Oncologia CBR – Faringe, laringe,
cavidade oral e linfonodos cervicais
R3 Liziane Soares Ferreira – Radiologia e Diagnóstico por Imagem
Introdução
 60% das neoplasias de orofaringe são relacionadas
com HPV.
 O carcinoma da nasofaringe está associado a EPBV.
 Diagnóstico: exame clínico e biópsia.
 Imagem: avaliar invasão profunda e linfonodos.
 CEC: até 90% das lesões (tonsilas palatinas, base
da língua, nasofaringe e seios piriformes).
Anatomia
Estadiamento
Nasofaringe
Nasofaringe
 Sintomas clínicos: otite média,
sangramento nasal e nódulos
palpáveis.
 Obstrução nasal, edema de face,
rinorreia, hipoacusia 
avançada.
 70% CEC.
 Lugar mais frequente é na
fosseta de Rossenmuller.
 FR: álcool e EPBV
Nasofaringe
Nasofaringe
Nasofaringe
 TC contrastada é o método de escolha (1-3 mm).
 RM  T1, T2, STIR, gadolíneo, supressão de
gordura, difusão.
Nasofaringe
 Rabdomiossarcoma
 Principal tumor de nasofaringe em crianças
 Atenuação de partes moles com realce heterogêneo.
 Linfoma
 Acometimento das tonsilas, linfonodos, podendo invadir
a base do crânio.
 Glândulas salivares menores
 50% malignos
 Maioria carcinoma adenomatoide cístico
Nasofaringe
 Plasmocitoma:
 Massa de partes moles ovoide, homogêneo, mucosa, com
isossinal em T1 e hiperssinal em T2.
 Nasoangiofibroma juvenil
 Jovens masculinos com epistaxe
 Importante realce pelo contraste
 Localizado na fossa pterigopalatina, progredindo para
cavidade nasal, faringe e região infratemporal.
 Adenoma pleomórfico
 mais frequentes no espaço parafaríngeo.
Orofaringe
 Estruturas: base da
língua, lojas
amigdalianas e
seus pilares, palato
fibroso e valéculas.
 Principal sítio: pilar
anterior da loja
amigdaliana.
Orofaringe
 Mais agressivo que CEC de
nasofaringe, com pior prognóstico.
 Disseminação para linfonodos dos
níveis II, III, IV, V e retrofaríngeos.
 Sintomas: odinofagia, halitose,
sangramento, perda de peso,
linfonodo palpável.
Orofaringe
Orofaringe
Orofaringe - CEC
Orofaringe - Linfoma
 Massa sólida em tonsilas
palatinas e linguais.
 Massas exofíticas com
realce pós-contraste na
fase venosa, na TC e na
RM.
 Principal diagnóstico
diferencial é com
hiperplaisia linfoide.
 Linfonosos necróticos
podem ajudar no
diagnóstico, sugerindo
neoplasia.
Orofaringe – outros
 Carcinoma de glândulas salivares menores
 Hemangiomas
 Tireoide lingual
Hipofaringe
 Do osso hioide ao esôfago cervical.
 Três áreas de interesse:
 Seio piriforme (65%).
 Região pós-cricoide
 Parede posterior
 Os linfáticos drenam para cadeia
jugular e cruzam para o lado
contralateral (II, III, V e
retrofaríngeos).
 Sintomas: disfagia, rouquidão,
dispneia.
 Patologia: CEC.
Hipofaringe
Hipofaringe
Hipofaringe
Laringe
Laringe
 Achados clínicos
 Rouquidão
 Tosse crõnica, dispneia, disfagia.
 CEC: 95-98%
 60% na glote
 30-40% supraglote
 <5% subglote
 Tabagismo e etilismo
Laringe
Laringe
Laringe
Laringe
Laringe
Laringe
Laringe
Laringe – tratamento da neoplasia
Laringe – tratamento das neoplasias
 fim

Oncologia cbr – faringe, laringe, cavidade

  • 1.
    Oncologia CBR –Faringe, laringe, cavidade oral e linfonodos cervicais R3 Liziane Soares Ferreira – Radiologia e Diagnóstico por Imagem
  • 2.
    Introdução  60% dasneoplasias de orofaringe são relacionadas com HPV.  O carcinoma da nasofaringe está associado a EPBV.  Diagnóstico: exame clínico e biópsia.  Imagem: avaliar invasão profunda e linfonodos.  CEC: até 90% das lesões (tonsilas palatinas, base da língua, nasofaringe e seios piriformes).
  • 3.
  • 6.
  • 7.
  • 8.
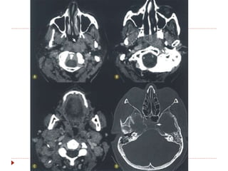
    Nasofaringe  Sintomas clínicos:otite média, sangramento nasal e nódulos palpáveis.  Obstrução nasal, edema de face, rinorreia, hipoacusia  avançada.  70% CEC.  Lugar mais frequente é na fosseta de Rossenmuller.  FR: álcool e EPBV
  • 9.
  • 10.
  • 11.
    Nasofaringe  TC contrastadaé o método de escolha (1-3 mm).  RM  T1, T2, STIR, gadolíneo, supressão de gordura, difusão.
  • 15.
    Nasofaringe  Rabdomiossarcoma  Principaltumor de nasofaringe em crianças  Atenuação de partes moles com realce heterogêneo.  Linfoma  Acometimento das tonsilas, linfonodos, podendo invadir a base do crânio.  Glândulas salivares menores  50% malignos  Maioria carcinoma adenomatoide cístico
  • 17.
    Nasofaringe  Plasmocitoma:  Massade partes moles ovoide, homogêneo, mucosa, com isossinal em T1 e hiperssinal em T2.  Nasoangiofibroma juvenil  Jovens masculinos com epistaxe  Importante realce pelo contraste  Localizado na fossa pterigopalatina, progredindo para cavidade nasal, faringe e região infratemporal.  Adenoma pleomórfico  mais frequentes no espaço parafaríngeo.
  • 22.
    Orofaringe  Estruturas: baseda língua, lojas amigdalianas e seus pilares, palato fibroso e valéculas.  Principal sítio: pilar anterior da loja amigdaliana.
  • 23.
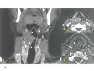
    Orofaringe  Mais agressivoque CEC de nasofaringe, com pior prognóstico.  Disseminação para linfonodos dos níveis II, III, IV, V e retrofaríngeos.  Sintomas: odinofagia, halitose, sangramento, perda de peso, linfonodo palpável.
  • 24.
  • 25.
  • 26.
  • 30.
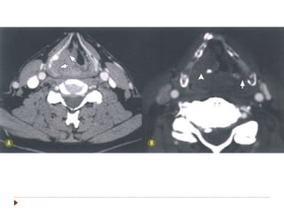
    Orofaringe - Linfoma Massa sólida em tonsilas palatinas e linguais.  Massas exofíticas com realce pós-contraste na fase venosa, na TC e na RM.  Principal diagnóstico diferencial é com hiperplaisia linfoide.  Linfonosos necróticos podem ajudar no diagnóstico, sugerindo neoplasia.
  • 31.
    Orofaringe – outros Carcinoma de glândulas salivares menores  Hemangiomas  Tireoide lingual
  • 32.
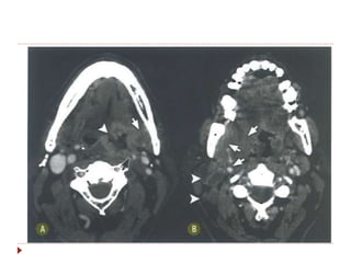
    Hipofaringe  Do ossohioide ao esôfago cervical.  Três áreas de interesse:  Seio piriforme (65%).  Região pós-cricoide  Parede posterior  Os linfáticos drenam para cadeia jugular e cruzam para o lado contralateral (II, III, V e retrofaríngeos).  Sintomas: disfagia, rouquidão, dispneia.  Patologia: CEC.
  • 33.
  • 34.
  • 35.
  • 40.
  • 46.
    Laringe  Achados clínicos Rouquidão  Tosse crõnica, dispneia, disfagia.  CEC: 95-98%  60% na glote  30-40% supraglote  <5% subglote  Tabagismo e etilismo
  • 47.
  • 48.
  • 51.
  • 52.
  • 54.
  • 55.
  • 56.
  • 58.
  • 59.
    Laringe – tratamentodas neoplasias
  • 60.