UNIVERSIDADE DO ESTADO DO AMAZONAS
DEPARTAMENTO DE CLÍNICA MÉDICA
DISCIPLINA DE PNEUMOLOGIA E TISIOLOGIA
▪ Doença comum e fatal
▪ 98 casos/100.000 pessoas-ano
▪ Em 2006, 247.000 internações por TEP EUA
▪ 3a doença cardiovascular mais comum
▪ 3a causa de morte em pacientes internados
▪ Causa de Morte Súbita

NEJM 2008;358:1037
Stein PD et al. Clin Chest Med 2010: 611-628
▪ Estima-se que até 25% dos pacientes falecem antes de
chegar ao hospital
▪ Mortalidade de 10% em 3 meses
▪ Responsável por 10%-15% de todos os óbitos hospitalares
▪ 20-30% dos óbitos relacionados à gravidez e parto


100.000 mortes/anos EUA

▪ Diagnóstico em apenas 20% dos casos

Jaff MR et al. Circulation 2011;123:1788-1830
Lankeit M. Clin Chest Med 2010;31:759-769
Idade/sexo

Queixa

Diagnóstico

Tratamento

61/M

Dor MID

Ruptura muscular

AINH

82/F

Dispneia e Dor MID

Osteoartrose

AINH

55/M

Dispneia e dor
torácica

IRPAg sem
evidência de PNM

Antibióticos,
mucolíticos e
broncodilatadores

28 /F

Dor MID

Dor mecânica

---

50/M

Dor MIE por 2m

Siática

AINH

39/M

Dor MID por 1m

Hiperuricemia

---

Journal of Forensic and Legal Medicine 2009; 16: 196
TEP/100.000 indivíduos

Idade (anos)

Stein PD et al. Clin Chest Med 2010: 611-628
TEP fatal/TEP total
(%)

Idade (anos)
Stein PD et al. Clin Chest Med 2010: 611-628
↑RVP

Hipertensão pulmonar

↑pós-carga de VD

Dilatação de VD

↓Complacência de VE

Disfunção sistólica VD

↓Pré-carga VE

↓Volume sistólico

↑Tensão parede VD

Isquemia VD

↓fluxo coronariano

↓Débito cardíaco

Hipotensão /hipoperfusão

CHEST 2004; 125: 1539


Principal determinante da mortalidade: Disfunção do VD



O que determina a disfunção do VD?
- Tamanho dos trombos
- Isquemia miocárdica persistente (sobrecarga)
- Doença cardiovascular preexistente
- Outras comorbidades
Jaff MR et al. Circulation 2011;123:1788-1830
Lankeit M. Clin Chest Med 2010;31:759-769
•

Desequilíbrio V/Q

•

Áreas de espaço morto

•

Em áreas mal ou não perfundidas – atelectasias
e ↓surfactante

•

Pode ocorrer lesão de isquemia e reperfusão

•

TEP maciço - shunt D →E (intrapulmonar/
abertura de foramen oval)
Crit Care Clin 27 (2011) 869–884


Aproximadamente 90% - Membros inferiores
 Vasos proximais: 50% das TVP´s embolizam (femoral superficial ou

comum, poplíteas ou vasos mais proximais).
 Trombose exclusiva de vasos da panturrilha raramente embolizam



Membros superiores
 defeitos estruturais de drenagem venosa
 Cateteres venosos centrais/ marca passo



Dilatações importantes de cavidades cardíacas direitas.
Crit Care Clin 27 (2011) 869–884
• Fibrinólise - resolução completa (7 a 10 dias),
parcial e/ou embolização
• Organização
Crit Care Clin 27 (2011) 869–884
TRÍADE DE VIRCHOW

↑Viscosidade
(Hipercoagulabilidade)
Estase sanguínea
Lesão vascular/Endotélio
Rudolf Virchow 1821-1902











Artroscopia de joelho
Acesso venoso central
Quimioterapia
ICC / DPOC
Reposição hormonal / anticoncepcional
hormonal oral
AVC com sequela motora
Neoplasia
Período pós-parto
TEV prévia
Trombofilia

 Imobilização > 3 dias
 Viagem prolongada
 Idade avançada
 Cirurgia videolaparoscópica
 Obesidade
 Gestação
 Varizes MMIII

Torbicki. Eur Heart J. 2008;29:2276-315.
Mutação do Fator V de Leiden
Hiper-homocisteinemia
Deficiência de Proteína C
Deficiência de Proteína S
Deficiência de antitrombina
SAF
Mutação do gene da Protrombina
Outros: Deficiência de plasminogênio, Deficiência de Fator
XII, ↑ inibidor do ativador do plasminogênio.
CHEST 2002; 121:877
Preditores clínicos para TEP fatal em 3 meses
Odds Ratio

TVP distal/proximal

95% IC

p

1

---

TEP não maciço

5,66

3,79-8,44

TEP maciço

16,3

8,5-31,4

Imobilização > 4 dias por neuropatia

2,8

1,61-4,86

0,0001

Idade > 75 anos

2,31

1,67-1,21

<0,0001

Câncer

2,4

1,72-3,26

<0,0001

Doenças cardiorespiratórias

1,89

1,35-2,65

0,0001

Cirurgia recente

0,53

0,29-0,96

0,034

Circulation 2008; 117: 1711 (RIETE)

0,0001
Condições associadas

Risco de TEP fatal em 3
meses
(15.520 pacientes), %

< 75 anos + TEV

0,23

< 75 anos + TEP não maciço

1,24

> 75 anos + TEP maciço

3,42

> 75 anos + TEP não maciço +
imobilização por neuropatia > 4 dias

9,81

> 75 anos + TEP maciço + imobilização
por neuropatia > 4 dias

24,7

Circulation 2008; 117: 1711
PIOPED
(n=117)
Dispneia
Taquicardia
Dor torácica
Tosse
Hemoptise

ICOPER
(n=2.210)

RIETE
(n=3.391)

73%

82%

83%

70%

ND

ND

as
m49%
66% into
S
os!
37%
cífic
pe 20%
ines
13%
7%

54%
ND
6%

Síncope

ND

14%

16%

Crepitações

51%

ND

ND

Stein. Chest 1991;100:598-603.
Lobo. Chest. 2006;130:1817-22.
Goldhaber. Lancet. 1999;353:1386-9.
Suspeita clínica

(+ exames complementares):

PROBABILIDADE PRÉ-TESTE

Exame de imagem
(teste de confirmação)
 Wells

Risco baixo
Risco baixo

 Genebra

Risco
Risco
moderado
moderado

Risco
Risco
alto
alto

 PERC (PE rule-out criteria)
 Impressão clínica
TEP
improvável

TEP
provável
Critérios

Pontuação

Sinais objetivos de TVP (edema, dor à palpação)

3,0

Diagnóstico alternativo menos provável que TEP

3,0

FC > 100 bpm

1,5

Imobilização ≥3 dias consecutivos ou cirurgia nas últimas 4 semanas

1,5

TVP ou TEP prévias

1,5

Hemoptise

1,0

Probabilidade:
•baixa < 2,0 pontos
•intermediária 2,0 aa 6,0 pontos
•intermediária 2,0 6,0 pontos
•alta >> 6,0 pontos
•alta 6,0 pontos

Probabilidade:
Probabilidade:
Probabilidade:
Neoplasia maligna (ativa ou término do tratamento < 6 meses)
•baixa < 2,0 pontos

Wells. Ann Intern Med 1998;129:997-1005.

•≤≤ 4,0 improvável
• 4,0 improvável
•>> 4,0 provável
• 4,0 provável

1,0

Wells. Tromb Haemost 2000;83:416-29.
Variável

Pontos
1
2

TVP ou TEP prévias

2

Cirurgia recente

3

FC > 100 bpm

1

Wicki. Arch Int Med 2001;161:92-7.

PaCO2
< 36,2 mmHg
36,2 – 38,9 mmHg

2
1

PaO2
< 48 mmHg
48,8 – 59,9 mmHg
60 – 71,2 mmHg
71,3 – 84,2 mmHg

4
3
2
1

RX tórax
Atelectasia em faixa
Elevação da hemicúpula
diafragmática

1
1

Pontos

Idade > 65 anos

1

TVP ou TEP prévias
Le Gal. Ann Int Med 2006;144:165-71.

Idade
60-79 anos
≥ 80 anos

Critérios

3

Cirurgia com anestesia geral ou
fratura MMII no último mês

2

FC
75 – 94 bpm
≥ 95 bpm

3
5

Hemoptise

2

Dor à palpação do trajeto venoso
em MMII

4

Edema unilateral MMII

3

Probabilidade:
Probabilidade:
•baixa 00 a 3 pontos
•baixa a 3 pontos
•intermediária 44 a 10 pontos
•intermediária a 10 pontos
•alta ≥≥ 11 pontos
•alta 11 pontos
Estudo prospectivo, multicêntrico.
807 pacientes

Wells
original

Wells
simplificado

Genebra
revisado

Genebra rev.
simplificado

Sens.

99,5%

99,5%

99,5%

99,5%

Espec.

30%

29%

30,5%

31%

99,5%

99,4%

99,5%

99,5%

VPN

Douma. Arch Int Med 2011;154:709-18.
 Se negativo exclui TEP em pacientes com

probabilidade clínica:

 Baixa (qualquer método)
 Intermediária (ELISA)
 TEP improvável (ELISA)

 Não deve ser usado em

probabilidade clínica

pacientes com alta
Geersing. BMJ 2012;345:e6564.
J Bras Pneumol. 2010;36(supl.1):S1-S68.
 Condições que alteram o D-dímero:
 Gestação > 20 semanas
 Câncer
 Pós-operatório
 Idosos
Stein. Am J Med 2008;121:565-71.
<<60 anos → 500 μg/L
60 anos → 500 μg/L
≥≥60 anos → 750 μg/L
60 anos → 750 μg/L

Douma. BMJ 2010;340:c1475.
Schouten. BMJ 2012;344:e2985.
IMAGEM NO TEP
AGUDO
Dany Jasinowodolinski
danyjasino@gmail.com
 Achados inespecíficos:
 consolidação,
 atelectasia,
 derrame pleural,
 elevação diafragmática,

 Não exclui TEP se normal
 Corcova de Hampton
 Oligoemia regional (redução da

vasculatura pulmonar em uma área) –
Sinal de Westermarck.

 Sinal de Fleishner (alterações no calibre

dos vasos em uma área específica)

 Alargamento da artéria pulmonar

(Palla)
 Opacidades com base pleural e vértice

voltado para o hilo.
▪ Ocorrem cerca de 12 a 36 horas após o início dos
sintomas e indicam infarto pulmonar.
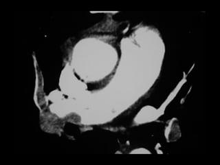
ANGIO TC DE TÓRAX
Visibilização direta do(s) trombo(s)
Preferencialmente em computadores com
reconstruções multiplanares
Conhecimento anatômico
PROTOCOLO DA ANGIO TC
PARA TEP
– Apnéia: 20 seg ------------------------ 1,7 seg
– Cobertura eixo z: 10 cm ------ todo tórax
– Espessura corte: 3mm -------------- 0,6 mm
– >=120 ml de contraste 3-4 ml/s ----- 50 ou -
 Masculino, 74 anos
 Dispneia súbita há 1 dia
 AP:
 TEP prévio após fratura de fêmur D
 Mobilidade reduzida
 Varizes de MMII


EF: FC 110 bpm, SpO2 78% a.a.
Edema unilateral MI D
Critérios

Pontuação

Sinais objetivos de TVP (edema, dor à palpação)

3,0

Diagnóstico alternativo menos provável que TEP

3,0

FC > 100 bpm

1,5

Imobilização ≥3 dias consecutivos ou cirurgia nas últimas 4 semanas

1,5

TVP ou TEP prévias

1,5

Hemoptise

1,0

Neoplasia maligna (ativa ou término do tratamento < 6 meses)

1,0
 Masculino, 70 anos
 Síncope após viagem de avião em classe

executiva (10h)

 AP:
 TEP há 12 anos em pós-operatório ortopédico
 Hiperplasia prostática benigna

▪ Início recente de doxazosina (alfa-bloqueador / vasodilatador)



EF: FC 92 bpm, SpO2 96% a.a.
Critérios

Pontuação

Sinais objetivos de TVP (edema, dor à palpação)

3,0

Diagnóstico alternativo menos provável que TEP

3,0

FC > 100 bpm

1,5

Imobilização ≥3 dias consecutivos ou cirurgia nas últimas 4 semanas

1,5

TVP ou TEP prévias

1,5

Hemoptise

1,0

Neoplasia maligna (ativa ou término do tratamento < 6 meses)

1,0
 Probabilidade clínica:
 Wells: 1,5 pts (baixa/improvável)

 Liberado do PS:
 Síncope ↔ doxazosina ?
Metanálise: 4.055 pacientes
Metanálise: 4.055 pacientes
Viagem ↑ 3x chance TEV
Viagem ↑ 3x chance TEV
(↑18 aa26% aacada 22horas)
(↑18 26% cada horas)

Chandra. Ann Intern Med 2009;151:180-90.


Evoluiu com dispneia progressiva e dor torácica, com
necessidade de retorno ao PS 2 dias após a primeira
avaliação...
Critérios

Pontuação

Sinais objetivos de TVP (edema, dor à palpação)
Diagnóstico alternativo menos provável que TEP

3,0

!

3,0

FC > 100 bpm

1,5

Imobilização ≥3 dias consecutivos ou cirurgia nas últimas 4 semanas

1,5

TVP ou TEP prévias

1,5

Hemoptise

1,0

Neoplasia maligna (ativa ou término do tratamento < 6 meses)

1,0
 Qualquer regra de probabilidade clínica,

quando associados ao D-dímero (ELISA
qualitativo ou quantitativo) são eficazes em
excluir TEP.
 Wells simplificado: deve ser associado
APENAS com ELISA quantitativo, dada sua
sensibilidade mais baixa em comparação aos
outros escores.
Metanálise
Metanálise
55.268 pacientes
55.268 pacientes

Impressão
clínica
(15 estudos)

Wells
original
(19 estudos)

Wells
simplificado
(11 estudos)

Genebra
original
(5 estudos)

Genebra
revisado
(4 estudos)

Sens.

85%

84%

60%

84%

91%

Espec.

51%

58%

80%

50%

37%

Lucassen. Ann Intern Med 2011;155:448-60.
R1

R2-R3

R4

Pacientes

139

245

199

Sensibilidade

35%

58%

67%

Especificidade

76%

75%

80%

VPP

17%

20%

25%

VPN

89%

94%

96%

Acurácia

71%

74%

78%

Likelihood ratio +

1,49

2,34

3,33
Kabrhel. Chest 2005;127:1627-30.
Sinais eesintomas de TEP
Sinais sintomas de TEP
Excluir outras causas com história clínica, EF eeRX tórax.
Excluir outras causas com história clínica, EF RX tórax.
Suspeita TEP
Suspeita TEP

>>44pts
pts
TEP provável
TEP provável

≤≤44pts
pts
TEP improvável
TEP improvável
Sim

Angio TC* disponível imediatamente?
Angio TC* disponível imediatamente?

D-dímero# #positivo?
D-dímero positivo?

Não
Sim

Iniciar heparina imediatamente
Iniciar heparina imediatamente

Sim

Angio TC* positiva?
Angio TC* positiva?

Diagnóstico de TEP:

Não

Suspeita de TVP?
Suspeita de TVP?
Não

Sim

US Doppler MMII positivo?
US Doppler MMII positivo?

Sim

Não

iniciar tratamento

Não

Buscar diagnóstico alternativo
Buscar diagnóstico alternativo

Buscar diagnóstico alternativo
Buscar diagnóstico alternativo

Howard. Thorax 2013;68:391-3.

Escore de Wells revisado
Escore de Wells revisado
 Escores clínicos para avaliar Risco de

Morte
Estratificação Avançada:
Risco precoce de
mortalidade
relacionada a EP

Elevado > 15%

Não
elevado

Intermediário
3 a 15%

Baixo < 1%

Marcadores de Risco
Clínico

Terapêutica

(choque /
hipotensão)

Disfunção
VD

Injúria
Miocárdica

+++

+

+

Trombólise ou
embolectomia

−

+
+
−

+
−
+

Hospitalização

−

Alta precoce ou
tratamento
domiciliar

−

−

Guidelines on the diagnosis and management of acute PE. Eur Heart J. 2008;29(18):2276-315
OBJETIVOS
GERAIS
 Prevenir a morte
 Reduzir a morbidade do evento agudo
 Prevenir a hipertensão pulmonar tromboembólica
ESPECÍFICOS
 Prevenir a extensão local do trombo
 Prevenir que o trombo embolize
 Acelerar a fibrinólise, em certas circunstâncias

Incidência aceitável de sangramento
 Heparina Não fracionada IV:
 Disfunção renal grave (cl creat 20–30 mL/min);
 Alto risco de sangramento;
 Pacientes hipotensos, de alto risco;
 Obesos graves, desnutridos e idosos.

 HBPM ou fondaparinux SC
 Para os demais casos
Contra-indicação da anticoagulação
Sem heparina
Complexo
ternário

 Sangramento

Dissociação
da heparina

 Inibição dos fatores de coagulação
 Diminuição da função plaquetária
 Aumento da permeabilidade capilar
 Idade > 70a, ins. renal, cirurgia/trauma recente, uso de

AAS/trombolíticos, HNF IV intermitente, medicações concomitantes

 Trombocitopenia
 Osteoporose


Doses superiores a 20.000 UI/dia/>30 dias

Contra-indicação da anticoagulação
A principal é o sangramento:
 Sangramento maior:
▪ Intracraniano ou retroperitoneal ou cavidade corporal
▪ Requer hospitalização
▪ Transfusão de pelo menos 2U de concentrado de
hemácias
▪ Fatal

 Fatores:
 Anticoagulação em si
 Fatores orgânicos do paciente

Contraindicação da anticoagulação
 Risco aumentado de sangramento:









Hemorragia intracraniana grave
Lesão espinhal crítica
Cirurgia recente ou iminente
Insuficiência renal
Anemia
História recente de hemorragia GI
Úlcera péptica ativa
Doença hepática
Contraindicação da anticoagulação
Contraindicação da anticoagulação
PONTOS POSITIVOS
 Acelera a lise do trombo
 Acelera a reperfusão do tecido pulmonar
 Reverte a falência do ventrículo direito

DÚVIDAS
 Diminui a mortalidade?
 Diminui a recorrência da EP?
 Diminui a incidência de hipertensão pulmonar crônica?
 Contraindicações absolutas*
 AVE hemorrágico em qualquer tempo
 Ave isquêmico nos últimos 6 meses
 Lesão ou neoplasia do SNC
 Trauma ou cirurgia recentes ou lesão do crânio (6

meses)
 Sangramento GI no último mês
 Sangramento ativo


*Risco iminente de vida, individualizar!
Contraindicação da anticoagulação


Contraindicações relativas










Ave isquêmico transitório nos últimos 6 meses
Tratamento com anticoagulante oral
Gravidez ou uma semana pós-parto
Punções não compressíveis
Ressuscitação traumática
HAS refratária (PAS> 180 mmHg)
Hepatopatia avançada
Endocardite infecciosa
Úlcera péptica ativa

Contraindicação da anticoagulação
Prevenção do Tromboembolismo Venoso
em Pacientes Clínicos
“ Todo paciente hospitalizado DEVE ter
aferido o seu grau de risco de TEV e
receber a respectiva profilaxia ”

MBGazzana
Tromboembolismo Venoso

Medidas Profiláticas

•

Deambulação precoce

• Medidas Mecânicas

– Meias elásticas de compressão graduada
– Compressão pneumática intermitente
– Filtro de veia cava inferior

• Medidas Farmacológicas

– Heparina não fracionada
– Heparinas de baixo peso molecular (enoxaparina, nadroparina, dalteparina)
– Inibidores do fator Xa (fontaparina, rivaroxabana, apixabana)
– Inibidores diretos da trombina (dabigatrana)

MBGazzana
Pacientes Clínicos

MBGazzana

Versão 2013
Mensagens
• A profilaxia para TEV ainda é subutilizada em pacientes
clínicos
• Escore de risco são ferramentas para identificação dos
pacientes
• As medidas farmacológicas são eficazes para reduzir TEV
• A maioria dos pacientes NÃO tem contra-indicação a
profilaxia farmacológica
• São necessárias estratégias para aumentar a adesão a
prescrição de profilaxia para TEV
MBGazzana


ESTUDAR TEP EM SITUAÇÕES EM ESPECIAIS(GRAVIDEZ,
IDOSO E TRAUMA).



ESTUDAR PROFILAXIA DO TEP NO PACIENTE CIRÚRGICO.



COMO MONITORAR A ANTICOAGULAÇÃO DE PACIENTES
EM USO DE HEPARINA NÃO FRACIONADA



COMO MONITORAR A ANTICOAGULAÇÃO DE PACIENTES
EM USO DE ANTICOAGULANTES ORAIS CUMARÍNICOS.
FONTE DOS SLIDES:

Tromboembolismo Pulmonar

  • 1.
    UNIVERSIDADE DO ESTADODO AMAZONAS DEPARTAMENTO DE CLÍNICA MÉDICA DISCIPLINA DE PNEUMOLOGIA E TISIOLOGIA
  • 2.
    ▪ Doença comume fatal ▪ 98 casos/100.000 pessoas-ano ▪ Em 2006, 247.000 internações por TEP EUA ▪ 3a doença cardiovascular mais comum ▪ 3a causa de morte em pacientes internados ▪ Causa de Morte Súbita NEJM 2008;358:1037 Stein PD et al. Clin Chest Med 2010: 611-628
  • 3.
    ▪ Estima-se queaté 25% dos pacientes falecem antes de chegar ao hospital ▪ Mortalidade de 10% em 3 meses ▪ Responsável por 10%-15% de todos os óbitos hospitalares ▪ 20-30% dos óbitos relacionados à gravidez e parto  100.000 mortes/anos EUA ▪ Diagnóstico em apenas 20% dos casos Jaff MR et al. Circulation 2011;123:1788-1830 Lankeit M. Clin Chest Med 2010;31:759-769
  • 4.
    Idade/sexo Queixa Diagnóstico Tratamento 61/M Dor MID Ruptura muscular AINH 82/F Dispneiae Dor MID Osteoartrose AINH 55/M Dispneia e dor torácica IRPAg sem evidência de PNM Antibióticos, mucolíticos e broncodilatadores 28 /F Dor MID Dor mecânica --- 50/M Dor MIE por 2m Siática AINH 39/M Dor MID por 1m Hiperuricemia --- Journal of Forensic and Legal Medicine 2009; 16: 196
  • 5.
    TEP/100.000 indivíduos Idade (anos) SteinPD et al. Clin Chest Med 2010: 611-628
  • 6.
    TEP fatal/TEP total (%) Idade(anos) Stein PD et al. Clin Chest Med 2010: 611-628
  • 7.
    ↑RVP Hipertensão pulmonar ↑pós-carga deVD Dilatação de VD ↓Complacência de VE Disfunção sistólica VD ↓Pré-carga VE ↓Volume sistólico ↑Tensão parede VD Isquemia VD ↓fluxo coronariano ↓Débito cardíaco Hipotensão /hipoperfusão CHEST 2004; 125: 1539
  • 8.
     Principal determinante damortalidade: Disfunção do VD  O que determina a disfunção do VD? - Tamanho dos trombos - Isquemia miocárdica persistente (sobrecarga) - Doença cardiovascular preexistente - Outras comorbidades Jaff MR et al. Circulation 2011;123:1788-1830 Lankeit M. Clin Chest Med 2010;31:759-769
  • 9.
    • Desequilíbrio V/Q • Áreas deespaço morto • Em áreas mal ou não perfundidas – atelectasias e ↓surfactante • Pode ocorrer lesão de isquemia e reperfusão • TEP maciço - shunt D →E (intrapulmonar/ abertura de foramen oval) Crit Care Clin 27 (2011) 869–884
  • 10.
     Aproximadamente 90% -Membros inferiores  Vasos proximais: 50% das TVP´s embolizam (femoral superficial ou comum, poplíteas ou vasos mais proximais).  Trombose exclusiva de vasos da panturrilha raramente embolizam  Membros superiores  defeitos estruturais de drenagem venosa  Cateteres venosos centrais/ marca passo  Dilatações importantes de cavidades cardíacas direitas. Crit Care Clin 27 (2011) 869–884
  • 11.
    • Fibrinólise -resolução completa (7 a 10 dias), parcial e/ou embolização • Organização Crit Care Clin 27 (2011) 869–884
  • 12.
    TRÍADE DE VIRCHOW ↑Viscosidade (Hipercoagulabilidade) Estasesanguínea Lesão vascular/Endotélio Rudolf Virchow 1821-1902
  • 13.
              Artroscopia de joelho Acessovenoso central Quimioterapia ICC / DPOC Reposição hormonal / anticoncepcional hormonal oral AVC com sequela motora Neoplasia Período pós-parto TEV prévia Trombofilia  Imobilização > 3 dias  Viagem prolongada  Idade avançada  Cirurgia videolaparoscópica  Obesidade  Gestação  Varizes MMIII Torbicki. Eur Heart J. 2008;29:2276-315.
  • 14.
    Mutação do FatorV de Leiden Hiper-homocisteinemia Deficiência de Proteína C Deficiência de Proteína S Deficiência de antitrombina SAF Mutação do gene da Protrombina Outros: Deficiência de plasminogênio, Deficiência de Fator XII, ↑ inibidor do ativador do plasminogênio.
  • 15.
  • 16.
    Preditores clínicos paraTEP fatal em 3 meses Odds Ratio TVP distal/proximal 95% IC p 1 --- TEP não maciço 5,66 3,79-8,44 TEP maciço 16,3 8,5-31,4 Imobilização > 4 dias por neuropatia 2,8 1,61-4,86 0,0001 Idade > 75 anos 2,31 1,67-1,21 <0,0001 Câncer 2,4 1,72-3,26 <0,0001 Doenças cardiorespiratórias 1,89 1,35-2,65 0,0001 Cirurgia recente 0,53 0,29-0,96 0,034 Circulation 2008; 117: 1711 (RIETE) 0,0001
  • 17.
    Condições associadas Risco deTEP fatal em 3 meses (15.520 pacientes), % < 75 anos + TEV 0,23 < 75 anos + TEP não maciço 1,24 > 75 anos + TEP maciço 3,42 > 75 anos + TEP não maciço + imobilização por neuropatia > 4 dias 9,81 > 75 anos + TEP maciço + imobilização por neuropatia > 4 dias 24,7 Circulation 2008; 117: 1711
  • 19.
    PIOPED (n=117) Dispneia Taquicardia Dor torácica Tosse Hemoptise ICOPER (n=2.210) RIETE (n=3.391) 73% 82% 83% 70% ND ND as m49% 66% into S os! 37% cífic pe20% ines 13% 7% 54% ND 6% Síncope ND 14% 16% Crepitações 51% ND ND Stein. Chest 1991;100:598-603. Lobo. Chest. 2006;130:1817-22. Goldhaber. Lancet. 1999;353:1386-9.
  • 21.
    Suspeita clínica (+ examescomplementares): PROBABILIDADE PRÉ-TESTE Exame de imagem (teste de confirmação)
  • 22.
     Wells Risco baixo Riscobaixo  Genebra Risco Risco moderado moderado Risco Risco alto alto  PERC (PE rule-out criteria)  Impressão clínica TEP improvável TEP provável
  • 23.
    Critérios Pontuação Sinais objetivos deTVP (edema, dor à palpação) 3,0 Diagnóstico alternativo menos provável que TEP 3,0 FC > 100 bpm 1,5 Imobilização ≥3 dias consecutivos ou cirurgia nas últimas 4 semanas 1,5 TVP ou TEP prévias 1,5 Hemoptise 1,0 Probabilidade: •baixa < 2,0 pontos •intermediária 2,0 aa 6,0 pontos •intermediária 2,0 6,0 pontos •alta >> 6,0 pontos •alta 6,0 pontos Probabilidade: Probabilidade: Probabilidade: Neoplasia maligna (ativa ou término do tratamento < 6 meses) •baixa < 2,0 pontos Wells. Ann Intern Med 1998;129:997-1005. •≤≤ 4,0 improvável • 4,0 improvável •>> 4,0 provável • 4,0 provável 1,0 Wells. Tromb Haemost 2000;83:416-29.
  • 24.
    Variável Pontos 1 2 TVP ou TEPprévias 2 Cirurgia recente 3 FC > 100 bpm 1 Wicki. Arch Int Med 2001;161:92-7. PaCO2 < 36,2 mmHg 36,2 – 38,9 mmHg 2 1 PaO2 < 48 mmHg 48,8 – 59,9 mmHg 60 – 71,2 mmHg 71,3 – 84,2 mmHg 4 3 2 1 RX tórax Atelectasia em faixa Elevação da hemicúpula diafragmática 1 1 Pontos Idade > 65 anos 1 TVP ou TEP prévias Le Gal. Ann Int Med 2006;144:165-71. Idade 60-79 anos ≥ 80 anos Critérios 3 Cirurgia com anestesia geral ou fratura MMII no último mês 2 FC 75 – 94 bpm ≥ 95 bpm 3 5 Hemoptise 2 Dor à palpação do trajeto venoso em MMII 4 Edema unilateral MMII 3 Probabilidade: Probabilidade: •baixa 00 a 3 pontos •baixa a 3 pontos •intermediária 44 a 10 pontos •intermediária a 10 pontos •alta ≥≥ 11 pontos •alta 11 pontos
  • 25.
    Estudo prospectivo, multicêntrico. 807pacientes Wells original Wells simplificado Genebra revisado Genebra rev. simplificado Sens. 99,5% 99,5% 99,5% 99,5% Espec. 30% 29% 30,5% 31% 99,5% 99,4% 99,5% 99,5% VPN Douma. Arch Int Med 2011;154:709-18.
  • 26.
     Se negativoexclui TEP em pacientes com probabilidade clínica:  Baixa (qualquer método)  Intermediária (ELISA)  TEP improvável (ELISA)  Não deve ser usado em probabilidade clínica pacientes com alta Geersing. BMJ 2012;345:e6564. J Bras Pneumol. 2010;36(supl.1):S1-S68.
  • 27.
     Condições quealteram o D-dímero:  Gestação > 20 semanas  Câncer  Pós-operatório  Idosos Stein. Am J Med 2008;121:565-71.
  • 28.
    <<60 anos →500 μg/L 60 anos → 500 μg/L ≥≥60 anos → 750 μg/L 60 anos → 750 μg/L Douma. BMJ 2010;340:c1475. Schouten. BMJ 2012;344:e2985.
  • 29.
    IMAGEM NO TEP AGUDO DanyJasinowodolinski danyjasino@gmail.com
  • 30.
     Achados inespecíficos: consolidação,  atelectasia,  derrame pleural,  elevação diafragmática,  Não exclui TEP se normal
  • 31.
     Corcova deHampton  Oligoemia regional (redução da vasculatura pulmonar em uma área) – Sinal de Westermarck.  Sinal de Fleishner (alterações no calibre dos vasos em uma área específica)  Alargamento da artéria pulmonar (Palla)
  • 32.
     Opacidades combase pleural e vértice voltado para o hilo. ▪ Ocorrem cerca de 12 a 36 horas após o início dos sintomas e indicam infarto pulmonar.
  • 33.
    ANGIO TC DETÓRAX Visibilização direta do(s) trombo(s) Preferencialmente em computadores com reconstruções multiplanares Conhecimento anatômico
  • 34.
    PROTOCOLO DA ANGIOTC PARA TEP – Apnéia: 20 seg ------------------------ 1,7 seg – Cobertura eixo z: 10 cm ------ todo tórax – Espessura corte: 3mm -------------- 0,6 mm – >=120 ml de contraste 3-4 ml/s ----- 50 ou -
  • 38.
     Masculino, 74anos  Dispneia súbita há 1 dia  AP:  TEP prévio após fratura de fêmur D  Mobilidade reduzida  Varizes de MMII  EF: FC 110 bpm, SpO2 78% a.a. Edema unilateral MI D
  • 39.
    Critérios Pontuação Sinais objetivos deTVP (edema, dor à palpação) 3,0 Diagnóstico alternativo menos provável que TEP 3,0 FC > 100 bpm 1,5 Imobilização ≥3 dias consecutivos ou cirurgia nas últimas 4 semanas 1,5 TVP ou TEP prévias 1,5 Hemoptise 1,0 Neoplasia maligna (ativa ou término do tratamento < 6 meses) 1,0
  • 41.
     Masculino, 70anos  Síncope após viagem de avião em classe executiva (10h)  AP:  TEP há 12 anos em pós-operatório ortopédico  Hiperplasia prostática benigna ▪ Início recente de doxazosina (alfa-bloqueador / vasodilatador)  EF: FC 92 bpm, SpO2 96% a.a.
  • 42.
    Critérios Pontuação Sinais objetivos deTVP (edema, dor à palpação) 3,0 Diagnóstico alternativo menos provável que TEP 3,0 FC > 100 bpm 1,5 Imobilização ≥3 dias consecutivos ou cirurgia nas últimas 4 semanas 1,5 TVP ou TEP prévias 1,5 Hemoptise 1,0 Neoplasia maligna (ativa ou término do tratamento < 6 meses) 1,0
  • 43.
     Probabilidade clínica: Wells: 1,5 pts (baixa/improvável)  Liberado do PS:  Síncope ↔ doxazosina ?
  • 44.
    Metanálise: 4.055 pacientes Metanálise:4.055 pacientes Viagem ↑ 3x chance TEV Viagem ↑ 3x chance TEV (↑18 aa26% aacada 22horas) (↑18 26% cada horas) Chandra. Ann Intern Med 2009;151:180-90.
  • 45.
     Evoluiu com dispneiaprogressiva e dor torácica, com necessidade de retorno ao PS 2 dias após a primeira avaliação...
  • 47.
    Critérios Pontuação Sinais objetivos deTVP (edema, dor à palpação) Diagnóstico alternativo menos provável que TEP 3,0 ! 3,0 FC > 100 bpm 1,5 Imobilização ≥3 dias consecutivos ou cirurgia nas últimas 4 semanas 1,5 TVP ou TEP prévias 1,5 Hemoptise 1,0 Neoplasia maligna (ativa ou término do tratamento < 6 meses) 1,0
  • 48.
     Qualquer regrade probabilidade clínica, quando associados ao D-dímero (ELISA qualitativo ou quantitativo) são eficazes em excluir TEP.  Wells simplificado: deve ser associado APENAS com ELISA quantitativo, dada sua sensibilidade mais baixa em comparação aos outros escores.
  • 49.
    Metanálise Metanálise 55.268 pacientes 55.268 pacientes Impressão clínica (15estudos) Wells original (19 estudos) Wells simplificado (11 estudos) Genebra original (5 estudos) Genebra revisado (4 estudos) Sens. 85% 84% 60% 84% 91% Espec. 51% 58% 80% 50% 37% Lucassen. Ann Intern Med 2011;155:448-60.
  • 50.
  • 52.
    Sinais eesintomas deTEP Sinais sintomas de TEP Excluir outras causas com história clínica, EF eeRX tórax. Excluir outras causas com história clínica, EF RX tórax. Suspeita TEP Suspeita TEP >>44pts pts TEP provável TEP provável ≤≤44pts pts TEP improvável TEP improvável Sim Angio TC* disponível imediatamente? Angio TC* disponível imediatamente? D-dímero# #positivo? D-dímero positivo? Não Sim Iniciar heparina imediatamente Iniciar heparina imediatamente Sim Angio TC* positiva? Angio TC* positiva? Diagnóstico de TEP: Não Suspeita de TVP? Suspeita de TVP? Não Sim US Doppler MMII positivo? US Doppler MMII positivo? Sim Não iniciar tratamento Não Buscar diagnóstico alternativo Buscar diagnóstico alternativo Buscar diagnóstico alternativo Buscar diagnóstico alternativo Howard. Thorax 2013;68:391-3. Escore de Wells revisado Escore de Wells revisado
  • 53.
     Escores clínicospara avaliar Risco de Morte
  • 56.
    Estratificação Avançada: Risco precocede mortalidade relacionada a EP Elevado > 15% Não elevado Intermediário 3 a 15% Baixo < 1% Marcadores de Risco Clínico Terapêutica (choque / hipotensão) Disfunção VD Injúria Miocárdica +++ + + Trombólise ou embolectomia − + + − + − + Hospitalização − Alta precoce ou tratamento domiciliar − − Guidelines on the diagnosis and management of acute PE. Eur Heart J. 2008;29(18):2276-315
  • 57.
    OBJETIVOS GERAIS  Prevenir amorte  Reduzir a morbidade do evento agudo  Prevenir a hipertensão pulmonar tromboembólica ESPECÍFICOS  Prevenir a extensão local do trombo  Prevenir que o trombo embolize  Acelerar a fibrinólise, em certas circunstâncias Incidência aceitável de sangramento
  • 58.
     Heparina Nãofracionada IV:  Disfunção renal grave (cl creat 20–30 mL/min);  Alto risco de sangramento;  Pacientes hipotensos, de alto risco;  Obesos graves, desnutridos e idosos.  HBPM ou fondaparinux SC  Para os demais casos Contra-indicação da anticoagulação
  • 59.
    Sem heparina Complexo ternário  Sangramento Dissociação daheparina  Inibição dos fatores de coagulação  Diminuição da função plaquetária  Aumento da permeabilidade capilar  Idade > 70a, ins. renal, cirurgia/trauma recente, uso de AAS/trombolíticos, HNF IV intermitente, medicações concomitantes  Trombocitopenia  Osteoporose  Doses superiores a 20.000 UI/dia/>30 dias Contra-indicação da anticoagulação
  • 60.
    A principal éo sangramento:  Sangramento maior: ▪ Intracraniano ou retroperitoneal ou cavidade corporal ▪ Requer hospitalização ▪ Transfusão de pelo menos 2U de concentrado de hemácias ▪ Fatal  Fatores:  Anticoagulação em si  Fatores orgânicos do paciente Contraindicação da anticoagulação
  • 61.
     Risco aumentadode sangramento:         Hemorragia intracraniana grave Lesão espinhal crítica Cirurgia recente ou iminente Insuficiência renal Anemia História recente de hemorragia GI Úlcera péptica ativa Doença hepática Contraindicação da anticoagulação
  • 62.
  • 63.
    PONTOS POSITIVOS  Aceleraa lise do trombo  Acelera a reperfusão do tecido pulmonar  Reverte a falência do ventrículo direito DÚVIDAS  Diminui a mortalidade?  Diminui a recorrência da EP?  Diminui a incidência de hipertensão pulmonar crônica?
  • 64.
     Contraindicações absolutas* AVE hemorrágico em qualquer tempo  Ave isquêmico nos últimos 6 meses  Lesão ou neoplasia do SNC  Trauma ou cirurgia recentes ou lesão do crânio (6 meses)  Sangramento GI no último mês  Sangramento ativo  *Risco iminente de vida, individualizar! Contraindicação da anticoagulação
  • 65.
     Contraindicações relativas          Ave isquêmicotransitório nos últimos 6 meses Tratamento com anticoagulante oral Gravidez ou uma semana pós-parto Punções não compressíveis Ressuscitação traumática HAS refratária (PAS> 180 mmHg) Hepatopatia avançada Endocardite infecciosa Úlcera péptica ativa Contraindicação da anticoagulação
  • 66.
    Prevenção do TromboembolismoVenoso em Pacientes Clínicos
  • 67.
    “ Todo pacientehospitalizado DEVE ter aferido o seu grau de risco de TEV e receber a respectiva profilaxia ” MBGazzana
  • 68.
    Tromboembolismo Venoso Medidas Profiláticas • Deambulaçãoprecoce • Medidas Mecânicas – Meias elásticas de compressão graduada – Compressão pneumática intermitente – Filtro de veia cava inferior • Medidas Farmacológicas – Heparina não fracionada – Heparinas de baixo peso molecular (enoxaparina, nadroparina, dalteparina) – Inibidores do fator Xa (fontaparina, rivaroxabana, apixabana) – Inibidores diretos da trombina (dabigatrana) MBGazzana
  • 69.
  • 70.
    Mensagens • A profilaxiapara TEV ainda é subutilizada em pacientes clínicos • Escore de risco são ferramentas para identificação dos pacientes • As medidas farmacológicas são eficazes para reduzir TEV • A maioria dos pacientes NÃO tem contra-indicação a profilaxia farmacológica • São necessárias estratégias para aumentar a adesão a prescrição de profilaxia para TEV MBGazzana
  • 71.
     ESTUDAR TEP EMSITUAÇÕES EM ESPECIAIS(GRAVIDEZ, IDOSO E TRAUMA).  ESTUDAR PROFILAXIA DO TEP NO PACIENTE CIRÚRGICO.  COMO MONITORAR A ANTICOAGULAÇÃO DE PACIENTES EM USO DE HEPARINA NÃO FRACIONADA  COMO MONITORAR A ANTICOAGULAÇÃO DE PACIENTES EM USO DE ANTICOAGULANTES ORAIS CUMARÍNICOS.
  • 72.

Notas do Editor

  • #12 Comentar a respeito da lesão valvar e da Sd. Pós-flebítica
  • #14 Fatores de risco podem ajudar a estabelecer a probabilidade clínica.
  • #17 Dados d RIETE
  • #19 Agradecimento e apresentação do tema.
  • #20 A apresentação clínica é variada e inespecífica.
  • #21 Gasometria: hipoxemia e gradiente alvéolo-arterial elevado (&gt;40) RX tórax: atelectasia, opacidades periféricas com base pleural, derrame pleural, elevação unilateral da cúpula diafragmática. Útil no diagnóstico diferencial.
  • #22 Estabelecer a probabilidade pré-teste para definir quem irá ser submetido à exame de imagem. A interpretação do exame e a decisão de prosseguir investigação a despeito de um exame negativo depende da probabilidade pré-teste.
  • #23 Diversos escores disponíveis. Estes são os mais usados...
  • #25 Genebra original - probabilidade: baixa 0 a 4 pontos intermediária 5 a 8 pontos alta ≥ 9 pontos
  • #26 All 4 CDRs show similar performance for exclusion of acute PE in combination with a normal D-dimer result. This prospective validation indicates that the simplified scores may be used in clinical practice.
  • #29 Combined with a low clinical probability of deep vein thrombosis, D-dimer cut-off value of 750 μg/L for patients aged 60 years and older resulted in a considerable increase in the proportion of patients in whom DVT could be safely excluded. Método: ELISA.
  • #43 PERC: idade &gt; 50 anos e TEV prévia... Escore de Genebra: 4 pts (intermediário)... Deveria ter feito D-dímero!
  • #50 Qualquer regra de probabilidade clínica, quando associados ao D-dímero (ELISA qualitativo ou quantitativo) são eficazes em excluir TEP. Wells simplificado: deve ser associado APENAS com ELISA quantitativo, dada sua sensibilidade mais baixa em comparação aos outros escores.
  • #53 Cintilografia V/Q se TC não dispocível # D-dímero por ELISA! Se não for ELISA melhor usar o Wells original
  • #57 Na presença de choque ou hipotensão não são necessários marcadores de disfunção de VD ou injúria miocárdica para caracterização de risco elevado de mortalidade precoce. Hipotensão tem risco menor que choque, MAS a expectativa de mortalidade ainda é mto alta e justifica a classificação como pacte de alto risco, necessitando terapia agressiva imediata.