FÍGADO
- DIAGNÓSTICO POR IMAGEM




    UNIVERSIDADE FEDERAL DE SANTA MARIA
        CENTRO DE CIÊNCIAS DA SAÚDE
      DEPARTAMENTO DE CLÍNICA MÉDICA
         DIAGNÓSTICO POR IMAGEM
                PROF. CARLOS JESUS
FÍGADO
FÍGADO
FÍGADO
FÍGADO
FÍGADO
FÍGADO
- Segmentação de Couinaud
FÍGADO
- Segmentação de Couinaud
FÍGADO
FÍGADO
FÍGADO
FÍGADO
FÍGADO
FÍGADO
FÍGADO
FÍGADO
• RX

• US

• TC

• RM

• PET - CT
FÍGADO

• Duplo suprimento sangüíneo.

  – 70% veia Porta
  – 30% artéria Hepática
FÍGADO TC
•   Sem          contraste

•   Arterial     20-30 segundos

•   Portal       60-70 segundos

•   Equilíbrio   3 minutos
FÍGADO RM
• T2 FSE

• T1 GRE
  – Em fase
  – Fora de fase

• Contraste
  – Arterial
  – Portal
  – Equilíbrio
FÍGADO
• CLASSIFICAÇÕES

            FOCAL               DIFUSA

          NEOPLÁSICA        NÃO NEOPLÁSICA

          INFECCIOSA        NÃO INFECCIOSA

           BENIGNA              MALIGNA
Pseudolesões hepáticas na TC helicoidal:
FÍGADO
• LESÕES FOCAIS
FÍGADO
• LESÕES FOCAIS
FÍGADO
• LESÕES FOCAIS
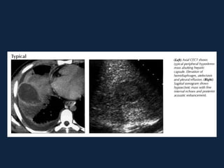
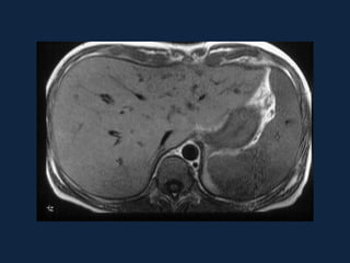
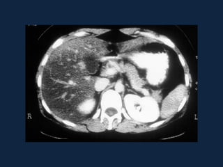
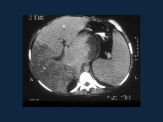
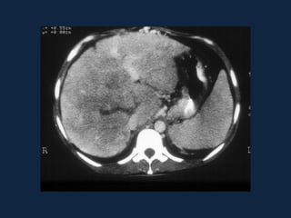
Hemangioma
►Tumor hepático benigno mais comum (5-20% pop.).
►♀ > ♂, no período pós-menopáusico.
►Estruturalmente, consistem de canais vasculares
 interconectados em meio a estroma fibroblástico.
 São alimentados por ramos da artéria hepática, e sua
 circulação interna é lenta.
►Pode ser do tipo capilar ou do tipo cavernoso.
►Assintomáticos.
►Geralmente solitário, de localização subcapsular e
 em regiões posteriores do lobo direito.
Hemangioma
► s/c: Lesões bem definidas, lobuladas, hipodensas ao parênquima e
  isodensas aos vasos intra-hepáticos.
► c/c: (aspecto típico em lesões 2-10cm):
 Fase arterial: Realce periférico nodular e descontínuo, com áreas
  nodulares ou globuliforme, da periferia para o centro da lesão. Centrípeto.
 Fase portal: Realce progressivo e centrípeto (da periferia para o centro).
 Fase tardia: Ocorre o preenchimento completo e homogêneo da lesão, com
  realce persistente.
► Tempo de enchimento completo depende do tamanho da lesão
► Lesões pequenas (<2cm): enchimento completo rápido
► Lesões grandes (>10cm): preenchimento incompleto da lesão (presença
  de trombos, áreas de fibrose e/ou necrose).
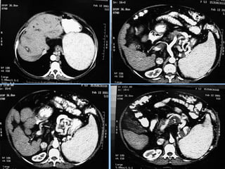
Hemangioma
 Fase art.      Fase portal    Fase tardia
Hemangioma
 S/C              Fase art.




 Fase portal      Fase tardia
Hemangioma

 S/C      Fase art.    Fase tardia
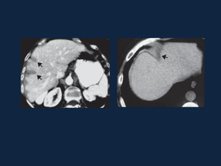
Hiperplasia Nodular Focal
► 2º tumor hepático benigno mais comum
► Resposta hepática hiperplásica (Proliferação de hepatócitos,
  células de Kupffer, ductos biliares primitivos e vasos
  sanguíneos) a uma anormalidade vascular local.
► ♀ de meia-idade
► NÃO relacionada a ACO, embora este tenha um efeito trófico
► Geralmente solitária (80%), menores que 5 cm, de localização
  subcapsular e no lobo direito (2:1).
► Assintomática.
Hiperplasia Nodular Focal
► s/c: lesão bem delimitada, homogênea isodensa ou
  discretamente hipodensa.
► c/c: realce intenso, precoce e fugaz.


   – Fase arterial: acentuado realce homogêneo, exceto pela cicatriz
     central.
   – Fase portal: hipo ou isodensa ao parênquima hepático. Início do
     realce da cicatriz.
   – Fase tardia: isodensa ao parênquima hepático, com realce da
     cicatriz.
Hiperplasia Nodular Focal
 Fase art.    Fase portal    Fase tardia
Hiperplasia Nodular Focal
 S/C            Fase art.




 Fase portal    Fase tardia
Hiperplasia Nodular Focal
Adenoma Hepático
► ♀ (90%) em idade fértil
► Associação com uso de ACO, anabolizantes e na doença de
  depósito de glicogênio (não ocorre em homens, exceto em
  associação com as duas últimas condições).
► Assintomático, porém sangra com freqüência. Complicações:
  hemorragia (intra-hepática ou intra-peritoneal) e
  transformação maligna (>10cm).
► Gravidez aumenta a taxa de crescimento tumoral e de
  ruptura.
► Pode conter tecido necrótico e gorduroso.
► Geralmente solitário, > 5cm, localizado em regiões
  subcapsulares e no lobo direito (75%)
Adenoma Hepático
► s/c: Massa esférica, iso ou hipodensa (devido ao conteúdo lipídico).

      Hemorragia: áreas hiperatenuantes intra-tumorais, parenquimatosas
   ou subcapsulares.

         Pode haver gordura ou calcificações.

► c/c:

    – Fase Arterial: Realce intenso (< q na HNF) e heterogêneo

    – Fase Portal: Diminuição da atenuação e da heterogeneidade do realce.

    – Fase Tardia: Isodenso ao parênquima. Realce não persiste.
Adenoma Hepático
Adenoma Hepático
 Fase art.    Fase portal    Fase tardia
Adenoma Hepático
 S/C                Fase arterial




 Fase portal        Fase tardia
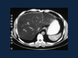
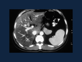
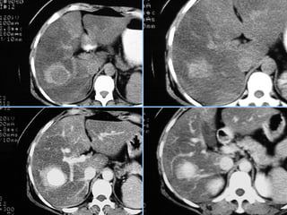
Cistos Simples
► Lesões comuns (5-14% população)
► Solitários (mais frequente) ou múltiplos (mais que 10, doença
  policística deve ser considerada)
► Originam-se do epitélio do ducto biliar, sendo revestidos por
  camada única de epitélio cúbico
► ♀s (5:1)
► Assintomáticos
► Complicações: infecção ou sangramento
Cistos Simples

►Contornos bem definidos

►Atenuação baixa (semelhante a água, <20 UH)

►Sem realce ao meio de contraste

►Pode haver calcificação na parede do cisto

►Não há septações ou nodularidade mural
Cistos Simples




    Fase portal
Cistos Simples
Doença policística
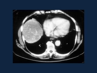
Abscessos Piogênicos
► Coleção localizada de pus no parênquima       hepático
  devido a uma infecção bacteriana.
► Origem:
    Infecções intestinais com disseminação hematogênica
     secundária (diverticulite)
    Infecções de vias biliares (colangite)
    Extensão direta (vesícula biliar , rim direito...)
    Gram negativos e anaeróbios
► QC: paciente de meia idade a idoso com febre,
  desconforto abdominal, hepatomegalia, leucocitose
► Icterícia (40%)
Abscessos Piogênicos
►s/c: Lesão grosseiramente arredondada, hipodensa
 (0-45 HU), podendo conter septações e gás (sinal
 específico, presente em menos de 20% dos casos).
 Pode haver nível ar-fluido e fluido-debris.
►Realce anelar e/ou das        septações   após   a
 administração do contraste.
►Pode haver derrame pleural e atelectasia de lobo
 inferior direito.
Abscessos Piogênicos




 S/C                 Fase portal
Abscessos Piogênicos




 Fase arterial         Fase portal
Abscessos Piogênicos




       Fase tardia
Abscesso Amebiano
► Entamoeba histolytica
► Endêmico em países de clima tropical
► ♂ de meia idade
► Secundário à infecção do cólon (sítio extra-intestinal mais comum)
► Lesão geralmente única, periférica, >3 cm, sendo o lobo direito
  mais frequentemente acometido (72%)
► Complicações: Abscesso subfrênico ou subhepático, fístulas com
  pleura e pericárdio, rotura para cavidade peritoneal
Abscesso Amebiano
►Lesão hipodensa, redonda ou oval, unilocular e
  de localização periférica
►Septações internas (30%)
►Não há gás
►Contraste: realce periférico da lesão.
Abscesso Amebiano




   Fase arterial
Abscesso Amebiano




      Fase arterial
FÍGADO
• LESÕES DIFUSAS
FÍGADO
• LESÕES DIFUSAS
FÍGADO
• LESÕES DIFUSAS
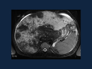
Padrões das doenças hepáticas difusas




Distribuição homogênea     Distribuição segmentar




 Distribuição nodular      Distribuição perivascular
Distribuição Homogênea
• Sobrecarga de ferro
  – Hemocromatose
  – Hemossiderose
• Esteatose hepática
Distribuição homogênea
                                  TC
• Sobrecarga de ferro
  – Hemocromatose
     •  Absorção intestinal
     •  Função SRE
     • Depósito de Fe em
       hepatócitos
     • TC: SC; Hiper                   T1

         – Não específico
     • RNM:  sinal (T1 e T2)
         – Efeito paramagnético
         – T2 (gradient echo)

                                            *
HEMOCROMATOSE
Distribuição Homogênea
• Hemossiderose
  – Anemias hemolíticas     T2

    ou Transfusões
  – Depósito no SER
  – Envolve, também, baço
    e medula óssea
Distribuição Homogênea
                                     T2
• Sobrecarga de ferro
   – Diagnóstico
       • Sinais e sintomas
         inespecíficos
            – Função hepática 
            – Diabetes
            – Artrite                          *
       • Laboratório (“screening”)
            – Transferrina                T2
            – Ferritina
       • Confirmação
            – Biópsia
            – RNM (diagnóstico,
              quantificação e
              detecção de
              complicações)
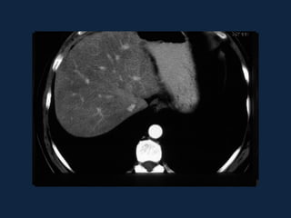
Distribuição Homogênea
• Esteatose hepática difusa
   – Achado frequente
   – Diagnóstico fácil
   – Triglicérides em
     hepatócitos
   – Atenção!
      • Esteatose focal
      • Áreas preservadas
Distribuição Homogênea
                              T1


• Esteatose difusa
   – RNM T1
      • “em-fase”
      • “fora-de-fase”
      • Comparar com medula
        óssea

                                   T1
FORA DE FASE
EM FASE
ESTEATOSE
          DIFICULDADES DIAGNÓSTICAS

• Focal

• Parênquima preservado

• Variações vasculares

• Multinodular
ESTEATOSE HEPÁTICA
               ACENTUADA
• Ocorre uma diminuição na eficácia da TC de
  identificar lesões focais hepáticas.

• Pode ocorrer uma inversão no padrão visual das
  lesões focais, em relação às comparações usuais de
  atenuação feitas com o fígado normal.
ESTEATOSE HEPÁTICA
           MULTINODULAR

• Forma mais rara de esteatose hepática.

• É fundamental a correlação com dados
  clínicos e com estudos de RM para excluir
  doença metastática.
Distribuição Homogênea
• Doença do depósito
  de glicogênio              *
  – US: hiper (=esteatose)
  – TC: hiperdenso
                             *
Distribuição Homogênea
                       T1
• Doença do depósito
  de glicogênio
  – RM
                                T1
     • Sinal  T1           *
     • Sinal  T2
  – Complicação:
      • Adenoma                  Normal




                                     T2
Distribuição segmentar
• Esteatose hepática
• Hepatite sub-aguda
• Fibrose segmentar
Distribuição segmentar
                              TC sem cont.
• Esteatose segmentar
  – Alteração perfusional
     • Perfusão portal
       anormal
         – Veias gástricas
         – Artéria torácica                  Cont. nível VP
     • Segmentar ou lobar
                                                 Trombose
Distribuição segmentar
                                T1 “em fase”
• Esteatose segmentar
  – RM T1 “em-fase” e
    “fora-de-fase”


                        T1 “fora-de-fase”
Distribuição segmentar
                            T1

• Hepatite sub-aguda e
  fibrose segmentar
  – Processo inflamatório
                                       T2
    crônico
  – TC: Hipo
     • contrastação tadia
  – RM: T1 ; T2 
     • Contraste tardio          T1
  – Fibrose focal simula         Pós

    HCC
Distribuição segmentar
• Fibrose X HCC
  – Localização da fibrose:
      • Geralmente seg. medial         T1
                                       Pós
        do lobo esquerdo
      • Contornos bem definidos
        e angulados
  – TC:
      • Sem contraste: hipo
      • Pós contraste:
          – Fibrose: captação tardia
          – HCC: Arterial
  – RM: pouco valor
Distribuição nodular
• Esteatose focal e área
  focal preservada
• Cirrose
    – Nódulos de regeneração
    – Nódulos displásicos
    – HCC
•   Doença metastática
•   Carcinoma hepatocelular
•   Doença de Wilson
•   Doença hamartomatosa
    biliar
• Esteatose focal e área focal preservada

   – Características:
      • 1- Localização
            –   Periligamentosa
            –   Periportal
            –   Leito da vesícula
            –   Seg. medial LE
      •   2- Sem efeito de massa
      •   3- Margens definidas e anguladas
      •   4- Não esférica
      •   5- Não desloca ou distorce vasos
• Cirrose

   – LD fibrótico                T2

   –  regenerativo LE e
     caudado
   – Sinais de hipertensão
     portal
   – Nódulos difusos:
      • Nodulos de regeneração?        Portografia
      • Nódulos displásicos?
      • HCC?
• Nódulos
  regenerativos
                               T2



  – Menor que 3 cm
  – TC:
     • Sem contraste: Iso ou
       hiper
     • Intensificação portal
  – RM:
     • T1:  ou 
     • T2: (Fe)
                                    Portografia
• nódulos displásicos
   – Lesão pré-neoplásica
   – Maior que 3 cm             T2

   – TC:
      • Sem contraste: Iso ou
        hiper
      • Intensificação portal
   – RM:
      • T1: 
      • T2: (Fe)
T1

• Carcinoma
  hepatocelular (HCC)

  – TC:
                                       T2
     • Sem contraste: Hipo
     • Intensificação arterial
  – RM:
     • T1: 
     • T2:                      T1
• Diagnóstico # de nódulos:

  – Nódulos de regeneração:
     •   < 3 cm, T2: (Fe), intensificação portal
  – Nódulos displásicos:
     • > 3 cm, T2: (Fe), intensificação portal
  – HCC:
     • T2: 
     • Intensificação arterial
Distribuição nodular
                                   TC

• Doença de Wilson
  – Depósito de cobre livre
     • Periportal
     •  Ceruloplasmina
     • Sem efeito
       paramagnético          T2
  – Figado, cérebro,
    córnea
  – Diagnóstico clínico
• Doença de Wilson

  – Imagem:
     • Sem achados
       específicos
     • Hepatomegalia,
       esteatose, cirrose

  – TC:

     • Nódulos hiperdensos
  – RNM
     • Nódulos  T2 e  T1
Distribuição perivascular
• Sind. Budd-Chiari

• Congestão hepática
  passiva

• Schistossomose
Distribuição perivascular
• Budd-Chiari

  – Obstrução do fluxo das vv hepáticas
     • Tipo 1
        – VCI
     • Tipo 2
        – VV hepáticas
     • Tipo 3 (Doença veno-oclusiva)
        – Vênulas centrolobulares
     • Causas variadas
        – EX.: Tumoral
Distribuição perivascular
• Budd-Chiari
   – Imagem:
       • Trombo intraluminal
       • Coágulo, tumoral...
            – US: Ecogênico
            – TC: hiperdenso
       • Obstrução do fluxo
            – US Doppler ou angiografia
              (RM, TC)

   – Dados indiretos
       • Colaterais intra-hepáticas
       • Estreitamento de veias
       • Dilatação da v. ázigos
       • Congestão portal e
         colaterais
       • Ascite e derrame pleural
SÍNDROME DE BUDD-CHIARI
• Obstrução da drenagem venosa
  hepática no plano das veias
  hepáticas ou da VCI.

• Associada às síndromes
  mieloproliferativas, trauma, HPN,
  carcinoma hepatocelular, gravidez e
  uso de anticoncepcionais.

• Ascite, hipertrofia do lobo caudado,
  hipertensão portal, aspecto “em
  mosaico” do parênquima hepático.
Distribuição perivascular
• Budd-Chiari
  – Aumento do lobo
    caudado
  – Atrofia do restante do
    parênquima
     • “Compressão
       periférica”
  – Nódulos regenerativos
     •  T1
     • ,  ou  T2
Distribuição perivascular
• Congestão hepática
  passiva
  – Estase venosa
     • Insuficiência
       cardíacacongestiva
     • Pericardite constritiva
     • Obstrução a. pulmonar
  – Evolução para cirrose
CONGESTÃO HEPÁTICA
• Insuficiência cardíaca levando a
  estase na VCI e dificuldade de
  drenagem das veias hepáticas.

• Hepatomegalia, dilatação da VCI
  e das veias hepáticas.

• Aspecto “em mosaico” do
  parênquima hepático que se
  homogeniza tardiamente.

• Ascite.

• Halo periportal.
Distribuição perivascular
• Esquistossomose

   – Fibrose periportal
   – Hipertensão pré-sinusoidal
   – US: Aumento da ecogenicidade
     periportal (“céu estrelado”)

   – TC:
       • SC: Bandas hipodensas
         periportais
       • CC: contrastação tardia

   – RNM:
       • T1: Bandas fibrosas 
       • T2: Bandas fibrosas 
       • Contraste tardio
ESQUISTOSSOMOSE MANSÔNICA
• Intensa reação
  inflamatória que
  resulta em fibrose
  periportal.

• Atrofia do lobo direito,
  hipertrofia do lobo
  esquerdo e
  hipertensão portal.
Fígado 2012
Fígado 2012
Fígado 2012
Fígado 2012
Fígado 2012
Fígado 2012

Fígado 2012

  • 1.
    FÍGADO - DIAGNÓSTICO PORIMAGEM UNIVERSIDADE FEDERAL DE SANTA MARIA CENTRO DE CIÊNCIAS DA SAÚDE DEPARTAMENTO DE CLÍNICA MÉDICA DIAGNÓSTICO POR IMAGEM PROF. CARLOS JESUS
  • 2.
  • 3.
  • 4.
  • 5.
  • 6.
  • 7.
  • 8.
  • 9.
  • 10.
  • 11.
  • 12.
  • 13.
  • 14.
  • 15.
  • 16.
    FÍGADO • RX • US •TC • RM • PET - CT
  • 17.
    FÍGADO • Duplo suprimentosangüíneo. – 70% veia Porta – 30% artéria Hepática
  • 18.
    FÍGADO TC • Sem contraste • Arterial 20-30 segundos • Portal 60-70 segundos • Equilíbrio 3 minutos
  • 19.
    FÍGADO RM • T2FSE • T1 GRE – Em fase – Fora de fase • Contraste – Arterial – Portal – Equilíbrio
  • 20.
    FÍGADO • CLASSIFICAÇÕES FOCAL DIFUSA NEOPLÁSICA NÃO NEOPLÁSICA INFECCIOSA NÃO INFECCIOSA BENIGNA MALIGNA
  • 21.
  • 23.
  • 24.
  • 25.
  • 26.
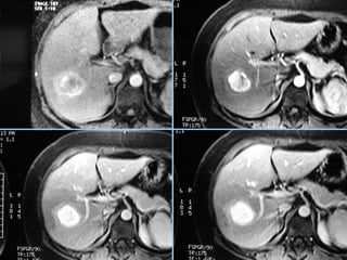
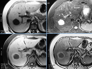
    Hemangioma ►Tumor hepático benignomais comum (5-20% pop.). ►♀ > ♂, no período pós-menopáusico. ►Estruturalmente, consistem de canais vasculares interconectados em meio a estroma fibroblástico. São alimentados por ramos da artéria hepática, e sua circulação interna é lenta. ►Pode ser do tipo capilar ou do tipo cavernoso. ►Assintomáticos. ►Geralmente solitário, de localização subcapsular e em regiões posteriores do lobo direito.
  • 27.
    Hemangioma ► s/c: Lesõesbem definidas, lobuladas, hipodensas ao parênquima e isodensas aos vasos intra-hepáticos. ► c/c: (aspecto típico em lesões 2-10cm):  Fase arterial: Realce periférico nodular e descontínuo, com áreas nodulares ou globuliforme, da periferia para o centro da lesão. Centrípeto.  Fase portal: Realce progressivo e centrípeto (da periferia para o centro).  Fase tardia: Ocorre o preenchimento completo e homogêneo da lesão, com realce persistente. ► Tempo de enchimento completo depende do tamanho da lesão ► Lesões pequenas (<2cm): enchimento completo rápido ► Lesões grandes (>10cm): preenchimento incompleto da lesão (presença de trombos, áreas de fibrose e/ou necrose).
  • 28.
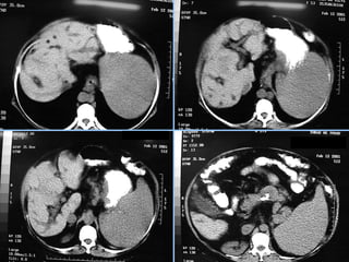
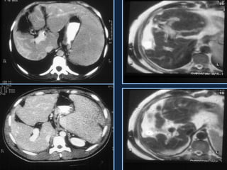
    Hemangioma  Fase art.  Fase portal  Fase tardia
  • 29.
    Hemangioma  S/C  Fase art.  Fase portal  Fase tardia
  • 30.
    Hemangioma  S/C  Fase art.  Fase tardia
  • 31.
    Hiperplasia Nodular Focal ►2º tumor hepático benigno mais comum ► Resposta hepática hiperplásica (Proliferação de hepatócitos, células de Kupffer, ductos biliares primitivos e vasos sanguíneos) a uma anormalidade vascular local. ► ♀ de meia-idade ► NÃO relacionada a ACO, embora este tenha um efeito trófico ► Geralmente solitária (80%), menores que 5 cm, de localização subcapsular e no lobo direito (2:1). ► Assintomática.
  • 32.
    Hiperplasia Nodular Focal ►s/c: lesão bem delimitada, homogênea isodensa ou discretamente hipodensa. ► c/c: realce intenso, precoce e fugaz. – Fase arterial: acentuado realce homogêneo, exceto pela cicatriz central. – Fase portal: hipo ou isodensa ao parênquima hepático. Início do realce da cicatriz. – Fase tardia: isodensa ao parênquima hepático, com realce da cicatriz.
  • 33.
    Hiperplasia Nodular Focal Fase art.  Fase portal  Fase tardia
  • 34.
    Hiperplasia Nodular Focal S/C  Fase art.  Fase portal  Fase tardia
  • 35.
  • 36.
    Adenoma Hepático ► ♀(90%) em idade fértil ► Associação com uso de ACO, anabolizantes e na doença de depósito de glicogênio (não ocorre em homens, exceto em associação com as duas últimas condições). ► Assintomático, porém sangra com freqüência. Complicações: hemorragia (intra-hepática ou intra-peritoneal) e transformação maligna (>10cm). ► Gravidez aumenta a taxa de crescimento tumoral e de ruptura. ► Pode conter tecido necrótico e gorduroso. ► Geralmente solitário, > 5cm, localizado em regiões subcapsulares e no lobo direito (75%)
  • 37.
    Adenoma Hepático ► s/c:Massa esférica, iso ou hipodensa (devido ao conteúdo lipídico). Hemorragia: áreas hiperatenuantes intra-tumorais, parenquimatosas ou subcapsulares. Pode haver gordura ou calcificações. ► c/c: – Fase Arterial: Realce intenso (< q na HNF) e heterogêneo – Fase Portal: Diminuição da atenuação e da heterogeneidade do realce. – Fase Tardia: Isodenso ao parênquima. Realce não persiste.
  • 38.
  • 39.
    Adenoma Hepático  Faseart.  Fase portal  Fase tardia
  • 40.
    Adenoma Hepático  S/C  Fase arterial  Fase portal  Fase tardia
  • 41.
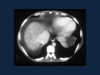
    Cistos Simples ► Lesõescomuns (5-14% população) ► Solitários (mais frequente) ou múltiplos (mais que 10, doença policística deve ser considerada) ► Originam-se do epitélio do ducto biliar, sendo revestidos por camada única de epitélio cúbico ► ♀s (5:1) ► Assintomáticos ► Complicações: infecção ou sangramento
  • 42.
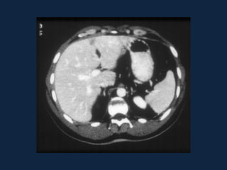
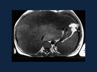
    Cistos Simples ►Contornos bemdefinidos ►Atenuação baixa (semelhante a água, <20 UH) ►Sem realce ao meio de contraste ►Pode haver calcificação na parede do cisto ►Não há septações ou nodularidade mural
  • 43.
    Cistos Simples  Fase portal
  • 44.
  • 46.
  • 47.
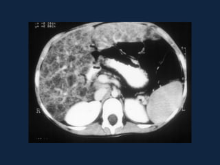
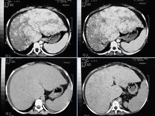
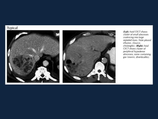
    Abscessos Piogênicos ► Coleçãolocalizada de pus no parênquima hepático devido a uma infecção bacteriana. ► Origem:  Infecções intestinais com disseminação hematogênica secundária (diverticulite)  Infecções de vias biliares (colangite)  Extensão direta (vesícula biliar , rim direito...)  Gram negativos e anaeróbios ► QC: paciente de meia idade a idoso com febre, desconforto abdominal, hepatomegalia, leucocitose ► Icterícia (40%)
  • 48.
    Abscessos Piogênicos ►s/c: Lesãogrosseiramente arredondada, hipodensa (0-45 HU), podendo conter septações e gás (sinal específico, presente em menos de 20% dos casos). Pode haver nível ar-fluido e fluido-debris. ►Realce anelar e/ou das septações após a administração do contraste. ►Pode haver derrame pleural e atelectasia de lobo inferior direito.
  • 49.
  • 50.
    Abscessos Piogênicos  Fasearterial  Fase portal
  • 51.
    Abscessos Piogênicos  Fase tardia
  • 53.
    Abscesso Amebiano ► Entamoebahistolytica ► Endêmico em países de clima tropical ► ♂ de meia idade ► Secundário à infecção do cólon (sítio extra-intestinal mais comum) ► Lesão geralmente única, periférica, >3 cm, sendo o lobo direito mais frequentemente acometido (72%) ► Complicações: Abscesso subfrênico ou subhepático, fístulas com pleura e pericárdio, rotura para cavidade peritoneal
  • 54.
    Abscesso Amebiano ►Lesão hipodensa,redonda ou oval, unilocular e de localização periférica ►Septações internas (30%) ►Não há gás ►Contraste: realce periférico da lesão.
  • 56.
    Abscesso Amebiano  Fase arterial
  • 57.
    Abscesso Amebiano  Fase arterial
  • 58.
  • 59.
  • 60.
  • 61.
    Padrões das doençashepáticas difusas Distribuição homogênea Distribuição segmentar Distribuição nodular Distribuição perivascular
  • 62.
    Distribuição Homogênea • Sobrecargade ferro – Hemocromatose – Hemossiderose • Esteatose hepática
  • 63.
    Distribuição homogênea TC • Sobrecarga de ferro – Hemocromatose •  Absorção intestinal •  Função SRE • Depósito de Fe em hepatócitos • TC: SC; Hiper T1 – Não específico • RNM:  sinal (T1 e T2) – Efeito paramagnético – T2 (gradient echo) *
  • 64.
  • 65.
    Distribuição Homogênea • Hemossiderose – Anemias hemolíticas T2 ou Transfusões – Depósito no SER – Envolve, também, baço e medula óssea
  • 66.
    Distribuição Homogênea T2 • Sobrecarga de ferro – Diagnóstico • Sinais e sintomas inespecíficos – Função hepática  – Diabetes – Artrite * • Laboratório (“screening”) – Transferrina T2 – Ferritina • Confirmação – Biópsia – RNM (diagnóstico, quantificação e detecção de complicações)
  • 67.
    Distribuição Homogênea • Esteatosehepática difusa – Achado frequente – Diagnóstico fácil – Triglicérides em hepatócitos – Atenção! • Esteatose focal • Áreas preservadas
  • 69.
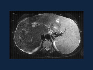
    Distribuição Homogênea T1 • Esteatose difusa – RNM T1 • “em-fase” • “fora-de-fase” • Comparar com medula óssea T1
  • 72.
  • 73.
    ESTEATOSE DIFICULDADES DIAGNÓSTICAS • Focal • Parênquima preservado • Variações vasculares • Multinodular
  • 79.
    ESTEATOSE HEPÁTICA ACENTUADA • Ocorre uma diminuição na eficácia da TC de identificar lesões focais hepáticas. • Pode ocorrer uma inversão no padrão visual das lesões focais, em relação às comparações usuais de atenuação feitas com o fígado normal.
  • 84.
    ESTEATOSE HEPÁTICA MULTINODULAR • Forma mais rara de esteatose hepática. • É fundamental a correlação com dados clínicos e com estudos de RM para excluir doença metastática.
  • 88.
    Distribuição Homogênea • Doençado depósito de glicogênio * – US: hiper (=esteatose) – TC: hiperdenso *
  • 89.
    Distribuição Homogênea T1 • Doença do depósito de glicogênio – RM T1 • Sinal  T1 * • Sinal  T2 – Complicação: • Adenoma Normal T2
  • 90.
    Distribuição segmentar • Esteatosehepática • Hepatite sub-aguda • Fibrose segmentar
  • 91.
    Distribuição segmentar TC sem cont. • Esteatose segmentar – Alteração perfusional • Perfusão portal anormal – Veias gástricas – Artéria torácica Cont. nível VP • Segmentar ou lobar Trombose
  • 92.
    Distribuição segmentar T1 “em fase” • Esteatose segmentar – RM T1 “em-fase” e “fora-de-fase” T1 “fora-de-fase”
  • 93.
    Distribuição segmentar T1 • Hepatite sub-aguda e fibrose segmentar – Processo inflamatório T2 crônico – TC: Hipo • contrastação tadia – RM: T1 ; T2  • Contraste tardio T1 – Fibrose focal simula Pós HCC
  • 94.
    Distribuição segmentar • FibroseX HCC – Localização da fibrose: • Geralmente seg. medial T1 Pós do lobo esquerdo • Contornos bem definidos e angulados – TC: • Sem contraste: hipo • Pós contraste: – Fibrose: captação tardia – HCC: Arterial – RM: pouco valor
  • 95.
    Distribuição nodular • Esteatosefocal e área focal preservada • Cirrose – Nódulos de regeneração – Nódulos displásicos – HCC • Doença metastática • Carcinoma hepatocelular • Doença de Wilson • Doença hamartomatosa biliar
  • 96.
    • Esteatose focale área focal preservada – Características: • 1- Localização – Periligamentosa – Periportal – Leito da vesícula – Seg. medial LE • 2- Sem efeito de massa • 3- Margens definidas e anguladas • 4- Não esférica • 5- Não desloca ou distorce vasos
  • 97.
    • Cirrose – LD fibrótico  T2 –  regenerativo LE e caudado – Sinais de hipertensão portal – Nódulos difusos: • Nodulos de regeneração? Portografia • Nódulos displásicos? • HCC?
  • 99.
    • Nódulos regenerativos T2 – Menor que 3 cm – TC: • Sem contraste: Iso ou hiper • Intensificação portal – RM: • T1:  ou  • T2: (Fe) Portografia
  • 100.
    • nódulos displásicos – Lesão pré-neoplásica – Maior que 3 cm T2 – TC: • Sem contraste: Iso ou hiper • Intensificação portal – RM: • T1:  • T2: (Fe)
  • 101.
    T1 • Carcinoma hepatocelular (HCC) – TC: T2 • Sem contraste: Hipo • Intensificação arterial – RM: • T1:  • T2:  T1
  • 102.
    • Diagnóstico #de nódulos: – Nódulos de regeneração: • < 3 cm, T2: (Fe), intensificação portal – Nódulos displásicos: • > 3 cm, T2: (Fe), intensificação portal – HCC: • T2:  • Intensificação arterial
  • 103.
    Distribuição nodular TC • Doença de Wilson – Depósito de cobre livre • Periportal •  Ceruloplasmina • Sem efeito paramagnético T2 – Figado, cérebro, córnea – Diagnóstico clínico
  • 104.
    • Doença deWilson – Imagem: • Sem achados específicos • Hepatomegalia, esteatose, cirrose – TC: • Nódulos hiperdensos – RNM • Nódulos  T2 e  T1
  • 105.
    Distribuição perivascular • Sind.Budd-Chiari • Congestão hepática passiva • Schistossomose
  • 106.
    Distribuição perivascular • Budd-Chiari – Obstrução do fluxo das vv hepáticas • Tipo 1 – VCI • Tipo 2 – VV hepáticas • Tipo 3 (Doença veno-oclusiva) – Vênulas centrolobulares • Causas variadas – EX.: Tumoral
  • 107.
    Distribuição perivascular • Budd-Chiari – Imagem: • Trombo intraluminal • Coágulo, tumoral... – US: Ecogênico – TC: hiperdenso • Obstrução do fluxo – US Doppler ou angiografia (RM, TC) – Dados indiretos • Colaterais intra-hepáticas • Estreitamento de veias • Dilatação da v. ázigos • Congestão portal e colaterais • Ascite e derrame pleural
  • 108.
    SÍNDROME DE BUDD-CHIARI •Obstrução da drenagem venosa hepática no plano das veias hepáticas ou da VCI. • Associada às síndromes mieloproliferativas, trauma, HPN, carcinoma hepatocelular, gravidez e uso de anticoncepcionais. • Ascite, hipertrofia do lobo caudado, hipertensão portal, aspecto “em mosaico” do parênquima hepático.
  • 109.
    Distribuição perivascular • Budd-Chiari – Aumento do lobo caudado – Atrofia do restante do parênquima • “Compressão periférica” – Nódulos regenerativos •  T1 • ,  ou  T2
  • 118.
    Distribuição perivascular • Congestãohepática passiva – Estase venosa • Insuficiência cardíacacongestiva • Pericardite constritiva • Obstrução a. pulmonar – Evolução para cirrose
  • 119.
    CONGESTÃO HEPÁTICA • Insuficiênciacardíaca levando a estase na VCI e dificuldade de drenagem das veias hepáticas. • Hepatomegalia, dilatação da VCI e das veias hepáticas. • Aspecto “em mosaico” do parênquima hepático que se homogeniza tardiamente. • Ascite. • Halo periportal.
  • 122.
    Distribuição perivascular • Esquistossomose – Fibrose periportal – Hipertensão pré-sinusoidal – US: Aumento da ecogenicidade periportal (“céu estrelado”) – TC: • SC: Bandas hipodensas periportais • CC: contrastação tardia – RNM: • T1: Bandas fibrosas  • T2: Bandas fibrosas  • Contraste tardio
  • 123.
    ESQUISTOSSOMOSE MANSÔNICA • Intensareação inflamatória que resulta em fibrose periportal. • Atrofia do lobo direito, hipertrofia do lobo esquerdo e hipertensão portal.