EMBOLIA
PULMONAR
Professora Jhordana
A embolia pulmonar (EP) refere-se à
obstrução da artéria pulmonar ou
de um de seus ramos por um
trombo (ou trombos), que se origina
de algum local no sistema venoso ou
no lado direito do coração.
A trombose venosa profunda
(TVP), e uma condição relacionada
a embolia pulmonar, refere-se à
formação de trombos nas veias
profundas, geralmente na
panturrilha ou na coxa, porém
algumas vezes no braço,
particularmente em clientes com
cateteres centrais de inserção
periférica.
Fatores de risco
• Traumatismo;
• Cirurgia (ortopédica, abdominal de grande porte, ginecológica pélvica);
• Estados hipercoagulaveis;
• Imobilidade prolongada;
• Gravidez;
• Insuficiência cardíaca;
• Idade acima de 50 anos;
• Contraceptivos orais;
• Reposição hormonal.
Fisiopatologia
• A EP costuma ser causada por um coágulo sanguíneo ou trombo, e
ocorre comprometimento da troca gasosa na massa pulmonar irrigada
pelo vaso obstruído.
• Embora essa área continue sendo ventilada, ela recebe pouco ou
nenhum fluxo sanguíneo.
• Isso resulta em vasoconstrição localizada e aumento da resistência
vascular pulmonar, que compõe o desequilíbrio de ventilação-perfusão.
• A EP maciça é uma emergência potencialmente fatal; é comum a
ocorrência de morte em 1 h após o início dos sintomas.
Manifestações Clinicas
• Dispneia e taquipneia são os sinais mais comuns;
• Dor torácica, habitualmente de início súbito e de natureza pleurítica;
• Pode ocorrer ansiedade, febre, taquicardia, apreensão, tosse, sudorese,
hemoptise, síncope, choque e morte súbita;
• O quadro clínico pode simular o da broncopneumonia ou IC;
• Nos casos atípicos, a EP provoca poucos sinais e sintomas, ao passo que,
em outros casos, simula vários outros distúrbios cardiopulmonares;
• A obstrução da artéria pulmonar resulta em dispneia pronunciada, dor
subesternal súbita, pulso rápido e fraco, choque, síncope e morte súbita.
Avaliação e achados diagnósticos
• História clínica, sinais e sintomas;
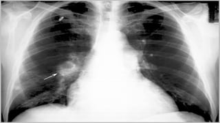
• Radiografia de Tórax;
• ECG;
• Oximetria de pulso;
• Gasometria arterial;
• Angiografia Pulmonar;
• Tomografia helicoidal de tórax;
• Ensaio do dímero D (exame de sangue à procura de evidências de
coágulos sanguíneos);
• Arteriografia.
Prevenção
• Deambulação e exercícios ativos das pernas em clientes em repouso no
leito para evitar a ocorrência de TVP;
• Terapia anticoagulante.
Terapia Farmacológica
• Terapia anticoagulante:
- Heparina de baixo peso molecular;
- Fondaparinux;
- Varfarina
- Heparinoides(enoxaparina, fondaparinux, dalteparina, inzaparina,
lepirudina e argatrobana).
• Terapia trombolítica:
- Fibrinolíticos (fármacos utilizados para dissolver trombos).
• Deve ser administrado imediatamente oxigênio nasal para aliviar a
hipoxemia, a angústia respiratória e a cianose central; a hipoxemia grave
pode exigir intubação endotraqueal de emergência e ventilação
mecânica.
Manejo de enfermagem
• Incentivar a deambulação precoce e exercícios passivos e ativos das
pernas;
• Instruir o cliente a mover as pernas em um exercício de
“bombeamento”;
• Orientar o cliente a evitar permanecer sentado por períodos
prolongados, bem como evitar a imobilidade e roupas apertadas;
• Impedir o cliente de balançar as pernas e os pés em posição pendente;
• Instruir o cliente a colocar os pés no chão ou em uma cadeira e a evitar
cruzar as pernas;
• Quando houver terapia anticoagulante e trombolítica, aconselhar
repouso no leito, verificar os SSVV a cada 2 horas e limitar
procedimentos invasivos;
• Colocar o paciente em posição semi-Fowler e administrar analgésicos
CPM para minimizar a dor torácica;
• Avaliar o cliente com frequência à procura de sinais de hipoxemia e
monitorar os valores da oximetria de pulso;
• Incentivar o cliente a expressar seus sentimentos e preocupações;
• Responder de maneira concisa e acurada às perguntas feitas;
• Explicar o tratamento e descrever como reconhecer precocemente a
ocorrência de efeitos adversos.

Aula sobre embolia pulmonar,.........pdf

  • 1.
  • 2.
    A embolia pulmonar(EP) refere-se à obstrução da artéria pulmonar ou de um de seus ramos por um trombo (ou trombos), que se origina de algum local no sistema venoso ou no lado direito do coração.
  • 3.
    A trombose venosaprofunda (TVP), e uma condição relacionada a embolia pulmonar, refere-se à formação de trombos nas veias profundas, geralmente na panturrilha ou na coxa, porém algumas vezes no braço, particularmente em clientes com cateteres centrais de inserção periférica.
  • 4.
    Fatores de risco •Traumatismo; • Cirurgia (ortopédica, abdominal de grande porte, ginecológica pélvica); • Estados hipercoagulaveis; • Imobilidade prolongada; • Gravidez; • Insuficiência cardíaca; • Idade acima de 50 anos; • Contraceptivos orais; • Reposição hormonal.
  • 5.
    Fisiopatologia • A EPcostuma ser causada por um coágulo sanguíneo ou trombo, e ocorre comprometimento da troca gasosa na massa pulmonar irrigada pelo vaso obstruído. • Embora essa área continue sendo ventilada, ela recebe pouco ou nenhum fluxo sanguíneo. • Isso resulta em vasoconstrição localizada e aumento da resistência vascular pulmonar, que compõe o desequilíbrio de ventilação-perfusão. • A EP maciça é uma emergência potencialmente fatal; é comum a ocorrência de morte em 1 h após o início dos sintomas.
  • 6.
    Manifestações Clinicas • Dispneiae taquipneia são os sinais mais comuns; • Dor torácica, habitualmente de início súbito e de natureza pleurítica; • Pode ocorrer ansiedade, febre, taquicardia, apreensão, tosse, sudorese, hemoptise, síncope, choque e morte súbita; • O quadro clínico pode simular o da broncopneumonia ou IC; • Nos casos atípicos, a EP provoca poucos sinais e sintomas, ao passo que, em outros casos, simula vários outros distúrbios cardiopulmonares; • A obstrução da artéria pulmonar resulta em dispneia pronunciada, dor subesternal súbita, pulso rápido e fraco, choque, síncope e morte súbita.
  • 7.
    Avaliação e achadosdiagnósticos • História clínica, sinais e sintomas; • Radiografia de Tórax; • ECG; • Oximetria de pulso; • Gasometria arterial; • Angiografia Pulmonar; • Tomografia helicoidal de tórax; • Ensaio do dímero D (exame de sangue à procura de evidências de coágulos sanguíneos); • Arteriografia.
  • 9.
    Prevenção • Deambulação eexercícios ativos das pernas em clientes em repouso no leito para evitar a ocorrência de TVP; • Terapia anticoagulante.
  • 10.
    Terapia Farmacológica • Terapiaanticoagulante: - Heparina de baixo peso molecular; - Fondaparinux; - Varfarina - Heparinoides(enoxaparina, fondaparinux, dalteparina, inzaparina, lepirudina e argatrobana). • Terapia trombolítica: - Fibrinolíticos (fármacos utilizados para dissolver trombos).
  • 11.
    • Deve seradministrado imediatamente oxigênio nasal para aliviar a hipoxemia, a angústia respiratória e a cianose central; a hipoxemia grave pode exigir intubação endotraqueal de emergência e ventilação mecânica.
  • 12.
    Manejo de enfermagem •Incentivar a deambulação precoce e exercícios passivos e ativos das pernas; • Instruir o cliente a mover as pernas em um exercício de “bombeamento”; • Orientar o cliente a evitar permanecer sentado por períodos prolongados, bem como evitar a imobilidade e roupas apertadas; • Impedir o cliente de balançar as pernas e os pés em posição pendente; • Instruir o cliente a colocar os pés no chão ou em uma cadeira e a evitar cruzar as pernas;
  • 13.
    • Quando houverterapia anticoagulante e trombolítica, aconselhar repouso no leito, verificar os SSVV a cada 2 horas e limitar procedimentos invasivos; • Colocar o paciente em posição semi-Fowler e administrar analgésicos CPM para minimizar a dor torácica; • Avaliar o cliente com frequência à procura de sinais de hipoxemia e monitorar os valores da oximetria de pulso; • Incentivar o cliente a expressar seus sentimentos e preocupações; • Responder de maneira concisa e acurada às perguntas feitas; • Explicar o tratamento e descrever como reconhecer precocemente a ocorrência de efeitos adversos.