Erion Junior de Andrade
R1 NEUROCIRURGIA - UNICAMP
Hemorragia Intraventricular:
Hemorragia intraventricular primária (IVH) se refere ao
sangramento confinado no sistema ventricular cerebral.
1. Definição:
Darby et al Neurology 1988; 38:68.
• IVH primária é incomum: 3% hemorragias cerebrais
espontaneas
• Idade média 55 anos
• Não existe predileção por sexo
• Metade dos paciente com IVH tem histórico de HAS.
.
2. Epidemiologia
• Malformações vasculares são a causa mais comum de
IVH.
Flint AC. Neurocrit Care 2008
Hanley DF.. Stroke 2009
Outras causas:
• Tumores intraventriculares (papilloma, neurocytoma,
meningioma, metastases, astrocytoma, ependimomas)
• Aneurismas Intraventriculares – artérias
lenticuloestriadas ou coroidéias (ocasionalmente
associados com Dça de Moyamoya)
3. Fatores etiológicos
• Moyamoya
• Coagulopatias, adquiridas ou herdadas
• Apoplexia hipofisária
• Vasculites
• Displasia Fibromuscular
• abuso de drogas simpaticomimeticas
3. Fatores etiológicos
Hanley DF. Intraventricular hemorrhage: severity factor and treatment
target in spontaneous intracerebral hemorrhage. Stroke 2009;
• Cefaléia súbita, frequentemente associada com
náusea, vomitos e alteração da consciencia.
• 25% dos pacientes apresentam sintomas flutuantes.
• Achados neurológicos focais?
• Hipertensão, febre ou arritmias cardíacas.
3. Quadro clínico:
• COMPLICAÇÕES:
1) Hidrocefalia obstrutiva: pp se terceiro ou quarto
ventriculo é acometido.
2) Recorrencia da hemorragia ou aumento da extensão da
hemorragia.
3) Vasosespasmo com isquemia é incomum.
3. Quadro clínico:
Inamasu J et al. Am J Emerg Med 2001
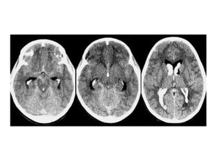
• TC sem contraste 
Deve-se avaliar cuidadosamente as regiões
periventriculares (núcleo caudado e tálamo em
particular), para excluir que um AVCh tenha rompido em
direção aos ventrículos
• RNM?
• Angiografia?
4. Diagnóstico
Flint AC,Neurocrit Care 2008.
Score Graeb
4. Diagnóstico
O Tratamento da IVH tem como focos:
• Parada do sangramento
• Aliviar hidrocefalia
• Controlar a PIC.
Pacientes com IVH moderada a severa (rebaixamento de
consciencia com GCS<8) devem ser manejados em UTI.
• Euvolemia deve ser mantida utilizando soluções cristalóides.
• Manejo da hipertensão arterial.
5. Manejo Inicial
6. Manejo cirúrgico
• Drenagem Venticular Externa (DVE):
• Indicada para pacientes com hidrocefalia com
diminuição do nível de consciencia.
Nível 1B
6. Manejo cirúrgico
• Trombólise Intraventricular:
• Teoricamente acelera a resolução do coágulo, diminuindo
problemas como oclusão do cateter e diminuindo o tempo de
uso da DVE.
• Alguns estudos suportam que IVT reduz mortalidade em
comparação a controles não randomizados ou retrospectivos.
• Recomendação: Uso restrito a pacientes com IVH primária,
realizada em centros com experiência e protocolo
estabelecido.
6. Manejo cirúrgico
6. Manejo cirúrgico
• Abordagem Neuroendovascular:
6. Manejo cirúrgico
Terçeiro ventriculostomia Endoscópica:
7. Fatores prognósticos
• Mortalidade entre 20 e 50%,
• Score de Graeb
Atzema C J Trauma 2006;
Angelopoulos M, Surg Neurol 1995;
8. Referencias
• Darby et al Neurology 1988; 38:68.
• Flint AC, Roebken A, Singh V. Primary intraventricular hemorrhage: yield of diagnostic
angiography and clinical outcome. Neurocrit Care 2008; 8:330.
• Hanley DF. Intraventricular hemorrhage: severity factor and treatment target in spontaneous
intracerebral hemorrhage. Stroke 2009; 40:1533.
• Nyquist P, Hanley DF. The use of intraventricular thrombolytics in intraventricular
hemorrhage. J Neurol Sci 2007; 261:84.
• Biffi A, Battey TW, Ayres AM, et al. Warfarin-related intraventricular hemorrhage: imaging
and outcome. Neurology 2011; 77:1840.
• LeRoux PD, Haglund MM, Newell DW, et al. Intraventricular hemorrhage in blunt head
trauma: an analysis of 43 cases. Neurosurgery 1992; 31:678.
• Inamasu J, Hori S, Aikawa N. Traumatic intraventricular hemorrhage causing talk and
deteriorate syndrome. Am J Emerg Med 2001; 19:167.
• Atzema C, Mower WR, Hoffman JR, et al. Prevalence and prognosis of traumatic
intraventricular hemorrhage in patients with blunt head trauma. J Trauma 2006; 60:1010.
• Angelopoulos M, Gupta SR, Azat Kia B. Primary intraventricular hemorrhage in adults: clinical
features, risk factors, and outcome. Surg Neurol 1995; 44:433.
Erion Junior de Andrade
R1 NEUROCIRURGIA - UNICAMP
Hemorragia subependimal
• Forma mais comum da lesão cerebral no
prematuro
1. Introdução:
GMH/IVH :-
Em que pacientes suspeitar?
• Peso ao nascer < 1500g
• Idade gestacional < 32 sem
• Asfixia perinatal
• Convulsões
• Malformações
• Aumento do Perímetro Cefálico
1. Definição:
GMH/IVH :-
INCIDÊNCIA:
• Relacionada com o grau de
prematuridade;
• Aumento de sobrevida nos RN <
1000g
<34 semanas: 11,6%
<32 semanas: 10 a 25% (Inder, 2006)
# RN entre 500-750g: 45% (Wilson-
Costello,2005)
<34 semanas: 11,6%
1. Definição:
GMH/IVH :-
Local sangramento:
Matriz germinativa subependimária ( abundante
angiogênese; imaturidade da lâmina basal)
Fonte de Neuroblastos (10 -20a
sem)
Astrócitos e oligodendróglios ( 3o
T)
- 2,5 mm: 23-24 sem
- 1,4mm: 32 sem
- Involução completa 36 sem.
* RN próximos termo: plexo coróide e na matriz
germinativa residual
2. Neuropatologia:
GMH/IVH :-
FATORES ETIOLÓGICOS:
Distribuição do FSC :
24 - 32 sem : proeminência do suprimento vascular a
MG
Flutuação do FSC : deficiente auto-regulação:
Causa: Hipercapnia (>=55mmHg), acidose láctica, asfixia
perinatal grave, Prostaglandinas
Aumento da pressão venosa:
Anatomia da drenagem venosa na região da MG (forma de
U)
FLUXO VENOSO DEFICIENTE
2. Neuropatologia:
GMH/IVH :-
2. Neuropatologia:
GMH/IVH :-
1. Destruição da matriz germinativa
2. Infarto hemorrágico periventricular: até
15%, infarto venoso, lesões assimétricas.
1. Hidrocefalia
Volpe,1989;Inder,2006, Vasileiades, 2004
3. Consequências:
4. Aspectos clínicos:
ASPECTOS CLÍNICOS:
– TEMPO DE OCORRÊNCIA:
• 90% ocorre nos 1os 3-4 dias
• Idade média do inicio: 38 h
HEMORRAGIA SILENCIOSA : 78%
Queda inexplicável do Ht
4. Aspectos clínicos:
Apresentação clínica é variável:
• Assintomática
• Oligossintomática (eg, a bulging fontanelle, a sudden
drop in hematocrit, apnea, bradycardia, acidosis,
seizures, and changes in muscle tone or level of
consciousness).
• Síndrome catastrófica é caracterizada por
desenvolvimento agudo de estupor ou coma,
anormalidades respiratórias, convulsões, postura
descerebração, quadriparesia flácida.
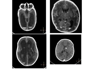
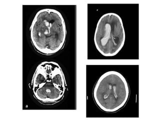
5. Diagnóstico:
RECONHECIMENTO DO RN DE RISCO ( PT <32 sem na UTI )
– USG;
• 3º dia de vida
• 7 º dia de vida
– GRADUAÇÃO DA SEVERIDADE
• Hemorragia na MG
• Hemorragia intra-ventricular sem DV
• Hemorragia intra-ventricular com DV
• Ecodensidade periventricular
LEUCOMALÁCIA
PERIVENTRICULAR
(SIMÉTRICO)
Volpe,1989 Papile e cl, 1978
INFARTO HEMORRÁGICO
PERIVENTRICULAR
(ASSIMÉTRICO)
5. Diagnóstico:
Volpe,1989 Papile e cl, 1978
Grading system Severity of GMH/1VH Description of findings
Papile I Isolated GMH (no IVH)
II IVH without ventricular dilatation
III IVH with ventricular dilatation
IV IVH with parenchymal hemorrhage
5. Diagnóstico:
Volpe,1989 Papile e cl, 1978
5. Diagnóstico:
Volpe,1989 Papile e cl, 1978
5. Diagnóstico:
Volpe,1989 Papile e cl, 1978
5. Diagnóstico:
Volpe,1989 Papile e cl, 1978
5. Diagnóstico:
Volpe,1989 Papile e cl, 1978
5. Diagnóstico:
Volpe,1989 Papile e cl, 1978
5. Diagnóstico:
Volpe,1989 Papile e cl, 1978
5. Diagnóstico:
Volpe,1989 Papile e cl, 1978
• 1. General supportive care to maintain a
normal blood volume and a stable acid-base
status.
• 2. Avoid fluctuations of arterial and venous
blood pressures.
• 3. Follow-up serial imaging (ultrasonography
or CT scanning) to detect progressive
hydrocephalus.
6. Tratamento:
– DILATAÇÃO VENTRICULAR RAPIDAMENTE
PROGRESSIVA
aumento ventricular severo / PIC
( disfunção nas suturas / abaulamento fontanelas)
+ diâmetro ventricular pela US:
( plano sagital ): > 15 mm
+ PC > 2 cm / semana
Volpe,1995
Marba,1998
7. Complicações:
Volpe,1995
Marba,1998
Dilatação Ventricular rapidamente progressiva
Descompressão Ventricular
DVE DVP
RN pequeno RN em melhores condições
Sangue nos ventrículos
Dilatação ventricular estável
Parada do Crescimento Ventricular
Seguimento por um ano
7. Complicações:
Hemorragia intraventricular e Hemorragia Subependimal
Hemorragia intraventricular e Hemorragia Subependimal
Hemorragia intraventricular e Hemorragia Subependimal

Hemorragia intraventricular e Hemorragia Subependimal

  • 1.
    Erion Junior deAndrade R1 NEUROCIRURGIA - UNICAMP Hemorragia Intraventricular:
  • 2.
    Hemorragia intraventricular primária(IVH) se refere ao sangramento confinado no sistema ventricular cerebral. 1. Definição: Darby et al Neurology 1988; 38:68.
  • 3.
    • IVH primáriaé incomum: 3% hemorragias cerebrais espontaneas • Idade média 55 anos • Não existe predileção por sexo • Metade dos paciente com IVH tem histórico de HAS. . 2. Epidemiologia
  • 4.
    • Malformações vascularessão a causa mais comum de IVH. Flint AC. Neurocrit Care 2008 Hanley DF.. Stroke 2009 Outras causas: • Tumores intraventriculares (papilloma, neurocytoma, meningioma, metastases, astrocytoma, ependimomas) • Aneurismas Intraventriculares – artérias lenticuloestriadas ou coroidéias (ocasionalmente associados com Dça de Moyamoya) 3. Fatores etiológicos
  • 5.
    • Moyamoya • Coagulopatias,adquiridas ou herdadas • Apoplexia hipofisária • Vasculites • Displasia Fibromuscular • abuso de drogas simpaticomimeticas 3. Fatores etiológicos Hanley DF. Intraventricular hemorrhage: severity factor and treatment target in spontaneous intracerebral hemorrhage. Stroke 2009;
  • 6.
    • Cefaléia súbita,frequentemente associada com náusea, vomitos e alteração da consciencia. • 25% dos pacientes apresentam sintomas flutuantes. • Achados neurológicos focais? • Hipertensão, febre ou arritmias cardíacas. 3. Quadro clínico:
  • 7.
    • COMPLICAÇÕES: 1) Hidrocefaliaobstrutiva: pp se terceiro ou quarto ventriculo é acometido. 2) Recorrencia da hemorragia ou aumento da extensão da hemorragia. 3) Vasosespasmo com isquemia é incomum. 3. Quadro clínico: Inamasu J et al. Am J Emerg Med 2001
  • 8.
    • TC semcontraste  Deve-se avaliar cuidadosamente as regiões periventriculares (núcleo caudado e tálamo em particular), para excluir que um AVCh tenha rompido em direção aos ventrículos • RNM? • Angiografia? 4. Diagnóstico Flint AC,Neurocrit Care 2008.
  • 9.
  • 10.
    O Tratamento daIVH tem como focos: • Parada do sangramento • Aliviar hidrocefalia • Controlar a PIC. Pacientes com IVH moderada a severa (rebaixamento de consciencia com GCS<8) devem ser manejados em UTI. • Euvolemia deve ser mantida utilizando soluções cristalóides. • Manejo da hipertensão arterial. 5. Manejo Inicial
  • 11.
    6. Manejo cirúrgico •Drenagem Venticular Externa (DVE): • Indicada para pacientes com hidrocefalia com diminuição do nível de consciencia. Nível 1B
  • 12.
    6. Manejo cirúrgico •Trombólise Intraventricular: • Teoricamente acelera a resolução do coágulo, diminuindo problemas como oclusão do cateter e diminuindo o tempo de uso da DVE. • Alguns estudos suportam que IVT reduz mortalidade em comparação a controles não randomizados ou retrospectivos. • Recomendação: Uso restrito a pacientes com IVH primária, realizada em centros com experiência e protocolo estabelecido.
  • 13.
  • 14.
    6. Manejo cirúrgico •Abordagem Neuroendovascular:
  • 15.
    6. Manejo cirúrgico Terçeiroventriculostomia Endoscópica:
  • 16.
    7. Fatores prognósticos •Mortalidade entre 20 e 50%, • Score de Graeb Atzema C J Trauma 2006; Angelopoulos M, Surg Neurol 1995;
  • 17.
    8. Referencias • Darbyet al Neurology 1988; 38:68. • Flint AC, Roebken A, Singh V. Primary intraventricular hemorrhage: yield of diagnostic angiography and clinical outcome. Neurocrit Care 2008; 8:330. • Hanley DF. Intraventricular hemorrhage: severity factor and treatment target in spontaneous intracerebral hemorrhage. Stroke 2009; 40:1533. • Nyquist P, Hanley DF. The use of intraventricular thrombolytics in intraventricular hemorrhage. J Neurol Sci 2007; 261:84. • Biffi A, Battey TW, Ayres AM, et al. Warfarin-related intraventricular hemorrhage: imaging and outcome. Neurology 2011; 77:1840. • LeRoux PD, Haglund MM, Newell DW, et al. Intraventricular hemorrhage in blunt head trauma: an analysis of 43 cases. Neurosurgery 1992; 31:678. • Inamasu J, Hori S, Aikawa N. Traumatic intraventricular hemorrhage causing talk and deteriorate syndrome. Am J Emerg Med 2001; 19:167. • Atzema C, Mower WR, Hoffman JR, et al. Prevalence and prognosis of traumatic intraventricular hemorrhage in patients with blunt head trauma. J Trauma 2006; 60:1010. • Angelopoulos M, Gupta SR, Azat Kia B. Primary intraventricular hemorrhage in adults: clinical features, risk factors, and outcome. Surg Neurol 1995; 44:433.
  • 18.
    Erion Junior deAndrade R1 NEUROCIRURGIA - UNICAMP Hemorragia subependimal
  • 19.
    • Forma maiscomum da lesão cerebral no prematuro 1. Introdução:
  • 20.
    GMH/IVH :- Em quepacientes suspeitar? • Peso ao nascer < 1500g • Idade gestacional < 32 sem • Asfixia perinatal • Convulsões • Malformações • Aumento do Perímetro Cefálico 1. Definição:
  • 21.
    GMH/IVH :- INCIDÊNCIA: • Relacionadacom o grau de prematuridade; • Aumento de sobrevida nos RN < 1000g <34 semanas: 11,6% <32 semanas: 10 a 25% (Inder, 2006) # RN entre 500-750g: 45% (Wilson- Costello,2005) <34 semanas: 11,6% 1. Definição:
  • 22.
    GMH/IVH :- Local sangramento: Matrizgerminativa subependimária ( abundante angiogênese; imaturidade da lâmina basal) Fonte de Neuroblastos (10 -20a sem) Astrócitos e oligodendróglios ( 3o T) - 2,5 mm: 23-24 sem - 1,4mm: 32 sem - Involução completa 36 sem. * RN próximos termo: plexo coróide e na matriz germinativa residual 2. Neuropatologia:
  • 23.
    GMH/IVH :- FATORES ETIOLÓGICOS: Distribuiçãodo FSC : 24 - 32 sem : proeminência do suprimento vascular a MG Flutuação do FSC : deficiente auto-regulação: Causa: Hipercapnia (>=55mmHg), acidose láctica, asfixia perinatal grave, Prostaglandinas Aumento da pressão venosa: Anatomia da drenagem venosa na região da MG (forma de U) FLUXO VENOSO DEFICIENTE 2. Neuropatologia:
  • 24.
  • 25.
    GMH/IVH :- 1. Destruiçãoda matriz germinativa 2. Infarto hemorrágico periventricular: até 15%, infarto venoso, lesões assimétricas. 1. Hidrocefalia Volpe,1989;Inder,2006, Vasileiades, 2004 3. Consequências:
  • 26.
    4. Aspectos clínicos: ASPECTOSCLÍNICOS: – TEMPO DE OCORRÊNCIA: • 90% ocorre nos 1os 3-4 dias • Idade média do inicio: 38 h HEMORRAGIA SILENCIOSA : 78% Queda inexplicável do Ht
  • 27.
    4. Aspectos clínicos: Apresentaçãoclínica é variável: • Assintomática • Oligossintomática (eg, a bulging fontanelle, a sudden drop in hematocrit, apnea, bradycardia, acidosis, seizures, and changes in muscle tone or level of consciousness). • Síndrome catastrófica é caracterizada por desenvolvimento agudo de estupor ou coma, anormalidades respiratórias, convulsões, postura descerebração, quadriparesia flácida.
  • 28.
    5. Diagnóstico: RECONHECIMENTO DORN DE RISCO ( PT <32 sem na UTI ) – USG; • 3º dia de vida • 7 º dia de vida – GRADUAÇÃO DA SEVERIDADE • Hemorragia na MG • Hemorragia intra-ventricular sem DV • Hemorragia intra-ventricular com DV • Ecodensidade periventricular LEUCOMALÁCIA PERIVENTRICULAR (SIMÉTRICO) Volpe,1989 Papile e cl, 1978 INFARTO HEMORRÁGICO PERIVENTRICULAR (ASSIMÉTRICO)
  • 29.
    5. Diagnóstico: Volpe,1989 Papilee cl, 1978 Grading system Severity of GMH/1VH Description of findings Papile I Isolated GMH (no IVH) II IVH without ventricular dilatation III IVH with ventricular dilatation IV IVH with parenchymal hemorrhage
  • 30.
  • 31.
  • 32.
  • 33.
  • 34.
  • 35.
  • 36.
  • 37.
  • 38.
    • 1. Generalsupportive care to maintain a normal blood volume and a stable acid-base status. • 2. Avoid fluctuations of arterial and venous blood pressures. • 3. Follow-up serial imaging (ultrasonography or CT scanning) to detect progressive hydrocephalus. 6. Tratamento:
  • 39.
    – DILATAÇÃO VENTRICULARRAPIDAMENTE PROGRESSIVA aumento ventricular severo / PIC ( disfunção nas suturas / abaulamento fontanelas) + diâmetro ventricular pela US: ( plano sagital ): > 15 mm + PC > 2 cm / semana Volpe,1995 Marba,1998 7. Complicações:
  • 40.
    Volpe,1995 Marba,1998 Dilatação Ventricular rapidamenteprogressiva Descompressão Ventricular DVE DVP RN pequeno RN em melhores condições Sangue nos ventrículos Dilatação ventricular estável Parada do Crescimento Ventricular Seguimento por um ano 7. Complicações: