Doenças brônquicas difusas
      10/05/2012
 MR3 ROBERTO CORRÊA
Bronquiectasia

Representa dilatação brônquica irreversível;
    Os 3 fatores mais importantes são:
                 a)Infecção;
       b)Obstrução de vias aéreas;
          c)Fibrose peribrônquica
        (bronquiectasia de tração)
Bronquiectasia
           As causas mais comuns são:
Infecções respiratórias (pneumonia, bronquiolite)
                    na infância;
  Infecção crônica (principalmente tuberculose);
    Condições que propiciam infecção crônica:
                  Fibrose cística
                  Discinesia ciliar
Bronquiectasia
        Anomalias congênitas da via aérea:
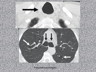
              Traqueobroncomegalia
         Síndrome de Williams-Campbell:
    Forma rara de bronquiectasia primária com
   colapso expiratório importante causado por
deficiência congênita na cartilagem dos brônquios,
      sobretudo os de quarta a sexta ordem);
Bronquiectasia
A bronquiectasia pode ser focal ou difusa e ocorre
   bilateralmente em cerca de 50% dos casos;
Há predomínio de acometimento nos segmentos
  basais dos lobos inferiores, seguidos pelo lobo
                 médio e língula;
A TCAR é o método de escolha no diagnóstico da
      presença, extensão e distribuição das
                 bronquiectasias.
       Papel pobre na definição da etilogia.
Tipos de bronquiectasias
a) Cilíndrica : padrão morfológico mais comum;

b) Varicosa: aparência serpeginosa e contornos
               internos irregulares;

c) Cística: presença de imagens císticas contínuas
             com os brônquios principais.
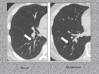
Normal   Bronquiectasia
Bronquiectasia varicosa   Bronquiectasia cística
Achados de imagem
            Radiografia de tórax:
                 Normal ou;
          Achados não específicos:
           Sinal do trilho de trem
Imagens anelares de paredes finas ou espessas
        com nível hidroaéreo ou não
    Perda de volume na região acometida
           Aprisionamento aéreo
Achados de imagem
                  TCAR de tórax:
  Diâmetro interno do brônquio maior que da
                       artéria
             (sinal do anel de sinete);
   Perda do afilamento gradual do brônquio;
Identificar via aérea a menos de 1cm da pleura;
     Espessamento da parede brônquica;
               Impactação mucoide;
       Padrão de árvore em brotamento.
Bronquiectasia focal
Tumor endobrônquico com bronquiectasias
Broncolitíase
Estenose congênita BPE
Fibrose cística
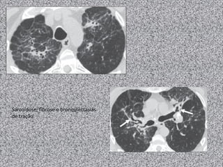
Sarcoidose: fibrose e bronquiectasias
de tração.
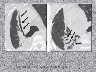
Pós irradiação: fibrose e bronquiectasias de tração
PIU: pneumonia intersticial usual
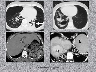
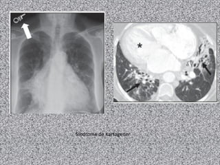
Síndrome de Kartagener
Bronquiectasia


   Bronquiectasias com distribuição bilateral e
    predomínio nos lobos superiores são mais
frequentemente encontradas em pacientes com
 ABPA, fibrose cística e fibrose relacionada com
             sarcoidose e silicose.
Aspergilose broncopulmonar alérgica
Traqueobroncomegalia
Síndrome de Williams-Campbell
Fibrose cística
                 Mucoviscidose
    Doença hereditária autossômica recessiva
             Curso progressivo e letal
 Produção anormal de secreções por glândulas
                    exócrinas
     Defeito genético: mutação no gene CFTR
Mais de mil mutações e variações do gene já foram
                    descritas
Fibrose cística
  A incidência varia em diferentes populações:
              Caucasianos: 1:2000
                 Negros: 1:17000
                Asiáticos: 1:70000

                 Brasil: 1:7000

O acometimento pulmonar é a principal causa de
         morbidade e mortalidade.
Fibrose cística: imagem
            Radiografia de tórax:
                   Normal;
          Achados não específicos:
  Aumento da trama broncovascular nos lobos
                 superiores;
         Hiperinsuflação pulmonar;
          Espessamento brônquico
Pneumotórax é complicação comum: até 20% dos
              pacientes adultos
Fibrose cística: imagem
                  TACR de tórax:
         Bronquiectasias (principal achado):
    Pode ser dos 3 tipos; geralmente bilaterais;
          Predomina nos lobos superiores;
             Espessamento brônquico;
         Impactação mucoide pode ocorrer;
             Nódulos centrolobulares;
              Árvore em brotamento;
                   Consolidações;
      Lesões císticas ou bolhosas nos ápices;
       Linfonodomegalias hilar e mediastinal
Anormalidades pleurais (derrame e/ou espessamento)
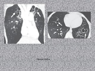
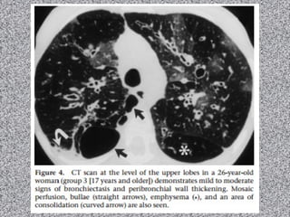
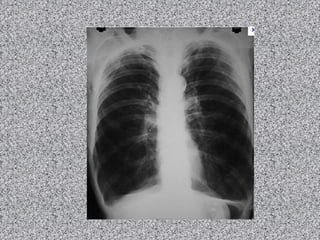
Fibrose Cística
Homem de 37 anos com tosse crônica e dispneia progressiva
Bronquiectasia
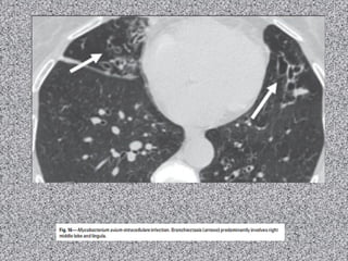
   A bronquiectasia relacionada com tuberculose
  tende a ser unilateral ou bilateral e assimétrica,
geralmente afetando os lobos superiores em maior
                     extensão.
    Maior acometimento dos lobos inferiores é
        encontrado na maioria dos casos de
     bronquiectasias relacionadas com infecção
 respiratória da infância, hipogamaglobulinemia e
             discinesia ciliar primária.
Discinesia ciliar primária


         Doença autossômica recessiva
Caracterizada por anormalidades ultraestruturais
                    ciliares;
       Prevalência de 1:20.000 a 1:60.000
   Sem predileção por sexo ou grupos raciais;
Discinesia ciliar primária
            Sintomas mais comuns:
           Tosse produtiva crônica;
          Pneumonias de repetição;
       Sinusite e otite média crônicas.
 Metade dos casos é associdas a situs inversus
          (síndrome de Kartagener):
Combinação de situs inversus, sinusite crônica e
               bronquiectasias.
Discinesia ciliar primária

             Radiografia de tórax:
   Normal ou achados não específicos como
 espessamento brônquico e aumento da trama
                broncovascular;
Dextrocardia e situs inversus em 50% dos casos;
          Sinais de bronquiectasias.
Discinesia ciliar primária

                 TCAR de tórax:
Bronquiectasias (achado principal) geralmente do
                 tipo cilíndrico;
Nódulos centrolobulares e opacidades lineares ou
                  ramificadas;
 Áreas de diminuição da atenuação e perfusão e
       aprisionamento aéreo à expiração.
Síndrome de Kartagener
Bronquite crônica
       Critério clínico para o diagnóstico
 DPOC: bronquite crônica e enfisema pulmonar;
Prevalência de DPOC no Brasil de 12% em adultos
        maiores de 40 anos: 5.500.000
Obstrução ao fluxo aéreo é geralmente progressiva
 e está associada a uma resposta inflamatória dos
pulmões à inalação de partículas ou gases tóxicos,
     causada principalmente pelo tabagismo.
Bronquite crônica: imagem

              Radiografia de tórax:
              Geralmente normal;
            Achados não específicos:
       Aumento da trama broncovascular e
          espessamento de brônquios.
Hiperinsuflação: vista em pacientes com enfisema
                grave associado.
Bronquite crônica: imagem
                 TCAR de tórax:
     Espessamento de paredes brônquicas;
    Pequenos pseudodivertículos traqueais e
brônquicos secundários à hipertrofia das glândulas
                  submucosas;
       Secreção em traqueia e brônquios;
    Enfisema associado é achado frequente;
    TC: limitado a pacientes com suspeita de
    bronquiectasias ou carcinoma pulmonar.
Bronquite crônica
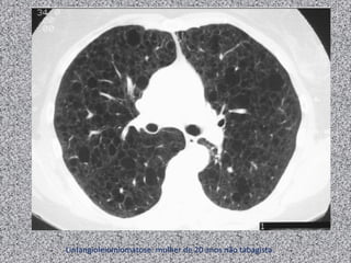
Mulher de 20 anos, não tabagista com dispneia progressiva.
Linfangioleiomiomatose: mulher de 20 anos não tabagista.
JPR 2012

Doença brônquica difusa

  • 1.
    Doenças brônquicas difusas 10/05/2012 MR3 ROBERTO CORRÊA
  • 3.
    Bronquiectasia Representa dilatação brônquicairreversível; Os 3 fatores mais importantes são: a)Infecção; b)Obstrução de vias aéreas; c)Fibrose peribrônquica (bronquiectasia de tração)
  • 4.
    Bronquiectasia As causas mais comuns são: Infecções respiratórias (pneumonia, bronquiolite) na infância; Infecção crônica (principalmente tuberculose); Condições que propiciam infecção crônica: Fibrose cística Discinesia ciliar
  • 5.
    Bronquiectasia Anomalias congênitas da via aérea: Traqueobroncomegalia Síndrome de Williams-Campbell: Forma rara de bronquiectasia primária com colapso expiratório importante causado por deficiência congênita na cartilagem dos brônquios, sobretudo os de quarta a sexta ordem);
  • 6.
    Bronquiectasia A bronquiectasia podeser focal ou difusa e ocorre bilateralmente em cerca de 50% dos casos; Há predomínio de acometimento nos segmentos basais dos lobos inferiores, seguidos pelo lobo médio e língula; A TCAR é o método de escolha no diagnóstico da presença, extensão e distribuição das bronquiectasias. Papel pobre na definição da etilogia.
  • 7.
    Tipos de bronquiectasias a)Cilíndrica : padrão morfológico mais comum; b) Varicosa: aparência serpeginosa e contornos internos irregulares; c) Cística: presença de imagens císticas contínuas com os brônquios principais.
  • 8.
    Normal Bronquiectasia
  • 9.
    Bronquiectasia varicosa Bronquiectasia cística
  • 11.
    Achados de imagem Radiografia de tórax: Normal ou; Achados não específicos: Sinal do trilho de trem Imagens anelares de paredes finas ou espessas com nível hidroaéreo ou não Perda de volume na região acometida Aprisionamento aéreo
  • 12.
    Achados de imagem TCAR de tórax: Diâmetro interno do brônquio maior que da artéria (sinal do anel de sinete); Perda do afilamento gradual do brônquio; Identificar via aérea a menos de 1cm da pleura; Espessamento da parede brônquica; Impactação mucoide; Padrão de árvore em brotamento.
  • 13.
  • 14.
    Tumor endobrônquico combronquiectasias
  • 15.
  • 16.
  • 17.
  • 18.
    Sarcoidose: fibrose ebronquiectasias de tração.
  • 19.
    Pós irradiação: fibrosee bronquiectasias de tração
  • 21.
  • 23.
  • 24.
    Bronquiectasia Bronquiectasias com distribuição bilateral e predomínio nos lobos superiores são mais frequentemente encontradas em pacientes com ABPA, fibrose cística e fibrose relacionada com sarcoidose e silicose.
  • 25.
  • 26.
  • 27.
  • 28.
    Fibrose cística Mucoviscidose Doença hereditária autossômica recessiva Curso progressivo e letal Produção anormal de secreções por glândulas exócrinas Defeito genético: mutação no gene CFTR Mais de mil mutações e variações do gene já foram descritas
  • 29.
    Fibrose cística A incidência varia em diferentes populações: Caucasianos: 1:2000 Negros: 1:17000 Asiáticos: 1:70000 Brasil: 1:7000 O acometimento pulmonar é a principal causa de morbidade e mortalidade.
  • 30.
    Fibrose cística: imagem Radiografia de tórax: Normal; Achados não específicos: Aumento da trama broncovascular nos lobos superiores; Hiperinsuflação pulmonar; Espessamento brônquico Pneumotórax é complicação comum: até 20% dos pacientes adultos
  • 31.
    Fibrose cística: imagem TACR de tórax: Bronquiectasias (principal achado): Pode ser dos 3 tipos; geralmente bilaterais; Predomina nos lobos superiores; Espessamento brônquico; Impactação mucoide pode ocorrer; Nódulos centrolobulares; Árvore em brotamento; Consolidações; Lesões císticas ou bolhosas nos ápices; Linfonodomegalias hilar e mediastinal Anormalidades pleurais (derrame e/ou espessamento)
  • 32.
    Fibrose Cística Homem de37 anos com tosse crônica e dispneia progressiva
  • 34.
    Bronquiectasia A bronquiectasia relacionada com tuberculose tende a ser unilateral ou bilateral e assimétrica, geralmente afetando os lobos superiores em maior extensão. Maior acometimento dos lobos inferiores é encontrado na maioria dos casos de bronquiectasias relacionadas com infecção respiratória da infância, hipogamaglobulinemia e discinesia ciliar primária.
  • 41.
    Discinesia ciliar primária Doença autossômica recessiva Caracterizada por anormalidades ultraestruturais ciliares; Prevalência de 1:20.000 a 1:60.000 Sem predileção por sexo ou grupos raciais;
  • 42.
    Discinesia ciliar primária Sintomas mais comuns: Tosse produtiva crônica; Pneumonias de repetição; Sinusite e otite média crônicas. Metade dos casos é associdas a situs inversus (síndrome de Kartagener): Combinação de situs inversus, sinusite crônica e bronquiectasias.
  • 43.
    Discinesia ciliar primária Radiografia de tórax: Normal ou achados não específicos como espessamento brônquico e aumento da trama broncovascular; Dextrocardia e situs inversus em 50% dos casos; Sinais de bronquiectasias.
  • 44.
    Discinesia ciliar primária TCAR de tórax: Bronquiectasias (achado principal) geralmente do tipo cilíndrico; Nódulos centrolobulares e opacidades lineares ou ramificadas; Áreas de diminuição da atenuação e perfusão e aprisionamento aéreo à expiração.
  • 45.
  • 46.
    Bronquite crônica Critério clínico para o diagnóstico DPOC: bronquite crônica e enfisema pulmonar; Prevalência de DPOC no Brasil de 12% em adultos maiores de 40 anos: 5.500.000 Obstrução ao fluxo aéreo é geralmente progressiva e está associada a uma resposta inflamatória dos pulmões à inalação de partículas ou gases tóxicos, causada principalmente pelo tabagismo.
  • 47.
    Bronquite crônica: imagem Radiografia de tórax: Geralmente normal; Achados não específicos: Aumento da trama broncovascular e espessamento de brônquios. Hiperinsuflação: vista em pacientes com enfisema grave associado.
  • 48.
    Bronquite crônica: imagem TCAR de tórax: Espessamento de paredes brônquicas; Pequenos pseudodivertículos traqueais e brônquicos secundários à hipertrofia das glândulas submucosas; Secreção em traqueia e brônquios; Enfisema associado é achado frequente; TC: limitado a pacientes com suspeita de bronquiectasias ou carcinoma pulmonar.
  • 49.
  • 53.
    Mulher de 20anos, não tabagista com dispneia progressiva.
  • 54.
    Linfangioleiomiomatose: mulher de20 anos não tabagista.
  • 55.