Mercredi Intensif PaNCE
Hemorragia  Cerebral  Espontânea
Epidemiologia 10-15% dos Strokes Mortalidade em 30 dias    35-52% (1/2 nos primeiros 2 dias) Localização 50% profundos 35% lobar 10% cerebelar 6% tronco cerebral Mortalidade em 1 ano 51% em sangramentos profundos 57% nas lobares 42% nas cerebelares 65% em tronco cerebral Sobreviventes em 1 ano – 38% 67.000 pacientes EUA em 2002    apenas 20% funcionalmente independentes após 6 meses do evento
Hemorragia Intracerebral Espontânea Classificação Primária – 78-80% Ruptura dos pequenos vasos ( HAS , Microangiopatia amilóide) Secundária – minoria dos casos Associação com anormalidades vasculares (aneurismas, MAV), tumores, alterações da coagulação.
Incidência Aumento com a idade Mais comum em homens Mais comum em negros e nipônicos Baixos níveis educacionais Baixos níveis de colesterol
Fatores de Risco HAS Idade Tabagismo Álcool Anticoagulação Baixos níveis de colesterol Fatores genéticos (mutação da subunidade  α  do Fator XIII) Angiopatia amilóide
Outras Causas MAV Aneurismas Angioma cavernoso Angioma venoso Trombose de seio venoso Neoplasia cerebral Coagulopatia Vasculite Uso de cocaína ou álcool Transformação hemorrágica Encefalopatia hipertensiva Sepse Moya-Moya Hemorragia Intraventricular primária (Trauma*)
HIP Hipertensiva Ruptura espontãnea das aa. perfurantes Localizações mais frequentes: Gânglios da base (putâmen, tálamo); Ponte Cerebelo Outros locais    pulga atrás da orelha! Discrasia? Neoplasia? MAV? Logo a sintomatologia... Efeito de massa   expansão!
HIP Angiopatia Amilóide Cerebral Microangiopatia congofílica pela histopatologia Talvez a maior causa de HIP lobar no idoso Múltiplos episódios de hemorragias parenquimatosas durante meses ou anos
Quadro Clínico Em geral ao despertar ou stress Ponto fundamental    progressão Reconhecimento e diagnóstico rápidos Déficit súbito com progressão em minutos a horas Incomum no AVEi e raro na HSA Edema perilesional com 12-72 horas Cefaléia Mais comum na HSA do que no AVEi Vômitos, hipertensão    Hipertensão Intracraniana Clínica sozinha é insuficiente!    Imagem
Preditores de Mortalidade Em 6 meses: 23-58% Baixa ECG < 9 ou  ≥9 Volume do hematoma Como estimar? >90ml ou < 30ml (supratentorial) > 3cm (infratentorial) Hemoventrículo
Prognóstico Principais (mortalidade 30 dias): Volume da hemorragia intracraniana (HIC) Escala de Coma de Glasgow na admissão Hidrocefalia Localização - lobar Progressão do hematoma Bom prognóstico nas médias e grandes HIC: Localização cortical Disfunção neurológica leve Baixos níveis de fibrinogênio
Marcadores clínicos e laboratoriais de prognóstico Glicemia TAX > 37,5 o C INR Neutrofilia Fibrinogênio Metaloproteinases 3 e 9 Fibronectina -c Interleucina -6 Fator de necrose tumoral - α  (alfa)
Admissão: Informações Importantes Hora do início dos sintomas é crucial! Trauma? HAS AVE prévio (isquêmico ou hemorrágico) DM Tabagismo Alcoolismo Uso de drogas (cocaína) Uso de antiagregante ou cumarínico Dças associadas a discrasia sanguínea (p.ex. dças hematológicas, cirrose, etc.)
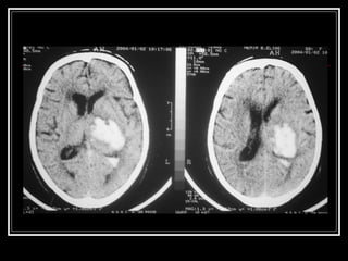
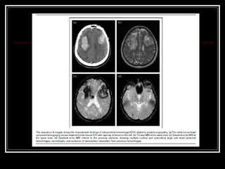
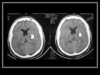
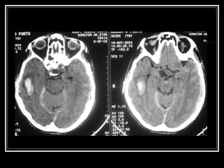
Diagnóstico TC de crânio sem contraste na fase aguda do evento  Limitações: Infratentorial tronco Outros: Lobar? Idade < 45 anos?Hemoventrículo solitário?Sem HAS? RNM e suas variações, arteriografia, etc. para investigação da etiologia do sangramento HDA e HPP (trauma? Anticoagulação? Drogas? Dça hematológica)
Hemorragia Intracraniana: Imagem Tomografia computadorizada vs. Ressonância Magnética de crânio Angiografia HSA; Calcificações anormais; malformação vascular óbvia; sangramento em topografia incomum (p.ex. fissura silviana); pacientes sem causa óbvia de sangramento (p.ex. hemoventrículo isolado) Hemorragia lobar Hemoventrículo isolado HSA associada Sangramentos recorrentes Pacientes sem histórico de HAS Pacientes com 45 ou menos anos Causa primária desconhecida e que serão submetidos a cirurgia E se ainda assim após arteriografia normal houver a suspeita de hemorragia secundária? Repetir arteriografia com 2-4 semanas após resolução do hematoma
 
 
 
 
 
 
 
 
Tratamento Clínico Sangramento relacionado a heparina Protamina 1mg para cada 100 UI de heparina (dose máxima não deve exceder 50mg (em infusão < 5 mg/min)    cuidado com hipotensão! Se heparina suspensa há 30-60 min: 0,5-0,75 mg protamina  / 100UI heparina Se suspensa há 60-120 min: 0,375-0,5 mg protamina  / 100UI heparina Se suspensa há mais de 120 min: 0,25-0,375 mg protamina  / 100UI heparina
Tratamento Clínico Sangramento em usuários de antiagregantes plaquetários (AAS) PATCH (em andamento)
Tratamento Clínico Sangramento relacionado a cumarínico Vitamina K + plasma fresco (15-20 ml/Kg) Caso risco de sobrecarga de volume utilizar Complexo Protrombínico Fator VII recombinante ativado?
 
Tratamento Clínico Sangramento após trombólise Plaquetas e crioprecipitados Concentrado de fibrinogênio? Fator VII recombinate ativado Até o consenso de 2007 não estava bem estabelecido Hoje – FAST trial
 
Tratamento Clínico Controle da PA ATACH e INTERACT Hoje – INTERACT 2 (em andamento) Uso de agentes hiperosmolares    não devem ser utilizados de rotina Anticonvulsivante profilático 4,6-8,2% CHANT
Controle da Pressão Arterial
 
 
Profilaxia da Trombose Venosa Profunda (3,7-40%)
Evolução Clínica Acompanhar aparecimento de: expansão do hematoma, edema perilesional, isquemia, hidrocefalia e aparecimento de hemoventrículo Maior risco de epilepsia sem crise clínica (estado de mal não convulsivo) – 30% Em especial pacientes com Escore NIHSS elevado, nas hemorragias lobares, e a presença de desvio da linha média
Evolução Clínica Exame neurológico seriado Balanço hídrico rigoroso – 4/4 horas Curva térmica    tratar hipertermia nos casos agudos Pacientes com maior risco de hipertermia    hemoventrículo Diagnóstico e tratamento precoce de infecções Coleta de material biológico racional e antibiótico respeitando origem do paciente, tempo de internação (flora hospitalar) Rotina laboratorial – objetivos: Controle rigoroso da glicemia (< 150mg/dl), do sódio, do Mg, pO2, pCO2 TC de crânio De urgência caso piora súbita De rotina em casos selecionados (p.ex: pacientes de risco de hidrocefalia)
Hemorragia Intracraniana: Tratamento Cirúrgico Algoritmo para definição do tratamento cirúrgico da HIC espontânea 1º. Supratentorial? 2º. Caso supra – superficial (<1cm do córtex) ou profundo (mais próximo da cápsula interna)? Qual nível de consciência? Há hemoventrículo? Há tendência a cirurgia minimamente invasiva nas drenagens profundas. DVE caso hemoventrículo PIC e PAM e ECG    deteriorou – cirurgia? 3º. Caso infratentorial (cerebelares) – Indicada cirurgia nas hemorragias > 3cm diâmetro; Compressão tronco cerebral; Hidrocefalia aguda.
Hemorragia Intracraniana: Tratamento Cirúrgico STICH (International Surgical Trial in Intracerebral Haemorrhage)  (STICH II em andamento) Nas hemorragias lobares até 1cm de profundidade do coágulo: Melhor resultado em pacientes com ECG ≥ 9
Hemorragia Intracraniana: Tratamento Cirúrgico Cirurgias minimamente invasivas melhor? STICH não responde! Benefícios Redução do tempo operatório; Possibilidade de anestesia local; Redução do trauma tecidual (especialmente lesões profundas) Problemas Impossibilidade de tratamento definitivo (p.ex. MAV); Risco de ressangramento pelo uso de fibrinolíticos; Risco de infecção pela presença prolongada de drenos Modalidades: Aspiração endoscópica; Pacientes < 60 anos? Volume do hematoma    qualidade de vida vs. mortalidade Trombolíticos e aspiração do coágulo (MISTIE)
Hemorragia Intracraniana: Tratamento Cirúrgico Qual o melhor momento para cirurgia? Controverso Problemas com definições Ultra precoce (≤ 7 horas dos sintomas) Com 12 horas? 24 horas? 48 horas? 96 horas?
 
Hemorragia Intracraniana: Prevenção Idade não se trata Tratamento da Hipertensão Arterial Sistêmica Tabagismo Etilismo Uso de drogas (cocaína)
 
 
 
OBRIGADO

AVC Hemorragico

  • 1.
  • 2.
    Hemorragia Cerebral Espontânea
  • 3.
    Epidemiologia 10-15% dosStrokes Mortalidade em 30 dias  35-52% (1/2 nos primeiros 2 dias) Localização 50% profundos 35% lobar 10% cerebelar 6% tronco cerebral Mortalidade em 1 ano 51% em sangramentos profundos 57% nas lobares 42% nas cerebelares 65% em tronco cerebral Sobreviventes em 1 ano – 38% 67.000 pacientes EUA em 2002  apenas 20% funcionalmente independentes após 6 meses do evento
  • 4.
    Hemorragia Intracerebral EspontâneaClassificação Primária – 78-80% Ruptura dos pequenos vasos ( HAS , Microangiopatia amilóide) Secundária – minoria dos casos Associação com anormalidades vasculares (aneurismas, MAV), tumores, alterações da coagulação.
  • 5.
    Incidência Aumento coma idade Mais comum em homens Mais comum em negros e nipônicos Baixos níveis educacionais Baixos níveis de colesterol
  • 6.
    Fatores de RiscoHAS Idade Tabagismo Álcool Anticoagulação Baixos níveis de colesterol Fatores genéticos (mutação da subunidade α do Fator XIII) Angiopatia amilóide
  • 7.
    Outras Causas MAVAneurismas Angioma cavernoso Angioma venoso Trombose de seio venoso Neoplasia cerebral Coagulopatia Vasculite Uso de cocaína ou álcool Transformação hemorrágica Encefalopatia hipertensiva Sepse Moya-Moya Hemorragia Intraventricular primária (Trauma*)
  • 8.
    HIP Hipertensiva Rupturaespontãnea das aa. perfurantes Localizações mais frequentes: Gânglios da base (putâmen, tálamo); Ponte Cerebelo Outros locais  pulga atrás da orelha! Discrasia? Neoplasia? MAV? Logo a sintomatologia... Efeito de massa  expansão!
  • 9.
    HIP Angiopatia AmilóideCerebral Microangiopatia congofílica pela histopatologia Talvez a maior causa de HIP lobar no idoso Múltiplos episódios de hemorragias parenquimatosas durante meses ou anos
  • 10.
    Quadro Clínico Emgeral ao despertar ou stress Ponto fundamental  progressão Reconhecimento e diagnóstico rápidos Déficit súbito com progressão em minutos a horas Incomum no AVEi e raro na HSA Edema perilesional com 12-72 horas Cefaléia Mais comum na HSA do que no AVEi Vômitos, hipertensão  Hipertensão Intracraniana Clínica sozinha é insuficiente!  Imagem
  • 11.
    Preditores de MortalidadeEm 6 meses: 23-58% Baixa ECG < 9 ou ≥9 Volume do hematoma Como estimar? >90ml ou < 30ml (supratentorial) > 3cm (infratentorial) Hemoventrículo
  • 12.
    Prognóstico Principais (mortalidade30 dias): Volume da hemorragia intracraniana (HIC) Escala de Coma de Glasgow na admissão Hidrocefalia Localização - lobar Progressão do hematoma Bom prognóstico nas médias e grandes HIC: Localização cortical Disfunção neurológica leve Baixos níveis de fibrinogênio
  • 13.
    Marcadores clínicos elaboratoriais de prognóstico Glicemia TAX > 37,5 o C INR Neutrofilia Fibrinogênio Metaloproteinases 3 e 9 Fibronectina -c Interleucina -6 Fator de necrose tumoral - α (alfa)
  • 14.
    Admissão: Informações ImportantesHora do início dos sintomas é crucial! Trauma? HAS AVE prévio (isquêmico ou hemorrágico) DM Tabagismo Alcoolismo Uso de drogas (cocaína) Uso de antiagregante ou cumarínico Dças associadas a discrasia sanguínea (p.ex. dças hematológicas, cirrose, etc.)
  • 15.
    Diagnóstico TC decrânio sem contraste na fase aguda do evento Limitações: Infratentorial tronco Outros: Lobar? Idade < 45 anos?Hemoventrículo solitário?Sem HAS? RNM e suas variações, arteriografia, etc. para investigação da etiologia do sangramento HDA e HPP (trauma? Anticoagulação? Drogas? Dça hematológica)
  • 16.
    Hemorragia Intracraniana: ImagemTomografia computadorizada vs. Ressonância Magnética de crânio Angiografia HSA; Calcificações anormais; malformação vascular óbvia; sangramento em topografia incomum (p.ex. fissura silviana); pacientes sem causa óbvia de sangramento (p.ex. hemoventrículo isolado) Hemorragia lobar Hemoventrículo isolado HSA associada Sangramentos recorrentes Pacientes sem histórico de HAS Pacientes com 45 ou menos anos Causa primária desconhecida e que serão submetidos a cirurgia E se ainda assim após arteriografia normal houver a suspeita de hemorragia secundária? Repetir arteriografia com 2-4 semanas após resolução do hematoma
  • 17.
  • 18.
  • 19.
  • 20.
  • 21.
  • 22.
  • 23.
  • 24.
  • 25.
    Tratamento Clínico Sangramentorelacionado a heparina Protamina 1mg para cada 100 UI de heparina (dose máxima não deve exceder 50mg (em infusão < 5 mg/min)  cuidado com hipotensão! Se heparina suspensa há 30-60 min: 0,5-0,75 mg protamina / 100UI heparina Se suspensa há 60-120 min: 0,375-0,5 mg protamina / 100UI heparina Se suspensa há mais de 120 min: 0,25-0,375 mg protamina / 100UI heparina
  • 26.
    Tratamento Clínico Sangramentoem usuários de antiagregantes plaquetários (AAS) PATCH (em andamento)
  • 27.
    Tratamento Clínico Sangramentorelacionado a cumarínico Vitamina K + plasma fresco (15-20 ml/Kg) Caso risco de sobrecarga de volume utilizar Complexo Protrombínico Fator VII recombinante ativado?
  • 28.
  • 29.
    Tratamento Clínico Sangramentoapós trombólise Plaquetas e crioprecipitados Concentrado de fibrinogênio? Fator VII recombinate ativado Até o consenso de 2007 não estava bem estabelecido Hoje – FAST trial
  • 30.
  • 31.
    Tratamento Clínico Controleda PA ATACH e INTERACT Hoje – INTERACT 2 (em andamento) Uso de agentes hiperosmolares  não devem ser utilizados de rotina Anticonvulsivante profilático 4,6-8,2% CHANT
  • 32.
  • 33.
  • 34.
  • 35.
    Profilaxia da TromboseVenosa Profunda (3,7-40%)
  • 36.
    Evolução Clínica Acompanharaparecimento de: expansão do hematoma, edema perilesional, isquemia, hidrocefalia e aparecimento de hemoventrículo Maior risco de epilepsia sem crise clínica (estado de mal não convulsivo) – 30% Em especial pacientes com Escore NIHSS elevado, nas hemorragias lobares, e a presença de desvio da linha média
  • 37.
    Evolução Clínica Exameneurológico seriado Balanço hídrico rigoroso – 4/4 horas Curva térmica  tratar hipertermia nos casos agudos Pacientes com maior risco de hipertermia  hemoventrículo Diagnóstico e tratamento precoce de infecções Coleta de material biológico racional e antibiótico respeitando origem do paciente, tempo de internação (flora hospitalar) Rotina laboratorial – objetivos: Controle rigoroso da glicemia (< 150mg/dl), do sódio, do Mg, pO2, pCO2 TC de crânio De urgência caso piora súbita De rotina em casos selecionados (p.ex: pacientes de risco de hidrocefalia)
  • 38.
    Hemorragia Intracraniana: TratamentoCirúrgico Algoritmo para definição do tratamento cirúrgico da HIC espontânea 1º. Supratentorial? 2º. Caso supra – superficial (<1cm do córtex) ou profundo (mais próximo da cápsula interna)? Qual nível de consciência? Há hemoventrículo? Há tendência a cirurgia minimamente invasiva nas drenagens profundas. DVE caso hemoventrículo PIC e PAM e ECG  deteriorou – cirurgia? 3º. Caso infratentorial (cerebelares) – Indicada cirurgia nas hemorragias > 3cm diâmetro; Compressão tronco cerebral; Hidrocefalia aguda.
  • 39.
    Hemorragia Intracraniana: TratamentoCirúrgico STICH (International Surgical Trial in Intracerebral Haemorrhage) (STICH II em andamento) Nas hemorragias lobares até 1cm de profundidade do coágulo: Melhor resultado em pacientes com ECG ≥ 9
  • 40.
    Hemorragia Intracraniana: TratamentoCirúrgico Cirurgias minimamente invasivas melhor? STICH não responde! Benefícios Redução do tempo operatório; Possibilidade de anestesia local; Redução do trauma tecidual (especialmente lesões profundas) Problemas Impossibilidade de tratamento definitivo (p.ex. MAV); Risco de ressangramento pelo uso de fibrinolíticos; Risco de infecção pela presença prolongada de drenos Modalidades: Aspiração endoscópica; Pacientes < 60 anos? Volume do hematoma  qualidade de vida vs. mortalidade Trombolíticos e aspiração do coágulo (MISTIE)
  • 41.
    Hemorragia Intracraniana: TratamentoCirúrgico Qual o melhor momento para cirurgia? Controverso Problemas com definições Ultra precoce (≤ 7 horas dos sintomas) Com 12 horas? 24 horas? 48 horas? 96 horas?
  • 42.
  • 43.
    Hemorragia Intracraniana: PrevençãoIdade não se trata Tratamento da Hipertensão Arterial Sistêmica Tabagismo Etilismo Uso de drogas (cocaína)
  • 44.
  • 45.
  • 46.
  • 47.