Traumatismo
Cranioencefálico –
TCE
Romildo Armindo
Eliane Vieira
Traumatismo Cranioencefálico – TCE
 Definido como todo o trauma que, direta ou
indiretamente, acomete o encéfalo ou seus envoltórios
crânio-meníngeos.
 A principal causa de TCE são os acidentes
automobilísticos, seguidos de quedas, acidentes por
arma de fogo e atividades esportivas.
 A população comumente afetada são os adultos jovens
do sexo masculino, responsáveis por 80% dos casos.
Epidemiologia
 Mundo - 10 milhões/ano internações
 3ª maior causa morte
 Homens > Mulheres (2:1)
 Jovens
 Causas:
 Acidente trânsito
 Quedas
 Agressões
 Esportes
Avaliação Inicial
 História clínica,
 exame físico geral,
 avaliação neurológica (Glasgow),
 tipo e gravidade do acidente,
 nível de consciência,
 sinais e sintomas neurológicos,
 presença de fratura no RX de crânio.
 Avaliação Inicial: muitos fatores
influenciam na avaliação neurológica
inicial; por isso, a avaliação cardiopulmonar
deve acompanhar o exame neurológico. O
controle e a manipulação das vias aéreas,
respiração e circulação são prioritários.
 O uso de álcool ou drogas que deprimam o
sistema nervoso ou ainda fatores tóxicos
podem influenciar na avaliação inicial do
paciente.
Avaliação dos Sinais Vitais:
 o TCE pode alterar os dados vitais, sendo
muitas vezes difícil saber se essas alterações
se devem ao TCE ou a outros fatores.
 Hipertensão, bradicardia e diminuição da
freqüência respiratória (tríade cushing) são uma
resposta específica ao aumento agudo e
potencialmente fatal à hipertensão
intracraniana, indicando necessidade de
intervenção imediata.
Avaliação da Reação Pupilar
 Avaliada por sua simetria e resposta igual à
luz. A diferença de mais de 1 mm no
diâmetro das pupilas já é considerada
anormal;
 uma resposta lenta ao estímulo luminoso
pode indicar lesão intracraniana.
Avaliação de Força Muscular
 pesquisa de diminuição de força muscular. A vítima
com paresia ou paralisia de uma das extremidades, isto
é, com resposta motora não-simétrica, indica lesão
intracraniana.
 O objetivo do exame neurológico é determinar presença
de lesão cerebral, sua severidade e uma deterioração
neurológica. Lembrando-se que para avaliações da
Escala de Coma de Glasgow com índice igual ou
inferior a 9 deve-se solicitar a presença de médico no
local da ocorrência.
 Independente da escala de coma Glasgow, o
paciente é considerado com TCE grave se
apresentar qualquer das situações seguintes:
 Assimetria de pupilas
 Assimetria motora
 Fratura de crânio com perda de liquor ou exposição do
tecido cerebral
 Deterioração neurológica (queda de 2 ou mais pontos
na escala de Glasgow ou cefaléia intensa ou aumento
do diâmetro de uma pupila ou desenvolvimento de
paresia assimétrica)
 Fratura com afundamento craniano
Classificação de Gravidade
 Gravidade
Leve (G 14 – 15)
Moderada (G 9 – 13)
Grave (G 3 – 8)
Classificação
 Traumatismo craniano fechado,
 Traumatismo craniano com fratura e
afundamento,
 Traumatismo craniano aberto.
Traumatismo craniano fechado
 ausência de ferimentos no crânio ou,
quando muito, fratura linear.
 Quando não há lesão estrutural
macroscópica do encéfalo, é chamado de
concussão.
 Contusão, laceração, hemorragias, e
edema podem acontecer com lesão do
parênquima cerebral.
Fratura linear sem afundamento
 Não requer tratamento específico, somente
observação se houver suspeita de lesão
cerebral. Atenção às fraturas que cruzem
leito vascular ou suturas cranianas, em
virtude da possibilidade de hematoma
epidural
Afundamento craniano
 Pode não ser uma emergência cirúrgica,
dependendo da lesão cerebral, mas devido
ao risco de seqüelas graves e crises
convulsivas de difícil controle. Geralmente
o tratamento é cirúrgico, com retirada e
elevação do fragmento ósseo.
Fratura de crânio aberta
 Havendo comunicação direta entre o
escalpe lacerado e a substância cerebral,
essa condição é diagnosticada por tecido
cerebral visível ou perda de LCR (líquido
cefaloraquidiano), exigindo tratamento
cirúrgico.
Fratura de base de crânio
 O diagnóstico clínico se baseia na perda de LCR
pelo ouvido (otoliquorréia) ou pelo nariz
(rinoliquorréia), equimose na região da mastóide
(sinal de Battle), sangue na membrana timpânica
(hemotímpano) e equimose periorbitária (olhos de
guaxinim).
 Esse tipo de fratura muitas vezes não aparece na
radiografia convencional indiretamente, a suspeita
surge devido à presença de ar intracraniano e
opacificação do seio esfenóide.
Equimose retroauricular, Sinal de Batle
Equimose periorbitária, Olhos de
guaxinim
Concussão X Contusão
Concussão Cerebral
 É a perda imediata e transitória da consciência no momento
do trauma, recuperável em 24 horas ou menos , sem
seqüelas.
 Acompanha-se de amnésia retrógrada e pós-traumática
 Não há alterações estruturais e histológicas;
 Geralmente é mais intensa logo após a lesão, e não causa
lesão do parênquima cerebral;
 Pode ser acompanhada de diversas anormalidades
autonômicas, incluindo bradicardia, hipotensão e sudorese;
 É diagnóstico essencialmente clínico.
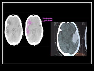
Contusão cerebral
 São lesões traumáticas focais e superficiais causadas pelo
atrito entre o cérebro e o crânio no momento do trauma;
 São muito comuns na face orbitária dos lobos frontais e
região anterior dos lobos temporais;
 Geralmente apresenta lesão parenquimatosa com graus
variáveis de hemorragia, edema e necrose;
 Ocorrem déficits neurológicos que persistem por mais de
24h;
 Não costumam deixar seqüelas importantes, mas podem
originar focos epileptogênicos e resultar em anosmia por
lesão dos bulbos e nervos olfativos;
 Padrão ouro para diagnostico é a ressonância magnética.
Lesão Axonal Difusa
 caracterizada por coma prolongado, é uma
lesão de alta velocidade com estiramento ou
chacoalhamento do tecido cerebral, com
mortalidade de 33% e, nos casos mais severos,
de 50%, geralmente causada por aumento da
pressão intracraniana secundária ao edema
cerebral, causado por mini hemorragias
(petequias) em substancia branca. O
diagnóstico é realizado em pacientes em coma,
com posturas de descerebração o decorticação.
Hematoma epidural
 localizado entre a calota craniana e a membrana mais externa de
revestimento do cérebro
 ocorre entre 1 a 3 por cento dos TCEs.
 São lesões associadas a fraturas que laceram uma das artérias ou
veias meníngeas.
 Em geral há perda da consciência logo após o trauma com
recuperação após alguns minutos ou horas.
 Entretanto, posteriormente, o paciente começa a ficar letárgico e
ocorre deterioração neurológica, podendo haver herniação cerebral
se não tratado.
 Alterações pupilares e hemiparesia contralateral ao local da lesão,
associadas a alterações da consciência são os achados mais
comuns ao exame físico.
 Cirurgia para drenagem do hematoma é o tratamento de escolha.
Hematoma subdural agudo
 localizado entre as membranas que revestem o cérebro
 é encontrado em pacientes que sofrem traumatismo
decorrente de aceleração e desaceleração em altas
velocidades.
 Pode ser simples e tem bom prognóstico quando não há
lesão cerebral associada.
 Hematomas subdurais complicados são acompanhados de
laceração do parênquima e dos vasos.
 O quadro clínico se caracteriza, geralmente, por coma e por
diversos graus de alterações focais.
 O tratamento pode ser cirúrgico ou não, dependendo do tipo
e da extensão das lesões
Hematoma subdural agudo
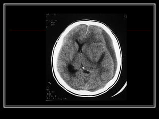
Hematoma subdural crônico
 apresentação tardia, pelo menos 20 dias depois do trauma.
 É mais comum em crianças e em idosos. Alcoolismo,
epilepsia, uso de anticoagulantes, diálise renal predispõem
os pacientes a terem essa complicação.
 O quadro clínico é insidioso, caracterizado por confusão,
distúrbios de memória, apatia e alteração de personalidade.
 Dor de cabeça é comum.
 O diagnóstico é feito através da tomografia computadorizada
de crânio.
 tratamento é cirúrgico.
Hemorragia subaracnóide
 Em geral, acompanha traumatismos
cranianos moderados e severos;
 Injúria de pequenas veias corticais que
passam através do espaço subaracnóideo;
 Pode ocorrer associada a outras lesões;
Tratamento de Emergência
 As vítimas de TCE devem ser transportadas recebendo
oxigênio (a hipóxia agrava o edema cerebral) e com a
cabeça elevada em 30 graus, o que facilita o retorno
venoso, atenuando o edema. Havendo ferimento,
enfaixe a cabeça, porém sem exercer pressão no
curativo, pois em caso de fratura de crânio, a
compressão poderia lesar o cérebro com fragmentos
ósseos, agravando o quadro.
 À vítima desorientada e agitada, garanta-lhe proteção.
Seja gentil, porém firme.
Protocolo de Atendimento da Vítima
com TCE
 Avaliação Primária
 ABC – Vias aéreas, respiração e circulação –
Imobilização da coluna cervical;
 Realização de exame neurológico rápido.
 AVDI: Alerta, resposta verbal, resposta à dor, sem
resposta
 Avaliação pupilar: simetria e reação à luz
 Avaliação senso-motora: Simetria motora e
sensitiva das extremidades
 Avaliação Secundária
 Inspeção
Lacerações
Saída de LCR pelo nariz ou ouvido
 Palpação
Fraturas
Lacerações com fraturas
 Inspeção das lacerações do couro cabeludo
Presença de tecido cerebral
Afundamento craniano
Perda de substância
Perda de líquor
 Determinação da escala de coma de Glasgow
– Resposta ocular
– Resposta verbal
– Resposta motora
 Palpação da coluna cervical para descartar
possibilidade de fraturas
 Determinação de extensão das lesões
 Reavaliação contínua, observando sinais de
deterioração
– Freqüência
– Parâmetros usados
Tratamento
 Tomografia computadorizada crânio
 Prevenção e tratamento hipotensão e
hipóxia. Se necessário -> IOT
TCE leve
 CT se perda consciência > 5minutos,
amnésia, cefaléia grave, ECG < 15 ou
déficit neurológico focal
 Se exames normais e paciente
assintomático -> após algumas horas pode
receber alta sob observação nas próximas
24h.
TCE moderado
 CT crânio + avaliação NCR – TODOS
 Hospitalização em UTI
 Avaliação neurológica freqüente
 Nova CT se necessário
TCE grave
 Prioridade à correção de hipotensão e
hipóxia
 Avaliação neurológica + CT crânio
 IOT (cuidado com broncoaspiração)
 Monitorização PCO2 (manter entre 30 e
35mmHg) – evitar hiperventilação
 Se necessário expansão volêmica -
cristalóides
 Normalizar PIC
 Prevenir eventos que exacerbem ou
desencadeiem lesões secundárias
 Evitar complicações iatrogênicas
 O mais importante é prevenir
 Obrigado

Traumatismo cranioencefálico

  • 1.
  • 2.
    Traumatismo Cranioencefálico –TCE  Definido como todo o trauma que, direta ou indiretamente, acomete o encéfalo ou seus envoltórios crânio-meníngeos.  A principal causa de TCE são os acidentes automobilísticos, seguidos de quedas, acidentes por arma de fogo e atividades esportivas.  A população comumente afetada são os adultos jovens do sexo masculino, responsáveis por 80% dos casos.
  • 3.
    Epidemiologia  Mundo -10 milhões/ano internações  3ª maior causa morte  Homens > Mulheres (2:1)  Jovens  Causas:  Acidente trânsito  Quedas  Agressões  Esportes
  • 4.
    Avaliação Inicial  Históriaclínica,  exame físico geral,  avaliação neurológica (Glasgow),  tipo e gravidade do acidente,  nível de consciência,  sinais e sintomas neurológicos,  presença de fratura no RX de crânio.
  • 5.
     Avaliação Inicial:muitos fatores influenciam na avaliação neurológica inicial; por isso, a avaliação cardiopulmonar deve acompanhar o exame neurológico. O controle e a manipulação das vias aéreas, respiração e circulação são prioritários.  O uso de álcool ou drogas que deprimam o sistema nervoso ou ainda fatores tóxicos podem influenciar na avaliação inicial do paciente.
  • 6.
    Avaliação dos SinaisVitais:  o TCE pode alterar os dados vitais, sendo muitas vezes difícil saber se essas alterações se devem ao TCE ou a outros fatores.  Hipertensão, bradicardia e diminuição da freqüência respiratória (tríade cushing) são uma resposta específica ao aumento agudo e potencialmente fatal à hipertensão intracraniana, indicando necessidade de intervenção imediata.
  • 7.
    Avaliação da ReaçãoPupilar  Avaliada por sua simetria e resposta igual à luz. A diferença de mais de 1 mm no diâmetro das pupilas já é considerada anormal;  uma resposta lenta ao estímulo luminoso pode indicar lesão intracraniana.
  • 8.
    Avaliação de ForçaMuscular  pesquisa de diminuição de força muscular. A vítima com paresia ou paralisia de uma das extremidades, isto é, com resposta motora não-simétrica, indica lesão intracraniana.  O objetivo do exame neurológico é determinar presença de lesão cerebral, sua severidade e uma deterioração neurológica. Lembrando-se que para avaliações da Escala de Coma de Glasgow com índice igual ou inferior a 9 deve-se solicitar a presença de médico no local da ocorrência.
  • 9.
     Independente daescala de coma Glasgow, o paciente é considerado com TCE grave se apresentar qualquer das situações seguintes:  Assimetria de pupilas  Assimetria motora  Fratura de crânio com perda de liquor ou exposição do tecido cerebral  Deterioração neurológica (queda de 2 ou mais pontos na escala de Glasgow ou cefaléia intensa ou aumento do diâmetro de uma pupila ou desenvolvimento de paresia assimétrica)  Fratura com afundamento craniano
  • 10.
    Classificação de Gravidade Gravidade Leve (G 14 – 15) Moderada (G 9 – 13) Grave (G 3 – 8)
  • 12.
    Classificação  Traumatismo cranianofechado,  Traumatismo craniano com fratura e afundamento,  Traumatismo craniano aberto.
  • 13.
    Traumatismo craniano fechado ausência de ferimentos no crânio ou, quando muito, fratura linear.  Quando não há lesão estrutural macroscópica do encéfalo, é chamado de concussão.  Contusão, laceração, hemorragias, e edema podem acontecer com lesão do parênquima cerebral.
  • 14.
    Fratura linear semafundamento  Não requer tratamento específico, somente observação se houver suspeita de lesão cerebral. Atenção às fraturas que cruzem leito vascular ou suturas cranianas, em virtude da possibilidade de hematoma epidural
  • 15.
    Afundamento craniano  Podenão ser uma emergência cirúrgica, dependendo da lesão cerebral, mas devido ao risco de seqüelas graves e crises convulsivas de difícil controle. Geralmente o tratamento é cirúrgico, com retirada e elevação do fragmento ósseo.
  • 16.
    Fratura de crânioaberta  Havendo comunicação direta entre o escalpe lacerado e a substância cerebral, essa condição é diagnosticada por tecido cerebral visível ou perda de LCR (líquido cefaloraquidiano), exigindo tratamento cirúrgico.
  • 18.
    Fratura de basede crânio  O diagnóstico clínico se baseia na perda de LCR pelo ouvido (otoliquorréia) ou pelo nariz (rinoliquorréia), equimose na região da mastóide (sinal de Battle), sangue na membrana timpânica (hemotímpano) e equimose periorbitária (olhos de guaxinim).  Esse tipo de fratura muitas vezes não aparece na radiografia convencional indiretamente, a suspeita surge devido à presença de ar intracraniano e opacificação do seio esfenóide.
  • 19.
  • 20.
  • 21.
  • 22.
    Concussão Cerebral  Éa perda imediata e transitória da consciência no momento do trauma, recuperável em 24 horas ou menos , sem seqüelas.  Acompanha-se de amnésia retrógrada e pós-traumática  Não há alterações estruturais e histológicas;  Geralmente é mais intensa logo após a lesão, e não causa lesão do parênquima cerebral;  Pode ser acompanhada de diversas anormalidades autonômicas, incluindo bradicardia, hipotensão e sudorese;  É diagnóstico essencialmente clínico.
  • 24.
    Contusão cerebral  Sãolesões traumáticas focais e superficiais causadas pelo atrito entre o cérebro e o crânio no momento do trauma;  São muito comuns na face orbitária dos lobos frontais e região anterior dos lobos temporais;  Geralmente apresenta lesão parenquimatosa com graus variáveis de hemorragia, edema e necrose;  Ocorrem déficits neurológicos que persistem por mais de 24h;  Não costumam deixar seqüelas importantes, mas podem originar focos epileptogênicos e resultar em anosmia por lesão dos bulbos e nervos olfativos;  Padrão ouro para diagnostico é a ressonância magnética.
  • 26.
    Lesão Axonal Difusa caracterizada por coma prolongado, é uma lesão de alta velocidade com estiramento ou chacoalhamento do tecido cerebral, com mortalidade de 33% e, nos casos mais severos, de 50%, geralmente causada por aumento da pressão intracraniana secundária ao edema cerebral, causado por mini hemorragias (petequias) em substancia branca. O diagnóstico é realizado em pacientes em coma, com posturas de descerebração o decorticação.
  • 27.
    Hematoma epidural  localizadoentre a calota craniana e a membrana mais externa de revestimento do cérebro  ocorre entre 1 a 3 por cento dos TCEs.  São lesões associadas a fraturas que laceram uma das artérias ou veias meníngeas.  Em geral há perda da consciência logo após o trauma com recuperação após alguns minutos ou horas.  Entretanto, posteriormente, o paciente começa a ficar letárgico e ocorre deterioração neurológica, podendo haver herniação cerebral se não tratado.  Alterações pupilares e hemiparesia contralateral ao local da lesão, associadas a alterações da consciência são os achados mais comuns ao exame físico.  Cirurgia para drenagem do hematoma é o tratamento de escolha.
  • 30.
    Hematoma subdural agudo localizado entre as membranas que revestem o cérebro  é encontrado em pacientes que sofrem traumatismo decorrente de aceleração e desaceleração em altas velocidades.  Pode ser simples e tem bom prognóstico quando não há lesão cerebral associada.  Hematomas subdurais complicados são acompanhados de laceração do parênquima e dos vasos.  O quadro clínico se caracteriza, geralmente, por coma e por diversos graus de alterações focais.  O tratamento pode ser cirúrgico ou não, dependendo do tipo e da extensão das lesões
  • 31.
  • 32.
    Hematoma subdural crônico apresentação tardia, pelo menos 20 dias depois do trauma.  É mais comum em crianças e em idosos. Alcoolismo, epilepsia, uso de anticoagulantes, diálise renal predispõem os pacientes a terem essa complicação.  O quadro clínico é insidioso, caracterizado por confusão, distúrbios de memória, apatia e alteração de personalidade.  Dor de cabeça é comum.  O diagnóstico é feito através da tomografia computadorizada de crânio.  tratamento é cirúrgico.
  • 34.
    Hemorragia subaracnóide  Emgeral, acompanha traumatismos cranianos moderados e severos;  Injúria de pequenas veias corticais que passam através do espaço subaracnóideo;  Pode ocorrer associada a outras lesões;
  • 36.
    Tratamento de Emergência As vítimas de TCE devem ser transportadas recebendo oxigênio (a hipóxia agrava o edema cerebral) e com a cabeça elevada em 30 graus, o que facilita o retorno venoso, atenuando o edema. Havendo ferimento, enfaixe a cabeça, porém sem exercer pressão no curativo, pois em caso de fratura de crânio, a compressão poderia lesar o cérebro com fragmentos ósseos, agravando o quadro.  À vítima desorientada e agitada, garanta-lhe proteção. Seja gentil, porém firme.
  • 37.
    Protocolo de Atendimentoda Vítima com TCE  Avaliação Primária  ABC – Vias aéreas, respiração e circulação – Imobilização da coluna cervical;  Realização de exame neurológico rápido.  AVDI: Alerta, resposta verbal, resposta à dor, sem resposta  Avaliação pupilar: simetria e reação à luz  Avaliação senso-motora: Simetria motora e sensitiva das extremidades
  • 38.
     Avaliação Secundária Inspeção Lacerações Saída de LCR pelo nariz ou ouvido  Palpação Fraturas Lacerações com fraturas  Inspeção das lacerações do couro cabeludo Presença de tecido cerebral Afundamento craniano Perda de substância Perda de líquor
  • 39.
     Determinação daescala de coma de Glasgow – Resposta ocular – Resposta verbal – Resposta motora  Palpação da coluna cervical para descartar possibilidade de fraturas  Determinação de extensão das lesões  Reavaliação contínua, observando sinais de deterioração – Freqüência – Parâmetros usados
  • 40.
    Tratamento  Tomografia computadorizadacrânio  Prevenção e tratamento hipotensão e hipóxia. Se necessário -> IOT
  • 41.
    TCE leve  CTse perda consciência > 5minutos, amnésia, cefaléia grave, ECG < 15 ou déficit neurológico focal  Se exames normais e paciente assintomático -> após algumas horas pode receber alta sob observação nas próximas 24h.
  • 42.
    TCE moderado  CTcrânio + avaliação NCR – TODOS  Hospitalização em UTI  Avaliação neurológica freqüente  Nova CT se necessário
  • 43.
    TCE grave  Prioridadeà correção de hipotensão e hipóxia  Avaliação neurológica + CT crânio  IOT (cuidado com broncoaspiração)  Monitorização PCO2 (manter entre 30 e 35mmHg) – evitar hiperventilação  Se necessário expansão volêmica - cristalóides
  • 44.
     Normalizar PIC Prevenir eventos que exacerbem ou desencadeiem lesões secundárias  Evitar complicações iatrogênicas
  • 45.
     O maisimportante é prevenir  Obrigado