NEFRECTOMIA RADICAL VIDEOLAPAROSCÓPICA TRANSPERITONEAL Gilvan Neiva Fonseca HC / FM / UFG Serviço de Urologia
RCC Novos casos – EUA    39000 Óbitos anuais    13000 Anos 70 Incidência de  2,3%    4,3% Sobrevida loc. de 10a  95% Sobrevida met. de 5a  65% Update postgraduate courses - Kidney cancer – AUA - 2008
Patologia / histologia / genes Update postgraduate courses - Kidney cancer – AUA - 2008
PRINCÍPIOS ONCOLÓGICOS ESSENCIAIS Princípios Robson O pedículo / anomalias / V. extranumerários Acesso e ligadura precoce da artéria / veias renais Remoção do rim / fascia de Gerota Remoção da glândula suprarenal ipsilateral Meticulosa linfadenectomia do diafragma / bifurcação da aorta
PRÉ-OPERATÓRIO ABORDAGEM DEPENDE DE Hand-assisted Transabdominal Retroperitoneal Sua experiência Patologia Anatomia
 
 
LIMITES / CIRURGIAS Ralph Clayman, Renal Update Course, AUA - 2008
 
 
 
AVANÇOS DE IMAGENS / ONCOLOGIA PESQUISANDO O TUMOR Limites estratégicos / precisão cirúrgica IRCAD
 
NAVEGAÇÃO CIRÚRGICA Segurança ou risco na direção do corte Vermelho: arteria renal e aorta   /  azul: veia renal
MAIOR PRECISÃO CIRÚRGICA Sistemas de navegação
Dinâmica da navegação cirúrgica PRÓSTATA  ÁREA DE CÂNCER PRESERVAÇÃO FNV
SISTEMAS DE NAVEGAÇÃO INTRAOPERATÓRIA Segurança / precisão cirúrgica
LOCAIS / PORTAIS DIREITO ESQUERDO
 
 
LIGADURA DO PEDICULO VASCULAR
Veja  mas  não  toque !!
 
COLON DUODENO COLON
NEFRECTOMIA RADICAL
ABORDAGEM DO PEDÍCULO
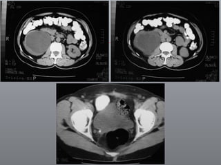
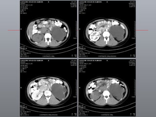
NEFRECTOMIA VLP  GRANDES RINS POLICISTICOS Premal J. Desai, et al. BJU, vol 101, numero 8, 1009-1023, 2008
NEFRECTOMIA VLP  GRANDES RINS POLICISTICOS Premal J. Desai, et al. BJU, vol 101, numero 8, 1009-1023, 2008
NEFRECTOMIA RADICAL LAPAROSC Ó PICA Inderbir S. Gill, Laparoscopic Urology, Informa NY. Cap 40, 473-480, 2007
IMPLANTES TUMORAIS sítios de portais Total de neoplasias  10912 13  pacientes  0,1% 03  Nefroureterectomias 04  Nefrectomias radicais 04  Adrenalectomias por metástases 01  Dissecção de linfonodos retroperitoneais 01 Dissecção linfonodos pélvicos S. Micali et al, J Urol, 171, 2151-2154, 2004
Imagens Documentadas por Dr. Lísias N. Castilho – USP - SP
POR QUE VIDEOCIRURGIA ? Minimamente invasiva  Melhor para os pacientes  Decréscimo da morbidade  Controle campo visual Menor perda sanguínea  Curta permanência hospitalar Rápida recuperação Controles e resultados oncológicos similares Complications of Laparoscopic Surgery J R Porter, Course 65 IC, Atlanta, (AUA) 2006 Surg Endosc. 2003 Feb; 17(2):291-5 R.V. Clayman, J Urol 162: Sept 1999
OBRIGADO !
 

Nefrectomia radical videolaparoscópica transperitoneal