Monitoria SNC, Crânio e
  Coluna Cervical



       Norberto Weber Werle
       Profº Md. Carlos Jesus Pereira Haygert

       Serviço de Radiologia do HUSM
       Email: norwerle@yahoo.com.br
ORDENAÇÃO DA AULA




       Coluna
SNC              Casos
      Cervical
EXAMES DIAGNÓSTICOS- SNC

• Tomografia Computadorizada;
• Ressonância Magnética;




      Objetivo:

      Estudo da anatomia do SNC in vivo, com
      excelente resolução, viabilizando o estudo das
      entidades patológicas que acometem tal sítio
      anatômico, sendo capaz de sugerir diagnóstico,
      estimar prognóstico e indicar terapêutica.
ENTENDENDO A NOMENCLATURA RADIOLÓGICA

         RMN:          T1 1º Tempo de Aquisição
                       T2 2º Tempo de Aquisição



         T1- Brilho de Estruturas Lipídicas.
         T2- Brilho de Substâncias Líquidas.

         DENOMINAÇÃO DO ACHADO EM RM: SINAL

                Hiperssinal- Aumento do Sinal
                Hipossinal- Diminuição
                Isossinal- Brilho intermediário
RMN:

•   Grande acurácia diagnóstica;
•   Contrastete gadolíneo;
•   Tempo de exame prolongado;
•   Aquisição em 3 planos;

• Indicações:

• Maioria das patologias encefálicas não-
  traumáticas ou vasculares agudas;
CLASSIFIQUE:

( ) T1
( ) T2
FLAIR
• Sequência RMN, em que o líquor
  aparece em hipossinal, apesar das
  outras substâncias líquidas do SNC
  aparecerem em hiperssinal.
ENTENDENDO A NOMENCLATURA RADIOLÓGICA

           TOMOGRAFIA COMPUTADORIZADA

           Brilho da imagem depende da densidade da
           estrutura radiológica estudada.


      DENOMINAÇÃO DO ACHADO EM TC: DENSIDADE

                 Hiperdenso: Aumento do Brilho
                 Ex.: Plexos Coróides calcificados
                 Hipodenso: Diminuição do Brilho
                 Ex.: Sistema Ventricular
                 Isodenso: Densidade análoga a
                 determinada estrutura.
TC:
Indicações Formais:

• Trauma;
• AVE’s;

• Contraste Iodo
• Aquisição axial com reconstruções;

Problemas:

Excesso de Radiação
Bebê
Gestante
E o ULTRASSOM?

• Pacientes até 1 ano e meio, com fontanela(s)
  não totalmente ossificadas.



• Baixos custo e risco.

• Identificação de he-
morragias e malforma-
ções.
CRÂNIO ÓSSEO
VISÃO LATERAL
Radiologia Convencional

  • Afecções dos
   seios paranasais
     • Cavum
     • Trauma
• Septo e Cornetos
        Nasais
NEUROANATOMIA E ORGANOGÊNESE
GIROS E SULCOS

    Central
    Sylvius
Parietoocciptal




                      Reconstrução 3D por RMN
VISÃO CORONAL
DIMINUIÇÃO VOLUMÉTRICA
GIROS FACE SUPEROLATERAL
FACE MEDIAL- GIROS E SULCOS

CÚNEO




          OCCIPTOTEMPORAL MEDIAL
GIROS- VISÃO MEDIAL
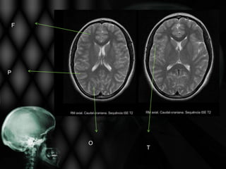
LOBOS TELENCEFÁLICOS
F




P




        O
            T
CEREBELO
TRONCO ENCEFÁLICO
SISTEMA VENTRICULAR
MENINGES E COMPARTIMENTOS

INCLUSÕES:

Tenda do cerebelo
Foice inter-hemisférica
Foice Cerebelar
Diafragma da Cela
COMPARTIMENTOS
CLASSIFIQUE:




    ( ) Subdural ( ) Epidural
        ( ) Subaracnóideo
VASCULARIZAÇÃO


Cerebral Média


 Direção Fronto
Temporo Parietal
INDICAÇÃO ARTERIOGRAFIA
PRINCIPAIS ACHADOS DE IMAGEM
     •   Hematomas Epidurais;
     •   Hematomas Subdurais;
     •   Hemorragia Subaracnoidea;
     •   Fraturas Ósseas + Contusão;
     •   Lesões com Efeito de Massa;
     •   AVE’s
     •   Hidrocefalia
     •   Edema Cerebral
HEMATOMAS EPIDURAIS
HEMATOMAS SUBDURAIS
HEMORRAGIA SUBARACNOIDEA




       Classifique:

       ( ) T1 ( ) T2 ( ) FLAIR
HEMORRAGIAS INTRACRANIANAS-
         CRIANÇA


USG transfontanelar
   evidenciando
 hemorragia difusa,
   com sinais de
    ventriculite
FRATURAS DE ABÓBODA + CONTUSÃO


   Não confunda
    fratura com
       sutura
      craniana!

EDEMA CEREBRAL
LESÃO COM EFEITO DE MASSA




         Abscesso na Regiao Capsular Interna Direita
AVE ISQUÊMICO
De acordo com o
   padrão de
 vascularização
cerebral, qual a
   artéria com
   hipofluxo?




                   A- 3 horas   B- 15 horas
AVE ISQUÊMICO
• Um exame tomográfico normal próximo temporalmente ao
  início da sintomatologia JAMAIS exclui o diagnóstico.



• SINAIS DE HIPOFLUXO CEREBRAL HIPODENSIDADE



                     • ACM  MAIS ACOMETIDA
AVE ISQUÊMICO NA RM
AVE HEMORRÁGICO
AVE HEMORRÁGICO

LEMBRE!
A     metabolização     do      hematoma
parenquimatoso acaba por diminuir a sua
densidade, resultando em região hipodensa
residual!



                  À RM o sinal depende
            da fase pós-AVE.
HIDROCEFALIAS


  Com Derivação
Ventriculoperitoneal
EDEMA CEREBRAL
COLUNA CERVICAL
• A coluna vertebral compõe a principal parte do esqueleto
  axial, proporcionando um eixo parcialmente rígido e ao
  mesmo tempo flexível para o corpo e um pivô para a
  cabeça.

            FUNÇÕES:

            Postura, sustentação do peso do corpo,
            locomoção e proteção da medula espinhal e
            das raízes nervosas.
ANATOMIA VERTEBRAL CERVICAL
• As vértebras cervicais são as menores das vértebras
  móveis, formando o esqueleto ósseo do pescoço. O
  tamanho menor reflete o fato de sustentarem menor
  peso que as vértebras mais inferiores (maiores). A
  característica principal dessas vértebras é a presença
  do forame transverso nos respectivos processos de
  mesmo nome. Esses forames dão passagem às artérias
  vertebrais.
RX CERVICAL PERFIL
CONHECENDO AS VÉRTEBRAS
       CERVICAIS
VÉRTEBRAS ATÍPICAS



            Articulação com os Côndilos
                      Occiptais




              Vertebra mais resistente
            com eminência do processo
                     odontóide
TOPOGRAFIA DISCAL
DENTE DO AXIS- CORONAL
EXAMES COLUNA CERVICAL

• TRAUMA            Tomografia Computadorizada tem
  melhor acurácia que o RX.



• DOENÇA DEGENERATIVA            RX com perfil vê
                               osteófitos, alinhamento e
                        redução do espaço discal.
                        RM é melhor exame para
                        analisar o SN e partes moles.
COLUNA VERTEBRAL-EVOLUÇÃO
DOENÇA DEGENERATIVA CERVICAL
QUAIS SÃO OS
ACHADOS DO RX?
ANTEROLISTESE
FRATURAS CERVICAIS À TC
NEOPLASIA ÓSSEA OSTEOLÍTICA
CASOS CLÍNICOS
• Paciente de 78 anos, hipertenso, apresenta início súbito
  de perda da força muscular à direita, com desvio de rima
  bucal e sinais piramidais também à direita. É incapaz de
  deambular e sua fala está arrastada e praticamente
  ininteligível há 6 horas;

• Solicitou-se TC de crânio.
Não se visualiza nesta TC de crânio:




      Edema cerebral

      Sangramento na periferia do 4º ventrículo



      Hipodensidade frontal direita extensa


      Foco de sangramento no interior da área
      isquêmica
Não se visualiza nesta TC de crânio:




      Edema cerebral

      Sangramento na periferia do 4º ventrículo



      Hipodensidade frontal direita extensa


      Foco de sangramento no interior da área
      isquêmica
CASO CLÍNICO 2
• Paciente com 67 anos apresenta cervicalgia persistente
  com irradiação para face lateral de MS direito, associada
  à hipotrofia do membro e hipertonia da musculatura
  cervical.

• Solicitou-se RX Cervical!
Não evidencia-se neste RX de perfil:




      Anterolistese C5  C6


      Retificação da lordose fisiológica


      Osteofitose anterior generalizada

      Redução do espaço discal C5 C6 e
      C6 C7
Não evidencia-se neste RX de perfil:




      Anterolistese C5  C6


      Retificação da lordose fisiológica


      Osteofitose anterior generalizada

      Redução do espaço discal C5 C6 e
      C6 C7
AAAACABOU!
  É TETRA!
             FIM!
BIBLIOGRAFIA
•   Fundamentals of Diagnostic Radiology;
•   Paul & Juhl;
•   Anatomia Orientada Para a Clínica – Moore;
•   Atlas Ultravist de Radiologia;
•   Site- Aula de Anatomia

Monitoria snc, crânio e coluna cervical(2)