Mercredi Intensif PaNCE
 
Homem de 62 anos com início súbito de fraqueza em membro superior e inferior à esquerda e disartria. História prévia de HAS e tabagismo (45 maços-ano). Os sintomas tiveram início 1,5 horas antes de dar entrada na emergência. Nega cefaléia e vômitos. PA = 180x100mmHg e FC = 76 bpm (RCR). Exame neurológico: disartria, hemianopsia homônima è esquerda, hemiplegia esquerda e hemiparesetesia à esquerda. E agora o que fazer?
Acidente Vascular Encefálico Isquêmico 80-87% dos Strokes Segunda maior causa de perda de anos de vida por incapacidade Maior causa de incapacidade nos EUA Cerca de 800.000 casos /ano (EUA) Framingham Heart Study – sobreviventes ≥ 65 anos após 6 meses 50% mantém alguma hemiparesia 30% incapacidade de deambular sem assistência 19% persiste afasia 26% institucionalizados
Acidente Vascular Encefálico Isquêmico Mortalidade no 1 o . mês 2,5-78% (lacunar vs. hemisférico) Mortalidade em 30 dias 8-12% (45-65 anos de idade) Maior idade = maior risco (e pior prognóstico!) Sexo Raça E se tiver co-morbidades...
Fisiopatologia Fluxo Penumbra Trombose vs. embolia Subtipo Frequência Trombótico Lacunar Grandes vasos 25% 20-35% 1-5% Embólico Cardioembólico Artéria-artéria Criptogênico Outros 75% 20% 15% 30% 10%
“ Penumbra”
Quadro Clínico Aparecimento súbito Em alguns casos gradual, AIT ou ainda crise convulsiva Trombose vs. embolia Velocidade de instalação Crise convulsiva Transformação hemorrágica Cardioembólico Origem  e fim Fatores de risco Artéria artéria Sítio mais comum de trombo Outros tipos Atenção para o nível de consciência de admissão e evolutivamente
Diagnóstico Topográfico
Fatores de Risco Aterosclerose Idade Obesidade História familiar de AVE AVE ou AIT prévios DM HAS Tabagismo Hipercolesterolemia Aspectos nutricionais Alcoolismo Terapia de reposição hormonal e contraceptivos orais FAC Doença coronariana ICC Uso de drogas (cocaína ou anfetamina) Se Idade – se < 50 anos ou sem fatores de risco - pesquisar causas atípicas
Diagnóstico Diferencial Enxaqueca Paresia pós-ictal Hipoglicemia Conversão Hematoma subdural Tumores cerebrais Encefalopatia hipertensiva AVE isquêmico vs. hemorrágico AIT Encefalopatia metabólica
Causas comuns Causas não comuns Trombose Embolia Artéria-artéria Bifurcação carotídea Arco aórtico Emergência das vertebrais Cardioembólico Fibrilação atrial Trombo mural IAM MCPD Doenças valvares Embolia paradoxal Aneurisma de septo atrial Contraste ecocardiográfico espontãneo Trombofilia Trombose seio venoso  Displasia fibromuscular Vasculites Cardiogênico (mixoma, endocardites assépticas) Vasoespasmo Drogas Doença de Moya-Moya CADASIL Dissecção de artérias cervicais
Exames de Admissão Exame físico Exame laboratorial
Exame Neurológico de Admissão NIHSS (National Institutes of Health Stroke Scale)
National Institutes of Health Stroke Scale
Exames de Imagem Qual a primeira escolha na emergência? Por quê? Qual o método mais sensível?
 
 
 
 
 
 
 
 
 
 
Tratamento – Medidas Gerais Controle de PA Candidato ou não a trombólise? Controle da glicemia Controle da temperatura Controle da natremia Controle da pO 2 , pCO 2
Tratamento Trombólise Venosa – 3 horas de sintomas (4,5 horas respeitando algumas exclusões) Indicações e contra-indicações Arterial Outros tratamentos Aspirina – quando? Clopidogrel e dipiridamol? Anticoagulação? – quando?
AVE isquêmico: Indicações da Trombólise Idade ≥ 18 anos Início dos sintomas < 3 horas (alguns casos 4,5 horas) Sem Stroke ou TCE nos últimos 3 meses Sem cirurgia maior nos últimos 14 dias* Sem história prévia de hemorragia intracraniana PA sist <  185 mmHg PA diast < 110 mmHg Sintomas sem resolução rápida ou sintomas menores de stroke* Sem sintomas sugestivos de HSA Sem sangramentos gastrointestinais ou urinários nos últimos 21 dias* Sem punção arterial ou de sítios não compressíveis nos últimos 7 dias Sem crise convulsiva no início do quadro* INR  ≤ 1,7 sem uso de anticoagulantes PTT dentro da normalidade Plaquetas  > 100.000/mm3 Glicemia > 50mg/dl Sem a necessidade de medidas agressivas para redução da PA para dentro dos limites acima especificados.
Trombólise – rt-PA endovenoso T-PA 0,9 mg/Kg (máximo de 90mg) Infundir em 60 minutos, sendo que 10% da dose inicialmente em bolus em 1 minuto. Exame neurológico a cada 15 minutos durante a infusão, a cada 30 minutos nas próximas 6 horas  e a cada 60 minutos nas próximas 16 horas. Caso cefaléia intensa, hipertensão aguda, náusea ou vômito descontinuar a infusão e TC de crânio de emergência. Medidas da PA não invasiva a cada 15 minutos por 2 horas, a cada 30 minutos nas próximas 6 horas  e a cada 60 minutos nas próximas 16 horas.  Reduzir o intervalo de aferição se PA sist > 180 mmHg ou PA diast > 105 mmHg e se necessário utilizar antihipertensivos por via endovenosa)
Trombólise - Complicações Hemorragia Intracraniana sintomática – 1,7-8% Sistêmica grave – 0,4-1,5% Angioedema – 1-5%
Tratamento Prevenção e manejo das complicações Internação em UCI Nutrição Prevenção TVP/TEP Craniectomia Redução do risco de recorrência Antiagregação plaquetária e anticoagulação? Tratamento dos fatores de risco (p.ex: HAS, DM, tabagismo, etc.) Endarterectomia carótidas
AVE isquêmico: Tratamento Cirúrgico Craniotomia: Nos infartos malignos da artéria cerebral média – nas primeiras 24 horas. Atenção para isquemias cerebelares e hidrocefalia (craniotomia suboccipital) Endarterectomia ou angioplastia de carótida: doença obstrutiva de carótida sintomática:
Incertezas Trombólise em até 6 horas? Sonotrombólise? Trombólise arterial? Trombectomia ou outras métodos mecânicos? Combinação de tratamentos? Neuroproteção?
 
 
 
 
 
 
OBRIGADO

AVC Isquemico

  • 1.
  • 2.
  • 3.
    Homem de 62anos com início súbito de fraqueza em membro superior e inferior à esquerda e disartria. História prévia de HAS e tabagismo (45 maços-ano). Os sintomas tiveram início 1,5 horas antes de dar entrada na emergência. Nega cefaléia e vômitos. PA = 180x100mmHg e FC = 76 bpm (RCR). Exame neurológico: disartria, hemianopsia homônima è esquerda, hemiplegia esquerda e hemiparesetesia à esquerda. E agora o que fazer?
  • 4.
    Acidente Vascular EncefálicoIsquêmico 80-87% dos Strokes Segunda maior causa de perda de anos de vida por incapacidade Maior causa de incapacidade nos EUA Cerca de 800.000 casos /ano (EUA) Framingham Heart Study – sobreviventes ≥ 65 anos após 6 meses 50% mantém alguma hemiparesia 30% incapacidade de deambular sem assistência 19% persiste afasia 26% institucionalizados
  • 5.
    Acidente Vascular EncefálicoIsquêmico Mortalidade no 1 o . mês 2,5-78% (lacunar vs. hemisférico) Mortalidade em 30 dias 8-12% (45-65 anos de idade) Maior idade = maior risco (e pior prognóstico!) Sexo Raça E se tiver co-morbidades...
  • 6.
    Fisiopatologia Fluxo PenumbraTrombose vs. embolia Subtipo Frequência Trombótico Lacunar Grandes vasos 25% 20-35% 1-5% Embólico Cardioembólico Artéria-artéria Criptogênico Outros 75% 20% 15% 30% 10%
  • 7.
  • 8.
    Quadro Clínico Aparecimentosúbito Em alguns casos gradual, AIT ou ainda crise convulsiva Trombose vs. embolia Velocidade de instalação Crise convulsiva Transformação hemorrágica Cardioembólico Origem e fim Fatores de risco Artéria artéria Sítio mais comum de trombo Outros tipos Atenção para o nível de consciência de admissão e evolutivamente
  • 9.
  • 10.
    Fatores de RiscoAterosclerose Idade Obesidade História familiar de AVE AVE ou AIT prévios DM HAS Tabagismo Hipercolesterolemia Aspectos nutricionais Alcoolismo Terapia de reposição hormonal e contraceptivos orais FAC Doença coronariana ICC Uso de drogas (cocaína ou anfetamina) Se Idade – se < 50 anos ou sem fatores de risco - pesquisar causas atípicas
  • 11.
    Diagnóstico Diferencial EnxaquecaParesia pós-ictal Hipoglicemia Conversão Hematoma subdural Tumores cerebrais Encefalopatia hipertensiva AVE isquêmico vs. hemorrágico AIT Encefalopatia metabólica
  • 12.
    Causas comuns Causasnão comuns Trombose Embolia Artéria-artéria Bifurcação carotídea Arco aórtico Emergência das vertebrais Cardioembólico Fibrilação atrial Trombo mural IAM MCPD Doenças valvares Embolia paradoxal Aneurisma de septo atrial Contraste ecocardiográfico espontãneo Trombofilia Trombose seio venoso Displasia fibromuscular Vasculites Cardiogênico (mixoma, endocardites assépticas) Vasoespasmo Drogas Doença de Moya-Moya CADASIL Dissecção de artérias cervicais
  • 13.
    Exames de AdmissãoExame físico Exame laboratorial
  • 14.
    Exame Neurológico deAdmissão NIHSS (National Institutes of Health Stroke Scale)
  • 15.
    National Institutes ofHealth Stroke Scale
  • 16.
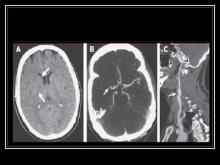
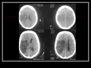
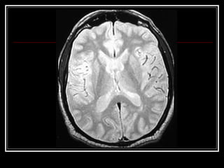
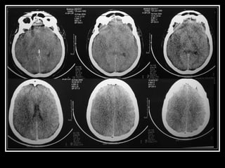
    Exames de ImagemQual a primeira escolha na emergência? Por quê? Qual o método mais sensível?
  • 17.
  • 18.
  • 19.
  • 20.
  • 21.
  • 22.
  • 23.
  • 24.
  • 25.
  • 26.
  • 27.
    Tratamento – MedidasGerais Controle de PA Candidato ou não a trombólise? Controle da glicemia Controle da temperatura Controle da natremia Controle da pO 2 , pCO 2
  • 28.
    Tratamento Trombólise Venosa– 3 horas de sintomas (4,5 horas respeitando algumas exclusões) Indicações e contra-indicações Arterial Outros tratamentos Aspirina – quando? Clopidogrel e dipiridamol? Anticoagulação? – quando?
  • 29.
    AVE isquêmico: Indicaçõesda Trombólise Idade ≥ 18 anos Início dos sintomas < 3 horas (alguns casos 4,5 horas) Sem Stroke ou TCE nos últimos 3 meses Sem cirurgia maior nos últimos 14 dias* Sem história prévia de hemorragia intracraniana PA sist < 185 mmHg PA diast < 110 mmHg Sintomas sem resolução rápida ou sintomas menores de stroke* Sem sintomas sugestivos de HSA Sem sangramentos gastrointestinais ou urinários nos últimos 21 dias* Sem punção arterial ou de sítios não compressíveis nos últimos 7 dias Sem crise convulsiva no início do quadro* INR ≤ 1,7 sem uso de anticoagulantes PTT dentro da normalidade Plaquetas > 100.000/mm3 Glicemia > 50mg/dl Sem a necessidade de medidas agressivas para redução da PA para dentro dos limites acima especificados.
  • 30.
    Trombólise – rt-PAendovenoso T-PA 0,9 mg/Kg (máximo de 90mg) Infundir em 60 minutos, sendo que 10% da dose inicialmente em bolus em 1 minuto. Exame neurológico a cada 15 minutos durante a infusão, a cada 30 minutos nas próximas 6 horas e a cada 60 minutos nas próximas 16 horas. Caso cefaléia intensa, hipertensão aguda, náusea ou vômito descontinuar a infusão e TC de crânio de emergência. Medidas da PA não invasiva a cada 15 minutos por 2 horas, a cada 30 minutos nas próximas 6 horas e a cada 60 minutos nas próximas 16 horas. Reduzir o intervalo de aferição se PA sist > 180 mmHg ou PA diast > 105 mmHg e se necessário utilizar antihipertensivos por via endovenosa)
  • 31.
    Trombólise - ComplicaçõesHemorragia Intracraniana sintomática – 1,7-8% Sistêmica grave – 0,4-1,5% Angioedema – 1-5%
  • 32.
    Tratamento Prevenção emanejo das complicações Internação em UCI Nutrição Prevenção TVP/TEP Craniectomia Redução do risco de recorrência Antiagregação plaquetária e anticoagulação? Tratamento dos fatores de risco (p.ex: HAS, DM, tabagismo, etc.) Endarterectomia carótidas
  • 33.
    AVE isquêmico: TratamentoCirúrgico Craniotomia: Nos infartos malignos da artéria cerebral média – nas primeiras 24 horas. Atenção para isquemias cerebelares e hidrocefalia (craniotomia suboccipital) Endarterectomia ou angioplastia de carótida: doença obstrutiva de carótida sintomática:
  • 34.
    Incertezas Trombólise ematé 6 horas? Sonotrombólise? Trombólise arterial? Trombectomia ou outras métodos mecânicos? Combinação de tratamentos? Neuroproteção?
  • 35.
  • 36.
  • 37.
  • 38.
  • 39.
  • 40.
  • 41.

Notas do Editor

  • #6 EUA 2007 1 de cada 18 óbitos Custo em 2007 $ 25 billhões
  • #30 &gt;80- anos, NIHSS &gt; 25, hipodensidade &gt; 1/3 do território da ACM, uso prévio de anticoagulantes (independente do INR), história de DM e stroke prévios IAM nos últimos 3 meses