CARDIOMIOPATIAS

   Dr Marco A P Freitas Filho
Cardiomiopatias
  CONCEITO



 Grupo de doenças de acometimento primário do
miocardiócito, distinguindo-se daquelas onde a disfunção do
miocárdio é secundária a outra doença cardiovascular.
Cardiomiopatias
      CONCEITO
    Disfunção cardíaca                        Insuficiência cardíaca

          ACOMETIMENTO INICIAL NÃO É DO MIOCÁRDIO

              - Isquemica: EUA: 38 – 54% Brasil: 30%

              - Hipertensiva: EUA: 17 – 28% Brasil: 21%

              - Valvar: EUA: 5 – 10% Brasil: 15% ( FR !!)

Characteristics and outcomes of patients hospitalized for heart failure in the United States: Rationale,
design, and preliminary observations from the first 100,000 cases in the Acute Decompensated Heart
Failure National Registry (ADHERE)

Insuficiência Cardíaca Descompensada na Unidade de Emergência de Hospital Especializado em
Cardiologia. INCOR: (Arq Bras Cardiol 2008; 90(6): 400-406)
Cardiomiopatias
 CONCEITO
 Disfunção cardíaca    Insuficiencia cardíaca


    ACOMETIMENTO INICIAL DO MIOCÁRDIO

      - Cardiomiopatias: de 10 a 20% dos casos de IC
CLASSIFICAÇÃO ANÁTOMO-
         FUNCIONAL
             Cardiomiopatias

 Cardiomiopatia     Cardiomiopatia    Cardiomiopatia
    Dilatada          Restritiva       Hipertrófica



Etiológica: causas diferentes podem resultar em
cardiomiopatias com aspecto morfológico semelhante e
aspecto clínico semelhante.
Cardiomiopatias

  Tipos                                   Achados



            As quatro câmaras estão aumentadas, havendo dilatação e também
 Dilatada   hipertrofia. Geralmente ocorre disfunção sistólica. DD: MCP
            isquemica, MCP hipertensiva, MCP valvar




            Hipertrofia septal (simétrica ou assimétrica) que pode promover
 Hiper-     obstrução na via de saída do ventrículo esquerdo. DD: MCP
 trófica    HIPERTENSIVA , ESTENOSE AORTICA, DOENÇAS COM
            SOBRECARGA DE PRESSAO




           Miocárdio está infiltrado com um material que
Restritiva resulta em comprometimento do enchimento ventricular.
           DD: PERICARDITE CONSTRITIVA.
Cardiomiopatia Dilatada
CASO 1
• AC, 41 anos, masculino

• Procura consultório de clínico geral com história de 20 dias
  de dispnéia progressiva aos esforços, dispnéia paroxística
  noturna e ortopnéia. Sem antecedentes de cardiopatia prévia.
  Refere quadro gripal 1 semana antes do início dos sintomas.

• Ao exame físico apresenta PA: 120 x 90 FC: 110 ipm. FR:
  22 ipm. ACV: RCR em 3T (B3), SS 2+/6+ F. Mi. AR: MV +
  estertores basais bilaterais. Abd: sem VMG, sem ascite,
  RHA+. Ext: sem edemas
CASO 1


• Quais são os dados de história e exame
  clínico relevantes para diagnóstico de IC?
CRITÉRIOS DE FRAMINGHAM
              PARA ICC
    Diagnosis of CHF requires the simultaneous presence of at least 2 major
    criteria or 1 major criterion in conjunction with 2 minor criteria.


• Major criteria:
•   Paroxysmal nocturnal dyspnea ou ortopnéia
•   Neck vein distention
•   Rales
•   Radiographic cardiomegaly (increasing heart size on chest radiography)
•   Acute pulmonary edema
•   S3 gallop
•   Increased central venous pressure (>16 cm H2O at right atrium)
•   Hepatojugular reflux
•   Weight loss >4.5 kg in 5 days in response to treatment
CRITÉRIOS DE FRAMINGHAM
              PARA ICC
• Minor criteria:
•   Bilateral ankle edema
•   Nocturnal cough
•   Dyspnea on ordinary exertion
•   Hepatomegaly
•   Pleural effusion
•   Decrease in vital capacity by one third from maximum recorded
•   Tachycardia (heart rate>120 beats/min.)

•   Minor criteria are acceptable only if they can not be attributed to another
    medical condition (such as pulmonary hypertension, chronic lung disease,
    cirrhosis, ascites, or the nephrotic syndrome).
•   The Framingham Heart Study criteria are 100% sensitive and 78% specific
    for identifying persons with definite congestive heart failure
CASO 1
B3 – um sinal maior de
Miocardiopatia dilatada




     Som DIASTOLICO
Indica disfunção SISTÓLICA
CASO 1



• Quais os dados de história que podem
  sugerir uma etiologia da IC?
CASO 1



• Quais os exames complementares
  indicados?
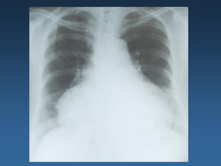
Radiografia Tórax: Aumento de área cardíaca, padrão de inversão
de trama vascular, discreto derrame pleural a direita.
• ECG: RS, FC: 106 spm, BDASE, ARV difusa, com ondas T
  negativas em parede antero-lateral

• Eco TT: Hipocinesia difusa, FE: 30%; VEs: 54; VEd: 63; AE:
  60; PSAP: 50 mmHg.Refluxos mitral discreto.


• Ressonância de Coração: FE: 23% (Simpson); -
  Acinesia antero-septal e inferior. Hipocontratilidade dos
  demais segmentos. Área de realce tardio em parede
  ântero-septal basal, podendo ser compatível com lesão
  por miocardite.
CARDIOMIOPATIA DILATADA
                        CAUSAS
Inflamatórias
Miocardite Infecciosa
 Viral
 Riquétsias
 Bacteriana
 Micobactérias
 Espiroquetas
 Parasita
 Fungos
Miocardite Viral   Infiltrado linfocitário Intersticial
                    Agente: Coxsackie B
CASO 2
Paciente de 39 anos, masculino, natural de Minas Gerais , refere
que há 1 ano passou a sentir dispnéia progressiva aos esforços,
acompanhada de edema de MMII e DPN. Refere várias procuras
de P.S por este motivo, com diagnóstico de “coração inchado”. Tem
antecedente de esofagectomia há 1 ano por Megaesôfago (6 anos
com disfagia). Dá entrada no P.S em REG, descorado +/IV, com
estase jugular a 90º, BRNF em 3T, FC de 120 bpm. MVBD, com
estertores crepitantes em 2/3 inferiores, FR 30 ipm. Hepatomegalia
dolorosa. PA= 110x80 mmHg. MMII: edema +++/IV “
CASO 2


• Quais são os dados de história e exame
  clínico relevantes para diagnóstico de IC?
CASO 2



• Quais os dados de história que podem
  sugerir uma etiologia da IC?
CASO 2

ECG : RS , BRD , BDAS
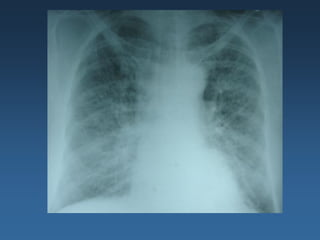
RXTX: Cardiomegalia e congestão

 Ecocardiograma: aumento de câmaras cardíacas esquerdas com
fração de ejeção de ventrículo esquerdo (FEVE) de 22% e presença
de trombo no ventrículo esquerdo (VE). Ins mitral moderada.
Aumento de camaras direitas e ins. Tricúspide moderada

Sorologia para Chagas: positiva
CARDIOMIOPATIA DILATADA
                        CAUSAS
Inflamatórias
Miocardite Infecciosa
 Viral
 Riquétsias
 Bacteriana
 Micobactérias
 Espiroquetas
 Parasita
 Fungos
CASO 3

Paciente do sexo feminino , 22 anos, previamente hígida,
encaminhada ao Pronto Socorro pelo obstetra por quadro de
dispneia progressiva até mínimos esforços iniciada no
primeiro mês após o parto. Há 15 dias refere dor abdominal
em região HCD + náuseas.
Ao exame clínico apresentava-se ictérica, dispnéica, PA: 130
x 90, FC: 120 regular, estase jugular a 45 graus, abdome
ascítico e MMII com edema bilateral até joelhos.
• RXTX: Cardiomegalia e congestão

• ECG: Taquicardia sinusal.

• USG adbome: hepatomegalia homogenia, ascite volumosa e
  homogenia e derrame pleural bilateral

• Ecocardiograma transtorácico: FEVE 17%; VE 67 ml;
  insuficiência mitral moderada e insuficiência tricúspide leve;
  hipocinesia moderada de VD.
CARDIOMIOPATIA DILATADA
                                     CAUSAS
Inflamatórias
Miocardite Infecciosa
 Viral
 Riquétsias
 Bacteriana
 Micobactérias
 Espiroquetas
 Parasita
 Fungos
Miocardite Não-Infecciosa
 Cardiomiopatia Peripartum
 Miocardite por hipersensibilidade
 Rejeição ao transplante
Doença Inflamatoria Granulomatosa
 Sarcoidose
 Miocardite por Células Gigantes
CASO 4


• Paciente de 58 anos, sexo feminino, com diagnóstico de
  linfoma de baixo grau foi submetida a quimioterapia (QT) com
  esquema CHOP que incluía doxorrubicina em 2008. Dois
  meses após a última dose de QT, a paciente queixou-se de
  cansaço e dispnéia aos esforços. Ecocardiograma realizado
  na época constatava disfunção ventricular, de forma difusa, e
  fração de ejeção do ventrículo esquerdo igual a 40%.
CARDIOMIOPATIA DILATADA
                                      CAUSAS
   Inflamatórias                         Tóxicas
Miocardite Infecciosa                Álcool
 Viral                               Agentes Quimioterápicos
 Riquétsias
                                     Doxorubicina
 Bacteriana
                                     Ciclofosfamida
 Micobactérias
                                     Interferon
 Espiroquetas
                                     Metais pesados
 Parasita
                                     Chumbo
 Fungos
                                     Antimônio
Miocardite Não-Infecciosa
                                     Catecolaminas: Anfetaminas
 Peripartum                                         Cocaína
 Miocardite por hipersensibilidade
 Rejeição ao transplante
Doença Inflamatoria Granulomatosa
 Sarcoidose
 Miocardite por Células Gigantes
CARDIOMIOPATIA DILATADA
                                      CAUSAS
   Inflamatórias                         Tóxicas                  Metabólicas
Miocardite Infecciosa                Álcool                       Deficiência tiamina,
 Viral                               Agentes Quimioterápicos      carnitina, selênio
 Riquétsias
                                     Doxorubicina
 Bacteriana                                                       Defic. Ca++, Mg++,P
                                     Ciclofosfamida
 Micobactérias                                                    Endocrinopatias
                                     Interferon
 Espiroquetas
 Parasita
                                     Metais pesados               Familiares
                                     Chumbo
 Fungos                                                           Miopatias
                                     Antimônio
Miocardite Não-Infecciosa                                         esqueléticas com
                                     Catecolaminas: Anfetaminas
 Peripartum                                                       envolvimento cardíaco
                                                    Cocaína
 Miocardite por hipersensibilidade                                Displasia
 Rejeição ao transplante                                          arritmogênica do VD
Doença Inflamatoria Granulomatosa
 Sarcoidose
 Miocardite por Células Gigantes
CARDIOMIOPATIA DILATADA
                        CAUSAS
 Em até 50% das vezes, uma etiologia não será
identificada e o paciente tem o diagnóstico de cardiomiopatia
dilatada idiopática.

 Papel genético importante.

 Insultos ao miocárdio (fator ambiental) nem sempre
idenficáveis na história.
CARDIOMIOPATIA DILATADA -
            APRESENTAÇÃO
 Caracteriza-se por dilatação, geralmente bi-ventricular,
   associada a maior ou menor queda da função ventricular,
DISFUNCAO SISTOLICA (diminuição do débito cardíaco, da
fração de ejeção e aumento da pressão diastólica dos
ventrículos) : ICC . Exceção: beriberi / hipertireoidismo

 Arritmias cardíacas, disfunções das válvulas átrio
ventriculares, com incompetência uni ou bilateral.

 O aumento da cavidade, associado à estase nestas
câmaras, predispõe ao aparecimento de trombos, com a
possível ocorrência de fenômenos embólicos
Insuficiência mitral secundária a dilatação ventricular e disfunção sistólica. O
mecanismo causador da insuficiência mitral é o deslocamento dos músculos
papilares, ocasionando uma inadequada coaptação dos folhetos da valva mitral
CARDIOMIOPATIA DILATADA -
            APRESENTAÇÃO
 Não há alterações valvares primárias, quando estas
ocorrem resultam de dilatação secundárias das camaras
cardíacas.
CARDIOMIOPATIA DILATADA -
             APRESENTAÇÃO

 As alterações histológicas são inespecíficas e
freqüentemente não apontam para uma etiologia.

 A hipertrofia de miócitos é freqüente , há fibrose intersticial
e endocárdica.

 Há desbalanço de perfusão e demanda miocárdica e áreas
de necrose podem ocorrer.
1- Raio x de Tórax:
                       Cardiomegalia acentuada.
            2

                    2- Cardiomegalia com dilatação e
                       moderada hipertrofia .
    1                  Trombos intracavitários.



                    3- microscopia:
    3
                       a) fibrose difusa
                       b) infiltrado linfoplasmocitário
        b                 e edema discreto.
a               c      c) edema intersticial
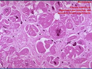
Microscopia

           Fibrose intersticial.
 Hipertrofia dos miócitos, que
possuem núcleo proeminente.
QUADRO CLÍNICO – ICC




Sintomas retrógrados          Sintomas anterógrados
QUADRO CLÍNICO – SINTOMAS
     RETRÓGRADOS

• Insuficiência à E  congestão pulmonar

• Insuficiência à D  congestão venosa
  sistêmica
QUADRO CLÍNICO – ICC ESQUERDA
                          Dispnéia,
     Confusão,            ortopnéia,
     dificuldade de       Dispnéia
     concentração,        paroxística
     cefaléia, insônia    noturna,
     e ansiedade          Respiração de
                          Cheyne – Stokes




                           Fadiga, astenia
         Oligúria
         Nictúria
         Ins renal pré-
         renal ; NTA
         isquemica
CARDIOMIOPATIA DILATADA
Abordagem Clínica de paciente com CMD
Avaliação da habilidade em desempenhar atividades rotineiras
Classificação da Insuficiência Cardíaca (IC) segundo a Classe
Funcional (New York Heart Association -NYHA):

     Classe I       A IC não limita as atividades físicas. Normalmente, a atividade
                    física não desencadeia fadiga, palpitações ou dispnéia


     Classe II      Não ocorrem sintomas no repouso. A IC limita as atividades
                    físicas, causando fadiga, palpitações e dispnéia

     Classe III     Não ocorrem sintomas no repouso. A IC causa limitação
                    moderada das atividades físicas. Os sintomas ocorrem mesmo
                    com atividade física leve

     Classe IV      Sintomas presentes no repouso. Qualquer atividade física
                    aumenta os sintomas
SISTEMA RENINA ANGIOTENSINA
       ALDOSTERONA
QUADRO CLÍNICO – ICC DIREITA


•   Insuficiência à E  D:

1. Fígado:  peso,  volume- congestão passiva
   crônica, pd necrose centrolobular , cirrose cardíaca
2. Rins: congestão
3. Sist portal: P na veia portal e tributárias , ascite
4. Tecido subcutâneo: edema periférico anasarca
EXAME FÍSICO


Dispnéia
Estase jugular
Ictus desviado para fora
Sopro mitral / Sopro tricúspide regurgitativos
B3 / B4
Estertoração pulmonar
Hepatomegalia dolorosa
Edema / Anasarca
Arritmias atriais e ventriculares
Fenomenos trombo-embólicos
CARDIOMIOPATIA DILATADA

                                              Apresentação
Fração de ejeção (VN > 55%)                         < 30%
Dimensão diastólica de VE (VN <55mm)                ≥ 60mm
Espessura Parietal VE                             Diminuída
Tamanho de Átrio                                  Aumentado
Insuficiência Valvar                   Insuf. Mitral → Insuf. Tricúspide
Primeiros Sintomas Comuns                   Intolerância ao esforço
Sintomas Congestivos                       Esquerdo antes do direito
Risco de arritmias                         Taquiarritmia ventricular
                                           Bloqueio de Condução
                                              Fibrilação Atrial

                                                     Cecil Textbook of Medicine
EXAMES – RADIOGRAFIA DE TÓRAX
INDICE CARDIOTORÁCICO
Linhas de Kerley: são finas
opacidades lineares
pulmonares causadas por
fluido ou infiltração do
interstício pulmonar.
EXAMES – RADIOGRAFIA DE TÓRAX



Aumento da área cardíaca

Pulmões
Redistribuição do desenho vascular
Borramento hilar
infiltrado intersticial
Linhas B de Kerley
Edema alveolar
Derrame pleural
EXAMES - ECG



Dilatação ou hipertrofia das câmaras
                 . Ondas Q – zonas de fibrose
                 . Alteração da repolarização
ventricular (ondas T )
                 . Arritmias ventriculares
                 . Distúrbios da condução
EXAMES - ECOCARDIOGRAMA


Diâmetros e volumes das câmaras
             . Espessura da parede e septo
             . Contratatilidade e relaxamento ventricular
             . Dinâmica das válvulas
             . Função ventricular
             . Trombos nas cavidades ventriculares
             . Derrame pericárdico
EXAMES - OUTROS
PROGNÓSTICO

   Medicações que
antagonizam o sistema
neuro-humoral podem
levar a recuperação da
 função ventricular ou
       reverter o
    remodelamento
CARDIOMIOPATIA DILATADA
                                      CAUSAS
   Inflamatórias                         Tóxicas                  Metabólicas
Miocardite Infecciosa                Álcool                       Deficiência tiamina,
 Viral                               Agentes Quimioterápicos      carnitina, selênio
 Riquétsias
                                     Doxorubicina
 Bacteriana                                                       Defic. Ca++, Mg++,P
                                     Ciclofosfamida
 Micobactérias                                                    Endocrinopatias
                                     Interferon
 Espiroquetas
 Parasita
                                     Metais pesados               Familiares
                                     Chumbo
 Fungos                                                           Miopatias
                                     Antimônio
Miocardite Não-Infecciosa                                         esqueléticas com
                                     Catecolaminas: Anfetaminas
 Miocardiopatia Peripartum                                        envolvimento cardíaco
                                                    Cocaína
 Miocardite por hipersensibilidade                                Displasia
 Rejeição ao transplante                                          arritmogênica do VD
Doença Inflamatoria Granulomatosa
 Sarcoidose
 Miocardite por Células Gigantes
Cardiomiopatia Dilatada
       Miocardite Viral
Cardiomiopatia Dilatada
Miocardite Viral
Vírus Coxsackie (A e B)
Echovírus
Influenza
Pólio
Herpes Simples
Varicela Zoster
Epstein-Barr
CMV
Adenovírus
Arbovírus
Sarampo
Rubéola
HIV
Hepatite B e C
Cardiomiopatia Dilatada
          Miocardite Viral - Quando suspeitar ?


 A apresentação clínica é variável podendo ocorrer casos subclínicos, outros com
exuberância de sintomas, e até morte súbita como única manifestação.


Quadro clínico de doença febril recente precedendo os sintomas cardíacos

Os sintomas prodrômicos variam desde febre com presença de infecções não
específicas do trato respiratório ou gastrointestinal, até quadros virais específicos


 Anormalidades enzimáticas (elevação no nível sérico de CPK, MB eTroponina)


                            Fernandes F et al. Rev Soc Cardiol Estado de São Paulo 2003; 13 (4): 418-425.
Cardiomiopatia Dilatada
         Miocardite Viral - Quando suspeitar ?

Presença de taquicardia desproporcional ao quadro febril

 Ausência de lesão cardíaca prévia

 Aparecimento súbito de arritmias ou distúrbio de condução

 Presença de aumento da área cardíaca ou sintomas de Insufic. Cardíaca (IC)                         sem
causa aparente


 Dor torácica e IC em pacientes jovens

                          Fernandes F et al. Rev Soc Cardiol Estado de São Paulo 2003; 13 (4): 418-425.
Cardiomiopatia Dilatada
Miocardite Viral – exames complementares
 ELETROCARDIOGRAMA: Alterações da repolarização ventricular.
                           Sobrecargas; BAV; BRE; BRD;
                           TV; TPSV; FA;
                           Normal
RADIOGRAFIA DO TÓRAX: Silhueta cardíaca normal ou aumentada
                            Congestão pulmonar
 ECOCARDIOGRAMA: Avaliar o grau de comprometimento cardíaco
                      Seguimento evolutivo da miocardite.
 CINTILOGRAFIA com Gálio-67
 RESSONÂNCIA NUCLEAR MAGNÉTICA
 BIÓPSIA ENDOMIOCÁRDICA


                    Fernandes F et al. Rev Soc Cardiol Estado de São Paulo 2003; 13 (4): 418-425.
Cardiomiopatia Dilatada
                   Miocardite Viral – prognóstico



Assintomática            ICC           Arritmias    Dor torácica
                     Disfunção S                    (Coronárias e
                                                    Função Ventricular
                                                    Normais)

                                                     Recuperação
                                                     Completa.
                                                     vs
                                                     Miocardiopatia
Miocardiopatia             Recuperação Morte         Dilatada
   dilatada                 completa   súbita        vs
                                                     Arritmia
                                                     Vs
                                                     Morte súbita
CARDIOMIOPATIA DILATADA
                                     CAUSAS
Inflamatórias
Miocardite Infecciosa
 Viral
 Riquétsias
 Bacteriana
 Micobactérias
 Espiroquetas
 Parasita
 Fungos
Miocardite Não-Infecciosa
 Periparto
 Miocardite por hipersensibilidade
 Rejeição ao transplante
Doença Inflamatoria Granulomatosa
 Sarcoidose
 Miocardite por Células Gigantes
Cardiomiopatia Dilatada
Cardiomiopatia Chagásica
Cardiomiopatia Dilatada
  Doença de Chagas
 1922 – Carlos Chagas e Eurico Vilela
        Doença de Chagas: Megaesôfago/ Megacólon/ Insuficiência Cardíaca
Mecanismo essencial de transmissão (transmissão vetorial): excretas
eliminados por insetos da família Reduviidae (subfamília Triatominae),
contaminadas com o Trypanossoma cruzi, permitem sua inoculação no local
da picada hematófaga.

Mecanismos adicionais de transmissão: Vertical (transplacentária – Congênita)
                                        Transplante de Órgãos
                                        Transfusão Sangüinea
                                        ORAL: caldo de cana / açai fresco.
Cardiomiopatia Dilatada
Doença de Chagas - Brasil

                                                       Espécies de Triatomíneos no Brasil
                                                        > 40 espécies catalogadas no Brasil
                                                       Trinta espécies já foram encontradas
                                                       no ambiente domiciliar
                                                       Cinco espécies tem participação direta
                                                       na transmissão da doença:
                                                            Triatoma infestans
 Foto: Maguire JH. N Engl J Med 2006; 355: 760-761
                                                            Triatoma brasiliensis
                                                            Triatoma pseudomaculata
                                                            Triatoma sordida
                                                            Panstrongylus megistus




                          Vinhaes MC, Dias JCP. Cad. Saúde Pública, Rio de Janeiro, 16 (Sup.2): 7-12, 2000.
Cardiomiopatia Dilatada
Doença de Chagas - Brasil


 Focos principais da doença: Goiás (nordeste do estado)
                               Tocantins (sul do estado)
                               Piauí (sudeste do estado)
                               Bahia (regiões além do Rio São Francisco)
                               Rio Grande do Sul (norte do estado)



 Mortalidade específica para a Doença de Chagas: 5,2/100000 em 1980
                                                          3,5/100000 em 1997
 Número de internações Hospitalares no SUS: 1836 internações – 1990
                                                    1343 internações - 1998

                  Vinhaes MC, Dias JCP. Cad. Saúde Pública, Rio de Janeiro, 16 (Sup.2): 7-12, 2000.
Em 2006, o Ministério da Saúde do Brasil recebeu a
Certificação Internacional de Eliminação da
Transmissão da Doença de Chagas pelo Triatoma
infestans, conferida pela Organização Pan-Americana
da Saúde. A certificação representa somente a
eliminação (interrupção momentânea) da transmissão
da doença especificamente pelo triatomíneo da
espécie T. infestans e não a erradicação
Doença de Chagas – História Natural da Doença




    FASE AGUDA         FASE INDETERMINADA
                                                FASE CRÔNICA
  (Miocardite Aguda)       ( 10- 30 anos)
Doença de Chagas – História Natural da Doença



                                   FASE AGUDA




Após inoculação do agente etiológico, segue-se período de incubação de 7-10 dias

 Apenas cerca de 10% dos pacientes tem manifestações clínicas na FASE AGUDA

Edema cutâneo/mucosa no local de inoculação= Chagomas (sinal de Romaña)

Alterações cardíacas –
     -Dissociação entre a gravidade da miocardite e a escassez de sintomas
     -ECG: Taquicardia Sinusal/ batimentos ectópicos ventriculares
           BAV incompleto/ alterações difusas da repolarização/ Baixa voltagem.



                                         Marin-Neto JA et al. Arq Bras Cardiol 1999; 72(3): 247- 263.
Doença de Chagas – História Natural da Doença



                                    FASE AGUDA

Sintomas e sinais sistêmicos de infecção (reação imunológica sistêmica):
     febre, sudorese, linfadenopatia, aumento de fígado e baço, mialgias

Alterações Laboratoriais (inespecíficas): Leucocitose

 Testes sorológicos são negativos nas primeiras semanas

Radiografia: Pode evidenciar cardiomegalia

Mortalidade varia 3,0 – 13,8% entre os estudos

Sinais e sintomas desaparecem em 1-3 meses

ECG normaliza em 1 ano

                                          Marin-Neto JA et al. Arq Bras Cardiol 1999; 72(3): 247- 263.
MIOCÁRDIO NORMAL




        Fonte: anatpat.unicamp.br
MIOCARDITE CHAGÁSICA AGUDA




             Fonte: anatpat.unicamp.br
MIOCARDITE CHAGÁSICA AGUDA
                                             (a) –Promastigota – o flagelo emerge da parte
                                             anterior da célula.
                                             (b) – Epimastigota - o flagelo emerge ao lado do
                                             núcleo da célula.
                                             (c) – Tripomastigota - o flagelo emerge da parte
                                             posterior da célula.
                                             (d) – Amastigota – somente o cinetoplasto é visível.
                                             Não há flagelo.




Fonte: anatpat.unicamp.br



                            http://www.coccidia.icb.usp.br/disciplinas/BMP222/aulas/Aula_Pratica_4_Protozoarios.doc
Doença de Chagas – História Natural da Doença

                                FASE CRÔNICA


1- Insuficiência Cardíaca – Geralmente de padrão biventricular, com manifestações
                de congestão direita (estase jugular, hepatomegalia, edema, ascite) so-
brepondo-se aos sintomas de disfunção ventricular esquerda (dispnéia, ortopnéia,DPN)
                            Fatigabilidade/Intolerância aos esforços;
                            Desdobramento da 2ª bulha
                            Insuficiência Mitral / Tricúspide




                                          Marin-Neto JA et al. Arq Bras Cardiol 1999; 72(3): 247- 263.
Doença de Chagas – História Natural da Doença

                                FASE CRÔNICA


2- Arritmias - Extra-sístoles e BAV causam palpitação, lipotimia e síncope.
                Na cardiopatia chagásica, pode-se encontrar pacientes com arritmias
ventriculares e com preservação da FE de VE.
                Morte Súbita – incidência não determinada para a população chagásica
         (taquicardia que degenera para FV e, menos freqüente, BAV completo/assistolia.




                                          Marin-Neto JA et al. Arq Bras Cardiol 1999; 72(3): 247- 263.
Doença de Chagas – História Natural da Doença

                              FASE CRÔNICA



3- Tromboembolismo Pulmonar e/ou Sistêmico - origem nas câmaras cardíacas
            ou de trombose venosa profunda;




                                       Marin-Neto JA et al. Arq Bras Cardiol 1999; 72(3): 247- 263.
MIOCÁRDIO NORMAL




        Fonte: anatpat.unicamp.br
CARDIOMIOPATIA CHAGÁSICA CRÔNICA




                 Fonte: anatpat.unicamp.br
Doença de Chagas – FORMA INDETERMINADA

   São considerados portadores da forma indeterminada (FI)
   da doença de Chagas:
    - Indivíduos soropositivos e/ou com exame parasitológico positivo para T.
   cruzi que não apresentam quadro sintomatológico próprio da doença, e
   com resultados de eletrocardiograma de repouso, estudo radiológico de tórax,
   esôfago e cólon normais.

   (1a. Reunião Anual de Pesquisa Aplicada em doença de Chagas, 1984).
   - Não são necessários outros exames complementares para a classificação
   do portador da FI.




                 CONSENSO BRASILEIRO EM DOENÇA DE CHAGAS
                 Revista da Sociedade Brasileira de Medicina Tropical
                 Vol. 38 (Suplemento III), 2005
Cardiomiopatia Dilatada- Doença de Chagas

 Fisiopatologia
Mecanismos neurogênicos (Disautonomia): Redução absoluta de neurônios
(sistema parassimpático intramural cardíaco);
               3 mecanismos: parasitismo direto do neurônio
                               degeneração por inflamação periganglionar
                               reação autoimune antineuronal
Fibrose do sistema especializado de condução do estímulo elétrico
Distúrbio Microvascular: rarefação capilar, agregados plaquetários
Injúria do miocárdio dependente do parasita (mecanismos de ativação
antigênica)
Mecanismos de agressão imunológica (Injúria do miocárdio imuno-mediada)
Cardiomiopatia Dilatada – Doença de Chagas
 Diagnóstico Laboratorial da Infecção pelo Trypanossoma cruzi
Fase Aguda

I. Critério parasitológico
II. Critério sorológico




Consenso brasileiro em doença de chagas. Revista da Sociedade Brasileira de Medicina Tropical; Vol. 38 (Supl III), 2005
Cardiomiopatia Dilatada – Doença de Chagas
 Diagnóstico Laboratorial da Infecção pelo Trypanossoma cruzi
Fase Aguda

I.    Critério parasitológico: é definida pela presença de parasitos circulantes
      demonstráveis no exame direto do sangue periférico.

      TESTE DIRETO A FRESCO

       Diagnóstico molecular da doença de Chagas (PCR – Polymerase Chain Reaction,
      PCR acoplado à hibridização com sondas moleculares) . Disponível em centros de
      referência.




Consenso brasileiro em doença de chagas. Revista da Sociedade Brasileira de Medicina Tropical; Vol. 38 (Supl III), 2005
Cardiomiopatia Dilatada – Doença de Chagas
 Diagnóstico Laboratorial da Infecção pelo Trypanossoma cruzi
Fase Aguda


II. Critério sorológico: a presença de anticorpos anti-T.cruzi da classe IgM no sangue
     periférico é considerada indicativa da fase aguda, particularmente quando
     associada a alterações clínicas e epidemiológicas sugestivas.




Consenso brasileiro em doença de chagas. Revista da Sociedade Brasileira de Medicina Tropical; Vol. 38 (Supl III), 2005
Cardiomiopatia Dilatada – Doença de Chagas
  Diagnóstico Laboratorial da Infecção pelo Trypanossoma cruzi
  Fase Crônica
  I. Critério parasitológico: devido à parasitemia subpatente na fase crônica, os
  métodos parasitológicos convencionais são de baixa sensibilidade, o que implica
  em pouco valor diagnóstico, tornando desnecessária a sua realização para o
  manejo clínico dos pacientes.
     Um exame negativo não afasta a possibilidade da infecção, mas um exame
  positivo tem valor diagnóstico absoluto.

  II. Critério sorológico: considera-se indivíduo infectado na fase crônica aquele
  que apresenta anticorpos anti-T. cruzi da classe IgG detectados por meio de dois
  testes sorológicos de princípios distintos ou com diferentes preparações
  antigênicas.
             O diagnóstico na fase crônica é essencialmente sorológico e deve ser
  realizado utilizando-se um teste de elevada sensibilidade (ELISA com antígeno
  total ou IFI) em conjunto com outro de alta especificidade. Os testes de HAI
  (hemaglutinação Indireta), IFI (Imunofluorescência Indireta) e ELISA podem
  determinar o diagnóstico em virtualmente 100% dos casos.

Consenso brasileiro em doença de chagas. Revista da Sociedade Brasileira de Medicina Tropical; Vol. 38 (Supl III), 2005
Cardiomiopatia Dilatada – Doença de Chagas
Tratamento
Farmacológico
da IC




                      CONSENSO BRASILEIRO EM DOENÇA DE CHAGAS
                      Revista da Sociedade Brasileira de Medicina Tropical
                      Vol. 38 (Suplemento III), 2005
Cardiomiopatia Dilatada – Doença de Chagas
2 – Outros aspectos da abordagem terapêutica da Miocardiopatia Chagásica
   2.1 - Tratamento Cirurgico para IC refratária ao tratamento clínico
        (Estimulação Ventricular; Transplante Cardíaco; Terapia Celular (perspectiva)
   2.2 – Prevenção Primaria/ Secundária do tromboembolismo – segue as
recomendações para IC não-chagásica da Sociedade Brasileira de Cardiologia.
   2.3 – Tratamento das arritmias.


3- Terceiro aspecto - Tratamento etiológico na fase aguda
         Nifurtimox
         Benzonidazol (ROCHAGAN)

Na Fase Crônica os potenciais efeitos protetores da terapêutica antiparasitária não
foram ainda demonstrados – O Estudo BENEFIT poderá trazer essas respostas (The
BENEFIT Trial: Evaluation of the Use of an Antiparasital Drug (Benznidazole) in the
Treatment of Chronic Chagas' Disease)
CASO 5


Jovem do sexo masculino, 21 anos, apresentou queda súbita
durante corrida matinal , presenciada por colegas, e encaminhado
ao setor de emergencia com tempo aproximado de 25 minutos
após a queda. Na entrada ao hospital, constatado óbito pelo
plantonista. Ao interrogatório com familiares, não havia história de
patologias prévias, uso de medicações ou drogadição. Paciente
tinha vida absolutamente normal desde a infancia. De acordo com
os colegas, estava assintomático na manhã do óbito.
CASO 5
Caso encaminhado para necrópsia no após 4 horas.

Córneas foram doadas

Dados positivos:

- Hemorragia subaracnóide difusa
-Coração esquerdo com parede de 20 mm e septo interventricular
de 28 mm, espessado e com áreas de fibrose. Peso do coração
300g. Microscopia mostrou miócitos hipertrofiados , dessaranjo de
fibras miocárdicas no septo.
-Não havia evidencia de congestão pulmonar
Cardiomiopatia Hipertrófica
Cardiomiopatia Hipertrófica
Prevalência: 0,2% (1: 500 adultos com idade entre 23-35 anos)
Anormalidade Genética
    A maioria ocorre em um padrão autossômico dominante


    Gênese heterogênea, podendo ter diferentes sítios de mutações; resulta de
uma das 140 mutações conhecidas em pelo menos 10 genes que têm como
produto de codificação proteínas sarcoméricas: cadeia pesada da β-miosina,
                                              Troponina cardíaca T,
                                              α-tropomiosina,
                                              proteína C ligadora de miosina.
Cardiomiopatia Hipertrófica
Nomes prévios: Hipertrofia Septal Assimétrica
                Cardiomiopatia Hipertrófica Obstrutiva
                Estenose Subaórtica Hipertrófica Idiópática
-Caracterizada por hipertrofia ventricular acentuada, na ausência de elevação
da pós carga
- Músculo cardíaco com desorganização celular e de miofibrilas
Cardiomiopatia Hipertrófica
CARACTERÍSTICAS:


-Disfunção DIASTÓLICA

- Função sistólica hiper-dinâmica.

 Hipertrofia do VE (e/ou do VD) geralmente assimétrica,
     envolvendo predominantemente o septo interventricular.

. Obstrutiva ou não.

. Volume do VE normal ou reduzido.

. Gradiente sistólico intraventricular.

 . Contratilidade normal, função diastólica reduzida
Cardiomiopatia Hipertrófica




Fonte: anatpat.unicamp.br
Cardiomiopatia Hipertrófica




              Fonte: anatpat.unicamp.br
Cardiomiopatia Hipertrófica




              Fonte: anatpat.unicamp.br
Cardiomiopatia Hipertrófica
Mortalidade: - a cardiomiopatia hipertrófica é considerada a causa
mais freqüente de morte súbita em atletas


A desorganização das fibras na área alterada
Interfere na condução elétrica normal (areas
De fibrose e desorganização) , levando a estímulos
Desorganizados que podem gerar taquiarritmias
E ectopias. As arritmias são responsáveis pela
Morte súbita (pode ser a PRIMEIRA MANIFESTAÇÃO DA
DOENÇA)


- Na população geral é considerada de prognóstico favorável em
longo prazo com taxa de mortalidade anual de 1%.
Cardiomiopatia Hipertrófica


Diagnóstico
História Clínica – Dispnéia
                 Dor precordial
                 Palpitação
                 Tontura
                 Síncope
                 Morte Súbita
                 História familiar de morte súbita ou de diagnóstico de
cardiomiopatia hipertrófica em parentes de 1º grau.
Cardiomiopatia Hipertrófica


Diagnóstico

Exame físico :
Frêmito sistólico, ápice, borda esternal esquerda

B4 (bulha atrial); B2 desdobrada

Sopro sistólico de ejeção para-esternal

Sopro sistólico de regurgitação mitral
B4 – um sinal de IC diastólica
Miocardiopatia hipertrófica




                                   Septo
                              interventricular
                                assimétrico.
Hipertrofia
concêntrica
    do
ventrículo
 esquerdo
Cardiomiopatia Hipertrófica
                           Dispnéia
                             EAP
                    Arritmias ventriculares


                     Aumento da pressão
                     e tamanho do átrio E


                Restrição         Diminuição do     Angina
Hipertrofia
                diastólica       volume sistólico   Síncope
  septal
                                                    Tontura
                                                    Fadiga
                                                    Arritmia
               Angustiamento
               variável da via        Obstrução      M.A.S.
                  de saída            dinâmica       Mitral
Cardiomiopatia Hipertrófica

Diagnóstico

RXTX: . ICT normal ou aumentado (HVE)
     . Aumento de AE
     . Botão aórtico pequeno
Cardiomiopatia Hipertrófica

Diagnóstico

ECG: Hipertrofia VE (50%)
     . Ondas Q patológicas em paredes inferior e lateral
     . Arritmias (fibrilação atrial, ventriculares)


HOLTER: Avalia presença de arritmias
Cardiomiopatia Hipertrófica

Diagnóstico
Ecocardiograma – avalia o grau e a localização da hipertrofia
                       - relação septo parede > 1,3 a 1,5
                       - movimento anterior da valva mitral ; Relação com
insuficiencia mitral
                      - determina a presença de obstrução dinâmica à
ejeção ventricular, o que permite classificar a doença em duas formas
fisiopatológicas fundamentais: 1- Obstrutiva – cerca de 25% do casos
                                         gradiente sistólico máx.
acima de 30mmHg, em condições de repouso.
                                2- Não-Obstrutiva
Cardiomiopatia Hipertrófica

Tratamento

 Objetivos - Aliviar os sintomas e melhorar qualidade de vida
            Retardar a progressão da doença
            Reduzir o risco de morte súbita
Cardiomiopatia Hipertrófica
Fatores preditores de Morte Súbita na CMH:
   Parada cardiorespiratória recuperada
   Taquicardia Ventricular Sustentada
   Síncope Recorrente
    Taquicardia ventricular não-sustentada
    Genótipo de risco ou de morte súbita em dois ou mais parentes de
primeiro grau
    Jovens
    Hipertrofia ventricular acima de 30 mm, principalmente em jovens
    Resposta hipotensora ao exercício
Cardiomiopatia Hipertrófica

Tratamento

 Sintomas Obstrutivos: β-Bloqueador
 Sintomas não-obstrutivos: Verapamil ou β-Bloqueador
                             Amiodarona na FA
                             Disopiramida


 * Sintomas refratários à terapia Farmacológica: Miectomia
                                               Alcoolização do SIV
Cardiomiopatia Hipertrófica

                                 Tratamento - Estratégias

                                                  Risco de
            Assintomáticos                                                         Sintomáticos
                                                 Morte Súbita


                                                                                   Β-Bloqueador
      Sem                    Com                 Desfibrilador                       Verapamil
    Obstrução              Obstrução             Implantável                        Amiodarona
                                                                                   Disopiramida
     Sem
                         Β-Bloqueador                             Resposta                     Refratários
   Medicação
                                                                  Favorável                   à medicação

                                                                                   Sem               Com
                                                                                 Obstrução         Obstrução

                                                                               Marcapasso
                                                                            Oclusão Art. Septal   Transplante
                                                                             Miectomia Septal      Cardíaco

Arteaga E, Araújo AQ.Rev Soc Cardiol Estado de São Paulo 2003; 13 (4):499-508.
Cardiomiopatia Hipertrófica
Tratamento




                     Eugene Braunwald. N Engl J Med 2002, Vol. 347(17)
Cardiomiopatia Hipertrófica
Tratamento




              Arteaga E, Araújo AQ.Rev Soc Cardiol Estado de São Paulo 2003; 13 (4):499-508.
Apresentação Clínica         Cardiomiopatia              Cardiomiopatia
                                 Dilatada                  Hipertrófica
Fração de ejeção                     < 30%                       > 60%
(VN > 55%)
Dimensão diastólica de VE            ≥ 60mm             Frequentemente diminuída
(VN <55mm)
Espessura Parietal VE              Diminuída                Acentuadamente
                                                              aumentada
Tamanho de Átrio                   Aumentado                   Aumentado

Insuficiência Valvar         Insuf. Mitral → Insuf.        Insuficiência Mitral
                                    Tricúspide
Primeiros Sintomas Comuns    Intolerância ao esforço     Intolerância ao esforço
                                                          Pode ter dor torácica
Sintomas Congestivos        Esquerdo antes do direito     Dispnéia primária aos
                                                                esforços
Risco de arritmias          Taquiarritmia ventricular   Taquiarritmia ventricular
                             Bloqueio de Condução           Fibrilação Atrial
                                Fibrilação Atrial




                                                             Cecil Textbook of Medicine
Cardiomiopatia Restritiva
Cardiomiopatia Restritiva

Doença de ocorrência rara – é a menos freqüente das três categorias


Resultam da deposição de substâncias anormais no miocárdio, seja
predominantemente entre os miócitos (doenças infiltrativas), seja por depósito de
substâncias anormais dentro dos miócitos (doenças de armazenamento)


Tem como principal característica a diminuição da distensibilidade miocárdica
(disfunção diastólica), mas também apresentam algum grau de depressão da
contratilidade e redução da FE ( disfunção sistólica)
Cardiomiopatia Restritiva
Infiltrativas: Amiloidose, Sarcoidose, Doença de Gaucher (macrófagos
carregados de glicocerebrosídeos) Doença de Hurler (macrófagos carregados de
mucopolissacarídeos)

Armazenamento: Hemocromatose
                      Doença de Fabry
                      Doença do armazanamento da glicose.

Idiopáticas
Fibróticas: Doxirrubicina, Radiação e esclerodermia
Endomiocárdicas: Fibrose endomiocárdica tropical
                       Síndrome hipereosinofílica (Endocardite de Loffler)
                       Síndrome Carcinóide
                       Radiação
Hemocromatose: Miocardiopatia restritiva
         Microscopia, coloração pelo azul da Prússia.
Excessivo depósito de ferro, levando ao aumento do coração e,
                     à falência cardíaca.
Amiloidose Primária
                                                  do
                                                Coração
                           1


                                1- ECG:

                                  . Complexos QRS de baixa
                                voltagem
                                  . Ondas T achatadas

                                2- Microscopia:
    Miocardiopatia Restritiva
                                  a) Depósito focal de material
              2                 amilóide
a                 b
                                  b) Depósitos amilóides
                                perivasculares
                                      no miocárdio
Miocardiopatia restritiva: Amiloidose
Depósito amorfo de material rosa pálido entre os miócitos.
Cardiomiopatia Restritiva

                                                                   Aumento de Câmaras
Déficit de relaxamento    Pressão diastólica                      Atrias , com dimensões
                                                 Pressão Atrial
       ventricular       final dos ventrículos                      ventriculares normais
                                                                  (Apresentação Clássica)



                                                                    Preservação da FE
                                                                   até fases avançadas
                                                                    da doença quando
                                                                   ocorre algum grau de
                                                                         dilatação
Cardiomiopatia Restritiva

                                                                      Aumento de Câmaras
  Déficit de relaxamento    Pressão diastólica                       Atrias , com dimensões
                                                   Pressão Atrial
         ventricular       final dos ventrículos                       ventriculares normais
                                                                     (Apresentação Clássica)



                                                                    Relativa preservação da FE
 Anormalidades no enchimento ventricular com B4 pronunciada            até fases avançadas
Sintomas Congestivos (direita) – estase jugular, hepatomegalia,         da doença quando
                                                                      ocorre algum grau de
                                 ascite, edema periférico                    dilatação
Cardiomiopatia Restritiva
Cardiomiopatia Amilóide




                   Rodney H. Falk. Circulation 2005;112;2047-2060
Cardiomiopatia Restritiva
Cardiomiopatia Amilóide




                   Rodney H. Falk. Circulation 2005;112;2047-2060
Cardiomiopatia Restritiva



Um importante diagnóstico diferencial
das cardiomiopatias restritivas são as
pericardites constritivas.
Apresentação              Cardiomiopatia              Cardiomiopatia               Cardiomiopatia
       Clínica                   Dilatada                  Hipertrófica                  Restritiva
Fração de ejeção                     < 30%                       > 60%                        25-50%
(VN > 55%)
Dimensão diastólica de VE            ≥ 60mm                 Frequentemente                    < 60 mm
(VN <55mm)                                                     diminuída
Espessura Parietal VE              Diminuída                Acentuadamente             Normal ou Aumentada
                                                              aumentada
Tamanho de Átrio                   Aumentado                   Aumentado                    Aumentada

Insuficiência Valvar         Insuf. Mitral → Insuf.        Insuficiência Mitral          raramente graves
                                    Tricúspide

Primeiros Sintomas           Intolerância ao esforço     Intolerância ao esforço       Intolerância ao esforço
Comuns                                                    Pode ter dor torácica           Retenção hídrica
Sintomas Congestivos        Esquerdo antes do direito     Dispnéia primária aos        Direito frequentemente
                                                                esforços                 excede o esquerdo
Risco de arritmias          Taquiarritmia ventricular   Taquiarritmia ventricular    Taquiarritmia ventricular
                             Bloqueio de Condução           Fibrilação Atrial           é incomum exceto na
                                Fibrilação Atrial                                     sarcoidose; Bloqueio de
                                                                                     Condução na sarcoidose
                                                                                           e na amiloidose;
                                                                                           Fibrilação Atrial

                                                                                  Cecil Textbook of Medicine

Cardiomiopatias

  • 1.
    CARDIOMIOPATIAS Dr Marco A P Freitas Filho
  • 2.
    Cardiomiopatias CONCEITO Grupo de doenças de acometimento primário do miocardiócito, distinguindo-se daquelas onde a disfunção do miocárdio é secundária a outra doença cardiovascular.
  • 3.
    Cardiomiopatias CONCEITO  Disfunção cardíaca Insuficiência cardíaca  ACOMETIMENTO INICIAL NÃO É DO MIOCÁRDIO - Isquemica: EUA: 38 – 54% Brasil: 30% - Hipertensiva: EUA: 17 – 28% Brasil: 21% - Valvar: EUA: 5 – 10% Brasil: 15% ( FR !!) Characteristics and outcomes of patients hospitalized for heart failure in the United States: Rationale, design, and preliminary observations from the first 100,000 cases in the Acute Decompensated Heart Failure National Registry (ADHERE) Insuficiência Cardíaca Descompensada na Unidade de Emergência de Hospital Especializado em Cardiologia. INCOR: (Arq Bras Cardiol 2008; 90(6): 400-406)
  • 4.
    Cardiomiopatias CONCEITO  Disfunçãocardíaca Insuficiencia cardíaca  ACOMETIMENTO INICIAL DO MIOCÁRDIO - Cardiomiopatias: de 10 a 20% dos casos de IC
  • 5.
    CLASSIFICAÇÃO ANÁTOMO- FUNCIONAL Cardiomiopatias Cardiomiopatia Cardiomiopatia Cardiomiopatia Dilatada Restritiva Hipertrófica Etiológica: causas diferentes podem resultar em cardiomiopatias com aspecto morfológico semelhante e aspecto clínico semelhante.
  • 7.
    Cardiomiopatias Tipos Achados As quatro câmaras estão aumentadas, havendo dilatação e também Dilatada hipertrofia. Geralmente ocorre disfunção sistólica. DD: MCP isquemica, MCP hipertensiva, MCP valvar Hipertrofia septal (simétrica ou assimétrica) que pode promover Hiper- obstrução na via de saída do ventrículo esquerdo. DD: MCP trófica HIPERTENSIVA , ESTENOSE AORTICA, DOENÇAS COM SOBRECARGA DE PRESSAO Miocárdio está infiltrado com um material que Restritiva resulta em comprometimento do enchimento ventricular. DD: PERICARDITE CONSTRITIVA.
  • 8.
  • 9.
    CASO 1 • AC,41 anos, masculino • Procura consultório de clínico geral com história de 20 dias de dispnéia progressiva aos esforços, dispnéia paroxística noturna e ortopnéia. Sem antecedentes de cardiopatia prévia. Refere quadro gripal 1 semana antes do início dos sintomas. • Ao exame físico apresenta PA: 120 x 90 FC: 110 ipm. FR: 22 ipm. ACV: RCR em 3T (B3), SS 2+/6+ F. Mi. AR: MV + estertores basais bilaterais. Abd: sem VMG, sem ascite, RHA+. Ext: sem edemas
  • 10.
    CASO 1 • Quaissão os dados de história e exame clínico relevantes para diagnóstico de IC?
  • 11.
    CRITÉRIOS DE FRAMINGHAM PARA ICC Diagnosis of CHF requires the simultaneous presence of at least 2 major criteria or 1 major criterion in conjunction with 2 minor criteria. • Major criteria: • Paroxysmal nocturnal dyspnea ou ortopnéia • Neck vein distention • Rales • Radiographic cardiomegaly (increasing heart size on chest radiography) • Acute pulmonary edema • S3 gallop • Increased central venous pressure (>16 cm H2O at right atrium) • Hepatojugular reflux • Weight loss >4.5 kg in 5 days in response to treatment
  • 12.
    CRITÉRIOS DE FRAMINGHAM PARA ICC • Minor criteria: • Bilateral ankle edema • Nocturnal cough • Dyspnea on ordinary exertion • Hepatomegaly • Pleural effusion • Decrease in vital capacity by one third from maximum recorded • Tachycardia (heart rate>120 beats/min.) • Minor criteria are acceptable only if they can not be attributed to another medical condition (such as pulmonary hypertension, chronic lung disease, cirrhosis, ascites, or the nephrotic syndrome). • The Framingham Heart Study criteria are 100% sensitive and 78% specific for identifying persons with definite congestive heart failure
  • 13.
  • 14.
    B3 – umsinal maior de Miocardiopatia dilatada Som DIASTOLICO Indica disfunção SISTÓLICA
  • 15.
    CASO 1 • Quaisos dados de história que podem sugerir uma etiologia da IC?
  • 16.
    CASO 1 • Quaisos exames complementares indicados?
  • 17.
    Radiografia Tórax: Aumentode área cardíaca, padrão de inversão de trama vascular, discreto derrame pleural a direita.
  • 18.
    • ECG: RS,FC: 106 spm, BDASE, ARV difusa, com ondas T negativas em parede antero-lateral • Eco TT: Hipocinesia difusa, FE: 30%; VEs: 54; VEd: 63; AE: 60; PSAP: 50 mmHg.Refluxos mitral discreto. • Ressonância de Coração: FE: 23% (Simpson); - Acinesia antero-septal e inferior. Hipocontratilidade dos demais segmentos. Área de realce tardio em parede ântero-septal basal, podendo ser compatível com lesão por miocardite.
  • 19.
    CARDIOMIOPATIA DILATADA CAUSAS Inflamatórias Miocardite Infecciosa Viral Riquétsias Bacteriana Micobactérias Espiroquetas Parasita Fungos
  • 20.
    Miocardite Viral Infiltrado linfocitário Intersticial Agente: Coxsackie B
  • 21.
    CASO 2 Paciente de39 anos, masculino, natural de Minas Gerais , refere que há 1 ano passou a sentir dispnéia progressiva aos esforços, acompanhada de edema de MMII e DPN. Refere várias procuras de P.S por este motivo, com diagnóstico de “coração inchado”. Tem antecedente de esofagectomia há 1 ano por Megaesôfago (6 anos com disfagia). Dá entrada no P.S em REG, descorado +/IV, com estase jugular a 90º, BRNF em 3T, FC de 120 bpm. MVBD, com estertores crepitantes em 2/3 inferiores, FR 30 ipm. Hepatomegalia dolorosa. PA= 110x80 mmHg. MMII: edema +++/IV “
  • 22.
    CASO 2 • Quaissão os dados de história e exame clínico relevantes para diagnóstico de IC?
  • 23.
    CASO 2 • Quaisos dados de história que podem sugerir uma etiologia da IC?
  • 24.
    CASO 2 ECG :RS , BRD , BDAS RXTX: Cardiomegalia e congestão Ecocardiograma: aumento de câmaras cardíacas esquerdas com fração de ejeção de ventrículo esquerdo (FEVE) de 22% e presença de trombo no ventrículo esquerdo (VE). Ins mitral moderada. Aumento de camaras direitas e ins. Tricúspide moderada Sorologia para Chagas: positiva
  • 25.
    CARDIOMIOPATIA DILATADA CAUSAS Inflamatórias Miocardite Infecciosa Viral Riquétsias Bacteriana Micobactérias Espiroquetas Parasita Fungos
  • 26.
    CASO 3 Paciente dosexo feminino , 22 anos, previamente hígida, encaminhada ao Pronto Socorro pelo obstetra por quadro de dispneia progressiva até mínimos esforços iniciada no primeiro mês após o parto. Há 15 dias refere dor abdominal em região HCD + náuseas. Ao exame clínico apresentava-se ictérica, dispnéica, PA: 130 x 90, FC: 120 regular, estase jugular a 45 graus, abdome ascítico e MMII com edema bilateral até joelhos.
  • 27.
    • RXTX: Cardiomegaliae congestão • ECG: Taquicardia sinusal. • USG adbome: hepatomegalia homogenia, ascite volumosa e homogenia e derrame pleural bilateral • Ecocardiograma transtorácico: FEVE 17%; VE 67 ml; insuficiência mitral moderada e insuficiência tricúspide leve; hipocinesia moderada de VD.
  • 28.
    CARDIOMIOPATIA DILATADA CAUSAS Inflamatórias Miocardite Infecciosa Viral Riquétsias Bacteriana Micobactérias Espiroquetas Parasita Fungos Miocardite Não-Infecciosa Cardiomiopatia Peripartum Miocardite por hipersensibilidade Rejeição ao transplante Doença Inflamatoria Granulomatosa Sarcoidose Miocardite por Células Gigantes
  • 29.
    CASO 4 • Pacientede 58 anos, sexo feminino, com diagnóstico de linfoma de baixo grau foi submetida a quimioterapia (QT) com esquema CHOP que incluía doxorrubicina em 2008. Dois meses após a última dose de QT, a paciente queixou-se de cansaço e dispnéia aos esforços. Ecocardiograma realizado na época constatava disfunção ventricular, de forma difusa, e fração de ejeção do ventrículo esquerdo igual a 40%.
  • 30.
    CARDIOMIOPATIA DILATADA CAUSAS Inflamatórias Tóxicas Miocardite Infecciosa Álcool Viral Agentes Quimioterápicos Riquétsias Doxorubicina Bacteriana Ciclofosfamida Micobactérias Interferon Espiroquetas Metais pesados Parasita Chumbo Fungos Antimônio Miocardite Não-Infecciosa Catecolaminas: Anfetaminas Peripartum Cocaína Miocardite por hipersensibilidade Rejeição ao transplante Doença Inflamatoria Granulomatosa Sarcoidose Miocardite por Células Gigantes
  • 31.
    CARDIOMIOPATIA DILATADA CAUSAS Inflamatórias Tóxicas Metabólicas Miocardite Infecciosa Álcool Deficiência tiamina, Viral Agentes Quimioterápicos carnitina, selênio Riquétsias Doxorubicina Bacteriana Defic. Ca++, Mg++,P Ciclofosfamida Micobactérias Endocrinopatias Interferon Espiroquetas Parasita Metais pesados Familiares Chumbo Fungos Miopatias Antimônio Miocardite Não-Infecciosa esqueléticas com Catecolaminas: Anfetaminas Peripartum envolvimento cardíaco Cocaína Miocardite por hipersensibilidade Displasia Rejeição ao transplante arritmogênica do VD Doença Inflamatoria Granulomatosa Sarcoidose Miocardite por Células Gigantes
  • 32.
    CARDIOMIOPATIA DILATADA CAUSAS  Em até 50% das vezes, uma etiologia não será identificada e o paciente tem o diagnóstico de cardiomiopatia dilatada idiopática.  Papel genético importante.  Insultos ao miocárdio (fator ambiental) nem sempre idenficáveis na história.
  • 33.
    CARDIOMIOPATIA DILATADA - APRESENTAÇÃO  Caracteriza-se por dilatação, geralmente bi-ventricular, associada a maior ou menor queda da função ventricular, DISFUNCAO SISTOLICA (diminuição do débito cardíaco, da fração de ejeção e aumento da pressão diastólica dos ventrículos) : ICC . Exceção: beriberi / hipertireoidismo  Arritmias cardíacas, disfunções das válvulas átrio ventriculares, com incompetência uni ou bilateral.  O aumento da cavidade, associado à estase nestas câmaras, predispõe ao aparecimento de trombos, com a possível ocorrência de fenômenos embólicos
  • 34.
    Insuficiência mitral secundáriaa dilatação ventricular e disfunção sistólica. O mecanismo causador da insuficiência mitral é o deslocamento dos músculos papilares, ocasionando uma inadequada coaptação dos folhetos da valva mitral
  • 35.
    CARDIOMIOPATIA DILATADA - APRESENTAÇÃO  Não há alterações valvares primárias, quando estas ocorrem resultam de dilatação secundárias das camaras cardíacas.
  • 36.
    CARDIOMIOPATIA DILATADA - APRESENTAÇÃO  As alterações histológicas são inespecíficas e freqüentemente não apontam para uma etiologia.  A hipertrofia de miócitos é freqüente , há fibrose intersticial e endocárdica.  Há desbalanço de perfusão e demanda miocárdica e áreas de necrose podem ocorrer.
  • 37.
    1- Raio xde Tórax: Cardiomegalia acentuada. 2 2- Cardiomegalia com dilatação e moderada hipertrofia . 1 Trombos intracavitários. 3- microscopia: 3 a) fibrose difusa b) infiltrado linfoplasmocitário b e edema discreto. a c c) edema intersticial
  • 38.
    Microscopia Fibrose intersticial. Hipertrofia dos miócitos, que possuem núcleo proeminente.
  • 39.
    QUADRO CLÍNICO –ICC Sintomas retrógrados Sintomas anterógrados
  • 40.
    QUADRO CLÍNICO –SINTOMAS RETRÓGRADOS • Insuficiência à E  congestão pulmonar • Insuficiência à D  congestão venosa sistêmica
  • 41.
    QUADRO CLÍNICO –ICC ESQUERDA Dispnéia, Confusão, ortopnéia, dificuldade de Dispnéia concentração, paroxística cefaléia, insônia noturna, e ansiedade Respiração de Cheyne – Stokes Fadiga, astenia Oligúria Nictúria Ins renal pré- renal ; NTA isquemica
  • 42.
    CARDIOMIOPATIA DILATADA Abordagem Clínicade paciente com CMD Avaliação da habilidade em desempenhar atividades rotineiras Classificação da Insuficiência Cardíaca (IC) segundo a Classe Funcional (New York Heart Association -NYHA): Classe I A IC não limita as atividades físicas. Normalmente, a atividade física não desencadeia fadiga, palpitações ou dispnéia Classe II Não ocorrem sintomas no repouso. A IC limita as atividades físicas, causando fadiga, palpitações e dispnéia Classe III Não ocorrem sintomas no repouso. A IC causa limitação moderada das atividades físicas. Os sintomas ocorrem mesmo com atividade física leve Classe IV Sintomas presentes no repouso. Qualquer atividade física aumenta os sintomas
  • 43.
  • 44.
    QUADRO CLÍNICO –ICC DIREITA • Insuficiência à E  D: 1. Fígado:  peso,  volume- congestão passiva crônica, pd necrose centrolobular , cirrose cardíaca 2. Rins: congestão 3. Sist portal: P na veia portal e tributárias , ascite 4. Tecido subcutâneo: edema periférico anasarca
  • 45.
    EXAME FÍSICO Dispnéia Estase jugular Ictusdesviado para fora Sopro mitral / Sopro tricúspide regurgitativos B3 / B4 Estertoração pulmonar Hepatomegalia dolorosa Edema / Anasarca Arritmias atriais e ventriculares Fenomenos trombo-embólicos
  • 46.
    CARDIOMIOPATIA DILATADA Apresentação Fração de ejeção (VN > 55%) < 30% Dimensão diastólica de VE (VN <55mm) ≥ 60mm Espessura Parietal VE Diminuída Tamanho de Átrio Aumentado Insuficiência Valvar Insuf. Mitral → Insuf. Tricúspide Primeiros Sintomas Comuns Intolerância ao esforço Sintomas Congestivos Esquerdo antes do direito Risco de arritmias Taquiarritmia ventricular Bloqueio de Condução Fibrilação Atrial Cecil Textbook of Medicine
  • 47.
  • 50.
  • 57.
    Linhas de Kerley:são finas opacidades lineares pulmonares causadas por fluido ou infiltração do interstício pulmonar.
  • 58.
    EXAMES – RADIOGRAFIADE TÓRAX Aumento da área cardíaca Pulmões Redistribuição do desenho vascular Borramento hilar infiltrado intersticial Linhas B de Kerley Edema alveolar Derrame pleural
  • 59.
    EXAMES - ECG Dilataçãoou hipertrofia das câmaras . Ondas Q – zonas de fibrose . Alteração da repolarização ventricular (ondas T ) . Arritmias ventriculares . Distúrbios da condução
  • 60.
    EXAMES - ECOCARDIOGRAMA Diâmetrose volumes das câmaras . Espessura da parede e septo . Contratatilidade e relaxamento ventricular . Dinâmica das válvulas . Função ventricular . Trombos nas cavidades ventriculares . Derrame pericárdico
  • 61.
  • 62.
    PROGNÓSTICO Medicações que antagonizam o sistema neuro-humoral podem levar a recuperação da função ventricular ou reverter o remodelamento
  • 63.
    CARDIOMIOPATIA DILATADA CAUSAS Inflamatórias Tóxicas Metabólicas Miocardite Infecciosa Álcool Deficiência tiamina, Viral Agentes Quimioterápicos carnitina, selênio Riquétsias Doxorubicina Bacteriana Defic. Ca++, Mg++,P Ciclofosfamida Micobactérias Endocrinopatias Interferon Espiroquetas Parasita Metais pesados Familiares Chumbo Fungos Miopatias Antimônio Miocardite Não-Infecciosa esqueléticas com Catecolaminas: Anfetaminas Miocardiopatia Peripartum envolvimento cardíaco Cocaína Miocardite por hipersensibilidade Displasia Rejeição ao transplante arritmogênica do VD Doença Inflamatoria Granulomatosa Sarcoidose Miocardite por Células Gigantes
  • 64.
    Cardiomiopatia Dilatada Miocardite Viral
  • 65.
    Cardiomiopatia Dilatada Miocardite Viral VírusCoxsackie (A e B) Echovírus Influenza Pólio Herpes Simples Varicela Zoster Epstein-Barr CMV Adenovírus Arbovírus Sarampo Rubéola HIV Hepatite B e C
  • 66.
    Cardiomiopatia Dilatada Miocardite Viral - Quando suspeitar ?  A apresentação clínica é variável podendo ocorrer casos subclínicos, outros com exuberância de sintomas, e até morte súbita como única manifestação. Quadro clínico de doença febril recente precedendo os sintomas cardíacos Os sintomas prodrômicos variam desde febre com presença de infecções não específicas do trato respiratório ou gastrointestinal, até quadros virais específicos  Anormalidades enzimáticas (elevação no nível sérico de CPK, MB eTroponina) Fernandes F et al. Rev Soc Cardiol Estado de São Paulo 2003; 13 (4): 418-425.
  • 67.
    Cardiomiopatia Dilatada Miocardite Viral - Quando suspeitar ? Presença de taquicardia desproporcional ao quadro febril  Ausência de lesão cardíaca prévia  Aparecimento súbito de arritmias ou distúrbio de condução  Presença de aumento da área cardíaca ou sintomas de Insufic. Cardíaca (IC) sem causa aparente  Dor torácica e IC em pacientes jovens Fernandes F et al. Rev Soc Cardiol Estado de São Paulo 2003; 13 (4): 418-425.
  • 68.
    Cardiomiopatia Dilatada Miocardite Viral– exames complementares  ELETROCARDIOGRAMA: Alterações da repolarização ventricular. Sobrecargas; BAV; BRE; BRD; TV; TPSV; FA; Normal RADIOGRAFIA DO TÓRAX: Silhueta cardíaca normal ou aumentada Congestão pulmonar  ECOCARDIOGRAMA: Avaliar o grau de comprometimento cardíaco Seguimento evolutivo da miocardite.  CINTILOGRAFIA com Gálio-67  RESSONÂNCIA NUCLEAR MAGNÉTICA  BIÓPSIA ENDOMIOCÁRDICA Fernandes F et al. Rev Soc Cardiol Estado de São Paulo 2003; 13 (4): 418-425.
  • 69.
    Cardiomiopatia Dilatada Miocardite Viral – prognóstico Assintomática ICC Arritmias Dor torácica Disfunção S (Coronárias e Função Ventricular Normais) Recuperação Completa. vs Miocardiopatia Miocardiopatia Recuperação Morte Dilatada dilatada completa súbita vs Arritmia Vs Morte súbita
  • 70.
    CARDIOMIOPATIA DILATADA CAUSAS Inflamatórias Miocardite Infecciosa Viral Riquétsias Bacteriana Micobactérias Espiroquetas Parasita Fungos Miocardite Não-Infecciosa Periparto Miocardite por hipersensibilidade Rejeição ao transplante Doença Inflamatoria Granulomatosa Sarcoidose Miocardite por Células Gigantes
  • 71.
  • 72.
    Cardiomiopatia Dilatada Doença de Chagas 1922 – Carlos Chagas e Eurico Vilela Doença de Chagas: Megaesôfago/ Megacólon/ Insuficiência Cardíaca Mecanismo essencial de transmissão (transmissão vetorial): excretas eliminados por insetos da família Reduviidae (subfamília Triatominae), contaminadas com o Trypanossoma cruzi, permitem sua inoculação no local da picada hematófaga. Mecanismos adicionais de transmissão: Vertical (transplacentária – Congênita) Transplante de Órgãos Transfusão Sangüinea ORAL: caldo de cana / açai fresco.
  • 73.
    Cardiomiopatia Dilatada Doença deChagas - Brasil Espécies de Triatomíneos no Brasil > 40 espécies catalogadas no Brasil Trinta espécies já foram encontradas no ambiente domiciliar Cinco espécies tem participação direta na transmissão da doença: Triatoma infestans Foto: Maguire JH. N Engl J Med 2006; 355: 760-761 Triatoma brasiliensis Triatoma pseudomaculata Triatoma sordida Panstrongylus megistus Vinhaes MC, Dias JCP. Cad. Saúde Pública, Rio de Janeiro, 16 (Sup.2): 7-12, 2000.
  • 74.
    Cardiomiopatia Dilatada Doença deChagas - Brasil Focos principais da doença: Goiás (nordeste do estado) Tocantins (sul do estado) Piauí (sudeste do estado) Bahia (regiões além do Rio São Francisco) Rio Grande do Sul (norte do estado) Mortalidade específica para a Doença de Chagas: 5,2/100000 em 1980 3,5/100000 em 1997 Número de internações Hospitalares no SUS: 1836 internações – 1990 1343 internações - 1998 Vinhaes MC, Dias JCP. Cad. Saúde Pública, Rio de Janeiro, 16 (Sup.2): 7-12, 2000.
  • 75.
    Em 2006, oMinistério da Saúde do Brasil recebeu a Certificação Internacional de Eliminação da Transmissão da Doença de Chagas pelo Triatoma infestans, conferida pela Organização Pan-Americana da Saúde. A certificação representa somente a eliminação (interrupção momentânea) da transmissão da doença especificamente pelo triatomíneo da espécie T. infestans e não a erradicação
  • 76.
    Doença de Chagas– História Natural da Doença FASE AGUDA FASE INDETERMINADA FASE CRÔNICA (Miocardite Aguda) ( 10- 30 anos)
  • 77.
    Doença de Chagas– História Natural da Doença FASE AGUDA Após inoculação do agente etiológico, segue-se período de incubação de 7-10 dias  Apenas cerca de 10% dos pacientes tem manifestações clínicas na FASE AGUDA Edema cutâneo/mucosa no local de inoculação= Chagomas (sinal de Romaña) Alterações cardíacas – -Dissociação entre a gravidade da miocardite e a escassez de sintomas -ECG: Taquicardia Sinusal/ batimentos ectópicos ventriculares BAV incompleto/ alterações difusas da repolarização/ Baixa voltagem. Marin-Neto JA et al. Arq Bras Cardiol 1999; 72(3): 247- 263.
  • 79.
    Doença de Chagas– História Natural da Doença FASE AGUDA Sintomas e sinais sistêmicos de infecção (reação imunológica sistêmica): febre, sudorese, linfadenopatia, aumento de fígado e baço, mialgias Alterações Laboratoriais (inespecíficas): Leucocitose  Testes sorológicos são negativos nas primeiras semanas Radiografia: Pode evidenciar cardiomegalia Mortalidade varia 3,0 – 13,8% entre os estudos Sinais e sintomas desaparecem em 1-3 meses ECG normaliza em 1 ano Marin-Neto JA et al. Arq Bras Cardiol 1999; 72(3): 247- 263.
  • 80.
    MIOCÁRDIO NORMAL Fonte: anatpat.unicamp.br
  • 81.
    MIOCARDITE CHAGÁSICA AGUDA Fonte: anatpat.unicamp.br
  • 82.
    MIOCARDITE CHAGÁSICA AGUDA (a) –Promastigota – o flagelo emerge da parte anterior da célula. (b) – Epimastigota - o flagelo emerge ao lado do núcleo da célula. (c) – Tripomastigota - o flagelo emerge da parte posterior da célula. (d) – Amastigota – somente o cinetoplasto é visível. Não há flagelo. Fonte: anatpat.unicamp.br http://www.coccidia.icb.usp.br/disciplinas/BMP222/aulas/Aula_Pratica_4_Protozoarios.doc
  • 83.
    Doença de Chagas– História Natural da Doença FASE CRÔNICA 1- Insuficiência Cardíaca – Geralmente de padrão biventricular, com manifestações de congestão direita (estase jugular, hepatomegalia, edema, ascite) so- brepondo-se aos sintomas de disfunção ventricular esquerda (dispnéia, ortopnéia,DPN) Fatigabilidade/Intolerância aos esforços; Desdobramento da 2ª bulha Insuficiência Mitral / Tricúspide Marin-Neto JA et al. Arq Bras Cardiol 1999; 72(3): 247- 263.
  • 84.
    Doença de Chagas– História Natural da Doença FASE CRÔNICA 2- Arritmias - Extra-sístoles e BAV causam palpitação, lipotimia e síncope. Na cardiopatia chagásica, pode-se encontrar pacientes com arritmias ventriculares e com preservação da FE de VE. Morte Súbita – incidência não determinada para a população chagásica (taquicardia que degenera para FV e, menos freqüente, BAV completo/assistolia. Marin-Neto JA et al. Arq Bras Cardiol 1999; 72(3): 247- 263.
  • 85.
    Doença de Chagas– História Natural da Doença FASE CRÔNICA 3- Tromboembolismo Pulmonar e/ou Sistêmico - origem nas câmaras cardíacas ou de trombose venosa profunda; Marin-Neto JA et al. Arq Bras Cardiol 1999; 72(3): 247- 263.
  • 86.
    MIOCÁRDIO NORMAL Fonte: anatpat.unicamp.br
  • 87.
    CARDIOMIOPATIA CHAGÁSICA CRÔNICA Fonte: anatpat.unicamp.br
  • 88.
    Doença de Chagas– FORMA INDETERMINADA São considerados portadores da forma indeterminada (FI) da doença de Chagas: - Indivíduos soropositivos e/ou com exame parasitológico positivo para T. cruzi que não apresentam quadro sintomatológico próprio da doença, e com resultados de eletrocardiograma de repouso, estudo radiológico de tórax, esôfago e cólon normais. (1a. Reunião Anual de Pesquisa Aplicada em doença de Chagas, 1984). - Não são necessários outros exames complementares para a classificação do portador da FI. CONSENSO BRASILEIRO EM DOENÇA DE CHAGAS Revista da Sociedade Brasileira de Medicina Tropical Vol. 38 (Suplemento III), 2005
  • 89.
    Cardiomiopatia Dilatada- Doençade Chagas Fisiopatologia Mecanismos neurogênicos (Disautonomia): Redução absoluta de neurônios (sistema parassimpático intramural cardíaco); 3 mecanismos: parasitismo direto do neurônio degeneração por inflamação periganglionar reação autoimune antineuronal Fibrose do sistema especializado de condução do estímulo elétrico Distúrbio Microvascular: rarefação capilar, agregados plaquetários Injúria do miocárdio dependente do parasita (mecanismos de ativação antigênica) Mecanismos de agressão imunológica (Injúria do miocárdio imuno-mediada)
  • 90.
    Cardiomiopatia Dilatada –Doença de Chagas Diagnóstico Laboratorial da Infecção pelo Trypanossoma cruzi Fase Aguda I. Critério parasitológico II. Critério sorológico Consenso brasileiro em doença de chagas. Revista da Sociedade Brasileira de Medicina Tropical; Vol. 38 (Supl III), 2005
  • 91.
    Cardiomiopatia Dilatada –Doença de Chagas Diagnóstico Laboratorial da Infecção pelo Trypanossoma cruzi Fase Aguda I. Critério parasitológico: é definida pela presença de parasitos circulantes demonstráveis no exame direto do sangue periférico. TESTE DIRETO A FRESCO Diagnóstico molecular da doença de Chagas (PCR – Polymerase Chain Reaction, PCR acoplado à hibridização com sondas moleculares) . Disponível em centros de referência. Consenso brasileiro em doença de chagas. Revista da Sociedade Brasileira de Medicina Tropical; Vol. 38 (Supl III), 2005
  • 92.
    Cardiomiopatia Dilatada –Doença de Chagas Diagnóstico Laboratorial da Infecção pelo Trypanossoma cruzi Fase Aguda II. Critério sorológico: a presença de anticorpos anti-T.cruzi da classe IgM no sangue periférico é considerada indicativa da fase aguda, particularmente quando associada a alterações clínicas e epidemiológicas sugestivas. Consenso brasileiro em doença de chagas. Revista da Sociedade Brasileira de Medicina Tropical; Vol. 38 (Supl III), 2005
  • 93.
    Cardiomiopatia Dilatada –Doença de Chagas Diagnóstico Laboratorial da Infecção pelo Trypanossoma cruzi Fase Crônica I. Critério parasitológico: devido à parasitemia subpatente na fase crônica, os métodos parasitológicos convencionais são de baixa sensibilidade, o que implica em pouco valor diagnóstico, tornando desnecessária a sua realização para o manejo clínico dos pacientes. Um exame negativo não afasta a possibilidade da infecção, mas um exame positivo tem valor diagnóstico absoluto. II. Critério sorológico: considera-se indivíduo infectado na fase crônica aquele que apresenta anticorpos anti-T. cruzi da classe IgG detectados por meio de dois testes sorológicos de princípios distintos ou com diferentes preparações antigênicas. O diagnóstico na fase crônica é essencialmente sorológico e deve ser realizado utilizando-se um teste de elevada sensibilidade (ELISA com antígeno total ou IFI) em conjunto com outro de alta especificidade. Os testes de HAI (hemaglutinação Indireta), IFI (Imunofluorescência Indireta) e ELISA podem determinar o diagnóstico em virtualmente 100% dos casos. Consenso brasileiro em doença de chagas. Revista da Sociedade Brasileira de Medicina Tropical; Vol. 38 (Supl III), 2005
  • 94.
    Cardiomiopatia Dilatada –Doença de Chagas Tratamento Farmacológico da IC CONSENSO BRASILEIRO EM DOENÇA DE CHAGAS Revista da Sociedade Brasileira de Medicina Tropical Vol. 38 (Suplemento III), 2005
  • 95.
    Cardiomiopatia Dilatada –Doença de Chagas 2 – Outros aspectos da abordagem terapêutica da Miocardiopatia Chagásica 2.1 - Tratamento Cirurgico para IC refratária ao tratamento clínico (Estimulação Ventricular; Transplante Cardíaco; Terapia Celular (perspectiva) 2.2 – Prevenção Primaria/ Secundária do tromboembolismo – segue as recomendações para IC não-chagásica da Sociedade Brasileira de Cardiologia. 2.3 – Tratamento das arritmias. 3- Terceiro aspecto - Tratamento etiológico na fase aguda Nifurtimox Benzonidazol (ROCHAGAN) Na Fase Crônica os potenciais efeitos protetores da terapêutica antiparasitária não foram ainda demonstrados – O Estudo BENEFIT poderá trazer essas respostas (The BENEFIT Trial: Evaluation of the Use of an Antiparasital Drug (Benznidazole) in the Treatment of Chronic Chagas' Disease)
  • 96.
    CASO 5 Jovem dosexo masculino, 21 anos, apresentou queda súbita durante corrida matinal , presenciada por colegas, e encaminhado ao setor de emergencia com tempo aproximado de 25 minutos após a queda. Na entrada ao hospital, constatado óbito pelo plantonista. Ao interrogatório com familiares, não havia história de patologias prévias, uso de medicações ou drogadição. Paciente tinha vida absolutamente normal desde a infancia. De acordo com os colegas, estava assintomático na manhã do óbito.
  • 97.
    CASO 5 Caso encaminhadopara necrópsia no após 4 horas. Córneas foram doadas Dados positivos: - Hemorragia subaracnóide difusa -Coração esquerdo com parede de 20 mm e septo interventricular de 28 mm, espessado e com áreas de fibrose. Peso do coração 300g. Microscopia mostrou miócitos hipertrofiados , dessaranjo de fibras miocárdicas no septo. -Não havia evidencia de congestão pulmonar
  • 98.
  • 99.
    Cardiomiopatia Hipertrófica Prevalência: 0,2%(1: 500 adultos com idade entre 23-35 anos) Anormalidade Genética A maioria ocorre em um padrão autossômico dominante Gênese heterogênea, podendo ter diferentes sítios de mutações; resulta de uma das 140 mutações conhecidas em pelo menos 10 genes que têm como produto de codificação proteínas sarcoméricas: cadeia pesada da β-miosina, Troponina cardíaca T, α-tropomiosina, proteína C ligadora de miosina.
  • 100.
    Cardiomiopatia Hipertrófica Nomes prévios:Hipertrofia Septal Assimétrica Cardiomiopatia Hipertrófica Obstrutiva Estenose Subaórtica Hipertrófica Idiópática -Caracterizada por hipertrofia ventricular acentuada, na ausência de elevação da pós carga - Músculo cardíaco com desorganização celular e de miofibrilas
  • 101.
    Cardiomiopatia Hipertrófica CARACTERÍSTICAS: -Disfunção DIASTÓLICA -Função sistólica hiper-dinâmica. Hipertrofia do VE (e/ou do VD) geralmente assimétrica, envolvendo predominantemente o septo interventricular. . Obstrutiva ou não. . Volume do VE normal ou reduzido. . Gradiente sistólico intraventricular. . Contratilidade normal, função diastólica reduzida
  • 102.
  • 103.
    Cardiomiopatia Hipertrófica Fonte: anatpat.unicamp.br
  • 104.
    Cardiomiopatia Hipertrófica Fonte: anatpat.unicamp.br
  • 105.
    Cardiomiopatia Hipertrófica Mortalidade: -a cardiomiopatia hipertrófica é considerada a causa mais freqüente de morte súbita em atletas A desorganização das fibras na área alterada Interfere na condução elétrica normal (areas De fibrose e desorganização) , levando a estímulos Desorganizados que podem gerar taquiarritmias E ectopias. As arritmias são responsáveis pela Morte súbita (pode ser a PRIMEIRA MANIFESTAÇÃO DA DOENÇA) - Na população geral é considerada de prognóstico favorável em longo prazo com taxa de mortalidade anual de 1%.
  • 106.
    Cardiomiopatia Hipertrófica Diagnóstico História Clínica– Dispnéia Dor precordial Palpitação Tontura Síncope Morte Súbita História familiar de morte súbita ou de diagnóstico de cardiomiopatia hipertrófica em parentes de 1º grau.
  • 107.
    Cardiomiopatia Hipertrófica Diagnóstico Exame físico: Frêmito sistólico, ápice, borda esternal esquerda B4 (bulha atrial); B2 desdobrada Sopro sistólico de ejeção para-esternal Sopro sistólico de regurgitação mitral
  • 108.
    B4 – umsinal de IC diastólica
  • 110.
    Miocardiopatia hipertrófica Septo interventricular assimétrico.
  • 111.
    Hipertrofia concêntrica do ventrículo esquerdo
  • 112.
    Cardiomiopatia Hipertrófica Dispnéia EAP Arritmias ventriculares Aumento da pressão e tamanho do átrio E Restrição Diminuição do Angina Hipertrofia diastólica volume sistólico Síncope septal Tontura Fadiga Arritmia Angustiamento variável da via Obstrução M.A.S. de saída dinâmica Mitral
  • 113.
    Cardiomiopatia Hipertrófica Diagnóstico RXTX: .ICT normal ou aumentado (HVE) . Aumento de AE . Botão aórtico pequeno
  • 114.
    Cardiomiopatia Hipertrófica Diagnóstico ECG: HipertrofiaVE (50%) . Ondas Q patológicas em paredes inferior e lateral . Arritmias (fibrilação atrial, ventriculares) HOLTER: Avalia presença de arritmias
  • 115.
    Cardiomiopatia Hipertrófica Diagnóstico Ecocardiograma –avalia o grau e a localização da hipertrofia - relação septo parede > 1,3 a 1,5 - movimento anterior da valva mitral ; Relação com insuficiencia mitral - determina a presença de obstrução dinâmica à ejeção ventricular, o que permite classificar a doença em duas formas fisiopatológicas fundamentais: 1- Obstrutiva – cerca de 25% do casos gradiente sistólico máx. acima de 30mmHg, em condições de repouso. 2- Não-Obstrutiva
  • 116.
    Cardiomiopatia Hipertrófica Tratamento Objetivos- Aliviar os sintomas e melhorar qualidade de vida Retardar a progressão da doença Reduzir o risco de morte súbita
  • 117.
    Cardiomiopatia Hipertrófica Fatores preditoresde Morte Súbita na CMH:  Parada cardiorespiratória recuperada  Taquicardia Ventricular Sustentada  Síncope Recorrente  Taquicardia ventricular não-sustentada  Genótipo de risco ou de morte súbita em dois ou mais parentes de primeiro grau  Jovens  Hipertrofia ventricular acima de 30 mm, principalmente em jovens  Resposta hipotensora ao exercício
  • 118.
    Cardiomiopatia Hipertrófica Tratamento SintomasObstrutivos: β-Bloqueador Sintomas não-obstrutivos: Verapamil ou β-Bloqueador Amiodarona na FA Disopiramida * Sintomas refratários à terapia Farmacológica: Miectomia Alcoolização do SIV
  • 119.
    Cardiomiopatia Hipertrófica Tratamento - Estratégias Risco de Assintomáticos Sintomáticos Morte Súbita Β-Bloqueador Sem Com Desfibrilador Verapamil Obstrução Obstrução Implantável Amiodarona Disopiramida Sem Β-Bloqueador Resposta Refratários Medicação Favorável à medicação Sem Com Obstrução Obstrução Marcapasso Oclusão Art. Septal Transplante Miectomia Septal Cardíaco Arteaga E, Araújo AQ.Rev Soc Cardiol Estado de São Paulo 2003; 13 (4):499-508.
  • 120.
    Cardiomiopatia Hipertrófica Tratamento Eugene Braunwald. N Engl J Med 2002, Vol. 347(17)
  • 121.
    Cardiomiopatia Hipertrófica Tratamento Arteaga E, Araújo AQ.Rev Soc Cardiol Estado de São Paulo 2003; 13 (4):499-508.
  • 122.
    Apresentação Clínica Cardiomiopatia Cardiomiopatia Dilatada Hipertrófica Fração de ejeção < 30% > 60% (VN > 55%) Dimensão diastólica de VE ≥ 60mm Frequentemente diminuída (VN <55mm) Espessura Parietal VE Diminuída Acentuadamente aumentada Tamanho de Átrio Aumentado Aumentado Insuficiência Valvar Insuf. Mitral → Insuf. Insuficiência Mitral Tricúspide Primeiros Sintomas Comuns Intolerância ao esforço Intolerância ao esforço Pode ter dor torácica Sintomas Congestivos Esquerdo antes do direito Dispnéia primária aos esforços Risco de arritmias Taquiarritmia ventricular Taquiarritmia ventricular Bloqueio de Condução Fibrilação Atrial Fibrilação Atrial Cecil Textbook of Medicine
  • 123.
  • 124.
    Cardiomiopatia Restritiva Doença deocorrência rara – é a menos freqüente das três categorias Resultam da deposição de substâncias anormais no miocárdio, seja predominantemente entre os miócitos (doenças infiltrativas), seja por depósito de substâncias anormais dentro dos miócitos (doenças de armazenamento) Tem como principal característica a diminuição da distensibilidade miocárdica (disfunção diastólica), mas também apresentam algum grau de depressão da contratilidade e redução da FE ( disfunção sistólica)
  • 125.
    Cardiomiopatia Restritiva Infiltrativas: Amiloidose,Sarcoidose, Doença de Gaucher (macrófagos carregados de glicocerebrosídeos) Doença de Hurler (macrófagos carregados de mucopolissacarídeos) Armazenamento: Hemocromatose Doença de Fabry Doença do armazanamento da glicose. Idiopáticas Fibróticas: Doxirrubicina, Radiação e esclerodermia Endomiocárdicas: Fibrose endomiocárdica tropical Síndrome hipereosinofílica (Endocardite de Loffler) Síndrome Carcinóide Radiação
  • 126.
    Hemocromatose: Miocardiopatia restritiva Microscopia, coloração pelo azul da Prússia. Excessivo depósito de ferro, levando ao aumento do coração e, à falência cardíaca.
  • 127.
    Amiloidose Primária do Coração 1 1- ECG: . Complexos QRS de baixa voltagem . Ondas T achatadas 2- Microscopia: Miocardiopatia Restritiva a) Depósito focal de material 2 amilóide a b b) Depósitos amilóides perivasculares no miocárdio
  • 128.
    Miocardiopatia restritiva: Amiloidose Depósitoamorfo de material rosa pálido entre os miócitos.
  • 129.
    Cardiomiopatia Restritiva Aumento de Câmaras Déficit de relaxamento Pressão diastólica Atrias , com dimensões Pressão Atrial ventricular final dos ventrículos ventriculares normais (Apresentação Clássica) Preservação da FE até fases avançadas da doença quando ocorre algum grau de dilatação
  • 130.
    Cardiomiopatia Restritiva Aumento de Câmaras Déficit de relaxamento Pressão diastólica Atrias , com dimensões Pressão Atrial ventricular final dos ventrículos ventriculares normais (Apresentação Clássica) Relativa preservação da FE Anormalidades no enchimento ventricular com B4 pronunciada até fases avançadas Sintomas Congestivos (direita) – estase jugular, hepatomegalia, da doença quando ocorre algum grau de ascite, edema periférico dilatação
  • 131.
    Cardiomiopatia Restritiva Cardiomiopatia Amilóide Rodney H. Falk. Circulation 2005;112;2047-2060
  • 132.
    Cardiomiopatia Restritiva Cardiomiopatia Amilóide Rodney H. Falk. Circulation 2005;112;2047-2060
  • 133.
    Cardiomiopatia Restritiva Um importantediagnóstico diferencial das cardiomiopatias restritivas são as pericardites constritivas.
  • 134.
    Apresentação Cardiomiopatia Cardiomiopatia Cardiomiopatia Clínica Dilatada Hipertrófica Restritiva Fração de ejeção < 30% > 60% 25-50% (VN > 55%) Dimensão diastólica de VE ≥ 60mm Frequentemente < 60 mm (VN <55mm) diminuída Espessura Parietal VE Diminuída Acentuadamente Normal ou Aumentada aumentada Tamanho de Átrio Aumentado Aumentado Aumentada Insuficiência Valvar Insuf. Mitral → Insuf. Insuficiência Mitral raramente graves Tricúspide Primeiros Sintomas Intolerância ao esforço Intolerância ao esforço Intolerância ao esforço Comuns Pode ter dor torácica Retenção hídrica Sintomas Congestivos Esquerdo antes do direito Dispnéia primária aos Direito frequentemente esforços excede o esquerdo Risco de arritmias Taquiarritmia ventricular Taquiarritmia ventricular Taquiarritmia ventricular Bloqueio de Condução Fibrilação Atrial é incomum exceto na Fibrilação Atrial sarcoidose; Bloqueio de Condução na sarcoidose e na amiloidose; Fibrilação Atrial Cecil Textbook of Medicine