 52.
    ETIOLOGIA DOENÇAS QUE LESAMA VALVA  Cardiopatia Reumática Crônica (é comum dupla lesão aórtica)  Degeneração mixomatosa  Valva bicúspide congênita  Colagenoses (AR, LES, espondilite anquilosante)
  • 53.
    DOENÇAS DA AORTA Aterosclerose da Aorta ascendente (mais comum).  Necrose Cística da Média (pode ser primária ou associada à Sd. Marfan).  Aortite Sifilítica.  Arterite de Takayasu (vasculite).
  • 56.
  • 57.
    FASE COMPENSADA  Reduçãoda complacência ventricular esquerda (maior volume do VE).  Aumento da pré-carga> Um maior volume do VE> Aumenta muito o DS (10L/min) e compensa o volume regurgitante (6L/min).  Hipertrofia ventricular esquerda excêntrica para compensar a pós-carga elevada.
  • 58.
    FASE DESCOMPENSADA  Apósmuitos anos.... Sobrecarga de volume> lesão miocárdica.  ICC e isquemia miocárdica (bradicardia-dep.)  A bradicardia aumenta o tempo diastólico e também a fração regurgitante.  Queda da PAD> perfusão coronariana prejudicada.  HVE>aumenta consumo de O2
  • 59.
    INSUFICIÊNCIA AÓRTICA AGUDA Não há mecanismo compensatório!  O VE não consegue albergar um volume regurgitante >50-60%.  Leva a hipotensão arterial e ao choque cardiogênico. Causas:  Endocardite infecciosa  Dissecção Aórtica (extensão retrógrada para as cúspides)  Trauma cardíaco, febre reumática aguda.
  • 60.
    QUADRO CLÍNICO  Assintomáticopor vários anos.  Aumento acentuado da pressão de pulso (PAS- PAD= divergente)>palpitações.  Fadiga e tonteira> baixo DC efetivo.  Dispneia aos esforços e ortopneia (sd. Congestiva)  Angina noturna bradicardia-dependente.
  • 61.
    EXAME FÍSICO  PASde mmii> PAS de mmss (sinal de Hill).  Pulso em martelo d’água> elevação ampla e um colapso abrupto (pulso de Corrigan).  Pulso Bisferiens> dois picos sistólico. Sinais da Pressão de Pulso aumentada: Musset Pulsação da cabeça Müller Pulsação da úvula Quincke Pulsação dos capilares subungueais Traube Ruído sistólico e diastólico audíveis na A. Femoral Duroziez Sopro na A. femoral
  • 62.
     B2 hipofonéticaou ausente.  B3 pela sobrecarga volumétrica.  Sopro protodiastólico aspirativo: quanto maior a duração maior a gravidade. Mais audível com o paciente sentado e o tronco para frente.
  • 63.
    EXAMES COMPLEMENTARES  ECG:HVEdo tipo sobrecarga.  Raio X de tórax : cardiomegalia de grande monta + alargamento da silhueta aórtica.
  • 64.
     Ecocardiograma-doppler: capazde avaliar a etiologia e estimar a gravidade.
  • 65.
     CATE: Quandohá dúvidas no doppler ou quando o paciente é de risco para doença coronariana e vai se submeter a troca valvar.  RNM cardíaca: é o mais acurado para estimar gravidade.
  • 66.
    TRATAMENTO CLÍNICO  Empacientes sintomáticos: vasodilatadores, IECA em caso de disfunção sistólica. TRATAMENTO CIRÚRGICO  Deve ser indicado em todos os pacientes com IA crônica grave com sintomas limitantes e/ou disfunção sistólica do VE (FE<50%).  Cirurgia: troca valvar
  • 70.
    INSUFICIÊNCIA MITRAL  Éa condição em que existe um refluxo de sangue para o AE durante a sístole ventricular, devido incompetência do mecanismo de fechamento valvar mitral.
  • 71.
    FISIOPATOLOGIA  Sobrecarga devolume ao AE na sístole  Sobrecarga de volume ao VE na diástole
  • 72.
    INSUFICIÊNCIA MITRAL CRÔNICA– ETIOLOGIA  Degeneração mixomatosa (prolapso de valva mitral), 3% de prevalência, 20% desenvolvem IM, incidência aumentada de arritmias.  Doença reumática (dupla lesão ou IM isolada).  IAM (por necrose parcial do músculo papilar).  Calcificação senil do anel (idosos).  Dilatação Ventricular Esquerda (dilatação do anel valvar).
  • 73.
    FASE CRÔNICA COMPENSADA Aumento da complacência atrial esquerda (aumento de volume sem elevar a pressão).  Aumento da complacência ventricular esquerda ( a parede ventricular torna-se mais elástica e evolui com HVE excêntrica).  Redução da pós-carga Ventricular: O VE trabalha com uma pós-carga baixa, pois manda volume para o AE e para Aorta. A FE geralmente > 70% (superestimada).  Aumento da pré-carga ventricular (Frank- Starling), faz aumentar o DS total.
  • 74.
    FASE CRÔNICA DESCOMPENSADA Após anos de IM crônica....  Lesão do miocárdio ventricular> diminuição da contratilidade (e estado de baixa pós-carga)> diminuindo a fração de ejeção.  FE<50% significa GRAVE disfunção sistólica do VE.  Sintomas da Sd. Congestiva pulmonar.
  • 75.
    INSUFICIÊNCIA MITRAL AGUDA Causas: Endocardite infecciosa (Estafilocócica)  Ruptura espontânea de cordoália (idiopática ou secundária a degeneração mixomatosa).  Febre reumática aguda, trauma, IAM, miocardites agudas.  Leva uma sobrecarga volumétrica abrupta sobre o AE e VE> síndrome congestiva pulmonar> edema agudo de pulmão e choque cardiogênico.
  • 76.
    QUADRO CLÍNICO  Pacientesassintomáticos podem apresentar sintomas em um teste ergométrico.  Na fase descompensada: dispneia, ortopneia, dispneia paroxística noturna.  Íctus de VE deslocado para esquerda da linha hemiclavicular e para baixo do 5º EIC.  3ª Bulha devido sobrecarga de volume crônica e enchimento rápido do VE.  Sopro holossistólico no foco mitral (inicia-se com a B1 e prolonga-se além de B2), aumenta com o handgrip.
  • 77.
     Click mesossistólicono prolapso de valva mitral. VALVA REGURGITADA IRRADIAÇÃO FOLHETO ANTERIOR AXILA + INFRAESCAPULAR E POSTERIOR FOCOS DA BASE OU INTERESCAPULAR
  • 78.
    EXAMES COMPLEMENTARES  ECG:Aumento do AE e sobrecarga de volume (HVE), aumento da onda R, onda T apiculada.  Raio X de tórax: Cardiomegalia.  Ecocardio-doppler: é capaz de diagnosticar a etiologia da IM (transesofágico). É necessário para acompanhamento semestral.  CATE quando há dúvidas no Ecocardio.
  • 80.
    HISTÓRIA NATURAL  Pacientesclasse III e IV possuem sobrevida em 5 anos de 30%.  FE<60% já denota disfunção sistólica.  Necessidade de acompanhamento semestral ou anual dos pacientes graves.  IM aguda grave, se não operados precocemente, costumam evoluir para o óbito.  Complicações: FA e fenômenos tromboembólicos; endocardite infecciosa; instabilidade hemodinâmica na IM aguda.
  • 81.
    TRATAMENTO CLÍNICO  Indicadana ICC: Vasodilatadores, BB e diuréticos (atuam na IC e reduzem o diâmetro ventricular>anel mitral).  IM Aguda: inotrópicos de ação rápida e vasodilatadores (NIPRIDE).
  • 82.
    TRATAMENTO CIRÚRGICO  Valvoplastiamitral: colocação de um anel que mantém o orifício valvar pequeno.
  • 83.
     Troca valvar:quando não for possível a plastia (valva calcificada, acometimento grave, degeneração, etc.)
  • 86.
    INSUFICIÊNCIA TRICÚSPIDE  Condiçãona qual existe um refluxo de sangue do VD para AD durante a sístole, devido incompetência do mecanismo de fechamento tricúspide.  É mais comum que a ET.  IT secundária (disfunção sistólica do VD, Hipertensão pulmonar).  IT primária: acomete diretamente a valva: prolapso (degeneração mixomatosa); doença reumática crônica; Outras.
  • 87.
    FISIOPATOLOGIA  Sobrecarga devolume ao AD e VD> síndrome congestiva sistêmica e diminuição do DC. QUADRO CLÍNICO  Turgência jugular, hepatomegalia, anasarca cardiogênica, fadiga, cansaço aos esforços.  Sopro holosistólico no foco tricúspide. EXAMES COMPLEMENTARES  ECG: Sinais de aumento atrial direito e sobrecarga de VD. FA é comum.  Raio X: Aumento da área cardíaca à custa do aumento atrial direito e do VD.
  • 88.
     Ecocardiograma: Confirmao diagnóstico e a etiologia. TRATAMENTO  Diuréticos e restrição de sódio.  Correção cirúrgica é fundamental quando HAP>50mmHg