CÂNCER DE BEXIGA Dr. Guilherme Camarcio Neiva Ti SBU Urologista
CÂNCER DE BEXIGA
 
 
CÂNCER DE BEXIGA Epidemiologia  2ª neoplasia genitourinária 30% a 50% apresentam fatores de risco Anilinas e aminas aromáticas (indústria de tintas, couro, borracha, têxteis e gráficas) Tabagismo / irradiação
CARCINOGÊNESE VESICAL FATORES DE RISCO ENDÓGENO triptofano (metaból.) EXÓGENO 2-naftilamina benzidina xenylamina 4-nitrodifenil Aminas aromáticas
BIOMARCADORES E PROGRESSÃO  DA ONCOGÊNESE / VESICAL célula normal displasia papiloma / CIS invasivo metastático EGF-R+ 9q-/p- 17p- 13q-  11p- 14q-  18q-  3p- T2 – T4 alto grau Ta – T1 baixo grau
CARCINOMA DE CÉLULAS TRANSICIONAIS DA BEXIGA INCIDÊNCIA ETÁRIA Câncer urológico, Miguel Srougi, Ed. Platina, cap. 9, 173-278 - 2002
TIPOS HISTOLÓGICOS DE NEOPLASIAS VESICAIS Transição 92% Epidermóide 6% Adenocarcinoma 1% Não-epiteliais 2% Patologia Câncer urológico, Miguel Srougi, Ed. Platina, cap. 9, 173-278 - 2002
FORMAS DE APRESENTAÇÃO INICIAL DAS NEOPLASIAS VESICAIS História Natural
Câncer de Bexiga Fatores prognósticos  Grau de diferenciação celular Estadiamento Número de lesões Tamanho das lesões Ca in situ Invasão microvascular / recidivas Ploidia celular / progressão Alteração do gene p53
CÂNCER DE BEXIGA Métodos de detecção (ramakumar, AUA 1999) Método Sensibilidade Especificidade Citologia BTA st NMP 22 Telomerase  44% 74% 53% 70% 95% 73% 60% 99%
Amostra de urina 2 tubos criogênicos 4 lâminas - 80˚ C 160 amostras Micção espontânea Volume: 60ml (22 º C)  BTA Stat  Ácido hialurônico  FISH  Citologia Linha visível  13 ng/ml  5 céls. pol. dois ou mais crom.  suspeitos  =  +   Passerotti, 2005  12 céls. deleção lócus 9p21  Koss, 1992    Halling, 2000  Cytospin 1.000 r.p.m. 10 ’
Testes urinários MÉDIA   DA  SENSIBILIDADE  E  ESPECIFICIDADE  DOS TESTES URINÁRIOS EM PACIENTES REALIZANDO ACOMPANHAMENTO PERIÓDICO van Rhijn BW et al. Eur Urol. 2005; 47:736-48 *   Aprovados pelo FDA Medidas Sensibilidade Especificidade Teste Urinário ( * ) Global G1 (%) G2 (%) G3 (%) (%) BTA Stat 70 45 60 75 79 BTA Trak 69 55 59 74 66 Citologia 48 17 34 58 95 FDP 61 62 64 86 80 FISH 84 56 78 95 70 ImmunoCyt 83 78 90 100 62 NMP22 73 41 53 80 59
Testes urinários MÉDIA   DA  SENSIBILIDADE  E  ESPECIFICIDADE  DOS TESTES URINÁRIOS EM PACIENTES REALIZANDO ACOMPANHAMENTO PERIÓDICO van Rhijn BW et al. Eur Urol. 2005; 47:736-48 *   Aprovados pelo FDA Medidas Sensibilidade Especificidade Teste Urinário ( * ) Global G1 (%) G2 (%) G3 (%) (%) BTA Stat 70 45 60 75 79 BTA Trak 69 55 59 74 66 Citologia 48 17 34 58 95 FDP 61 62 64 86 80 FISH 84 56 78 95 70 ImmunoCyt 83 78 90 100 62 NMP22 73 41 53 80 59
MANIFESTAÇÕES CLÍNICAS EM CÂNCER DE BEXIGA Câncer urológico, Miguel Srougi, Ed. Platina, cap. 9, 173-278 - 2002
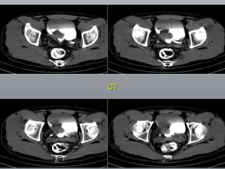
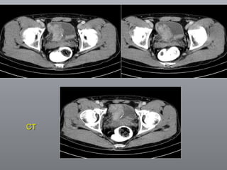
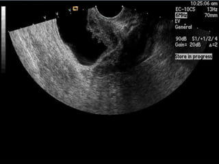
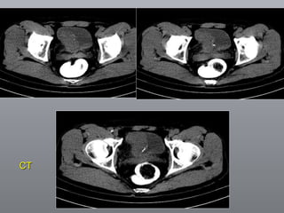
Câncer de Bexiga Estudos de imagens Diagnóstico Ultrassonografia Urografia excretora Estadiamento CT RNM Rx tórax  Cistoscopia + biópsia + biópsias randomizadas
 
 
 
 
ENDOMETRIOSE VESICAL
CISTOGRAMA / TUMOR DE BEXIGA
Urografia excretora / cistograma
CT
CT
CT
CT
CT
 
 
ESTADIAMENTO DOS TUMORES DE BEXIGA Câncer urológico, Miguel Srougi, Ed. Platina, cap. 9, 173-278 - 2002  Jewett H, J Strong, J. Urol. 55;366, 1946
TNM / UICC
Classificação TNM da UICC - 2002
METÁSTASES LINFONODAIS Update Blader Cancer, AUA - 2008
CÂNCER DE BEXIGA Estudos endoscópicos Biópsias randomizadas
 
Cistoscopia
 
 
 
 
 
 
 
 
CÂNCER DA BEXIGA Opções de tratamentos cirúrgicos Ressecção transuretral Re-ressecção transuretral Cistectomia parcial Cistectomia radical / derivação urinária
LASERTERAPIA ENDOSCÓPICA
Carcinoma superficial de bexiga (75%) Recorrência:   70 a 90% 2. Progressão: 10 a 15% Donat SM. Urol Clin North Am 2003;30:765-76. Tis  Ta T1 T2 T3 T4
TUMORES SUPERFICIAIS BEXIGA Ta  70% T1  30% Cis  10% Incidência 80% Invasão local 30% T1 / 80% T1c/Cis Progressão   5 – 30% Metástases 5% Recorrência pós RTU  50% Urologic Climics of North America, vol 27. Number 1. February 2000. Blader Cancer – ipdate – AUA – Atlanta 2000.
CÂNCER SUPERFICIAL DE BEXIGA IMUNOTERAPIA BCG  Indução 6 a 8 semanas Manutenção 3 semanas a cada 6 meses por 3 anos
RTUB + BCG no T1G3 de  Câncer de Bexiga
BCG Tópico Complicações  (n = 2589) Cistite 2330 (90%) Febre 75 (2,9%) Pneumonia / hepatite 18 (0,7%) Artralgia 12 (0,6% Hematúria 25 (1,0%) Epididimite 10 (0,4%) Bexiga contraida 6 (0,2%) Abscesso renal 2 (0,1%) Sepsis 10 (0,4%)
Câncer Superficial de Bexiga BCG Tratamento das Complicações Sintomas irritativos contínuos: INH 300 mg / d Febre, pneumonite, hepatite, prostatite: INH + Rifampicina 600 mg Sepsis: INH, Rifampicina, Prednisona 40 mg
CÂNCER SUPERFICIAL DE BEXIGA Tratamento tópico – meta-análise Citologia, cistoscopia e biópsias negativas após 1 ano  Nº Rc (%)* Tiotepa Mitomicina Adriamicina BCG 321 366 236 401 38 33 48 71
CÂNCER DE BEXIGA / GRAU HISTOLÓGICO  CURVAS DE SOBREVIDA Câncer urológico, Miguel Srougi, Ed. Platina, cap. 9, 173-278 - 2002
SOBREVIDA EM 5 ANOS TRATADOS COM RTU OU CISTECTOMIA TOTAL Câncer urológico, Miguel Srougi, Ed. Platina, cap. 9, 173-278 - 2002
RTU DE TU VESICAL
 
 
MATERIAL CIRÚRGICO ENDOSCÓPICO  RTU DE TU VESICAL
 
 
 
 
 
RTU DE TU VESICAL
RTU DE TU VESICAL
FULGURAÇÃO COM ROLLER-BALL
 
BIÓPSIAS RANDOMIZADAS Biópsias randomizadas de todos os segmentos da bexiga Numerar frascos / fragmentos Cuidados endoscópicos / controles
BIÓPSIAS RANDOMIZADAS
 
 
COMPLICAÇÕES RTU Sangramentos Intoxicação hidrica / absorção Perfurações intra / extra peritoneal Explosão / corrente elétrica / bolha gases Espasmos / contrações nervo obturador Refluxo / estenose ureteral Estenose uretral tardia
CARCINOMA UROTELIAL T1G3 DA BEXIGA (1) Solsona etal. BJUI 2004 94:1258 Baixo risco Único Papilar < 2 cm Sem ca-in-situ Sem T1G3 na re-RTU Alto risco Multifocal Séssil Com ca-in-situ Com invasão da uretra prostática T1G3 após re-RTU T1G3 Conservador  Cistectomia precoce no T1G3 ou conduta conservadora no T2 Prognóstico = T2 (1)
CA UROTELIAL DE BEXIGA TaG1 T1G3 Mucosa Submucosa Muscular Gordura Progressão Recorrência
CARCINOMA UROTELIAL DA BEXIGA T1G3 Regra dos 30% 30% nunca recidivam ou progridem 30% necessitam cistectomia tardia 30% morrem pelo tumor Malawaud Eur. Urol. 45: 406, 2004
T1G3 Qual tumor vai progredir ?
Cistectomia Radical Homens e Mulheres Tumor em Uretra Uretra Livre Macedo ’ s pouch ou Ureterossigmoidostomia Reservatório Ileal Ortotópico Bricker: XRT, Insuf. Renal  Março, 1995
PEÇA CIRÚRGICA
PEÇAS CIRÚRGICAS
Cistoprostatectomia radical
PEÇAS CIRÚRGICAS
DERIVAÇÕES URINÁRIAS PÓS CISTECTOMIA RADICAL
Derivações Clássicas Câncer urológico, Miguel Srougi, Ed. Platina, cap. 9, 173-278 - 2002
Opções de Neobexiga Ortotópica
SELEÇÃO DO SEGMENTO DE ÍLEO PRESERVAÇÃO DA ARCADA VASCULAR Atlas de Uro-oncologia, Ed. Plamark, SBU, 89-91, 2007
DETUBULIZAÇÃO DO SEGMENTO INTESTINAL Reconfigurar a câmara vesical Atlas de Uro-oncologia, Ed. Plamark, SBU, 89-91, 2007
NEOBEXIGA ILEAL ORTOTÓPICA REIMPLANTE DOS URETERES Atlas de Uro-oncologia, Ed. Plamark, SBU, 89-91, 2007
Câncer urológico, Miguel Srougi, Ed. Platina, cap. 9, 173-278 - 2002
Câncer urológico, Miguel Srougi, Ed. Platina, cap. 9, 173-278 - 2002
Neobexiga ileal ortotópica Íleo Reservatório Íleal
 
 
Derivações urinárias / casuística neobexiga ileal Pacientes  125 homens  35 mulheres Idade  16 a 81 anos Seguimento  6 a 95 meses (M = 46 m) Período 1993 - 2006 Nesrallah, Srougi, Dall`Oglio .  BJU Int. 2004 Feb;93(3):375-8
Resultados Complicações Precoces   Fístula urinária 1  (0,6%) (anastomose íleo-uretral)  Íleo paralítico > 3 dias 20 (17%) Óbito (até o 30o PO)  1  (0,6%) Re - intervenção 2  (1,2%) Nesrallah, Srougi, Dall`Oglio .  BJU Int. 2004 Feb;93(3):375-8
Resultados Complicações Tardias   Hidronefrose unilateral 21/210 (10%) Hidronefrose bilateral 1 (0,6%)  Sangramento da neobexiga 1 (0,6%)  Nesrallah, Srougi, Dall`Oglio .  BJU Int. 2004 Feb;93(3):375-8
Derivações urinárias / casuística neobexiga ileal Complicações cirúrgicas Estenose uretero-intestinal  (deterioração  “silenciosa” da função renal) Ruptura da neobexiga Conseqüências funcionais Incontinência urinária Impotência sexual Nesrallah, Srougi, Dall`Oglio .  BJU Int. 2004 Feb;93(3):375-8
Literatura N Continência (%) Enurese (%) Cateter. (%) Hautmann 363 96 5 6 Studer 200 90 20 0,5 Elmajian 295 87 14 8 Steven 166 98 20 32 Thuroff 61 95 63 13
 
 
 
 
SELEÇÃO DO SEGMENTO DE ÍLEO PRESERVAÇÃO DA ARCADA VASCULAR Atlas de Uro-oncologia, Ed. Plamark, SBU, 100-105, 2007
UTILIZAÇÃO DE SUTURA MECÂNICA Atlas de Uro-oncologia, Ed. Plamark, SBU, 100-105, 2007
UTILIZAÇÃO DE SUTURA MECÂNICA SEGMENTO ILEAL ISOLADO Atlas de Uro-oncologia, Ed. Plamark, SBU, 100-105, 2007
ANASTOMOSE URETEROILEAL Atlas de Uro-oncologia, Ed. Plamark, SBU, 100-105, 2007
ASPECTO DA URETEROILEOSTOMIA POSIÇÃO DO ESTOMA Atlas de Uro-oncologia, Ed. Plamark, SBU, 100-105, 2007
 
 
DERIVAÇÃO / NEOBEXIGA / CECO REFORÇO DA VÁLVULA ÍLEOCECAL
ESTOMA / CECO / REIMPLANTE
Acidose  hipercloremica
 
 
 
Câncer de Bexiga Metastático MVAC  Resposta  70% Melhor que cisplatina  12% Melhor que cisca  46% Sternberg, MSKCC, 1985
Câncer de Bexiga Metastático Protocolos Drogas Quimioterápicas  Paclitaxel (Taxol) Gemcitabine Protocolo (tip) taxol, ifosfamida, cisplatinun
Câncer de Bexiga JCO, 17: 3068, 2000 M-VAC GC N Sobrevida (m) Resposta (%) Neutropenia Febre neuropênica (%) Alopecia (%) Anemia (%) 202 14,8 45,7 82 12 55 18 203 13,8 49,4 71 1 11 27
Sobrevida em 5 anos de acordo com o estadio
Update Blader Cancer, AUA - 2008
Cistectomia radical
Neobexiga ileal ortotópica
É PRECISO FICAR  DE OLHO.. EM TUDO!!!! RADIOLOGISTAS  UROLOGISTAS E PACIENTES  
OBRIGADO !

Câncer de bexiga

  • 1.
    CÂNCER DE BEXIGADr. Guilherme Camarcio Neiva Ti SBU Urologista
  • 2.
  • 3.
  • 4.
  • 5.
    CÂNCER DE BEXIGAEpidemiologia 2ª neoplasia genitourinária 30% a 50% apresentam fatores de risco Anilinas e aminas aromáticas (indústria de tintas, couro, borracha, têxteis e gráficas) Tabagismo / irradiação
  • 6.
    CARCINOGÊNESE VESICAL FATORESDE RISCO ENDÓGENO triptofano (metaból.) EXÓGENO 2-naftilamina benzidina xenylamina 4-nitrodifenil Aminas aromáticas
  • 7.
    BIOMARCADORES E PROGRESSÃO DA ONCOGÊNESE / VESICAL célula normal displasia papiloma / CIS invasivo metastático EGF-R+ 9q-/p- 17p- 13q- 11p- 14q- 18q- 3p- T2 – T4 alto grau Ta – T1 baixo grau
  • 8.
    CARCINOMA DE CÉLULASTRANSICIONAIS DA BEXIGA INCIDÊNCIA ETÁRIA Câncer urológico, Miguel Srougi, Ed. Platina, cap. 9, 173-278 - 2002
  • 9.
    TIPOS HISTOLÓGICOS DENEOPLASIAS VESICAIS Transição 92% Epidermóide 6% Adenocarcinoma 1% Não-epiteliais 2% Patologia Câncer urológico, Miguel Srougi, Ed. Platina, cap. 9, 173-278 - 2002
  • 10.
    FORMAS DE APRESENTAÇÃOINICIAL DAS NEOPLASIAS VESICAIS História Natural
  • 11.
    Câncer de BexigaFatores prognósticos Grau de diferenciação celular Estadiamento Número de lesões Tamanho das lesões Ca in situ Invasão microvascular / recidivas Ploidia celular / progressão Alteração do gene p53
  • 12.
    CÂNCER DE BEXIGAMétodos de detecção (ramakumar, AUA 1999) Método Sensibilidade Especificidade Citologia BTA st NMP 22 Telomerase 44% 74% 53% 70% 95% 73% 60% 99%
  • 13.
    Amostra de urina2 tubos criogênicos 4 lâminas - 80˚ C 160 amostras Micção espontânea Volume: 60ml (22 º C) BTA Stat Ácido hialurônico FISH Citologia Linha visível 13 ng/ml 5 céls. pol. dois ou mais crom. suspeitos = + Passerotti, 2005 12 céls. deleção lócus 9p21 Koss, 1992 Halling, 2000 Cytospin 1.000 r.p.m. 10 ’
  • 14.
    Testes urinários MÉDIA DA SENSIBILIDADE E ESPECIFICIDADE DOS TESTES URINÁRIOS EM PACIENTES REALIZANDO ACOMPANHAMENTO PERIÓDICO van Rhijn BW et al. Eur Urol. 2005; 47:736-48 * Aprovados pelo FDA Medidas Sensibilidade Especificidade Teste Urinário ( * ) Global G1 (%) G2 (%) G3 (%) (%) BTA Stat 70 45 60 75 79 BTA Trak 69 55 59 74 66 Citologia 48 17 34 58 95 FDP 61 62 64 86 80 FISH 84 56 78 95 70 ImmunoCyt 83 78 90 100 62 NMP22 73 41 53 80 59
  • 15.
    Testes urinários MÉDIA DA SENSIBILIDADE E ESPECIFICIDADE DOS TESTES URINÁRIOS EM PACIENTES REALIZANDO ACOMPANHAMENTO PERIÓDICO van Rhijn BW et al. Eur Urol. 2005; 47:736-48 * Aprovados pelo FDA Medidas Sensibilidade Especificidade Teste Urinário ( * ) Global G1 (%) G2 (%) G3 (%) (%) BTA Stat 70 45 60 75 79 BTA Trak 69 55 59 74 66 Citologia 48 17 34 58 95 FDP 61 62 64 86 80 FISH 84 56 78 95 70 ImmunoCyt 83 78 90 100 62 NMP22 73 41 53 80 59
  • 16.
    MANIFESTAÇÕES CLÍNICAS EMCÂNCER DE BEXIGA Câncer urológico, Miguel Srougi, Ed. Platina, cap. 9, 173-278 - 2002
  • 17.
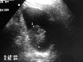
    Câncer de BexigaEstudos de imagens Diagnóstico Ultrassonografia Urografia excretora Estadiamento CT RNM Rx tórax Cistoscopia + biópsia + biópsias randomizadas
  • 18.
  • 19.
  • 20.
  • 21.
  • 22.
  • 23.
  • 24.
  • 25.
  • 26.
  • 27.
  • 28.
  • 29.
  • 30.
  • 31.
  • 32.
    ESTADIAMENTO DOS TUMORESDE BEXIGA Câncer urológico, Miguel Srougi, Ed. Platina, cap. 9, 173-278 - 2002 Jewett H, J Strong, J. Urol. 55;366, 1946
  • 33.
  • 34.
  • 35.
    METÁSTASES LINFONODAIS UpdateBlader Cancer, AUA - 2008
  • 36.
    CÂNCER DE BEXIGAEstudos endoscópicos Biópsias randomizadas
  • 37.
  • 38.
  • 39.
  • 40.
  • 41.
  • 42.
  • 43.
  • 44.
  • 45.
  • 46.
  • 47.
    CÂNCER DA BEXIGAOpções de tratamentos cirúrgicos Ressecção transuretral Re-ressecção transuretral Cistectomia parcial Cistectomia radical / derivação urinária
  • 48.
  • 49.
    Carcinoma superficial debexiga (75%) Recorrência: 70 a 90% 2. Progressão: 10 a 15% Donat SM. Urol Clin North Am 2003;30:765-76. Tis Ta T1 T2 T3 T4
  • 50.
    TUMORES SUPERFICIAIS BEXIGATa 70% T1 30% Cis 10% Incidência 80% Invasão local 30% T1 / 80% T1c/Cis Progressão 5 – 30% Metástases 5% Recorrência pós RTU 50% Urologic Climics of North America, vol 27. Number 1. February 2000. Blader Cancer – ipdate – AUA – Atlanta 2000.
  • 51.
    CÂNCER SUPERFICIAL DEBEXIGA IMUNOTERAPIA BCG Indução 6 a 8 semanas Manutenção 3 semanas a cada 6 meses por 3 anos
  • 52.
    RTUB + BCGno T1G3 de Câncer de Bexiga
  • 53.
    BCG Tópico Complicações (n = 2589) Cistite 2330 (90%) Febre 75 (2,9%) Pneumonia / hepatite 18 (0,7%) Artralgia 12 (0,6% Hematúria 25 (1,0%) Epididimite 10 (0,4%) Bexiga contraida 6 (0,2%) Abscesso renal 2 (0,1%) Sepsis 10 (0,4%)
  • 54.
    Câncer Superficial deBexiga BCG Tratamento das Complicações Sintomas irritativos contínuos: INH 300 mg / d Febre, pneumonite, hepatite, prostatite: INH + Rifampicina 600 mg Sepsis: INH, Rifampicina, Prednisona 40 mg
  • 55.
    CÂNCER SUPERFICIAL DEBEXIGA Tratamento tópico – meta-análise Citologia, cistoscopia e biópsias negativas após 1 ano Nº Rc (%)* Tiotepa Mitomicina Adriamicina BCG 321 366 236 401 38 33 48 71
  • 56.
    CÂNCER DE BEXIGA/ GRAU HISTOLÓGICO CURVAS DE SOBREVIDA Câncer urológico, Miguel Srougi, Ed. Platina, cap. 9, 173-278 - 2002
  • 57.
    SOBREVIDA EM 5ANOS TRATADOS COM RTU OU CISTECTOMIA TOTAL Câncer urológico, Miguel Srougi, Ed. Platina, cap. 9, 173-278 - 2002
  • 58.
    RTU DE TUVESICAL
  • 59.
  • 60.
  • 61.
  • 62.
  • 63.
  • 64.
  • 65.
  • 66.
  • 67.
    RTU DE TUVESICAL
  • 68.
    RTU DE TUVESICAL
  • 69.
  • 70.
  • 71.
    BIÓPSIAS RANDOMIZADAS Biópsiasrandomizadas de todos os segmentos da bexiga Numerar frascos / fragmentos Cuidados endoscópicos / controles
  • 72.
  • 73.
  • 74.
  • 75.
    COMPLICAÇÕES RTU SangramentosIntoxicação hidrica / absorção Perfurações intra / extra peritoneal Explosão / corrente elétrica / bolha gases Espasmos / contrações nervo obturador Refluxo / estenose ureteral Estenose uretral tardia
  • 76.
    CARCINOMA UROTELIAL T1G3DA BEXIGA (1) Solsona etal. BJUI 2004 94:1258 Baixo risco Único Papilar < 2 cm Sem ca-in-situ Sem T1G3 na re-RTU Alto risco Multifocal Séssil Com ca-in-situ Com invasão da uretra prostática T1G3 após re-RTU T1G3 Conservador Cistectomia precoce no T1G3 ou conduta conservadora no T2 Prognóstico = T2 (1)
  • 77.
    CA UROTELIAL DEBEXIGA TaG1 T1G3 Mucosa Submucosa Muscular Gordura Progressão Recorrência
  • 78.
    CARCINOMA UROTELIAL DABEXIGA T1G3 Regra dos 30% 30% nunca recidivam ou progridem 30% necessitam cistectomia tardia 30% morrem pelo tumor Malawaud Eur. Urol. 45: 406, 2004
  • 79.
    T1G3 Qual tumorvai progredir ?
  • 80.
    Cistectomia Radical Homense Mulheres Tumor em Uretra Uretra Livre Macedo ’ s pouch ou Ureterossigmoidostomia Reservatório Ileal Ortotópico Bricker: XRT, Insuf. Renal Março, 1995
  • 81.
  • 82.
  • 83.
  • 84.
  • 85.
    DERIVAÇÕES URINÁRIAS PÓSCISTECTOMIA RADICAL
  • 86.
    Derivações Clássicas Câncerurológico, Miguel Srougi, Ed. Platina, cap. 9, 173-278 - 2002
  • 87.
  • 88.
    SELEÇÃO DO SEGMENTODE ÍLEO PRESERVAÇÃO DA ARCADA VASCULAR Atlas de Uro-oncologia, Ed. Plamark, SBU, 89-91, 2007
  • 89.
    DETUBULIZAÇÃO DO SEGMENTOINTESTINAL Reconfigurar a câmara vesical Atlas de Uro-oncologia, Ed. Plamark, SBU, 89-91, 2007
  • 90.
    NEOBEXIGA ILEAL ORTOTÓPICAREIMPLANTE DOS URETERES Atlas de Uro-oncologia, Ed. Plamark, SBU, 89-91, 2007
  • 91.
    Câncer urológico, MiguelSrougi, Ed. Platina, cap. 9, 173-278 - 2002
  • 92.
    Câncer urológico, MiguelSrougi, Ed. Platina, cap. 9, 173-278 - 2002
  • 93.
    Neobexiga ileal ortotópicaÍleo Reservatório Íleal
  • 94.
  • 95.
  • 96.
    Derivações urinárias /casuística neobexiga ileal Pacientes 125 homens 35 mulheres Idade 16 a 81 anos Seguimento 6 a 95 meses (M = 46 m) Período 1993 - 2006 Nesrallah, Srougi, Dall`Oglio . BJU Int. 2004 Feb;93(3):375-8
  • 97.
    Resultados Complicações Precoces Fístula urinária 1 (0,6%) (anastomose íleo-uretral) Íleo paralítico > 3 dias 20 (17%) Óbito (até o 30o PO) 1 (0,6%) Re - intervenção 2 (1,2%) Nesrallah, Srougi, Dall`Oglio . BJU Int. 2004 Feb;93(3):375-8
  • 98.
    Resultados Complicações Tardias Hidronefrose unilateral 21/210 (10%) Hidronefrose bilateral 1 (0,6%) Sangramento da neobexiga 1 (0,6%) Nesrallah, Srougi, Dall`Oglio . BJU Int. 2004 Feb;93(3):375-8
  • 99.
    Derivações urinárias /casuística neobexiga ileal Complicações cirúrgicas Estenose uretero-intestinal (deterioração “silenciosa” da função renal) Ruptura da neobexiga Conseqüências funcionais Incontinência urinária Impotência sexual Nesrallah, Srougi, Dall`Oglio . BJU Int. 2004 Feb;93(3):375-8
  • 100.
    Literatura N Continência(%) Enurese (%) Cateter. (%) Hautmann 363 96 5 6 Studer 200 90 20 0,5 Elmajian 295 87 14 8 Steven 166 98 20 32 Thuroff 61 95 63 13
  • 101.
  • 102.
  • 103.
  • 104.
  • 105.
    SELEÇÃO DO SEGMENTODE ÍLEO PRESERVAÇÃO DA ARCADA VASCULAR Atlas de Uro-oncologia, Ed. Plamark, SBU, 100-105, 2007
  • 106.
    UTILIZAÇÃO DE SUTURAMECÂNICA Atlas de Uro-oncologia, Ed. Plamark, SBU, 100-105, 2007
  • 107.
    UTILIZAÇÃO DE SUTURAMECÂNICA SEGMENTO ILEAL ISOLADO Atlas de Uro-oncologia, Ed. Plamark, SBU, 100-105, 2007
  • 108.
    ANASTOMOSE URETEROILEAL Atlasde Uro-oncologia, Ed. Plamark, SBU, 100-105, 2007
  • 109.
    ASPECTO DA URETEROILEOSTOMIAPOSIÇÃO DO ESTOMA Atlas de Uro-oncologia, Ed. Plamark, SBU, 100-105, 2007
  • 110.
  • 111.
  • 112.
    DERIVAÇÃO / NEOBEXIGA/ CECO REFORÇO DA VÁLVULA ÍLEOCECAL
  • 113.
    ESTOMA / CECO/ REIMPLANTE
  • 114.
  • 115.
  • 116.
  • 117.
  • 118.
    Câncer de BexigaMetastático MVAC Resposta 70% Melhor que cisplatina 12% Melhor que cisca 46% Sternberg, MSKCC, 1985
  • 119.
    Câncer de BexigaMetastático Protocolos Drogas Quimioterápicas Paclitaxel (Taxol) Gemcitabine Protocolo (tip) taxol, ifosfamida, cisplatinun
  • 120.
    Câncer de BexigaJCO, 17: 3068, 2000 M-VAC GC N Sobrevida (m) Resposta (%) Neutropenia Febre neuropênica (%) Alopecia (%) Anemia (%) 202 14,8 45,7 82 12 55 18 203 13,8 49,4 71 1 11 27
  • 121.
    Sobrevida em 5anos de acordo com o estadio
  • 122.
  • 123.
  • 124.
  • 125.
    É PRECISO FICAR DE OLHO.. EM TUDO!!!! RADIOLOGISTAS UROLOGISTAS E PACIENTES 
  • 126.